Multimodal, Personalized Treatment of Pineal Region Tumors in Adulthood—A Single Center Study
Abstract
1. Introduction
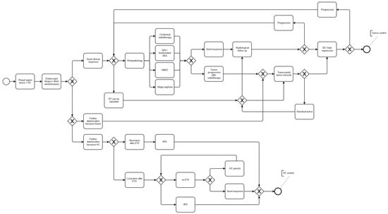
2. Methods
Statistical Analysis
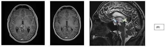
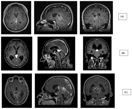
3. Results
3.1. Descriptive Statistics
3.2. Analysis of Clinical Parameters
3.3. Survival Analysis and Investigation of Postoperative Radiotherapy Effectiveness
4. Discussion
5. Conclusions
Author Contributions
Funding
Institutional Review Board Statement
Informed Consent Statement
Data Availability Statement
Acknowledgments
Conflicts of Interest
Abbreviations
| AAPM | American Association of Physicists in Medicine |
| AML | Acute Myeloid Leukemia |
| CBCT | Cone Beam Computed Tomography |
| CI | Confidence Interval |
| CSF | Cerebro Spinal Fluid |
| CTCAE | Common Terminology Criteria for Adverse Events |
| CTV | Clinical Target Volume |
| ECOG | Eastern Cooperative Oncology Group |
| ETV | Endoscopic Third Ventriculostomy |
| fr | fraction |
| fSRT/fSRS | Fractionated Stereotactic Radiotherapy/Radiosurgery |
| Gy | gray |
| ICP | Intracranial Pressure |
| inf | Infinity |
| KPS | Karnofsky Performance Status |
| LINAC | Linear Accelerator |
| MRI | Magnetic Resonance Imaging |
| NA | Not Available |
| OENO | International Classification of Medical Procedures (Hungarian system) |
| OR | Odds Ratio |
| OS | Overall Survival |
| p | Probability |
| PFS | Progression-Free Survival |
| PTV | Planning Target Volume |
| RT | Radiotherapy |
| SCLC | Small Cell Lung Cancer |
| SRS | Stereotactic Radiosurgery |
| VMAT | Volumetric Modulated Arc Therapy |
| VPS | Ventriculoperitoneal Shunt |
| WBRT | Whole Brain Radiotherapy |
| WHO | World Health Organization |
References
- Gaillard, F.; Jones, J. Masses of the pineal region: Clinical presentation and radiographic features. Postgrad. Med. J. 2010, 86, 597–607. [Google Scholar] [CrossRef]
- Vuong, H.G.; Ngo, T.N.M.; Dunn, I.F. Incidence, Prognostic Factors, and Survival Trend in Pineal Gland Tumors: A Population-Based Analysis. Front. Oncol. 2021, 11, 780173. [Google Scholar] [CrossRef]
- Al-Hussaini, M.; Sultan, I.; Abuirmileh, N.; Jaradat, I.; Qaddoumi, I. Pineal gland tumors: Experience from the SEER database. J. Neurooncol. 2009, 94, 351–358. [Google Scholar] [CrossRef] [PubMed]
- Lombardi, G.; Poliani, P.L.; Manara, R.; Berhouma, M.; Minniti, G.; Tabouret, E.; Razis, E.; Cerretti, G.; Zagonel, V.; Weller, M.; et al. Diagnosis and Treatment of Pineal Region Tumors in Adults: A EURACAN Overview. Cancers 2022, 14, 3646. [Google Scholar] [CrossRef] [PubMed]
- Liu, A.P.Y.; Li, B.K.; Vasiljevic, A.; Dewan, M.C.; Tamrazi, B.; Ertl-Wagner, B.; Hansford, J.R.; Pfaff, E.; Mynarek, M.; Ng, H.K.; et al. SNO-EANO-EURACAN consensus on management of pineal parenchymal tumors. Neuro-Oncology 2024, 26, 2159–2173. [Google Scholar] [CrossRef] [PubMed]
- Morgenstern, P.F.; Souweidane, M.M. Pineal region tumors: Simultaneous endoscopic third ventriculostomy and tumor biopsy. World Neurosurg. 2013, 79, S18.e9–S18.e13. [Google Scholar] [CrossRef]
- Morgenstern, P.F.; Osbun, N.; Schwartz, T.H.; Greenfield, J.P.; Tsiouris, A.J.; Souweidane, M.M. Pineal region tumors: An optimal approach for simultaneous endoscopic third ventriculostomy and biopsy. Neurosurg. Focus 2011, 30, E3. [Google Scholar] [CrossRef]
- Sonabend, A.M.; Bowden, S.; Bruce, J.N. Microsurgical resection of pineal region tumors. J. Neurooncol. 2016, 130, 351–366. [Google Scholar] [CrossRef]
- Samadian, M.; Maloumeh, E.N.; Shiravand, S.; Ebrahimzadeh, K.; Sharifi, G.; Mousavinejad, A.; Rezaei, O. Pineal region tumors: Long-term results of endoscopic third ventriculostomy and concurrent tumor biopsy with a single entry approach in a series of 64 cases. Clin. Neurol. Neurosurg. 2019, 184, 105418. [Google Scholar] [CrossRef]
- Louis, D.N.; Perry, A.; Wesseling, P.; Brat, D.J.; Cree, I.A.; Figarella-Branger, D.; Hawkins, C.; Ng, H.K.; Pfister, S.M.; Reifenberger, G.; et al. The 2021 WHO Classification of Tumors of the Central Nervous System: A summary. Neuro-Oncology 2021, 23, 1231–1251. [Google Scholar] [CrossRef]
- Lu, V.M.; Luther, E.M.; Eichberg, D.G.; Morell, A.A.; Shah, A.H.; Komotar, R.J.; Ivan, M.E. Prognosticating survival of pineal parenchymal tumors of intermediate differentiation (PPTID) by grade. J. Neurooncol. 2021, 155, 165–172. [Google Scholar] [CrossRef]
- Palmisciano, P.; Ogasawara, C.; Nwagwu, C.D.; Bin Alamer, O.; Gupta, A.D.; Giantini-Larsen, A.M.; Scalia, G.; Yu, K.; Umana, G.E.; Cohen-Gadol, A.A.; et al. Metastases in the Pineal Region: A Systematic Review of Clinical Features, Management Strategies, and Survival Outcomes. World Neurosurg. 2022, 159, 156–167.e2. [Google Scholar] [CrossRef] [PubMed]
- Yamini, B.; Refai, D.; Rubin, C.M.; Frim, D.M. Initial endoscopic management of pineal region tumors and associated hydrocephalus: Clinical series and literature review. J. Neurosurg. 2004, 100, 437–441. [Google Scholar] [CrossRef]
- Cipri, S.; Gangemi, A.; Cafarelli, F.; Messina, G.; Iacopino, P.; Al Sayyad, S.; Capua, A.; Comi, M.; Musitano, A. Neuroendoscopic management of hydrocephalus secondary to midline and pineal lesions. J. Neurosurg. Sci. 2005, 49, 97–106. [Google Scholar]
- Fukushima, T. Endoscopic biopsy of intraventricular tumors with the use of a ventriculofiberscope. Neurosurgery 1978, 2, 110–113. [Google Scholar] [CrossRef]
- Oppido, P.A.; Fiorindi, A.; Benvenuti, L.; Cattani, F.; Cipri, S.; Gangemi, M.; Godano, U.; Longatti, P.; Mascari, C.; Morace, E.; et al. Neuroendoscopic biopsy of ventricular tumors: A multicentric experience. Neurosurg. Focus 2011, 30, E2. [Google Scholar] [CrossRef]
- Shepard, M.J.; Haider, A.S.; Prabhu, S.S.; Sawaya, R.; DeMonte, F.; McCutcheon, I.E.; Weinberg, J.S.; Ferguson, S.D.; Suki, D.; Fuller, G.N.; et al. Long term outcomes following surgery for pineal region tumors. J. Neurooncol. 2022, 156, 491–498. [Google Scholar] [CrossRef]
- Rogers, S.J.; Mosleh-Shirazi, M.A.; Saran, F.H. Radiotherapy of localised intracranial germinoma: Time to sever historical ties? Lancet Oncol. 2005, 6, 509–519. [Google Scholar] [CrossRef]
- Calaminus, G.; Frappaz, D.; Kortmann, R.D.; Krefeld, B.; Saran, F.; Pietsch, T.; Vasiljevic, A.; Garre, M.L.; Ricardi, U.; Mann, J.R.; et al. Outcome of patients with intracranial non-germinomatous germ cell tumors-lessons from the SIOP-CNS-GCT-96 trial. Neuro-Oncology 2017, 19, 1661–1672. [Google Scholar] [CrossRef] [PubMed]
- Mynarek, M.; Pizer, B.; Dufour, C.; van Vuurden, D.; Garami, M.; Massimino, M.; Fangusaro, J.; Davidson, T.; Gil-da-Costa, M.J.; Sterba, J.; et al. Evaluation of age-dependent treatment strategies for children and young adults with pineoblastoma: Analysis of pooled European Society for Paediatric Oncology (SIOP-E) and US Head Start data. Neuro-Oncology 2017, 19, 576–585. [Google Scholar] [CrossRef] [PubMed]
- Stupp, R.; Mason, W.P.; van den Bent, M.J.; Weller, M.; Fisher, B.; Taphoorn, M.J.; Belanger, K.; Brandes, A.A.; Marosi, C.; Bogdahn, U.; et al. Radiotherapy plus concomitant and adjuvant temozolomide for glioblastoma. N. Engl. J. Med. 2005, 352, 987–996. [Google Scholar] [CrossRef] [PubMed]
- Mathieu, D.; Iorio-Morin, C. Stereotactic Radiosurgery for Pineal Region Tumors. Prog. Neurol. Surg. 2019, 34, 173–183. [Google Scholar] [CrossRef] [PubMed]
- Zeynal, M.; Karaaslan, B.; Dagli, O.; Borcek, A.; Kurt, G.; Kadioglu, H.H.; Emmez, O.H. Stereotactic radiosurgery for tumors of the pineal region: A single-center experience. Medicine 2023, 102, e34005. [Google Scholar] [CrossRef] [PubMed]








| Patient ID | Histology | Modality/Technique | RT Equipment | Image Guidance | RT Planning System | Target Delineation | CTV-PTV Margins | Dose/Fractionation | Organs At Risk Constraints | CTCAE Grading |
|---|---|---|---|---|---|---|---|---|---|---|
| 1 | Specimen with limited evaluability (high-grade glioma) | Conformal RT | LINAC Unique | Megavoltage image guidance | Eclipse | Radiation Oncologist + Neurosurgeon | 15 mm | 60 Gy/30 fr | according to AAPM Task Group 101 | - |
| 2 | Germinoma | Conformal RT | LINAC Siemens Artiste | Megavoltage CBCT | Pinnacle | 2 + 3 mm | 36 Gy/20 fr + pineal boost 18 Gy/9 fr | Gr.2 | ||
| 3 | Metastasis (pulmonary adeno cc.) | WBRT | LINAC Siemens Primus | Kilovoltage CBCT | Eclipse | 2 mm | 30 Gy/10 fr | - | ||
| 4 | Pineocytoma (WHO grade 1) | SRS | LINAC Varian TrueBeam | Kilovoltage CBCT | Eclipse | 2 mm | 15 Gy/1 fr | - | ||
| 5 | Metastasis (breast cc.) | WBRT | LINAC Siemens Primus | Kilovoltage CBCT | Eclipse | 2 mm | 30 Gy/10 fr | - | ||
| 6 | Epithelioid sarcoma (proximal type)/adult rhabdoid tumor | NA | NA | NA | ||||||
| 7 | Pilocytic astrocytoma (WHO grade 1) with BRAF-KIAA1549 gene fusion | SRS | LINAC Varian TrueBeam | Kilovoltage CBCT | Eclipse | 2 mm | 14 Gy/1 fr | - | ||
| 8 | AML Extramedullary Relapse | WBRT + Conformal boost | LINAC Varian VitalBeam | Kilovoltage CBCT | Eclipse | 2 + 3 mm | 30.6 Gy/17 fr + pineal boost 5.4 Gy/3 fr | Gr.1 | ||
| 9 | Pineocytoma (WHO grade 1) | fSRT | CyberKnife | X-Ray image feedback + Robotic arm | Precision | 1 mm | 30 Gy/5 fr | - | ||
| 10 | Pineocytoma (WHO grade 1) | fSRT | CyberKnife | X-Ray image feedback + Robotic arm | Precision | 1 mm | 30 Gy/5 fr | - | ||
| 11 | Metastasis (SCLC) | WBRT | LINAC Siemens Primus | Kilovoltage CBCT | Eclipse | 2 mm | 30 Gy/10 fr | - | ||
| 12 | Meningioma (WHO grade 1) | fSRT | CyberKnife | X-Ray image feedback + Robotic arm | Precision | 1 mm | 30 Gy/5 fr | Gr.1 | ||
| 13 | Papillary tumor of the pineal region (WHO grade 2–3) | NA | NA | NA | ||||||
| 14 | Meningioma (WHO grade 2) | fSRT | CyberKnife | X-Ray image feedback + Robotic arm | Precision | 1 mm | 30 Gy/5 fr | - | ||
| 15 | Pineocytoma (WHO grade 1) | Conformal RT | LINAC Truebeam | Kilovoltage CBCT | Eclipse | 4 + 5 mm | 54 Gy/27 fr | - | ||
| 16 | Pineocytoma (WHO grade 1) | NA | NA | NA | ||||||
| 17 | Diffuse midline glioma (WHO grade 4) with H3 K27M mutation and ATRX loss | VMAT | LINAC Truebeam | Kilovoltage CBCT | Eclipse | 15 + 4 mm | 46 Gy/23 fr | - | ||
| 18 | Pineal parenchymal tumor (WHO grade 2–3) | WBRT + Conformal boost | LINAC Varian VitalBeam | Kilovoltage CBCT | Eclipse | 2 + 3 mm | 30 Gy/15 fr + pineal boost 25 Gy/10 fr | Gr.1 | ||
| 19 | Pineal parenchymal tumor (WHO grade 2–3) | fSRT | CyberKnife | X-Ray image feedback + Robotic arm | Precision | 1 mm | 25 Gy/5 fr | - | ||
| 20 | Solitary fibrous tumor (WHO grade 1) | fSRT | CyberKnife | X-Ray image feedback + Robotic arm | Precision | 1 mm | 22.5/5 fr | - | ||
| 21 | Pineal parenchymal tumor (WHO grade 2–3) | fSRT | CyberKnife | X-Ray image feedback + Robotic arm | Precision | 1 mm | 25 Gy/5 fr | - | ||
| 22 | Supratentorial ependymoma, NOS (WHO grade 3), with pTERT mutation. | fSRT | CyberKnife | X-Ray image feedback + Robotic arm | Precision | 2 mm | 32.5 Gy/5 fr | - | ||
| 23 | Glioblastoma, NOS (WHO grade 4), with ATRX loss. | NA | NA | NA | ||||||
| 24 | Pineal parenchymal tumor (WHO grade 2–3) | fSRT | CyberKnife | X-Ray image feedback + Robotic arm | Precision | 1 mm | 25 Gy/5 fr | - | ||
| 25 | Papillary tumor of the pineal region (WHO grade 2–3) | VMAT | Halcyon (LINAC) | Kilovoltage CBCT | Eclipse | 5 mm | 54 Gy/27 fr | - | ||
| 26 | Glioblastoma with chromosome 7 alteration (WHO grade 4). | VMAT | Halcyon (LINAC) | Kilovoltage CBCT | Eclipse | 6 + 3 mm | 30.6 Gy/17 fr + pineal boost 24 Gy/12 fr + pineal boost 4 Gy/2 fr | - | ||
| 27 | Solitary fibrous tumor (WHO grade 1) | NA | NA | NA | ||||||
| 28 | Pineal parenchymal tumor (WHO grade 2–3) | Conformal RT | LINAC Varian TrueBeam | Kilovoltage CBCT | Eclipse | 2 + 3 mm | 36 Gy/20 fr + Pineal boost 18 Gy/9 fr | Gr.1 | ||
| Histopathology | Cases [Count] | Median PFS [Days] | Median OS (1y) [Days] | Median OS (2y) [Days] | Median OS (5y) [Days] |
|---|---|---|---|---|---|
| AML Extramedullary Relapse | 1 | - | 365 | 730 | 1826 |
| Diffuse Midline Glioma | 1 | 93 | 270 | 270 | 270 |
| Epithelioid Sarcoma | 1 | - | 271 | 271 | 271 |
| Germinoma | 1 | 30 | >365 | >730 | >1826 |
| Glioblastoma/high grade glioma | 3 | 14 | >365 | >730 | 1826 |
| Meningioma | 2 | 1267 | >365 | >730 | >1826 |
| Metastasis | 3 | 638 | 365 | 690 | 690 |
| Papillary Tumor of the Pineal Region | 2 | 177 | 365 | >730 | 1826 |
| Pilocytic Astrocytoma | 1 | 200 | 365 | 730 | 1826 |
| Pineal Parenchymal Tumor of Intermediate Differentiation | 5 | 578 | 365 | 730 | 788 |
| Pineocytoma | 5 | 758 | 365 | 730 | 1826 |
| Solitary Fibrous Tumor | 2 | 137 | 326 | 510 | 288 |
| Supratentorial Ependymoma | 1 | 98 | >365 | >730 | - |
| Changes on Control MRI | OR | OR 95% CI | p | |
|---|---|---|---|---|
| Conformal Radiotherapy | regression | 3.823 | [0.534, 31.808] | 0.194 |
| unchanged | 0.313 | [0.006, 3.628] | 0.380 | |
| progression | 0.000 | [0.0, 73.583] | 1.000 | |
| Stereotactic Radiosurgery | regression | 1.698 | [0.243, 11.635] | 0.677 |
| unchanged | 3.178 | [0.403, 28.955] | 0.207 | |
| progression | inf | [0.046, inf] | 0.357 |
| Preop KPS | Postop KPS | First Postoperative Outpatient Control KPS | KPS at First Outpatient Control Following Radiotherapy | |
|---|---|---|---|---|
| Postop KPS | 11.1 [1.4, 20.4], p = 0.037 | - | - | - |
| First postoperative outpatient control KPS | 20.5 [13.5, 28.0], p < 0.001 | 18.3 [8.3, 27.8], p < 0.001 | - | - |
| KPS at first outpatient control following radiotherapy | 20.0 [11.0, 28.6], p < 0.001 | 7.5 [−1.5, 17.5], p = 0.164 | 7.2 [−4.4, 18.9], p = 0.280 | - |
| KPS at last outpatient Visit | 7.1 [−3.3, 17.6], p = 0.224 | 2.5 [−2.5, 7.5], p = 0.474 | 0.0 [−8.0, 6.5], p = 1.000 | −3.5 [−12.4, 2.9], p = 0.553 |
Disclaimer/Publisher’s Note: The statements, opinions and data contained in all publications are solely those of the individual author(s) and contributor(s) and not of MDPI and/or the editor(s). MDPI and/or the editor(s) disclaim responsibility for any injury to people or property resulting from any ideas, methods, instructions or products referred to in the content. |
© 2025 by the authors. Licensee MDPI, Basel, Switzerland. This article is an open access article distributed under the terms and conditions of the Creative Commons Attribution (CC BY) license.
Share and Cite
Mezei, T.; Báskay, J.; Pollner, P.; Németh, L.; Markia, B.; Nagy, G.; Bajcsay, A.; Sipos, L. Multimodal, Personalized Treatment of Pineal Region Tumors in Adulthood—A Single Center Study. J. Clin. Med. 2026, 15, 248. https://doi.org/10.3390/jcm15010248
Mezei T, Báskay J, Pollner P, Németh L, Markia B, Nagy G, Bajcsay A, Sipos L. Multimodal, Personalized Treatment of Pineal Region Tumors in Adulthood—A Single Center Study. Journal of Clinical Medicine. 2026; 15(1):248. https://doi.org/10.3390/jcm15010248
Chicago/Turabian StyleMezei, Tamás, János Báskay, Péter Pollner, Lukács Németh, Balázs Markia, Gábor Nagy, András Bajcsay, and László Sipos. 2026. "Multimodal, Personalized Treatment of Pineal Region Tumors in Adulthood—A Single Center Study" Journal of Clinical Medicine 15, no. 1: 248. https://doi.org/10.3390/jcm15010248
APA StyleMezei, T., Báskay, J., Pollner, P., Németh, L., Markia, B., Nagy, G., Bajcsay, A., & Sipos, L. (2026). Multimodal, Personalized Treatment of Pineal Region Tumors in Adulthood—A Single Center Study. Journal of Clinical Medicine, 15(1), 248. https://doi.org/10.3390/jcm15010248

