Bone Resorption Assessment Following Zygomatic Implants Surgery over 10 Years of Follow-Up
Abstract
1. Introduction
2. Materials and Methods
2.1. Research Design
2.2. Sample
2.3. Data Collection Instruments
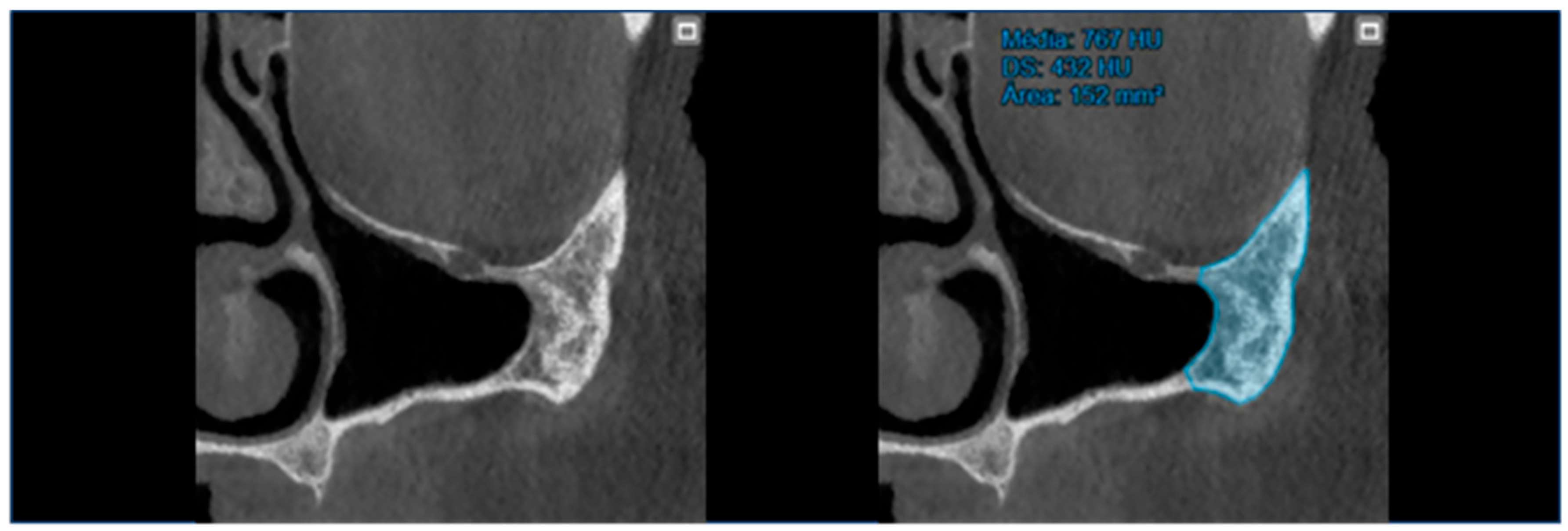
- At T0 (preoperative), the area and bone density of the zygomatic bone were recorded (Figure 1).
- At T1 (12 months of follow-up), the area and density of the zygomatic bone, the upper contact distance between the zygomatic bone and the zygomatic implant, and the lower contact distance between the zygomatic bone and the zygomatic implant were evaluated (Figure 2).
- At T2 (120 months of follow-up), the area and density of the zygomatic bone, the upper contact distance between the zygomatic bone and the zygomatic implant, and the lower contact distance between the zygomatic bone and the zygomatic implant were also evaluated (Figure 3).
2.4. Statistical Analysis
3. Results
4. Discussion
4.1. Implant Survival
4.2. Surgical Approach
4.3. Loading Protocol
4.4. Microbiology
4.5. Bone Resorption
4.6. Bone Density
4.7. Complications
4.8. Prosthesis Survival
5. Limitations
6. Conclusions
Author Contributions
Funding
Institutional Review Board Statement
Informed Consent Statement
Data Availability Statement
Conflicts of Interest
References
- Polido, W.D.; Machado-Fernandez, A.; Lin, W.-S.; Aghaloo, T. Indications for zygomatic implants: A systematic review. Int. J. Implant. Dent. 2023, 9, 1–14. [Google Scholar] [CrossRef]
- Schliephake, H. The role of systemic diseases and local conditions as risk factors. Periodontol. 2000 2022, 88, 36–51. [Google Scholar] [CrossRef] [PubMed]
- Chen, H.M.; Shen, K.; Ji, L.; McGrath, C.; Chen, H. Global and Regional Patterns in Edentulism (1990–2021) With Predictions to 2040. Int. Dent. J. 2024. Epub ahead of print. [Google Scholar] [CrossRef] [PubMed]
- Mameno, T.; Otsuki, N.; Takeuchi, S.; Yamamoto, R.; Ikebe, K. Removable denture use, fit, and all-cause mortality in older adults with reduced occlusal support: The OHSAKA study. J. Prosthet. Dent. 2024. Epub ahead of print. [Google Scholar] [CrossRef] [PubMed]
- Komiyama, T.; Gallagher, J.E.; Hattori, Y. Relationship between tooth loss and progression of frailty: Findings from the English longitudinal study of aging. Arch. Gerontol. Geriatr. 2024, 127, 105572. [Google Scholar] [CrossRef] [PubMed]
- Tallgren, A. The continuing reduction of the residual alveolar ridges in complete denture wearers: A mixed-longitudinal study covering 25 years. J. Prosthet. Dent. 2003, 89, 427–435. [Google Scholar] [CrossRef]
- Brånemark, P.; Gröndahl, K.; Öhrnell, L.; Nilsson, P.; Petruson, B.; Svensson, B.; Engstrand, P.; Nannmark, U. Zygoma fixture in the management of advanced atrophy of the maxilla: Technique and long-term results. Scand. J. Plast. Reconstr. Surg. Hand Surg. 2004, 38, 70–85. [Google Scholar] [CrossRef]
- Pérez, A.S.; Pastorino, D.; Aparicio, C.; Neyra, M.P.; Khan, R.S.; Wright, S.; Ucer, C. Success Rates of Zygomatic Implants for the Rehabilitation of Severely Atrophic Maxilla: A Systematic Review. Dent. J. 2022, 10, 151. [Google Scholar] [CrossRef] [PubMed]
- Merli, M.; Aquilanti, L.; Merli, M.; Mariotti, G.; Rappelli, G. Stepwise Protocol for Alveolar Ridge Augmentation Using Customized Titanium Mesh. Medicina 2025, 61, 58. [Google Scholar] [CrossRef] [PubMed] [PubMed Central]
- Ishak, M.I.; Kadir, M.R.A.; Sulaiman, E.; Abu Kasim, N.H. Finite Element Analysis of Zygomatic Implants in Intrasinus and Extramaxillary Approaches for Prosthetic Rehabilitation in Severely Atrophic Maxillae. Int. J. Oral Maxillofac. Implant. 2013, 28, e151–e160. [Google Scholar] [CrossRef] [PubMed]
- Goker, F.; Grecchi, E.; Del Fabbro, M.; Longoni, S.; Stefanelli, L.V.; Grecchi, F. Zygomatic Implant Insertion in MRONJ: A Case Report with a Follow-Up of 3 Years. J. Clin. Med. 2023, 12, 3300. [Google Scholar] [CrossRef] [PubMed]
- Muñoz, D.G.; Aldover, C.O.; Zubizarreta-Macho, Á.; Menéndez, H.G.; Castro, J.L.; Peñarrocha-Oltra, D.; Montiel-Company, J.M.; Montero, S.H. Survival Rate and Prosthetic and Sinus Complications of Zygomatic Dental Implants for the Rehabilitation of the Atrophic Edentulous Maxilla: A Systematic Review and Meta-Analysis. Biology 2021, 10, 601. [Google Scholar] [CrossRef] [PubMed]
- Fan, S.; Sáenz-Ravello, G.; Diaz, L.; Wu, Y.; Davó, R.; Wang, F.; Magic, M.; Al-Nawas, B.; Kämmerer, P.W. The Accuracy of Zygomatic Implant Placement Assisted by Dynamic Computer-Aided Surgery: A Systematic Review and Meta-Analysis. J. Clin. Med. 2023, 12, 5418. [Google Scholar] [CrossRef] [PubMed]
- Sanavia, C.; Vallerga, E.; Alessi, F.; Tealdo, T.; Bevilacqua, M.; Alberti, C.; Menini, M.; Pesce, P. Five Steps for the Maintenance and Interception of Complications in Zygomatic Implants. Dent. J. 2023, 11, 226. [Google Scholar] [CrossRef] [PubMed]
- Gabriele, G.; Chisci, G.; Cascino, F.; Ricci, N.M.; Marruganti, C.; Ferrari, M. Technique-Related Survival Rate and Complications of Zygomatic Implant Placement: A Systematic Review and Meta-Analysis. Int. J. Oral Maxillofac. Implant. 2023, 38, 855–875. [Google Scholar] [CrossRef] [PubMed]
- Wadde, K.; Kokitkar, S.; Venkatakrishnan, L.; Ranganath, S.; Khaire, S. Comparative Evaluation of Sinus Complication and Survival Rates of Quad Zygoma versus Bizygoma in Combination with two Regular Implants in Atrophic Maxilla: A Systematic Review and Meta-Analysis. J. Maxillofac. Oral Surg. 2024, 23, 710–718. [Google Scholar] [CrossRef]
- Aparicio, C. A proposed classification for zygomatic implant patient based on the zygoma anatomy guided approach (ZAGA): A cross-sectional survey. Eur. J. Oral. Implantol. 2011, 4, 269–275. [Google Scholar] [PubMed]
- Roper, M.B.; Vissink, A.; Dudding, T.; Pollard, A.; Gareb, B.; Malevez, C.; Balshi, T.; Brecht, L.; Kumar, V.; Wu, Y.; et al. Long-term treatment outcomes with zygomatic implants: A systematic review and meta-analysis. Int. J. Implant. Dent. 2023, 9, 1–22. [Google Scholar] [CrossRef]
- Chrcanovic, B.R.; Abreu, M.H.N.G. Survival and complications of zygomatic implants: A systematic review. Oral Maxillofac. Surg. 2012, 17, 81–93. [Google Scholar] [CrossRef] [PubMed]
- Chrcanovic, B.R.; Albrektsson, T.; Wennerberg, A. Survival and Complications of Zygomatic Implants: An Updated Systematic Review. J. Oral Maxillofac. Surg. 2016, 74, 1949–1964. [Google Scholar] [CrossRef]
- Gracher, A.H.P.; de Moura, M.B.; Peres, P.d.S.; Thomé, G.; Padovan, L.E.M.; Trojan, L.C. Full arch rehabilitation in patients with atrophic upper jaws with zygomatic implants: A systematic review. Int. J. Implant. Dent. 2021, 7, 1–9. [Google Scholar] [CrossRef]
- Ahlgren, F.; Størksen, K.; Tornes, K. A study of 25 zygomatic dental implants with 11 to 49 months’ follow-up after loading. Int. J. Oral Maxillofac. Implant. 2006, 21, 421–425. [Google Scholar]
- Kämmerer, P.W.; Fan, S.; Aparicio, C.; Bedrossian, E.; Davó, R.; Morton, D.; Raghoebar, G.M.; Zarrine, S.; Al-Nawas, B. Evaluation of surgical techniques in survival rate and complications of zygomatic implants for the rehabilitation of the atrophic edentulous maxilla: A systematic review. Int. J. Implant. Dent. 2023, 9, 1–16. [Google Scholar] [CrossRef]
- Vrielinck, L.; Moreno-Rabie, C.; Schepers, S.; Van Eyken, P.; Coucke, W.; Politis, C. Peri-zygomatic infection associated with zygomatic implants: A retrospective longitudinal cohort study. Clin. Oral Implant. Res. 2022, 33, 405–412. [Google Scholar] [CrossRef]
- Lopes, A.; Nobre, M.d.A.; Ferro, A.; Guedes, C.M.; Almeida, R.; Nunes, M. Zygomatic Implants Placed in Immediate Function through Extra-Maxillary Surgical Technique and 45 to 60 Degrees Angulated Abutments for Full-Arch Rehabilitation of Extremely Atrophic Maxillae: Short-Term Outcome of a Retrospective Cohort. J. Clin. Med. 2021, 10, 3600. [Google Scholar] [CrossRef] [PubMed]
- Ottenhausen, M.; Kalasauskas, D.; Kramer, A.; Neuhoff, J.; Serrano, L.; Schwandt, E.; Ringel, F. Bone Flap Necrosis Due to Low-Grade Infection with Propionibacterium acnes. World Neurosurg. 2018, 124, 1–3. [Google Scholar] [CrossRef]
- Tavelli, C.; Tedesco, A. Survival and complication rate of zygomatic implants: A systematic review. J. Oral Implant. 2022. Epub ahead of print. [Google Scholar] [CrossRef] [PubMed]
- Lombardo, G.; D’Agostino, A.; Trevisiol, L.; Romanelli, M.G.; Mascellaro, A.; Gomez-Lira, M.; Pardo, A.; Favero, V.; Nocini, P.F. Clinical, microbiologic and radiologic assessment of soft and hard tissues surrounding zygomatic implants: A retrospective study. Oral Surgery, Oral Med. Oral Pathol. Oral Radiol. 2016, 122, 537–546. [Google Scholar] [CrossRef]
- Davó, R.; Bankauskas, S.; Laurincikas, R.; Koçyigit, I.D.; Mate Sanchez de Val, J.E. Clinical Performance of Zygomatic Implants—Retrospective Multicenter Study. J. Clin. Med. 2020, 9, 480. [Google Scholar] [CrossRef]
- Moraschini, V.; de Queiroz, T.R.; Sartoretto, S.C.; de Almeida, D.C.F.; Calasans-Maia, M.D.; Louro, R.S. Survival and complications of zygomatic implants compared to conventional implants reported in longitudinal studies with a follow-up period of at least 5 years: A systematic review and meta-analysis. Clin. Implant. Dent. Relat. Res. 2022, 25, 177–189. [Google Scholar] [CrossRef] [PubMed]
- Lan, K.; Wang, F.; Huang, W.; Davó, R.; Wu, Y. Quad Zygomatic Implants: A Systematic Review and Meta-analysis on Survival and Complications. Int. J. Oral Maxillofac. Implant. 2021, 36, 21–29. [Google Scholar] [CrossRef] [PubMed]
- Vrielinck, L.; Moreno-Rabie, C.; Coucke, W.; Jacobs, R.; Politis, C. Retrospective cohort assessment of survival and complications of zygomatic implants in atrophic maxillae. Clin. Oral Implant. Res. 2022, 34, 148–156. [Google Scholar] [CrossRef]
- A Zwahlen, R.; Grätz, K.W.; Oechslin, C.K.; Studer, S.P. Survival rate of zygomatic implants in atrophic or partially resected maxillae prior to functional loading: A retrospective clinical report. Int. J. Oral Maxillofac. Implant. 2006, 21, 413–420. [Google Scholar]
- Malevez, C.; Daelemans, P.; Adriaenssens, P.; Durdu, F. Use of zygomatic implants to deal with resorbed posterior maxillae. Periodontol. 2000 2003, 33, 82–89. [Google Scholar] [CrossRef] [PubMed]
- Higuchi, K.W. The zygomaticus fixture: An alternative approach for implant anchorage in the posterior maxilla. Ann. R. Australas. Coll. Dent. 2000, 15, 28–33. [Google Scholar]
- Pi Urgell, J.; RevillaGutiérrez, V.; Gay Escoda, C.G. Rehabilitation of atrophic maxilla: A review of 101 zygomatic implants. Med. Oral Patol. Oral Cir. Bucal. 2008, 13, E363–E370. [Google Scholar] [PubMed]
- Parel, S.M.; Brånemark, P.-I.; Ohrnell, L.-O.; Svensson, B. Remote implant anchorage for the rehabilitation of maxillary defects. J. Prosthet. Dent. 2001, 86, 377–381. [Google Scholar] [CrossRef] [PubMed]
- Wittneben, J.-G.; Millen, C.; Brägger, U. Clinical Performance of Screw- Versus Cement-Retained Fixed Implant-Supported Reconstructions—A Systematic Review. Int. J. Oral Maxillofac. Implant. 2014, 29, 84–98. [Google Scholar] [CrossRef]
- Davó, R.; Pons, O. 5-year outcome of cross-arch prostheses supported by four immediately loaded zygomatic implants: A pro-spective case series. Eur. J. Oral. Implantol. 2015, 8, 169–174. [Google Scholar] [PubMed]
- Dash, K.C.; Praveena, K.N.V.L.; Mansuri, S.; Ali, R.H.; Sailasri, K.; Karre, S.; Managutti, A. Analysis of Long-Term Success and Biological Complications in Zygomatic Implant-Supported Prostheses. J. Pharm. Bioallied Sci. 2024, 16, S2455–S2457. [Google Scholar] [CrossRef]
- Varghese, K.G.; Gandhi, N.; Kurian, N.; Daniel, A.Y.; Dhawan, K.; Joseph, M.; Varghese, M.G. Rehabilitation of the severely resorbed maxilla by using quad zygomatic implant-supported prostheses: A systematic review and meta-analysis. J. Prosthet. Dent. 2021, 130, 543–552. [Google Scholar] [CrossRef] [PubMed]



| Variable | Statistical Parameter |
|---|---|
| Sample N | 50 |
| Age Mean ± SD, years | 60.32 ± 10.43 |
| Gender n (percentage) | Male: 17 (34.0); Female: 33 (66.0). |
| Zygoma Anatomy-Guided Approach (ZAGA) (1st Quadrant) n (percentage) | ZAGA 0: 3 (6.0); ZAGA I: 40 (80.0); ZAGA II: 6 (12.0); ZAGA III: 1 (2.0); ZAGA IV: 0 (0.0). |
| Zygoma Anatomy-Guided Approach (ZAGA) (2nd Quadrant) n (percentage) | ZAGA 0: 5 (10.0); ZAGA I: 37 (74.0); ZAGA II: 8 (16.0); ZAGA III: 0 (0.0); ZAGA IV: 0 (0.0). |
| Zygomatic Implant Length (1st Quadrant) n (percentage) | 4.5 × 32.5 mm: 9 (18.0); 4.5 × 35 mm: 12 (24.0); 4.5 × 37.5 mm: 9 (18.0); 4.5 × 40 mm: 9 (18.0); 4.5 × 42.5 mm: 5 (10.0); 4.5 × 45 mm: 4 (8.0); 4.5 × 47.5 mm: 1 (2.0); 4.5 × 50 mm: 1 (2.0). |
| Zygomatic Implant Length (2nd Quadrant) n (percentage) | 4.5 × 32.5 mm: 7 (14.0); 4.5 × 35 mm: 10 (20.0); 4.5 × 37.5 mm: 14 (28.0); 4.5 × 40 mm: 9 (18.0); 4.5 × 42.5 mm: 6 (12.0); 4.5 × 45 mm: 2 (4.0); 4.5 × 47.5 mm: 1 (2.0); 4.5 × 50 mm: 1 (2.0). |
| Zygomatic Implant Torque (1st Quadrant) Mean ± SD, Newtons | 48.70 ± 11.19 |
| Zygomatic Implant Torque (2nd Quadrant) Mean ± SD, Newtons | 49.70 ± 10.95 |
| Loading Protocol n (percentage) | Immediate: 40 (80.0); Early: 3 (6.0); Delayed: 7 (14.0). |
| Antagonist Occlusion n (percentage) | Natural Teeth: 15 (30.0); Removable Partial Denture: 1 (2.0); Overdenture: 4 (8.0); Partial Fixed Implants: 4 (8.0); Total Fixed Implants: 26 (52.0). |
| Complications n (percentage) | No: 46 (92.0); Yes: 4 (8.0). |
| Variable | Statistical Parameter |
|---|---|
| Standard Implant 1 Position n (percentage) | 1.1 position: 27 (54.0); 1.2 position: 15 (30.0); 1.3 position: 5 (10.0); 1.4 position: 1 (2.0); 1.7 position: 2 (4.0). |
| Standard Implant 1 Length n (percentage) | 3.25 × 8.5 mm: 5 (10.0); 3.25 × 10 mm: 4 (8.0); 3.75 × 7 mm: 1 (2.0); 3.75 × 8.5 mm: 7 (14.0); 3.75 × 10 mm: 12 (24.0); 3.75 × 11.5 mm: 2 (4.0); 3.75 × 15 mm: 3 (6.0); 4.1 × 7 mm: 8 (16.0); 4.1 × 8.5 mm: 2 (4.0); 4.1 × 10 mm: 2 (4.0); 4.5 × 8.5 mm: 1 (2.0); 4.5 × 10 mm: 2 (4.0); 4.5 × 15 mm: 1 (2.0). |
| Standard Implant 1 Torque Mean ± SD, Newtons | 43.10 ± 11.51 |
| Standard Implant 2 Position n (percentage) | 1.2 position: 5 (10.0); 1.3 position: 18 (36.0); 1.4 position: 6 (12.0); 1.6 position: 3 (6.0); 1.7 position: 1 (2.0); 2.1 position: 8 (16.0); 2.2 position: 6 (12.0); 2.3 position: 3 (6.0). |
| Standard Implant 2 Length n (percentage) | 3.25 × 8.5 mm: 4 (8.0); 3.25 × 10 mm: 2 (4.0); 3.75 × 7 mm: 2 (4.0); 3.75 × 8.5 mm: 8 (16.0); 3.75 × 10 mm: 15 (30.0); 3.75 × 11.5 mm: 3 (6.0); 3.75 × 13 mm: 1 (2.0); 3.75 × 15 mm: 2 (4.0); 4.1 × 7 mm: 4 (8.0); 4.1 × 8.5 mm: 2 (4.0); 4.1 × 10 mm: 3 (6.0); 4.1 × 11.5 mm: 1 (2.0); 4.1 × 13 mm: 1 (2.0); 4.5 × 13 mm: 1 (2.0); 5 × 10 mm: 1 (2.0). |
| Standard Implant 2 Torque Mean ± SD, Newtons | 40.30 ± 13.49 |
| Standard Implant 3 Position n (percentage) | 1.6 position: 1 (2.0); 2.1 position: 19 (38.0); 2.2 position: 11 (22.0); 2.3 position: 2 (4.0); 2.4 position: 3 (6.0); 2.7 position: 2 (4.0). |
| Standard Implant 3 Length n (percentage) | 3.25 × 8.5 mm: 2 (4.0); 3.25 × 10 mm: 3 (6.0); 3.75 × 7 mm: 4 (8.0); 3.75 × 8.5 mm: 7 (14.0); 3.75 × 10 mm: 5 (10.0); 3.75 × 11.5 mm: 3 (6.0); 3.75 × 15 mm: 3 (6.0); 4.1 × 7 mm: 2 (4.0); 4.1 × 8.5 mm: 1 (2.0); 4.1 × 10 mm: 1 (2.0); 4.5 × 8.5 mm: 3 (6.0); 4.5 × 10 mm: 3 (6.0); 5 × 11.5 mm: 1 (2.0). |
| Standard Implant 3 Torque Mean ± SD, Newtons | 43.68 ± 14.17 |
| Standard Implant 4 Position n (percentage) | 2.2 position: 4 (8.0); 2.3 position: 14 (28.0); 2.4 position: 6 (12.0); 2.6 position: 4 (8.0). |
| Standard Implant 4 Length n (percentage) | 3.25 × 8.5 mm: 2 (4.0); 3.75 × 7 mm: 1 (2.0); 3.75 × 8.5 mm: 6 (12.0); 3.75 × 10 mm: 11 (22.0); 3.75 × 11.5 mm: 1 (2.0); 4.1 × 7 mm: 1 (2.0); 4.1 × 8.5 mm: 1 (2.0); 4.1 × 11.5 mm: 1 (2.0); 4.1 × 15 mm: 1 (2.0); 4.5 × 8.5 mm: 1 (2.0); 4.5 × 10 mm: 1 (2.0); 5.0 × 13 mm: 1 (2.0). |
| Standard Implant 4 Torque Mean ± SD, Newtons | 37.68 ± 16.70 |
| Variable | Statistical Parameter |
|---|---|
| Zygomatic Bone Area (1st Quadrant) (mm2) Mean ± SD, Newtons | T0: 205.96 ± 63.54; T1: 205.96 ± 63.54; T2: 205.96 ± 63.54. |
| Zygomatic Bone Area (2nd Quadrant) (mm2) Mean ± SD, Newtons | T0: 204.18 ± 64.91; T1: 204.18 ± 64.91; T2: 204.18 ± 64.91. |
| Zygomatic Bone Density (1st Quadrant) (HU) Mean ± SD, Newtons | T0: 1077.23 ± 264.90; T1: 2642.06 ± 550.33; T2: 2853.04 ± 530.26. |
| Zygomatic Bone Density (2nd Quadrant) (HU) Mean ± SD, Newtons | T0: 1030.46 ± 314.13; T1: 2457.86 ± 561.85; T2: 2696.60 ± 583.29. |
| Upper Contact Distance between Zygomatic Bone and Zygomatic Implant (1st Quadrant) (mm) Mean ± SD, Newtons | T0: No valid cases; T1: 9.01 ± 3.19; T2: 9.10 ± 3.23. |
| Upper Contact Distance between Zygomatic Bone and Zygomatic Implant (2nd Quadrant) (mm) Mean ± SD, Newtons | T0: No valid cases; T1: 8.04 ± 3.02; T2: 8.20 ± 3.19. |
| Lower Contact Distance between Zygomatic Bone and Zygomatic Implant (1st Quadrant) (mm) Mean ± SD, Newtons | T0: No valid cases; T1: 13.70 ± 4.74; T2: 13.61 ± 4.62. |
| Lower Contact Distance between Zygomatic Bone and Zygomatic Implant (2nd Quadrant) (mm) Mean ± SD, Newtons | T0: No valid cases; T1: 14.69 ± 4.96; T2: 14.65 ± 4.98. |
| Variable | Test Statistics (F) | p-Value |
|---|---|---|
| Zygomatic Bone Area (1st Quadrant) (mm2) Mean ± SD. Newtons | 0.000 | 1.000 |
| Zygomatic Bone Area (2nd Quadrant) (mm2) Mean ± SD. Newtons | 0.000 | 1.000 |
| Zygomatic Bone Density (1st Quadrant) (HU) Mean ± SD. Newtons | 215.782 | <0.001 *** |
| Zygomatic Bone Density (2nd Quadrant) (HU) Mean ± SD. Newtons | 161.364 | <0.001 *** |
| Upper Contact Distance between Zygomatic Bone and Zygomatic Implant (1st Quadrant) (mm) Mean ± SD. Newtons | 0.021 | 0.886 |
| Upper Contact Distance between Zygomatic Bone and Zygomatic Implant (2nd Quadrant) (mm) Mean ± SD. Newtons | 0.065 | 0.800 |
| Lower Contact Distance between Zygomatic Bone and Zygomatic Implant (1st Quadrant) (mm) Mean ± SD. Newtons | 0.010 | 0.922 |
| Lower Contact Distance between Zygomatic Bone and Zygomatic Implant (2nd Quadrant) (mm) Mean ± SD. Newtons | 0.001 | 0.974 |
| Variable | Comparison | Mean Difference (I–J) | Std. Error | p-Value | |
|---|---|---|---|---|---|
| Zygomatic Bone Density (1st Quadrant) (HU) | T0 | T1 | −1564.820 * | 93.396 | <0.001 |
| T2 | −1775.800 * | 93.396 | <0.001 | ||
| T1 | T0 | 1564.820 * | 93.396 | <0.001 | |
| T2 | −210.980 | 93.396 | 0.076 | ||
| T2 | T0 | 1775.800 * | 93.396 | <0.001 | |
| T1 | 210.980 | 93.396 | 0.076 | ||
| Zygomatic Bone Density (2nd Quadrant) (HU) | T0 | T1 | −1427.400 * | 100.305 | <0.001 |
| T2 | −1666.140 * | 100.305 | <0.001 | ||
| T1 | T0 | 1427.400 * | 100.305 | <0.001 | |
| T2 | −238.740 | 100.305 | 0.056 | ||
| T2 | T0 | 1666.140 * | 100.305 | <0.001 | |
| T1 | 238.740 | 100.305 | 0.056 | ||
Disclaimer/Publisher’s Note: The statements, opinions and data contained in all publications are solely those of the individual author(s) and contributor(s) and not of MDPI and/or the editor(s). MDPI and/or the editor(s) disclaim responsibility for any injury to people or property resulting from any ideas, methods, instructions or products referred to in the content. |
© 2025 by the authors. Licensee MDPI, Basel, Switzerland. This article is an open access article distributed under the terms and conditions of the Creative Commons Attribution (CC BY) license (https://creativecommons.org/licenses/by/4.0/).
Share and Cite
Duarte, F.; Ramos, C.; Santos-Marino, J.; Martínez-Rodriguez, N.; Barona-Dorado, C.; Martínez-González, J.M. Bone Resorption Assessment Following Zygomatic Implants Surgery over 10 Years of Follow-Up. J. Clin. Med. 2025, 14, 989. https://doi.org/10.3390/jcm14030989
Duarte F, Ramos C, Santos-Marino J, Martínez-Rodriguez N, Barona-Dorado C, Martínez-González JM. Bone Resorption Assessment Following Zygomatic Implants Surgery over 10 Years of Follow-Up. Journal of Clinical Medicine. 2025; 14(3):989. https://doi.org/10.3390/jcm14030989
Chicago/Turabian StyleDuarte, Fernando, Carina Ramos, Juan Santos-Marino, Natalia Martínez-Rodriguez, Cristina Barona-Dorado, and José María Martínez-González. 2025. "Bone Resorption Assessment Following Zygomatic Implants Surgery over 10 Years of Follow-Up" Journal of Clinical Medicine 14, no. 3: 989. https://doi.org/10.3390/jcm14030989
APA StyleDuarte, F., Ramos, C., Santos-Marino, J., Martínez-Rodriguez, N., Barona-Dorado, C., & Martínez-González, J. M. (2025). Bone Resorption Assessment Following Zygomatic Implants Surgery over 10 Years of Follow-Up. Journal of Clinical Medicine, 14(3), 989. https://doi.org/10.3390/jcm14030989

