Sweet Syndrome-like Dermatosis as a Precursor to Overlapping Hematologic Malignancies: A Case Report and Review
Abstract
1. Introduction
2. Case Report
2.1. Clinical Examination
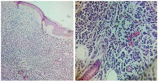
2.2. Histopathology and Additional Workup
2.3. Diagnosis and Management
2.4. Summary of Clinical Course and Timeline
3. Discussion
3.1. Cross Analysis
3.2. Limitations
4. Conclusions
Author Contributions
Funding
Institutional Review Board Statement
Informed Consent Statement
Data Availability Statement
Acknowledgments
Conflicts of Interest
Abbreviations
| SS | Sweet syndrome |
| MDS | myelodysplastic syndromes |
| NHL | non-Hodgkin lymphoma |
| IHC | immunohistochemical/immunohistochemistry |
| MASS | malignancy-associated SS |
| AML | acute myeloid leukemia |
| ATRA | all-trans retinoic acid |
| G-CSF | granulocyte colony-forming factor |
| BMI | body mass index |
| CBC | complete blood count |
| WBC | white blood cells |
| CRP | C-reactive protein |
| ESR | erythrocyte sedimentation rate |
| LDH | lactate dehydrogenase |
| ANA | antinuclear antibodies |
| RF | rheumatoid factor |
| ANCA | anti-neutrophil cytoplasmic antibodies |
| CK | creatine kinase |
| HIV | human immunodeficiency virus |
| H&E | hematoxylin and eosin |
| CD | cluster of differentiation |
| BCL2 | B-cell lymphoma 2 |
| HLH | hemophagocytic lymphohistiocytosis |
| NK | natural killer |
| MA-SS | malignancy-associated Sweet syndrome |
References
- Sweet, R.D. An acute febrile neutrophilic dermatosis. Br. J. Dermatol. 1964, 76, 349–356. [Google Scholar] [CrossRef] [PubMed]
- Buck, T.; González, L.M.; Lambert, W.C.; Schwartz, R.A. Sweet’s syndrome with hematologic disorders: A review and reappraisal. Int. J. Dermatol. 2008, 47, 775–782. [Google Scholar] [CrossRef] [PubMed]
- Merlant, M.; Lepelletier, C.; Battistella, M.; Vignon-Pennamen, M.-D.; Duriez, P.; Moguelet, P.; Brunet-Possenti, F.; Bagot, M.; Chasset, F.; Bouaziz, J.D. Acute myeloid leukemia and myelodysplastic syndrome–associated Sweet syndrome: A comparative multicenter retrospective study of 39 patients. J. Am. Acad. Dermatol. 2020, 84, 838–840. [Google Scholar] [CrossRef]
- Kakaletsis, N.; Kaiafa, G.; Savopoulos, C.; Iliadis, F.; Perifanis, V.; Tzalokostas, V.; Grekou, A.; Giannouli, A.; Hatzitolios, A.I. Initially Lymphocytic Sweet’s Syndrome in Male Patients with Myelodysplasia: A Distinguished Clinicopathological Entity? Case Report and Systematic Review of the Literature. Acta Haematol. 2014, 132, 220–225. [Google Scholar] [CrossRef]
- Maller, B.; Bigness, A.; Moiño, D.; Greene, J. Sweet’s syndrome associated with hematological malignancies. Leuk. Res. 2020, 99, 106461. [Google Scholar] [CrossRef]
- Nelson, C.A.; Noe, M.H.; McMahon, C.M.; Gowda, A.; Wu, B.; Ashchyan, H.J.; Perl, A.E.; James, W.D.; Micheletti, R.G.; Rosenbach, M. Sweet syndrome in patients with and without malignancy: A retrospective analysis of 83 patients from a tertiary academic referral center. J. Am. Acad. Dermatol. 2018, 78, 303–309.e4. [Google Scholar] [CrossRef]
- Su, W.; Liu, H.N. Diagnostic criteria for Sweet’s syndrome. Cutis 1986, 37, 167–174. [Google Scholar] [PubMed]
- Cohen, P.R. Sweet’s syndrome: A comprehensive review of an acute febrile neutrophilic dermatosis. Orphanet J. Rare Dis. 2007, 2, 34. [Google Scholar] [CrossRef]
- Villarreal-Villarreal, C.D.; Ocampo-Candiani, J.; Villarreal-Martínez, A. Sweet syndrome: A review and update. Actas Dermo-Sifiliogr. 2016, 107, 369–378. [Google Scholar] [CrossRef]
- Mollaeian, A.; Roudsari, H.; Talebi, E. Sweet’s syndrome: A classical presentation of a rare disease. J. Investig. Med. High Impact Case Rep. 2019, 7, 2324709619895164. [Google Scholar] [CrossRef]
- Ghoufi, L.; Ortonne, N.; Ingen-Housz-Oro, S.; Barhoumi, W.; Begon, E.; Haioun, C.; Pautas, C.; Beckerich, F.; Robin, C.; Wolkenstein, P.; et al. Histiocytoid sweet syndrome is more frequently associated with myelodysplastic syndromes than the classical neutrophilic variant: A comparative series of 62 patients. Medicine 2016, 95, e3033. [Google Scholar] [CrossRef]
- Rochet, N.M.; Chavan, R.N.; Cappel, M.A.; Wada, D.A.; Gibson, L.E. Sweet syndrome: Clinical presentation, associations, and response to treatment in 77 patients. J. Am. Acad. Dermatol. 2013, 69, 557–564. [Google Scholar] [CrossRef]
- Kazmi, S.M.; Pemmaraju, N.; Patel, K.P.; Cohen, P.R.; Daver, N.; Tran, K.M.; Ravandi, F.; Duvic, M.; Garcia-Manero, G.; Pierce, S.; et al. Characteristics of Sweet syndrome in patients with acute myeloid leukemia. Clin. Lymphoma Myeloma Leuk. 2015, 15, 358–363. [Google Scholar] [CrossRef]
- Kulasekararaj, A.G.; Kordasti, S.; Basu, T.; Salisbury, J.R.; Mufti, G.J.; du Vivier, A.W. Chronic relapsing remitting Sweet syndrome–a harbinger of myelodysplastic syndrome. Br. J. Haematol. 2015, 170, 649–656. [Google Scholar] [CrossRef]
- Delaporte, E.; Gaveau, D.J.; Piette, F.A.; Bergoënd, H.A. Acute febrile neutrophilic dermatosis (Sweet’s syndrome): Association with rheumatoid vasculitis. Arch. Dermatol. 1989, 125, 1101–1104. [Google Scholar] [CrossRef] [PubMed]
- Jo, T.; Horio, K.; Migita, K. Sweet’s syndrome in patients with MDS and MEFV mutations. N. Engl. J. Med. 2015, 372, 686–688. [Google Scholar] [CrossRef]
- Bourke, J.F.; Keohane, S.; Long, C.C.; Kemmett, D.; Davies, M.; Zaki, I.; Graham-Brown, R.A. Sweet’s syndrome and malignancy in the UK. Br. J. Dermatol. 1997, 137, 609–613. [Google Scholar] [CrossRef] [PubMed]
- Paydas, S. Sweet’s syndrome: A revisit for hematologists and oncologists. Crit. Rev. Oncol. Hematol. 2018, 86, 85–95. [Google Scholar] [CrossRef] [PubMed]
- Reuss-Borst, M.A.; Pawelec, G.; Saal, J.G.; Horny, H.P.; Müller, C.A.; Waller, H.D. Sweet’s syndrome associated with myelodysplasia: Possible role of cytokines in the pathogenesis of the disease. Br. J. Haematol. 1993, 84, 356–358. [Google Scholar] [CrossRef]
- Loraas, A.; Waage, A.; Lamvik, J. Cytokine response pattern in Sweet’s syndrome associated with myelodysplasia. Br. J. Haematol. 1994, 87, 669–671. [Google Scholar] [CrossRef]
- Marzano, A.V.; Fanoni, D.; Antiga, E.; Quaglino, P.; Caproni, M.; Crosti, C.; Meroni, P.L.; Cugno, M. Expression of cytokines, chemokines and other effector molecules in two prototypic autoinflammatory skin diseases, pyoderma gangrenosum and Sweet’s syndrome. Clin. Exp. Immunol. 2014, 178, 48–56. [Google Scholar] [CrossRef] [PubMed]
- Goldman, J.M.; Th′ng, K.H. Phagocytic function of leucocytes from patients with acute myeloid and chronic granulocytic leukaemia. Br. J. Haematol. 1973, 25, 299–308. [Google Scholar] [CrossRef]
- Catovsky, D.; Galton, D.; Robinson, J. Myeloperoxidase-deficient neutrophils in acute myeloid leukaemia. Scand. J. Haematol. 1972, 9, 142–148. [Google Scholar] [CrossRef]
- El-Khalawany, M.; Aboeldahab, S.; Mosbeh, A.S.; Thabet, A. Clinicopathologic, immunophenotyping and cytogenetic analysis of Sweet syndrome in Egyptian patients with acute myeloid leukemia. Pathol.-Res. Pract. 2017, 213, 143–153. [Google Scholar] [CrossRef]
- Sherif, R.D.; Harmaty, M.A.; Torina, P.J. Sweet syndrome after bilateral deep inferior epigastric perforator flap breast reconstruction: A case report. Ann. Plast. Surg. 2017, 79, e30–e32. [Google Scholar] [CrossRef]
- Ritter, S.; George, R.; Serwatka, L.M.; Elston, D.M. Long-term suppression of chronic Sweet’s syndrome with colchicine. J. Am. Acad. Dermatol. 2002, 47, 323–324. [Google Scholar] [CrossRef]
- Chavan, R.N.; Cappel, M.A.; Ketterling, R.P.; Wada, D.A.; Rochet, N.M.; Knudson, R.; Gibson, L.E. Histiocytoid Sweet syndrome may indicate leukemia cutis: A novel application of fluorescence in situ hybridization. J. Am. Acad. Dermatol. 2014, 70, 1021–1027. [Google Scholar] [CrossRef]
- Del Pozo, J.; Martínez, W.; Pazos, J.M.; Yebra-Pimentel, M.T.; García Silva, J.; Fonseca, E. Concurrent Sweet’s syndrome and leukemia cutis in patients with myeloid disorders. Int. J. Dermatol. 2005, 44, 677–680. [Google Scholar] [CrossRef] [PubMed]
- Ferea, C.R.; Mihai, S.N.; Balan, G.; Badescu, M.C.; Tutunaru, D.; Tatu, A.L. Sweet Syndrome Associated with Myelodysplastic Syndrome-A Review of a Multidisciplinary Approach. Life 2023, 13, 809. [Google Scholar] [CrossRef] [PubMed]
- Gil-Lianes, J.; Luque-Luna, M.; Alamon-Reig, F.; Bosch-Amate, X.; Serra-Garcia, L.; Mascaró, J.M., Jr. Sweet Syndrome: Clinical Presentation, Malignancy Association, Autoinflammatory Disorders and Treatment Response in a Cohort of 93 Patients with Long-term Follow-up. Acta Derm. Venereol. 2023, 103, 18284. [Google Scholar] [CrossRef] [PubMed]
- Soppi, E.; Nousiainen, T.; Seppa, A.; Lahtinen, R. Acute febrile neutrophilic dermatosis (Sweet’s syndrome) in association with myelodysplastic syndromes: A report of three cases and a review of the literature. Br. J. Haematol. 1989, 73, 43–47. [Google Scholar] [CrossRef] [PubMed]
- Cowen, E.A.; Barrios, D.M.; Pulitzer, M.P.; Moy, A.P.; Dusza, S.W.; De Wolf, S.; Geyer, M.B.; Markova, A. Acute Febrile Neutrophilic Dermatosis (Sweet Syndrome) in Acute Myeloid Leukemia Patients: A 28-Year Institutional Experience. Acta Haematol. 2024, 147, 457–464. [Google Scholar] [CrossRef] [PubMed]
- Gómez Vázquez, M.; Sánchez-Aguilar, D.; Peteiro, C.; Toribio, J. Sweet’s syndrome and polycythaemia vera. J. Eur. Acad. Dermatol. Venereol. 2005, 19, 382–383. [Google Scholar] [CrossRef]
- Wong, G.A.; Guerin, D.M.; Parslew, R. Sweet’s syndrome and polycythaemia rubra vera. Clin. Exp. Dermatol. 2000, 25, 296–298. [Google Scholar] [CrossRef]
- Reina, D.; Cerdà, D.; Roig, D.; Fíguls, R.; Villegas, M.L.; Corominas, H. Sweet syndrome associated with myelodysplastic syndrome: Report of a case. Review of the literature. Reumatol. Clin. 2013, 9, 246–247. (In Spanish) [Google Scholar] [CrossRef]
- Vignon-Pennamen, M.D.; Osio, A.; Battistella, M. Histiocytoid Sweet Syndrome and Myelodysplastic Syndrome. JAMA Dermatol. 2017, 153, 835–836. [Google Scholar] [CrossRef] [PubMed]






| Timeline | Clinical Event | Description |
|---|---|---|
| +0 months | Leukopenia diagnosis | 5 years prior; monitored as outpatient with no initial systemic symptoms |
| +60 months | Dermatology admission | Persistent purple, erythematous rash; initial skin biopsy suggests atypical infiltrate |
| +61 months | Initial skin biopsy | Histopathology non-diagnostic; presumptive diagnosis of SS made based on clinical features and corticosteroid response |
| +62 months | Second pathology review | Monocytic infiltrate identified; suspicion for myeloproliferative disorder |
| +63 months | Bone marrow biopsy | Unilineage dysplasia of megakaryocytes; confirmed diagnosis of MDS |
| +81 months | Clinical decline | Subfebrile state, pancytopenia, infection (Enterobacter and Staphylococcus) |
| +81 months | Repeat biopsy | Diagnosis of AML transformation; hemophagocytosis noted |
| +82 months | Treatment initiation | Decitabine for AML/MDS; recurrent skin rash responsive to corticosteroids |
| +83 months | Further diagnostics | T-cell lymphoma + HLH confirmed by histopathology and immunophenotyping |
| +84 months | Infectious complications | Clostridium difficile treated; later polymicrobial sepsis (Pseudomonas, Enterococcus) |
| +85 months | Final outcome | Progressive decline; septic shock and cardiac arrest despite interventions |
| Criteria Type | Diagnostic Criteria |
|---|---|
| Major (both required) | 1. Sudden onset of painful erythematous skin lesions. 2. Dense neutrophilic infiltrate in the dermis without vasculitis |
| Minor (at least two) | 1. Fever > 38 °C. 2. Associated trigger (e.g., malignancy, infection, drug). 3. Fast response to corticosteroids. 4. leukocytosis, neutrophilia, elevated ESR or CRP |
| Subtype | Histopathology | Common Association |
|---|---|---|
| Classic (Neutrophilic) | Dense dermal neutrophilic infiltrate | Inflammatory or infectious triggers |
| Histiocytoid | MPO-positive histiocytoid cells, monocyte-like features | MDS, AML |
| Lymphocytic (Atypical) | Lymphoid-predominant infiltrates | Hematologic malignancies (rare) |
| Author (Year) | Study Type/Design | Hematologic Conditions | SS Type/Findings | Notable Conclusions |
|---|---|---|---|---|
| Buck et al. (2008) [2] | Review | AML, MDS, other BMFs | Classical, histiocytoid, lymphocytic; overlap with leukemia cutis | Hematologic-associated SS shows atypical histology; can precede transformation |
| Maller et al. (2020) [5] | Case series (n = 4) | AML, MDS | Classical; SS mimicking infection; malignancy-directed therapy helped | SS may delay AML/MDS diagnosis; early steroids useful |
| Cohen et al. (2007) [8] | Comprehensive review | Various | Diagnostic/treatment summary of SS | Systemic steroids effective; diagnostic criteria useful |
| Ferea et al. (2023) [29] | Narrative review | MDS | Histiocytoid SS more common in MDS; diagnostic challenge | Histiocytoid SS is challenging and may lack neutrophilic infiltrate |
| Gil-Lianes et al. (2023) [30] | Retrospective cohort (n = 93) | AML, MDS | MA-SS with relapsing pattern in MDS; rapid steroid response in AML | SS is early marker of hematologic disease activity |
| Soppi et al. (1989) [31] | Case series (n = 3) | MDS | SS with or preceding AML; corticosteroid responsive | SS may precede leukemic transformation in MDS |
| Gómez-Vázquez et al. (2005) [33] | Case report | AML | Concurrent SS and leukemia cutis | Need for dermato-hematologic collaboration in diagnosis |
| Wong et al. (2000) [34] | Case report | Polycythemia vera | SS in myeloproliferative neoplasm | SS can occur in chronic myeloproliferative disease |
| Reina et al. (2013) [35] | Case report | AML | Histopathologic overlap with leukemia cutis | May be difficult to distinguish from leukemia cutis |
| Vignon-Pennamen et al. (2017) [36] | Retrospective analysis | AML, MDS | Strong association between histiocytoid SS and MDS/AML | Immunohistochemistry essential for SS subtype differentiation |
Disclaimer/Publisher’s Note: The statements, opinions and data contained in all publications are solely those of the individual author(s) and contributor(s) and not of MDPI and/or the editor(s). MDPI and/or the editor(s) disclaim responsibility for any injury to people or property resulting from any ideas, methods, instructions or products referred to in the content. |
© 2025 by the authors. Licensee MDPI, Basel, Switzerland. This article is an open access article distributed under the terms and conditions of the Creative Commons Attribution (CC BY) license (https://creativecommons.org/licenses/by/4.0/).
Share and Cite
Stoica, L.E.; Ciolofan, M.S.; Mitroi, M.R.; Rotaru, M.; Mitroi, G.G. Sweet Syndrome-like Dermatosis as a Precursor to Overlapping Hematologic Malignancies: A Case Report and Review. J. Clin. Med. 2025, 14, 5743. https://doi.org/10.3390/jcm14165743
Stoica LE, Ciolofan MS, Mitroi MR, Rotaru M, Mitroi GG. Sweet Syndrome-like Dermatosis as a Precursor to Overlapping Hematologic Malignancies: A Case Report and Review. Journal of Clinical Medicine. 2025; 14(16):5743. https://doi.org/10.3390/jcm14165743
Chicago/Turabian StyleStoica, Loredana Elena, Mircea Sorin Ciolofan, Mihaela Roxana Mitroi, Maria Rotaru, and George G. Mitroi. 2025. "Sweet Syndrome-like Dermatosis as a Precursor to Overlapping Hematologic Malignancies: A Case Report and Review" Journal of Clinical Medicine 14, no. 16: 5743. https://doi.org/10.3390/jcm14165743
APA StyleStoica, L. E., Ciolofan, M. S., Mitroi, M. R., Rotaru, M., & Mitroi, G. G. (2025). Sweet Syndrome-like Dermatosis as a Precursor to Overlapping Hematologic Malignancies: A Case Report and Review. Journal of Clinical Medicine, 14(16), 5743. https://doi.org/10.3390/jcm14165743
