Endoscopic Management of Benign Pancreaticobiliary Disorders
Abstract
1. Introduction
2. Methods
3. Discussion
3.1. Gallstone Disease
3.2. Acute Cholecystitis
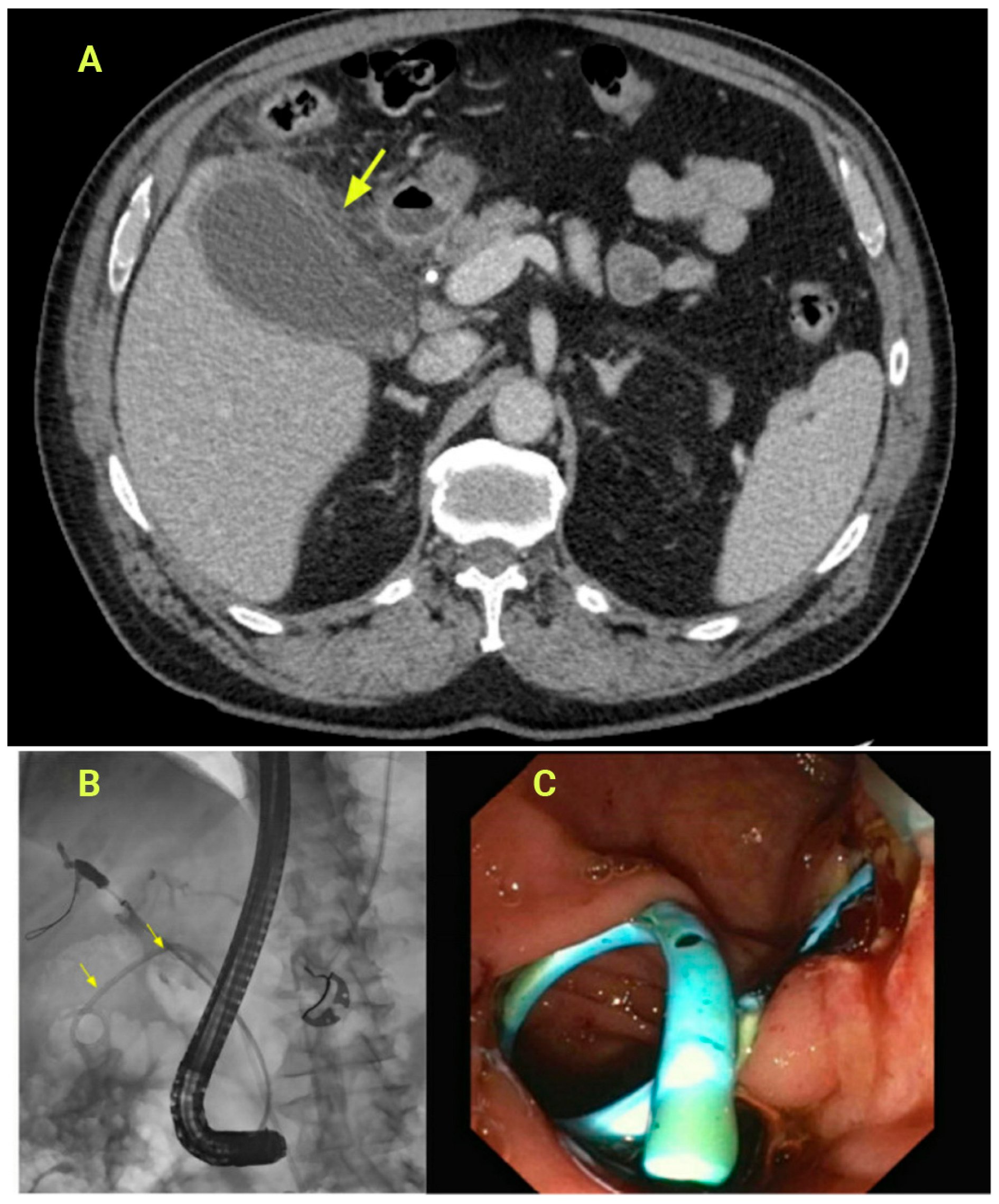
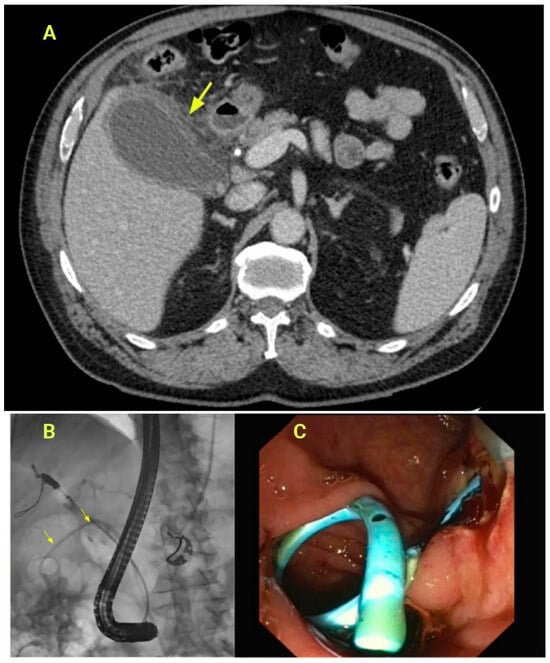
3.3. Transpapillary Gallbladder Drainage (ETP-GBD)
3.4. Endoscopic Ultrasound-Guided Gallbladder Drainage (EUS-GBD)
3.5. Choledocholithiasis
3.6. Endoscopic Retrograde Cholangiopancreatography (ERCP)
3.7. Altered Anatomy
3.8. Post-Operative Complications
3.9. Bile Leak and Strictures
3.10. Post-Liver Transplant (LT) Biliary Strictures
3.11. Benign Pancreatic Disorders
3.12. Recurrent Acute Pancreatitis
3.13. Pancreatic Fluid Collection and Duct Leak
3.14. Chronic Pancreatitis
3.15. Endoscopic Management of PD Calculi and Strictures
3.16. Role of EUS in the Management of CP
4. Conclusions
Author Contributions
Funding
Institutional Review Board Statement
Informed Consent statement
Data Availability Statement
Acknowledgments
Conflicts of Interest
References
- Unalp-Arida, A.; Ruhl, C.E. Burden of gallstone disease in the United States population: Prepandemic rates and trends. World J. Gastrointest. Surg. 2024, 16, 1130–1148. [Google Scholar] [CrossRef] [PubMed]
- ASGE Standards of Practice Committee; Pawa, S.; Marya, N.B.; Thiruvengadam, N.R.; Ngamruengphong, S.; Baron, T.H.; Bun Teoh, A.Y.; Bent, C.K.; Abidi, W.; Alipour, O.; et al. American Society for Gastrointestinal Endoscopy guideline on the role of therapeutic EUS in the management of biliary tract disorders: Summary and recommendations. Gastrointest. Endosc. 2024, 100, 967–979. [Google Scholar] [CrossRef] [PubMed]
- Irani, S.; Ngamruengphong, S.; Teoh, A.; Will, U.; Nieto, J.; Dayyeh, B.K.A.; Gan, S.I.; Larsen, M.; Yip, H.C.; Topazian, M.D.; et al. Similar efficacies of endoscopic ultrasound gallbladder drainage with a lumen-apposing metal Stent versus percutaneous transhepatic gallbladder drainage for acute cholecystitis. Clin. Gastroenterol. Hepatol. 2017, 15, 738–745. [Google Scholar] [CrossRef] [PubMed]
- Teoh, A.Y.B.; Kitano, M.; Itoi, T.; Pérez-Miranda, M.; Ogura, T.; Chan, S.M.; Serna-Higuera, C.; Omoto, S.; Torres-Yuste, R.; Tsuichiya, T.; et al. Endosonography-guided gallbladder drainage versus percutaneous cholecystostomy in very high-risk surgical patients with acute cholecystitis: An international randomised multicentre controlled superiority trial (DRAC 1). Gut 2020, 69, 1085–1091. [Google Scholar] [CrossRef]
- Jang, J.W.; Lee, S.S.; Song, T.J.; Hyun, Y.S.; Park, D.H.; Seo, D.-W.; Lee, S.-K.; Kim, M.-H.; Yun, S.-C. Endoscopic ultrasound-guided transmural and percutaneous transhepatic gallbladder drainage are comparable for acute cholecystitis. J. Dig. Endosc. 2013, 04, 140–142. [Google Scholar]
- Kozarek, R.A. Selective cannulation of the cystic duct at time of ERCP. J. Clin. Gastroenterol. 1984, 6, 37–40. [Google Scholar]
- Glessing, B.R.; Attam, R.; Amateau, S.K.; Tiewala, M.; Bakman, Y.; Nemat, H.; Freeman, M.L.; Arain, M.A. Novel use of long, large-caliber, fenestrated stents for endoscopic transpapillary gallbladder stenting for therapy of symptomatic gallbladder disease. Dig. Dis. Sci. 2015, 60, 3817–3822. [Google Scholar] [CrossRef]
- Itoi, T.; Sofuni, A.; Itokawa, F.; Tsuchiya, T.; Kurihara, T.; Ishii, K.; Tsuji, S.; Ikeuchi, N.; Tsukamoto, S.; Takeuchi, M.; et al. Endoscopic transpapillary gallbladder drainage in patients with acute cholecystitis in whom percutaneous transhepatic approach is contraindicated or anatomically impossible (with video). Gastrointest. Endosc. 2008, 68, 455–460. [Google Scholar] [CrossRef]
- Nakahara, K.; Michikawa, Y.; Morita, R.; Suetani, K.; Morita, N.; Sato, J.; Tsuji, K.; Ikeda, H.; Matsunaga, K.; Watanabe, T.; et al. Endoscopic transpapillary gallbladder stenting using a newly designed plastic stent for acute cholecystitis. Endosc. Int. Open 2019, 7, E1105–E1114. [Google Scholar] [CrossRef]
- Hasan, M.K.; Itoi, T.; Varadarajulu, S. Endoscopic management of acute cholecystitis. Gastrointest. Endosc. Clin. N. Am. 2013, 23, 453–459. [Google Scholar] [CrossRef]
- Kjaer, D.W.; Kruse, A.; Funch-Jensen, P. Endoscopic gallbladder drainage of patients with acute cholecystitis. Endoscopy 2007, 39, 304–308. [Google Scholar] [CrossRef] [PubMed]
- Oh, D.; Song, T.J.; Cho, D.H.; Park, D.H.; Seo, D.-W.; Lee, S.K.; Kim, M.-H.; Lee, S.S. EUS-guided cholecystostomy versus endoscopic transpapillary cholecystostomy for acute cholecystitis in high-risk surgical patients. Gastrointest. Endosc. 2019, 89, 289–298. [Google Scholar] [CrossRef] [PubMed]
- Higa, J.T.; Sahar, N.; Kozarek, R.A.; La Selva, D.; Larsen, M.C.; Gan, S.-I.; Ross, A.S.; Irani, S.S. EUS-guided gallbladder drainage with a lumen-apposing metal stent versus endoscopic transpapillary gallbladder drainage for the treatment of acute cholecystitis (with videos). Gastrointest. Endosc. 2019, 90, 483–492. [Google Scholar] [CrossRef] [PubMed]
- Siddiqui, A.; Kunda, R.; Tyberg, A.; Arain, M.A.; Noor, A.; Mumtaz, T.; Iqbal, U.; Loren, D.E.; Kowalski, T.E.; Adler, D.G.; et al. Three-way comparative study of endoscopic ultrasound-guided transmural gallbladder drainage using lumen-apposing metal stents versus endoscopic transpapillary drainage versus percutaneous cholecystostomy for gallbladder drainage in high-risk surgical patients with acute cholecystitis: Clinical outcomes and success in an International, Multicenter Study. Surg. Endosc. 2019, 33, 1260–1270. [Google Scholar] [PubMed]
- Inoue, T.; Yoshida, M.; Suzuki, Y.; Kitano, R.; Urakabe, K.; Haneda, K.; Okumura, F.; Naitoh, I. Comparison of the long-term outcomes of EUS-guided gallbladder drainage and endoscopic transpapillary gallbladder drainage for calculous cholecystitis in poor surgical candidates: A multicenter propensity score-matched analysis. Gastrointest. Endosc. 2023, 98, 362–370. [Google Scholar] [CrossRef]
- Irani, S.S.; Sharzehi, K.; Siddiqui, U.D. AGA Clinical Practice Update on Role of EUS-Guided Gallbladder Drainage in Acute Cholecystitis: Commentary. Clin. Gastroenterol. Hepatol. 2023, 21, 1141–1147. [Google Scholar] [CrossRef]
- Tyberg, A.; Duarte-Chavez, R.; Shahid, H.M.; Sarkar, A.; Simon, A.; Shah-Khan, S.M.; Gaidhane, M.; Mohammad, T.F.; Nosher, J.; Wise, S.S.; et al. Endoscopic ultrasound-guided gallbladder drainage versus percutaneous drainage in patients with acute cholecystitis undergoing elective cholecystectomy. Clin. Transl. Gastroenterol. 2023, 14, e00593. [Google Scholar] [CrossRef]
- Bang, J.Y.; Arnoletti, J.P.; Wagner, A.; Varadarajulu, S. EUS-guided gallbladder drainage in acute cholecystitis: Long-term problems with surgical approach. Gut 2024, 73, 395–397. [Google Scholar] [CrossRef]
- Law, R.; Grimm, I.S.; Stavas, J.M.; Baron, T.H. Conversion of percutaneous cholecystostomy to internal transmural gallbladder drainage using an endoscopic ultrasound-guided, lumen-apposing metal Stent. Clin. Gastroenterol. Hepatol. 2016, 14, 476–480. [Google Scholar] [CrossRef]
- Tyberg, A.; Saumoy, M.; Sequeiros, E.V.; Giovannini, M.; Artifon, E.; Teoh, A.; Nieto, J.; Desai, A.; Kumta, N.; Gaidhane, M.; et al. EUS-guided versus percutaneous gallbladder drainage: Isn’t it time to convert? J. Clin. Gastroenterol. 2018, 52, 79–84. [Google Scholar] [CrossRef]
- Gurusamy, K.S.; Giljaca, V.; Takwoingi, Y.; Higgie, D.; Poropat, G.; Štimac, D.; Davidson, B.R.; Cochrane Hepato-Biliary Group. Ultrasound versus liver function tests for diagnosis of common bile duct stones. Cochrane Database Syst. Rev. 2015, 2015, CD011548. [Google Scholar] [CrossRef] [PubMed]
- Sonnenberg, A.; Enestvedt, B.K.; Bakis, G. Management of suspected choledocholithiasis: A decision analysis for choosing the optimal imaging modality. Dig. Dis. Sci. 2016, 61, 603–609. [Google Scholar] [CrossRef] [PubMed]
- Luthra, A.K.; Aggarwal, V.; Mishra, G.; Conway, J.; Evans, J.A. A prospective blinded study evaluating the role of endoscopic ultrasound before endoscopic retrograde cholangiopancreatography in the setting of ‘positive’ intraoperative cholangiogram during cholecystectomy. Am. Surg. 2016, 82, 343–347. [Google Scholar] [CrossRef] [PubMed]
- ASGE Standards of Practice Committee; Maple, J.T.; Ben-Menachem, T.; Anderson, M.A.; Appalaneni, V.; Banerjee, S.; Cash, B.D.; Fisher, L.; Harrison, M.E.; Fanelli, R.D.; et al. The role of endoscopy in the evaluation of suspected choledocholithiasis. Gastrointest. Endosc. 2010, 71, 1–9. [Google Scholar] [CrossRef]
- Yang, X.-M.; Hu, B. Endoscopic sphincterotomy plus large-balloon dilation vs endoscopic sphincterotomy for choledocholithiasis: A meta-analysis. World J. Gastroenterol. 2013, 19, 9453–9460. [Google Scholar] [CrossRef]
- ASGE Technology Committee; DiSario, J.; Chuttani, R.; Croffie, J.; Liu, J.; Mishkin, D.; Shah, R.; Somogyi, L.; Tierney, W.; Song, L.M.W.K.; et al. Biliary and pancreatic lithotripsy devices. VideoGIE 2018, 3, 329–338. [Google Scholar] [CrossRef]
- Veld, J.V.; van Huijgevoort, N.C.M.; Boermeester, M.A.; Besselink, M.G.; van Delden, O.M.; Fockens, P.; van Hooft, J.E. A systematic review of advanced endoscopy-assisted lithotripsy for retained biliary tract stones: Laser, electrohydraulic or extracorporeal shock wave. Endoscopy 2018, 50, 896–909. [Google Scholar] [CrossRef]
- Kedia, P.; Sharaiha, R.Z.; Kumta, N.A.; Kahaleh, M. Internal EUS-directed transgastric ERCP (EDGE): Game over. Gastroenterology 2014, 147, 566–568. [Google Scholar] [CrossRef]
- Dhindsa, B.S.; Dhaliwal, A.; Mohan, B.P.; Mashiana, H.S.; Girotra, M.; Singh, S.; Ohning, G.; Bhat, I.; Adler, D.G. EDGE in Roux-en-Y gastric bypass: How does it compare to laparoscopy-assisted and balloon enteroscopy ERCP: A systematic review and meta-analysis. Endosc. Int. Open 2020, 8, E163–E171. [Google Scholar] [CrossRef]
- Adler, D.G.; Papachristou, G.I.; Taylor, L.J.; McVay, T.; Birch, M.; Francis, G.; Zabolotsky, A.; Laique, S.N.; Hayat, U.; Zhan, T.; et al. Clinical outcomes in patients with bile leaks treated via ERCP with regard to the timing of ERCP: A large multicenter study. Gastrointest. Endosc. 2017, 85, 766–772. [Google Scholar] [CrossRef]
- Wang, A.Y.; Ellen, K.; Berg, C.L.; Schmitt, T.M.; Kahaleh, M. Fully covered self-expandable metallic stents in the management of complex biliary leaks: Preliminary data—A case series. Endoscopy 2009, 41, 781–786. [Google Scholar] [CrossRef] [PubMed]
- Lalezari, D.; Singh, I.; Reicher, S.; Eysselein, V.E. Evaluation of fully covered self-expanding metal stents in benign biliary strictures and bile leaks. World J. Gastrointest. Endosc. 2013, 5, 332–339. [Google Scholar] [CrossRef] [PubMed]
- Ahmad, D.S.; Faulx, A. Management of postcholecystectomy biliary complications: A narrative review. Am. J. Gastroenterol. 2020, 115, 1191–1198. [Google Scholar] [CrossRef] [PubMed]
- Bergman, J.J.; Brink, G.R.v.D.; A Rauws, E.; de Wit, L.; Obertop, H.; Huibregtse, K.; Tytgat, G.N.; Gouma, D.J. Treatment of bile duct lesions after laparoscopic cholecystectomy. Gut 1996, 38, 141–147. [Google Scholar] [CrossRef]
- Vitale, G.C.; Tran, T.C.; Davis, B.R.; Vitale, M.; Vitale, D.; Larson, G. Endoscopic management of postcholecystectomy bile duct strictures. J. Am. Coll. Surg. 2008, 206, 918–923, discussion 924–925. [Google Scholar] [CrossRef]
- Huibregtse, K.; Katon, R.M.; Tytgat, G.N. Endoscopic treatment of postoperative biliary strictures. Endoscopy 1986, 18, 133–137. [Google Scholar] [CrossRef]
- Costamagna, G.; Shah, S.K.; Tringali, A. Current management of postoperative complications and benign biliary strictures. Gastrointest. Endosc. Clin. N. Am. 2003, 13, 635–648. [Google Scholar] [CrossRef]
- Costamagna, G.; Tringali, A.; Perri, V. Endotherapy of postcholecystectomy biliary strictures with multiple plastic stents: Long term results in a large cohort of patients. Gastrointest. Endosc. 2020, 91, 81–89. [Google Scholar] [CrossRef]
- Artifon, E.L.A.; Coelho, F.; Frazao, M.; Marques, S.; Paione, J.B.; Takada, J.; Boaventura, P.; Rebello, C.; Otoch, J.P. A prospective randomized study comparing partially covered metal stent versus plastic multistent in the endoscopic management of patients with postoperative benign bile duct strictures: A follow-up above 5 years. Rev. Gastroenterol. Peru 2012, 32, 26–31. [Google Scholar]
- Sicklick, J.K.; Camp, M.S.; Lillemoe, K.D.; Melton, G.B.; Yeo, C.J.; Campbell, K.A.; Talamini, M.A.; Pitt, H.A.; Coleman, J.; Sauter, P.A.; et al. Surgical management of bile duct injuries sustained during laparoscopic cholecystectomy: Perioperative results in 200 patients. Ann. Surg. 2005, 241, 786–792, discussion 793–795. [Google Scholar] [CrossRef]
- Bill, J.G.; Mullady, D.K. Stenting for benign and malignant biliary strictures. Gastrointest. Endosc. Clin. N. Am. 2019, 29, 215–235. [Google Scholar] [CrossRef] [PubMed]
- Jang, S.I.; Choi, Y.; Kim, J.; Cho, J.H.; Joo, S.M.; Lee, K.H.; Chung, M.J.; Lee, D.K. Magnetic compression anastomosis for the treatment of complete biliary obstruction after cholecystectomy. Gastrointest. Endosc. 2024, 100, 1053–1060.e4. [Google Scholar] [CrossRef] [PubMed]
- Oh, D.-W.; Lee, S.K.; Song, T.J.; Park, D.H.; Lee, S.S.; Seo, D.-W.; Kim, M.-H. Endoscopic management of bile leakage after liver transplantation. Gut Liver 2015, 9, 417–423. [Google Scholar] [CrossRef] [PubMed]
- Morelli, J.; Mulcahy, H.E.; Willner, I.R. Endoscopic treatment of post-liver transplantation biliary leaks with stent placement across the leak site. Gastrointest Endosc. 2001, 54, 471–475. [Google Scholar] [CrossRef]
- Londoño, M.-C.; Balderramo, D.; Cárdenas, A. Management of biliary complications after orthotopic liver transplantation: The role of endoscopy. World J. Gastroenterol. 2008, 14, 493–497. [Google Scholar] [CrossRef]
- Verdonk, R.C.; Buis, C.I.; Porte, R.J.; van der Jagt, E.J.; Limburg, A.J.; Berg, A.P.v.D.; Slooff, M.J.; Peeters, P.M.; de Jong, K.P.; Kleibeuker, J.H.; et al. Anastomotic biliary strictures after liver transplantation: Causes and consequences. Liver Transpl. 2006, 12, 726–735. [Google Scholar] [CrossRef]
- Kao, D.; Zepeda-Gomez, S.; Tandon, P.; Bain, V.G. Managing the post-liver transplantation anastomotic biliary stricture: Multiple plastic versus metal stents: A systematic review. Gastrointest. Endosc. 2013, 77, 679–691. [Google Scholar] [CrossRef]
- Ryu, C.H.; Lee, S.K. Biliary strictures after liver transplantation. Gut Liver 2011, 5, 133–142. [Google Scholar] [CrossRef]
- Chang, J.H.; Lee, I.S.; Choi, J.Y. Biliary stricture after adult rightlobe living-donor liver transplantation with duct-to-duct anastomosis: Long-term outcome and its related factors after endoscopic treatment. Gut Liver 2010, 4, 226–233. [Google Scholar] [CrossRef]
- Ashat, M.; Berei, J.; El-Abiad, R.; Khashab, M.A. Benign biliary strictures: A comprehensive review. Turk. J. Gastroenterol. 2024, 35, 513–522. [Google Scholar]
- Jang, S.I.; Cho, J.H.; Lee, D.K. Magnetic compression anastomosis for the treatment of post-transplant biliary stricture. Clin. Endosc. 2020, 53, 266–275. [Google Scholar] [CrossRef] [PubMed]
- Rerknimitr, R.; Sherman, S.; Fogel, E.L.; Kalayci, C.; Lumeng, L.; Chalasani, N.; Kwo, P.; Lehman, G.A. Biliary tract complications after orthotopic liver transplantation with choledochocholedochostomy anastomosis: Endoscopic findings and results of therapy. Gastrointest. Endosc. 2002, 55, 224–231. [Google Scholar] [CrossRef] [PubMed]
- Morelli, J.; Mulcahy, H.E.; Willner, I.R.; Cunningham, J.T.; Draganov, P. Long-term outcomes for patients with post-liver transplant anastomotic biliary strictures treated by endoscopic stent placement. Gastrointest. Endosc. 2003, 58, 374–379. [Google Scholar] [CrossRef] [PubMed]
- Alazmi, W.M.; Fogel, E.L.; Watkins, J.L. Recurrence Rate of Anastomotic Biliary Strictures in Patients Who Have Had Previous Successful Endo Scopic Therapy for Anastomotic Narrowing after Orthotopic Liver Trans Plantation. Endoscopy 2006, 38, 571–574. [Google Scholar] [CrossRef]
- Pasha, S.F.; Harrison, M.E.; Das, A. Endoscopic Treatment of Anasto Motic Biliary Strictures after Deceased Donor Liver Transplantation. Gastrointest. Endosc. 2007, 66, 44–51. [Google Scholar] [CrossRef]
- Holt, A.P.; Thorburn, D.; Mirza, D.; Gunson, B.; Wong, T.; Haydon, G. A prospective study of standardized nonsurgical therapy in the management of biliary anastomotic strictures complicating liver transplantation. Transplantation 2007, 84, 857–863. [Google Scholar] [CrossRef]
- Morelli, G.; Fazel, A.; Judah, J.; Pan, J.J.; Forsmark, C.; Draganov, P. Rapid-Sequence Endoscopic Manage Ment of Posttransplant Anastomotic Biliary Strictures. Gastrointest. Endosc. 2008, 67, 879–885. [Google Scholar] [CrossRef]
- Tabibian, J.H.; Asham, E.H.; Han, S.; Saab, S.; Tong, M.J.; Goldstein, L.; Busuttil, R.W.; Durazo, F.A. Endoscopic treatment of postorthotopic liver transplantation anastomotic biliary strictures with maximal stent therapy (with video). Gastrointest. Endosc. 2010, 71, 505–512. [Google Scholar] [CrossRef]
- Lans, J.I.; Geenen, J.E.; Johanson, J.F.; Hogan, W.J. Endoscopic therapy in patients with pancreas divisum and acute pancreatitis: A prospective, randomized, controlled clinical trial. Gastrointest. Endosc. 1992, 38, 430–434. [Google Scholar] [CrossRef]
- Coté, G.A.; Durkalski-Mauldin, V.L.; Serrano, J.; Klintworth, E.; Williams, A.W.; Cruz-Monserrate, Z.; Arain, M.; Buxbaum, J.L.; Conwell, D.L.; Fogel, E.L.; et al. SpHincterotomy for Acute Recurrent Pancreatitis randomized trial: Rationale, methodology, and potential implications. Pancreas 2019, 48, 1061–1067. [Google Scholar] [CrossRef]
- Park, D.H.; Lee, S.S.; Moon, S.H.; Choi, S.Y.; Jung, S.W.; Seo, D.W.; Kim, M.H. Endoscopic ultrasound-guided versus conventional transmural drainage for pancreatic pseudocysts: A prospective randomized trial. Endoscopy 2009, 41, 842–848. [Google Scholar] [CrossRef] [PubMed]
- Panamonta, N.; Ngamruengphong, S.; Kijsirichareanchai, K.; Nugent, K.; Rakvit, A. Endoscopic ultrasound-guided versus conventional transmural techniques have comparable treatment outcomes in draining pancreatic pseudocysts. Eur. J. Gastroenterol. Hepatol. 2012, 24, 1355–1362. [Google Scholar] [CrossRef] [PubMed]
- Binmoeller, K.F.; Shah, J. A novel lumen-apposing stent for transluminal drainage of nonadherent extraintestinal fluid collections. Endoscopy 2011, 43, 337–342. [Google Scholar] [CrossRef]
- Mangiavillano, B.; Lakhtakia, S.; Samanta, J.; Auriemma, F.; Vargas-Madrigal, J.; Arcidiacono, P.G.; Barbera, C.; Ashhab, H.; Song, T.J.; Pham, K.D.-K.; et al. Lumen-apposing metal stents for the treatment of pancreatic and peripancreatic fluid collections and bleeding risk: A propensity matched study. Endoscopy 2024, 56, 249–257. [Google Scholar]
- Rerknimitr, R. Endoscopic transmural necrosectomy: Timing, indications, and methods. Clin. Endosc. 2020, 53, 49–53. [Google Scholar] [CrossRef]
- Mony, S.; Shrigiriwar, A.; Khashab, M.A. Direct endoscopic necrosectomy using the novel 5-mm powered endoscopic debridement device: The larger winner? VideoGIE 2023, 8, 283–285. [Google Scholar] [CrossRef]
- Díte, P.; Ruzicka, M.; Zboril, V.; Novotný, I. A prospective, randomized trial comparing endoscopic and surgical therapy for chronic pancreatitis. Endoscopy 2003, 35, 553–558. [Google Scholar]
- Cahen, D.L.; Gouma, D.J.; Laramée, P.; Nio, Y.; Rauws, E.A.; Boermeester, M.A.; Busch, O.R.; Fockens, P.; Kuipers, E.J.; Pereira, S.P.; et al. Long-term outcomes of endoscopic vs surgical drainage of the pancreatic duct in patients with chronic pancreatitis. Gastroenterology 2011, 141, 1690–1695. [Google Scholar] [CrossRef]
- Issa, Y.; Kempeneers, M.A.; Bruno, M.J.; Fockens, P.; Poley, J.W.; Ali, U.A.; Bollen, T.L.; Busch, O.R.; Dejong, C.H.; van Duijvendijk, P.; et al. Effect of early surgery vs endoscopy-first approach on pain in patients with chronic pancreatitis: The ESCAPE randomized clinical trial. JAMA 2020, 323, 237–247. [Google Scholar] [CrossRef]
- Dumonceau, J.M.; Costamagna, G.; Tringali, A.; Vahedi, K.; Delhaye, M.; Hittelet, A.; Spera, G.; Giostra, E.; Mutignani, M.; De Maertelaer, V. Treatment for painful calcified chronic pancreatitis: Extracorporeal shock wave lithotripsy versus endoscopic treatment: A randomised controlled trial. Gut 2007, 56, 545–552. [Google Scholar] [CrossRef] [PubMed] [PubMed Central]
- van Huijgevoort, N.C.M.; Veld, J.V.; Fockens, P.; Besselink, M.G.; Boermeester, M.A.; Arvanitakis, M.; van Hooft, J.E. Success of extracorporeal shock wave lithotripsy and ERCP in symptomatic pancreatic duct stones: A systematic review and meta-analysis. Endosc. Int. Open. 2020, 8, E1070–E1085. [Google Scholar] [CrossRef] [PubMed] [PubMed Central]
- Attwell, A.R.; Brauer, B.C.; Chen, Y.K.; Yen, R.D.; Fukami, N.; Shah, R.J. Endoscopic retrograde cholangiopancreatography with per oral pancreatoscopy for calcific chronic pancreatitis using endoscope and catheter-based pancreatoscopes: A 10-year single-center experience. Pancreas 2014, 43, 268–274. [Google Scholar] [CrossRef] [PubMed]
- McCarty, T.R.; Sobani, Z.; Rustagi, T. Per-oral pancreatoscopy with intraductal lithotripsy for difficult pancreatic duct stones: A systematic review and meta-analysis. Endosc. Int. Open 2020, 8, E1460–E1470. [Google Scholar] [CrossRef]
- Saghir, S.M.; Mashiana, H.S.; Mohan, B.P.; Dhindsa, B.S.; Dhaliwal, A.; Chandan, S.; Bhogal, N.; Bhat, I.; Singh, S.; Adler, D.G. Efficacy of pancreatoscopy for pancreatic duct stones: A systematic review and meta-analysis. World J. Gastroenterol. 2020, 26, 5207–5219. [Google Scholar] [CrossRef]
- Sharaiha, R.Z.; Novikov, A.; Weaver, K.; Marfatia, P.; Buscaglia, J.M.; DiMaio, C.J.; Diehl, D.; Gabr, M.M.; Gaidhane, M.; Siddiqui, A.; et al. Fully covered self-expanding metal stents for refractory pancreatic duct strictures in symptomatic chronic pancreatitis, US experience. Endosc. Int. Open 2019, 7, E1419–E1423. [Google Scholar] [CrossRef]
- Shen, Y.; Liu, M.; Chen, M.; Li, Y.; Lu, Y.; Zou, X. Covered metal stent or multiple plastic stents for refractory pancreatic ductal strictures in chronic pancreatitis: A systematic review. Pancreatology 2014, 14, 87–90. [Google Scholar] [CrossRef]
- Oh, D.; Lee, J.H.; Song, T.J.; Park, D.H.; Lee, S.K.; Kim, M.H.; Lee, S.S. Long-term outcomes of 6-mm diameter fully covered self-expandable metal stents in benign refractory pancreatic ductal stricture. Dig. Endosc. 2018, 30, 508–515. [Google Scholar] [CrossRef]
- Hu, B.; Sun, B.; Cai, Q.; Wong Lau, J.Y.; Ma, S.; Itoi, T.; Moon, J.H.; Yasuda, I.; Zhang, X.; Wang, H.P.; et al. Asia-Pacific consensus guidelines for endoscopic management of benign biliary strictures. Gastrointest. Endosc. 2017, 86, 44–58. [Google Scholar] [CrossRef]
- Lakhtakia, S.; Reddy, N.; Dolak, W.; Ponchon, T.; Bruno, M.J.; Bourke, M.J.; Neuhaus, H.; Roy, A.; González-Huix Lladó, F.; Kortan, P.P.; et al. Long-term outcomes after temporary placement of a self-expanding fully covered metal stent for benign biliary strictures secondary to chronic pancreatitis. Gastrointest. Endosc. 2020, 91, 361–369.e3. [Google Scholar] [CrossRef]
- Krafft, M.R.; Nasr, J.Y. Anterograde endoscopic ultrasound-guided pancreatic duct drainage: A technical review. Dig. Dis. Sci. 2019, 64, 1770–1781. [Google Scholar] [CrossRef]
- Wiersema, M.J.; Wiersema, L.M. Endosonography-guided celiac plexus neurolysis. Gastrointest. Endosc. 1996, 44, 656–662. [Google Scholar] [CrossRef] [PubMed]









| Study | No. of Patients | Technical Success (%) | Clinical Success (%) | Adverse Events (%) | Need for Recurrent Intervention (%) |
|---|---|---|---|---|---|
| Oh et al. [12] | 96 | 86.6 | 86 | 19.3 | 10.4 |
| Higa et al. [13] | 38 | 87.2 | 76.3 | 9.4 | 15.8 |
| Siddiqui et al. [14] | 124 | 87.9 | 79.8 | 7.3 | 11.4 |
| Inoue et al. [15] | 90 | 78.6 | 74.4 | 21.1 | Not reported |
| Study | N | Technical Success % | Clinical Success % | Adverse Events % | Need for Recurrent Interventions % |
|---|---|---|---|---|---|
| Tyberg et al. [20] | 42 | 95.2 | 95.2 | 21.4 | 11.9 |
| Irani et al. [3] | 45 | 97.8 | 95.6 | 17.8 | 24.4 |
| Teoh et al. [4] | 39 | 97.4 | 92.3 | 12.8 | 2.6 |
| Jang et al. [5] | 30 | 96.7 | 96.7 | 6.7 | - |
| Oh et al. [12] | 76 | 99.3 | 99.3 | 7.1 | 3.9 |
| Higa et al. [13] | 40 | 97.5 | 95 | 17.9 | 17.9 |
| Siddiqui et al. [14] | 102 | 94.1 | 90.2 | 11.8 | 0 |
| Inoue et al. [15] | 90 | 96.7 | 88.9 | 12.2 | - |
| N | Technical Success | Stricture Resolution | Stricture Recurrence Rate | |
|---|---|---|---|---|
| Rerknimitr et al. [52] | 43 | 100 | 100 | 0 |
| J.Morelli et al. [53] | 25 | 96 | 88 | 9 |
| Alazmi et al. [54] | 148 | 97 | 89 | 18 |
| Pasha et al. [55] | 25 | 100 | 72 | 22 |
| Holt et al. [56] | 53 | 92 | 64 | 3 |
| G Morelli et al. [57] | 38 | 100 | 89 | 15 |
| Tabibian et al. [58] | 69 | 100 | 94 | 3 |
Disclaimer/Publisher’s Note: The statements, opinions and data contained in all publications are solely those of the individual author(s) and contributor(s) and not of MDPI and/or the editor(s). MDPI and/or the editor(s) disclaim responsibility for any injury to people or property resulting from any ideas, methods, instructions or products referred to in the content. |
© 2025 by the authors. Licensee MDPI, Basel, Switzerland. This article is an open access article distributed under the terms and conditions of the Creative Commons Attribution (CC BY) license (https://creativecommons.org/licenses/by/4.0/).
Share and Cite
Vedamurthy, A.; Krishnamoorthi, R.; Irani, S.; Kozarek, R. Endoscopic Management of Benign Pancreaticobiliary Disorders. J. Clin. Med. 2025, 14, 494. https://doi.org/10.3390/jcm14020494
Vedamurthy A, Krishnamoorthi R, Irani S, Kozarek R. Endoscopic Management of Benign Pancreaticobiliary Disorders. Journal of Clinical Medicine. 2025; 14(2):494. https://doi.org/10.3390/jcm14020494
Chicago/Turabian StyleVedamurthy, Amar, Rajesh Krishnamoorthi, Shayan Irani, and Richard Kozarek. 2025. "Endoscopic Management of Benign Pancreaticobiliary Disorders" Journal of Clinical Medicine 14, no. 2: 494. https://doi.org/10.3390/jcm14020494
APA StyleVedamurthy, A., Krishnamoorthi, R., Irani, S., & Kozarek, R. (2025). Endoscopic Management of Benign Pancreaticobiliary Disorders. Journal of Clinical Medicine, 14(2), 494. https://doi.org/10.3390/jcm14020494
