Influence of Mechanical Deformity on Joint Line Reconstruction
Abstract
1. Introduction
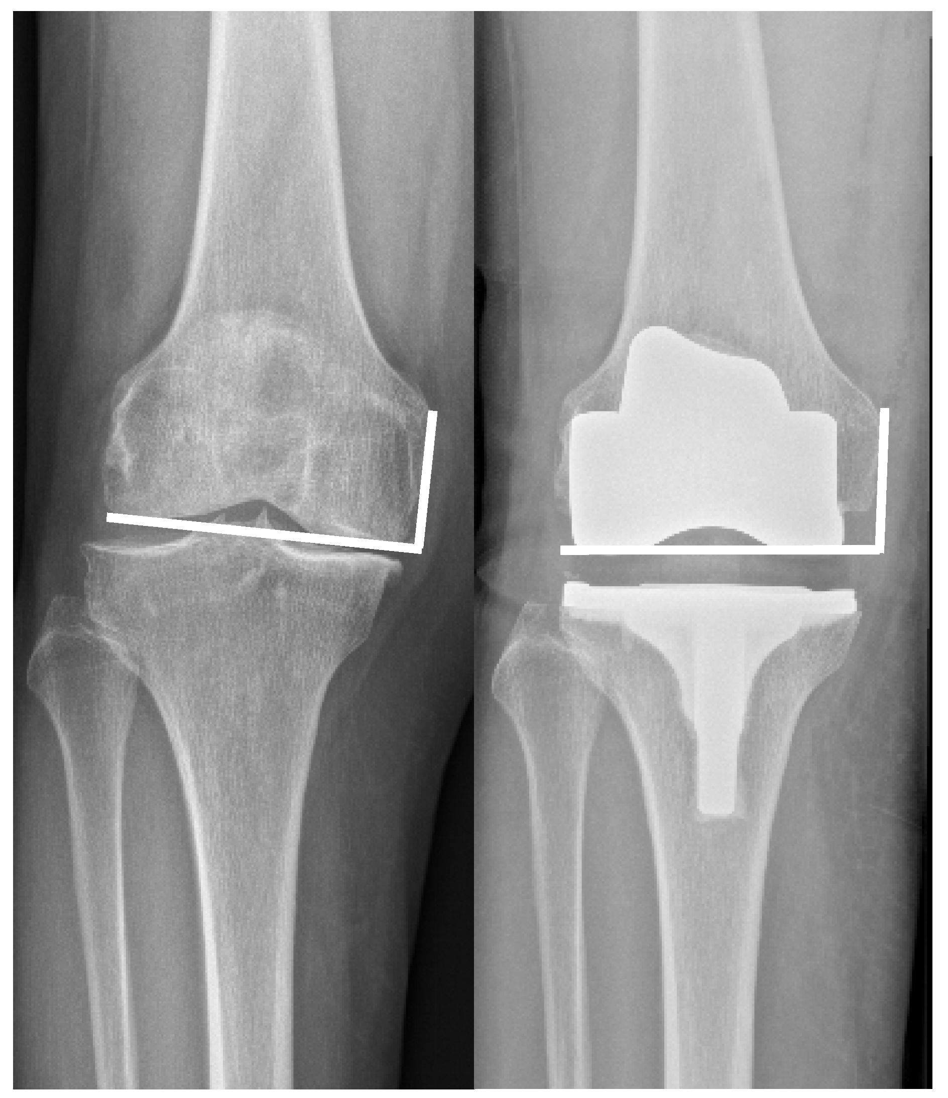
2. Materials and Methods
3. Results
4. Discussion
5. Conclusions
Author Contributions
Funding
Institutional Review Board Statement
Informed Consent Statement
Data Availability Statement
Conflicts of Interest
References
- Hofmann, A.A.; Kurtin, S.M.; Lyons, S.; Tanner, A.M.; Bolognesi, M.P. Clinical and radiographic analysis of accurate restoration of the joint line in revision total knee arthroplasty. J. Arthroplast. 2006, 21, 1154–1162. [Google Scholar] [CrossRef] [PubMed]
- van Lieshout, W.A.M.; Valkering, K.P.; Koenraadt, K.L.M.; van Etten-Jamaludin, F.S.; Kerkhoffs, G.; van Geenen, R.C.I. The negative effect of joint line elevation after total knee arthroplasty on outcome. Knee Surg. Sports Traumatol. Arthrosc. 2019, 27, 1477–1486. [Google Scholar] [CrossRef]
- Bellemans, J. Restoring the joint line in revision TKA: Does it matter? Knee 2004, 11, 3–5. [Google Scholar] [CrossRef]
- Stiehl, J.B.; Abbott, B.D. Morphology of the transepicondylar axis and its application in primary and revision total knee arthroplasty. J. Arthroplast. 1995, 10, 785–789. [Google Scholar] [CrossRef]
- Cross, M.B.; Nam, D.; Plaskos, C.; Sherman, S.L.; Lyman, S.; Pearle, A.D.; Mayman, D.J. Recutting the distal femur to increase maximal knee extension during TKA causes coronal plane laxity in mid-flexion. Knee 2012, 19, 875–879. [Google Scholar] [CrossRef] [PubMed]
- Luyckx, T.; Vandenneucker, H.; Ing, L.S.; Vereecke, E.; Ing, A.V.; Victor, J. Raising the Joint Line in TKA is Associated With Mid-flexion Laxity: A Study in Cadaver Knees. Clin. Orthop. Relat. Res. 2018, 476, 601–611. [Google Scholar] [CrossRef] [PubMed]
- Matziolis, G.; Brodt, S.; Windisch, C.; Roehner, E. Changes of posterior condylar offset results in midflexion instability in single-radius total knee arthroplasty. Arch. Orthop. Trauma Surg. 2017, 137, 713–717. [Google Scholar] [CrossRef] [PubMed]
- Koshire, S.; Mohanty, S.S.; Keny, S.A.; Rai, A.K.; Rathod, T.N.; Kamble, P. The influence of joint line restoration on functional outcome after primary total knee arthroplasty: A prospective study. J. Clin. Orthop. Trauma 2022, 34, 102023. [Google Scholar] [CrossRef] [PubMed]
- König, C.; Sharenkov, A.; Matziolis, G.; Taylor, W.R.; Perka, C.; Duda, G.N.; Heller, M.O. Joint line elevation in revision TKA leads to increased patellofemoral contact forces. J. Orthop. Res. 2010, 28, 1–5. [Google Scholar] [CrossRef] [PubMed]
- Richards, J.A.; Williams, M.D.; Gupta, N.A.; Smith, L.S.; Malkani, A.L. Neutral Mechanical Alignment Alters the Native Distal Femoral Joint Line: A Virtual Three-Dimensional Planning Total Knee Arthroplasty Study. J. Arthroplast. 2023, 38, 484–490. [Google Scholar] [CrossRef]
- Niki, Y.; Kobayashi, S.; Nagura, T.; Udagawa, K.; Harato, K. Joint Line Modification in Kinematically Aligned Total Knee Arthroplasty Improves Functional Activity but Not Patient Satisfaction. J. Arthroplast. 2018, 33, 2125–2130. [Google Scholar] [CrossRef] [PubMed]
- Popat, R.; Albelooshi, A.; Mahapatra, P.; Bollars, P.; Ettinger, M.; Jennings, S.; Van den Berg, J.L.; Nathwani, D. Improved joint line and posterior offset restoration in primary total knee replacement using a robotic-assisted surgical technique: An international multi-centre retrospective analysis of matched cohorts. PLoS ONE 2022, 17, e0272722. [Google Scholar] [CrossRef] [PubMed]
- Kowalczewski, J.B.; Labey, L.; Chevalier, Y.; Okon, T.; Innocenti, B.; Bellemans, J. Does joint line elevation after revision knee arthroplasty affect tibio-femoral kinematics, contact pressure or collateral ligament lengths? An in vitro analysis. Arch. Med. Sci. 2015, 11, 311–318. [Google Scholar] [CrossRef]
- Klemt, C.; Padmanabha, A.; Tirumala, V.; Smith, E.J.; Kwon, Y.M. The Effect of Joint Line Elevation on In Vivo Knee Kinematics in Bicruciate Retaining Total Knee Arthroplasty. J. Knee Surg. 2022, 35, 1445–1452. [Google Scholar] [CrossRef] [PubMed]
- Cooke, T.D.; Sled, E.A.; Scudamore, R.A. Frontal plane knee alignment: A call for standardized measurement. J. Rheumatol. 2007, 34, 1796–1801. [Google Scholar]
- Del Gaizo, D.J.; Della Valle, C.J. Instability in primary total knee arthroplasty. Orthopedics 2011, 34, e519–e521. [Google Scholar] [CrossRef] [PubMed]
- Chalmers, B.P.; Elmasry, S.S.; Kahlenberg, C.A.; Mayman, D.J.; Wright, T.M.; Westrich, G.H.; Imhauser, C.W.; Sculco, P.K.; Cross, M.B. Additional distal femoral resection increases mid-flexion coronal laxity in posterior-stabilized total knee arthroplasty with flexion contracture. Bone Jt. J. 2021, 103-B (Suppl. S6A), 87–93. [Google Scholar] [CrossRef] [PubMed]
- Babazadeh, S.; Dowsey, M.M.; Swan, J.D.; Stoney, J.D.; Choong, P.F. Joint line position correlates with function after primary total knee replacement: A randomised controlled trial comparing conventional and computer-assisted surgery. J. Bone Jt. Surg. Br. 2011, 93, 1223–1231. [Google Scholar] [CrossRef]
- Yang, J.H.; Seo, J.G.; Moon, Y.W.; Kim, M.H. Joint line changes after navigation-assisted mobile-bearing TKA. Orthopedics 2009, 32 (Suppl. S10), 35–39. [Google Scholar] [CrossRef]
- Ji, S.J.; Zhou, Y.X.; Jiang, X.; Cheng, Z.Y.; Wang, G.Z.; Ding, H.; Yang, M.L.; Zhu, Z.L. Effect of Joint Line Elevation after Posterior-stabilized and Cruciate-retaining Total Knee Arthroplasty on Clinical Function and Kinematics. Chin. Med. J. 2015, 128, 2866–2872. [Google Scholar] [CrossRef]
- Snider, M.G.; Macdonald, S.J. The influence of the posterior cruciate ligament and component design on joint line position after primary total knee arthroplasty. J. Arthroplast. 2009, 24, 1093–1098. [Google Scholar] [CrossRef] [PubMed]
- Selvarajah, E.; Hooper, G. Restoration of the joint line in total knee arthroplasty. J. Arthroplast. 2009, 24, 1099–1102. [Google Scholar] [CrossRef] [PubMed]
- Schnurr, C.; Eysel, P.; König, D.P. Is the effect of a posterior cruciate ligament resection in total knee arthroplasty predictable? Int. Orthop. 2012, 36, 83–88. [Google Scholar] [CrossRef]
- Hino, K.; Ishimaru, M.; Iseki, Y.; Watanabe, S.; Onishi, Y.; Miura, H. Mid-flexion laxity is greater after posterior-stabilised total knee replacement than with cruciate-retaining procedures: A computer navigation study. Bone Jt. J. 2013, 95-b, 493–497. [Google Scholar] [CrossRef]
- Cope, M.R.; O’Brien, B.S.; Nanu, A.M. The influence of the posterior cruciate ligament in the maintenance of joint line in primary total knee arthroplasty: A radiologic study. J. Arthroplast. 2002, 17, 206–208. [Google Scholar] [CrossRef] [PubMed]
- Jawhar, A.; Shah, V.; Sohoni, S.; Scharf, H.P. Joint line changes after primary total knee arthroplasty: Navigated versus non-navigated. Knee Surg. Sports Traumatol. Arthrosc. 2013, 21, 2355–2362. [Google Scholar] [CrossRef] [PubMed]
- Mayne, A.I.; Rajgor, H.; Munasinghe, C.; Agrawal, Y.; Pagkalos, J.; Davis, E.T.; Sharma, A.D. The ROSA robotic-arm system reliably restores joint line height, patella height and posterior condylar offset in total knee arthroplasty. Knee 2024, 48, 1–7. [Google Scholar] [CrossRef] [PubMed]
- Pang, H.N.; Yeo, S.J.; Chong, H.C.; Chin, P.L.; Chia, S.L.; Lo, N.N. Joint line changes and outcomes in constrained versus unconstrained total knee arthroplasty for the type II valgus knee. Knee Surg. Sports Traumatol. Arthrosc. 2013, 21, 2363–2369. [Google Scholar] [CrossRef] [PubMed]




| PS-TKA | CR-TKA | p-Value | |
|---|---|---|---|
| n | 79 | 36 | |
| Age | 72.9 (52–88) | 71.2 (55–89) | 0.31 |
| Male/Female | 32/47 | 16/20 | 0.69 |
| Varus/Valgus | 45/34 | 27/9 | 0.096 |
Disclaimer/Publisher’s Note: The statements, opinions and data contained in all publications are solely those of the individual author(s) and contributor(s) and not of MDPI and/or the editor(s). MDPI and/or the editor(s) disclaim responsibility for any injury to people or property resulting from any ideas, methods, instructions or products referred to in the content. |
© 2025 by the authors. Licensee MDPI, Basel, Switzerland. This article is an open access article distributed under the terms and conditions of the Creative Commons Attribution (CC BY) license (https://creativecommons.org/licenses/by/4.0/).
Share and Cite
Jungwirth-Weinberger, A.; Kasparek, M.F.; Pattabiraman, K.; Sain, A.; Muellner, M.; Scheidl, T.; Haider, O.; Muellner, T. Influence of Mechanical Deformity on Joint Line Reconstruction. J. Clin. Med. 2025, 14, 1264. https://doi.org/10.3390/jcm14041264
Jungwirth-Weinberger A, Kasparek MF, Pattabiraman K, Sain A, Muellner M, Scheidl T, Haider O, Muellner T. Influence of Mechanical Deformity on Joint Line Reconstruction. Journal of Clinical Medicine. 2025; 14(4):1264. https://doi.org/10.3390/jcm14041264
Chicago/Turabian StyleJungwirth-Weinberger, Anna, Maximilian F. Kasparek, Kirubakaran Pattabiraman, Arnab Sain, Maximilian Muellner, Tobias Scheidl, Oliver Haider, and Thomas Muellner. 2025. "Influence of Mechanical Deformity on Joint Line Reconstruction" Journal of Clinical Medicine 14, no. 4: 1264. https://doi.org/10.3390/jcm14041264
APA StyleJungwirth-Weinberger, A., Kasparek, M. F., Pattabiraman, K., Sain, A., Muellner, M., Scheidl, T., Haider, O., & Muellner, T. (2025). Influence of Mechanical Deformity on Joint Line Reconstruction. Journal of Clinical Medicine, 14(4), 1264. https://doi.org/10.3390/jcm14041264

