Mid- to Long-Term Outcomes of Two-Stage Revision Arthroplasty for Periprosthetic Joint Infection of the Shoulder
Abstract
1. Introduction
2. Materials and Methods
2.1. Study Design and Cohort
2.2. Data Collection and PJI Definition
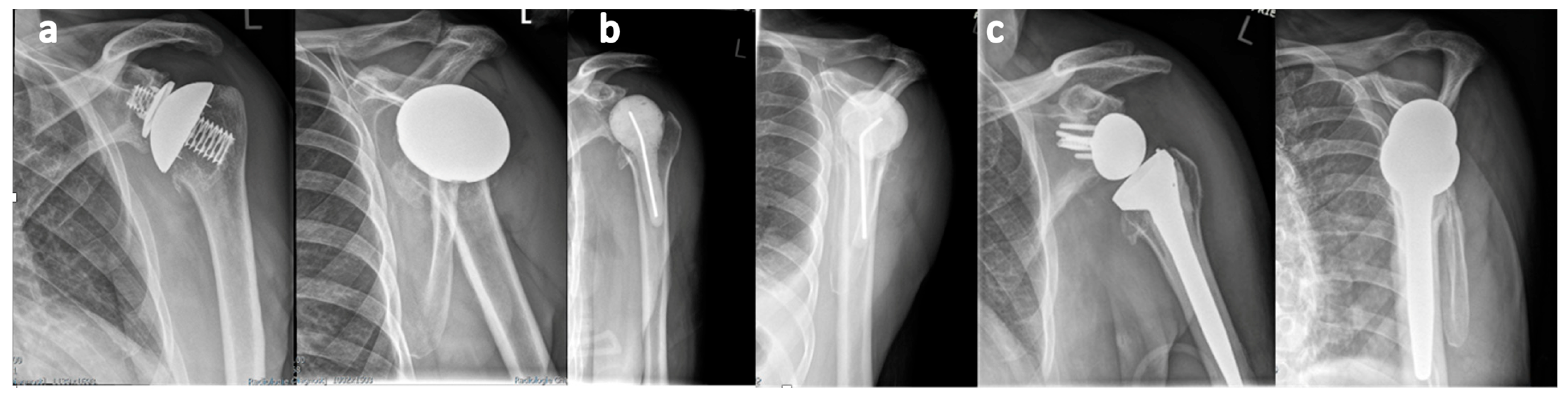
2.3. Two-Stage Revision Arthroplasty Protocol
2.4. Clinical Follow-Up
2.5. Statistical Analysis
3. Results
3.1. First Stage
3.2. Second Stage
3.3. Complications
3.4. Clinical Follow-Up
3.5. Clinical Course of Deceased Patients
3.6. Patients Without Reimplantation
3.7. Infection Eradication and Mortality
4. Discussion
5. Conclusions
Author Contributions
Funding
Institutional Review Board Statement
Informed Consent Statement
Data Availability Statement
Conflicts of Interest
References
- Paxton, E.S.; Green, A.; Krueger, V.S. Periprosthetic Infections of the Shoulder: Diagnosis and Management. J. Am. Acad. Orthop. Surg. 2019, 27, e935–e944. [Google Scholar] [CrossRef]
- Sperling, J.W.; Kozak, T.K.; Hanssen, A.D.; Cofield, R.H. Infection after shoulder arthroplasty. Clin. Orthop. Relat. Res. 2001, 382, 206–216. [Google Scholar] [CrossRef]
- Topolski, M.S.; Chin, P.Y.; Sperling, J.W.; Cofield, R.H. Revision shoulder arthroplasty with positive intraoperative cultures: The value of preoperative studies and intraoperative histology. J. Shoulder Elb. Surg. 2006, 15, 402–406. [Google Scholar] [CrossRef]
- Deore, V.T.; Griffiths, E.; Monga, P. Shoulder arthroplasty—Past, present and future. J. Arthrosc. Jt. Surg. 2018, 5, 3–8. [Google Scholar] [CrossRef]
- Padegimas, E.M.; Maltenfort, M.; Lazarus, M.D.; Ramsey, M.L.; Williams, G.R.; Namdari, S. Future Patient Demand for Shoulder Arthroplasty by Younger Patients: National Projections. Clin. Orthop. Relat. Res. 2015, 473, 1860–1867. [Google Scholar] [CrossRef]
- Jiang, J.J.; Piponov, H.I.; Mass, D.P.; Angeles, J.G.; Shi, L.L. Septic Arthritis of the Shoulder: A Comparison of Treatment Methods. J. Am. Acad. Orthop. Surg. 2017, 25, e175–e184. [Google Scholar] [CrossRef] [PubMed]
- Prendki, V.; Zeller, V.; Passeron, D.; Desplaces, N.; Mamoudy, P.; Stirnemann, J.; Marmor, S.; Ziza, J.-M. Outcome of patients over 80 years of age on prolonged suppressive antibiotic therapy for at least 6 months for prosthetic joint infection. Int. J. Infect. Dis. 2014, 29, 184–189. [Google Scholar] [CrossRef]
- Coste, J.S.; Reig, S.; Trojani, C.; Berg, M.; Walch, G.; Boileau, P. The management of infection in arthroplasty of the shoulder. J. Bone Jt. Surg. Br. 2004, 86, 65–69. [Google Scholar] [CrossRef]
- Dennison, T.; Alentorn-Geli, E.; Assenmacher, A.T.; Sperling, J.W.; Sánchez-Sotelo, J.; Cofield, R.H. Management of acute or late hematogenous infection after shoulder arthroplasty with irrigation, débridement, and component retention. J. Shoulder Elb. Surg. 2017, 26, 73–78. [Google Scholar] [CrossRef]
- Clare, D.J.; Wirth, M.A.; Groh, G.I.; Rockwood, C.A.J. Shoulder arthrodesis. J. Bone Jt. Surg. Am. 2001, 83, 593–600. [Google Scholar] [CrossRef]
- Aïm, F.; Marion, B.; Kerroumi, Y.; Meyssonnier, V.; Marmor, S. One- or two-stage exchange for periprosthetic shoulder infection: Systematic review and meta-analysis. Orthop. Traumatol. Surg. Res. 2020, 106, 5–15. [Google Scholar] [CrossRef]
- Belay, E.S.; Danilkowicz, R.; Bullock, G.; Wall, K.; Garrigues, G.E. Single-stage versus two-stage revision for shoulder periprosthetic joint infection: A systematic review and meta-analysis. J. Shoulder Elb. Surg. 2020, 29, 2476–2486. [Google Scholar] [CrossRef] [PubMed]
- Sevelda, F.; Fink, B. One-stage exchange of septic shoulder arthroplasty following a standardized treatment algorithm. J. Shoulder Elb. Surg. 2018, 27, 2175–2182. [Google Scholar] [CrossRef]
- Akgün, D.; Wiethölter, M.; Maziak, N.; Paksoy, A.; Karczewski, D.; Scheibel, M.; Moroder, P. Two-Stage Exchange Arthroplasty for Periprosthetic Shoulder Infection Is Associated with High Rate of Failure to Reimplant and Mortality. J. Clin. Med. 2021, 10, 5186. [Google Scholar] [CrossRef] [PubMed]
- Sabesan, V.J.; Ho, J.C.; Kovacevic, D.; Iannotti, J.P. Two-stage Reimplantation for Treating Prosthetic Shoulder Infections. Clin. Orthop. Relat. Res. 2011, 469, 2538–2543. [Google Scholar] [CrossRef]
- Grubhofer, F.; ImamMD, M.A.; Wieser, K.; Achermann, Y.; Meyer, D.C.; Gerber, C. Staged Revision with Antibiotic Spacers for Shoulder Prosthetic Joint Infections Yields High Infection Control. Clin. Orthop. Relat. Res. 2018, 476, 146–152. [Google Scholar] [CrossRef] [PubMed]
- Kunutsor, S.K.; Wylde, V.; Beswick, A.D.; Whitehouse, M.R.; Blom, A.W. One- and two-stage surgical revision of infected shoulder prostheses following arthroplasty surgery: A systematic review and meta-analysis. Sci. Rep. 2019, 9, 232. [Google Scholar] [CrossRef]
- Muccioli, G.M.M.; Huri, G.; Grassi, A.; di Sarsina, T.R.; Carbone, G.; Guerra, E.; McFarland, E.G.; Doral, M.N.; Marcacci, M.; Zaffagnini, S. Surgical treatment of infected shoulder arthroplasty. A systematic review. Int. Orthop. 2017, 41, 823–830. [Google Scholar] [CrossRef]
- Mercurio, M.; Castioni, D.; Iannò, B.; Gasparini, G.; Galasso, O. Outcomes of revision surgery after periprosthetic shoulder infection: A systematic review. J. Shoulder Elb. Surg. 2019, 28, 1193–1203. [Google Scholar] [CrossRef] [PubMed]
- Buchalter, D.B.; Mahure, S.A.; Mollon, B.; Yu, S.; Kwon, Y.W.; Zuckerman, J.D. Two-stage revision for infected shoulder arthroplasty. J. Shoulder Elb. Surg. 2017, 26, 939–947. [Google Scholar] [CrossRef] [PubMed]
- Mileti, J.; Sperling, J.W.; Cofield, R.H. Reimplantation of a shoulder arthroplasty after a previous infected arthroplasty. J. Shoulder Elb. Surg. 2004, 13, 528–531. [Google Scholar] [CrossRef]
- Ortmaier, R.; Resch, H.; Hitzl, W.; Mayer, M.; Stundner, O.; Tauber, M. Treatment strategies for infection after reverse shoulder arthroplasty. Eur. J. Orthop. Surg. Traumatol. 2014, 24, 723–731. [Google Scholar] [CrossRef]
- Pellegrini, A.; Legnani, C.; Macchi, V.; Meani, E. Two-stage revision shoulder prosthesis vs. permanent articulating antibiotic spacer in the treatment of periprosthetic shoulder infections. Orthop. Traumatol. Surg. Res. 2019, 105, 237–240. [Google Scholar] [CrossRef]
- Meshram, P.; Rojas, J.; Joseph, J.; Zhou, Y.; McFarland, E.G. Midterm results of two-stage revision surgery for periprosthetic shoulder infection. Semin. Arthroplast. JSES 2021, 31, 402–411. [Google Scholar] [CrossRef]
- Garrigues, G.E.; Zmistowski, B.; Cooper, A.M.; Green, A.; Abboud, J.; Beazley, J.; Bozhkova, S.; Brandao, P.; Chen, A.; Choon, D.; et al. Proceedings from the 2018 International Consensus Meeting on Orthopedic Infections: Evaluation of periprosthetic shoulder infection. J. Shoulder Elb. Surg. 2019, 28, S32–S66. [Google Scholar] [CrossRef] [PubMed]
- Kim, C.-Y.; Sivasundaram, L.; LaBelle, M.W.; Trivedi, N.N.; Liu, R.W.; Gillespie, R.J. Predicting adverse events, length of stay, and discharge disposition following shoulder arthroplasty: A comparison of the Elixhauser Comorbidity Measure and Charlson Comorbidity Index. J. Shoulder Elb. Surg. 2018, 27, 1748–1755. [Google Scholar] [CrossRef]
- Akgün, D.; Müller, M.; Perka, C.; Winkler, T. High cure rate of periprosthetic hip joint infection with multidisciplinary team approach using standardized two-stage exchange. J. Orthop. Surg. Res. 2019, 14, 78. [Google Scholar] [CrossRef]
- Diaz-Ledezma, C.; Higuera, C.A.; Parvizi, J. Success after treatment of periprosthetic joint infection: A Delphi-based international multidisciplinary consensus. Clin. Orthop. Relat. Res. 2013, 471, 2374–2382. [Google Scholar] [CrossRef]
- Gomez, M.M.; Tan, T.L.; Manrique, J.; Deirmengian, G.K.; Parvizi, J. The Fate of Spacers in the Treatment of Periprosthetic Joint Infection. J. Bone Jt. Surg. Am. 2015, 97, 1495–1502. [Google Scholar] [CrossRef]
- Klein, M.J.; Bonar, S.F.; Freemont, T.; Vinh, T.N.; Lopez-Ben, R.; Siegel, H.J.; Siegal, G.P. Non-Neoplastic Diseases of Bones and Joints; American Registry of Pathology: Rockville, MD, USA, 2011; ISBN 978-1-881041-03-0. [Google Scholar]
- Krenn, V.; Morawietz, L.; Perino, G.; Kienapfel, H.; Ascherl, R.; Hassenpflug, G.; Thomsen, M.; Thomas, P.; Huber, M.; Kendoff, D.; et al. Revised histopathological consensus classification of joint implant related pathology. Pathol. Res. Pract. 2014, 210, 779–786. [Google Scholar] [CrossRef]
- Morawietz, L.; Classen, R.A.; Schröder, J.H.; Dynybil, C.; Perka, C.; Skwara, A.; Neidel, J.; Gehrke, T.; Frommelt, L.; Hansen, T.; et al. Proposal for a histopathological consensus classification of the periprosthetic interface membrane. J. Clin. Pathol. 2006, 59, 591–597. [Google Scholar] [CrossRef]
- Bürger, J.; Akgün, D.; Strube, P.; Putzier, M.; Pumberger, M. Sonication of removed implants improves microbiological diagnosis of postoperative spinal infections. Eur. Spine J. 2019, 28, 768–774. [Google Scholar] [CrossRef]
- Renz, N.; Feihl, S.; Cabric, S.; Trampuz, A. Performance of automated multiplex PCR using sonication fluid for diagnosis of periprosthetic joint infection: A prospective cohort. Infection 2017, 45, 877–884. [Google Scholar] [CrossRef]
- Izakovicova, P.; Borens, O.; Trampuz, A. Periprosthetic joint infection: Current concepts and outlook. EFORT Open Rev. 2019, 4, 482–494. [Google Scholar] [CrossRef] [PubMed]
- Moroder, P.; Gerhardt, C.; Renz, N.; Trampuz, A.; Scheibel, M. Diagnostik und Management des Endoprotheseninfekts am Schultergelenk. Obere Extrem. 2016, 11, 78–87. [Google Scholar] [CrossRef]
- Zimmerli, W.; Trampuz, A.; Ochsner, P.E. Prosthetic-joint infections. N. Engl. J. Med. 2004, 351, 1645–1654. [Google Scholar] [CrossRef]
- Klingebiel, S.; Theil, C.; Gosheger, G.; Schneider, K.N.; Ackmann, T.; Timme, M.; Schorn, D.; Liem, D.; Rickert, C. Clinical Outcome of Two-Stage Revision after Periprosthetic Shoulder Infection. J. Clin. Med. 2021, 10, 218. [Google Scholar] [CrossRef]
- Bohsali, K.I.; Bois, A.J.; Wirth, M.A. Complications of Shoulder Arthroplasty. J. Bone. Jt. Surg. Am. 2017, 99, 256–269. [Google Scholar] [CrossRef]
- Morris, B.J.; O’Connor, D.P.; Torres, D.; Elkousy, H.A.; Gartsman, G.M.; Edwards, T.B. Risk factors for periprosthetic infection after reverse shoulder arthroplasty. J. Shoulder Elb. Surg. 2015, 24, 161–166. [Google Scholar] [CrossRef] [PubMed]
- Wagner, E.R.; Houdek, M.T.; Schleck, C.; Harmsen, W.S.; Sanchez-Sotelo, J.; Cofield, R.; Sperling, J.W.; Elhassan, B.T. Increasing Body Mass Index Is Associated with Worse Outcomes After Shoulder Arthroplasty. J. Bone Jt. Surg. Am. 2017, 99, 929–937. [Google Scholar] [CrossRef] [PubMed]
- Contreras, E.S.; Frantz, T.L.; Bishop, J.Y.; Cvetanovich, G.L. Periprosthetic Infection After Reverse Shoulder Arthroplasty: A Review. Curr. Rev. Musculoskelet. Med. 2020, 13, 757–768. [Google Scholar] [CrossRef]
- Nelson, G.N.; Davis, D.E.; Namdari, S. Outcomes in the treatment of periprosthetic joint infection after shoulder arthroplasty: A systematic review. J. Shoulder Elb. Surg. 2016, 25, 1337–1345. [Google Scholar] [CrossRef]
- Richards, J.; Inacio, M.C.S.; Beckett, M.; Navarro, R.A.; Singh, A.; Dillon, M.T.; Sodl, J.F.; Yian, E.H. Patient and Procedure-specific Risk Factors for Deep Infection After Primary Shoulder Arthroplasty. Clin. Orthop. Relat. Res. 2014, 472, 2809–2815. [Google Scholar] [CrossRef]
- Tande, A.J.; Patel, R. Prosthetic Joint Infection. Clin. Microbiol. Rev. 2014, 27, 302–345. [Google Scholar] [CrossRef] [PubMed]

| ICM Diagnosis | |||||
|---|---|---|---|---|---|
| Characteristic | Unlikely (n = 9) | Possible (n = 3) | Probable (n = 13) | Definite (n = 5) | p-Value |
| Gender | |||||
| Male | 2 (22.2%) | 2 (66.7%) | 6 (46.2%) | 2 (40%) | 0.52 |
| Female | 7 (77.8%) | 1 (33.3%) | 7 (53.8%) | 3 (60%) | 0.52 |
| Age at the time of surgery | |||||
| (mean ± SD) | 69.4 ± 9.4 | 69.3 ± 3.1 | 61.2 ± 9.8 | 65.8 ± 9.4 | 0.23 |
| BMI | |||||
| (mean ± SD) | 27.5 ± 4.9 | 27.1 ± 2 | 25.5 ± 2.6 | 27.5 ± 4.9 | 0.82 |
| Prior hardware | |||||
| HA | 3 (33.3%) | 0 | 9 (69.2%) | 2 (40%) | 0.11 |
| ATSA | 3 (33.3%) | 0 | 3 (23.1%) | 1 (20%) | 0.69 |
| RTSA | 0 | 3 (100%) | 1 (7.7%) | 2 (40%) | <0.001 * |
| Spacer at presentation | 3 (33.3%) | 0 | 0 | 0 | 0.05 * |
| Elixhauser Comorbidities | |||||
| Congestive heart failure | 1 (11.1%) | 0 | 0 | 0 | 0.49 |
| Cardiac arrythmias | 2 (22.2%) | 0 | 0 | 0 | 0.17 |
| Valvular disease | 1 (11.1%) | 0 | 0 | 1 (20%) | 0.41 |
| Peripheral vascular disorders | 1 (11.1%) | 1 (33.3%) | 4 (30.8%) | 1 (20%) | 0.72 |
| Hypertension | 7 (77.8%) | 2 (66.7%) | 6 (46.2%) | 3 (60%) | 0.52 |
| Paralysis | 0 | 0 | 1 (7.7%) | 0 | 0.74 |
| Other neurological disorders | 3 (33.3%) | 0 | 3 (23.1%) | 1 (20%) | 0.69 |
| Chronic pulmonary disease | 1 (11.1%) | 0 | 2 (15.4%) | 2 (40%) | 0.43 |
| Diabetes | 1 (11.1%) | 2 (66.7%) | 5 (38.5%) | 1 (20%) | 0.18 |
| Hypothyroidism | 3 (33.3%) | 1 (33.3%) | 1 (7.7%) | 2 (40%) | 0.36 |
| Renal failure | 3 (33.3%) | 0 | 2 (15.4%) | 1 (20%) | 0.59 |
| Rheumatoid disease | 1 (11.1%) | 0 | 3 (23.1%) | 1 (20%) | 0.75 |
| Obesity | 0 | 0 | 2 (15.4%) | 0 | 0.72 |
| Depression | 2 (22.2%) | 0 | 0 | 0 | 0.17 |
| Timing of infection | |||||
| Acute | 0 | 0 | 0 | 1 (20%) | 0.16 |
| Sub-acute | 3 (33.3%) | 0 | 3 (23.1%) | 1 (20%) | 0.29 |
| Chronic | 6 (66.7%) | 3 (100%) | 10 (76.9%) | 3 (60%) | 0.16 |
| Bacteria Identified | Number of Cases | Percentage of Total Cases |
|---|---|---|
| Cutibacterium acnes | 8 | 26.7% |
| Staphylococcus epidermidis | 8 | 26.7% |
| Staphylococcus capitis | 2 | 6.7% |
| Staphylococcus aureus | 2 | 6.7% |
| Staphylococcus hominis | 1 | 3.3% |
| Enterococcus faecalis | 1 | 3.3% |
| Enterobacter cloacae | 1 | 3.3% |
| Pseudomonas aeruginosa | 1 | 3.3% |
| Streptococcus parasanguinis | 1 | 3.3% |
| Paenibacillus pabuli | 1 | 3.3% |
| Anaerococcus prevotii | 1 | 3.3% |
| Culture-negative | 9 | 30.0% |
| Sex (F/M) | Side (R/L) | Age (Years) | Prosthesis Type (Revision) | ABD (°) | FF (°) | ER (°) | IR (Points) | VAS (Points) | SSV (%) | CS (Points) | SF-12 (Points) |
|---|---|---|---|---|---|---|---|---|---|---|---|
| F | R | 78 | RTSA | 90 | 90 | 0 | 6 | 0 | 80 | 48 | 72.6 |
| M | L | 75 | HA | 100 | 120 | 30 | 4 | 3 | 95 | 61 | 92.4 |
| M | R | 72 | RTSA | 80 | 130 | 60 | 4 | 0 | 75 | 87.5 | 108.7 |
| F | L | 49 | ATSA | 45 | 75 | 0 | 0 | 3 | 30 | 31 | 56.1 |
| M | L | 65 | RTSA | 160 | 160 | 30 | 8 | 1 | 85 | 56.5 | 72.5 |
| F | R | 76 | RTSA | 45 | 45 | 25 | 8 | 0 | 25 | 41 | 86.7 |
| F | L | 79 | RTSA | 90 | 100 | 0 | 2 | 0 | 30 | 47 | 93.78 |
| F | R | 63 | ATSA | 100 | 130 | 35 | 2 | 0 | 20 | 69 | 51.7 |
| F | L | 84 | RTSA | 60 | 90 | 30 | 0 | 1 | 40 | 42 | 68.7 |
| M | R | 82 | RTSA | 165 | 165 | 60 | 2 | 0 | 70 | 80 | 98.1 |
| M | L | 79 | RTSA | 100 | 135 | 30 | 2 | 0 | 95 | 79.5 | 92.2 |
| F | R | 77 | RTSA | 90 | 120 | 10 | 2 | 0 | 50 | 63 | 78.8 |
| M | R | 63 | RTSA | 160 | 160 | 30 | 2 | 0 | 85 | 91.7 | 81.3 |
| M | R | 64 | RTSA | 150 | 140 | 20 | 4 | 2 | 65 | 76 | 79.7 |
| F | L | 58 | RTSA | 60 | 60 | 0 | 2 | 2 | 10 | 26 | 56.5 |
| F | L | 88 | RTSA | 70 | 60 | 20 | 8 | 0 | 60 | 47 | 78.7 |
| F | L | 77 | RTSA | 45 | 45 | 0 | 2 | 6 | 40 | 28 | 97.6 |
| F * | L | 97 | RTSA | 0 | 0 | 0 | 0 | 7 | 10 | 11 | 77.2 |
| F | L | 78 | RTSA ** | 0 | 0 | 0 | 4 | 0 | 20 | 23 | 105.6 |
| M | R | 65 | ATSA *** | 110 | 130 | 10 | 4 | 4 | 50 | 84.4 | 72.5 |
Disclaimer/Publisher’s Note: The statements, opinions and data contained in all publications are solely those of the individual author(s) and contributor(s) and not of MDPI and/or the editor(s). MDPI and/or the editor(s) disclaim responsibility for any injury to people or property resulting from any ideas, methods, instructions or products referred to in the content. |
© 2025 by the authors. Licensee MDPI, Basel, Switzerland. This article is an open access article distributed under the terms and conditions of the Creative Commons Attribution (CC BY) license (https://creativecommons.org/licenses/by/4.0/).
Share and Cite
Hayta, A.; Akgün, D.; Do, A.; Dey Hazra, R.-O.; Back, D.A.; Demirkiran, N.D.; Scheibel, M.; Paksoy, A. Mid- to Long-Term Outcomes of Two-Stage Revision Arthroplasty for Periprosthetic Joint Infection of the Shoulder. J. Clin. Med. 2025, 14, 547. https://doi.org/10.3390/jcm14020547
Hayta A, Akgün D, Do A, Dey Hazra R-O, Back DA, Demirkiran ND, Scheibel M, Paksoy A. Mid- to Long-Term Outcomes of Two-Stage Revision Arthroplasty for Periprosthetic Joint Infection of the Shoulder. Journal of Clinical Medicine. 2025; 14(2):547. https://doi.org/10.3390/jcm14020547
Chicago/Turabian StyleHayta, Ağahan, Doruk Akgün, Anh Do, Rony-Orijit Dey Hazra, David Alexander Back, Nihat Demirhan Demirkiran, Markus Scheibel, and Alp Paksoy. 2025. "Mid- to Long-Term Outcomes of Two-Stage Revision Arthroplasty for Periprosthetic Joint Infection of the Shoulder" Journal of Clinical Medicine 14, no. 2: 547. https://doi.org/10.3390/jcm14020547
APA StyleHayta, A., Akgün, D., Do, A., Dey Hazra, R.-O., Back, D. A., Demirkiran, N. D., Scheibel, M., & Paksoy, A. (2025). Mid- to Long-Term Outcomes of Two-Stage Revision Arthroplasty for Periprosthetic Joint Infection of the Shoulder. Journal of Clinical Medicine, 14(2), 547. https://doi.org/10.3390/jcm14020547

