From Juvenile Idiopathic Arthritis to Pachydermoperiostosis: A Journey to an Unexpected Rare Diagnosis
Abstract
1. Introduction
- a complete form, where both skin and bone changes are present;
- an incomplete form, in which periostosis and clubbing occur without pachydermia;
2. Case Presentation
- Hand X-rays: bilateral carpitis with cortical thickening (Figure 3)
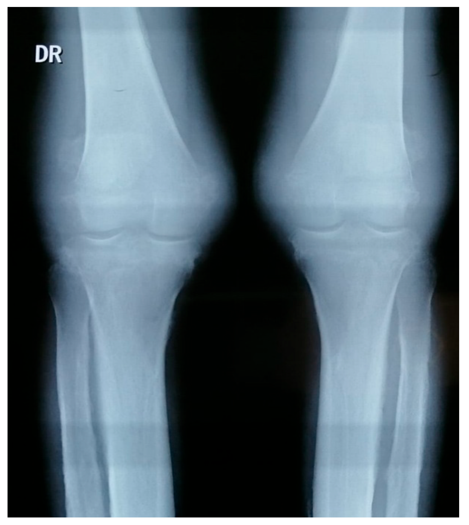
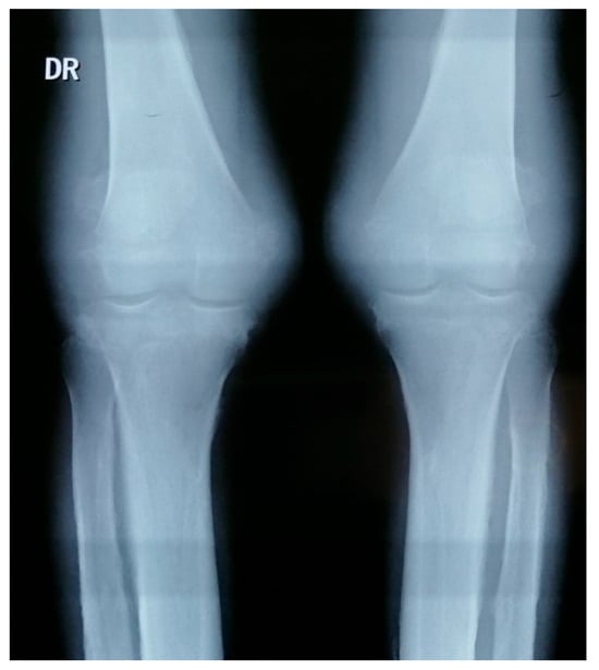
- Knee X-rays: periosteal reaction involving tibia, fibula and femur (Figure 4).
- Pelvis X-rays: acetabular osteosclerosis, bilateral reduction in coxofemoral joint space and thickened proximal femurs (Figure 5)
- CT thorax/abdomen: pericardial effusion (6.2 mm), bilateral gynecomastia, hepatomegaly with microbiliary cyst (segment VIII) and renal microlithiasis.
3. Discussion
4. Conclusions
Author Contributions
Funding
Institutional Review Board Statement
Informed Consent Statement
Data Availability Statement
Conflicts of Interest
Abbreviations
| PDP | Pachydermoperiostosis |
| PHO | Primary hypertrophic osteoarthropathy |
References
- Lu, Q.; Xu, Y.; Zhang, Z.; Li, S.; Zhang, Z. Primary hypertrophic osteoarthropathy: Genetics, clinical features and management. Front. Endocrinol. 2023, 14, 1235040. [Google Scholar] [CrossRef] [PubMed]
- Arcanjo, A.M.; de Souza, A.F.; de Souza Quedas, E.P.; de Menezes Correia-Deur, J.E.; Ferreira, D.L.; de Almeida Toledo, S.P.; Lourenço, D.M., Jr. Primary hypertrophic osteoarthropathy: Phenotypic variability and penetrance rate in heterozygotes for SLCO2A1 variants. JBMR Plus 2025, 9, ziaf026. [Google Scholar] [CrossRef] [PubMed]
- Chakraborty, R.K.; Sharma, S. Secondary Hypertrophic Osteoarthropathy. In StatPearls [Internet]; StatPearls Publishing: Treasure Island, FL, USA, 2025. Available online: https://www.ncbi.nlm.nih.gov/books/NBK513342 (accessed on 20 January 2026).
- Xu, Y.; Zhang, Z.; Yue, H.; Li, S.; Zhang, Z. Monoallelic mutations in SLCO2A1 cause autosomal dominant primary hypertrophic osteoarthropathy. J. Bone Miner. Res. 2021, 36, 1459–1468. [Google Scholar] [CrossRef] [PubMed]
- Salah, B.I.; Husari, K.I.; Hassouneh, A.; Al-Ali, Z.; Rawashdeh, B. Complete primary pachydermoperiostosis: A case report and review of the literature. Clin. Case Rep. 2019, 7, 915–919. [Google Scholar] [CrossRef] [PubMed]
- Mohammad, M.; Alnajjar, Y.; Jondi, E.; Alsheikh, M.; Darras, A.; Hamamdah, A.; Itmaizeh, M.; Aljundi, E. Pachydermoperiostosis associated with a rare SLCO2A1 mutation: A case report and literature review. Cureus 2025, 17, e92731. [Google Scholar] [CrossRef] [PubMed]
- Li, J.; Jia, S.; Guo, J.; Xie, W.; Ma, Y.; Gao, X.; Gao, M. Primary hypertrophic osteoarthropathy caused by HPGD variants: A case report and literature review. BMC Pediatr. 2025, 25, 238. [Google Scholar] [CrossRef] [PubMed]
- Castori, M.; Sinibaldi, L.; Mingarelli, R.; Lachman, R.S.; Rimoin, D.L.; Dallapiccola, B. Pachydermoperiostosis: An update. Clin. Genet. 2005, 68, 477–486. [Google Scholar] [CrossRef] [PubMed]
- Wójtowicz, J.; Kołodziejczyk, B.; Gazda, A.; Gietka, P. Primary hypertrophic osteoarthropathy–A rare cause of pain and arthritis in children. Description of 5 cases. Cent. Eur. J. Immunol. 2022, 47, 280–287. [Google Scholar] [CrossRef] [PubMed]
- Kamruzzaman, A.; Farzana, M.; Sohel, M.M.; Kaiser, E.; Chowdhury, N.; Rahman, M.H.; Haq, S.A.; Rasker, J.J. Pachydermoperiostosis Mimicking Inflammatory Arthritis: Case Description and Narrative Review. Rheumato 2023, 3, 98–105. [Google Scholar] [CrossRef]
- Supradeeptha, C.; Shandilya, S.M.; Reddy, K.V.; Satyaprasad, J. Pachydermoperiostosis—A case report of complete form and literature review. J. Clin. Orthop. Trauma 2014, 5, 27–32. [Google Scholar] [CrossRef] [PubMed]
- Zhang, H.; Yang, B. Successful treatment of pachydermoperiostosis with etoricoxib, aescin and arthroscopic synovectomy: Two case reports. Medicine 2017, 96, e8865. [Google Scholar] [CrossRef] [PubMed]
- Cai, X.; Yang, X.; Zhang, P.; Dou, Z.; Chen, Z.; Zhu, C.; Xu, W.; Wang, X.; Hong, X.; Zhang, Z. Distinct clinical features of three subtypes in 533 patients with primary hypertrophic osteoarthropathy. Orphanet J. Rare Dis. 2025, 20, 188. [Google Scholar] [CrossRef] [PubMed]
- Matucci-Cerinic, M.; Ceruso, M.; Lotti, T.; Pignone, A.; Jajic, I. The medical and surgical treatment of finger clubbing and hypertrophic osteoarthropathy. A blind study with colchicine and a surgical approach to finger clubbing reduction. Clin. Exp. Rheumatol. 1992, 10, 67–70. [Google Scholar] [PubMed]







Disclaimer/Publisher’s Note: The statements, opinions and data contained in all publications are solely those of the individual author(s) and contributor(s) and not of MDPI and/or the editor(s). MDPI and/or the editor(s) disclaim responsibility for any injury to people or property resulting from any ideas, methods, instructions or products referred to in the content. |
© 2026 by the authors. Licensee MDPI, Basel, Switzerland. This article is an open access article distributed under the terms and conditions of the Creative Commons Attribution (CC BY) license.
Share and Cite
Stoian, M.; Dumitrescu, A.M.; Ciofu, C.; Gavrila, B. From Juvenile Idiopathic Arthritis to Pachydermoperiostosis: A Journey to an Unexpected Rare Diagnosis. J. Clin. Med. 2026, 15, 956. https://doi.org/10.3390/jcm15030956
Stoian M, Dumitrescu AM, Ciofu C, Gavrila B. From Juvenile Idiopathic Arthritis to Pachydermoperiostosis: A Journey to an Unexpected Rare Diagnosis. Journal of Clinical Medicine. 2026; 15(3):956. https://doi.org/10.3390/jcm15030956
Chicago/Turabian StyleStoian, Marilena, Ana Maria Dumitrescu, Claudia Ciofu, and Bogdan Gavrila. 2026. "From Juvenile Idiopathic Arthritis to Pachydermoperiostosis: A Journey to an Unexpected Rare Diagnosis" Journal of Clinical Medicine 15, no. 3: 956. https://doi.org/10.3390/jcm15030956
APA StyleStoian, M., Dumitrescu, A. M., Ciofu, C., & Gavrila, B. (2026). From Juvenile Idiopathic Arthritis to Pachydermoperiostosis: A Journey to an Unexpected Rare Diagnosis. Journal of Clinical Medicine, 15(3), 956. https://doi.org/10.3390/jcm15030956
