Healing with Love: Oxytocin Accelerates Oral Ulcer Recovery by Reducing Inflammation
Abstract
1. Introduction
2. Materials and Methods
2.1. Animals
2.2. Experimental Protocol
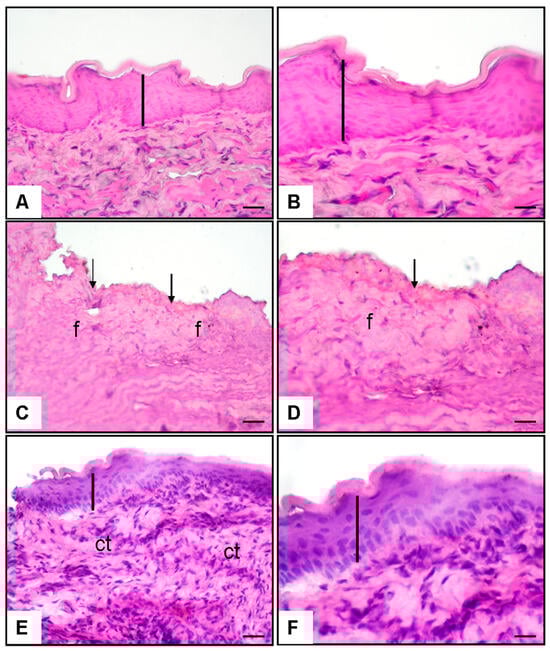
2.3. Histopathological Evaluation of Buccal Mucosa
2.4. Evaluation of Plasma Pentraxin-3 Levels
2.5. Buccal Mucosa Biochemical Analysis for TNF-α, TIMP-2, and MMP-2
2.6. Measurement of Plasma Lipid Peroxidation
2.7. Statistical Analysis
3. Results
4. Discussion
Limitations
5. Conclusions
Author Contributions
Funding
Institutional Review Board Statement
Informed Consent Statement
Data Availability Statement
Acknowledgments
Conflicts of Interest
References
- Sonis, S.T.; Villa, A. Phase II investigational oral drugs for the treatment of radio/chemotherapy induced oral mucositis. Expert. Opin. Investig. Drugs 2018, 27, 147–154. [Google Scholar] [CrossRef] [PubMed]
- Cinausero, M.; Aprile, G.; Ermacora, P.; Basile, D.; Vitale, M.G.; Fanotto, V.; Parisi, G.; Calvetti, L.; Sonis, S.T. New frontiers in the pathobiology and treatment of cancer regimen-related mucosal injury. Front. Pharmacol. 2017, 8, 354. [Google Scholar] [CrossRef]
- Arafat, E.; El-Khair, S.; Elsamanoudy, A.; Shabaan, D. Study of the Possible Alleviated Role of Atorvastatin on Irinotecan-Induced Lingual Mucosal Damage: Histological and Molecular Study. Oxidative Med. Cell. Longev. 2021, 2021, 1–13. [Google Scholar] [CrossRef]
- Da Costa Cunha Mafra, C.; Vasconcelos, R.; De Medeiros, C.; Leitão, R.; Brito, G.; Costa, D.; Guerra, G.; De Araújo, R.; Medeiros, A.; De Araújo, A. Gliclazide Prevents 5-FU-Induced Oral Mucositis by Reducing Oxidative Stress, Inflammation, and P-Selectin Adhesion Molecules. Front. Physiol. 2019, 10, 327. [Google Scholar] [CrossRef]
- Haagen, J.; Krohn, H.; Röllig, S.; Schmidt, M.; Wolfram, K.; Dörr, W. Effect of selective inhibitors of inflammation on oral mucositis: Preclinical studies. Radiother. Oncol. J. Eur. Soc. Ther. Radiol. Oncol. 2009, 92, 472–476. [Google Scholar] [CrossRef] [PubMed]
- Thornton, C.P.; Li, M.; Budhathoki, C.; Yeh, C.H.; Ruble, K. Anti-inflammatory mouthwashes for the prevention of oral mucositis in cancer therapy: An integrative review and meta-analysis. Support Care Cancer 2022, 30, 7205–7218. [Google Scholar] [CrossRef] [PubMed]
- Colella, G.; Boschetti, C.E.; Vitagliano, R.; Colella, C.; Jiao, L.; King-Smith, N.; Li, C.; Nuoh Lau, Y.; Lai, Z.; Mohammed, A.I.; et al. Interventions for the Prevention of Oral Mucositis in Patients Receiving Cancer Treatment: Evidence from Randomised Controlled Trials. Curr. Oncol. 2023, 30, 967–980. [Google Scholar] [CrossRef]
- Poutahidis, T.; Kearney, S.; Levkovich, T.; Qi, P.; Varian, B.; Lakritz, J.; Ibrahim, Y.; Chatzigiagkos, A.; Alm, E.; Erdman, S. Microbial Symbionts Accelerate Wound Healing via the Neuropeptide Hormone Oxytocin. PLoS ONE 2013, 8, e78898. [Google Scholar] [CrossRef]
- Gavrilenko, V.; Esipov, V.; Sivozhelezov, K. Morphological characteristic of wound healing process in patients with diabetic purulent-necrotic foot lesion treated with Oxytocin. Morfologiia 2003, 124, 24–27. [Google Scholar]
- Hortu, I.; Ozceltik, G.; Ergenoglu, A.M.; Yigitturk, G.; Atasoy, O.; Erbas, O. Protective effect of Oxytocin on a methotrexate-induced ovarian toxicity model. Arch. Gynecol. Obstet. 2020, 301, 1317–1324. [Google Scholar] [CrossRef]
- Işeri, S.; Gedik, İ.; Erzik, C.; Uslu, B.; Arbak, S.; Gedik, N.; Yeğen, B. Oxytocin ameliorates skin damage and oxidant gastric injury in rats with thermal trauma. Burn. J. Int. Soc. Burn. Inj. 2008, 34, 361–369. [Google Scholar] [CrossRef] [PubMed]
- Bajracharya, D.; Shrestha, B.; Kamath, A.; Menon, A.; Radhakrishnan, R. Immunohistochemical Correlation of Matrix Metalloproteinase-2 and Tissue Inhibitors of Metalloproteinase-2 in Tobacco Associated Epithelial Dysplasia. Dis. Markers 2014, 2014, 1–9. [Google Scholar] [CrossRef]
- Sutinen, M.; Kainulainen, T.; Hurskainen, T.; Vesterlund, E.; Alexander, J.; Overall, C.; Sorsa, T.; Salo, T. Expression of matrix metalloproteinases (MMP-1 and -2) and their inhibitors (TIMP-1, -2 and -3) in oral lichen planus, dysplasia, squamous cell carcinoma and lymph node metastasis. Br. J. Cancer 1998, 77, 2239–2245. [Google Scholar] [CrossRef]
- Mozaffari, A.; Samieifar, M.; Nikfarjam, A.; Mirzadeh, M.; Assareh, S.; Mirzapour, S. The Effect of Non-Surgical Periodontal Therapy on Pentraxin-3 Concentration in Gingival Crevicular Fluid of Chronic Periodontitis Patients: A Clinical Trial. J. Dent. 2022, 23, 314–320. [Google Scholar] [CrossRef]
- National Research Council (US) Committee for the Update of the Guide for the Care and Use of Laboratory Animals. Guide for the Care and Use of Laboratory Animals, 8th ed.; National Academies Press (US): Washington, DC, USA, 2011. [Google Scholar] [CrossRef]
- Idrus, E.; Hartanti, P.D.; Suniarti, D.F.; Prasetyo, S.R.; Wimardhani, Y.S.; Subarnbhesaj, A. An experimental model of chemically-induced ulceration of the buccal mucosa of Mus musculus. Makara J. Health Res. 2019, 23, 181–187. [Google Scholar] [CrossRef]
- Sari, L.M.; Mubarak, Z.; Sari, D.K. Evaluation of clinical, histology, TNF-α, and collagen expressions on oral ulcer in rats after treatment with areca nut and chrysanthemum oral gel. F1000Research 2021, 10, 623. [Google Scholar] [CrossRef]
- Kang, M.H.; Kim, B.H. Oral wound healing effects of acai berry water extracts in rat oral mucosa. Toxicol. Res. 2018, 34, 97–102. [Google Scholar] [CrossRef]
- Vargas, G.; Patrikeev, I.; Wei, J.; Bell, B.; Vincent, K.; Bourne, N.; Motamedi, M. Quantitative assessment of microbicide-induced injury in the ovine vaginal epithelium using confocal microendoscopy. BMC Infect. Dis. 2012, 12, 48. [Google Scholar] [CrossRef] [PubMed] [PubMed Central]
- Bradford, M.M. A rapid and sensitive method for the quantitation of microgram quantities of protein utilizing the principle of protein-dye binding. Anal. Biochem. 1976, 72, 248–254. [Google Scholar] [CrossRef]
- Tsikas, D. Assessment of lipid peroxidation by measuring malondialdehyde (MDA) and relatives in biological samples: Analytical and biological challenges. Anal. Biochem. 2017, 524, 13–30. [Google Scholar] [CrossRef] [PubMed]
- Yu, Y.; Gao, Y.; Zeng, Y.; Ge, W.; Tang, C.; Xie, X.; Liu, L. Multifunctional hyaluronic acid/gelatin methacryloyl core-shell microneedle for comprehensively treating oral mucosal ulcers. Int J Biol Macromol. 2024, 266, 131221. [Google Scholar] [CrossRef] [PubMed]
- Evidence-based Clinical Chinese Medicine 5: Clinical Evidence for Chinese Herbal Medicine. Available online: https://www.worldscientific.com/doi/abs/10.1142/9789811224379_0005 (accessed on 9 April 2025).
- Khalid, B.; Malik, A.; Naz, S.; Aftab, M.; Akram, S.; Shaukat, M. Efficacy of Coconut Milk on Healing of Oral Ulcers in Experimental Model; A Comparative Study. J. Pak. Dent. Assoc. 2020, 29, 211–216. [Google Scholar] [CrossRef]
- Agnihotri, A.; Kaur, A.; Arora, R. Oral Ulceration and Indian Herbs: A Scoping Review. Dent. J. Adv. Stud. 2020, 8, 71–79. [Google Scholar] [CrossRef]
- Cao, X.; Wu, B.; Chen, J.; Liu, Z.; Yang, Y.; Li, S.; Zhu, H.; Xu, L.; Huang, H. Hydroxypropyl Cellulose-Based Orally Dissolving Film Loaded with Insoluble Dexamethasone for Treatment of Oral Ulcers. Mol. Pharm. 2024, 21, 4012–4023. [Google Scholar] [CrossRef]
- Zeng, Y.; Gao, Y.; He, L.; Ge, W.; Liu, J.; Yu, Y.; Xie, X. Multifunctional polysaccharide composited microneedle for oral ulcer healing. Mater. Today Bio 2023, 22, 100782. [Google Scholar] [CrossRef]
- Mimura, M.A.; Hirota, S.K.; Sugaya, N.N.; Sanches, J.A., Jr.; Migliari, D.A. Systemic treatment in severe cases of recurrent aphthous stomatitis: An open trial. Clinics 2009, 64, 193–198. [Google Scholar] [CrossRef] [PubMed] [PubMed Central]
- Altenburg, A.; El-Haj, N.; Micheli, C.; Puttkammer, M.; Abdel-Naser, M.B.; Zouboulis, C.C. The treatment of chronic recurrent oral aphthous ulcers. Dtsch. Arztebl. Int. 2014, 111, 665–673. [Google Scholar] [CrossRef] [PubMed] [PubMed Central]
- Huang, X.; Kang, Y.; Huang, H.; Wang, C.; Luo, W. Effect of Total Flavonoids from Litchi chinensis Sonn on Expression of TGF-β1 Receptor and Collagen in Rats with Liver Fibrosis. Her. Med. 2016, 35, 559–565. [Google Scholar] [CrossRef]
- Liu, W.; He, Y.; Guo, Z.; Wang, M.; Han, X.; Jia, H.; He, J.; Miao, S.; Wang, S. Discovery of potent tubulin inhibitors targeting the colchicine binding site via structure-based lead optimization and antitumor evaluation. J. Enzym. Inhib. Med. Chem. 2023, 38, 2155815. [Google Scholar] [CrossRef]
- Dmytrenko, G.; Fernández-Solari, J.; Correa, F.; De Laurentiis, A. Oxytocin alleviates periodontitis in adult rats. J. Periodontal Res. 2024, 59, 280–288. [Google Scholar] [CrossRef]
- Xu, P.; Fang, M.; Jin, Y.; Wang, L.; Lin, D. Effect of Oxytocin on the survival of random skin flaps. Oncotarget 2017, 8, 92955–92965. [Google Scholar] [CrossRef] [PubMed][Green Version]
- El-Sherbiny, M.; Elkattawy, H.; Hadhoud, S.; Nasr, A.; Ibrahim, A.; Ameer, O.; Alsaleebi, N.; Asfari, J.; Zakari, M.; Mojaddidi, M.; et al. Oxytocin ameliorates lipopolysaccharide-induced acute orchitis model: Interplay of oxidative stress and inflammatory pathways. Front. Pharmacol. 2025, 15, 1506777. [Google Scholar] [CrossRef] [PubMed]
- Vitalo, A.; Fricchione, J.; Casali, M.; Berdichevsky, Y.; Hoge, E.; Rauch, S.; Berthiaume, F.; Yarmush, M.; Benson, H.; Fricchione, G.; et al. Nest Making and Oxytocin Comparably Promote Wound Healing in Isolation Reared Rats. PLoS ONE 2009, 4, e5523. [Google Scholar] [CrossRef]
- Sorg, H.; Grambow, E.; Eckl, E.; Vollmar, B. Oxytocin effects on experimental skin wound healing. Innov. Surg. Sci. 2017, 2, 219–232. [Google Scholar] [CrossRef] [PubMed] [PubMed Central]
- Deing, V.; Roggenkamp, D.; Kühnl, J.; Gruschka, A.; Stäb, F.; Wenck, H.; Bürkle, A.; Neufang, G. Oxytocin modulates proliferation and stress responses of human skin cells: Implications for atopic dermatitis. Exp. Dermatol. 2013, 22, 399–405. [Google Scholar] [CrossRef] [PubMed]
- Kayalı, A.; Arda, D.; Bora, E.; Uyanıkgil, Y.; Atasoy, Ö.; Erbaş, O. Oxytocin: A Shield against Radiation-Induced Lung Injury in Rats. Tomography 2024, 10, 1342–1353. [Google Scholar] [CrossRef]
- Gouin, J.; Stowell, J.; Carter, C.; Pournajafi-Nazarloo, H.; Glasser, R.; Gouin, J.; Carter, C.; Pournajafi-Nazarloo, H.; Glasser, R.; Malarkey, W.; et al. Marital behavior, oxytocin, vasopressin, and wound healing. Psychoneuroendocrinology 2010, 35, 1082–1090. [Google Scholar] [CrossRef]
- Detillion, C.; Craft, T.; Glasper, E.; Prendergast, B.; Devries, A. Social facilitation of wound healing. Psychoneuroendocrinology 2004, 29, 1004–1011. [Google Scholar] [CrossRef]
- Smriti Aryal, A.C.; Md Sofiqul, I. Potential Role of BMP7 in Regenerative Dentistry. Int. Dent. J. 2024, 74, 901–909. [Google Scholar] [CrossRef]
- Miron, R.; Fujioka-Kobayashi, M.; Hernandez, M.; Kandalam, U.; Zhang, Y.; Ghanaati, S.; Choukroun, J. Injectable platelet rich fibrin (i-PRF): Opportunities in regenerative dentistry? Clin. Oral. Investig. 2017, 21, 2619–2627. [Google Scholar] [CrossRef]
- Christie, B.; Musri, N.; Djustiana, N.; Takarini, V.; Tuygunov, N.; Zakaria, M.; Cahyanto, A. Advances and challenges in regenerative dentistry: A systematic review of calcium phosphate and silicate-based materials on human dental pulp stem cells. Mater. Today Bio 2023, 23, 100815. [Google Scholar] [CrossRef] [PubMed]
- Duncan, H.; Kobayashi, Y.; Kearney, M.; Shimizu, E. Epigenetic therapeutics in dental pulp treatment: Hopes, challenges and concerns for the development of next-generation biomaterials. Bioact. Mater. 2023, 27, 574–593. [Google Scholar] [CrossRef] [PubMed]
- Tavelli, L.; Chen, C.; Barootchi, S.; Kim, D. Efficacy of biologics for the treatment of periodontal infrabony defects: An American Academy of Periodontology best evidence systematic review and network meta-analysis. J. Periodontol. 2022, 93, 1803–1826. [Google Scholar] [CrossRef] [PubMed]
- Oliveira, G.; Da Silva Barbirato, D.; De Menezes, B.; Fuly, M.; Pelegrine, H.; Bonilha, D.; De Alencar, J.; Theodoro, L.; De Molon, R. Exploring the Impact of Biological Agents on Protecting Against Experimental Periodontitis: A Systematic Review of Animal-Based Studies. BioMed Res. Int. 2024, 2024, 1716735. [Google Scholar] [CrossRef]
- Balasubramaniam, A.; Arumugham, M.; Nathan, S.; Kumar, S.; Murugesan, K.; Dharmaraj, S.; Thangavelu, L.; Yadalam, P.; Ramadoss, R.; Veeramuthu, A. Emerging technologies and potential applications of algae in dentistry–A critical review. J. Biotechnol. 2022, 360, 1–10. [Google Scholar] [CrossRef]
- Akay, A.; Arısan, V.; Cevher, E.; Sessevmez, M.; Cam, B. Oxytocin-loaded sustained-release hydrogel graft provides accelerated bone formation: An experimental rat study. J. Orthop. Res.® 2020, 38, 1676–1687. [Google Scholar] [CrossRef]
- Jung, J.; Park, S.; Seo, E.; Jang, I.; Park, Y.; Lee, D.; Kim, D.; Kim, J. Functional expression of oxytocin receptors in pulp-dentin complex. Biomaterials 2022, 293, 121977. [Google Scholar] [CrossRef]
- Ge, B.; Liu, H.; Liang, Q.; Shang, L.; Wang, T.; Ge, S. Oxytocin facilitates the proliferation, migration and osteogenic differentiation of human periodontal stem cells in vitro. Arch. Oral Biol. 2019, 99, 126–133. [Google Scholar] [CrossRef]
- Kato, Y.; Yokose, S. Oxytocin facilitates dentinogenesis of rat dental pulp cells. J. Endod. 2021, 47, 592–599. [Google Scholar] [CrossRef]

| Control Group | Oral Ulcer and % 0.9 NaCl Group | Oral Ulcer and OT Group | |
|---|---|---|---|
| Histopathological score Epithelium | 100 | 32.4 ± 3.9 ** | 65.1 ± 5.5 ## |
| Fibrosis | 4.0 | 78.2 ± 4.3 * | 24.3 ± 7.7 ## |
| Plasma Pentraxin-3 level (ng/mL) | 0.7 ± 0.1 | 1.87 ± 0.2 * | 1.09 ± 0.1 # |
| Plasma MDA level (nM) | 47.4 ± 3.9 | 73.6 ± 2.4 * | 50.2 ± 1.8 # |
| Buccal Mucosa TNF-alfa level (pg/g tissue) | 68.6 ± 2.5 | 103.05 ± 8.2 * | 92.8 ± 4.2 # |
| Buccal Mucosa TIMP-2 level (pg/g tissue) | 211.5 ± 10.8 | 39.9 ± 3.3 ** | 116.8 ± 6.5 ## |
| Buccal Mucosa MMP-2 level (pg/mg tissue) | 5.19 ± 0.2 | 11.2 ± 1.2 * | 4.5 ± 0.8 # |
Disclaimer/Publisher’s Note: The statements, opinions and data contained in all publications are solely those of the individual author(s) and contributor(s) and not of MDPI and/or the editor(s). MDPI and/or the editor(s) disclaim responsibility for any injury to people or property resulting from any ideas, methods, instructions or products referred to in the content. |
© 2025 by the authors. Licensee MDPI, Basel, Switzerland. This article is an open access article distributed under the terms and conditions of the Creative Commons Attribution (CC BY) license (https://creativecommons.org/licenses/by/4.0/).
Share and Cite
Zeytinoğlu, M.; Çınaroğlu, O.S.; Bora, E.S.; Erbaş, O. Healing with Love: Oxytocin Accelerates Oral Ulcer Recovery by Reducing Inflammation. J. Clin. Med. 2025, 14, 2667. https://doi.org/10.3390/jcm14082667
Zeytinoğlu M, Çınaroğlu OS, Bora ES, Erbaş O. Healing with Love: Oxytocin Accelerates Oral Ulcer Recovery by Reducing Inflammation. Journal of Clinical Medicine. 2025; 14(8):2667. https://doi.org/10.3390/jcm14082667
Chicago/Turabian StyleZeytinoğlu, Mert, Osman Sezer Çınaroğlu, Ejder Saylav Bora, and Oytun Erbaş. 2025. "Healing with Love: Oxytocin Accelerates Oral Ulcer Recovery by Reducing Inflammation" Journal of Clinical Medicine 14, no. 8: 2667. https://doi.org/10.3390/jcm14082667
APA StyleZeytinoğlu, M., Çınaroğlu, O. S., Bora, E. S., & Erbaş, O. (2025). Healing with Love: Oxytocin Accelerates Oral Ulcer Recovery by Reducing Inflammation. Journal of Clinical Medicine, 14(8), 2667. https://doi.org/10.3390/jcm14082667

