Evaluating the Neuroprotective Effects of Levetiracetam on Experimental Sciatic Nerve Injury
Abstract
1. Introduction
2. Materials and Methods
2.1. Model
2.2. Surgical Technique
2.3. Sciatic Nerve Function
2.4. Gastrocnemius Muscle Weight Ratio
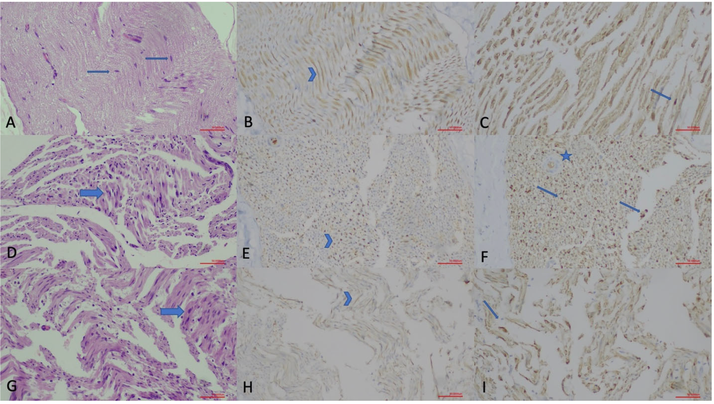
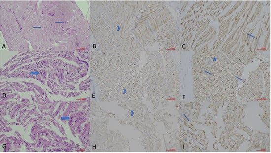
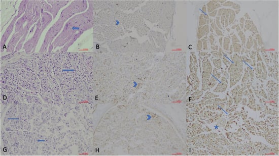
2.5. Histopathological Examination
2.6. Statistical Analysis
3. Results
4. Discussion
Supplementary Materials
Author Contributions
Funding
Institutional Review Board Statement
Informed Consent Statement
Data Availability Statement
Conflicts of Interest
References
- Feng, X.; Yuan, W. Dexamethasone enhanced functional recovery after sciatic nerve crush injury in rats. Biomed. Res. Int. 2015, 2015, 627923. [Google Scholar] [CrossRef]
- Koeppen, A.H. Wallerian degeneration: History and clinical significance. J. Neurol. Sci. 2004, 220, 115–117. [Google Scholar] [CrossRef] [PubMed]
- Zochodne, D.W. The microenvironment of injured and regenerating peripheral nerves. Muscle Nerve Suppl. 2000, 9, S33–S38. [Google Scholar] [CrossRef] [PubMed]
- Hennessy, E.; Griffin, É.W.; Cunningham, C. Astrocytes Are Primed by Chronic Neurodegeneration to Produce Exaggerated Chemokine and Cell Infiltration Responses to Acute Stimulation with the Cytokines IL-1β and TNF-α. J. Neurosci. 2015, 35, 8411–8422. [Google Scholar] [CrossRef] [PubMed]
- Zaitone, S.A.; Ahmed, E.; Elsherbiny, N.M.; Mehanna, E.T.; El-Kherbetawy, M.K.; ElSayed, M.H.; Alshareef, D.M.; Moustafa, Y.M. Caffeic acid improves locomotor activity and lessens inflammatory burden in a mouse model of rotenone-induced nigral neurodegeneration: Relevance to Parkinson’s disease therapy. Pharmacol. Rep. 2019, 71, 32–41. [Google Scholar] [CrossRef]
- Hansson, E.; Björklund, U.; Skiöldebrand, E.; Rönnbäck, L. Anti-inflammatory effects induced by pharmaceutical substances on inflammatory active brain astrocytes-promising treatment of neuroinflammation. J. Neuroinflamm. 2018, 15, 321. [Google Scholar] [CrossRef]
- Mohammad, H.M.F.; Sami, M.M.; Makary, S.; Toraih, E.A.; Mohamed, A.O.; El-Ghaiesh, S.H. Neuroprotective effect of levetiracetam in mouse diabetic retinopathy: Effect on glucose transporter-1 and GAP43 expression. Life Sci. 2019, 232, 116588. [Google Scholar] [CrossRef]
- Abed El-Gaphar, O.A.M.; Abo-Youssef, A.M.; Halal, G.K. Levetiracetam mitigates lipopolysaccharide-induced JAK2/STAT3 and TLR4/MAPK signaling pathways activation in a rat model of adjuvant- induced arthritis. Eur. J. Pharmacol. 2018, 826, 85–95. [Google Scholar] [CrossRef]
- Reda, H.M.; Zaitone, S.A.; Moustafa, Y.M. Effect of levetiracetam versus gabapentin on peripheral neuropathy and sciatic degeneration in streptozotocin-diabetic mice: Influence on spinal microglia and astrocytes. Eur. J. Pharmacol. 2016, 771, 162–172. [Google Scholar] [CrossRef]
- Tekgul, H.; Simsek, E.; Erdoğan, M.A.; Yiğittürk, G.; Erbaş, O.; Taşkıran, D. The potential effects of anticonvulsant drugs on neuropeptides and neurotrophins in pentylenetetrazol kindled seizures in the rat. Int. J. Neurosci. 2020, 130, 193–203. [Google Scholar] [CrossRef]
- Siironen, J.; Vuorio, E.; Sandberg, M.; Röyttä, M. Expression of type I and III collagen and laminin beta1 after rat sciatic nerve crush injury. J. Peripher. Nerv. Syst. 1996, 1, 209–221. [Google Scholar]
- Geuna, S. The sciatic nerve injury model in pre-clinical research. J. Neurosci. Methods 2015, 243, 39–46. [Google Scholar] [CrossRef]
- Yuan, Y.; Shen, H.; Yao, J.; Hu, N.; Ding, F.; Gu, X. The protective effects of Achyranthes bidentata polypeptides in an experimental model of mouse sciatic nerve crush injury. Brain Res. Bull. 2010, 81, 25–32. [Google Scholar] [CrossRef]
- Dinh, P.; Hazel, A.; Palispis, W.; Suryadevara, S.; Gupta, R. Functional assessment after sciatic nerve injury in a rat model. Microsurgery 2009, 29, 644–649. [Google Scholar] [CrossRef] [PubMed]
- Carriel, V.; Garzón, I.; Alaminos, M.; Cornelissen, M. Histological assessment in peripheral nerve tissue engineering. Neural Regen. Res. 2014, 9, 1657–1660. [Google Scholar] [CrossRef] [PubMed]
- Bain, J.R.; Mackinnon, S.E.; Hunter, D.A. Functional evaluation of complete sciatic, peroneal, and posterior tibial nerve lesions in the rat. Plast. Reconstr. Surg. 1989, 83, 129–138. [Google Scholar] [CrossRef] [PubMed]
- Djekic, L.; Marković, B.; Micov, A.; Tomić, M.; Pecikoza, U.; Stepanović-Petrović, R. Percutaneous delivery of levetiracetam as an alternative to topical nonsteroidal anti-inflammatory drugs: Formulation development, in vitro and in vivo characterization. Drug Deliv. Transl. Res. 2021, 11, 227–241. [Google Scholar] [CrossRef]
- Zou, H.; Brayer, S.W.; Hurwitz, M.; Niyonkuru, C.; Fowler, L.E.; Wagner, A.K. Neuroprotective, neuroplastic, and neurobehavioral effects of daily treatment with levetiracetam in experimental traumatic brain injury. Neurorehabil. Neural Repair 2013, 27, 878–888. [Google Scholar] [CrossRef]
- Kumar, S.; Zhuo, L. Longitudinal in vivo imaging of retinal gliosis in a diabetic mouse model. Exp. Eye Res. 2010, 91, 530–536. [Google Scholar] [CrossRef]
- Liu, G.M.; Xu, K.; Li, J.; Luo, Y.G. Curcumin upregulates S100 expression and improves regeneration of the sciatic nerve following its complete amputation in mice. Neural Regen. Res. 2016, 11, 1304–1311. [Google Scholar] [CrossRef]
- Snoj, Ž.; Pušnik, L.; Cvetko, E.; Burica Matičič, U.; Jengojan, S.A.; Omejec, G. Sciatic nerve fascicle differentiation on high-resolution ultrasound with histological verification: An ex vivo study. Muscle Nerve 2024, 70, 265–272. [Google Scholar] [CrossRef]
- Christensen, K.V.; Leffers, H.; Watson, W.P.; Sánchez, C.; Kallunki, P.; Egebjerg, J. Levetiracetam attenuates hippocampal expression of synaptic plasticity-related immediate early and late response genes in amygdala-kindled rats. BMC Neurosci. 2010, 11, 9. [Google Scholar] [CrossRef]
- Sibarov, D.A.; Tsytsarev, V.; Volnova, A.; Vaganova, A.N.; Alves, J.; Rojas, L.; Sanabria, P.; Ignashchenkova, A.; Savage, E.D.; Inyushin, M. Arc protein, a remnant of ancient retrovirus, forms virus-like particles, which are abundantly generated by neurons during epileptic seizures, and affects epileptic susceptibility in rodent models. Front. Neurol. 2023, 14, 1201104. [Google Scholar] [CrossRef]




| Criteria | Grades |
|---|---|
| Axonal continuity on both sides of the repair area | Poor, unorganized axonal proliferation |
| Moderate | |
| Complete continuity in the healing area | |
| Schwann cell density | Poor |
| Moderate | |
| Dense | |
| Myelin Sheath | Absent or poor |
| Vacuolar and poor | |
| Circular and homogeneous | |
| Number of inflammatory cells | ≥10 |
| 1–9 | |
| None | |
| Capillary structure | ≥6 |
| 3–6 | |
| 1–3 | |
| Total | |
| Groups | ||||||||||
|---|---|---|---|---|---|---|---|---|---|---|
| Acute Control | Acute Non-Drug | Acute Drug | p-Value | |||||||
| Mean (X) | Standard Deviation (SD) | Median | Mean (X) | Standard Deviation (SD) | Median | Mean (X) | Standard Deviation (SD) | Median | ||
| Right GCN | 1593.1 | 234.4 | 1555.5 | 1302.6 | 172.8 | 1250.5 | 1341.8 | 253.8 | 1420.0 | 0.044 |
| Left GCN | 1575.4 | 261.9 | 1533.5 | 1645.1 | 184.4 | 1585.5 | 1717.2 | 196.8 | 1743.0 | 0.210 |
| Right/Left Ratio | 1.01 | 0.04 | 1.01 | 0.8 | 0.04 | 0.8 | 0.8 | 0.1 | 0.8 | <0.001 |
| SFI Day 7 | −10.2 | 1.9 | −10.7 | −74.1 | 6.2 | −71.9 | −73.4 | 6.8 | −71.3 | <0.001 |
| Chronic Control | Chronic Non-Drug | Chronic Drug | ||||||||
| Mean (X) | Standard Deviation (SD) | Median | Mean (X) | Standard Deviation (SD) | Median | Mean (X) | Standard Deviation (SD) | Median | p-Value | |
| Right GCN | 2110.6 | 117.9 | 2086.0 | 1530.0 | 192.6 | 1488.0 | 1415.8 | 109.2 | 1394.0 | <0.001 |
| Left GCN | 2069.4 | 221.5 | 2130.0 | 2176.2 | 231.9 | 2103.0 | 2068.0 | 189.9 | 2041.0 | 0.524 |
| Right/Left Ratio | 1.02 | 0.1 | 1.01 | 0.7 | 0.04 | 0.7 | 0.7 | 0.05 | 0.7 | <0.001 |
| SFI Day 7 | −10.3 | 1.6 | −10.3 | −75.5 | 9.0 | −78.7 | −80.4 | 5.2 | −80.9 | <0.001 |
| SFI Day 14 | −8.2 | 2.4 | −9.4 | −77.4 | 3.8 | −78.7 | −70.6 | 8.1 | −74.1 | <0.001 |
| SFI Day 21 | −8.4 | 1.4 | −8.8 | −69.4 | 6.0 | −69.9 | −51.9 | 6.6 | −48.8 | <0.001 |
| SFI Day 28 | −6.9 | 2.2 | −7.8 | −49.9 | 46.0 | −65.6 | −44.0 | 7.7 | −43.0 | 0.009 |
| Groups | p-Value | |||||
|---|---|---|---|---|---|---|
| Acute Control | Acute Non-Drug | Acute Drug | ||||
| Axonal continuity | Partial | n | 0 a | 8 b | 4 c | |
| % | 0.0 | 100.0 | 50.0 | <0.001 | ||
| Complete | n | 8 a | 0 b | 4 c | ||
| % | 100.0 | 0.0 | 50.0 | |||
| Schwann Cell Density | Moderate | n | 8 a | 4 b | 3 b | |
| % | 100.0 | 50.0 | 37.5 | 0.024 | ||
| High | n | 0 a | 4 b | 5 b | ||
| % | 0.0 | 50.0 | 62.5 | |||
| Myelin Sheath | Absent or Weak | n | 0 a | 8 b | 0 a | |
| % | 0.0 | 100.0 | 0.0 | |||
| Vacuolated and Weak | n | 0 a | 0 a | 4 b | <0.001 | |
| % | 0.0 | 0.0 | 50.0 | |||
| Circular and Homogenous | n | 8 a | 0 b | 4 c | ||
| % | 100.0 | 0.0 | 50.0 | |||
| Inflammatory Cell Density | Absent | n | 0 a | 0 a | 1 a | |
| % | 0.0 | 0.0 | 12.5 | |||
| 1–9 | n | 8 a | 5 a | 7 a | 0.083 | |
| % | 100.0 | 62.5 | 87.5 | |||
| >10 | n | 0 a | 3 a | 0 a | ||
| % | 0.0 | 37.5 | 0.0 | |||
| Capillary Structure | 1–3 | n | 1 a | 0 a | 2 a | |
| % | 12.5 | 0.0 | 25.0 | |||
| 3–6 | n | 6 a | 4 a | 5 a | 0.293 | |
| % | 75.0 | 50.0 | 62.5 | |||
| >6 | n | 1 a | 4 a | 1 a | ||
| % | 12.5 | 50.0 | 12.5 | |||
| Gap-43 Staining | 0 | n | 8 a | 0 b | 0 b | |
| % | 100.0 | 0.0 | 0.0 | |||
| 1–25% | n | 0 a | 8 b | 1 a | ||
| % | 0.0 | 100.0 | 12.5 | <0.001 | ||
| 26–50% | n | 0 a | 0 a | 4 b | ||
| % | 0.0 | 0.0 | 50.0 | |||
| 51–75% | n | 0 a | 0 a | 3 a | ||
| % | 0.0 | 0.0 | 37.5 | |||
| S-100 Staining | 1 | n | 8 a | 0 b | 1 b | |
| % | 100.0 | 0.0 | 12.5 | |||
| 2 | n | 0 a | 1 a | 0 a | <0.001 | |
| % | 0.0 | 12.5 | 0.0 | |||
| 3 | n | 0 a | 4 b | 3 a, b | ||
| % | 0.0 | 50.0 | 37.5 | |||
| 4 | n | 0 a | 3 a, b | 4 b | ||
| % | 0.0 | 37.5 | 50.0 | |||
| Groups | p-Value | |||||
|---|---|---|---|---|---|---|
| Chronic Control | Chronic Non-drug | Chronic Drug | ||||
| Axonal continuity | Partial | n | 0 a | 3 a | 0 a | |
| % | 0.0 | 37.5 | 0.0 | 0.083 | ||
| Complete | n | 8 a | 5 a | 8 a | ||
| % | 100.0 | 62.5 | 100.0 | |||
| Schwann Cell Density | Moderate | n | 8 a | 4 b | 0 c | |
| % | 100.0 | 50.0 | 0.0 | <0.001 | ||
| High | n | 0 a | 4 b | 8 c | ||
| % | 0.0 | 50.0 | 100.0 | |||
| Myelin Sheath | Absent or Weak | n | 0 a | 1 a | 0 a | |
| % | 0.0 | 12.5 | 0.0 | |||
| Vacuolated and Weak | n | 0 a | 5 b | 8 b | <0.001 | |
| % | 0.0 | 62.5 | 100.0 | |||
| Circular and Homogenous | n | 8 a | 2 b | 0 b | ||
| % | 100.0 | 25.0 | 0.0 | |||
| Inflammatory Cell Density | Yok | n | 5 a | 3 a | 6 a | |
| % | 62.5 | 37.5 | 75.0 | |||
| 1–9 | n | 3 a | 3 a | 2 a | 0.368 | |
| % | 37.5 | 37.5 | 25.0 | |||
| >10 | n | 0 a | 2 a | 0 a | ||
| % | 0.0 | 25.0 | 0.0 | |||
| Capillary Structure | 1–3 | n | 1 a | 0 a | 0 a | |
| % | 12.5 | 0.0 | 0.0 | |||
| 3–6 | n | 7 a | 6 a | 8 a | 0.304 | |
| % | 87.5 | 75.0 | 100.0 | |||
| >6 | n | 0 a | 2 a | 0 a | ||
| % | 0.0 | 25.0 | 0.0 | |||
| Gap43 Staining | 0 | n | 6 a | 2 b | 0 b | |
| % | 75.0 | 25.0 | 0.0 | |||
| 1–25% | n | 2 a | 6 b | 4 a, b | ||
| % | 25.0 | 75.0 | 50.0 | 0.002 | ||
| 26–50% | n | 0 a | 0 a | 3 a | ||
| % | 0.0 | 0.0 | 37.5 | |||
| 76–100% | n | 0 a | 0 a | 1 a | ||
| % | 0.0 | 0.0 | 12.5 | |||
| S100 Staining | 1 | n | 8 a | 3 b | 1 b | |
| % | 100.0 | 37.5 | 12.5 | |||
| 2 | n | 0 a | 5 b | 5 b | 0.001 | |
| % | 0.0 | 62.5 | 62.5 | |||
| 3 | n | 0 a | 0 a | 2 a | ||
| % | 0.0 | 0.0 | 25.0 | |||
Disclaimer/Publisher’s Note: The statements, opinions and data contained in all publications are solely those of the individual author(s) and contributor(s) and not of MDPI and/or the editor(s). MDPI and/or the editor(s) disclaim responsibility for any injury to people or property resulting from any ideas, methods, instructions or products referred to in the content. |
© 2025 by the authors. Licensee MDPI, Basel, Switzerland. This article is an open access article distributed under the terms and conditions of the Creative Commons Attribution (CC BY) license (https://creativecommons.org/licenses/by/4.0/).
Share and Cite
Demiriz Gulmez, D.; Hacioglu, G.; Cinar, E.; Keskin, A.; Cuvas Apan, O.; Apan, A. Evaluating the Neuroprotective Effects of Levetiracetam on Experimental Sciatic Nerve Injury. J. Clin. Med. 2025, 14, 6374. https://doi.org/10.3390/jcm14186374
Demiriz Gulmez D, Hacioglu G, Cinar E, Keskin A, Cuvas Apan O, Apan A. Evaluating the Neuroprotective Effects of Levetiracetam on Experimental Sciatic Nerve Injury. Journal of Clinical Medicine. 2025; 14(18):6374. https://doi.org/10.3390/jcm14186374
Chicago/Turabian StyleDemiriz Gulmez, Duygu, Gulay Hacioglu, Esma Cinar, Arif Keskin, Ozgun Cuvas Apan, and Alparslan Apan. 2025. "Evaluating the Neuroprotective Effects of Levetiracetam on Experimental Sciatic Nerve Injury" Journal of Clinical Medicine 14, no. 18: 6374. https://doi.org/10.3390/jcm14186374
APA StyleDemiriz Gulmez, D., Hacioglu, G., Cinar, E., Keskin, A., Cuvas Apan, O., & Apan, A. (2025). Evaluating the Neuroprotective Effects of Levetiracetam on Experimental Sciatic Nerve Injury. Journal of Clinical Medicine, 14(18), 6374. https://doi.org/10.3390/jcm14186374

