Exploring the Role of Skull Base Anatomy in Surgical Approach Selection and Endocrinological Outcomes in Craniopharyngiomas
Abstract
1. Introduction
2. Materials and Methods
2.1. Patients and Study Design
2.2. Data Collection
2.2.1. Surgical Approaches
- Endoscopic resection (ER), performed via a transnasal-sphenoidal corridor using a four-hand technique, including anterior sphenoidotomy and partial posterior nasal septectomy. Extended transsphenoidal approaches were employed when needed. Tumor removal involved the use of ring curettes, surgical aspirators, and sharp dissection. The osteo-dural defect was repaired using the 3F technique [13].
- Transcranial resection (TR) through a pterional craniotomy.
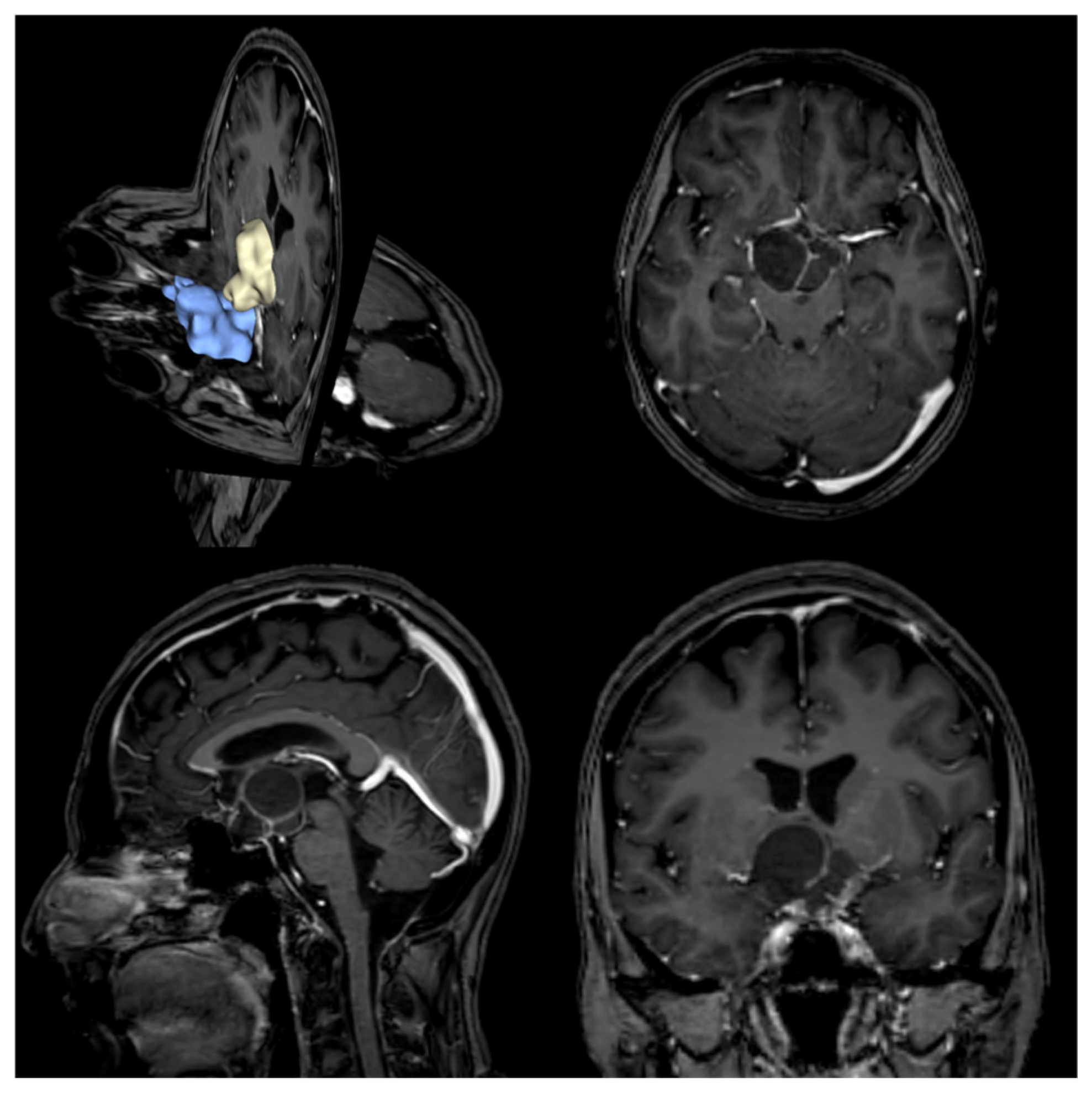
2.2.2. Imaging Study
- MRI imaging: Using a 3-Tesla Philips Achieva scanner (Philips Healthcare, Best, The Netherlands), 3D T1w (before and after gadolinium injection), FLAIR and T2w images were acquired.
- CT imaging: Acquired using a General Electric OPTIMA 660 scanner (GE Healthcare, Chicago, IL, USA), including a volumetric acquisition with bone window reconstruction.
2.3. Outcomes
2.3.1. Volumetric Analysis
2.3.2. Endocrinological Analysis
2.3.3. Statistical Analysis
- Frequencies were reported as a percentage and compared by chi-squared and Fisher exact tests according to sample size.
- The continuous normally distributed variables were reported as mean and compared through Student’s t-test or variance analyses.
- The continuous skewed distributed variables were reported as median and compared using the Mann–Whitney U-test.
3. Results
3.1. Volumetric Study
3.2. Endocrinological Outcome
4. Discussion
5. Conclusions
Author Contributions
Funding
Institutional Review Board Statement
Informed Consent Statement
Data Availability Statement
Acknowledgments
Conflicts of Interest
Abbreviations
| CP | Craniopharyngioma |
| HO | Hypothalamic obesity |
| DI | Diabetes insipidus |
| ROI | Region of interest |
| STL | Standard triangulation language |
| ER | Endoscopic resection |
| TR | Transcranial resection |
| MRI | Magnetic resonance imaging |
| CT | Computed tomography |
| STR | Subtotal resection |
| GTR | Gross total resection |
| ICD | Inter-carotid distance |
| IIIVCS | III ventriculostomy |
| EVD | External ventricular drainage |
| ITT | Insulin tolerance test |
| AUC | Area under the curve |
References
- Beckhaus, J.; Friedrich, C.; Boekhoff, S.; Calaminus, G.; Bison, B.; Eveslage, M.; Timmermann, B.; Flitsch, J.; Müller, H.L. Outcome after pediatric craniopharyngioma: The role of age at diagnosis and hypothalamic damage. Eur. J. Endocrinol. 2023, 188, 300–309. [Google Scholar] [CrossRef] [PubMed]
- Hu, W.; Qiu, B.; Mei, F.; Mao, J.; Zhou, L.; Liu, F.; Fan, J.; Liu, Y.; Wen, G.; Qi, S.; et al. Clinical impact of craniopharyngioma classification based on location origin: A multicenter retrospective study. Ann. Transl. Med. 2021, 9, 1164. [Google Scholar] [CrossRef] [PubMed]
- Diaz, M.J.; Kwak, S.H.; Root, K.T.; Fadil, A.; Nguyen, A.; Ladehoff, L.; Batchu, S.; Lucke-Wold, B. Current Approaches to Craniopharyngioma Management. Front. Biosci.-Landmark 2022, 27, 328. [Google Scholar] [CrossRef]
- Jensterle, M.; Jazbinsek, S.; Bosnjak, R.; Popovic, M.; Zaletel, L.Z.; Vesnaver, T.V.; Kotnik, B.F.; Kotnik, P. Advances in the management of craniopharyngioma in children and adults. Radiol. Oncol. 2019, 53, 388–396. [Google Scholar] [CrossRef]
- Müller, H.L.; Emser, A.; Faldum, A.; Bruhnken, G.; Etavard-Gorris, N.; Gebhardt, U.; Oeverink, R.; Kolb, R.; Sörensen, N. Longitudinal Study on Growth and Body Mass Index Before and After Diagnosis of Childhood Craniopharyngioma. J. Clin. Endocrinol. Metab. 2004, 89, 3298–3305. [Google Scholar] [CrossRef]
- Bogusz, A.; Boekhoff, S.; Warmuth-Metz, M.; Calaminus, G.; Eveslage, M.; Müller, H.L. Posterior hypothalamus-sparing surgery improves outcome after childhood craniopharyngioma. Endocr. Connect. 2019, 8, 481–492. [Google Scholar] [CrossRef]
- Iersel, L.V.; Brokke, K.E.; Adan, R.A.H.; Bulthuis, L.C.M.; van den Akker, E.L.T.; van Santen, H.M. Pathophysiology and Individualized Treatment of Hypothalamic Obesity Following Craniopharyngioma and Other Suprasellar Tumors: A Systematic Review. Endocr. Rev. 2018, 40, 193–235. [Google Scholar] [CrossRef]
- Castle-Kirszbaum, M.; Shi, M.D.Y.; Goldschlager, T. Quality of Life in Craniopharyngioma: A Systematic Review. World Neurosurg. 2022, 164, 424–435.e2. [Google Scholar] [CrossRef]
- Rachmasari, K.N.; Strauss, S.B.; Phillips, C.D.; Lantos, J.E.; An, A.; Cisse, B.; Ramakrishna, R.; Schwartz, T.H.; Dobri, G.A. Posterior hypothalamic involvement on pre-operative MRI predicts hypothalamic obesity in craniopharyngiomas. Pituitary 2023, 26, 105–114. [Google Scholar] [CrossRef]
- Gallotti, A.L.; Barzaghi, L.R.; Albano, L.; Medone, M.; Gagliardi, F.; Losa, M.; Mortini, P. Comparison between extended transsphenoidal and transcranial surgery for craniopharyngioma: Focus on hypothalamic function and obesity. Pituitary 2022, 25, 74–84. [Google Scholar] [CrossRef] [PubMed]
- Porto, E.; Fiore, G.; Casali, C.; Stanziano, M.; Broggi, M.; Bertani, G.A.; Marcus, H.J.; Locatelli, M.; DiMeco, F. Evolution of Surgical Approaches for Trigeminal Schwannomas: A Meta-Regression Analysis from Past to Present. J. Clin. Med. 2025, 14, 4488. [Google Scholar] [CrossRef]
- Fiore, G.; Porto, E.; Bertani, G.A.; Marcus, H.J.; Saladino, A.; Pradilla, G.; DiMeco, F.; Locatelli, M. The burden of skull base chordomas: Insights from a meta-analysis of observational studies. Neurosurg. Focus 2024, 56, E13. [Google Scholar] [CrossRef] [PubMed]
- Cavallo, L.M.; Solari, D.; Somma, T.; Cappabianca, P. The 3F (Fat, Flap, and Flash) Technique for Skull Base Reconstruction After Endoscopic Endonasal Suprasellar Approach. World Neurosurg. 2019, 126, 439–446. [Google Scholar] [CrossRef]
- Kim, J.W.; Phi, J.H.; Kim, S.K.; Kim, Y.H. Measurement of the intersiphon distance for normal skull base development and estimation of the surgical window for the endoscopic transtuberculum approach in children. J. Neurosurg. Pediatr. 2024, 33, 476–483. [Google Scholar] [CrossRef]
- Hägg, E.; Asplund, K.; Lithner, F. Value of Basal Plasma Cortisol Assays in the Assessment of Pituitary-Adrenal Insufficiency. Clin. Endocrinol. 1987, 26, 221–226. [Google Scholar] [CrossRef]
- Crowley, R.K.; Argese, N.; Tomlinson, J.W.; Stewart, P.M. Central Hypoadrenalism. J. Clin. Endocrinol. Metab. 2014, 99, 4027–4036. [Google Scholar] [CrossRef]
- Raverot, V.; Richet, C.; Morel, Y.; Raverot, G.; Borson-Chazot, F. Establishment of revised diagnostic cut-offs for adrenal laboratory investigation using the new Roche Diagnostics Elecsys® Cortisol II assay. Ann. d’Endocrinologie 2016, 77, 620–622. [Google Scholar] [CrossRef]
- Alexopoulou, O.; Beguin, C.; De Nayer, P.; Maiter, D. Clinical and hormonal characteristics of central hypothyroidism at diagnosis and during follow-up in adult patients. Eur. J. Endocrinol. 2004, 150, 1–8. [Google Scholar] [CrossRef] [PubMed]
- Fleseriu, M.; Hashim, I.A.; Karavitaki, N.; Melmed, S.; Murad, M.H.; Salvatori, R.; Samuels, M.H. Hormonal Replacement in Hypopituitarism in Adults: An Endocrine Society Clinical Practice Guideline. J. Clin. Endocrinol. Metab. 2016, 101, 3888–3921. [Google Scholar] [CrossRef]
- Iglesias, P. An Update on Advances in Hypopituitarism: Etiology, Diagnosis, and Current Management. J. Clin. Med. 2024, 13, 6161. [Google Scholar] [CrossRef] [PubMed]
- Mayoral, L.C.; Andrade, G.; Mayoral, E.C.; Huerta, T.H.; Canseco, S.P.; Canales, F.J.R.; Cabrera-Fuentes, H.A.; Cruz, M.M.; Santiago, A.D.P.; Alpuche, J.J.; et al. Obesity subtypes, related biomarkers & heterogeneity. Indian J. Med. Res. 2020, 151, 11–21. [Google Scholar] [CrossRef]
- Roth, C.L. Hypothalamic obesity in craniopharyngioma patients: Disturbed energy homeostasis related to extent of hypothalamic damage and its implication for obesity intervention. J. Clin. Med. 2015, 4, 1774–1797. [Google Scholar] [CrossRef]
- Fiore, G.; Bertani, G.A.; Carrabba, G.G.; Guastella, C.; Marfia, G.; Tariciotti, L.; Gribaudi, G.L.; Mantovani, G.; Di Cristofori, A.; Locatelli, M. The “Parachute” Technique for the Endoscopic Repair of High-Flow Anterior Skull-Base CSF Leaks. World Neurosurg. 2021, 151, e880–e887. [Google Scholar] [CrossRef]
- Kassam, A.B.; Gardner, P.A.; Snyderman, C.H.; Carrau, R.L.; Mintz, A.H.; Prevedello, D.M. Expanded endonasal approach, a fully endoscopic transnasal approach for the resection of midline suprasellar craniopharyngiomas: A new classification based on the infundibulum. J. Neurosurg. 2008, 108, 715–728. [Google Scholar] [CrossRef] [PubMed]
- Müller, H.L.; Tauber, M.; Lawson, E.A.; Özyurt, J.; Bison, B.; Martinez-Barbera, J.-P.; Puget, S.; Merchant, T.E.; van Santen, H.M. Hypothalamic syndrome. Nat. Rev. Dis. Primers 2022, 8, 24. [Google Scholar] [CrossRef]
- D’Avella, E.; Vitulli, F.; Berardinelli, J.; Cinalli, G.; Solari, D.; Cappabianca, P.; Cavallo, L.M. Systematic review of transcranial and endoscopic endonasal approaches for craniopharyngiomas in children: Is there an evolution? J. Neurosurg. Pediatr. 2024, 33, 73–84. [Google Scholar] [CrossRef]
- Alli, S.; Isik, S.; Rutka, J.T. Microsurgical removal of craniopharyngioma: Endoscopic and transcranial techniques for complication avoidance. J. Neurooncol. 2016, 130, 299–307. [Google Scholar] [CrossRef]
- Mortini, P.; Losa, M.; Pozzobon, G.; Barzaghi, R.; Riva, M.; Acerno, S.; Angius, D.; Weber, G.; Chiumello, G.; Giovanelli, M. Neurosurgical treatment of craniopharyngioma in adults and children: Early and long-term results in a large case series—Clinical article. J. Neurosurg. 2011, 114, 1350–1359. [Google Scholar] [CrossRef]
- Cao, L.; Li, C.; Li, C.; Zhao, P.; Bai, J.; Wang, X.; Zhang, Y.; Gui, S. Approach selection and outcomes of craniopharyngioma resection: A single-institute study. Neurosurg. Rev. 2021, 44, 1737–1746. [Google Scholar] [CrossRef]
- Li, S.; Ye, Y.; Nie, C.; Huang, X.; Yan, K.; Zhang, F.; Jiang, X.; Wang, H. Endoscopic endonasal transsphenoidal approach improves endocrine function and surgical outcome in primary craniopharyngioma resection: A systematic review and meta-analysis. World J. Surg. Oncol. 2024, 22, 137. [Google Scholar] [CrossRef] [PubMed]
- Li, Y.; Xiao, Y.; Wu, W.; Jin, L.; Jia, Y.; Cai, K.; Qiao, N.; Cao, L.; Gui, S. Effects of Craniotomy and Endoscopic Endonasal Transsphenoidal Surgery on Bodyweight in Adult-Onset Craniopharyngioma: A Single-Center Retrospective Study. J. Clin. Med. 2023, 12, 1578. [Google Scholar] [CrossRef]
- Giotta Lucifero, A.; Fernandez-Miranda, J.C.; Nunez, M.; Bruno, N.; Tartaglia, N.; Ambrosi, A.; Marseglia, G.L.; Galzio, R.; Luzzi, S. The Modular Concept in Skull Base Surgery: Anatomical Basis of the Median, Paramedian and Lateral Corridors. Acta Biomed. Atenei Parm. 2021, 92, e2021411. [Google Scholar] [CrossRef]
- de Notaris, M.; Toma, S.; De Simone, M.; Carbone, F.; Leone, A.; Corrivetti, F.; Trandzhiev, M.; Laleva, L.; Iaconetta, G. Photogrammetry and Videogrammetry 3D Scanning Algorithm in Endoscopic Endonasal Pituitary Surgery: Anatomy Laboratory Investigation and Intraoperative Application. Oper. Neurosurg. 2025; Online ahead of print. [Google Scholar] [CrossRef]
- Gopalakrishnan, A.; Ganesan, S.; Ramesh, A.S.; Ramesh, A.; Penubarathi, L.K.; Raja, K.; Lakshmanan, J.; Khushwaha, A.; Kaushal, K.; Alexander, A. Do Anatomical Variations of Sphenoid Sinus Influence Sella Exposure and Residual Disease in Pituitary Surgery?—A Study in an Indian Population. Int. Arch. Otorhinolaryngol. 2024, 28, e643–e649. [Google Scholar] [CrossRef]
- Kuptsov, A.; Abarca-Olivas, J.; Monjas-Cánovas, I.; Argüello-Gordillo, T.; Picó-Alfonso, A.; Sánchez-Payá, J.; Nieto-Navarro, J.A. Anatomical-Radiological Aspects and Their Influence on the Results of Pituitary Adenomas Endoscopic Endonasal Surgery. J. Neurol. Surg. Part B Skull Base 2024, 85, 501–508. [Google Scholar] [CrossRef]
- Grewal, M.R.; Spielman, D.B.; Safi, C.; Overdevest, J.B.; Otten, M.; Bruce, J.; Gudis, D.A. Gross Total Versus Subtotal Surgical Resection in the Management of Craniopharyngiomas. Allergy Rhinol. 2020, 11, 215265672096415. [Google Scholar] [CrossRef]
- Yu, S.; Taghvaei, M.; Reyes, M.; Collopy, S.; Piper, K.; Karsy, M.; Prashant, G.N.; Kshettry, V.R.; Rosen, M.R.; Farrell, C.J.; et al. Evolution of Surgical Outcomes in Endoscopic Endonasal Resection of Craniopharyngiomas. J. Neurol. Surg. Part B Skull Base 2022, 84, 375–383. [Google Scholar] [CrossRef]
- Wang, J.; Wang, G.; Cheng, L.; Zhu, H.; Wang, J.; Ding, X.; Niu, H.; Zhao, K.; Shu, K. Preoperative peripheral inflammatory markers are predictors of postoperative central diabetes insipidus in craniopharyngioma patients: A retrospective study. BMC Cancer 2024, 24, 572. [Google Scholar] [CrossRef]
- Yuen, K.C.J.; Kołtowska-Häggström, M.; Cook, D.M.; Fox, J.L.; Jönsson, P.J.; Geffner, M.E.; Abs, R. Primary Treatment Regimen and Diabetes Insipidus as Predictors of Health Outcomes in Adults with Childhood-Onset Craniopharyngioma. J. Clin. Endocrinol. Metab. 2014, 99, 1227–1235. [Google Scholar] [CrossRef]
- Andereggen, L.; Hess, B.; Andres, R.; El-Koussy, M.; Mariani, L.; Raabe, A.; Seiler, R.W.; Christ, E. A ten-year follow-up study of treatment outcome of craniopharyngiomas. Swiss Med. Wkly. 2018, 148, w14521. [Google Scholar] [CrossRef] [PubMed]
- Neudorfer, C.; Germann, J.; Elias, G.J.B.; Gramer, R.; Boutet, A.; Lozano, A.M. A high-resolution in vivo magnetic resonance imaging atlas of the human hypothalamic region. Sci. Data 2020, 7, 305. [Google Scholar] [CrossRef]





| Sex | Age | Follow-up Time | Type of Surgery | Previous Procedures | Subsequent Procedures | After Surgery Complications | |
|---|---|---|---|---|---|---|---|
| 1 | M | 16 | 235 | TR | Cyst stereotactic puncture, Ventricular shunt | ||
| 2 | M | 20 | 218 | TR | Cyst stereotactic puncture | Ventricular shunt | Hemorrhage |
| 3 | F | 49 | 72 | ER | |||
| 4 | F | 67 | 97 | ER | Radiosurgery | CSF leak | |
| 5 | M | 54 | 24 | TR | Radiosurgery | Recurrence | |
| 6 | M | 63 | 62 | ER | |||
| 7 | M | 45 | 37 | TR | Ventricular shunt | Radiosurgery | |
| 8 | F | 41 | 26 | ER | CSF leak | ||
| 9 | F | 46 | 18 | ER | |||
| 10 | F | 51 | 23 | ER | |||
| 11 | M | 29 | 13 | ER | Infection without CSF leak | ||
| 12 | F | 58 | 12 | ER | Endoscopic cyst puncture | ||
| 13 | F | 47 | 12 | ER | Infection without CSF leak | ||
| 14 | F | 41 | 12 | ER | CSF leak |
| Kassam | Tumor Volume | Sphenoid Sinus Volume | Inter-Carotid Distance | Osteotomy Area | Extent of Resection | |
|---|---|---|---|---|---|---|
| 1 | 1 | 12,463 | 5424 | 14.94 | - | GTR |
| 2 | 1 | 1043 | 9989 | 16.98 | - | GTR |
| 3 | 3a | 5408 | 11,086 | 14.18 | 87.38 | GTR |
| 4 | 3b | 7562 | 10,845 | 18.58 | 76.64 | STR |
| 5 | 3a | 5143 | 7926 | 13.63 | - | STR |
| 6 | 3a | 6162 | 12,983 | 12.48 | 130.65 | GTR |
| 7 | 3b | 13,887 | 10,300 | 11.42 | - | STR |
| 8 | 3b | 8054 | 14,021 | 13.13 | 88.80 | GTR |
| 9 | 1 | 1429 | 9500 | 15.81 | 102.86 | GTR |
| 10 | 3a | 15,218 | 12,318 | 15.52 | 149.70 | GTR |
| 11 | 3b | 21,345 | 10,533 | 13.31 | 150.38 | GTR |
| 12 | 3b | 3941 | 14,519 | 14.45 | 103.39 | GTR |
| 13 | 2 | 1047 | 10,870 | 14.79 | 105.31 | GTR |
| 14 | 3a | 6055 | 6822 | 13.31 | 101.62 | GTR |
| 7768.36 | 10,509.71 | 14.47 | 109.67 |
| H.adren Preoperative | TSHdef Preoperative | H.gonad Preoperative | ID Preoperative | H.adren Early Postoperative | TSHdef Early Postoperative | H.gonad Early Postoperative | ID Early Postoperative | H.adren Last Follow-Up | TSHdef Last Follow-Up | H.gonad Last Follow-Up | ID Last Follow-Up | |
|---|---|---|---|---|---|---|---|---|---|---|---|---|
| 1 | 0 | 0 | 0 | 0 | 1 | 1 | 1 | 1 | 1 | 1 | 1 | 1 |
| 2 | 0 | 0 | 0 | 1 | 1 | 1 | 1 | 1 | 1 | 1 | 1 | 1 |
| 3 | 0 | 0 | 0 | 0 | 1 | 1 | 0 | 1 | 0 | 1 | 0 | 0 |
| 4 | 0 | 0 | 0 | 0 | 1 | 1 | 1 | 1 | 1 | 1 | 1 | 1 |
| 5 | 0 | 0 | 0 | 0 | 0 | 0 | 0 | 0 | 1 | 1 | 1 | 1 |
| 6 | 0 | 0 | 0 | 0 | 1 | 1 | 1 | 0 | 1 | 1 | 1 | 0 |
| 7 | 0 | 0 | 0 | 0 | 0 | 1 | 1 | 1 | 0 | 1 | 1 | 1 |
| 8 | 0 | 0 | 0 | 0 | 1 | 1 | 1 | 1 | 1 | 1 | 1 | 1 |
| 9 | 0 | 0 | 0 | 0 | 1 | 0 | 0 | 0 | 1 | 0 | 0 | 0 |
| 10 | 0 | 0 | 0 | 0 | 1 | 1 | 1 | 1 | 1 | 1 | 1 | 1 |
| 11 | 1 | 1 | 1 | 1 | 1 | 1 | 1 | 1 | 1 | 1 | 1 | 1 |
| 12 | 0 | 0 | 0 | 0 | 1 | 1 | 0 | 1 | 1 | 1 | 0 | 1 |
| 13 | 0 | 0 | 0 | 1 | 1 | 1 | 0 | 1 | 1 | 1 | 0 | 1 |
| 14 | 0 | 0 | 0 | 0 | 1 | 0 | 0 | 0 | 1 | 0 | 0 | 0 |
| 1 | 1 | 1 | 3 | 12 | 11 | 8 | 10 | 12 | 12 | 9 | 10 |
| BMI 1 | BMI 2 | BMI 3 | BMI Max | BMI Max Variation | |
|---|---|---|---|---|---|
| 1 | 17.50 | 21.50 | 22.70 | 22.70 | 29.71% |
| 2 | 20.00 | 24.20 | 22.50 | 24.20 | 21.00% |
| 3 | 22.40 | 24.00 | 23.90 | 24.00 | 7.14% |
| 4 | 20.10 | 21.50 | 21.00 | 21.50 | 6.97% |
| 5 | 22.90 | 24.20 | 24.00 | 24.20 | 5.68% |
| 6 | 26.10 | 28.40 | 31.40 | 31.40 | 20.31% |
| 7 | 23.70 | 25.40 | 28.60 | 28.60 | 20.68% |
| 8 | 24.20 | 34.00 | 38.00 | 38.00 | 57.02% |
| 9 | 24.20 | 24.50 | 26.00 | 26.00 | 7.44% |
| 10 | 20.70 | 30.00 | 35.30 | 35.30 | 70.53% |
| 11 | 26.00 | 26.90 | 29.10 | 29.10 | 11.92% |
| 12 | 20.40 | 21.90 | 21.80 | 21.90 | 7.35% |
| 13 | 20.80 | 29.80 | 29.90 | 29.90 | 43.75% |
| 14 | 24.50 | 28.30 | 28.00 | 28.30 | 15.51% |
| 22.39 | 26.04 | 27.30 | 27.51 |
Disclaimer/Publisher’s Note: The statements, opinions and data contained in all publications are solely those of the individual author(s) and contributor(s) and not of MDPI and/or the editor(s). MDPI and/or the editor(s) disclaim responsibility for any injury to people or property resulting from any ideas, methods, instructions or products referred to in the content. |
© 2026 by the authors. Licensee MDPI, Basel, Switzerland. This article is an open access article distributed under the terms and conditions of the Creative Commons Attribution (CC BY) license.
Share and Cite
Tozzi, A.; Fiore, G.; Sala, E.; Bertani, G.A.; Borsa, S.; Carnicelli, I.; Ferrante, E.; Platania, G.; Mantovani, G.; Locatelli, M. Exploring the Role of Skull Base Anatomy in Surgical Approach Selection and Endocrinological Outcomes in Craniopharyngiomas. J. Clin. Med. 2026, 15, 896. https://doi.org/10.3390/jcm15020896
Tozzi A, Fiore G, Sala E, Bertani GA, Borsa S, Carnicelli I, Ferrante E, Platania G, Mantovani G, Locatelli M. Exploring the Role of Skull Base Anatomy in Surgical Approach Selection and Endocrinological Outcomes in Craniopharyngiomas. Journal of Clinical Medicine. 2026; 15(2):896. https://doi.org/10.3390/jcm15020896
Chicago/Turabian StyleTozzi, Alessandro, Giorgio Fiore, Elisa Sala, Giulio Andrea Bertani, Stefano Borsa, Ilaria Carnicelli, Emanuele Ferrante, Giulia Platania, Giovanna Mantovani, and Marco Locatelli. 2026. "Exploring the Role of Skull Base Anatomy in Surgical Approach Selection and Endocrinological Outcomes in Craniopharyngiomas" Journal of Clinical Medicine 15, no. 2: 896. https://doi.org/10.3390/jcm15020896
APA StyleTozzi, A., Fiore, G., Sala, E., Bertani, G. A., Borsa, S., Carnicelli, I., Ferrante, E., Platania, G., Mantovani, G., & Locatelli, M. (2026). Exploring the Role of Skull Base Anatomy in Surgical Approach Selection and Endocrinological Outcomes in Craniopharyngiomas. Journal of Clinical Medicine, 15(2), 896. https://doi.org/10.3390/jcm15020896

