Pathologically Confirmed Dual Coronavirus Disease 2019-Associated Tracheobronchial Aspergillosis and Pulmonary Mucormycosis in a Non-Endemic Region: A Case Report
Abstract
1. Introduction
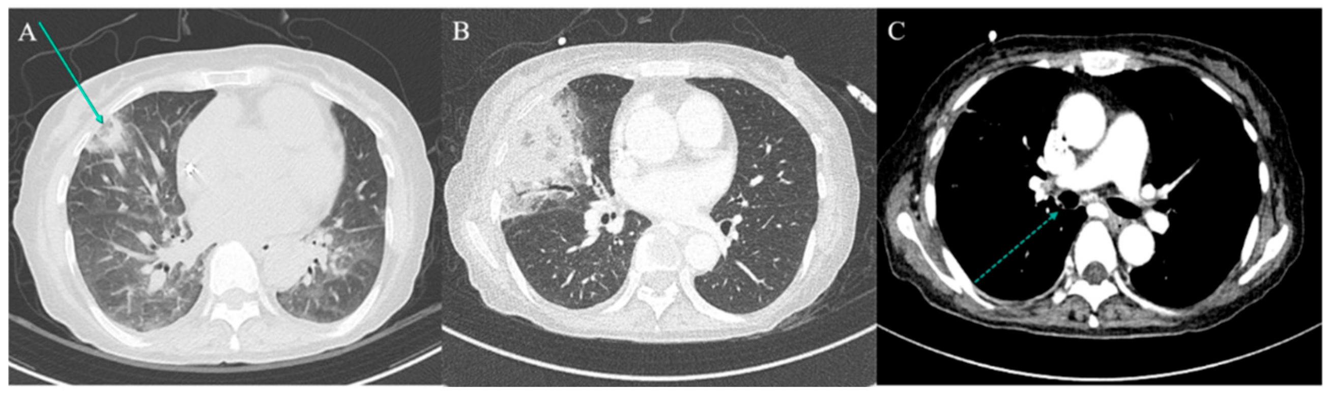
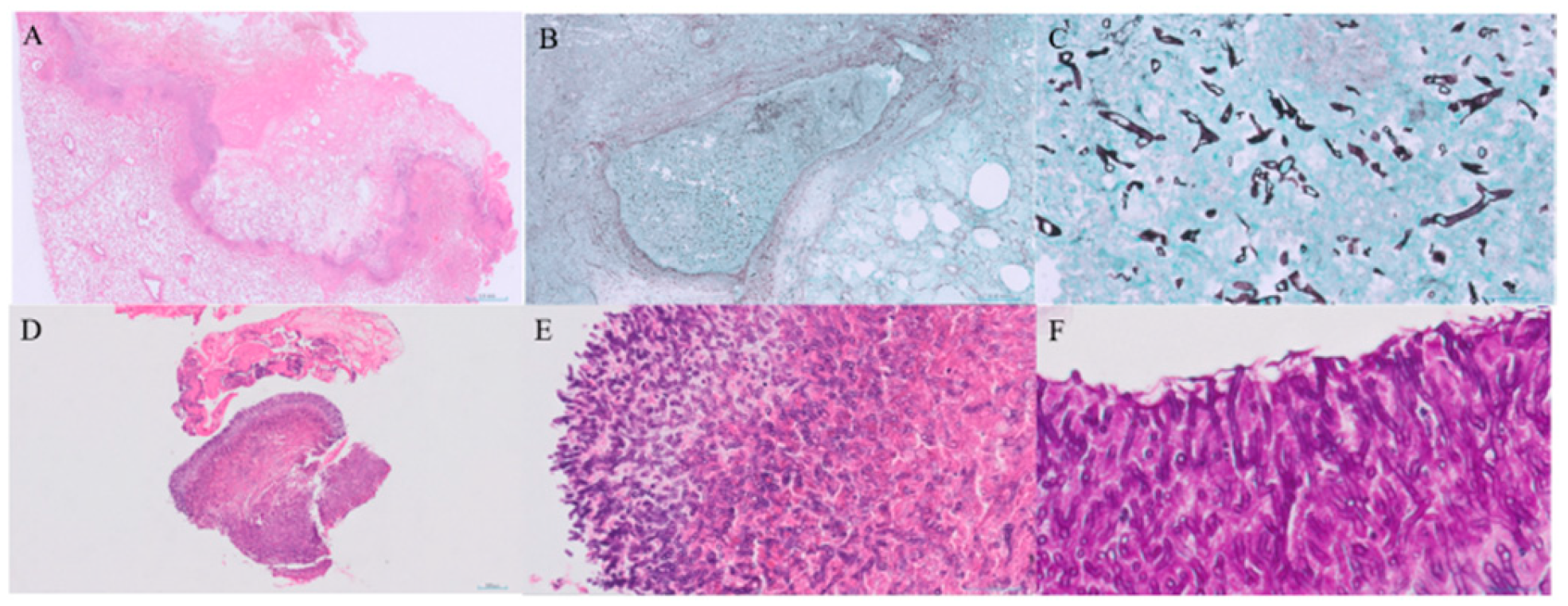
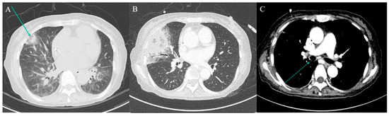
2. Case Presentation
3. Discussion and Conclusions
Supplementary Materials
Author Contributions
Funding
Institutional Review Board Statement
Informed Consent Statement
Data Availability Statement
Conflicts of Interest
Abbreviations
| BAL | Bronchoalveolar lavage |
| CAM | COVID-19-associated mucormycosis |
| CAPA | COVID-19-associated pulmonary aspergillosis |
| COVID-19 | Coronavirus disease 2019 |
| CT | Computed tomography |
| HSCT | Haematopoietic stem cell transplantation |
| IFI | Invasive fungal infection |
| MDS-IB-2 | Myelodysplastic syndrome with increased blasts 2 |
| PTD | Post-transplant day |
| TBA | Tracheobronchial aspergillosis |
| TP53 | Tumour protein p53 |
| PCR | Polymerase chain reaction |
| qPCR | Quantitative polymerase chain reaction |
| RT-PCR | Reverse transcription-polymerase chain reaction |
| RQ-PCR | Real-time quantitative polymerase chain reaction |
| SARS-CoV-2 | severe acute respiratory syndrome coronavirus 2 |
References
- Wauters, J.; Baar, I.; Meersseman, P.; Meersseman, W.; Dams, K.; De Paep, R.; Lagrou, K.; Wilmer, A.; Jorens, P.; Hermans, G. Invasive pulmonary aspergillosis is a frequent complication of critically ill H1N1 patients: A retrospective study. Intensive Care Med. 2012, 38, 1761–1768. [Google Scholar] [CrossRef]
- Crum-Cianflone, N.F. Invasive Aspergillosis Associated with Severe Influenza Infections. Open Forum Infect. Dis. 2016, 3, ofw171. [Google Scholar] [CrossRef]
- Schauwvlieghe, A.; Rijnders, B.J.A.; Philips, N.; Verwijs, R.; Vanderbeke, L.; Van Tienen, C.; Lagrou, K.; Verweij, P.E.; Van de Veerdonk, F.L.; Gommers, D.; et al. Invasive aspergillosis in patients admitted to the intensive care unit with severe influenza: A retrospective cohort study. Lancet Respir. Med. 2018, 6, 782–792. [Google Scholar] [CrossRef] [PubMed]
- Lee, J.Y.; Joo, E.J.; Yeom, J.S.; Song, J.U.; Yim, S.H.; Shin, D.S.; Yu, J.H.; Ju, D.Y.; Yim, J.W.; Song, Y.S.; et al. Aspergillus Tracheobronchitis and Influenza A Co-infection in a Patient with AIDS and Neutropenia. Infect. Chemother. 2014, 46, 209–215. [Google Scholar] [CrossRef] [PubMed]
- Koehler, P.; Bassetti, M.; Chakrabarti, A.; Chen, S.C.A.; Colombo, A.L.; Hoenigl, M.; Klimko, N.; Lass-Florl, C.; Oladele, R.O.; Vinh, D.C.; et al. Defining and managing COVID-19-associated pulmonary aspergillosis: The 2020 ECMM/ISHAM consensus criteria for research and clinical guidance. Lancet Infect. Dis. 2021, 21, e149–e162. [Google Scholar] [CrossRef] [PubMed]
- Lee, R.; Kim, W.B.; Cho, S.Y.; Nho, D.; Park, C.; Chun, H.S.; Myong, J.P.; Lee, D.G. Genetic relationships of Aspergillus fumigatus in hospital settings during COVID-19. Microbiol. Spectr. 2025, 13, e0190224. [Google Scholar] [CrossRef]
- Singh, S.; Verma, N.; Kanaujia, R.; Chakrabarti, A.; Rudramurthy, S.M. Mortality in critically ill patients with coronavirus disease 2019-associated pulmonary aspergillosis: A systematic review and meta-analysis. Mycoses 2021, 64, 1015–1027. [Google Scholar] [CrossRef]
- Lee, R.; Cho, S.Y.; Lee, D.G.; Ahn, H.; Choi, H.; Choi, S.M.; Choi, J.K.; Choi, J.H.; Kim, S.Y.; Kim, Y.J.; et al. Risk factors and clinical impact of COVID-19-associated pulmonary aspergillosis: Multicenter retrospective cohort study. Korean J. Intern. Med. 2022, 37, 851–863. [Google Scholar] [CrossRef]
- Joshi, S.; Telang, R.; Tambe, M.; Havaldar, R.; Sane, M.; Shaikh, A.; Roy, C.; Yathati, K.; Sonawale, S.; Borkar, R.; et al. Outbreak of Mucormycosis in Coronavirus Disease Patients, Pune, India. Emerg. Infect. Dis. 2022, 28, 1–8. [Google Scholar] [CrossRef]
- Muthu, V.; Agarwal, R.; Rudramurthy, S.M.; Thangaraju, D.; Shevkani, M.R.; Patel, A.K.; Shastri, P.S.; Tayade, A.; Bhandari, S.; Gella, V.; et al. Prevalence of co-existent COVID-19-associated pulmonary aspergillosis (CAPA) and its impact on early mortality in patients with COVID-19-associated pulmonary mucormycosis (CAPM). Mycoses 2024, 67, e13745. [Google Scholar] [CrossRef]
- Sasani, E.; Pakdel, F.; Khodavaisy, S.; Salehi, M.; Salami, A.; Sohrabi, M.; Aminishakiba, P.; Amirafzali, I.; Salami Khaneshan, A. Mixed Aspergillosis and Mucormycosis Infections in Patients with COVID-19: Case Series and Literature Review. Mycopathologia 2024, 189, 10. [Google Scholar] [CrossRef] [PubMed]
- Bassetti, M.; Giacobbe, D.R.; Agvald-Ohman, C.; Akova, M.; Alastruey-Izquierdo, A.; Arikan-Akdagli, S.; Azoulay, E.; Blot, S.; Cornely, O.A.; Cuenca-Estrella, M.; et al. Invasive Fungal Diseases in Adult Patients in Intensive Care Unit (FUNDICU): 2024 consensus definitions from ESGCIP, EFISG, ESICM, ECMM, MSGERC, ISAC, and ISHAM. Intensive Care Med. 2024, 50, 502–515. [Google Scholar] [CrossRef] [PubMed]
- Alqarihi, A.; Kontoyiannis, D.P.; Ibrahim, A.S. Mucormycosis in 2023: An update on pathogenesis and management. Front. Cell Infect. Microbiol. 2023, 13, 1254919. [Google Scholar] [CrossRef] [PubMed]
- Huang, S.F.; Ying-Jung Wu, A.; Shin-Jung Lee, S.; Huang, Y.S.; Lee, C.Y.; Yang, T.L.; Wang, H.W.; Chen, H.J.; Chen, Y.C.; Ho, T.S.; et al. COVID-19 associated mold infections: Review of COVID-19 associated pulmonary aspergillosis and mucormycosis. J. Microbiol. Immunol. Infect. 2023, 56, 442–454. [Google Scholar] [CrossRef]
- Lee, R.; Cho, S.Y.; Lee, D.G.; Nho, D. High-Dose Corticosteroid Use in Severe to Critically Ill Patients with COVID-19: A Nationwide Population-Based Matched Cohort Study. J. Korean Med. Sci. 2024, 39, e255. [Google Scholar] [CrossRef]
- Benhadid-Brahmi, Y.; Hamane, S.; Soyer, B.; Mebazaa, A.; Alanio, A.; Chousterman, B.; Bretagne, S.; Delliere, S. COVID-19-associated mixed mold infection: A case report of aspergillosis and mucormycosis and a literature review. J. Mycol. Med. 2022, 32, 101231. [Google Scholar] [CrossRef]
- Kim, J.H.; Kim, M.; Lim, S.; Park, S.Y.; Jegal, Y.; Lee, T.; Kang, B.J. A fatal case report of invasive pulmonary aspergillosis and mucormycosis coinfection in an immunocompetent patient with coronavirus disease 2019 in Korea. Acute Crit. Care 2023, 38, 382–388. [Google Scholar] [CrossRef]
- Popova, M.; Rogacheva, Y. Epidemiology of invasive fungal diseases in patients with hematological malignancies and haematopoietic cell transplantation recipients: Systematic review and meta-analysis of trends over time. J. Infect. Public Health 2025, 18, 102804. [Google Scholar] [CrossRef]
- Magira, E.E.; Jiang, Y.; Economides, M.; Tarrand, J.; Kontoyiannis, D.P. Mixed mold pulmonary infections in haematological cancer patients in a tertiary care cancer centre. Mycoses 2018, 61, 861–867. [Google Scholar] [CrossRef]
- Jung, J.; Kim, M.Y.; Lee, H.J.; Park, Y.S.; Lee, S.O.; Choi, S.H.; Kim, Y.S.; Woo, J.H.; Kim, S.H. Comparison of computed tomographic findings in pulmonary mucormycosis and invasive pulmonary aspergillosis. Clin. Microbiol. Infect. 2015, 21, 684.e11–684.e18. [Google Scholar] [CrossRef]
- Danion, F.; Coste, A.; Le Hyaric, C.; Melenotte, C.; Lamoth, F.; Calandra, T.; Garcia-Hermoso, D.; Aimanianda, V.; Lanternier, F.; Lortholary, O. What Is New in Pulmonary Mucormycosis? J. Fungi 2023, 9, 307. [Google Scholar] [CrossRef]
- Safiia, J.; Díaz, M.A.; Alshaker, H.; Atallah, C.J.; Sakr, P.; Moshovitis, D.G.; Nawlo, A.; Franceschi, A.E.; Liakos, A.; Koo, S. Recent Advances in Diagnostic Approaches for Mucormycosis. J. Fungi 2024, 10, 727. [Google Scholar] [CrossRef]
- Lee, S.-O. Diagnosis and Treatment of Invasive Mold Diseases. Infect. Chemother. 2023, 55, 10–21. [Google Scholar] [CrossRef]



Disclaimer/Publisher’s Note: The statements, opinions and data contained in all publications are solely those of the individual author(s) and contributor(s) and not of MDPI and/or the editor(s). MDPI and/or the editor(s) disclaim responsibility for any injury to people or property resulting from any ideas, methods, instructions or products referred to in the content. |
© 2025 by the authors. Licensee MDPI, Basel, Switzerland. This article is an open access article distributed under the terms and conditions of the Creative Commons Attribution (CC BY) license (https://creativecommons.org/licenses/by/4.0/).
Share and Cite
Oh, K.; Cho, S.-Y.; Lee, D.-G.; Nho, D.; Kim, D.Y.; Kweon, H.M.; Song, M.; Lee, R. Pathologically Confirmed Dual Coronavirus Disease 2019-Associated Tracheobronchial Aspergillosis and Pulmonary Mucormycosis in a Non-Endemic Region: A Case Report. J. Clin. Med. 2025, 14, 5526. https://doi.org/10.3390/jcm14155526
Oh K, Cho S-Y, Lee D-G, Nho D, Kim DY, Kweon HM, Song M, Lee R. Pathologically Confirmed Dual Coronavirus Disease 2019-Associated Tracheobronchial Aspergillosis and Pulmonary Mucormycosis in a Non-Endemic Region: A Case Report. Journal of Clinical Medicine. 2025; 14(15):5526. https://doi.org/10.3390/jcm14155526
Chicago/Turabian StyleOh, Keon, Sung-Yeon Cho, Dong-Gun Lee, Dukhee Nho, Dong Young Kim, Hye Min Kweon, Minseung Song, and Raeseok Lee. 2025. "Pathologically Confirmed Dual Coronavirus Disease 2019-Associated Tracheobronchial Aspergillosis and Pulmonary Mucormycosis in a Non-Endemic Region: A Case Report" Journal of Clinical Medicine 14, no. 15: 5526. https://doi.org/10.3390/jcm14155526
APA StyleOh, K., Cho, S.-Y., Lee, D.-G., Nho, D., Kim, D. Y., Kweon, H. M., Song, M., & Lee, R. (2025). Pathologically Confirmed Dual Coronavirus Disease 2019-Associated Tracheobronchial Aspergillosis and Pulmonary Mucormycosis in a Non-Endemic Region: A Case Report. Journal of Clinical Medicine, 14(15), 5526. https://doi.org/10.3390/jcm14155526

