Abdominal and Multifidus Muscle Morphology and Function, Trunk Clinical Tests, and Symmetry in Young Elite Archery Athletes
Abstract
1. Introduction
2. Materials and Methods
2.1. Study Design
2.2. Data Source
2.3. Description of the Examinations
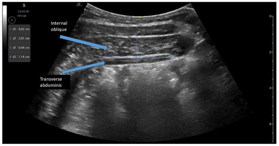
2.3.1. Ultrasound Assessment
2.3.2. Trunk Muscle Clinical Endurance Tests
2.4. Data Analysis
3. Results
3.1. Differences Between Sides
3.2. Gender Differences
3.3. Symmetry and Asymmetry
3.4. Correlation Between Muscle Morphology and Clinical Tests
4. Discussion
4.1. Study Limitations and Future Studies
4.2. Clinical Recommendations
5. Conclusions
Author Contributions
Funding
Institutional Review Board Statement
Informed Consent Statement
Data Availability Statement
Conflicts of Interest
References
- Ji, X.; Miller, J.; Gao, X.; Al Tamimi, Z.; Arzalluz, I.; Piovesan, D. An Ergonomics Analysis of Archers through Motion Tracking to Prevent Injuries and Improve Performance. Sensors 2024, 24, 1862. [Google Scholar] [CrossRef]
- Archery Trade Association. Archery Participation in the United States: 2014 Report. 2015. Available online: https://archerytrade.org/wp-content/uploads/2018/01/ATA_Participation_2015_Report_final.pdf (accessed on 8 August 2025).
- Ahmad, Z.; Taha, Z.; Hassan, H.A.; Hisham, M.A.; Johari, N.H.; Kadirgama, K. Biomechanics Measurements in Archery. J. Mech. Eng. Sci. 2014, 6, 762–771. [Google Scholar] [CrossRef]
- Konda, M.; Mangal, R.; Daniel, A.; Stead, T.S.; Ganti, L. Archery-Related Musculoskeletal Injuries: An Epidemiological Study Revealing Injury Sites, Risk Factors, and Implications for Prevention. Orthop. Rev. 2023, 15, 88933. [Google Scholar] [CrossRef]
- Vendrame, E.; Belluscio, V.; Truppa, L.; Rum, L.; Lazich, A.; Bergamini, E.; Mannini, A. Performance assessment in archery: A systematic review. Sports Biomech. 2024, 23, 2444–2466. [Google Scholar] [CrossRef] [PubMed]
- Ertan, H. Muscular activation patterns of the bow arm in recurve archery. J. Sci. Med. Sport. 2009, 12, 357–360. [Google Scholar] [CrossRef] [PubMed]
- Prasetyo, H.; Siswantoyo; Prasetyo, Y.; Susanto. The relationship balance of hand grip strength and body balance to archry ability. Fizjoterapia Pol. 2023, 23, 60–67. [Google Scholar] [CrossRef]
- Vasilis, N.; Kyriakides, A.; Vasilopoulos, G.; Chatzitimotheou, M.; Gonidakis, G.; Kotsakis, A.; Paraskevopoulos, E.; Kapreli, E. Injuries and Persistent Pain in Elite Adolescent Archery Athletes: A Cross-Sectional Epidemiological Study. Sports 2024, 12, 101. [Google Scholar] [CrossRef]
- Singh, A.; Lhee, S.H. Injuries in archers. Saudi J. Sports Med. 2016, 16, 168. [Google Scholar] [CrossRef]
- Hodges, P.W.; Richardson, C.A. Relationship between limb movement speed and associated contraction of the trunk muscles. Ergonomics 1997, 40, 1220–1230. [Google Scholar] [CrossRef]
- Zenovia, S.; Eugen, B.; Ion, M.; Marian, C. Correlation between the muscle strengths of the trunk and upper limbs. J. Phys. Educ. Sport 2016, 16, 1298. [Google Scholar]
- Scarzella, F. Archery. In Epidemiology of Injuries in Sports; Canata, G.L., Jones, H., Eds.; Springer: Berlin/Heidelberg, Germany, 2022; pp. 1–6. [Google Scholar] [CrossRef]
- Dar, G.; Hicks, G.E. The immediate effect of dry needling on multifidus muscles’ function in healthy individuals. J. Back. Musculoskelet. Rehabil. 2016, 29, 273–278. [Google Scholar] [CrossRef]
- Whittaker, J.L. Ultrasound imaging of the lateral abdominal wall muscles in individuals with lumbopelvic pain and signs of concurrent hypocapnia. Man. Ther. 2008, 13, 404–410. [Google Scholar] [CrossRef]
- Whittaker, J.L. Ultrasound Imaging for Rehabilitation of the Lumbopelvic Region; Elsevier: Amsterdam, The Netherlands, 2007. [Google Scholar] [CrossRef]
- Hu, N.; Huang, F.; Yu, R.; Lun MacAlevey, N.C.Y.; Zeng, Y.; Miao, P. The investigation of ultrasound to assess lateral abdominal wall activation with different types of core exercises. BMC Sports Sci. Med. Rehabil. 2024, 16, 222. [Google Scholar] [CrossRef]
- McGill, S.M.; Childs, A.; Liebenson, C. Endurance times for low back stabilization exercises: Clinical targets for testing and training from a normal database. Arch. Phys. Med. Rehabil. 1999, 80, 941–944. [Google Scholar] [CrossRef] [PubMed]
- Koppenhaver, S.L.; Hebert, J.J.; Fritz, J.M.; Parent, E.C.; Teyhen, D.S.; Magel, J.S. Reliability of Rehabilitative Ultrasound Imaging of the Transversus Abdominis and Lumbar Multifidus Muscles. Arch. Phys. Med. Rehabil. 2009, 90, 87–94. [Google Scholar] [CrossRef] [PubMed]
- Rankin, G.; Stokes, M.; Newham, D.J. Abdominal muscle size and symmetry in normal subjects. Muscle Nerve 2006, 34, 320–326. [Google Scholar] [CrossRef] [PubMed]
- Zieliński, G. Effect Size Guidelines for Individual and Group Differences in Physiotherapy. Arch. Phys. Med. Rehabil. 2025, S0003999325007178. [Google Scholar] [CrossRef]
- Gill, N.W.; Mason, B.E.; Gerber, J.P. Lateral abdominal muscle symmetry in collegiate single-sided rowers. Int. J. Sports Phys. Ther. 2012, 7, 13–19. [Google Scholar]
- McGregor, A.H.; Anderton, L.; Gedroyc, W.M.W. The trunk muscles of elite oarsmen. Br. J. Sports Med. 2002, 36, 214–216. [Google Scholar] [CrossRef]
- Lindsay, D.M.; Horton, J.F. Trunk rotation strength and endurance in healthy normals and elite male golfers with and without low back pain. N. Am. J. Sports Phys. Ther. NAJSPT 2006, 1, 80–89. [Google Scholar]
- Gray, J.; Aginsky, K.D.; Derman, W.; Vaughan, C.L.; Hodges, P.W. Symmetry, not asymmetry, of abdominal muscle morphology is associated with low back pain in cricket fast bowlers. J. Sci. Med. Sport. 2016, 19, 222–226. [Google Scholar] [CrossRef]
- Zemková, E.; Poór, O.; Jeleň, M. Between-side differences in trunk rotational power in athletes trained in asymmetric sports. J. Back. Musculoskelet. Rehabil. 2019, 32, 529–537. [Google Scholar] [CrossRef]
- Hides, J.; Stanton, W.; Freke, M.; Wilson, S.; McMahon, S.; Richardson, C. MRI study of the size, symmetry and function of the trunk muscles among elite cricketers with and without low back pain. Br. J. Sports Med. 2008, 42, 809–813. [Google Scholar] [CrossRef] [PubMed]
- Hodges, P.W.; Richardson, C.A. Feedforward contraction of transversus abdominis is not influenced by the direction of arm movement. Exp. Brain Res. 1997, 114, 362–370. [Google Scholar] [CrossRef] [PubMed]
- Azhar, S.; Sharma, S.; Sharma, S.; Tanwar, T. EMG Activity of Transversus Abdominis, Multifidus and Co-Contraction Index in Different Phases Amongst Varied Level Archers: A Cross-Sectional Study. Pol. J. Sport. Tour. 2021, 28, 19–23. [Google Scholar] [CrossRef]
- Tahan, N.; Khademi-Kalantari, K.; Mohseni-Bandpei, M.A.; Mikaili, S.; Baghban, A.A.; Jaberzadeh, S. Measurement of superficial and deep abdominal muscle thickness: An ultrasonography study. J. Physiol. Anthropol. 2016, 35, 17. [Google Scholar] [CrossRef]
- Springer, B.A.; Mielcarek, B.J.; Nesfield, T.K.; Teyhen, D.S. Relationships Among Lateral Abdominal Muscles, Gender, Body Mass Index, and Hand Dominance. J. Orthop. Sports Phys. Ther. 2006, 36, 289–297. [Google Scholar] [CrossRef]
- El-Rich, M.; Shirazi-Adl, A.; Arjmand, N. Muscle Activity, Internal Loads, and Stability of the Human Spine in Standing Postures: Combined Model and In Vivo Studies. Spine 2004, 29, 2633–2642. [Google Scholar] [CrossRef]


| DOM (N = 15) Median (Q1, Q3) | ND (N = 15) Median (Q1, Q3) | Difference (N = 15) | p Value | ES | |
|---|---|---|---|---|---|
| Ultrasound measurements | |||||
| AVE_Back_Rest_L4 cm | 3.35 (2.839, 3.671) | 3.14 (2.755, 3.415) | −0.147 (−0.312, 0.080) | 0.07 | 0.48 |
| AVE_Back_Rest_L5 cm | 3.070 (2.748, 3.459) | 3.033 (2.610, 3.287) | −0.005 (−0.205, 0.172) | 0.87 | 0.04 |
| AVE_Back_Cont_L4 cm | 4.305 (3.550, 4.554) | 4.105 (3.857, 4.412) | −0.080 (−0.211, 0.100) | 0.36 | 0.24 |
| AVE_Back_Cont_L5 cm | 3.833 (3.282, 4.245) | 3.763 (3.460, 4.171) | −0.057 (−0.220, 0.110) | 0.65 | 0.13 |
| AVE_TrA_Rest cm | 0.465 (0.325, 0.518) | 0.420 (0.385, 0.565) | 0.020 (−0.063, 0.087) | 0.73 | 0.09 |
| AVE_IO_Rest cm | 0.840 (0.705, 0.945) | 0.885 (0.692, 1.075) | 0.050 (−0.052, 0.145) | 0.19 | 0.34 |
| AVE_TrA_Cont cm | 0.700 (0.545, 0.830) | 0.760 (0.627, 0.857) | 0.030 (−0.045, 0.097) | 0.65 | 0.12 |
| AVE_IO_Cont cm | 1.070 (0.917, 1.337) | 1.025 (0.920, 1.400) | −0.065 (−0.125, 0.210) | 0.75 | 0.08 |
| Clinical tests | |||||
| Trunk_SF__sec | 92.000 (62.000, 107.000) | 92.000 (59.750, 126.750) | 6.000 (0.000, 25.000) | 0.34 | 0.29 |
| Side_bridge__Ext_Ratio | 0.808 (0.523, 0.899) | 0.761 (0.523, 0.989) | 0.107 (0.000, 0.210) | 0.30 | 0.31 |
| Interside Difference (%) | SD | |
|---|---|---|
| AVE_Back_Rest_L4 | 7.9 | 5.15 |
| AVE_Back_Cont_L4 | 5.1 | 4.58 |
| AVE_Back_Rest_L5 | 7.5 | 4.15 |
| AVE_Back_Cont_L5 | 5.9 | 4.70 |
| AVE_TrA_Rest | 18.8 | 12.02 |
| AVE_TrA_Cont | 16.2 | 13.05 |
| AVE_IO_Rest | 15.4 | 12.62 |
| AVE_IO_Cont | 16.5 | 8.69 |
| Trunk_SF | 44.8 | 31.02 |
| Trunk Extension R (p Value) | Trunk Dominant Side Bridge R (p Value) | Trunk Non-Dominant Side Bridge R (p Value) | |
|---|---|---|---|
| DOM_L4_percent | 0.139 (0.63) | 0.265 (0.40) | 0.239 (0.43) |
| DOM_L5_percent | 0.117 (0.69) | 0.209 (0.51) | 0.660 (0.01) |
| ND_L4_percent | 0.214 (0.46) | 0.349 (0.26) | 0.514 (0.07) |
| ND_L5_percent | 0.278 (0.33) | 0.454 (0.13) | 0.751 (0.01) |
| Percent_DOM_TrA | −0.001 (0.99) | 0.335 (0.26) | 0.173 (0.55) |
| Percent_DOM_IO | 0.030 (0.91) | 0.450 (0.12) | 0.332 (0.24) |
| Percent_ND_TrA | −0.168 (0.54) | 0.065 (0.83) | 0.055 (0.85) |
| Percent_ND_IO | 0.127 (0.65) | 0.197 (0.51) | 0.050 (0.86) |
Disclaimer/Publisher’s Note: The statements, opinions and data contained in all publications are solely those of the individual author(s) and contributor(s) and not of MDPI and/or the editor(s). MDPI and/or the editor(s) disclaim responsibility for any injury to people or property resulting from any ideas, methods, instructions or products referred to in the content. |
© 2025 by the authors. Licensee MDPI, Basel, Switzerland. This article is an open access article distributed under the terms and conditions of the Creative Commons Attribution (CC BY) license (https://creativecommons.org/licenses/by/4.0/).
Share and Cite
Dar, G.; Yehiel, A.; Aginsky, K.; Blayer, Y.; Calé-Benzoor, M. Abdominal and Multifidus Muscle Morphology and Function, Trunk Clinical Tests, and Symmetry in Young Elite Archery Athletes. J. Clin. Med. 2025, 14, 5974. https://doi.org/10.3390/jcm14175974
Dar G, Yehiel A, Aginsky K, Blayer Y, Calé-Benzoor M. Abdominal and Multifidus Muscle Morphology and Function, Trunk Clinical Tests, and Symmetry in Young Elite Archery Athletes. Journal of Clinical Medicine. 2025; 14(17):5974. https://doi.org/10.3390/jcm14175974
Chicago/Turabian StyleDar, Gali, Alon Yehiel, Kerith Aginsky, Yossi Blayer, and Maya Calé-Benzoor. 2025. "Abdominal and Multifidus Muscle Morphology and Function, Trunk Clinical Tests, and Symmetry in Young Elite Archery Athletes" Journal of Clinical Medicine 14, no. 17: 5974. https://doi.org/10.3390/jcm14175974
APA StyleDar, G., Yehiel, A., Aginsky, K., Blayer, Y., & Calé-Benzoor, M. (2025). Abdominal and Multifidus Muscle Morphology and Function, Trunk Clinical Tests, and Symmetry in Young Elite Archery Athletes. Journal of Clinical Medicine, 14(17), 5974. https://doi.org/10.3390/jcm14175974

