Nontraumatic Fat Embolism and Fat Embolism Syndrome in Patients with Purulent Bacterial Bronchopneumonia
Abstract
1. Introduction
2. Materials and Methods
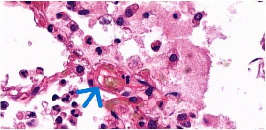
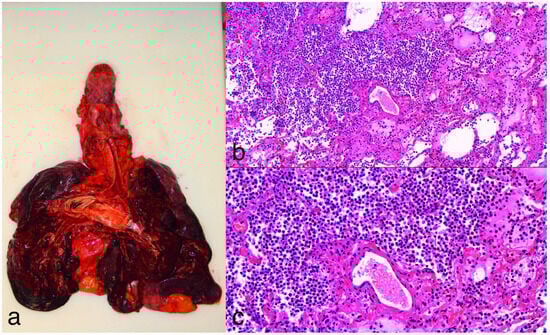
3. Results
4. Discussion
Limitations of the Study
Author Contributions
Funding
Institutional Review Board Statement
Informed Consent Statement
Data Availability Statement
Acknowledgments
Conflicts of Interest
Abbreviations
| PFO | Patent foramen ovale |
| FES | Fat embolism syndrome |
| ARDS | Acute respiratory distress syndrome |
| H&E | Hematoxylin & eosin |
| CRP | C-reactive protein |
| VLDL | Very-low density lipoprotein |
| IL1β | Interleukin-1β |
| IL6 | Interleukin-6 |
| CPR | Cardiopulmonary resuscitation |
| CT | Computed tomography |
| MRI | Magnetic resonance imaging |
| AI | Artificial intelligence |
References
- Sablone, S.; Cazzato, G.; Spagnolo, L.; Berterame, C.; Mele, F.; Introna, F.; Di Fazio, A. Post-Trauma Combined Pulmonary Fat and Bone Embolism: Literature Review with Case Presentation. Forensic Sci. 2022, 2, 371–378. [Google Scholar] [CrossRef]
- Milroy, C.M.; Parai, J.L. Fat Embolism, Fat Embolism Syndrome and the Autopsy. Acad. Forensic Pathol. 2019, 9, 136–154. [Google Scholar] [CrossRef]
- Ross, R.M.; Johnson, G.W. Fat Embolism after Liposuction. Chest 1988, 93, 1294–1295. [Google Scholar] [CrossRef]
- Jacob, S.; Courtwright, A.; El-Chemaly, S.; Racila, E.; Divo, M.; Burkett, P.; Fuhlbrigge, A.; Goldberg, H.J.; Rosas, I.O.; Camp, P. Donor-Acquired Fat Embolism Syndrome after Lung Transplantation. Eur. J. Cardiothorac. Surg. 2016, 49, 1344–1347. [Google Scholar] [CrossRef]
- Mendoza-Morales, R.C.; Camberos-Nava, E.V.; Luna-Rosas, A.; Garcés-Ramírez, L.; De La Cruz, F.; García-Dolores, F. A Fatal Case of Systemic Fat Embolism Resulting from Gluteal Injections of Vitamin e for Cosmetic Enhancement. Forensic Sci. Int. 2016, 259, e1–e4. [Google Scholar] [CrossRef] [PubMed]
- Tsitsikas, D.A.; Bristowe, J.; Abukar, J. Fat Embolism Syndrome in Sickle Cell Disease. J. Clin. Med. 2020, 9, 3601. [Google Scholar] [CrossRef] [PubMed]
- May, J.; Sullivan, J.C.; LaVie, D.; LaVie, K.; Marques, M.B. Inside Out: Bone Marrow Necrosis and Fat Embolism Complicating Sickle-Β+ Thalassemia. Am. J. Med. 2016, 129, e321–e324. [Google Scholar] [CrossRef] [PubMed][Green Version]
- Akoh, C.C.; Schick, C.; Otero, J.; Karam, M. Fat Embolism Syndrome after Femur Fracture Fixation: A Case Report. Iowa Orthop. J. 2014, 34, 55–62. [Google Scholar][Green Version]
- Kontakis, G.M.; Tossounidis, T.; Weiss, K.; Pape, H.-C.; Giannoudis, P.V. Fat Embolism: Special Situations Bilateral Femoral Fractures and Pathologic Femoral Fractures. Injury 2006, 37 (Suppl. S4), S19–S24. [Google Scholar] [CrossRef]
- Yan, X.; Wu, S.; Zeng, W.; Kong, J. Fat Embolism Syndrome Caused by Fracture or Liposuction: A Retrospective Case Series of Nine Patients. Ann. Med. 2025, 57, 2447427. [Google Scholar] [CrossRef]
- Singh, S.; Goyal, R.; Baghel, P.; Sharma, V. Fat Embolism Syndrome: A Comprehensive Review and Update. J. Orthop. Allied Sci. 2018, 6, 56. [Google Scholar] [CrossRef]
- Rudinská, L.I.; Delongová, P.; Vaculová, J.; Iannaccone, S.F.; Tulinský, L.; Ihnát, P. Pulmonary Fat Embolism in Non-Survivors after Cardiopulmonary Resuscitation. Forensic Sci. Int. 2024, 357, 112002. [Google Scholar] [CrossRef] [PubMed]
- Preuß, J.; Dettmeyer, R.; Ortmann, C.; Lignitz, E.; Madea, B. Pulmonary Fat Embolism in Cases of Fatal Hypothermia. Forensic Sci. Int. 2007, 169, S5. [Google Scholar] [CrossRef]
- Etchells, E.E.; Wong, D.T.; Davidson, G.; Houston, P.L. Fatal Cerebral Fat Embolism Associated with a Patent Foramen Ovale. Chest 1993, 104, 962–963. [Google Scholar] [CrossRef] [PubMed]
- He, Z.; Shi, Z.; Li, C.; Ni, L.; Sun, Y.; Arioli, F.; Wang, Y.; Ammirati, E.; Wang, D.W. Single-Case Metanalysis of Fat Embolism Syndrome. Int. J. Cardiol. 2021, 345, 111–117. [Google Scholar] [CrossRef]
- Lever, V.; Erdini, F.; Ghimenton, C.; Novelli, L.; Brunelli, M.; Barbareschi, M.; Mazzoleni, G.; Vermiglio, E.; Mantovani, A.; Cima, L.; et al. Pulmonary Fat Embolism and Coronary Amyloidosis. Am. J. Case Rep. 2018, 19, 744–747. [Google Scholar] [CrossRef]
- Tzioupis, C.C.; Giannoudis, P.V. Fat Embolism Syndrome: What Have We Learned over the Years? Trauma 2011, 13, 259–281. [Google Scholar] [CrossRef]
- Malagari, K.; Economopoulos, N.; Stoupis, C.; Daniil, Z.; Papiris, S.; Müller, N.L.; Kelekis, D. High-Resolution CT Findings in Mild Pulmonary Fat Embolism. Chest 2003, 123, 1196–1201. [Google Scholar] [CrossRef]
- Luff, D.; Hewson, D.W. Fat Embolism Syndrome. BJA Educ. 2021, 21, 322–328. [Google Scholar] [CrossRef]
- Turkmen Samdanci, E.; Celik, M.R.; Pehlivan, S.; Celbis, O.; Turkkan, D.; Ozdemir Kara, D.; Pamukcu, E. Histopathological Evaluation of Autopsy Cases with Isolated Pulmonary Fat Embolism (IPFE): Is Cardiopulmonary Resuscitation a Main Cause of Death in IPFE? Open Access Emerg. Med. 2019, 11, 121–127. [Google Scholar] [CrossRef]
- Bulger, E.M.; Smith, D.G.; Maier, R.V.; Jurkovich, G.J. Fat Embolism Syndrome. A 10-Year Review. Arch. Surg. 1997, 132, 435–439. [Google Scholar] [CrossRef]
- DeLong, L.; Tobias, J.D. Fat Embolism Following Traumatic Injury with Cerebral Embolism and Stroke in the Presence of a Patent Foramen Ovale. Pediatr. Anesth. Crit. Care J. 2021, 9, 65–68. [Google Scholar] [CrossRef]
- Benevento, M.; Carravetta, F.; Caterino, C.; Nicolì, S.; Ambrosi, L.; Ferorelli, D.; Solarino, B. Fat Embolism Syndrome in a Patient with Osteogenesis Imperfecta: A Case Report. Forensic Sci. 2024, 4, 234–242. [Google Scholar] [CrossRef]
- Wang, N.N.; Panda, N.; Hyun, J.S.; Barounis, D.; Weiser, T.G. Cerebral Fat Embolism in a Trauma Patient with Captured Imaging of Echogenic Emboli in the Inferior Vena Cava. J. Med. Ultrasound 2016, 24, 162–165. [Google Scholar] [CrossRef]
- Schnaid, E.; Lamprey, J.M.; Viljoen, M.J.; Joffe, B.I.; Seftel, H.C. The Early Biochemical and Hormonal Profile of Patients with Long Bone Fractures at Risk of Fat Embolism Syndrome. J. Trauma Inj. Infect. Crit. Care 1987, 27, 309–311. [Google Scholar] [CrossRef]
- Kosova, E.; Bergmark, B.; Piazza, G. Fat Embolism Syndrome. Circulation 2015, 131, 317–320. [Google Scholar] [CrossRef]
- Meng, Y.; Zhang, M.; Ling, H.; Huang, S.; Miao, Q.; Yu, Y.; Zhang, F.; Qiu, P.; Li, D. Nontraumatic Multiple-Organ Fat Embolism: An Autopsy Case and Review of Literature. Am. J. Forensic Med. Pathol. 2020, 41, 131–134. [Google Scholar] [CrossRef]
- Schrufer-Poland, T.; Singh, P.; Jodicke, C.; Reynolds, S.; Maulik, D. Nontraumatic Fat Embolism Found Following Maternal Death after Cesarean Delivery. Am. J. Perinatol. Rep. 2015, 5, e1–e5. [Google Scholar] [CrossRef][Green Version]
- Bosse, M.J.; MacKenzie, E.J.; Riemer, B.L.; Brumback, R.J.; McCarthy, M.L.; Burgess, A.R.; Gens, D.R.; Yasui, Y. Adult Respiratory Distress Syndrome, Pneumonia, and Mortality Following Thoracic Injury and a Femoral Fracture Treated Either with Intramedullary Nailing with Reaming or with a Plate. A Comparative Study. J. Bone Jt. Surg. Am. 1997, 79, 799–809. [Google Scholar] [CrossRef]
- Hulman, G. Pathogenesis of Non-Traumatic Fat Embolism. Lancet 1988, 331, 1366–1367. [Google Scholar] [CrossRef]
- Vanderschueren, S.; Deeren, D.; Knockaert, D.C.; Bobbaers, H.; Bossuyt, X.; Peetermans, W. Extremely Elevated C-Reactive Protein. Eur. J. Intern. Med. 2006, 17, 430–433. [Google Scholar] [CrossRef]
- Young, B.; Gleeson, M.; Cripps, A.W. C-Reactive Protein: A Critical Review. Pathology 1991, 23, 118–124. [Google Scholar] [CrossRef]
- Weinhold, B.; Rüther, U. Interleukin-6-Dependent and -Independent Regulation of the Human C-Reactive Protein Gene. Biochem. J. 1997, 327, 425–429. [Google Scholar] [CrossRef] [PubMed]
- Lozanski, G.; Jiang, S.L.; Samols, D.; Kushner, I. C-Reactive Protein and Serum Amyloid A mRNA Stability Following Induction by Cytokines. Cytokine 1996, 8, 534–540. [Google Scholar] [CrossRef] [PubMed]
- Kushner, I. C-Reactive Protein—My Perspective on Its First Half Century, 1930-1982. Front. Immunol. 2023, 14, 1150103. [Google Scholar] [CrossRef] [PubMed]
- Dettmeyer, R.B. Forensic Histopathology, 2nd ed.; Springer International Publishing: Cham, Switzerland, 2018. [Google Scholar] [CrossRef]
- Kakimoto, Y.; Okada, C.; Kawabe, N.; Sasaki, A.; Tsukamoto, H.; Nagao, R.; Osawa, M. Myocardial Lipofuscin Accumulation in Ageing and Sudden Cardiac Death. Sci. Rep. 2019, 9, 3304. [Google Scholar] [CrossRef]
- Rothberg, D.L.; Makarewich, C.A. Fat Embolism and Fat Embolism Syndrome. J. Am. Acad. Orthop. Surg. 2019, 27, e346–e355. [Google Scholar] [CrossRef]
- Uhlin-Hansen, L. C-Reactive Protein (CRP), a Comparison of Pre- and Post-Mortem Blood Levels. Forensic Sci. Int. 2001, 124, 32–35. [Google Scholar] [CrossRef]
- Na, J.-Y.; Park, J.-T. Evaluation of Point-of-Care Testing for C-Reactive Protein in Forensic Medicine. J. Korean Med. Sci. 2019, 34, e246. [Google Scholar] [CrossRef]
- Fujita, M.Q.; Zhu, B.-L.; Ishida, K.; Quan, L.; Oritani, S.; Maeda, H. Serum C-Reactive Protein Levels in Postmortem Blood—An Analysis with Special Reference to the Cause of Death and Survival Time. Forensic Sci. Int. 2002, 130, 160–166. [Google Scholar] [CrossRef]
- Mouliou, D.S. C-Reactive Protein: Pathophysiology, Diagnosis, False Test Results and a Novel Diagnostic Algorithm for Clinicians. Diseases 2023, 11, 132. [Google Scholar] [CrossRef]
- Pepys, M.B.; Hirschfield, G.M. C-Reactive Protein: A Critical Update. J. Clin. Investig. 2003, 111, 1805–1812. [Google Scholar] [CrossRef]
- Baker, P.L.; Pazell, J.A.; Peltier, L.F. Free Fatty Acids, Catecholamines, and Arterial Hypoxia in Patients With Fat Embolism. J. Trauma. Inj. Infect. Crit. Care 1971, 11, 1026–1030. [Google Scholar] [CrossRef]
- Husebye, E.E.; Lyberg, T.; Røise, O. Bone Marrow Fat in the Circulation: Clinical Entities and Pathophysiological Mechanisms. Injury 2006, 37 (Suppl. S4), S8–S18. [Google Scholar] [CrossRef]





| Long Bones and the Pelvis Fracture | Parenteral Lipid Injection/Infusion |
| Orthopedic surgeries | Sickle cell disease |
| Soft tissue injuries | Prolonged corticosteroid therapy |
| Burn injuries | Hemorrhagic pancreatitis |
| Liposuction | Carbon tetrachloride poisoning |
| Heat stroke | Heart surgery |
| Hypothermia | Osteomyelitis |
| Diabetes mellitus | Fatty liver |
| Septicemia | Acute respiratory distress syndrome (ARDS) |
| Cardiopulmonary resuscitation (CPR) | Bone marrow necrosis |
| Bone tumor lysis | Thalassemia |
| Lung transplantation | Bone marrow transplant |
| Major | Minor |
|---|---|
| Respiratory insufficiency-Hypoxia (<60 Hgmm O2) with bilateral radiographic changes | Tachycardia (>110 beats/minute) |
| Petechial rush | Pyrexia (>38.5 °C) |
| Cerebral involvement (confusion, coma, drowsiness) | Renal changes (fat globules in urine/lipiduria/anuria/oliguria) |
| Emboli are visible in the retina on fundoscopy | |
| Jaundice | |
| Fat in sputum | |
| Drop in platelet count (thrombocytopenia) or hematocrit | |
| Increased ESR (erythrocyte sedimentation rate) > 71 mm/h |
| Grade | Characteristic Features and Extent of Fat Embolism |
|---|---|
| 0 | no fat embolism or punctiform, sporadic, where relevant |
| 1 | mild, teardrop-like, fat embolism, with 25× magnification, observed in every field. |
| 2 | multiple, distinct, sausage or tear-like fat embolism, disseminated in every field |
| 3 | massive, antler-like fat embolism in all vision, every microscopic field |
| No. | Sex | Age (Years) | Autopsy Findings | Clinical Data/Medical Record/ICD-11 (International Classification of Diseases)/Smoking Habits | Result of Lipid Staining with Oil Red O/Affected Organ(s)/Falzi Modified by Janssen Grade of Pulmonary Fat Embolism | Premortem CRP Level Within 24 h of Death CRP Level (mg/L) Reference: <5.2 |
|---|---|---|---|---|---|---|
| 1. | male | 79 | Purulent bronchitis and bronchiolitis, purulent pneumonia with abscess formation, lacunar status, shock kidney, severe athero- and arteriosclerosis, cachexia, decubitus, PEG (percutaneous endoscopic gastrostomy) implantation | Essential hypertension, unspecified (BA00.Z), Chronic kidney disease, unspecified (GB61.Z), Certain specified alcohol-induced mental or behavioral disorders (6C40.7), Dementia, unknown or unspecified cause (6D8Z), Simple renal cyst (GB80.0) Retention of urine (MF50.3), Feeding difficulties, unspecified (MG43.3Z) No data about smoking habits | No presence of fat embolism Grade 0 | CRP: 48.48 mg/L |
| 2. | female | 55 | Purulent bronchopneumonia with abscess formation, purulent bronchitis, pleurisy, focal lung edema, decubitus, mild atherosclerosis, hyaline perisplenitis, chronic congestion of the liver (nutmeg liver), gallstone, ischaemic stroke | Down syndrome (LD40.0) Non smoker | No presence of fat embolism Grade 0 | ND (no data) |
| 3. | male | 57 | Purulent bronchopneumonia with abscess formation, lung edema, brain edema, former ischaemic stroke in the right hemisphere, severe general athero- and coronary sclerosis, dilatation of the right heart atrium and ventricle, right adrenal gland cortex adenoma, prostatic hyperplasia, signs of former rib fracture and slashes of the right forearm | Schizophrenia, episode unspecified (6A20.Z), Chronic bronchitis, unspecified (CA20.1Z), Ischaemic heart diseases, unspecified (BA6Z), Essential hypertension, unspecified (BA00.Z), Epilepsy or seizures, unspecified (8A6Z), Bacterial pneumonia (CA40.0) Previous smoker | Sporadic fat embolism in the lung (punctiform) Grade 0 | ND (no data) |
| 4. | male | 68 | Fibrinous pleurisy, unspecified chronic bronchitis, purulent bronchopneumonia with abscess formation, mild-moderate atherosclerosis, prostatic hyperplasia, nephrosclerosis, cyst of kidney, gallstone, mild hypertrophy of the heart, dilatation of the right heart atrium and ventricle, goiter | Chronic bronchitis, unspecified (CA20.1Z), Gastro-esophageal reflux disease, unspecified (DA22.Z), Emphysema, unspecified (CA21.Z), Cholelithiasis, unspecified (DC11.Z), Certain specified alcohol-induced mental or behavioral disorders (6C40.7), Mixed depressive and anxiety disorder (6A73), Duodenal ulcer, unspecified (DA63.Z) Active smoker | No presence of fat embolism Grade 0 | ND (no data) |
| 5. | female | 92 | COVID pneumonia, secondary purulent bronchopneumonia, severe atherosclerosis, mild coronary sclerosis, cyst of the kidney, nephrosclerosis | Essential hypertension, unspecified (BA00.Z), Harmful effects of or exposure to noxious substances, chiefly nonmedicinal as to source, not elsewhere classified (NE61), Secondary psychotic syndrome, with delusions (6E61.1), COVID-19, virus identified (RA01.0), Dementia due to cerebrovascular disease (6D81) Non smoker | Sporadic fat embolism in the lung (punctiform) Grade 0 | CRP: 156.36 mg/L |
| 6. | male | 75 | Purulent bronchopneumonia, severe atherosclerosis, former hemorrhagic stroke in left temporal lobe, mild lung edema, goiter, prostate hyperplasia, decubitus, right femoropopliteal stent implant | Bacterial pneumonia, unspecified (CA40.0Z), Sepsis without septic shock (1G40), Gastro-esophageal reflux disease, unspecified (DA22.Z) No data about smoking habits | Sporadic fat embolism in the lung (punctiform) Grade 0 | CRP: 133.96 mg/L |
| 7. | male | 48 | Purulent bronchopneumonia, multiple decubital ulcers of lower extremities, cerebral edema, moderate coronary sclerosis, dilatation of the right heart atrium and ventricle, acute gastritis, and acute cystitis | In anamnesis: Concussion, unspecified (NA07,0Z), Chronic rhinosinusitis, unspecified (CA0A.Z), Intestinal infections due to Clostridioides difficile (1A04), Intervertebral disk degeneration, unspecified (FA80.Z), Intentional self-harm by exposure to or harmful effects of antiepileptics or antiparkinsonism drugs (PC97)-multiple times, Post anoxic brain damage (8E44) No data about smoking habits | No presence of fat embolism Grade 0 | CRP: 31.54 mg/L |
| 8. | male | 67 | Purulent bronchopneumonia with abscess formation, purulent bronchitis, and bronchiolitis, sclerotic valve of the thoracic aorta, congestion of the spleen, nephrosclerosis, catheter of the urinary bladder, PEG (percutaneous endoscopic gastrostomy) implantation, benign prostatic hyperplasia, goiter | Bacterial pneumonia unspecified (CA40.0Z), Respiratory failure, unspecified (CB41.2Z), Dementia due to cerebrovascular disease (6D81), Dementia due to Alzheimer’s disease (6D80), Bronchitis, unspecified (CA20.Z) Previous smoker | Sporadic fat embolism in the lung (punctiform) Grade 0 | ND (no data) |
| 9. | male | 69 | Purulent bronchopneumonia with abscess formation, chronic bronchitis, emphysema (unspecified), pulmonary edema, atherosclerotic heart disease, former hemorrhagic stroke in basal ganglia and cerebellum, nephrosclerosis, chronic cystitis, goiter, PEG (percutaneous endoscopic gastrostomy) implantation | Stroke not known if ischaemic or hemorrhagic (8B20), Pertrochanteric fracture of femur (left) (C72.31) in anamnesis more than half a year before death, Dementia due to cerebrovascular disease (6D81) Previous smoker | Sporadic fat embolism in the lung (punctiform) Grade 0 | ND (no data) |
| 10. | male | 85 | Purulent bronchopneumonia, chronic bronchitis with acute exacerbation, lung emphysema severe atherosclerosis and coronary sclerosis, atherosclerotic heart disease, lacunar infarction of the brain, liver congestion (nutmeg liver), congestion of the spleen, erosion of the gastric mucosa, diverticulosis of sigma bowel and colostomy forming, chronic cystitis with acute exacerbation, nephrosclerosis, prostatic hyperplasia and former TURP (transurethral prostate resection) operation, acute pyelonephritis, decubitus | Essential hypertension, unspecified (BA00.Z), Problems of the prostate (MF40.1), Hyperplasia of prostate (GA90), Surgical or postsurgical states, unspecified (QB6Z), Intervertebral disk degeneration of lumbar spine with prolapsed disk (FA80.9) No data about smoking habits | Sporadic fat embolism in the lung (punctiform) Grade 0 | ND (no data) |
| 11. | male | 50 | Early phase bronchopneumonia, edema of the lungs and acute congestion, dilatation of the heart right ventricle, alcoholic cardiomyopathy, shock kidneys | Mental and behavioral disorders due to use of alcohol: dependence syndrome (F10.2) Active smoker | Sporadic fat embolism in the lung (punctiform) Grade 0 | ND (no data) |
| 12. | female | 75 | Purulent bronchopneumonia, acute bronchitis, moderate atherosclerosis, mild atherosclerosis of the brain, brain edema, goiter, degeneration of the myocardium, PEG (percutaneous endoscopic gastrostomy) implantation cyst of the left kidney, chronic congestion of the liver (nutmeg liver), sacral decubitus | Feeding difficulties, unspecified (MG43.3Z), Bacterial pneumonia, unspecified (CA40.0Z), Essential hypertension, unspecified (BA00.Z), Dementia, unknown or unspecified cause (6D8Z), In anamneses: COVID-19, virus identified (RA01.0) No data about smoking habits | Punctiform and teardrop-like fat embolism of the lung, at 25-fold magnification, every field of vision, and sporadic fat embolism of the heart Grade I | ND (no data) |
| 13. | female | 69 | Purulent bronchopneumonia with abscess formation, purulent bronchitis and bronchiolitis, subpleural petechiae, mild lung edema, goiter, decubitus in sacral region, mild general atherosclerosis | Dementia unknown or unspecified cause (6D8Z), Essential hypertension, unspecified (BA00.Z) No data about smoking habits | Sporadic fat embolism in the lung (punctiform) Grade 0 | ND (no data) |
| 14. | male | 72 | Purulent bronchopneumonia, severe atherosclerosis, prostatic hyperplasia, nephrosclerosis, lacunar status | Essential hypertension, unspecified (BA00.Z), Diabetes mellitus, type unspecified (5A14), Gastro-esophageal reflux disease, unspecified (DA22.Z) Carpal tunnel syndrome (8C10.0), Diaphragmatic hernia (DD50.0), Encephalopathy, not elsewhere classified (8E47), Hyperplasia of prostate (GA90) Non smoker | Mainly punctiform and in some views teardrop-like fat embolism of the lung, at 25-fold magnification, every field of vision, Grade I | ND (no data) |
| 15. | male | 64 | Purulent bronchopneumonia, foreign material in the lower airways with abscess formation, acute bronchitis, cachexia, emphysema, chronic cystitis | Disorders of intellectual development, unspecified (6A00.Z), Dissociative disorders, unspecified (6B6Z), Acute bronchitis, unspecified (CA42.Z), Alcohol dependence, unspecified (6C40.2Z), Bacterial pneumonia, unspecified (CA40.0Z), Gastric ulcer, unspecified (DA60.Z), Cachexia, unspecified (MG20.Z) Active smoker | Sporadic fat embolism in the lung (punctiform) Grade 0 | CRP: 53.84 mg/L |
Disclaimer/Publisher’s Note: The statements, opinions and data contained in all publications are solely those of the individual author(s) and contributor(s) and not of MDPI and/or the editor(s). MDPI and/or the editor(s) disclaim responsibility for any injury to people or property resulting from any ideas, methods, instructions or products referred to in the content. |
© 2025 by the authors. Licensee MDPI, Basel, Switzerland. This article is an open access article distributed under the terms and conditions of the Creative Commons Attribution (CC BY) license (https://creativecommons.org/licenses/by/4.0/).
Share and Cite
Borsay, B.Á.; Halasi, B.D.; Pórszász, R.K.; Károlyi, K.; Tóth, T.; Gergely, P.A. Nontraumatic Fat Embolism and Fat Embolism Syndrome in Patients with Purulent Bacterial Bronchopneumonia. J. Clin. Med. 2025, 14, 6097. https://doi.org/10.3390/jcm14176097
Borsay BÁ, Halasi BD, Pórszász RK, Károlyi K, Tóth T, Gergely PA. Nontraumatic Fat Embolism and Fat Embolism Syndrome in Patients with Purulent Bacterial Bronchopneumonia. Journal of Clinical Medicine. 2025; 14(17):6097. https://doi.org/10.3390/jcm14176097
Chicago/Turabian StyleBorsay, Beáta Ágnes, Barbara Dóra Halasi, Róbert Kristóf Pórszász, Katalin Károlyi, Teodóra Tóth, and Péter Attila Gergely. 2025. "Nontraumatic Fat Embolism and Fat Embolism Syndrome in Patients with Purulent Bacterial Bronchopneumonia" Journal of Clinical Medicine 14, no. 17: 6097. https://doi.org/10.3390/jcm14176097
APA StyleBorsay, B. Á., Halasi, B. D., Pórszász, R. K., Károlyi, K., Tóth, T., & Gergely, P. A. (2025). Nontraumatic Fat Embolism and Fat Embolism Syndrome in Patients with Purulent Bacterial Bronchopneumonia. Journal of Clinical Medicine, 14(17), 6097. https://doi.org/10.3390/jcm14176097

