A Rare Case of Transvaginal Sigmoid Evisceration in a Patient with Recurrent Pelvic Organ Prolapse
Abstract
1. Introduction
2. Case Presentation
3. Physical Examination
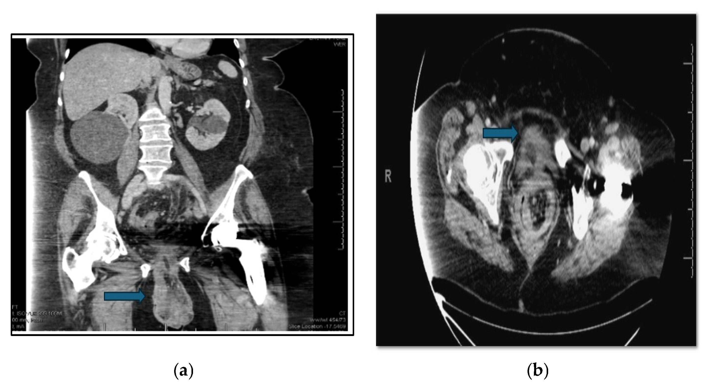
4. Laboratory and Imaging
5. Surgical Management
6. Postoperative Course
7. Pathology
8. Discussion
Author Contributions
Funding
Institutional Review Board Statement
Informed Consent Statement
Data Availability Statement
Conflicts of Interest
References
- Nezhat, C.; Burns, M.K.; Wood, M.; Nezhat, C.; Nezhat, A.; Nezhat, F. Vaginal Cuff Dehiscence and Evisceration: A Review. Obstet. Gynecol. 2018, 132, 972–985. [Google Scholar] [CrossRef] [PubMed]
- Serati, M.; Casarin, J.; Braga, A. Transvaginal repair of a misunderstood large bowel evisceration six months after vaginal hysterectomy. Eur. J. Obstet. Gynecol. Reprod. Biol. 2017, 217, 180–181. [Google Scholar] [CrossRef] [PubMed]
- Zhou, Y.; Zhang, Y.; Liu, W.; Zhang, W.; Wang, X.; Yu, X.; Ding, Z.; Gong, Z.; Jiang, C.; Qian, Q. Spontaneous vaginal cuff dehiscence and evisceration of multiple organs: A case report. Medicine 2018, 97, e13670. [Google Scholar] [CrossRef] [PubMed]
- Ribeiro, S.P.; Silva, A.C.; Maciel, J.; Antunes, A.S. Spontaneous transvaginal evisceration: A case of recurrence. BMJ Case Rep. 2016, 2016, bcr2015211659. [Google Scholar] [CrossRef] [PubMed]
- Schefter, A.M.; Fischer, J.; Erickson, B.K. Spontaneous Transvaginal Sigmoid Colon Evisceration and Sepsis From Complete Procidentia. Female Pelvic Med. Reconstr. Surg. 2018, 24, e42–e45. [Google Scholar] [CrossRef] [PubMed]
- Arabadzhieva, E.; Bulanov, D.; Shavalov, Z.; Yonkov, A.; Bonev, S. Spontaneous transvaginal intestinal evisceration in case of long-standing uterine prolapse. BMC Surg. 2022, 22, 157. [Google Scholar] [CrossRef] [PubMed]
- Hermoza Arámbulo, R.; Madrazo González, Z. Transvaginal Evisceration. J. Gastrointest. Surgery. 2023, 27, 631–632. [Google Scholar] [CrossRef] [PubMed]
- Barbosa, W.; Zhou, K.; Waddell, E.; Myers, T.; Dorsey, E.R. Improving Access to Care: Telemedicine Across Medical Domains. Annu. Rev. Public Health 2021, 42, 463–481. [Google Scholar] [CrossRef] [PubMed]
- Rana, A.M.; Rana, A.A.; Salama, Y. Small Bowel Evisceration through the Vaginal Vault: A Rare Surgical Emergency. Cureus. 2019, 11, e5947. [Google Scholar] [CrossRef] [PubMed]
- Sinha, A.; Thirumalaikumar, L.; Sorinola, O.O. Bowel evisceration through a ring pessary. BJOG Int. J. Obstet. Gynaecol. 2004, 111, 1023–1024. [Google Scholar] [CrossRef] [PubMed]
- Matthews, C.A.; Kenton, K. Treatment of vaginal cuff evisceration. Obstet. Gynecol. 2014, 124, 705–708. [Google Scholar] [CrossRef] [PubMed]


Disclaimer/Publisher’s Note: The statements, opinions and data contained in all publications are solely those of the individual author(s) and contributor(s) and not of MDPI and/or the editor(s). MDPI and/or the editor(s) disclaim responsibility for any injury to people or property resulting from any ideas, methods, instructions or products referred to in the content. |
© 2025 by the authors. Licensee MDPI, Basel, Switzerland. This article is an open access article distributed under the terms and conditions of the Creative Commons Attribution (CC BY) license (https://creativecommons.org/licenses/by/4.0/).
Share and Cite
Opene, B.; Mowers, E.; Ahmed, B.; Ackenbom, M.F.; Napoé, G.S. A Rare Case of Transvaginal Sigmoid Evisceration in a Patient with Recurrent Pelvic Organ Prolapse. J. Clin. Med. 2025, 14, 7224. https://doi.org/10.3390/jcm14207224
Opene B, Mowers E, Ahmed B, Ackenbom MF, Napoé GS. A Rare Case of Transvaginal Sigmoid Evisceration in a Patient with Recurrent Pelvic Organ Prolapse. Journal of Clinical Medicine. 2025; 14(20):7224. https://doi.org/10.3390/jcm14207224
Chicago/Turabian StyleOpene, Belita, Erin Mowers, Bestoun Ahmed, Mary F. Ackenbom, and Gnankang Sarah Napoé. 2025. "A Rare Case of Transvaginal Sigmoid Evisceration in a Patient with Recurrent Pelvic Organ Prolapse" Journal of Clinical Medicine 14, no. 20: 7224. https://doi.org/10.3390/jcm14207224
APA StyleOpene, B., Mowers, E., Ahmed, B., Ackenbom, M. F., & Napoé, G. S. (2025). A Rare Case of Transvaginal Sigmoid Evisceration in a Patient with Recurrent Pelvic Organ Prolapse. Journal of Clinical Medicine, 14(20), 7224. https://doi.org/10.3390/jcm14207224

