Treatment Outcomes of Simple and Complex Central Serous Chorioretinopathy
Abstract
1. Introduction
2. Materials and Methods
2.1. Study Design
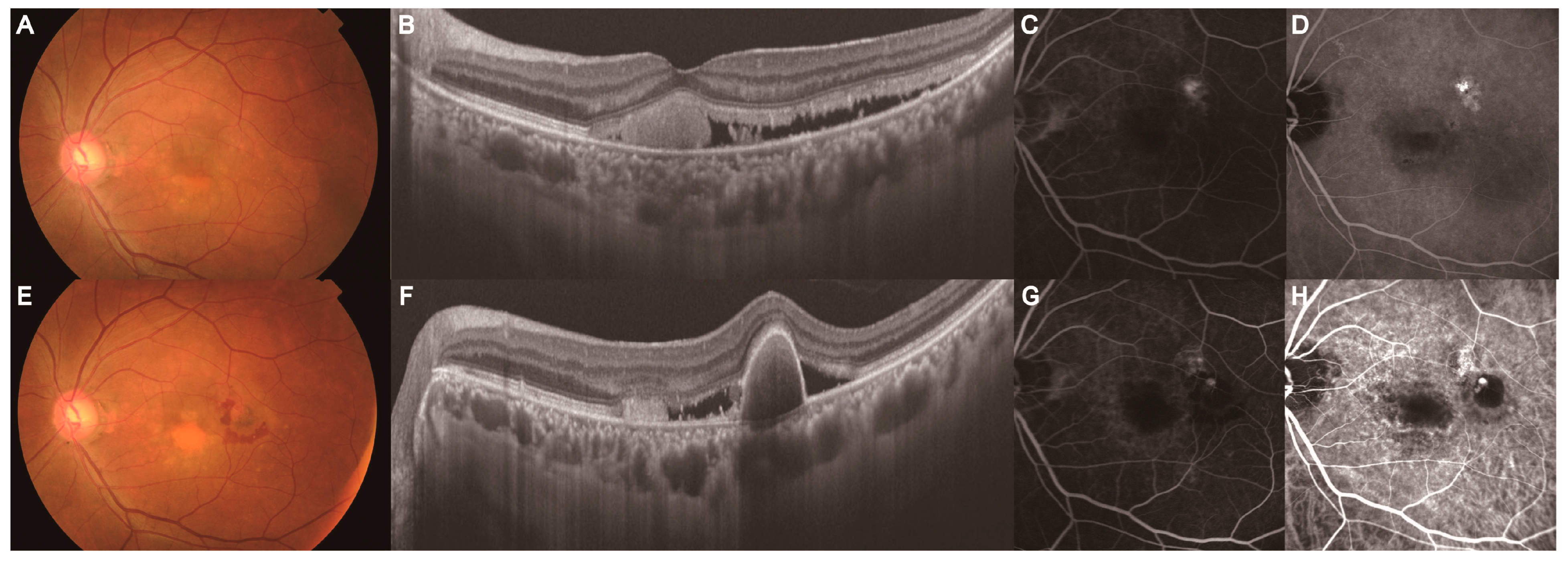
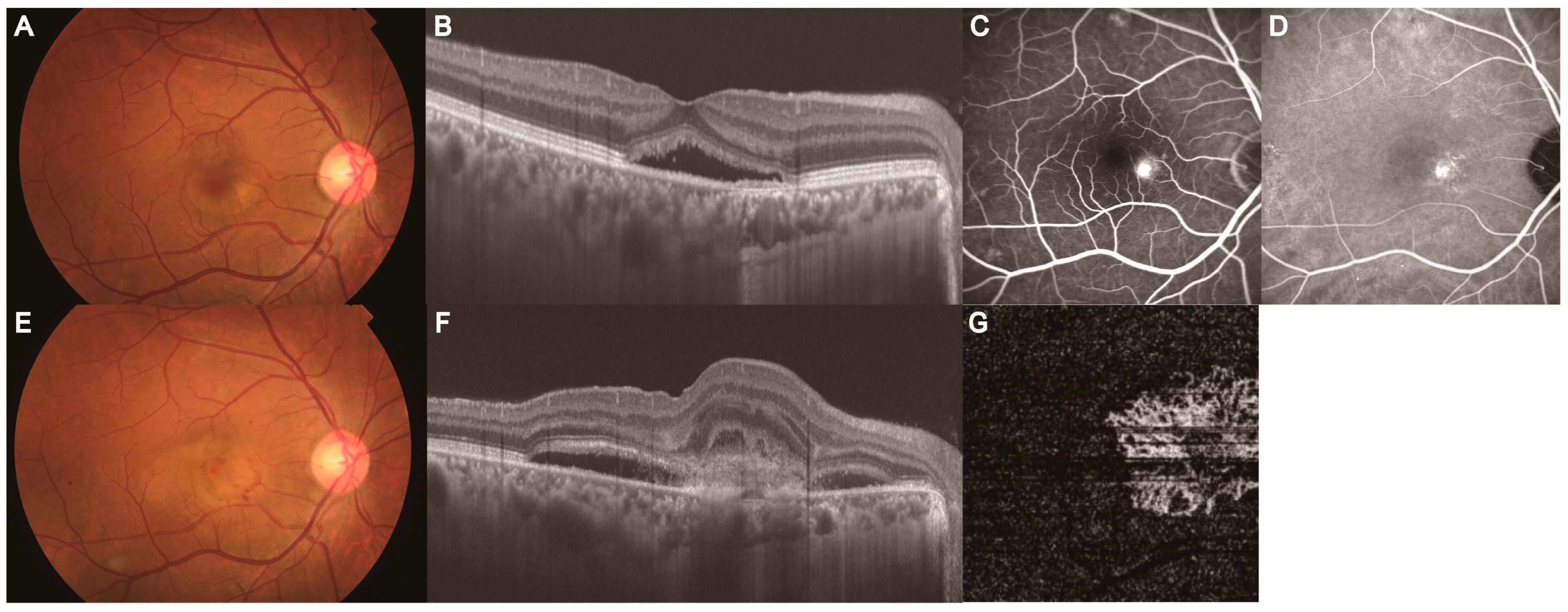
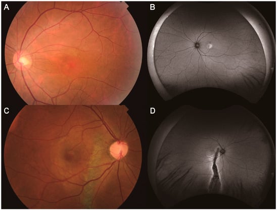
2.2. Diagnosis and Classification of CSC
2.3. Treatment Method
2.4. Statistical Analysis
3. Results
3.1. Patient Characteristics
3.2. Treatment Outcomes Between the Simple CSC and Complex CSC Groups
3.3. Treatment Outcomes Between the PC and PDT Subgroups
3.4. Incidence of MNV in Eyes with CSC
4. Discussion
5. Conclusions
Author Contributions
Funding
Institutional Review Board Statement
Informed Consent Statement
Data Availability Statement
Acknowledgments
Conflicts of Interest
References
- Daruich, A.; Matet, A.; Dirani, A.; Bousquet, E.; Zhao, M.; Farman, N.; Jaisser, F.; Behar-Cohen, F. Central serous chorioretinopathy: Recent findings and new physiopathology hypothesis. Prog. Retin. Eye Res. 2015, 48, 82–118. [Google Scholar] [CrossRef]
- Fung, A.T.; Yannuzzi, L.A.; Freund, K.B. Type 1 (sub-retinal pigment epithelial) neovascularization in central serous chorioretinopathy masquerading as neovascular age-related macular degeneration. Retina 2012, 32, 1829–1837. [Google Scholar] [CrossRef] [PubMed]
- Cheung, C.M.G.; Lee, W.K.; Koizumi, H.; Dansingani, K.; Lai, T.Y.Y.; Freund, K.B. Pachychoroid disease. Eye 2019, 33, 14–33. [Google Scholar] [CrossRef]
- Guyer, D.R.; Yannuzzi, L.A.; Slakter, J.S.; Sorenson, J.A.; Ho, A.; Orlock, D. Digital indocyanine green videoangiography of central serous chorioretinopathy. Arch. Ophthalmol. 1994, 112, 1057–1062. [Google Scholar] [CrossRef]
- Mrejen, S.; Balaratnasingam, C.; Kaden, T.R.; Bottini, A.; Dansingani, K.; Bhavsar, K.V.; Yannuzzi, N.A.; Patel, S.; Chen, K.C.; Yu, S.; et al. Long-term visual outcomes and causes of vision loss in chronic central serous chorioretinopathy. Ophthalmology 2019, 126, 576–588. [Google Scholar] [CrossRef] [PubMed]
- Leaver, P.; Williams, C. Argon laser photocoagulation in the treatment of central serous retinopathy. Br. J. Ophthalmol. 1979, 63, 674–677. [Google Scholar] [CrossRef] [PubMed]
- Newman, D.K. Photodynamic therapy: Current role in the treatment of chorioretinal conditions. Eye 2016, 30, 202–210. [Google Scholar] [CrossRef] [PubMed]
- Malik, K.J.; Sampat, K.M.; Mansouri, A.; Steiner, J.N.; Glaser, B.M. Low-intensity/high-density subthreshold micropulse diode laser for chronic central serous chorioretinopathy. Retina 2015, 35, 532–536. [Google Scholar] [CrossRef]
- Elsner, H.; Pörksen, E.; Klatt, C.; Bunse, A.; Theisen-Kunde, D.; Brinkmann, R.; Birngruber, R.; Laqua, H.; Roider, J. Selective retina therapy in patients with central serous chorioretinopathy. Graefes Arch. Clin. Exp. Ophthalmol. 2006, 244, 1638–1645. [Google Scholar] [CrossRef]
- Mohabati, D.; van Rijssen, T.J.; van Dijk, E.H.; Luyten, G.P.; Missotten, T.O.; Hoyng, C.B.; Yzer, S.; Boon, C.J. Clinical characteristics and long-term visual outcome of severe phenotypes of chronic central serous chorioretinopathy. Clin. Ophthalmol. 2018, 12, 1061–1070. [Google Scholar] [CrossRef] [PubMed]
- Chhablani, J.; Cohen, F.B. Central serous chorioretinopathy international Group. Multimodal imaging-based central serous chorioretinopathy classification. Ophthalmol. Retina 2020, 4, 1043–1046. [Google Scholar] [CrossRef] [PubMed]
- Chhablani, J.; Cohen, F.B. Central Serous Chorioretinopathy International Group. Validation of central serous chorioretinopathy multimodal imaging-based classification system. Graefes Arch. Clin. Exp. Ophthalmol. 2022, 260, 1161–1169. [Google Scholar] [CrossRef]
- Yoneyama, S.; Fukui, A.; Sakurada, Y.; Terao, N.; Shijo, T.; Kusada, N.; Sugiyama, A.; Matsubara, M.; Fukuda, Y.; Kikushima, W.; et al. Distinct characteristics of simple versus complex central serous chorioretinopathy. Retina 2023, 43, 389–395. [Google Scholar] [CrossRef]
- Imanaga, N.; Terao, N.; Wakugawa, S.; Miyara, Y.; Sawaguchi, S.; Oshiro, A.; Yamauchi, Y.; Koizumi, H. Scleral thickness in simple versus complex central serous chorioretinopathy. Am. J. Ophthalmol. 2024, 261, 103–111. [Google Scholar] [CrossRef]
- Kamao, H.; Goto, K.; Mito, Y.; Miki, A.; Kiryu, J. Effects of smoking on outcomes of antivascular endothelial growth factor therapy in patients with neovascular age-related macular degeneration smoking and anti-VEGF Therapy in nAMD. J. Ophthalmol. 2018, 2018, 2353428. [Google Scholar] [CrossRef]
- Kamao, H.; Mitsui, E.; Date, Y.; Goto, K.; Mizukawa, K.; Miki, A. Clinical characteristics of unilateral macular neovascularization patients with pachydrusen in the fellow eye. J. Clin. Med. 2024, 13, 3757. [Google Scholar] [CrossRef]
- Kamao, H.; Goto, K.; Date, Y.; Hiraki, R.; Mizukawa, K.; Miki, A. Clinical characteristics of punctate hyperfluorescence spots in the fellow eye of patients with unilateral macular neovascularization with no drusen. J. Clin. Med. 2024, 13, 5394. [Google Scholar] [CrossRef]
- Bousquet, E.; Bonnin, S.; Mrejen, S.; Krivosic, V.; Tadayoni, R.; Gaudric, A. Optical coherence tomography angiography of flat irregular pigment epithelium detachment in chronic central serous chorioretinopathy. Retina 2018, 38, 629–638. [Google Scholar] [CrossRef] [PubMed]
- Arora, S.; Maltsev, D.S.; Sahoo, N.K.; Parameshwarappa, D.C.; Iovino, C.; Arora, T.; Kulikov, A.N.; Tatti, F.; Venkatesh, R.; Reddy, N.G.; et al. Visual acuity correlates with multimodal imaging-based categories of central serous chorioretinopathy. Eye 2021, 36, 517–523. [Google Scholar] [CrossRef]
- Singh, S.R.; Matet, A.; van Dijk, E.H.C.; Daruich, A.; Fauser, S.; Yzer, S.; Peiretti, E.; Sivaprasad, S.; Lotery, A.j.; Boon, C.J.F.; et al. Discrepancy in current central serous chorioretinopathy classification. Br. J. Ophthalmol. 2019, 103, 737–742. [Google Scholar] [CrossRef]
- Arora, S.; Kulikov, A.N.; Maltsev, D.S. Implementation of the new multimodal imaging-based classification of central serous chorioretinopathy. Eur. J. Ophthalmol. 2021, 32, 1044–1049. [Google Scholar] [CrossRef] [PubMed]
- van Dijk, E.H.C.; Fauser, S.; Breukink, M.B.; Blanco-Garavito, R.; Groenewoud, J.M.M.; Keunen, J.E.E.; Peters, P.J.H.; Dijkman, G.; Souied, E.H.; MacLaren, R.E.; et al. Half-dose photodynamic therapy versus high-density subthreshold micropulse laser treatment in patients with chronic central serous chorioretinopathy: The PLACE Trial. Ophthalmology 2018, 125, 1547–1555. [Google Scholar] [CrossRef] [PubMed]
- van Rijssen, T.J.; van Dijk, E.H.C.; Tsonaka, R.; Feenstra, H.M.A.; Dijkman, G.; Peters, P.J.H.; Diederen, R.M.H.; Hoyng, C.B.; Schlingemann, R.O.; Boon, C.J.F. Half-Dose Photodynamic Therapy Versus Eplerenone in Chronic Central Serous Chorioretinopathy (SPECTRA): A Randomized Controlled Trial. Am. J. Ophthalmol. 2022, 233, 101–110. [Google Scholar] [CrossRef] [PubMed]
- Lai, T.Y.Y.; Wong, R.L.M.; Chan, W.-M. Long-term outcome of half-dose verteporfin photodynamic therapy for the treatment of central serous chorioretinopathy. Trans. Am. Ophthalmol. Soc. 2015, 113, T8. [Google Scholar]
- Shin, Y.I.; Kim, K.M.; Lee, M.W.; Kim, J.Y.; Jo, Y.J. Long-term results of focal laser photocoagulation and photodynamic therapy for the treatment of central serous chorioretinopathy. Jpn. J. Ophthalmol. 2020, 64, 28–36. [Google Scholar] [CrossRef]
- Yamada-Okahara, N.; Kyo, A.; Hirayama, K.; Yamamoto, M.; Kohno, T.; Honda, S. Practical treatment options for persistent central serous chorioretinopathy and early visual and anatomical outcomes. Jpn. J. Ophthalmol. 2023, 67, 295–300. [Google Scholar] [CrossRef]
- Cheung, C.M.G.; Dansingani, K.K.; Koizumi, H.; Lai, T.Y.Y.; Sivaprasad, S.; Boon, C.J.F.; Van Dijk, E.H.C.; Chhablani, J.; Lee, W.K.; Freund, K.B. Pachychoroid disease: Review and update. Eye 2024. [Google Scholar] [CrossRef]
- Maruko, I.; Iida, T.; Sugano, Y.; Furuta, M.; Sekiryu, T. One-year choroidal thickness results after photodnamic therapy for central serous chorioretinopathy. Retina 2011, 31, 1921–1927. [Google Scholar] [CrossRef] [PubMed]
- Maruko, I.; Iida, T.; Sugano, Y.; Ojima, A.; Ogasawara, M.; Spaide, R.F. Subfoveal choroidal thickness after treatment of central serous chorioretinopathy. Ophthalmology 2010, 117, 1792–1799. [Google Scholar] [CrossRef] [PubMed]
- Park, Y.J.; Kim, Y.-K.; Park, K.H.; Woo, S.J. Long-term efficacy and safety of photodynamic therapy in patients with chronic central serous chorioretinopathy. Ophthalmic. Surg. Lasers Imaging Retina 2019, 50, 760–770. [Google Scholar] [CrossRef]
- Haga, F.; Maruko, R.; Sato, C.; Kataoka, K.; Ito, Y.; Terasaki, H. Long-term prognostic factors of chronic central serous chorioretinopathy after half-dose photodynamic therapy: A 3-year follow-up study. PLoS ONE 2017, 12, e0181479. [Google Scholar] [CrossRef] [PubMed]
- Pang, C.E.; Freund, K.B. Pachychoroid neovasculopathy. Retina 2015, 35, 1–9. [Google Scholar] [CrossRef]
- Schatz, H.; Yannuzzi, L.A.; Gitter, K.A. Subretinal neovascularization following argon laser photocoagulation treatment for central serous chorioretinopathy: Complication or misdiagnosis? Trans. Sect. Ophthalmol. Am. Acad. Ophthalmol. Otolaryngol. 1977, 83, 893–906. [Google Scholar] [CrossRef]
- Teo, K.Y.C.; Cheong, K.X.; Ong, R.; Hamzah, H.; Yanagi, Y.; Wong, T.Y.; Chakravarthy, U.; Cheung, C.M.G. Macular neovascularization in eyes with pachydrusen. Sci. Rep. 2021, 11, 7495. [Google Scholar] [CrossRef] [PubMed]







| Simple CSC (n = 164) | Complex CSC (n = 43) | p | |
|---|---|---|---|
| Age (years), mean (SD) | 52.2 (12.9) | 58.1 (13.7) | 0.01 |
| Sex (female), no. (%) | 30 (18.3) | 2 (4.7) | 0.01 |
| Bilateral, no. (%) | 26 (15.9) | 27 (62.8) | <0.001 |
| Hypertension, no. (%) | 41 (25.0) | 16 (37.2) | 0.12 |
| Diabetes, no. (%) | 15 (9.1) | 8 (18.6) | 0.10 |
| Smoking habits (ever-smokers), no. (%) | 99 (60.4) | 34 (79.1) | 0.052 |
| Previous CSC episodes (recurrent), no. (%) | 51 (31.1) | 32 (74.4) | <0.001 |
| PHS, no. (%) | 123 (75.0) | 37 (86.0) | 0.20 |
| Pachydrusen, no. (%) | 21 (12.8) | 10 (23.3) | 0.10 |
| IRF, no. (%) | 4 (2.4) | 5 (11.6) | 0.02 |
| Spherical equivalent (diopters), mean (SD) | −0.23 (1.99) | 1.13 (1.45) | <0.001 |
| Baseline, mean (SD) | |||
| BCVA (logMAR) | 0.01 (0.20) | 0.22 (0.28) | <0.001 |
| CRT (µm) | 368.4 (127.3) | 306.6 (102.2) | 0.005 |
| SFCT (µm) | 373.5 (123.6) | 420.7 (137.4) | 0.06 |
| Resolution Within 6 M | Non-Resolution Within 6 M | |||||||||||
|---|---|---|---|---|---|---|---|---|---|---|---|---|
| Observation | PC | PDT | ||||||||||
| Simple CSC | Complex CSC | p | Simple CSC | Complex CSC | p | Simple CSC | Complex CSC | p | Simple CSC | Complex CSC | p | |
| Eyes, no. (%) | 51 (31.1) | 11 (25.6) | 0.48 | 27 (23.9) | 7 (21.9) | 43 (38.1) | 10 (31.3) | 43 (38.1) | 15 (46.9) | 0.58 | ||
| Resolved, no. (%) | - | - | - | 18 (66.7) | 6 (85.7) | 0.58 | 41 (95.4) | 8 (80.0) | 0.14 | 43 (100.0) | 15 (100.0) | 1.00 |
| Recurrent, no. (%) | 14 (27.5) | 7 (63.6) | 0.03 | 8 (29.6) | 3 (42.9) | 0.51 | 14 (34.2) | 3 (37.5) | 0.86 | 1 (2.3) | 0 (0.0) | 0.44 |
| Baseline, mean (SD) | ||||||||||||
| BCVA (logMAR) | −0.02 (0.18) | 0.21 (0.30) | 0.004 | 0.00 (0.19) | 0.26 (0.44) | 0.08 | 0.02 (0.20) | 0.26 (0.30) | 0.004 | 0.07 (0.22) | 0.18 (0.20) | 0.04 |
| CRT (µm) | 365.2 (129.0) | 309.2 (152.0) | 0.16 | 330.0 (111.1) | 292.5 (92.5) | 0.61 | 412.2 (134.3) | 312.9 (97.9) | 0.02 | 352.6 (119.1) | 306.1 (68.9) | 0.19 |
| SFCT (µm) | 386.4 (124.7) | 468.3 (112.5) | 0.10 | 362.1 (126.0) | 338.0 (92.3) | 0.76 | 416.3 (130.5) | 473.7 (158.1) | 0.36 | 358.7 (117.9) | 430.9 (125.9) | 0.09 |
| Final visit, mean (SD) | ||||||||||||
| BCVA (logMAR) | −0.06 (0.20) | 0.17 (0.34) | 0.004 | 0.00 (0.21) | 0.23 (0.22) | 0.02 | −0.04 (0.16) | 0.26 (0.54) | 0.049 | 0.00 (0.20) | 0.12 (0.23) | 0.04 |
| CRT (µm) | 223.3 (41.6) | 208.6 (103.7) | 0.10 | 240.6 (46.5) | 170.5 (38.6) | 0.004 | 217.0 (53.2) | 176.5 (44.8) | 0.04 | 196.1 (27.8) | 172.5 (31.3) | 0.008 |
| SFCT (µm) | 365.4 (112.5) | 400.0 (163.7) | 0.50 | 334.4 (114.0) | 274.8 (121.2) | 0.51 | 386.6 (128.6) | 403.0 (130.9) | 0.81 | 283.6 (125.9) | 357.9 (150.5) | 0.10 |
| Change, mean (SD) | ||||||||||||
| BCVA (logMAR) | 0.03 (0.15) | 0.04 (0.15) | 0.92 | 0.00 (0.13) | 0.03 (0.31) | 0.66 | 0.06 (0.17) | 0.00 (0.32) | 0.80 | 0.07 (0.13) | 0.06 (0.10) | 0.80 |
| CRT (µm) | 141.9 (131.6) | 100.5 (166.4) | 0.38 | 89.4 (112.8) | 122.0 (99.8) | 0.51 | 195.2 (145.7) | 136.4 (78.5) | 0.20 | 156.5 (119.3) | 133.7 (65.9) | 0.67 |
| SFCT (µm) | 21.0 (34.2) | 68.3 (132.8) | 0.87 | 33.7 (31.4) | 63.2 (29.0) | 0.07 | 29.8 (36.4) | 70.7 (131.6) | 0.90 | 75.2 (53.5) | 73.0 (61.7) | 0.90 |
| Follow-up month, mean (SD) | 20.2 (27.0) | 15.9 (17.5) | 0.98 | 51.6 (43.6) | 66.1 (65.1) | 0.50 | 27.6 (35.1) | 49.3 (67.3) | 0.45 | 15.3 (12.6) | 21.1 (16.6) | 0.003 |
| PC (n = 53) | PDT (n = 58) | Univariate p | Multivariate p | |
|---|---|---|---|---|
| Time of SRF resolution, month, mean (SD) | 3.1 (2.8) | 1.7 (0.5) | 0.65 | |
| Recurrent, no. (%) | 17 (34.7) | 1 (1.7) | <0.001 | <0.001 |
| Baseline, mean (SD) | ||||
| BCVA (logMAR) | 0.06 (0.24) | 0.10 (0.22) | 0.23 | |
| CRT (µm) | 397.7 (136.0) | 340.6 (109.8) | 0.01 | 0.69 |
| SFCT (µm) | 431.3 (131.2) | 373.8 (121.2) | 0.045 | 0.07 |
| Change at the resolution of SRF, mean (SD) | ||||
| BCVA (logMAR) | 0.06 (0.16) | 0.04 (0.14) | 0.84 | |
| CRT (µm) | 201.0 (133.8) | 150.5 (108.1) | 0.02 | 0.83 |
| SFCT (µm) | 22.1 (34.0) | 71.3 (52.3) | <0.001 | <0.001 |
Disclaimer/Publisher’s Note: The statements, opinions and data contained in all publications are solely those of the individual author(s) and contributor(s) and not of MDPI and/or the editor(s). MDPI and/or the editor(s) disclaim responsibility for any injury to people or property resulting from any ideas, methods, instructions or products referred to in the content. |
© 2025 by the authors. Licensee MDPI, Basel, Switzerland. This article is an open access article distributed under the terms and conditions of the Creative Commons Attribution (CC BY) license (https://creativecommons.org/licenses/by/4.0/).
Share and Cite
Kamao, H.; Goto, K.; Ouchi, T.; Shirakawa, Y.; Hiraki, R.; Mizukawa, K.; Miki, A. Treatment Outcomes of Simple and Complex Central Serous Chorioretinopathy. J. Clin. Med. 2025, 14, 1458. https://doi.org/10.3390/jcm14051458
Kamao H, Goto K, Ouchi T, Shirakawa Y, Hiraki R, Mizukawa K, Miki A. Treatment Outcomes of Simple and Complex Central Serous Chorioretinopathy. Journal of Clinical Medicine. 2025; 14(5):1458. https://doi.org/10.3390/jcm14051458
Chicago/Turabian StyleKamao, Hiroyuki, Katsutoshi Goto, Tatsuhiro Ouchi, Yuki Shirakawa, Ryutaro Hiraki, Kenichi Mizukawa, and Atsushi Miki. 2025. "Treatment Outcomes of Simple and Complex Central Serous Chorioretinopathy" Journal of Clinical Medicine 14, no. 5: 1458. https://doi.org/10.3390/jcm14051458
APA StyleKamao, H., Goto, K., Ouchi, T., Shirakawa, Y., Hiraki, R., Mizukawa, K., & Miki, A. (2025). Treatment Outcomes of Simple and Complex Central Serous Chorioretinopathy. Journal of Clinical Medicine, 14(5), 1458. https://doi.org/10.3390/jcm14051458

