The Nasser–Gavvala–Shirodkar–Botchu Classification: A Classification System for Loosening of Endoprosthetic Replacements
Abstract
1. Introduction
2. Methods
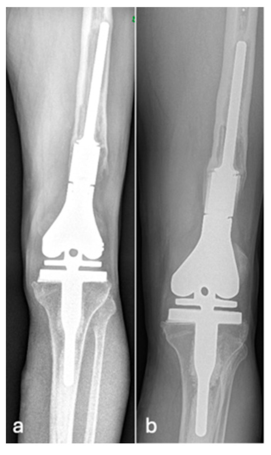
3. Results
4. Discussion
5. Conclusions
Author Contributions
Funding
Institutional Review Board Statement
Informed Consent Statement
Data Availability Statement
Conflicts of Interest
References
- Bickels, J.; Wittig, J.C.; Kollender, Y.; Henshaw, R.M.; Kellar-Graney, K.L.; Meller, I.; Malawer, M.M. Distal femur resection with endoprosthetic reconstruction: A long-term followup study. Clin. Orthop. Relat. Res. 2002, 400, 225–235. [Google Scholar] [CrossRef] [PubMed]
- Biau, D.; Faure, F.; Katsahian, S.; Jeanrot, C.; Tomeno, B.; Anract, P. Survival of total knee replacement with a megaprosthesis after bone tumor resection. J. Bone Jt. Surg. Am. 2006, 88, 1285–1293. [Google Scholar] [CrossRef][Green Version]
- Batta, V.; Coathup, M.J.; Parratt, M.T.; Pollock, R.C.; Aston, W.J.; Cannon, S.R.; Skinner, J.A.; Briggs, T.W.; Blunn, G.W. Uncemented, custom-made, hydroxyapatitecoated collared distal femoral endoprostheses: Up to 18 years’ follow-up. Bone Jt. J. 2014, 96, 263–269. [Google Scholar] [CrossRef] [PubMed]
- Plotz, W.; Rechl, H.; Burgkart, R.; Messmer, C.; Schelter, R.; Hipp, E.; Gradinger, R. Limb salvage with tumor endoprostheses for malignant tumors of the knee. Clin. Orthop. Relat. Res. 2002, 405, 207–215. [Google Scholar] [CrossRef] [PubMed]
- Kendal, J.K.; Hamad, C.D.; Abbott, A.G.; Greig, D.; Trikha, R.; Christ, A.B.; Wessel, L.E.; Puloski, S.K.T.; Monument, M.J.; Bernthal, N.M. What are the indications and survivorship of tumor endoprosthetic reconstructions for patients with extremity metastatic bone disease? J. Surg. Oncol. 2023, 127, 1196–1202. [Google Scholar] [CrossRef] [PubMed] [PubMed Central]
- Toepfer, A.; Harrasser, N.; Schwarz, P.R.; Pohlig, F.; Lenze, U.; Mühlhofer, H.M.L.; Gerdesmeyer, L.; von Eisenhart-Rothe, R.; Suren, C. Distal femoral replacement with the MML system: A single center experience with an average follow-up of 86 months. BMC Musculoskelet. Disord. 2017, 18, 206. [Google Scholar] [CrossRef] [PubMed] [PubMed Central]
- Grammatopoulos, G.; Alvand, A.; Martin, H.; Whitwell, D.; Taylor, A.; Gibbons, C.L.M.H. Five-year outcome of proximal femoral endoprosthetic arthroplasty for non-tumour indications. Bone Jt. J. 2016, 98, 1463–1470. [Google Scholar] [CrossRef]
- Dean, B.J.; Matthews, J.J.; Price, A.; Stubbs, D.; Whitwell, D.; Gibbons, C.M. Modular endoprosthetic replacement for failed internal fixation of the proximal femur following trauma. Int. Orthop. 2012, 36, 731–734. [Google Scholar] [CrossRef] [PubMed] [PubMed Central]
- Chandi, S.K.; Neitzke, C.C.; O’dOnnell, J.A.; Gausden, E.B.; Sculco, P.K.; Bostrom, M.P.; Chalmers, B.P. Contemporary Outcomes of Proximal Femoral Replacement as a Salvage Treatment in Nononcologic Severe Bone Loss. J. Arthroplast. 2024, 40, S449–S456. [Google Scholar] [CrossRef] [PubMed]
- Sobol, K.R.; Fram, B.R.; Strony, J.T.; Brown, S.A. Survivorship, complications, and outcomes following distal femoral arthroplasty for non-neoplastic indications. Bone Jt. Open 2022, 3, 173–181. [Google Scholar] [CrossRef]
- Bundschuh, K.E.; Grommersch, B.M.; Tipton, S.C.; Chihab, S.; Wilson, J.M.; Guild, G.N. Distal Femoral Replacement versus Operative Fixation for Periprosthetic Distal Femur Fractures: A Systematic Review and Meta-Analysis. J. Arthroplast. 2023, 38 (Suppl. S2), S450–S458. [Google Scholar] [CrossRef]
- Grimer, R.J.; Carter, S.R.; Pynsent, P.B. The cost-effectiveness of limb salvage for bone tumours. J. Bone Jt. Surg. Br. 1997, 79, 558–561. [Google Scholar] [CrossRef]
- Bradish, C.F.; Kemp, H.B.; Scales, J.T.; Wilson, J.N. Distal femoral replacement by custom-made prostheses. Clinical follow-up and survivorship analysis. J. Bone Jt. Surg. Br. 1987, 69, 276–284. [Google Scholar] [CrossRef]
- Iljazi, A.; Andersen, M.S.; Brorson, S.; Petersen, M.M.; Sørensen, M.S. Surgical management of metastatic lesions in the proximal femur: A systematic review. EFORT Open Rev. 2025, 10, 104–114. [Google Scholar] [CrossRef] [PubMed] [PubMed Central]
- Wijesekera, M.P.; Pandit, H.; Jain, S.; Palan, J. A UK multicentre cohort study of clinical outcomes of distal femoral replacement for nononcological conditions. Bone Jt. J. 2025, 107, 632–638. [Google Scholar] [CrossRef] [PubMed]
- Henderson, E.R.; Groundland, J.S.; Pala, E.; Dennis, J.A.; Wooten, R.; Cheong, D.; Windhager, R.; Kotz, R.I.; Mercuri, M.; Funovics, P.T.; et al. Failure mode classification for tumor endoprostheses: Retrospective review of five institutions and a literature review. J. Bone Jt. Surg. Am. 2011, 93, 418–429. [Google Scholar] [CrossRef] [PubMed]
- Hsu, R.W.; Sim, F.H.; Chao, E.Y. Reoperation results after segmental prosthetic replacement of bone and joint for limb salvage. J. Arthroplast. 1999, 14, 519–526. [Google Scholar] [CrossRef]
- Morgan, H.D.; Cizik, A.M.; Leopold, S.S.; Hawkins, D.S.; Conrad, E.U., 3rd. Survival of tumor megaprostheses replacements about the knee. Clin. Orthop. Relat. Res. 2006, 450, 39–45. [Google Scholar] [CrossRef]
- Pala, E.; Trovarelli, G.; Calabrò, T.; Angelini, A.; Abati, C.N.; Ruggieri, P. Survival of modern knee tumor megaprostheses: Failures, functional results, and a comparative statistical analysis. Clin. Orthop. Relat. Res. 2015, 473, 891–899. [Google Scholar] [CrossRef]
- Wirganowicz, P.Z.; Eckardt, J.J.; Dorey, F.J.; Eilber, F.R.; Kabo, J.M. Etiology and results of tumor endoprosthesis revision surgery in 64 patients. Clin. Orthop. Relat. Res. 1999, 358, 64–74. [Google Scholar] [CrossRef]
- Hou, Z.W.; Xu, M.; Zheng, K.; Yu, X.C. Classification and reconstruction of femoral bone defect in the revision of aseptic loosening of distal femoral endoprostheses: A 10-year multicenter retrospective analysis. BMC Musculoskelet. Disord. 2022, 23, 935. [Google Scholar] [CrossRef] [PubMed] [PubMed Central]
- Ogura, K.; Fujiwara, T.; Morris, C.D.; Boland, P.J.; Healey, J.H. Long-term competing risks for overall and cause-specific failure of rotating-hinge distal femoral arthroplasty for tumour reconstruction. Bone Jt. J. 2021, 103, 1405–1413. [Google Scholar] [CrossRef] [PubMed]
- Song, W.S.; Kong, C.B.; Jeon, D.G.; Cho, W.H.; Kim, J.R.; Cho, Y.; Lee, S.Y. The impact of amount of bone resection on uncemented prosthesis failure in patients with a distal femoral tumor. J. Surg. Oncol. 2011, 104, 192–197. [Google Scholar] [CrossRef] [PubMed]
- Bergin, P.F.; Noveau, J.B.; Jelinek, J.S.; Henshaw, R.M. Aseptic loosening rates in distal femoral endoprostheses: Does stem size matter? Clin. Orthop. Relat. Res. 2012, 470, 743–750. [Google Scholar] [CrossRef]
- Zhang, H.R.; Zhang, J.Y.; Yang, X.G.; Qiao, R.Q.; Li, J.K.; Hu, Y.C. Predictive value of the nomogram model in patients with megaprosthetic failure around the knee: A retrospective analysis. J. Arthroplast. 2020, 35, 2944–2951. [Google Scholar] [CrossRef]
- Lu, M.; Wang, J.; Xiao, C.; Tang, F.; Min, L.; Zhou, Y.; Zhang, W.; Tu, C. Uncemented, curved, short endoprosthesis stem for distal femoral reconstruction: Early follow-up outcomes. World J. Surg. Oncol. 2018, 16, 183. [Google Scholar] [CrossRef]
- Myers, G.J.; Abudu, A.T.; Carter, S.R.; Tillman, R.M.; Grimer, R.J. Endoprosthetic replacement of the distal femur for bone tumours: Long-term results. J. Bone Jt. Surg. Br. 2007, 89, 521–526. [Google Scholar] [CrossRef]
- Coathup, M.J.; Batta, V.; Pollock, R.C.; Aston, W.J.; Cannon, S.R.; Skinner, J.A.; Briggs, T.W.; Unwin, P.S.; Blunn, G.W. Long-term survival of cemented distal femoral endoprostheses with a hydroxyapatite-coated collar: A histological study and a radiographic follow-up. J. Bone Jt. Surg. Am. 2013, 95, 1569–1575. [Google Scholar] [CrossRef]
- Kinkel, S.; Lehner, B.; Kleinhans, J.; Jakubowitz, E.; Ewerbeck, V.; Heisel, C. Medium to long-term results after reconstruction of bone defects at the knee with tumor endoprostheses. J. Surg. Oncol. 2010, 101, 166–169. [Google Scholar] [CrossRef]
- Shehadeh, A.; Noveau, J.; Malawer, M.; Henshaw, R. Late complications and survival of endoprosthetic reconstruction after resection of bone tumors. Clin. Orthop. Relat. Res. 2010, 468, 2885–2895. [Google Scholar] [CrossRef]
- McNally, M.; Sousa, R.; Wouthuyzen-Bakker, M.; Chen, A.F.; Soriano, A.; Vogely, H.C.; Clauss, M.; Higuera, C.A.; Trebše, R. The EBJIS definition of periprosthetic joint infection. Bone Jt. J. 2021, 103, 18–25. [Google Scholar] [CrossRef] [PubMed] [PubMed Central]
- Moldovan, F. Role of Serum Biomarkers in Differentiating Periprosthetic Joint Infections from Aseptic Failures after Total Hip Arthroplasties. J. Clin. Med. 2024, 13, 5716. [Google Scholar] [CrossRef] [PubMed] [PubMed Central]
- Gaitán-Lee, H.; Chavarro, I.P.; Rincón, M.P.; Visbal, N.L.; Leal, E. Proximal Femur Endoprosthesis Augmentation with Polymethylmethacrylate and Condylar Plate: A Case Series. J. Orthop. Case Rep. 2023, 13, 132–136. [Google Scholar] [CrossRef] [PubMed] [PubMed Central]
- Rogers, B.A.; Sternheim, A.; Backstein, D.; Safir, O.; Gross, A.E. Proximal femoral allograft for major segmental femoral bone loss:A systematic literature review. Adv. Orthop. 2011, 2011, 257572. [Google Scholar] [CrossRef] [PubMed]
- Schoof, B.; Jakobs, O.; Gehrke, T.; Gebauer, M. Proximal femoral reconstruction after aseptic loosening following proximal femoral replacement for ewing sarcoma:A case report with one-year follow-up. Hip Int. 2014, 24, 103–107. [Google Scholar] [CrossRef] [PubMed]
- Friesecke, C.; Plutat, J.; Block, A. Revision arthroplasty with use of a total femur prosthesis. J. Bone Jt. Surg. Am. 2005, 87, 2693–2701. [Google Scholar] [CrossRef]
- Schwartz, A.M.; Farley, K.X.; Guild, G.N.; Bradbury, T.L., Jr. Projections and epidemiology of revision hip and knee arthroplasty in the United States to 2030. J. Arthroplast. 2020, 35, S79–S85. [Google Scholar] [CrossRef]
- Owen, A.R.; Bettencourt, J.W.; Wyles, C.C.; Bedard, N.A.; Hannon, C.P.; Berry, D.J.; Abdel, M.P. Contemporary results of total femoral arthroplasties for non-oncological conditions. Bone Jt. J. 2025, 107, 449–454. [Google Scholar] [CrossRef] [PubMed]
- Lari, A.; Esmaeil, A.; AlSalem, Y.; Alabbad, F.; Shahin, M.; Aoude, A. Comparative Outcomes and Failure Rates of Total Femur Replacement in Oncologic and Nononcologic Indications: A Systematic Review and Meta-analysis. JBJS Rev. 2024, 12, e24.00022. [Google Scholar] [CrossRef] [PubMed] [PubMed Central]







| N (%) | |
|---|---|
| Population size | 28 |
| Age, years | |
| Mean (SD) | 50.57 (16.14) |
| Sex | |
| Male | 17 (61) |
| Female | 11 (39) |
| Time to loosening, years | |
| Mean (SD) | 10.1 (7.55) |
| Grade of loosening | |
| Grade 2 | 5 (17.9) |
| Grade 3 | 16 (57.1) |
| Grade 4 | 2 (7.1) |
| Grade 5 | 1 (3.6) |
| Grade 6 | 4 (14.3) |
Disclaimer/Publisher’s Note: The statements, opinions and data contained in all publications are solely those of the individual author(s) and contributor(s) and not of MDPI and/or the editor(s). MDPI and/or the editor(s) disclaim responsibility for any injury to people or property resulting from any ideas, methods, instructions or products referred to in the content. |
© 2025 by the authors. Licensee MDPI, Basel, Switzerland. This article is an open access article distributed under the terms and conditions of the Creative Commons Attribution (CC BY) license (https://creativecommons.org/licenses/by/4.0/).
Share and Cite
Nasser, A.A.H.H.; Gavvala, S.N.; Shirodkar, K.; Botchu, R. The Nasser–Gavvala–Shirodkar–Botchu Classification: A Classification System for Loosening of Endoprosthetic Replacements. J. Clin. Med. 2025, 14, 6300. https://doi.org/10.3390/jcm14176300
Nasser AAHH, Gavvala SN, Shirodkar K, Botchu R. The Nasser–Gavvala–Shirodkar–Botchu Classification: A Classification System for Loosening of Endoprosthetic Replacements. Journal of Clinical Medicine. 2025; 14(17):6300. https://doi.org/10.3390/jcm14176300
Chicago/Turabian StyleNasser, Ahmed Abdul Hadi Harb, Sai Niharika Gavvala, Kapil Shirodkar, and Rajesh Botchu. 2025. "The Nasser–Gavvala–Shirodkar–Botchu Classification: A Classification System for Loosening of Endoprosthetic Replacements" Journal of Clinical Medicine 14, no. 17: 6300. https://doi.org/10.3390/jcm14176300
APA StyleNasser, A. A. H. H., Gavvala, S. N., Shirodkar, K., & Botchu, R. (2025). The Nasser–Gavvala–Shirodkar–Botchu Classification: A Classification System for Loosening of Endoprosthetic Replacements. Journal of Clinical Medicine, 14(17), 6300. https://doi.org/10.3390/jcm14176300

