Management of Surgical Complications in Pediatric Kidney Transplantation
Abstract
1. Introduction
2. Methods
3. Vascular Complications
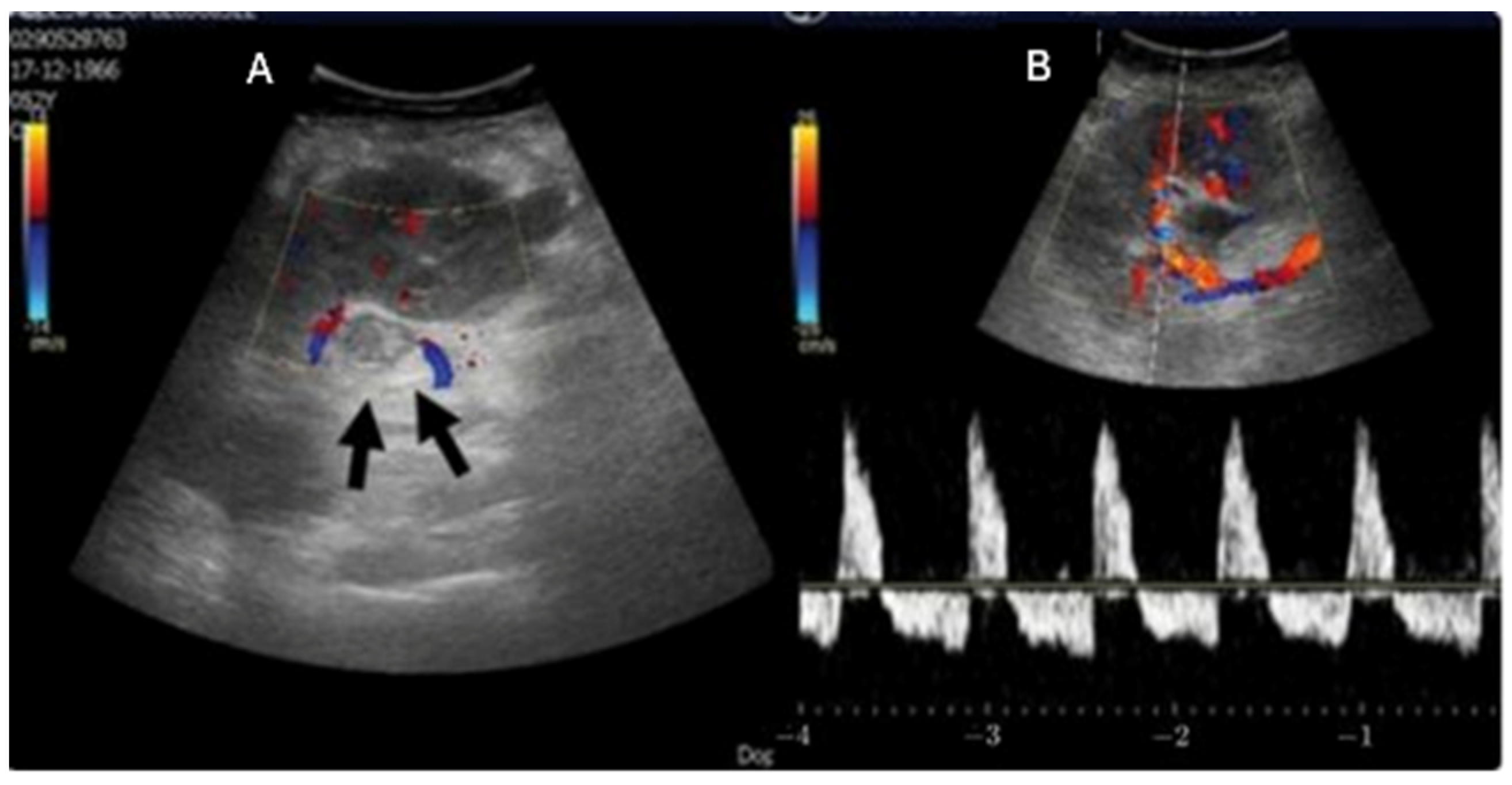
3.1. Vascular Stenosis
Arterial Stenosis
3.2. Vascular Thrombosis
3.2.1. Venous Thrombosis
3.2.2. Arterial Thrombosis
3.2.3. Thromboprophylaxis
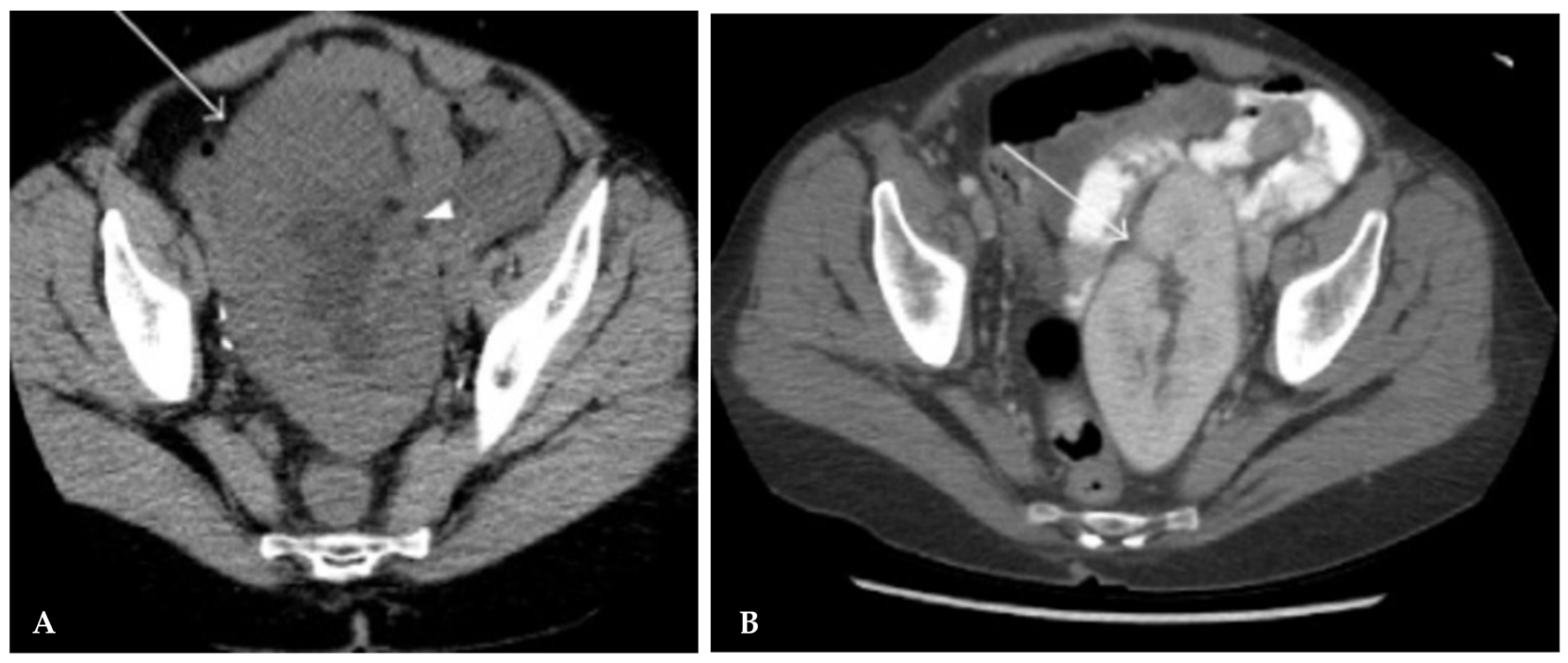
3.3. Arterial Aneurysm
4. Urologic Complications
4.1. Vesicoureteral Reflux
4.2. Ureteral Obstruction
4.2.1. Ureteral Stenosis
4.2.2. Ureteral Stenosis Due to BK Infection
4.3. Urinary Leak
5. Surgical Site Infections
6. Lymphocele
7. Postoperative Bleeding
8. Abdominal Compartment Syndrome and Renal Allograft Compartment Syndrome
9. Renal Allograft Torsion
10. Discussion
11. Conclusions and Future Perspectives
Author Contributions
Funding
Institutional Review Board Statement
Informed Consent Statement
Data Availability Statement
Conflicts of Interest
Abbreviations
| ACS | Abdominal compartment syndrome |
| ASA | Acetylsalicylic acid |
| BK | Polyomavirus BK |
| BMI | Body mass index |
| CMV | Cytomegalovirus |
| CT | Computed tomography |
| CVP | Central venous pressure |
| ESRD | End stage renal disease |
| IAP | Intra-abdominal pressure |
| MR | Magnetic Resonance |
| OPTN | Organ Procurement and Transplantation Network |
| RACS | Renal allograft compartment syndrome |
| SSI | Surgical site infection |
| UTI | Urinary tract infection |
| VT | Vascular thrombosis |
| VUR | Vesicoureteral reflux |
References
- Önal, H.G.; Önal, M.; Nalçacioğlu, H.; Karali, D.T. Growth and puberty development in pediatric chronic kidney disease patients: Role of dialysis and transplantation. Medicine 2025, 104, e42159. [Google Scholar] [CrossRef]
- Mehrabi, A.; Golriz, M.; Khajeh, E.; Ghamarnejad, O.; Kulu, Y.; Wiesel, M.; Müller, T.; Majlesara, A.; Schmitt, C.; Tönshoff, B. Surgical outcomes after pediatric kidney transplantation at the University of Heidelberg. J. Pediatr. Urol. 2019, 15, 221.e1–221.e8. [Google Scholar] [CrossRef]
- Dharnidharka, V.R.; Fiorina, P.; Harmon, W.E. Kidney Transplantation in Children. N. Engl. J. Med. 2014, 371, 549–558. [Google Scholar] [CrossRef]
- Laskin, B.L.; Mitsnefes, M.M.; Dahhou, M.; Zhang, X.; Foster, B.J. The mortality risk with graft function has decreased among children receiving a first kidney transplant in the United States. Kidney Int. 2015, 87, 575–583. [Google Scholar] [CrossRef] [PubMed]
- Amaral, S.; Sayed, B.A.; Kutner, N.; Patzer, R.E. Preemptive kidney transplantation is associated with survival benefits among pediatric patients with end-stage renal disease. Kidney Int. 2016, 90, 1100–1108. [Google Scholar] [CrossRef] [PubMed]
- Lemoine, C.P.; Pozo, M.E.; Superina, R.A. Overview of pediatric kidney transplantation. Semin. Pediatr. Surg. 2022, 31, 151194. [Google Scholar] [CrossRef]
- Cho, M.H. Pediatric kidney transplantation is different from adult kidney transplantation. Korean J. Pediatr. 2018, 61, 205–209. [Google Scholar] [CrossRef]
- Gerzina, E.A.; Brewer, E.D.; Guhan, M.; Geha, J.D.; Huynh, A.P.; O’Conor, D.; Thorsen, A.C.; Tan, G.C.; Bhakta, K.; Hosek, K.; et al. Good outcomes after pediatric intraperitoneal kidney transplant. Pediatr. Transplant. 26, e14294. [CrossRef] [PubMed]
- Organ Procurement & Transplantation Network (OPTN). Transplants in the U.S. by Recipient Age. 31 August 2025. Available online: https://optn.transplant.hrsa.gov/data/view-data-reports/national-data/# (accessed on 9 September 2025).
- Torricelli, F.C.M.; Watanabe, A.; Piovesan, A.C.; Antonopoulos, I.M.; David-Neto, E.; Nahas, W.C. Urological complications, vesicoureteral reflux, and long-term graft survival rate after pediatric kidney transplantation. Pediatr. Transplant. 2015, 19, 844–848. [Google Scholar] [CrossRef]
- Muramatsu, M.; Mizutani, T.; Hamasaki, Y.; Takahashi, Y.; Itabashi, Y.; Kubota, M.; Hashimoto, J.; Oguchi, H.; Sakurabayashi, K.; Hyodo, Y.; et al. Transplantation of adult-size kidneys in small pediatric recipients: A single-center experience. Pediatr. Transplant. 2019, 23, e13401. [Google Scholar] [CrossRef]
- U.S. Department of Health and Human Services, Health Resources and Services Administration. Organ Procurement and Transplantation Network (OPTN) and Scientific Registry of Transplant Recipients (SRTR). OPTN/SRTR 2023 Annual Data Report 2025. Available online: https://srtr.transplant.hrsa.gov/annualdatareports (accessed on 9 September 2025).
- Beetz, O.; Weigle, C.A.; Nogly, R.; Klempnauer, J.; Pape, L.; Richter, N.; Vondran, F.W.R. Surgical complications in pediatric kidney transplantation—Incidence, risk factors, and effects on graft survival: A retrospective single-center study. Pediatr. Transplant. 2020, 25, e13871. [Google Scholar] [CrossRef]
- Irtan, S.; Maisin, A.; Baudouin, V.; Nivoche, Y.; Azoulay, R.; Jacqz-Aigrain, E.; El Ghoneimi, A.; Aigrain, Y. Renal transplantation in children: Critical analysis of age related surgical complications. Pediatr. Transplant. 2010, 14, 512–519. [Google Scholar] [CrossRef]
- Chiodini, B.; Herman, J.; Lolin, K.; Adams, B.; Hennaut, E.; Lingier, P.; Mikhalski, D.; Schurmans, T.; Knops, N.; Wissing, K.M.; et al. Outcomes of kidney transplantations in children weighing 15 kilograms or less: A retrospective cohort study. Transpl. Int. 2018, 31, 720–728. [Google Scholar] [CrossRef]
- Campbell, P.; Ingulli, E.; Christman, M.; Marietti, S. Revision ureteroneocystostomy in pediatric renal transplant patients for symptomatic vesicoureteral reflux and its effect on recurrent hospitalizations. J. Pediatr. Urol. 2022, 18, 675.e1–675.e7. [Google Scholar] [CrossRef] [PubMed]
- Salvatierra, O.; Millan, M.; Concepcion, W. Pediatric renal transplantation with considerations for successful outcomes. Semin. Pediatr. Surg. 2006, 15, 208–217. [Google Scholar] [CrossRef]
- Oomen, L.; Bootsma-Robroeks, C.; Cornelissen, E.; de Wall, L.; Feitz, W. Pearls and Pitfalls in Pediatric Kidney Transplantation After 5 Decades. Front. Pediatr. 2022, 10, 856630. [Google Scholar] [CrossRef] [PubMed]
- Baethge, C.; Goldbeck-Wood, S.; Mertens, S. SANRA—A scale for the quality assessment of narrative review articles. Res. Integr. Peer Rev. 2019, 4, 5. [Google Scholar] [CrossRef]
- Gander, R.; Asensio, M.; Royo, G.F.; Molino, J.A.; García, L.; Madrid, A.; Ariceta, G.; Lopez, M. Vascular thrombosis in pediatric kidney transplantation: Graft survival is possible with adequate management. J. Pediatr. Urol. 2018, 14, 222–230. [Google Scholar] [CrossRef]
- Dimitroulis, D.; Bokos, J.; Zavos, G.; Nikiteas, N.; Karidis, N.; Katsaronis, P.; Kostakis, A. Vascular Complications in Renal Transplantation: A Single-Center Experience in 1367 Renal Transplantations and Review of the Literature. Transplant. Proc. 2009, 41, 1609–1614. [Google Scholar] [CrossRef] [PubMed]
- Pini, A.; Faggioli, G.; Pini, R.; Mauro, R.; Gallitto, E.; Mascoli, C.; Grandinetti, V.; Donati, G.; Odaldi, F.; Ravaioli, M.; et al. Assessment and Management of Transplant Renal Artery Stenosis. A Literature Review. Ann. Vasc. Surg. 2022, 82, 13–29. [Google Scholar] [CrossRef]
- Ghirardo, G.; De Franceschi, M.; Vidal, E.; Vidoni, A.; Ramondo, G.; Benetti, E.; Motta, R.; Ferraro, A.; Zanon, G.F.; Miotto, D.; et al. Transplant renal artery stenosis in children: Risk factors and outcome after endovascular treatment. Pediatr. Nephrol. 2014, 29, 461–467. [Google Scholar] [CrossRef]
- Franke, D. The diagnostic value of Doppler ultrasonography after pediatric kidney transplantation. Pediatr. Nephrol. 2022, 37, 1511–1522. [Google Scholar] [CrossRef]
- Faba, O.R.; Boissier, R.; Budde, K.; Figueiredo, A.; Taylor, C.F.; Hevia, V.; García, E.L.; Regele, H.; Zakri, R.H.; Olsburgh, J.; et al. European Association of Urology Guidelines on Renal Transplantation: Update 2018. Eur. Urol. Focus 2018, 4, 208–215. [Google Scholar] [CrossRef]
- Dimitrijeva, B.S.; Djukic, M.; Gojkovic, I.; Nikolovski, S.S.; Sagic, D.; Pavicevic, P.; Radovic, T.; Vasic, D.; Radmili, O.; Stefanovic, I.; et al. Diagnosis and Endovascular Management of Transplant Renal Artery Stenosis: A Retrospective Two-Decade Study. Cureus 2025, 17, e80393. [Google Scholar] [CrossRef]
- Peregrin, J.H.; Vedlich, D.; Viklický, O. Kidney transplant artery and vein stenting: 15-year follow-up. CVIR Endovasc. 2024, 7, 70. [Google Scholar] [CrossRef] [PubMed]
- Al-Huniti, A.H.; Malcolmson, C.; Langlois, V.; McKay, A.M.; Lorenzo, A.; Wang, Z.; Williams, S.; Teoh, C.W.; Brandão, L.R. Benefits of anticoagulation prophylaxis in children undergoing kidney transplant: Systematic review and meta-analysis. J. Thromb. Haemost. 2025, 23, 2568–2583. [Google Scholar] [CrossRef] [PubMed]
- Amesty, M.V.; Fernandez, C.; Espinosa, L.; Rivas-Vila, S.; Lobato, R.; Monsalve, S.; Lopez-Pereira, P.C.; Martinez-Urrutia, M.J. Long-term outcomes of adult-size and size-matched kidney transplants in small pediatric recipients. J. Pediatr. Urol. 2020, 16, 481.e1–481.e8. [Google Scholar] [CrossRef] [PubMed]
- Cambou, L.; Millet, C.; Terrier, N.; Malvezzi, P.; Timsit, M.-O.; Anglicheau, D.; Badet, L.; Morelon, E.; Prudhomme, T.; Kamar, N.; et al. Management and Outcome After Early Renal Transplant Vein Thrombosis: A French Multicentre Observational Study of Real-Life Practice Over 24 Years. Transpl. Int. 2023, 36, 10556. [Google Scholar] [CrossRef]
- Santos, J.E.; Gaspar, A.; Querido, S.; Jorge, C.; Weigert, A.; Gabriel, H.M.; Martinho, A.; Machado, D. Unexpected success in early post-transplantation renal vein thrombosis: A case report and literature review. Clin. Nephrol. Case Stud. 2021, 9, 19–25. [Google Scholar] [CrossRef]
- Ho, C.E.R.H.; So, W.Z.; Wong, J.; Tiong, H.Y. Successful repair of transplant renal artery aneurysm (TRAA). BMC Urol. 2023, 23, 129. [Google Scholar] [CrossRef]
- Maritati, F.; Pini, R.; Comai, G.; Bini, C.; Corradetti, V.; Mattiotti, M.; Ravaioli, M.; Pini, A.; La Manna, G.; Gargiulo, M. Anastomotic Pseudoaneurysm in Kidney Transplant: A Challenging Management for a Rare Entity. J. Endovasc. Ther. 2024, 31, 140–145. [Google Scholar] [CrossRef]
- Whang, M.; Benson, M.; Salama, G.; Geffner, S.; Sun, H.; Aitchison, S.; Mulgaonkar, S. Urologic Complications in 4000 Kidney Transplants Performed at the Saint Barnabas Health Care System. Transplant. Proc. 2020, 52, 186–190. [Google Scholar] [CrossRef]
- Smith, K.M.; Windsperger, A.; Alanee, S.; Humar, A.; Kashtan, C.; Shukla, A.R. Risk Factors and Treatment Success for Ureteral Obstruction After Pediatric Renal Transplantation. J. Urol. 2010, 183, 317–322. [Google Scholar] [CrossRef]
- Rossi, V.; Torino, G.; Nappo, S.G.; Mele, E.; Innocenzi, M.; Mattioli, G.; Capozza, N. Urological complications following kidney transplantation in pediatric age: A single-center experience. Pediatr. Transplant. 2016, 20, 485–491. [Google Scholar] [CrossRef] [PubMed]
- Zirngibl, M.; Buder, K.; Luithle, T.; Tönshoff, B.; Weitz, M.; Members of the “Transplantation Working Group” of the European Society for Paediatric Nephrology (ESPN). Diagnostic and therapeutic management of vesico-ureteral reflux in pediatric kidney transplantation—Results of an online survey on behalf of the European Society for Paediatric Nephrology. Pediatr. Transplant. 2022, 27, e14449. [Google Scholar] [CrossRef] [PubMed]
- Dharnidharka, V.R.; Araya, C.E.; Wadsworth, C.S.; McKinney, M.C.; Howard, R.J. Assessing the Value of Ureteral Stent Placement in Pediatric Kidney Transplant Recipients. Transplantation 2008, 85, 986–991. [Google Scholar] [CrossRef]
- Hashim, F.; Rehman, S.; Gregg, J.A.; Dharnidharka, V.R. Ureteral Stent Placement Increases the Risk for Developing BK Viremia after Kidney Transplantation. J. Transplant. 2014, 2014, 459747. [Google Scholar] [CrossRef] [PubMed]
- Routh, J.C.; Yu, R.N.; Kozinn, S.I.; Nguyen, H.T.; Borer, J.G. Urological Complications and Vesicoureteral Reflux Following Pediatric Kidney Transplantation. J. Urol. 2013, 189, 1071–1076. [Google Scholar] [CrossRef]
- Haberal, H.B.; Marco, B.B.; Donmez, M.I.; Pecoraro, A.; Piana, A.; Prudhomme, T.; López-Abad, A.; Breda, A.; Territo, A.; The EAU Young Academic Urologists (YAU) Kidney Transplantation Working Group. A Systematic Review of Outcomes of Redo Ureteroneocystostomy Subsequent to Kidney Transplantation in Pediatric Recipients. Int. J. Urol. 2025, 32, 1379–1385. [Google Scholar] [CrossRef]
- Sheth, K.; White, J.; Stanasel, I.; Janzen, N.; Mittal, A.; Koh, C.; Austin, P.; Roth, D.; Tu, D.; Gonzales, E.; et al. Comparing treatment modalities for transplant kidney vesicoureteral reflux in the pediatric population. J. Pediatr. Urol. 2018, 14, 554.e1–554.e6. [Google Scholar] [CrossRef]
- Deininger, S.; Nadalin, S.; Amend, B.; Guthoff, M.; Heyne, N.; Königsrainer, A.; Strohäker, J.; Stenzl, A.; Rausch, S. Minimal-invasive management of urological complications after kidney transplantation. Int. Urol. Nephrol. 2021, 53, 1267–1277. [Google Scholar] [CrossRef] [PubMed]
- Hedegard, W.; Saad, W.E.; Davies, M.G. Management of Vascular and Nonvascular Complications After Renal Transplantation. Tech. Vasc. Interv. Radiol. 2009, 12, 240–262. [Google Scholar] [CrossRef] [PubMed]
- van Aalderen, M.C.; Heutinck, K.M.; Huisman, C.; ten Berge, I.J. BK virus infection in transplant recipients: Clinical manifestations, treatment options and the immune response. Neth. J. Med. 2014, 70, 172–183. [Google Scholar]
- Sangermano, M.; Montagnani, E.; Vigezzi, S.; Moi, M.; Morlacco, A.; Partigiani, N.B.; Benetti, E. Evaluation and Management of Urological Complications Following Pediatric Kidney Transplantation: Experience from a Single Tertiary Center. Medicina 2024, 60, 1754. [Google Scholar] [CrossRef]
- Kwon, Y.; Kim, J.Y.; Lee, Y.; Cho, H. Clinical manifestations of BK virus infection in pediatric kidney transplant patients. Korean J. Pediatr. 2019, 62, 422–427. [Google Scholar] [CrossRef]
- Rajpoot, D.K.; Gomez, A.; Tsang, W.; Shanberg, A. Ureteric and urethral stenosis: A complication of BK virus infection in a pediatric renal transplant patient. Pediatr. Transplant. 2007, 11, 433–435. [Google Scholar] [CrossRef]
- Buttigieg, J.; Agius-Anastasi, A.; Sharma, A.; Halawa, A. Early urological complications after kidney transplantation: An overview. World J. Transplant. 2018, 8, 142–149. [Google Scholar] [CrossRef]
- Knackstedt, E.D.; Danziger-Isakov, L. Infections in pediatric solid-organ transplant recipients. Semin. Pediatr. Surg. 2017, 26, 199–205. [Google Scholar] [CrossRef]
- Schreiber, P.W.; Hoessly, L.D.; Boggian, K.; Neofytos, D.; van Delden, C.; Egli, A.; Dickenmann, M.; Hirzel, C.; Manuel, O.; Koller, M.; et al. Surgical site infections after kidney transplantation are independently associated with graft loss. Am. J. Transplant. 2023, 24, 795–802. [Google Scholar] [CrossRef]
- Abbo, L.M.; Grossi, P.A.; The AST ID Community of Practice. Surgical site infections: Guidelines from the American Society of Transplantation Infectious Diseases Community of Practice. Clin. Transplant. 2019, 33, e13589. [Google Scholar] [CrossRef]
- Hachem, L.D.; Ghanekar, A.; Selzner, M.; Famure, O.; Li, Y.; Kim, S.J. Postoperative surgical-site hemorrhage after kidney transplantation: Incidence, risk factors, and outcomes. Transpl. Int. 2017, 30, 474–483. [Google Scholar] [CrossRef]
- Giuliani, S.; Gamba, P.; Kiblawi, R.; Midrio, P.; Ghirardo, G.; Zanon, G.F. Lymphocele after pediatric kidney transplantation: Incidence and risk factors. Pediatr. Transplant. 2014, 18, 720–725. [Google Scholar] [CrossRef]
- Fontana, I.; Bertocchi, M.; Centanaro, M.; Varotti, G.; Santori, G.; Mondello, R.; Tagliamacco, A.; Cupo, P.; Barabani, C.; Palombo, D. Abdominal Compartment Syndrome: An Underrated Complication in Pediatric Kidney Transplantation. Transplant. Proc. 2014, 46, 2251–2253. [Google Scholar] [CrossRef]
- Maione, C.; Gambino, G.; Di Bona, A.; Luna, E.; Turco, D.; Scio, A.; Damiano, G.; Virzì, C.; Gioviale, M.; Buscemi, G.; et al. PTFE Mesh in Renal Allograft Compartment Syndrome. Transplant. Proc. 2006, 38, 1049–1050. [Google Scholar] [CrossRef]
- Ball, C.G.; Kirkpatrick, A.W.; Yilmaz, S.; Monroy, M.; Nicolaou, S.; Salazar, A. Renal allograft compartment syndrome: An underappreciated postoperative complication. Am. J. Surg. 2006, 191, 619–624. [Google Scholar] [CrossRef]
- Etesami, K.; Lestz, R.; Hogen, R. Pediatric kidney transplantation in the United States. Curr. Opin. Organ Transplant. 2020, 25, 343–347. [Google Scholar] [CrossRef] [PubMed]
- Nguan, C.Y.; Beasley, K.A.; McAlister, V.C.; Luke, P.P. Treatment of renal transplant complications with a mesh hood fascial closure technique. Am. J. Surg. 2007, 193, 119–121. [Google Scholar] [CrossRef] [PubMed]
- Hsiao, W.C.; Abt, P.; Amaral, S.; Levine, M.; LaRosa, C. Late renal allograft torsion in a pediatric transplant recipient. Pediatr. Transplant. 2021, 26, e14210. [Google Scholar] [CrossRef]
- Vincenzi, P.; Sivan, S.; Shah, R.; Goggins, M.O.; Morsi, M. Recurrent Renal Allograft Torsion After Simultaneous Kidney and Pancreas Transplantation: Is it Still Possible to Salvage the Graft? A Case Report. Transplant. Proc. 2021, 53, 2529–2535. [Google Scholar] [CrossRef] [PubMed]
- Obana, A.; Akabane, M.; Hamilton, M.; Shah, K.; Punjala, R.S.; Limkemann, A.; Schenk, A.; Singh, N.; Rajab, A.; Bumgardner, G.; et al. Kidney Allograft Torsion After Simultaneous Pancreas Kidney Transplantation: Case Report and Review of Literature. Case Rep. Transplant. 2025, 2025, 2902758. [Google Scholar] [CrossRef]
- Lucewicz, A.; Isaacs, A.; Allen, R.D.M.; Lam, V.W.T.; Angelides, S.; Pleass, H.C.C. Torsion of intraperitoneal kidney transplant. ANZ J. Surg. 2012, 82, 299–302. [Google Scholar] [CrossRef]
- Dewan, R.; Dasyam, A.K.; Tan, H.; Furlan, A. Renal Allograft Torsion: US and CT Imaging Findings of a Rare Posttransplant Complication. Case Rep. Radiol. 2016, 2016, 4273780. [Google Scholar] [CrossRef] [PubMed]
- Faba, O.R.; Boissier, R.; Budde, K.; Figueiredo, A.; Hevia, V.; García, E.L.; Regele, H.; Zakri, R.H.; Olsburgh, J.; Bezuidenhout, C.; et al. European Association of Urology Guidelines on Renal Transplantation: Update 2024. Eur. Urol. Focus 2024, 11, 365–373. [Google Scholar] [CrossRef] [PubMed]
- Chadban, S.J.B.; Ahn, C.; Axelrod, D.A.M.; Foster, B.J.M.; Kasiske, B.L.; Kher, V.M.; Kumar, D.M.; Oberbauer, R.; Pascual, J.; Pilmore, H.L.; et al. KDIGO Clinical Practice Guideline on the Evaluation and Management of Candidates for Kidney Transplantation. Transplantation 2020, 104, S11–S103. [Google Scholar] [CrossRef] [PubMed]







Disclaimer/Publisher’s Note: The statements, opinions and data contained in all publications are solely those of the individual author(s) and contributor(s) and not of MDPI and/or the editor(s). MDPI and/or the editor(s) disclaim responsibility for any injury to people or property resulting from any ideas, methods, instructions or products referred to in the content. |
© 2026 by the authors. Licensee MDPI, Basel, Switzerland. This article is an open access article distributed under the terms and conditions of the Creative Commons Attribution (CC BY) license.
Share and Cite
Corzo, M.P.; Rasmussen, S.K.; Nathan, J.D. Management of Surgical Complications in Pediatric Kidney Transplantation. J. Clin. Med. 2026, 15, 779. https://doi.org/10.3390/jcm15020779
Corzo MP, Rasmussen SK, Nathan JD. Management of Surgical Complications in Pediatric Kidney Transplantation. Journal of Clinical Medicine. 2026; 15(2):779. https://doi.org/10.3390/jcm15020779
Chicago/Turabian StyleCorzo, Maria P., Sara K. Rasmussen, and Jaimie D. Nathan. 2026. "Management of Surgical Complications in Pediatric Kidney Transplantation" Journal of Clinical Medicine 15, no. 2: 779. https://doi.org/10.3390/jcm15020779
APA StyleCorzo, M. P., Rasmussen, S. K., & Nathan, J. D. (2026). Management of Surgical Complications in Pediatric Kidney Transplantation. Journal of Clinical Medicine, 15(2), 779. https://doi.org/10.3390/jcm15020779

