Development and Treatment of Radicular Cyst in Pediatric Patient—Case Report
Abstract
1. Introduction
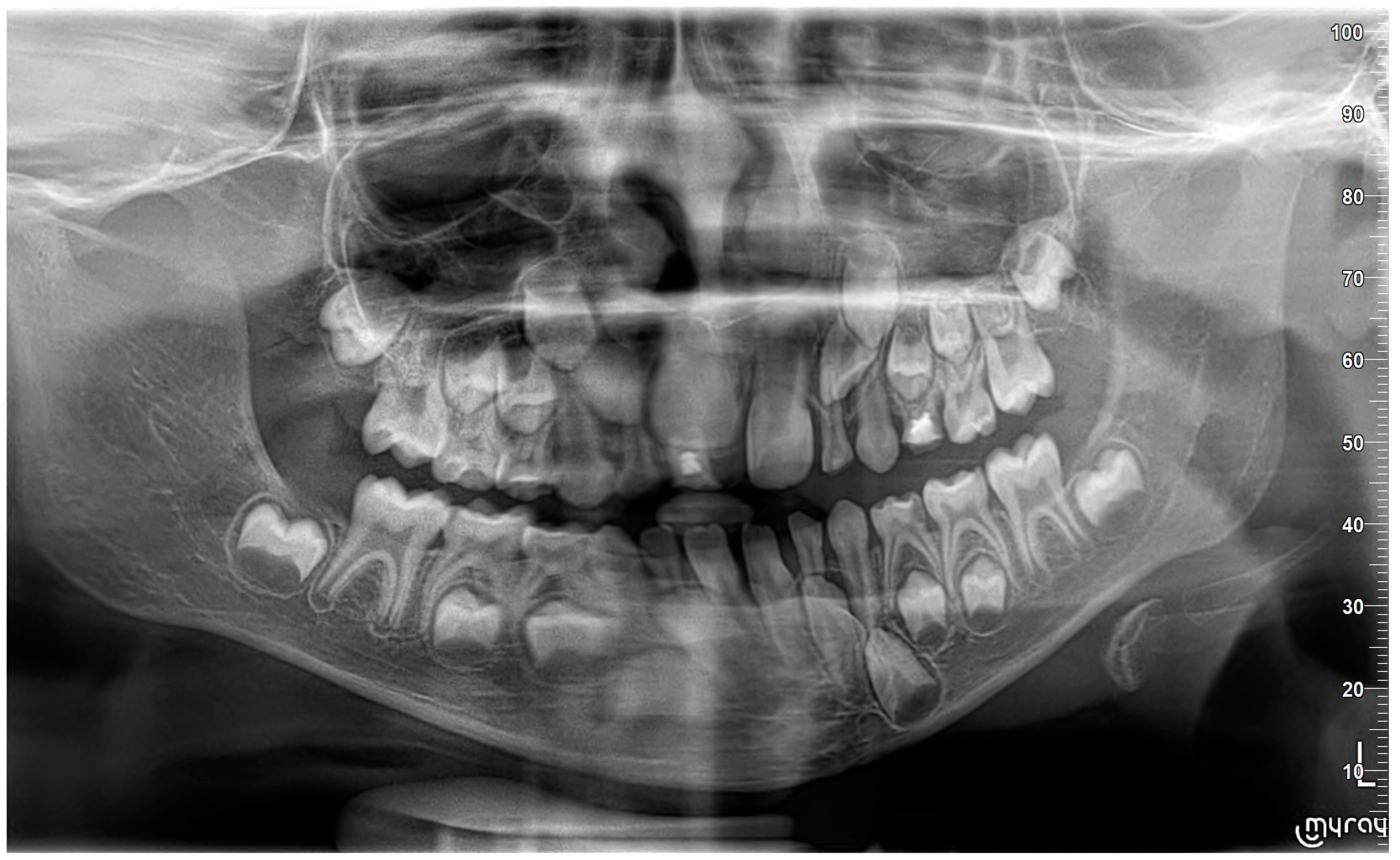
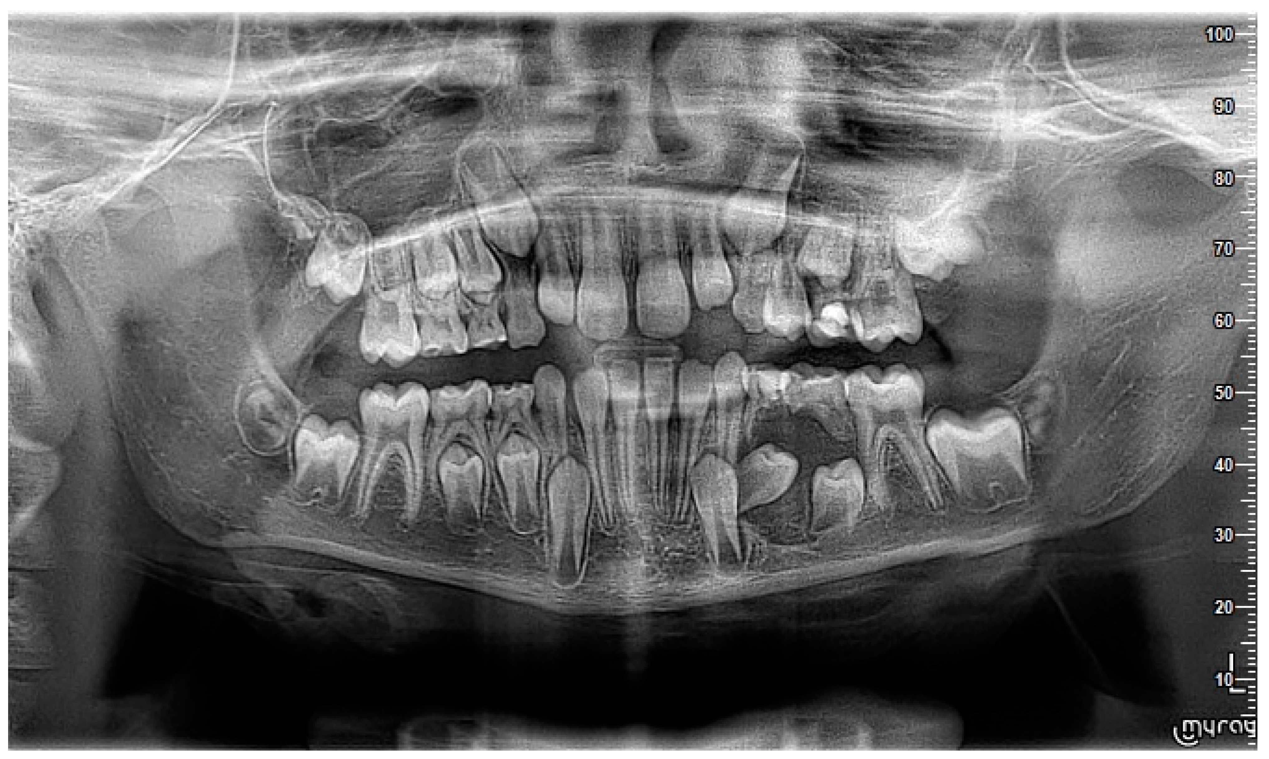
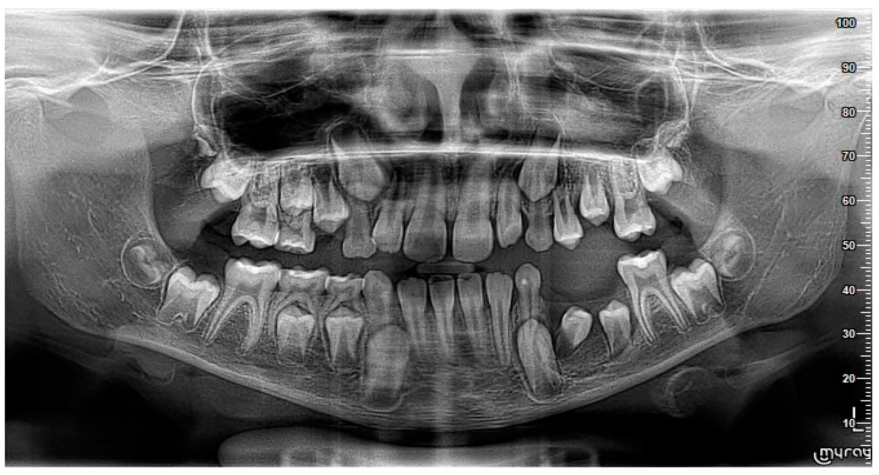
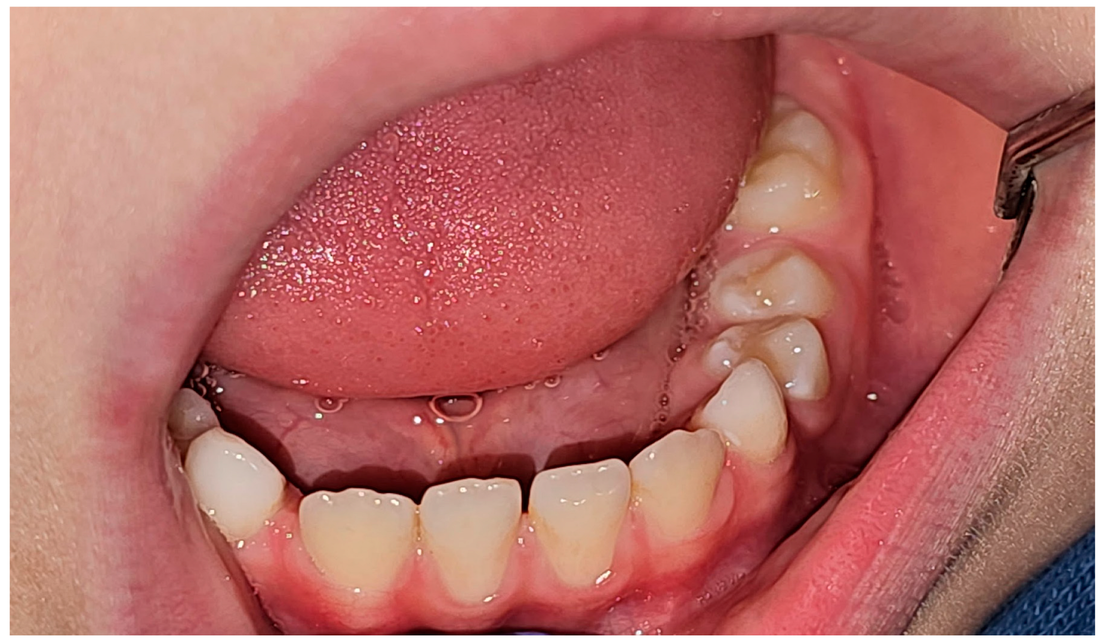
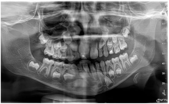
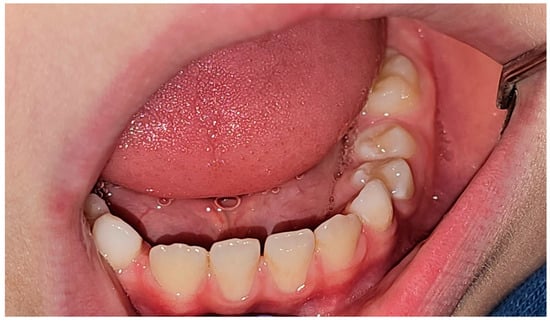
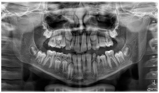
2. Case Report
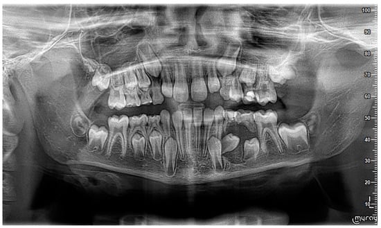
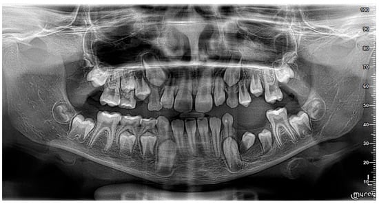
3. Follow-Up and Outcomes
4. Discussion
5. Conclusions
- Reduces the scope of the surgical procedure;
- May help in the proper development of diseased permanent tooth buds;
- May enable proper bone reconstruction;
- Enables the further proper development of occlusion.
Author Contributions
Funding
Institutional Review Board Statement
Informed Consent Statement
Data Availability Statement
Conflicts of Interest
References
- Popoola, B.O.; Ayebameru, O.E.; Olanloye, O.M. Endodontic treatment in children: A five-year retrospective study of cases seen at the university college hospital, Ibadan, Nigeria. Ann. Ib. Postgrad. Med. 2018, 16, 136–141. [Google Scholar] [PubMed]
- Sinaee, N.; Salahi, S.; Sheikhi, M. Evaluation of the Effect of Diode Laser for Debonding Ceramic Brackets on Nanomechanical Properties of Enamel. Dent. Res. J. (Isfahan) 2018, 15, 354–360. [Google Scholar] [CrossRef] [PubMed]
- Combined Dental Agreement: Operation Guidelines for Oral Health Services for Adolescents and Special Dental Services for Children and Adolescents; Ministry of Health: Wellington, New Zealand, 2022.
- Farooq, N.S.; Coll, J.A.; Kuwabara, A.; Shelton, P. Success Rates of Formocresol Pulpotomy and Indirect Pulp Therapy in the Treatment of Deep Dentinal Caries in Primary Teeth. Pediatr. Dent. 2000, 22, 278–286. [Google Scholar] [PubMed]
- Asl Aminabadi, N.; Satrab, S.; Najafpour, E.; Samiei, M.; Jamali, Z.; Shirazi, S. A Randomized Trial of Direct Pulp Capping in Primary Molars Using MTA Compared to 3Mixtatin: A Novel Pulp Capping Biomaterial. Int. J. Paediatr. Dent. 2016, 26, 281–290. [Google Scholar] [CrossRef]
- Rodd, H.D.; Waterhouse, P.J.; Fuks, A.B.; Fayle, S.A.; Moffat, M.A. Pulp Therapy for Primary Molars. Int. J. Paediatr. Dent. 2006, 16 (Suppl. 1), 15–23. [Google Scholar] [CrossRef]
- Dhar, V.; Marghalani, A.A.; Crystal, Y.O.; Kumar, A.; Ritwik, P.; Tulunoglu, O.; Graham, L. Use of Vital Pulp Therapies in Primary Teeth with Deep Caries Lesions. Pediatr. Dent. 2017, 39, 146–159. [Google Scholar]
- Daher, A.; Abreu, M.H.N.G.; Costa, L.R. Recognizing Preschool Children with Primary Teeth Needing Dental Treatment Because of Caries-Related Toothache. Community Dent. Oral Epidemiol. 2015, 43, 298–307. [Google Scholar] [CrossRef]
- Magnusson, B. Therapeutic Pulpotomy in Primary Molars—Clinical and Histological Follow-up. I. Calcium Hydroxide Paste as Wound Dressing. Odontol. Rev. 1970, 21, 415–431. [Google Scholar]
- Toomarian, L.; Moshref, M.; Mirkarimi, M.; Lotfi, A.; Beheshti, M. Radicular Cyst Associated with a Primary First Molar: A Case Report. J. Dent. (Tehran) 2011, 8, 213. [Google Scholar]
- Toner, M.; Gupta, R.; WHO Classification of Tumours Editiorial Board. Head and Neck Tumours; International Agency for Research on Cancer: Lyon, France, 2022. [Google Scholar]
- Mass, E.; Kaplan, I.; Hirshberg, A. A Clinical and Histopathological Study of Radicular Cysts Associated with Primary Molars. J. Oral Pathol. Med. 1995, 24, 458–461. [Google Scholar] [CrossRef]
- Bhaskar, S.N. Oral Surgery-Oral Pathology Conference No. 17, Walter Reed Army Medical Center. Periapical Lesions-Types, Incidence, and Clinical Features. Oral Surg. Oral Med. Oral Pathol. 1966, 21, 657–671. [Google Scholar] [CrossRef] [PubMed]
- Savage, N.W.; Adkins, K.F.; Weir, A.V.; Grundy, G.E. An Histological Study of Cystic Lesions Following Pulp Therapy in Deciduous Molars. J. Oral Pathol. Med. 1986, 15, 209–212. [Google Scholar] [CrossRef] [PubMed]
- Lustmann, J. Radicular Cysts Arising from Deciduous Teeth: Review of the Literature and Report of 23 Cases. Int. J. Oral Surg. 1985, 14, 153–161. [Google Scholar] [CrossRef]
- Speight, P.M. Shear’s Cysts of the Oral and Maxillofacial Regions; Wiley: Hoboken, NJ, USA, 2022. [Google Scholar]
- Ertas, Ü.; Yavuz, M.S. Interesting Eruption of 4 Teeth Associated with a Large Dentigerous Cyst in Mandible by Only Marsupialization. J. Oral Maxillofac. Surg. 2003, 61, 728–730. [Google Scholar] [CrossRef]
- Martínez-Pérez, D.; Varela-Morales, M. Conservative Treatment of Dentigerous Cysts in Children: A Report of 4 Cases. J. Oral Maxillofac. Surg. 2001, 59, 331–333. [Google Scholar] [CrossRef]
- Arachoviti, C.; Dafopoulou, S.; Fotopoulos, I.; Lillis, T.; Dabarakis, N. Marsupialization of Large Manbilular Residual Cysts—Two Case reports. In Proceeding of the HAOMS 2022 Conference, Athens, Greece, 3–4 June 2022. [Google Scholar] [CrossRef]
- Taicher, S.; Steinberg, H.; Lewin-Epstein, J.; Sela, M. Acrylic Resin Stents for Marsupialization. J. Prosthet. Dent. 1985, 54, 818–819. [Google Scholar] [CrossRef]
- Chen, C.; Ren, W.; Gao, L.; Cheng, Z.; Zhang, L.; Li, S.; Zhi, P.K. qian Function of Obturator Prosthesis after Maxillectomy and Prosthetic Obturator Rehabilitation. Braz. J. Otorhinolaryngol. 2016, 82, 177–183. [Google Scholar] [CrossRef]
- Jafarov, R.M. The Use of Prosthetic Obturators for Dental Rehabilitation of Patients with Oral Cancer. Endod. Today 2022, 20, 317–322. [Google Scholar] [CrossRef]
- Shastry, T.; Dhiman, M.; Bhandari, S.; Pruthi, G. Single Piece Flexible Obturator for the Management of Complex Maxillary Defects: A Clinical Report. J. Prosthet. Dent. 2020, 124, 810–814. [Google Scholar] [CrossRef]
- Gurung, A.; Mathema, S.R.B.; Maskey, B.; Shrestha, K.; Pandey, B.; Adhikari, A.; Dhyako, N.; Subedi, S. Prosthetic Management of Post-Surgical Defect in the Mandible Following Marsupialization: A Case Report. J. Nepal. Prosthodont. Soc. 2020, 3, 137–141. [Google Scholar] [CrossRef]
- Murakami, M.; Nishi, Y.; Nishio, M.; Minemoto, Y.; Shimizu, T.; Nishimura, M. A Retrospective Cohort Study of the Cumulative Survival Rate of Obturator Prostheses for Marsupialization. J. Prosthodont. 2019, 28, E811–E816. [Google Scholar] [CrossRef] [PubMed]
- Scheid, R.; Weiss, G. Woelfel’s Dental Anatomy Its Relevance to Dentistry 9th Edition. In Woelfel’s Dental Anatomy; 2017; Available online: https://anatomy.gmhost.space/books/Woelfels_Dental_Anatomy_8th_Ed.pdf (accessed on 15 December 2024).
- Zhou, H.; Ge, J.; Bai, Y.; Liang, C.; Yang, L. Translation of Bone Wax and Its Substitutes: History, Clinical Status and Future Directions. J. Orthop. Transl. 2019, 17, 64–72. [Google Scholar] [CrossRef] [PubMed]
- Waly, S. Marsupialization of a Large Pediatric Mandibular Cyst with a Multipurpose Space Maintainer, a Prospective Study. Egypt. J. Oral Maxillofac. Surg. 2019, 10, 118–122. [Google Scholar] [CrossRef]
- Flege, J.E. Plasticity in Adult and Child Speech Production. J. Acoust. Soc. Am. 1986, 79, S54–S55. [Google Scholar] [CrossRef]
- Chavan, A.; Dewalwar, V.; Manekar, V.S.; Wadde, K. Cysts in Periradicular Region of Deciduous Molars in Mixed Dentition: Retrospective Study of Five Cases. Int. J. Clin. Pediatr. Dent. 2014, 7, 229–235. [Google Scholar] [CrossRef]
- Benn, A.; Altini, M. Dentigerous Cysts of Inflammatory Origin A Clinicopathologic Study. Oral Surg. Oral Med. Oral Pathol. Oral Radiol. Endod. 1996, 81, 203–209. [Google Scholar] [CrossRef]
- Koželj, V.; Sotošek, B. Inflammatory Dentigerous Cysts of Children Treated by Tooth Extraction and Decompression—Report of Four Cases. Br. Dent. J. 1999, 187, 587–590. [Google Scholar] [CrossRef]
- Alnofaie, H.; Alomran, O.; Ababtain, R.; Alomar, A. Spontaneous Eruption of a Deeply Impacted Premolar After Conservative Treatment of an Associated Dentigerous Cyst: A Case Report. Cureus 2019, 11, e6414. [Google Scholar] [CrossRef]
- Chacko, R.; Kumar, S.; Paul, A. Spontaneous Bone Regeneration after Enucleation of Large Jaw Cysts: A Digital Radiographic Analysis of 44 Consecutive Cases. J. Clin. Diagn. Res. 2015, 9, ZC84. [Google Scholar] [CrossRef]
- Chouchene, F.; Ben Ameur, W.; Hamdi, H.; Bouenba, M.; Masmoudi, F.; Baaziz, A.; Maatouk, F.; Ghedira, H. Conservative Approach of a Dentigerous Cyst. Case Rep. Dent. 2021, 2021, 5514923. [Google Scholar] [CrossRef]
- Slim, A.; Hentati, H.; Dallel, I.; Omami, M.; Bouguezzi, A.; Chokri, A.; Selmi, J. The Successful Use of Marsupialization of Maxillary Cysts and Benign Tumors Combined With Orthodontic Treatment. Sch. J. Appl. Med. Sci. 2020, 8, 2419–2425. [Google Scholar] [CrossRef]
- Ryu, J.; Shin, T.J.; Hyun, H.-K.; Kim, Y.; Kim, J.; Kim, C.-C.; Jang, K.-T.; Lee, S.-H. Minimally Invasive Marsupialization for Treating Odontogenic Cysts: Case Reports. J. Korean Acad. Pedtatric Dent. 2017, 44, 235–242. [Google Scholar] [CrossRef]
- Tran, T.P.; Ngoc, V.T.N.; Linh, L.N.P.; Le, A.K. Effectiveness of Marsupialization on the Reduction of Cystic Jaw Lesions in Children: A Scoping Review. Oral Sci. Int. 2025, 22, 22. [Google Scholar] [CrossRef]













Disclaimer/Publisher’s Note: The statements, opinions and data contained in all publications are solely those of the individual author(s) and contributor(s) and not of MDPI and/or the editor(s). MDPI and/or the editor(s) disclaim responsibility for any injury to people or property resulting from any ideas, methods, instructions or products referred to in the content. |
© 2025 by the authors. Licensee MDPI, Basel, Switzerland. This article is an open access article distributed under the terms and conditions of the Creative Commons Attribution (CC BY) license (https://creativecommons.org/licenses/by/4.0/).
Share and Cite
Kuźniarski, A.; Kiryk, J.; Kiryk, S.; Kijak, E.; Dubowik, M.A.; Matys, J.; Dobrzyński, M. Development and Treatment of Radicular Cyst in Pediatric Patient—Case Report. J. Clin. Med. 2025, 14, 452. https://doi.org/10.3390/jcm14020452
Kuźniarski A, Kiryk J, Kiryk S, Kijak E, Dubowik MA, Matys J, Dobrzyński M. Development and Treatment of Radicular Cyst in Pediatric Patient—Case Report. Journal of Clinical Medicine. 2025; 14(2):452. https://doi.org/10.3390/jcm14020452
Chicago/Turabian StyleKuźniarski, Amadeusz, Jan Kiryk, Sylwia Kiryk, Edward Kijak, Magdalena Aleksandra Dubowik, Jacek Matys, and Maciej Dobrzyński. 2025. "Development and Treatment of Radicular Cyst in Pediatric Patient—Case Report" Journal of Clinical Medicine 14, no. 2: 452. https://doi.org/10.3390/jcm14020452
APA StyleKuźniarski, A., Kiryk, J., Kiryk, S., Kijak, E., Dubowik, M. A., Matys, J., & Dobrzyński, M. (2025). Development and Treatment of Radicular Cyst in Pediatric Patient—Case Report. Journal of Clinical Medicine, 14(2), 452. https://doi.org/10.3390/jcm14020452

