Clinical Investigation of Recurrence, Oncological, and Obstetrical Outcomes in Patients with Ovarian Atypical Endometriosis
Abstract
1. Introduction
2. Materials and Methods
3. Results
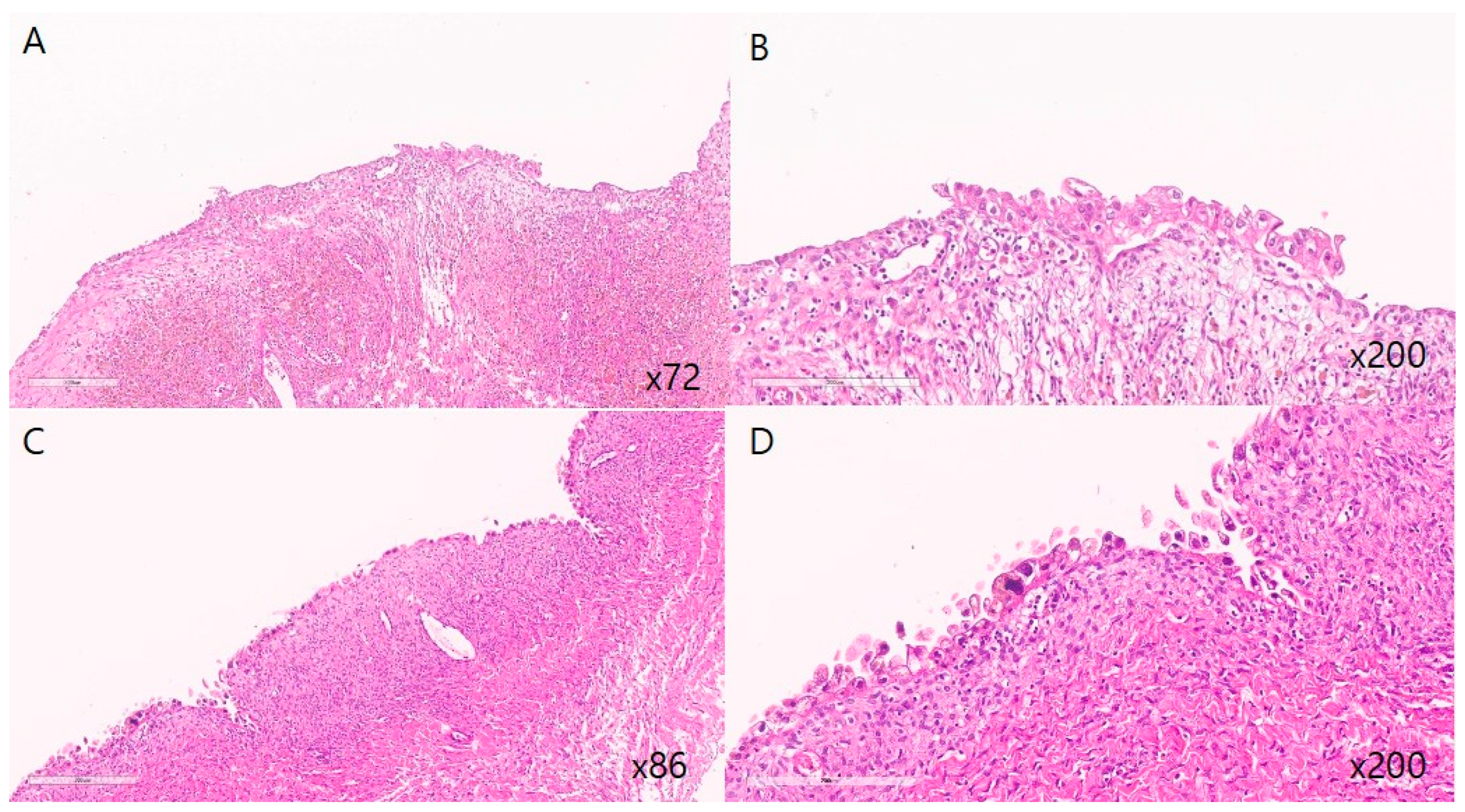
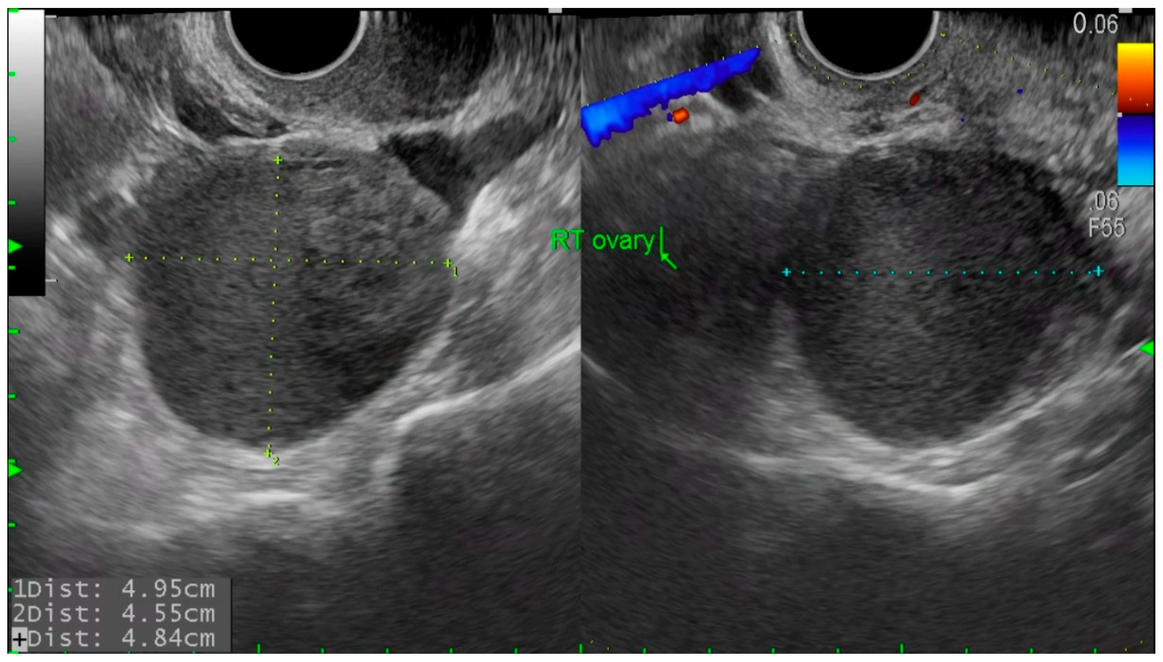
3.1. Patient Characteristics
Baseline Clinical Features
3.2. Recurrence Outcomes
3.2.1. Recurrence and Reoperation
3.2.2. Cumulative Recurrence Rates
3.3. Fertility Outcomes and Risk Factor Analysis
3.3.1. Pregnancy and IVF Outcomes
3.3.2. Risk Factors for Recurrence: Group Comparison
3.3.3. Risk Factors for Recurrence: Cox Regression Analysis
4. Discussion
Author Contributions
Funding
Institutional Review Board Statement
Informed Consent Statement
Data Availability Statement
Conflicts of Interest
References
- Vercellini, P.; Vigano, P.; Somigliana, E.; Fedele, L. Endometriosis: Pathogenesis and treatment. Nat. Rev. Endocrinol. 2014, 10, 261–275. [Google Scholar] [CrossRef]
- Taniguchi, F. New knowledge and insights about the malignant transformation of endometriosis. J. Obstet. Gynaecol. Res. 2017, 43, 1093–1100. [Google Scholar] [CrossRef]
- Mikami, Y. Endometriosis-related ovarian neoplasm: Pathogenesis and histopathologic features. Diagn. Histopathol. 2014, 20, 357–363. [Google Scholar] [CrossRef]
- Munksgaard, P.S.; Blaakaer, J. The association between endometriosis and ovarian cancer: A review of histological, genetic and molecular alterations. Gynecol. Oncol. 2012, 124, 164–169. [Google Scholar] [CrossRef] [PubMed]
- LaGrenade, A.; Silverberg, S.G. Ovarian tumors associated with atypical endometriosis. Hum. Pathol. 1988, 19, 1080–1084. [Google Scholar] [CrossRef]
- Somigliana, E.; Vigano, P.; Parazzini, F.; Stoppelli, S.; Giambattista, E.; Vercellini, P. Association between endometriosis and cancer: A comprehensive review and a critical analysis of clinical and epidemiological evidence. Gynecol. Oncol. 2006, 101, 331–341. [Google Scholar] [CrossRef] [PubMed]
- Wei, J.J.; William, J.; Bulun, S. Endometriosis and ovarian cancer: A review of clinical, pathologic, and molecular aspects. Int. J. Gynecol. Pathol. 2011, 30, 553–556. [Google Scholar] [CrossRef]
- Somigliana, E.; Li Piani, L.; Paffoni, A.; Salmeri, N.; Orsi, M.; Benaglia, L.; Vercellini, P.; Vigano’, P. Endometriosis and IVF treatment outcomes: Unpacking the process. Reprod. Biol. Endocrinol. 2023, 21, 107. [Google Scholar] [CrossRef]
- Somigliana, E.; Vigano, P.; Benaglia, L.; Busnelli, A.; Paffoni, A.; Vercellini, P. Ovarian stinulation and endometriosis progression or recurrence: A systematic review. Reprod. Biomed. Online 2019, 38, 185–194. [Google Scholar] [CrossRef]
- Vassard, D.; Schmidt, L.; Glazer, C.H.; Forman, J.L.; Kamper-Jorgensen, M.; Pinborg, A. Assisted reproductive technology treatment and risk of ovarian cancer-a nationwide population-based cohort study. Hum. Reprod. 2019, 34, 2290–2296. [Google Scholar] [CrossRef]
- Won, S.; Cho, Y.J.; Lee, N.; Kim, M.; Kim, M.K.; Jung, Y.W.; Yun, B.S.; Seong, S.J.; Hur, J.; Kim, M.-L. Atypical endometriosis is related to a higher recurrence rate. Eur. J. Obstet. Gynecol. Reprod. Biol. 2020, 254, 44–51. [Google Scholar] [CrossRef]
- Capozzi, V.A.; Scarpelli, E.; dell’Omo, S.; Rolla, M.; Pezzani, A.; Morganelli, G.; Gaiano, M.; Ghi, T.; Berretta, R. Atypical endometriosis: A comprehensive systematic review of pathological patterns and diagnostic challenges. Biomedicines 2024, 12, 1209. [Google Scholar] [CrossRef]
- Mais, V.; Guerriero, S.; Ajossa, S.; Angiolucci, M.; Paoletti, A.M.; Melis, G.B. The efficiency of transvaginal ultrasonography in the diagnosis of endometrioma. Fertil. Steril. 1993, 60, 776–780. [Google Scholar] [CrossRef]
- Kikuchi, I.; Takeuchi, H.; Kitade, M.; Shimanuki, H.; Kumakiri, J.; Kinoshita, K. Recurrence rate of endometriomas following a laparoscopic cystectomy. Acta Obstet. Gynecol. Scand. 2006, 85, 1120–1124. [Google Scholar] [CrossRef]
- Koga, K.; Takemura, Y.; Osuga, Y.; Yoshino, O.; Hirota, Y.; Hirata, T.; Morimoto, C.; Harada, M.; Yano, T.; Taketani, Y. Recurrence of ovarian endometrioma after laparoscopic excision. Hum. Reprod. 2006, 21, 2171–2174. [Google Scholar] [CrossRef]
- Brinton, L.A.; Sakoda, L.C.; Sherman, M.E.; Frederiksen, K.; Kjaer, S.K.; Graubard, B.I.; Olsen, J.H.; Mellemkjaer, L. Relationship of benign gynecologic diseases to subsequent risk of ovarian and uterine tumors. Cancer Epidemiol. Biomark. Prev. 2005, 14, 2929–2935. [Google Scholar] [CrossRef] [PubMed]
- Kobayashi, H.; Sumimoto, K.; Moniwa, N.; Imai, M.; Takakura, K.; Kuromaki, T.; Morioka, E.; Arisawa, K.; Terao, T. Risk of developing ovarian cancer among women with ovarian endometrioma: A cohort study in Shizuoka, Japan. Int. J. Gynecol. Cancer 2007, 17, 37–43. [Google Scholar] [CrossRef] [PubMed]
- Ness, R.B.; Cramer, D.W.; Goodman, M.T.; Kjaer, S.K.; Mallin, K.; Mosgaard, B.J.; Purdie, D.M.; Risch, H.A.; Vergona, R.; Wu, A.H. Infertility, fertility drugs, and ovarian cancer: A pooled analysis of case-control studies. Am. J. Epidemiol. 2002, 155, 217–224. [Google Scholar] [CrossRef]
- Borgfeldt, C.; Andolf, E. Cancer risk after hospital discharge diagnosis of benign ovarian cysts and endometriosis. Acta Obstet. Gynecol. Scand. 2004, 83, 395–400. [Google Scholar] [CrossRef] [PubMed]
- Modugno, F.; Ness, R.B.; Allen, G.O.; Schildkraut, J.M.; Davis, F.G.; Goodman, M.T. Oral contraceptive use, reproductive history, and risk of epithelial ovarian cancer in women with and without endometriosis. Am. J. Obstet. Gynecol. 2004, 191, 733–740. [Google Scholar] [CrossRef]
- Rossing, M.A.; Cushing-Haugen, K.L.; Wicklund, K.G.; Doherty, J.A.; Weiss, N.S. Risk of epithelial ovarian cancer in relation to benign ovarian conditions and ovarian surgery. Cancer Causes Control 2008, 19, 1357–1364. [Google Scholar] [CrossRef]
- Kobayashi, H.; Sumimoto, K.; Kitanaka, T.; Yamada, Y.; Sado, T.; Sakata, M.; Yoshida, S.; Kawaguchi, R.; Kanayama, S.; Shigetomi, H.; et al. Ovarian endometrioma--risks factors of ovarian cancer development. Eur. J. Obstet. Gynecol. Reprod. Biol. 2008, 138, 187–193. [Google Scholar] [CrossRef]
- Vercellini, P.; Parazzini, F.; Bolis, G.; Carinelli, S.; Dindelli, M.; Vendola, N.; Luchini, L.; Crosignani, P.G. Endometriosis and ovarian cancer. Am. J. Obstet. Gynecol. 1993, 169, 181–182. [Google Scholar] [CrossRef]
- Sainz de la Cuesta, R.; Eichhorn, J.H.; Rice, L.W.; Fuller AFJr Nikrui, N.; Goff, B.A. Histologic transformation of benign endometriosis to early epithelial ovarian cancer. Gynecol. Oncol. 1996, 60, 238–244. [Google Scholar] [CrossRef]
- Toki, T.; Fujii, S.; Silverberg, S.G. A clinicopathologic study on the association of endometriosis and carcinoma of the ovary using a scoring system. Int. J. Gynecol. Cancer 1996, 6, 68–75. [Google Scholar] [CrossRef]
- Shigetomi, H.; Tsunemi, T.; Haruta, S.; Kajihara, H.; Yoshizawa, Y.; Tanase, Y.; Furukawa, N.; Yoshida, S.; Sado, T.; Kobayashi, H. Molecular mechanisms linking endometriosis under oxidative stress with ovarian tumorigenesis and therapeutic modalities. Cancer Investig. 2012, 30, 473–480. [Google Scholar] [CrossRef] [PubMed]
- Wiegand, K.C.; Shah, S.P.; Al-Agha, O.M.; Zhao, Y.; Tse, K.; Zeng, T.; Senz, J.; McConechy, M.K.; Anglesio, M.S.; Kalloger, S.E.; et al. ARID1A mutations in endometriosis-associated ovarian carcinomas. N. Engl. J. Med. 2010, 363, 1532–1543. [Google Scholar] [CrossRef]
- McConechy, M.K.; Ding, J.; Senz, J.; Yang, W.; Melnyk, N.; Tone, A.A.; Prentice, L.M.; Wiegand, K.C.; McAlpine, J.N.; Shah, S.P.; et al. Ovarian and endometrial endometrioid carcinomas have distinct CTNNB1 and PTEN mutation profiles. Mod. Pathol. 2014, 27, 128–134. [Google Scholar] [CrossRef]
- Matsumoto, T.; Yamazaki, M.; Takahashi, H.; Kajita, S.; Suzuki, E.; Tsuruta, T.; Saegusa, M. Distinct β-catenin and PIK3CA mutation profiles in endometriosis-associated ovarian endometrioid and clear cell carcinomas. Am. J. Clin. Pathol. 2015, 144, 452–463. [Google Scholar] [CrossRef] [PubMed]
- Catasús, L.; Bussaglia, E.; Rodrguez, I.; Gallardo, A.; Pons, C.; Irving, J.A.; Prat, J. Molecular genetic alterations in endometrioid carcinomas of the ovary: Similar frequency of beta-catenin abnormalities but lower rate of microsatellite instability and PTEN alterations than in uterine endometrioid carcinomas. Hum. Pathol. 2004, 35, 1360–1368. [Google Scholar] [CrossRef]
- Sato, N.; Tsunoda, H.; Nishida, M.; Morishita, Y.; Takimoto, Y.; Kubo, T.; Noguchi, M. Loss of heterozygosity on 10q23.3 and mutation of the tumor suppressor gene PTEN in benign endometrial cyst of the ovary: Possible sequence progression from benign endometrial cyst to endometrioid carcinoma and clear cell carcinoma of the ovary. Cancer Res. 2000, 60, 7052–7056. [Google Scholar]
- Varma, R.; Rollason, T.; Gupta, J.K.; Maher, E.R. Endometriosis and the neoplastic process. Reproduction 2004, 127, 293–304. [Google Scholar] [CrossRef] [PubMed]
- Králíčková, M.; Laganà, A.S.; Ghezzi, F.; Vetvicka, V. Endometriosis and risk of ovarian cancer: What do we know? Arch. Gynecol. Obstet. 2020, 301, 1–10. [Google Scholar] [CrossRef]
- Diergaarde, B.; Kurta, M.L. Use of fertility drugs and risk of ovarian cancer. Curr. Opin. Obstet. Gynecol. 2014, 26, 125–129. [Google Scholar] [CrossRef][Green Version]
- Fathalla, M.F. Incessant ovulation-a factor in ovarian neoplasia? Lancet 1971, 2, 163. [Google Scholar] [CrossRef]
- Gasagrande, J.T.; Louie, E.W.; Pike, M.C.; Roy, S.; Ross, R.K.; Henderson, B.E. “Incessant ovulation” and ovarian cancer. Lancet 1979, 2, 170–173. [Google Scholar] [CrossRef]
- Mohle, J.; Whittemore, A.; Pike, M.; Darby, S. Gonadotrophins and ovarian cancer risk. J. Natl. Cancer Inst. 1985, 75, 178–180. [Google Scholar] [PubMed]
- Rossing, M.A.; Tang, M.T.; Flagg, E.W.; Weiss, L.K.; Wicklund, K.G. A case-control study of ovarian cancer in relation to infertility and the use of ovulation-inducing drugs. Am. J. Epidemiol. 2004, 160, 1070–1078. [Google Scholar] [CrossRef]
- Brinton, L.A.; Lamb, E.J.; Moghissi, K.S.; Scoccia, B.; Althuis, M.D.; Mabie, J.E.; Westhoff, C.L. Ovarian cancer risk after the use of ovulation-stinulating drugs. Obstet. Gynecol. 2004, 103, 1194–1203. [Google Scholar] [CrossRef]
- Jensen, A.; Sharif, H.; Frederiksen, K.; Kjaer, S.K. Use of fertility drugs and risk of ovarian cancer: Danish population based cohort study. BMJ 2009, 338, b249. [Google Scholar] [CrossRef] [PubMed]



| Baseline Characteristics | Mean ± SD (Median, Range)/n (%) |
|---|---|
| Age at surgery (years) 1 | 34.0 ± 6.3 (33, 16–50) |
| Parity 2 | |
| Nulliparous | 75 (71.4%) |
| Parous | 30 (28.6%) |
| Body mass index (kg/m2) 1 | 21.4 ± 4.1 (20.3, 15.1–47.2) |
| Size of ovarian cyst(s) (cm) 1 | 8.0 ± 3.9 (6.9, 3.0–26.0) |
| Duration of follow-up (months) 1 | 40.9 ± 34.8 (29, 3–143) |
| Preoperative CA125 (n = 93) 1 | 67.8 ± 72.6 (44.8, 3.6–575.7) |
| Preoperative AMH (n = 67) 1 | 3.24 ± 2.68 (2.81, 0.11–10.19) |
| Previous history of endometrioma operation 2 | |
| No | 97 (92.4%) |
| Yes | 8 (7.6%) |
| Laterality 2 | |
| Unilateral | 72 (68.6%) |
| Bilateral | 33 (31.4%) |
| Cyst nature 2 | |
| Unilocular | 62 (59.0%) |
| Multilocular | 43 (41.0%) |
| Cul-de-sac obliteration 3 | |
| None | 40 (38.1%) |
| Partial | 32 (30.5%) |
| Complete | 33 (31.4%) |
| rASRM stage 2 | |
| Stage III | 54 (51.4%) |
| Stage IV | 51 (48.6%) |
| Operation method 2 | |
| Ovarian cystectomy | 101 (96.2%) |
| Oophorectomy | 4 (3.8%) |
| Surgical approach | |
| Conventional laparoscopy | 82 (78.1%) |
| Robot-assisted laparoscopy | 21 (20.0%) |
| Open laparotomy | 2 (1.9%) |
| Medication duration 3 | |
| None | 21 (20.0%) |
| <6 Mo | 12 (11.4%) |
| ≥6–<12 Mo | 16 (15.2%) |
| ≥12–<24 Mo | 29 (27.6%) |
| ≥24 Mo | 27 (25.7%) |
| Duration of postoperative hormonal treatment (months) 1 | 19.3 ± 24.4 (12, 0–143) |
| Subsequent pregnancy 3 | |
| No plan for pregnancy | 69 (65.7%) |
| No pregnancy | 11 (10.5%) |
| Confirmed pregnancy | 25 (23.8%) |
| Mode of pregnancy (n = 25) 2 | |
| Natural | 13 (52%) |
| IVF | 12 (48%) |
| Recurrence after previous operation 2 | 19 (18.1%) |
| Time to recurrence (months) (n = 19) 1 | 25.8 ± 23.6 (18, 3–94) |
| Characteristics | No Recurrence (n = 86) | Recurrence (n = 19) | p-Value |
|---|---|---|---|
| Age at surgery (years) 1 | 34.0 ± 6.6 (33, 16–50) | 33.7 ± 4.8 (33, 26–43) | 0.967 |
| Parity 2 | 0.269 | ||
| Nulliparous | 63 (73.3%) | 12 (63.2%) | |
| Parous | 23 (26.7%) | 7 (36.8%) | |
| Body mass index (kg/m2) 1 | 21.6 ± 4.3 (20.4, 15.1–47.2) | 20.7 ± 9.0 (20.3, 17.0–29.3) | 0.403 |
| Size of ovarian cyst(s) (cm) 1 | 8.0 ± 3.7 (7.0, 3.6–26.0) | 8.1 ± 4.8 (6.0, 3.0–23.6) | 0.699 |
| Duration of follow-up (months) 1 | 36.5 ± 33.3 (25, 4–143) | 63.3 ± 34.3 (54, 20–128) | 0.001 |
| Preoperative CA125 (n = 93) 1 | 65.4 ± 76.0 (43.9, 3.6–575.7) | 79.5 ± 54.2 (70.1, 15.7–203.2) | 0.171 |
| Preoperative AMH (n = 67) 1 | 3.27 ± 2.73 (2.71, 0.11–10.19) | 3.07 ± 2.42 (2.95, 0.42–7.08) | 0.956 |
| Previous history of endometrioma operation2 | 0.005 | ||
| No | 83 (96.5%) | 14 (73.7%) | |
| Yes | 3 (3.5%) | 5 (26.3%) | |
| Laterality 2 | 0.379 | ||
| Unilateral | 60 (69.8%) | 12 (63.2%) | |
| Bilateral | 26 (30.2%) | 7 (36.8%) | |
| Cyst nature 2 | 0.353 | ||
| Unilocular | 52 (60.5%) | 10 (52.6%) | |
| Multilocular | 34 (39.5%) | 9 (47.4%) | |
| Cul-de-sac obliteration 3 | 0.022 | ||
| None | 36 (41.9%) | 4 (21.1%) | |
| Partial | 28 (32.5%) | 4 (21.1%) | |
| Complete | 22 (25.6%) | 11(57.8%) | |
| rASRM stage 2 | 0.003 | ||
| Stage III | 50 (58.1%) | 4 (21.1%) | |
| Stage IV | 36 (41.9%) | 15 (78.9%) | |
| Operation method 2 | 0.444 | ||
| Ovarian cystectomy | 82 (95.3%) | 19 (100%) | |
| Oophorectomy | 4 (4.7%) | 0 (0%) | |
| Medication duration 3 | 0.772 | ||
| None | 17 (19.8%) | 4 (21.1%) | |
| <6 Mo | 10 (11.6%) | 2 (10.5%) | |
| ≥6–<12 Mo | 14 (16.3%) | 2 (10.5%) | |
| ≥12–<24 Mo | 25 (29.1%) | 4 (21.1%) | |
| ≥24 Mo | 20 (23.2%) | 7 (36.8%) | |
| Duration of postoperative hormonal treatment (months) 1 | 18.4 ± 24.6 (12, 0–143) | 23.2 ± 23.4 (20, 0–88) | 0.308 |
| Subsequent pregnancy 3 | 0.403 | ||
| No plan for pregnancy | 59 (68.6%) | 10 (52.6%) | |
| No pregnancy | 8 (9.3%) | 3 (15.8%) | |
| Confirmed pregnancy | 19 (22.1%) | 6 (31.6%) | |
| Mode of pregnancy (n = 25) 2 | 0.555 | ||
| Natural | 12 (63.2%) | 3 (50.0%) | |
| IVF | 7 (36.8%) | 3 (50.0%) | |
| IVF trial for pregnancy (including no plan for pregnancy) 2 | 0.227 | ||
| No | 76 (88.4%) | 15 (78.9%) | |
| Yes | 10 (11.6%) | 4 (21.1%) |
| Risk Factors for Recurrence | Univariable HR (95% CI) | p-Value | Multivariable HR (95% CI) | p-Value |
|---|---|---|---|---|
| Age | 0.996 (0.924–1.074) | 0.923 | ||
| Parous (vs. nulliparous) | 1.354 (0.529–3.468) | 0.527 | ||
| BMI | 0.966 (0.847–1.101) | 0.603 | ||
| Size of ovarian cyst(s) | 1.024 (0.915–1.146) | 0.680 | ||
| Preoperative CA125 | 1.001 (0.997–1.006) | 0.586 | ||
| Preoperative AMH | 0.955 (0.748–1.219) | 0.710 | ||
| Previous endo op (vs. no previous op) | 5.833 (1.986–17.127) | 0.001 | 4.449 (1.368–14.472) | 0.013 |
| Bilateral (vs. unilateral) | 1.002 (0.393–2.555) | 0.997 | ||
| Multilocular (vs. unilocular) | 2.152 (0.850–5.447) | 0.106 | 1.757 (0.629–4.911) | 0.283 |
| CDS obliteration | 0.014 | 0.728 | ||
| None | 1.0 | 1.0 | ||
| Partial | 1.096 (0.273–4.401) | 0.898 | 0.564 (0.137–2.327) | 0.429 |
| Complete | 4.121 (1.307–12.994) | 0.016 | 0.702 (0.162–3.035) | 0.635 |
| rASRM stage IV (vs. III) | 4.138 (1.370–12.494) | 0.012 | 2.135 (0.524–8.698) | 0.290 |
| Oophorectomy (vs. cystectomy) | 21.177 (0.000–6960792.275) | 0.638 | 4.449 (1.368–14.472) | 0.013 |
| Medication duration | 0.910 | |||
| None | 1.0 | |||
| <6 Mo | 0.609 (0.110–3.384) | 0.571 | ||
| ≥6–<12 Mo | 1.079 (0.194–5.995) | 0.930 | ||
| ≥12–<24 Mo | 0.589 (0.147–2.363) | 0.456 | ||
| ≥24 Mo | 0.652 (0.185–2.293) | 0.505 | ||
| Duration of postoperative hormonal treatment | 0.993 (0.977–1.010) | 0.430 | ||
| Subsequent pregnancy | 0.407 | |||
| No plan for pregnancy | 1.0 | |||
| No pregnancy | 2.275 (0.622–8.327) | 0.214 | ||
| Confirmed pregnancy | 1.548 (0.560–4.275) | 0.399 | ||
| Postop pregnancy (vs. no postop pregnancy) | 1.350 (0.511–3.567) | 0.545 | ||
| IVF trial for pregnancy (vs. no IVF trial) | 2.033 (0.659–6.268) | 0.217 |
| No. | Age at Surgery (Yr) | Parity | Tumor Size (cm) | Surgical Treatment | Subsequent Treatment | Time to Pregnancy (Months) | Pregnancy Methods | Delivery Weeks | Pregnancy Outcome | Recurrent Disease | Time to Recurrence (Months) | Recurrent Operation |
|---|---|---|---|---|---|---|---|---|---|---|---|---|
| 1 | 34 | 0 | 4.7 | L/S LOCE | No | 34 | IVF | Ongoing pregnancy | X | |||
| 2 | 31 | 0 | 6 | L/S LOCE | GnRHa | 90 | Natural | Ongoing pregnancy | O | 94 | ||
| 3 | 31 | 0 | 5 | L/S LOCE | GnRHa | 8 | Natural | NSVD | X | |||
| 4 | 36 | 1 | 5.7 | L/S ROCE | No | 3 | IVF | Ongoing pregnancy | X | |||
| 5 | 33 | 0 | 7.4/4.6 | L/S BOCE | No | 17 | Natural | Ongoing pregnancy | X | |||
| 6 | 32 | 1 | 4.5 | L/S LOCE | GnRHa | 84 | Natural | AA | O | 24 | L/S BOCE | |
| 7 | 40 | 1 | 6.9 | L/S LOCE | No | 1 | Natural | Full-term | C/S | X | ||
| 8 | 30 | 0 | 8.8 | L/S ROCE | No | 2 | IVF | 38 + 6 | C/S | X | ||
| 9 | 36 | 0 | 3 | L/S LOCE | No | 13 | IVF | 39 + 2 | C/S | O | 37 | |
| 10 | 29 | 0 | 6.5 | L/S LOCE | GnRHa | 21 | Natural | 39 + 6 | NSVD | X | ||
| 11 | 33 | 0 | 8.4/5.8 | L/S BOCE | No | 7 38 | IVF Natural | Full-term 38 + 2 | NSVD NSVD | X | ||
| 12 | 30 | 0 | 6.2 | Robotic LOCE | No | 8 26 | IVF Natural | Full-term Full-term | C/S C/S | X | ||
| 13 | 28 | 0 | 5.4 | L/S ROCE | No | 19 58 | Natural, Natural | 35 + 6, 36 + 6 | PSVD, PSVD | X | ||
| 14 | 32 | 0 | 4.2 | L/S ROCE | No | 3 | Natural | 40 | NSVD | X | ||
| 15 | 30 | 0 | 10.5/1.7 | L/S BOCE | No | 2 | Natural | Abortion | X | |||
| 16 | 30 | 1 | 7.9 | L/S ROCE | No | 13 | Natural | 38 + 2 | C/S | X | ||
| 17 | 34 | 0 | 6.1/1.3 | L/S ROCE, LOC aspiration | No | 17 | IVF | Ongoing pregnancy | X | |||
| 18 | 34 | 5 | L/S LOCE | GnRHa | 26 | Natural | 39 + 2 | C/S | X | |||
| 19 | 32 | 1 | 5.2 | L/S LOCE | No | 3 | Natural | Full-term | C/S | X | ||
| 20 | 34 | 0 | 4.1 | Robotic ROCE | GnRHa | 12 | IVF | 38 | C/S | X | ||
| 21 | 33 | 0 | 6.2 | L/S LOCE | No | 17 | Natural | Full-term | C/S | X | ||
| 22 | 32 | 0 | 6.6/5.4 | L/S BOCE | No | 7 | Natural | 37 + 3 | C/S | O | 48 | L/S BOCE |
| 23 | 31 | 0 | 5.2 | L/S LOCE | No | 8 | No data | Abortion | X | |||
| 24 | 32 | 0 | 8.1/6.6 | L/S BOCE | No | 43 | IVF | Full-term | C/S | O | 7 | |
| 25 | 27 | 0 | 5.9/2 | L/S BOCE | GnRHa | 40 | IVF | Full-term | C/S | O | 23 |
Disclaimer/Publisher’s Note: The statements, opinions and data contained in all publications are solely those of the individual author(s) and contributor(s) and not of MDPI and/or the editor(s). MDPI and/or the editor(s) disclaim responsibility for any injury to people or property resulting from any ideas, methods, instructions or products referred to in the content. |
© 2025 by the authors. Licensee MDPI, Basel, Switzerland. This article is an open access article distributed under the terms and conditions of the Creative Commons Attribution (CC BY) license (https://creativecommons.org/licenses/by/4.0/).
Share and Cite
Choi, S.H.; Shim, S.H.; Won, S.; Lee, N.; Kim, M.K.; Kim, B.W.; Jung, Y.W.; Seong, S.J.; Noh, S.; Kim, M.-L. Clinical Investigation of Recurrence, Oncological, and Obstetrical Outcomes in Patients with Ovarian Atypical Endometriosis. J. Clin. Med. 2025, 14, 5656. https://doi.org/10.3390/jcm14165656
Choi SH, Shim SH, Won S, Lee N, Kim MK, Kim BW, Jung YW, Seong SJ, Noh S, Kim M-L. Clinical Investigation of Recurrence, Oncological, and Obstetrical Outcomes in Patients with Ovarian Atypical Endometriosis. Journal of Clinical Medicine. 2025; 14(16):5656. https://doi.org/10.3390/jcm14165656
Chicago/Turabian StyleChoi, Su Hyeon, So Hyun Shim, Seyeon Won, Nara Lee, Mi Kyoung Kim, Bo Wook Kim, Yong Wook Jung, Seok Ju Seong, Songmi Noh, and Mi-La Kim. 2025. "Clinical Investigation of Recurrence, Oncological, and Obstetrical Outcomes in Patients with Ovarian Atypical Endometriosis" Journal of Clinical Medicine 14, no. 16: 5656. https://doi.org/10.3390/jcm14165656
APA StyleChoi, S. H., Shim, S. H., Won, S., Lee, N., Kim, M. K., Kim, B. W., Jung, Y. W., Seong, S. J., Noh, S., & Kim, M.-L. (2025). Clinical Investigation of Recurrence, Oncological, and Obstetrical Outcomes in Patients with Ovarian Atypical Endometriosis. Journal of Clinical Medicine, 14(16), 5656. https://doi.org/10.3390/jcm14165656

