Primary Cutaneous CD8+ Aggressive Epidermotropic Cytotoxic T-Cell Lymphoma: A Rare and Aggressive Case Report with Clinical and Pathological Insights
Abstract
1. Introduction
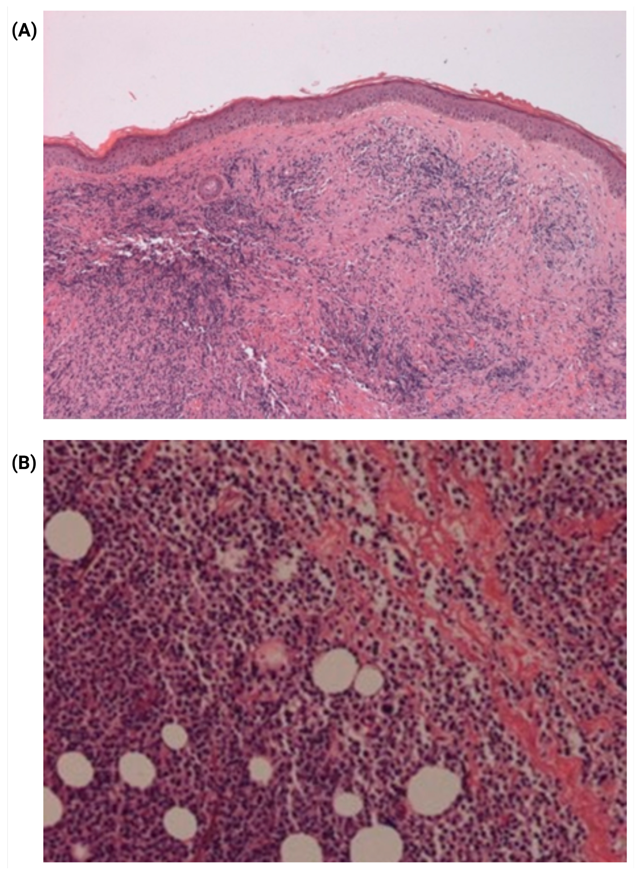
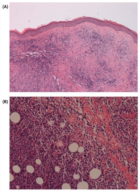
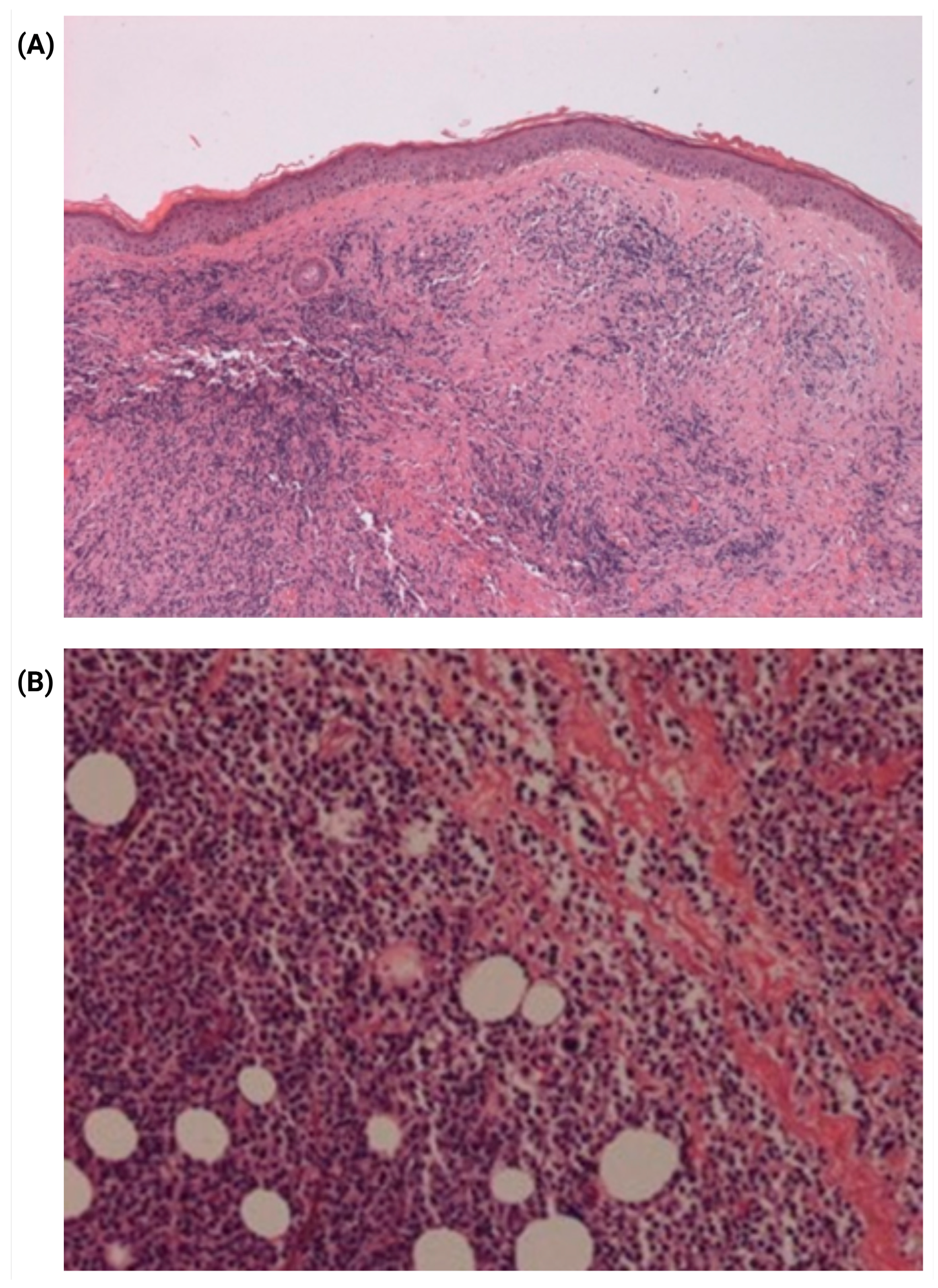
2. Case Presentation
3. Discussion
4. Conclusions
Author Contributions
Funding
Institutional Review Board Statement
Informed Consent Statement
Data Availability Statement
Conflicts of Interest
Abbreviations
| PCAETL | Primary Cutaneous CD8+ Aggressive Epidermotropic Cytotoxic T-Cell Lymphoma |
| CTCL | Cutaneous T-Cell Lymphoma |
| MF | Mycosis Fungoides |
| LyP | Lymphomatoid Papulosis |
| SPTCL | Subcutaneous Panniculitis-Like T-Cell Lymphoma |
| PCGDTL | Primary Cutaneous Gamma Delta T-Cell Lymphoma |
| IHC | Immunohistochemistry |
| TCR | T-Cell Receptor |
| JAK | Janus Kinase |
| STAT | Signal Transducer and Activator of Transcription |
| ICU | Intensive Care Unit |
| LDH | Lactate DehydrogenaseLactate Dehyd |
| β2-microglobulin | Beta-2 Microglobulin |
| HBV | Hepatitis B Virus |
| HCV | Hepatitis C Virus |
| HTLV-1 | Human T-Lymphotropic Virus Type 1Human T-Lymphotropic Virus |
| HIV | Human Immunodeficiency Virus |
| EBER | Epstein–Barr Virus-Encoded RNA |
| CCR4 | C-C Chemokine Receptor Type 4 |
| pSTAT3/pSTAT5 | Phosphorylated Signal Transducer and Activator of Transcription 3/5 |
| Ki-67 | Nuclear Protein Marker of Cellular Proliferation |
| CD | Cluster of Differentiation (e.g., CD3, CD4, CD8, etc.) |
References
- Guitart, J.; Martinez-Escala, M.E.; Subtil, A.; Duvic, M.; Pulitzer, M.P.; Olsen, E.A.; Kim, E.; Rook, A.H.; Samimi, S.S.; Wood, G.S.; et al. Primary Cutaneous Aggressive Epidermotropic Cytotoxic T-Cell Lymphomas: Reappraisal of a Provisional Entity in the 2016 WHO Classification of Cutaneous Lymphomas. Mod. Pathol. 2017, 30, 761–772. [Google Scholar] [CrossRef] [PubMed]
- Robson, A.; Assaf, C.; Bagot, M.; Burg, G.; Calonje, E.; Castillo, C.; Cerroni, L.; Chimenti, N.; Dechelotte, P.; Franck, F.; et al. Aggressive Epidermotropic Cutaneous CD 8+ Lymphoma: A Cutaneous Lymphoma with Distinct Clinical and Pathological Features. Report of an EORTC Cutaneous Lymphoma Task Force Workshop. Histopathology 2015, 67, 425–441. [Google Scholar] [CrossRef] [PubMed]
- Pinos-León, V.; Granizo-Rubio, J.; Granizo-Rubio, A.; Ortiz-Prado, E. Linfoma cutáneo primario de células T agresivo epidermotrópico citotóxico CD8 positivo. Piel 2018, 33, 168–172. [Google Scholar] [CrossRef]
- Berti, E.; Tomasini, D.; Vermeer, M.H.; Meijer, C.J.; Alessi, E.; Willemze, R. Primary Cutaneous CD8-Positive Epidermotropic Cytotoxic T Cell Lymphomas. Am. J. Pathol. 1999, 155, 483–492. [Google Scholar] [CrossRef]
- Wang, Y.; Li, T.; Tu, P.; Wu, L.S.; Zhu, X.J. Primary Cutaneous Aggressive Epidermotropic CD8+ Cytotoxic T-Cell Lymphoma Clinically Simulating Pyoderma Gangrenosum. Clin. Exp. Dermatol. 2009, 34, e261–e262. [Google Scholar] [CrossRef]
- Deenen, N.J.; Koens, L.; Jaspars, E.H.; Vermeer, M.H.; Willemze, R.; Rie, M.A.; Bekkenk, M.W. Pitfalls in Diagnosing Primary Cutaneous Aggressive Epidermotropic CD 8+ T-cell Lymphoma. Br. J. Dermatol. 2019, 180, 411–412. [Google Scholar] [CrossRef]
- Swallow, M.A.; Micevic, G.; Zhou, A.; Carlson, K.R.; Foss, F.M.; Girardi, M. Clinical and Histologic Variants of CD8+ Cutaneous T-Cell Lymphomas. Cancers 2024, 16, 3087. [Google Scholar] [CrossRef]
- Bastidas Torres, A.N.; Cats, D.; Out-Luiting, J.J.; Fanoni, D.; Mei, H.; Venegoni, L.; Willemze, R.; Vermeer, M.H.; Berti, E.; Tensen, C.P. Deregulation of JAK2 Signaling Underlies Primary Cutaneous CD8+ Aggressive Epidermotropic Cytotoxic T-Cell Lymphoma. Haematologica 2021, 107, 702–714. [Google Scholar] [CrossRef]
- Cao, J.; Wang, J.; He, C.; Fang, M. Angiosarcoma: A Review of Diagnosis and Current Treatment. Am. J. Cancer Res. 2019, 9, 2303–2313. [Google Scholar]
- Maronese, C.A.; Pimentel, M.A.; Li, M.M.; Genovese, G.; Ortega-Loayza, A.G.; Marzano, A.V. Pyoderma Gangrenosum: An Updated Literature Review on Established and Emerging Pharmacological Treatments. Am. J. Clin. Dermatol. 2022, 23, 615–634. [Google Scholar] [CrossRef]
- Park, A.N.; Raj, A.; Bajda, J.; Gorantla, V.R. Narrative Review: Pyoderma Gangrenosum. Cureus 2024, 16, e51805. [Google Scholar] [CrossRef]
- Komurcugil, I.; Arslan, Z.; Bal, Z.I.; Aydogan, M.; Ciman, Y. Cutaneous Metastases Different Clinical Presentations: Case Series and Review of the Literature. Dermatol. Rep. 2022, 15, 9553. [Google Scholar] [CrossRef]
- Tinca, A.C.; Lazar, B.A.; Cozac-Szőke, A.R.; Radu, G.N.; Simion, S.P.; Chiorean, D.M.; Kosovski, I.B.; Sabău, A.H.; Niculescu, R.; Cocuz, I.G.; et al. Cutaneous Metastases—Histological Particularities of Multifaceted Entities. Dermatopatholy 2025, 12, 14. [Google Scholar] [CrossRef]
- Nofal, A.; Abdel-Mawla, M.Y.; Assaf, M.; Salah, E. Primary Cutaneous Aggressive Epidermotropic CD8+ T-Cell Lymphoma: Proposed Diagnostic Criteria and Therapeutic Evaluation. J. Am. Acad. Dermatol. 2012, 67, 748–759. [Google Scholar] [CrossRef]
- Kaufman, A.E.; Patel, K.; Goyal, K.; O’Leary, D.; Rubin, N.; Pearson, D.; Bohjanen, K.; Goyal, A. Mycosis Fungoides: Developments in Incidence, Treatment and Survival. Acad. Dermatol. Venereol. 2020, 34, 2288–2294. [Google Scholar] [CrossRef] [PubMed]
- De Souza, A.; el-Azhary, R.A.; Camilleri, M.J.; Wada, D.A.; Appert, D.L.; Gibson, L.E. In Search of Prognostic Indicators for Lymphomatoid Papulosis: A Retrospective Study of 123 Patients. J. Am. Acad. Dermatol. 2012, 66, 928–937. [Google Scholar] [CrossRef] [PubMed]
- Giza, A.; Gałązka, K.; Jońca, M.; Raźny, M.; Zimowska-Curyło, D.; Wilk, M.; Goldman-Mazur, S.; Piątkowska-Jakubas, B.; Sacha, T. Subcutaneous Panniculitis-like T-Cell Lymphoma (SPTCL) with Probable Mesentery Involvement with Associated Hemophagocytic Syndrome (HPS)–How to Treat It? J. Dermatol. Treat. 2022, 33, 2674–2676. [Google Scholar] [CrossRef]
- Willemze, R.; Jansen, P.M.; Cerroni, L.; Berti, E.; Santucci, M.; Assaf, C.; Canninga-van Dijk, M.R.; Carlotti, A.; Geerts, M.-L.; Hahtola, S.; et al. Subcutaneous Panniculitis-like T-Cell Lymphoma: Definition, Classification, and Prognostic Factors: An EORTC Cutaneous Lymphoma Group Study of 83 Cases. Blood 2008, 111, 838–845. [Google Scholar] [CrossRef]
- Greenblatt, D.; Ally, M.; Child, F.; Scarisbrick, J.; Whittaker, S.; Morris, S.; Calonje, E.; Petrella, T.; Robson, A. Indolent CD8+ Lymphoid Proliferation of Acral Sites: A Clinicopathologic Study of Six Patients with Some Atypical Features. J. Cutan. Pathol. 2013, 40, 248–258. [Google Scholar] [CrossRef]
- Kempf, W.; Mitteldorf, C.; Battistella, M.; Willemze, R.; Cerroni, L.; Santucci, M.; Geissinger, E.; Jansen, P.; Vermeer, M.H.; Marschalko, M.; et al. Primary Cutaneous Peripheral T-cell Lymphoma, Not Otherwise Specified: Results of a Multicentre European Organization for Research and Treatment of Cancer (EORTC) Cutaneous Lymphoma Taskforce Study on the Clinico-pathological and Prognostic Features. Acad. Dermatol. Venereol. 2021, 35, 658–668. [Google Scholar] [CrossRef]
- Jung, J.M.; Yang, H.J.; Won, C.H.; Chang, S.E.; Lee, M.W.; Lee, W.J. Clinicopathological and Prognostic Study of Primary Cutaneous Extranodal Natural Killer/T-cell Lymphoma, Nasal Type: A Systematic Review. J. Dermatol. 2021, 48, 1499–1510. [Google Scholar] [CrossRef]
- Miyauchi, T.; Abe, R.; Morita, Y.; Adachi, M.; Shiba, K.; Hamade, Y.; Saito, N.; Nishimura, M.; Ibata, M.; Okada, K.; et al. CD4/CD8 Double-Negative T-Cell Lymphoma: A Variant of Primary Cutaneous CD8+ Aggressive Epidermotropic Cytotoxic T-Cell Lymphoma? Acta. Derm. Venerol. 2015, 95, 1024–1025. [Google Scholar] [CrossRef]
- Fanoni, D.; Corti, L.; Alberti-Violetti, S.; Tensen, C.P.; Venegoni, L.; Vermeer, M.; Willemze, R.; Berti, E. Array-based CGH of Primary Cutaneous CD8+ Aggressive EPIDERMO-tropic Cytotoxic T-cell Lymphoma. Genes Chromosomes Cancer 2018, 57, 622–629. [Google Scholar] [CrossRef]


| Entity | Key Features | Clinical Behavior | Distinguishing Features | References |
|---|---|---|---|---|
| CD8+ Mycosis Fungoides (MF) | Rare CD8+ variant; presents with patches, plaques, or tumors. | Indolent course | Less aggressive than other CD8+ CTCLs; histopathology and clinical behavior differentiate. | [2,7,14,15]. |
| Lymphomatoid Papulosis (LyP), Type D | Self-resolving papulonodular lesions; epidermotropic CD8+ infiltrate, CD30+. | Benign course | Rarely progresses to lymphoma; CD30 positivity. | [2,7,14,16]. |
| Subcutaneous Panniculitis-like T-Cell Lymphoma (SPTCL) | Deep subcutaneous tumors/plaques; CD8+, cytotoxic markers+. | Variable, often indolent | Lacks epidermotropism; mimics panniculitis. | [2,7,14,17]. |
| Primary Cutaneous Gamma/Delta T-Cell Lymphoma (PCGDTL) | Highly aggressive; may mimic CD8+ AECTCL. | Aggressive | Expresses gamma/delta T-cell receptors (not alpha/beta). | [2,7,14,18]. |
| Acral CD8+ T-Cell Lymphoproliferative Disorder | Solitary nodules on face, nose, or ears. | Indolent, favorable prognosis | Benign course; no systemic involvement. | [2,7,14,19]. |
| Peripheral T-Cell Lymphoma Not Otherwise Specified (PTCL-NOS) | Cutaneous involvement possible; diagnosis of exclusion. | Variable | Lacks specific features of CD8+ CTCLs. | [2,7,14,20]. |
| Natural Killer T-Cell Lymphoproliferative Disorders | Includes ENKTL (nasopharynx nodules) and HVLLPD (photo-exposed papulovesicular lesions). | Aggressive (ENKTL); variable (HVLLPD) | Distinct immunophenotype and clinical presentation. | [2,7,14,21]. |
Disclaimer/Publisher’s Note: The statements, opinions and data contained in all publications are solely those of the individual author(s) and contributor(s) and not of MDPI and/or the editor(s). MDPI and/or the editor(s) disclaim responsibility for any injury to people or property resulting from any ideas, methods, instructions or products referred to in the content. |
© 2025 by the authors. Licensee MDPI, Basel, Switzerland. This article is an open access article distributed under the terms and conditions of the Creative Commons Attribution (CC BY) license (https://creativecommons.org/licenses/by/4.0/).
Share and Cite
Jaramillo, J.; Méndez-Flores, K.; Lascano, N.; Palacios-Álvarez, S.; Arias-Intriago, M.; Izquierdo-Condoy, J.S. Primary Cutaneous CD8+ Aggressive Epidermotropic Cytotoxic T-Cell Lymphoma: A Rare and Aggressive Case Report with Clinical and Pathological Insights. J. Clin. Med. 2025, 14, 7842. https://doi.org/10.3390/jcm14217842
Jaramillo J, Méndez-Flores K, Lascano N, Palacios-Álvarez S, Arias-Intriago M, Izquierdo-Condoy JS. Primary Cutaneous CD8+ Aggressive Epidermotropic Cytotoxic T-Cell Lymphoma: A Rare and Aggressive Case Report with Clinical and Pathological Insights. Journal of Clinical Medicine. 2025; 14(21):7842. https://doi.org/10.3390/jcm14217842
Chicago/Turabian StyleJaramillo, Janyna, Katty Méndez-Flores, Nataly Lascano, Santiago Palacios-Álvarez, Marlon Arias-Intriago, and Juan S. Izquierdo-Condoy. 2025. "Primary Cutaneous CD8+ Aggressive Epidermotropic Cytotoxic T-Cell Lymphoma: A Rare and Aggressive Case Report with Clinical and Pathological Insights" Journal of Clinical Medicine 14, no. 21: 7842. https://doi.org/10.3390/jcm14217842
APA StyleJaramillo, J., Méndez-Flores, K., Lascano, N., Palacios-Álvarez, S., Arias-Intriago, M., & Izquierdo-Condoy, J. S. (2025). Primary Cutaneous CD8+ Aggressive Epidermotropic Cytotoxic T-Cell Lymphoma: A Rare and Aggressive Case Report with Clinical and Pathological Insights. Journal of Clinical Medicine, 14(21), 7842. https://doi.org/10.3390/jcm14217842

