A Rare Case of Primary Pulmonary Meningioma
Abstract
1. Introduction
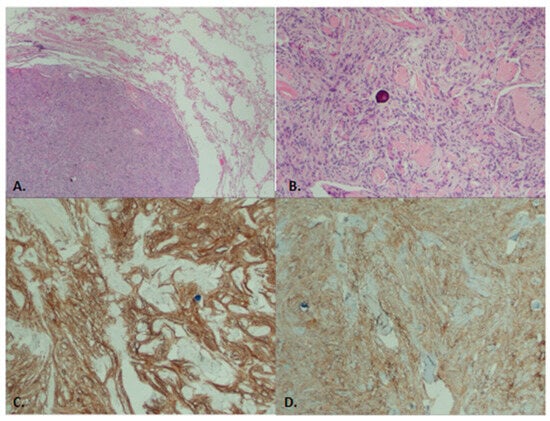
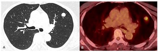
2. Case Report
3. Discussion
4. Conclusions
Author Contributions
Funding
Institutional Review Board Statement
Informed Consent Statement
Data Availability Statement
Conflicts of Interest
References
- Ogasawara, C.; Philbrick, B.D.; Adamson, D.C. Meningioma: A Review of Epidemiology, Pathology, Diagnosis, Treatment, and Future Directions. Biomedicines 2021, 9, 319. [Google Scholar] [CrossRef] [PubMed]
- Himič, V.; Burman, R.J.; Fountain, D.M.; Hofer, M.; Livermore, L.J.; Jeyaretna, D.S. Metastatic meningioma: A case series and systematic review. Acta Neurochir 2023, 165, 2873–2883. [Google Scholar] [CrossRef] [PubMed]
- Luo, J.Z.; Zhan, C.; Ni, X.; Shi, Y.; Wang, Q. Primary pulmonary meningioma mimicking lung metastatic tumor: A case report. J. Cardiothorac. Surg. 2018, 13, 99. [Google Scholar] [CrossRef] [PubMed]
- Simon, M.; Zukotynski, K.; Naeger, D.M. Pulmonary nodules as incidental findings. Can. Med. Assoc. J. 2018, 190, E167. [Google Scholar] [CrossRef] [PubMed]
- National Lung Screening Trial Research, T.e.a.m.; Aberle, D.R.; Adams, A.M.; Berg, C.D.; Black, W.C.; Clapp, J.D.; Fagerstrom, R.M.; Gareen, I.F.; Gatsonis, C.; Marcus, P.M.; et al. Reduced Lung-Cancer Mortality with Low-Dose Computed Tomographic Screening. N. Engl. J. Med. 2011, 365, 395–409. [Google Scholar] [CrossRef] [PubMed]
- Montgomery, E.Y.; Sundarrajan, C.; Pernik, M.N.; Caruso, J.P.; Garzon-Muvdi, T. Metastatic Meningioma: A systematic review of incidence and risk factors. Interdiscip. Neurosurg. 2023, 32, 101720. [Google Scholar] [CrossRef]
- Bailey, D.D.; Montgomery, E.Y.; Garzon-Muvdi, T. Metastatic high-grade meningioma: A case report and review of risk factors for metastasis. Neuro-Oncol. Adv. 2023, 5, vdad014. [Google Scholar] [CrossRef] [PubMed]
- Rushing, E.J.; Bouffard, J.-P.; McCall, S.; Olsen, C.; Mena, H.; Sandberg, G.D.; Thompson, L.D.R. Primary Extracranial Meningiomas: An Analysis of 146 Cases. Head Neck Pathol. 2009, 3, 116–130. [Google Scholar] [CrossRef] [PubMed]
- Umana, G.E.; Scalia, G.; Vats, A.; Pompili, G.; Barone, F.; Passanisi, M.; Graziano, F.; Maugeri, R.; Tranchina, M.G.; Cosentino, S.; et al. Primary Extracranial Meningiomas of the Head and Neck. Life 2021, 11, 942. [Google Scholar] [CrossRef] [PubMed]
- Kemnitz, P.; Spormann, H.; Heinrich, P. Meningioma of Lung: First Report with Light and Electron Microscopic Findings. Ultrastruct. Pathol. 1982, 3, 359–365. [Google Scholar] [CrossRef]
- Jiang, M.; Chen, P.; Huang, R.; Zhang, J.; Zheng, J. A case report of primary pulmonary meningioma masquerading as lung metastasis in a patient with rectal carcinoma: Role of 18F-FDG PET/CT. J. Cardiothorac. Surg. 2021, 16, 153. [Google Scholar] [CrossRef]
- Pietrzak, A.; Marszałek, A.; Piotrowski, T.; Pietrasz, K.; Medak, A.; Wojtowicz, J.; Szweda, H.; Matuszewski, K.; Cholewiński, W. The Utility of 18F-FDG PET/CT in Brain Tumours Diagnosis. Rep. Pract. Oncol. Radiother. 2022, 27, 235–240. [Google Scholar] [CrossRef] [PubMed]
- Raikwar, S.; Rehman Rao, F. Diagnostic Accuracy of CT Scan Versus MRI in Detecting Brain Tumors. Int. J. Med. Pharm. Res. 2024, 344–347. [Google Scholar]
- Xu, K.k.; Tian, F.; Cui, Y. Primary pulmonary meningioma presenting as a micro solid nodule: A rare case report. Thorac. Cancer 2018, 9, 874–876. [Google Scholar] [CrossRef] [PubMed]
- Incarbone, M.; Ceresoli, G.L.; Tommaso, L.D.; Cappuzzo, F.; Inzirillo, F.; Infante, M.; Alloisio, M. Primary pulmonary meningioma: Report of a case and review of literature. Elsevier 2008, 62, 401–407. [Google Scholar] [CrossRef]
- Satoh, Y.; Ishikawa, Y. Primary pulmonary meningioma: Ten-year follow up findings for a multiple case, implying a benign biological nature. J. Thorac. Cardiovasc. Surg. 2010, 139, e39–e340. [Google Scholar] [CrossRef] [PubMed]
- Prayson, R.A.; Fraver, C.F. Primary pulmonary malignant meningioma. Am. J. Surg. Pathol. 1999, 23, 722–726. [Google Scholar] [CrossRef] [PubMed]
- Ohta, M.; Iwaki, T.; Kitamoto, T.; Takeshita, I.; Tateishi, J.; Fukui, M. MIB1 Staining Index and Scoring of Histologic Features in Meningioma. Indicators for the Prediction of Biologic Potential and Postoperative Management. Cancer 1994, 74, 3176–3189. [Google Scholar] [CrossRef] [PubMed]


Disclaimer/Publisher’s Note: The statements, opinions and data contained in all publications are solely those of the individual author(s) and contributor(s) and not of MDPI and/or the editor(s). MDPI and/or the editor(s) disclaim responsibility for any injury to people or property resulting from any ideas, methods, instructions or products referred to in the content. |
© 2025 by the authors. Licensee MDPI, Basel, Switzerland. This article is an open access article distributed under the terms and conditions of the Creative Commons Attribution (CC BY) license (https://creativecommons.org/licenses/by/4.0/).
Share and Cite
Sha, C.; Li, L.; Mitchell, F.; Breuer, F.; Park, R.; Lee, P.C. A Rare Case of Primary Pulmonary Meningioma. J. Clin. Med. 2025, 14, 2688. https://doi.org/10.3390/jcm14082688
Sha C, Li L, Mitchell F, Breuer F, Park R, Lee PC. A Rare Case of Primary Pulmonary Meningioma. Journal of Clinical Medicine. 2025; 14(8):2688. https://doi.org/10.3390/jcm14082688
Chicago/Turabian StyleSha, Calista, Leo Li, Fernanda Mitchell, Frank Breuer, Riona Park, and Paul C. Lee. 2025. "A Rare Case of Primary Pulmonary Meningioma" Journal of Clinical Medicine 14, no. 8: 2688. https://doi.org/10.3390/jcm14082688
APA StyleSha, C., Li, L., Mitchell, F., Breuer, F., Park, R., & Lee, P. C. (2025). A Rare Case of Primary Pulmonary Meningioma. Journal of Clinical Medicine, 14(8), 2688. https://doi.org/10.3390/jcm14082688

