Pediatric Pulmonary Arteriovenous Malformations in Patients with Hereditary Hemorrhagic Telangiectasia: Screening, Diagnosis, and Management
Abstract
1. Introduction
2. Screening
2.1. Conservative Screening Approach
2.2. Transthoracic Contrast Echocardiography with Agitated Saline (TTCE)
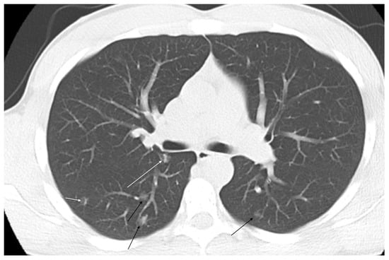
2.3. Computed Tomography (CT)
3. Imaging Findings
3.1. Transthoracic Contrast Echocardiography with Agitated Saline (TTCE)
3.2. Computed Tomography (CT)
3.3. Angiography
4. Treatment
4.1. When to Treat
4.2. How to Treat
4.2.1. Embolotherapy
4.2.2. Surgery
5. Follow-Up Post Treatment
6. Conclusions
Author Contributions
Funding
Data Availability Statement
Conflicts of Interest
Abbreviations
| PAVM | Pulmonary arteriovenous malformation |
| HHT | Hereditary hemorrhagic telangiectasia |
| AVM | Arteriovenous malformation |
| TIA | Transient ischemic attacks |
| TTCE | Transthoracic Contrast Echocardiography with Agitated |
| GGO | Ground glass opacities |
| CT | Computed tomography |
| ACT | Activated clotting time |
References
- Gossage, J.R.; Kanj, G. Pulmonary Arteriovenous Malformations. A State of the Art Review. Am. J. Respir. Crit. Care Med. 1998, 158, 643–661. [Google Scholar] [CrossRef] [PubMed]
- Srivastava, D.; Preminger, T.; Lock, J.E.; Mandell, V.; Keane, J.F.; Mayer, J.J.E.; Kozakewich, H.; Spevak, P.J. Hepatic Venous Blood and the Development of Pulmonary Arteriovenous Malformations in Congenital Heart Disease. Circulation 1995, 92, 1217–1222. [Google Scholar] [CrossRef] [PubMed]
- Cloutier, A.; Ash, J.M.; Smallhorn, J.F.; Williams, W.G.; Trusler, G.A.; Rowe, R.D.; Rabinovitch, M. Abnormal distribution of pulmonary blood flow after the Glenn shunt or Fontan procedure: Risk of development of arteriovenous fistulae. Circulation 1985, 72, 471–479. [Google Scholar] [CrossRef] [PubMed]
- Abdulkarim, A.; Shaji, S.; Elfituri, M.; Gunsaulus, M.; Zafar, M.A.; Zaidi, A.N.; Pass, R.H.; Feingold, B.; Kurland, G.; Kreutzer, J.; et al. Pulmonary Complications in Patients with Fontan Circulation: Jacc Review Topic of the Week. J. Am. Coll. Cardiol. 2023, 81, 2434–2444. [Google Scholar] [CrossRef]
- Gefen, A.M.; White, A.J. Asymptomatic pulmonary arteriovenous malformations in children with hereditary hemorrhagic telangiectasia. Pediatr. Pulmonol. 2017, 52, 1194–1197. [Google Scholar] [CrossRef]
- Shovlin, C.L.; Jackson, J.E.; Bamford, K.B.; Jenkins, I.H.; Benjamin, A.R.; Ramadan, H.; Kulinskaya, E. Primary determinants of ischaemic stroke/brain abscess risks are independent of severity of pulmonary arteriovenous malformations in hereditary haemorrhagic telangiectasia. Thorax 2008, 63, 259–266. [Google Scholar] [CrossRef]
- Sánchez-Fernández, G.; García-López, F.; Martínez-Bendayán, I.; Bello-Peón, M.J.; Marzoa-Rivas, R. Pulmonary Arteriovenous Malformation and Embolic Myocardial Infarction in a Patient With Hereditary Hemorrhagic Telangiectasia. JACC Case Rep. 2020, 2, 316–318. [Google Scholar] [CrossRef]
- Shovlin, C.L. Hereditary haemorrhagic telangiectasia: Pathophysiology, diagnosis and treatment. Blood Rev. 2010, 24, 203–219. [Google Scholar] [CrossRef]
- Dakeishi, M.; Shioya, T.; Wada, Y.; Shindo, T.; Otaka, K.; Manabe, M.; Nozaki, J.-I.; Inoue, S.; Koizumi, A. Genetic epidemiology of hereditary hemorrhagic telangiectasia in a local community in the northern part of Japan. Hum. Mutat. 2002, 19, 140–148. [Google Scholar] [CrossRef]
- Faughnan, M.E.; Palda, V.A.; Garcia-Tsao, G.; Geisthoff, U.W.; McDonald, J.; Proctor, D.D.; Spears, J.; Brown, D.H.; Buscarini, E.; Chesnutt, M.S.; et al. International guidelines for the diagnosis and management of hereditary haemorrhagic telangiectasia. J. Med. Genet. 2011, 48, 73–87. [Google Scholar] [CrossRef]
- Bayrak-Toydemir, P.; McDonald, J.; Markewitz, B.; Lewin, S.; Miller, F.; Chou, L.; Gedge, F.; Tang, W.; Coon, H.; Mao, R. Genotype–phenotype correlation in hereditary hemorrhagic telangiectasia: Mutations and manifestations*. Am. J. Med. Genet. Part A 2006, 140A, 463–470. [Google Scholar] [CrossRef]
- Letteboer, T.G.W.; Mager, J.J.; Snijder, R.J.; Koeleman, B.P.C.; Lindhout, D.; van Amstel, J.K.P.; Westermann, C.J.J. Genotype-phenotype relationship in hereditary haemorrhagic telangiectasia. J. Med. Genet. 2005, 43, 371–377. [Google Scholar] [CrossRef] [PubMed]
- Gallione, C.J.; Richards, J.A.; Letteboer, T.G.W.; Rushlow, D.; Prigoda, N.L.; Leedom, T.P.; Ganguly, A.; Castells, A.; van Amstel, J.K.P.; Westermann, C.J.J.; et al. SMAD4 mutations found in unselected HHT patients. J. Med. Genet. 2006, 43, 793–797. [Google Scholar] [CrossRef]
- McDonald, J.; Bayrak-Toydemir, P.; DeMille, D.; Wooderchak-Donahue, W.; Whitehead, K. Curaçao diagnostic criteria for hereditary hemorrhagic telangiectasia is highly predictive of a pathogenic variant in ENG or ACVRL1 (HHT1 and HHT2). Anesthesia Analg. 2020, 22, 1201–1205. [Google Scholar] [CrossRef]
- Shimohira, M.; Kawai, T.; Ohta, K. An Update on Embolization for Pulmonary Arteriovenous Malformations. Interv. Radiol. 2023, 8, 56–63. [Google Scholar] [CrossRef] [PubMed]
- Latino, G.A.; Al-Saleh, S.; Alharbi, N.; Edwards, C.; Faughnan, M.E.; Ratjen, F. Prevalence of Pulmonary Arteriovenous Malformations in Children versus Adults with Hereditary Hemorrhagic Telangiectasia. J. Pediatr. 2013, 163, 282–284. [Google Scholar] [CrossRef] [PubMed]
- Kilian, A.; Latino, G.A.; White, A.J.; Clark, D.; Chakinala, M.M.; Ratjen, F.; McDonald, J.; Whitehead, K.J.; Gossage, J.R.; Lin, D.; et al. Genotype–Phenotype Correlations in Children with HHT. J. Clin. Med. 2020, 9, 2714. [Google Scholar] [CrossRef]
- Faughnan, M.E.; Mager, J.J.; Hetts, S.W.; Palda, V.A.; Lang-Robertson, K.; Buscarini, E.; Deslandres, E.; Kasthuri, R.S.; Lausman, A.; Poetker, D.; et al. Second International Guidelines for the Diagnosis and Management of Hereditary Hemorrhagic Telangiectasia. Ann. Intern. Med. 2020, 173, 989–1001. [Google Scholar] [CrossRef]
- Mei-Zahav, M.; Letarte, M.; Faughnan, M.E.; Abdalla, S.A.; Cymerman, U.; MacLusky, I.B. Symptomatic Children With Hereditary Hemorrhagic Telangiectasia. Arch. Pediatr. Adolesc. Med. 2006, 160, 596–601. [Google Scholar] [CrossRef]
- Berg, F.T.; Hessels, J.; Hosman, A.; Boerman, S.; Post, M.C.; Balemans, W.A.F.; Mager, H. Conservative Pulmonary Arteriovenous Malformation Screening in Children: Re-Evaluation of Safety. Pediatr. Pulmonol. 2025, 60, e27476. [Google Scholar] [CrossRef]
- Ratjen, A.; Au, J.; Carpenter, S.; John, P.; Ratjen, F. Growth of Pulmonary Arteriovenous Malformations in Pediatric Patients with Hereditary Hemorrhagic Telangiectasia. J. Pediatr. 2019, 208, 279–281. [Google Scholar] [CrossRef] [PubMed]
- Mukhtar, H.; Iyer, V.; Demirel, N.; Bendel, E.C.; Bjarnason, H.; Misra, S. Embolotherapy for Pulmonary Arteriovenous Malformations in the Pediatric Population with Hereditary Hemorrhagic Telangiectasias—A Retrospective Case Series. J. Vasc. Interv. Radiol. 2025, 36, 823–832. [Google Scholar] [CrossRef] [PubMed]
- Hosman, A.E.; de Gussem, E.M.; Balemans, W.A.F.; Gauthier, A.; Westermann, C.J.J.; Snijder, R.J.; Post, M.C.; Mager, J.J. Screening children for pulmonary arteriovenous malformations: Evaluation of 18 years of experience. Pediatr. Pulmonol. 2017, 52, 1206–1211. [Google Scholar] [CrossRef]
- Majumdar, S.; McWilliams, J.P. Approach to Pulmonary Arteriovenous Malformations: A Comprehensive Update. J. Clin. Med. 2020, 9, 1927. [Google Scholar] [CrossRef]
- Karam, C.; Sellier, J.; Mansencal, N.; Fagnou, C.; Blivet, S.; Chinet, T.; Lacombe, P.; Dubourg, O. Reliability of Contrast Echocardiography to Rule Out Pulmonary Arteriovenous Malformations and Avoid CT Irradiation in Pediatric Patients with Hereditary Hemorrhagic Telangiectasia. Echocardiography 2014, 32, 42–48. [Google Scholar] [CrossRef]
- van Gent, M.W.F.; Post, M.C.; Snijder, R.J.; Swaans, M.J.; Plokker, H.W.M.; Westermann, C.J.J.; Overtoom, T.T.; Mager, J.J. Grading of Pulmonary Right-to-Left Shunt With Transthoracic Contrast Echocardiography. Chest 2009, 135, 1288–1292. [Google Scholar] [CrossRef]
- Delpon, J.-E.; Greffier, J.; Lacombe, H.; Barbe, A.; Bouin, M.; De Oliveira, F.; Mansuy, A.; Delagrange, L.; Fargeton, A.-E.; Beregi, J.-P.; et al. Ultra-low dose chest CT for the diagnosis of pulmonary arteriovenous malformation in patients with hereditary hemorrhagic telangiectasia. Diagn. Interv. Imaging 2024, 105, 364–370. [Google Scholar] [CrossRef] [PubMed]
- Raptis, D.A.; Short, R.; Robb, C.; Marlow, J.; Naeem, M.; McWilliams, S.; White, A.J.; Chakinala, M.; Picus, D.; Bhalla, S. CT Appearance of Pulmonary Arteriovenous Malformations and Mimics. RadioGraphics 2022, 42, 56–68. [Google Scholar] [CrossRef]
- Nanthakumar, K.; Graham, A.; Robinson, T.; Grande, P.; Pugash, R.; Clarke, J.; Hutchison, S.; Mandzia, J.; Hyland, R.; Faughnan, M. Contrast echocardiography for detection of pulmonary arteriovenous malformations. Am. Heart J. 2001, 141, 243–246. [Google Scholar] [CrossRef][Green Version]
- Woods, T.D.; Patel, A. A Critical Review of Patent Foramen Ovale Detection Using Saline Contrast Echocardiography: When Bubbles Lie. J. Am. Soc. Echocardiogr. 2006, 19, 215–222. [Google Scholar] [CrossRef]
- Barzilai, B.; Waggoner, A.D.; Spessert, C.; Picus, D.; Goodenberger, D. Two-dimensional contrast echocardiography in the detection and follow-up of congenital pulmonary arteriovenous malformations. Am. J. Cardiol. 1991, 68, 1507–1510. [Google Scholar] [CrossRef] [PubMed]
- Shin, S.-M.; Kim, H.K.; Crotty, E.J.; Hammill, A.M.; Wusik, K.; Kim, D.-H. CT Angiography Findings of Pulmonary Arteriovenous Malformations in Children and Young Adults With Hereditary Hemorrhagic Telangiectasia. Am. J. Roentgenol. 2020, 214, 1369–1376. [Google Scholar] [CrossRef]
- Saboo, S.S.; Chamarthy, M.; Bhalla, S.; Park, H.; Sutphin, P.; Kay, F.; Battaile, J.; Kalva, S.P. Pulmonary arteriovenous malformations: Diagnosis. Cardiovasc. Diagn. Ther. 2018, 8, 325–337. [Google Scholar] [CrossRef]
- White, R.I.; Pollak, J.S.; Wirth, J.A. Pulmonary Arteriovenous Malformations: Diagnosis and Transcatheter Embolotherapy. J. Vasc. Interv. Radiol. 1996, 7, 787–804. [Google Scholar] [CrossRef]
- Trerotola, S.O.; Pyeritz, R.E. PAVM Embolization: An Update. Am. J. Roentgenol. 2010, 195, 837–845. [Google Scholar] [CrossRef]
- Ola, R.; Hessels, J.; Hammill, A.; Friday, C.; Clancy, M.; Al-Samkari, H.; Meadows, S.; Iyer, V.; Akhurst, R. Executive summary of the 14th HHT international scientific conference. Angiogenesis 2023, 26, 27–37. [Google Scholar] [CrossRef] [PubMed]
- Shimohira, M.; Kawai, T.; Hashizume, T.; Ohta, K.; Nakagawa, M.; Ozawa, Y.; Sakurai, K.; Shibamoto, Y. Reperfusion Rates of Pulmonary Arteriovenous Malformations after Coil Embolization: Evaluation with Time-Resolved MR Angiography or Pulmonary Angiography. J. Vasc. Interv. Radiol. 2015, 26, 856–864.e1. [Google Scholar] [CrossRef] [PubMed]
- Lim, A.Y.L.; Ratjen, F. Pulmonary arteriovenous malformation in children. Pediatr. Pulmonol. 2024, 60, S80–S81. [Google Scholar] [CrossRef]
- Faughnan, M.E.; Thabet, A.; Mei-Zahav, M.; Colombo, M.; MacLusky, I.; Hyland, R.H.; Pugash, R.A.; Chait, P.; Henderson, K.J.; White, R.I. Pulmonary arteriovenous malformations in children: Outcomes of transcatheter embolotherapy. J. Pediatr. 2004, 145, 826–831. [Google Scholar] [CrossRef]
- Fish, A.; Knight, E.; Henderson, K.; Pollak, J.; Schlachter, T. Criteria for PAVM Reintervention. J. Clin. Med. 2024, 13, 6104. [Google Scholar] [CrossRef]
- Mager, J.J.; Overtoom, T.T.; Blauw, H.; Lammers, J.W.; Westermann, C.J. Embolotherapy of Pulmonary Arteriovenous Malformations: Long-term Results in 112 Patients. J. Vasc. Interv. Radiol. 2004, 15, 451–456. [Google Scholar] [CrossRef] [PubMed]
- Mowers, K.L.; Sekarski, L.; White, A.J.; Grady, R.M. Pulmonary arteriovenous malformations in children with hereditary hemorrhagic telangiectasia: A longitudinal study. Pulm. Circ. 2018, 8, 1–7. [Google Scholar] [CrossRef] [PubMed]
- Heran, M.K.; Marshalleck, F.; Temple, M.; Grassi, C.J.; Connolly, B.; Towbin, R.B.; Baskin, K.M.; Dubois, J.; Hogan, M.J.; Kundu, S.; et al. Joint Quality Improvement Guidelines for Pediatric Arterial Access and Arteriography: From the Societies of Interventional Radiology and Pediatric Radiology. J. Vasc. Interv. Radiol. 2010, 21, 32–43. [Google Scholar] [CrossRef]
- Holzer, R.J.; Bergersen, L.; Thomson, J.; Aboulhosn, J.; Aggarwal, V.; Akagi, T.; Alwi, M.; Armstrong, A.K.; Bacha, E.; Benson, L.; et al. PICS/AEPC/APPCS/CSANZ/SCAI/SOLACI: Expert Consensus Statement on Cardiac Catheterization for Pediatric Patients and Adults With Congenital Heart Disease. JACC Cardiovasc. Interv. 2023, 17, 115–216. [Google Scholar] [CrossRef]
- Pierucci, P.; Murphy, J.; Henderson, K.J.; Chyun, D.A.; White, R.I. New Definition and Natural History of Patients With Diffuse Pulmonary Arteriovenous Malformations. Chest 2008, 133, 653–661. [Google Scholar] [CrossRef] [PubMed]
- Floria, M.; Năfureanu, E.D.; Iov, D.-E.; Sîrbu, O.; Dranga, M.; Ouatu, A.; Tănase, D.M.; Bărboi, O.B.; Drug, V.L.; Cobzeanu, M.D. Hereditary Hemorrhagic Telangiectasia and Arterio-Venous Malformations—From Diagnosis to Therapeutic Challenges. J. Clin. Med. 2022, 11, 2634. [Google Scholar] [CrossRef]
- Falk, A.R.; Nitsche, L.J.; Bontrager, C.E.; Bond, S.; Beslow, L.A.; Borst, A.J.; Pogoriler, J.; Devlin, P.J.; Goldmuntz, E.; Singhal, S.; et al. Surgical resection of diffuse pulmonary arteriovenous malformations (PAVMs). JTCVS Open 2024, 23, 309–317. [Google Scholar] [CrossRef]
- Hsu, C.C.-T.; Kwan, G.N.; Thompson, S.A.; Evans-Barns, H.; van Driel, M.L. Embolisation for pulmonary arteriovenous malformation. Cochrane Database Syst. Rev. 2015, 1, CD008017. [Google Scholar] [CrossRef]
- DePietro, D.M.; Curnes, N.R.; Chittams, J.; Ferrari, V.A.; Pyeritz, R.E.; Trerotola, S.O. Postembolotherapy Pulmonary Arteriovenous Malformation Follow-Up. Chest 2020, 157, 1278–1286. [Google Scholar] [CrossRef]
- Hessels, J.; Klompmaker, S.; Heuvel, D.A.v.D.; Boerman, S.; Mager, H.-J.; Post, M.C. Graded Transthoracic Contrast Echocardiography After Pulmonary Arteriovenous Malformation Embolization. Chest 2024, 167, 842–850. [Google Scholar] [CrossRef]




| Grade | Findings |
|---|---|
| 0 | Nodule, unlikely to be a PAVM |
| 1 | GGO (telangiectasia of the post capillary venules and perivascular inflammation) |
| 2 | GGO with increased intralesional vascularity |
| 3A | GGO with identifiable afferent artery located in the center of the opacity |
| 3B | GGO increasingly replaced by the distinguishable vascular components and a single afferent artery |
| 4A | GGO or nodule with two or more identifiable vessels (afferent artery and efferent vein) with the efferent vein located at the periphery |
| 4B | GGO or nodule with two or more identifiable vessels (afferent artery and efferent vein); the vascular component replaces the nodule |
| 5 | Nodule with efferent vein larger than the afferent artery regardless of number of vessels without mature sac |
| 6 | Mature PAVM with enlarged sac, identifiable afferent artery and efferent vein |
| Medication | Dose |
|---|---|
| Lidocaine without epinephrine | 5 mg/kg subcutaneous |
| Lidocaine with epinephrine | 7 mg/kg subcutaneous |
| Heparin | 50–100 u/kg IV, initial bolus |
| Bupivacaine 0.25% | 2.5 mg/kg subcutaneous |
| Contrast medium | 6–8 mL/kg IV |
| Cefazolin | 25–50 mg/kg/dose (max 2 g) |
Disclaimer/Publisher’s Note: The statements, opinions and data contained in all publications are solely those of the individual author(s) and contributor(s) and not of MDPI and/or the editor(s). MDPI and/or the editor(s) disclaim responsibility for any injury to people or property resulting from any ideas, methods, instructions or products referred to in the content. |
© 2025 by the authors. Licensee MDPI, Basel, Switzerland. This article is an open access article distributed under the terms and conditions of the Creative Commons Attribution (CC BY) license (https://creativecommons.org/licenses/by/4.0/).
Share and Cite
Kaufman, C.S.; Nguyen, M.A.; Bezold, A.; Chesnutt, M.S. Pediatric Pulmonary Arteriovenous Malformations in Patients with Hereditary Hemorrhagic Telangiectasia: Screening, Diagnosis, and Management. J. Clin. Med. 2025, 14, 3739. https://doi.org/10.3390/jcm14113739
Kaufman CS, Nguyen MA, Bezold A, Chesnutt MS. Pediatric Pulmonary Arteriovenous Malformations in Patients with Hereditary Hemorrhagic Telangiectasia: Screening, Diagnosis, and Management. Journal of Clinical Medicine. 2025; 14(11):3739. https://doi.org/10.3390/jcm14113739
Chicago/Turabian StyleKaufman, Claire S., Minh Anh Nguyen, Amy Bezold, and Mark S. Chesnutt. 2025. "Pediatric Pulmonary Arteriovenous Malformations in Patients with Hereditary Hemorrhagic Telangiectasia: Screening, Diagnosis, and Management" Journal of Clinical Medicine 14, no. 11: 3739. https://doi.org/10.3390/jcm14113739
APA StyleKaufman, C. S., Nguyen, M. A., Bezold, A., & Chesnutt, M. S. (2025). Pediatric Pulmonary Arteriovenous Malformations in Patients with Hereditary Hemorrhagic Telangiectasia: Screening, Diagnosis, and Management. Journal of Clinical Medicine, 14(11), 3739. https://doi.org/10.3390/jcm14113739

