Next Article in Journal
Inhaled Corticosteroids and Risk of Staphylococcus aureus Isolation in Bronchiectasis: A Register-Based Cohort Study
Next Article in Special Issue
Fixed-Bearing Versus Mobile-Bearing Prostheses in Total Ankle Arthroplasty: A Systematic Review and Meta-Analysis
Previous Article in Journal
Advancing DIEP Flap Surgery: Robotic-Assisted Harvest Reduces Pain and Narcotic Use
Previous Article in Special Issue
Muscle Activation and Mobility After Robotic Total Knee Arthroplasty: Insights from Early Postoperative Recovery
 
 
Font Type:
Arial Georgia Verdana
Font Size:
Aa Aa Aa
Line Spacing:
Column Width:
Background:
Article

Accuracy of ROSA Knee System in Bone Cuts Orientation During Total Knee Arthroplasty: An Observational Study

by
Stefano Petrillo
1,
Filippo Migliorini
2,3,*,
Giorgio Moretti
1 and
Sergio Romagnoli
1
1
Joint Replacement Department, IRCCS Galeazzi-Sant’Ambrogio Hospital, 20157 Milan, Italy
2
Department of Orthopaedic and Trauma Surgery, Academic Hospital of Bolzano (SABES-ASDAA), Via Lorenz Böhler 5, 39100 Bolzano, Italy
3
Department of Life Sciences, Health, and Health Professions, Link Campus University, Via del Casale di San Pio V, 00165 Rome, Italy
*
Author to whom correspondence should be addressed.
J. Clin. Med. 2025, 14(15), 5205; https://doi.org/10.3390/jcm14155205
Submission received: 20 June 2025 / Revised: 18 July 2025 / Accepted: 19 July 2025 / Published: 23 July 2025

Abstract

Background: The ROSA Knee System (Zimmer Biomet, Warsaw, IN, USA) is a robotic system aiming to increase bone resections and component alignment accuracy during TKA. While much is known about its performance in the coronal plane, its accuracy in the sagittal plane remains debated. The present investigation evaluated the system’s accuracy in achieving planned mechanical axis alignment and specific knee angles in both planes. Methods: A retrospective analysis was performed on 55 consecutive patients who underwent robotic-assisted TKA using the ROSA Knee System. Data on the medial proximal tibial angle (MPTA), lateral distal femoral angle (LDFA), hip–knee–ankle angle (HKA), tibial slope (TS), and distal femoral flexion (DFF) were collected pre- and post-operatively using the ROSA software. Planned and achieved angles were compared, with deviations greater than 2° and 3° defined as outliers. Results: The mean differences between planned and achieved angles for LDFA and MPTA were 0.5° ± 1.00° and 0.3° ± 1.3°, respectively, with less than 10% outliers. The hip–knee angle recorded only a minimal deviation from planned values. In contrast, the TS angle showed a statistically significant difference between planned and achieved values, while no significant difference was found for the DFF angle. The surgeon’s experience did not impact alignment accuracy. Conclusions: The ROSA Knee System demonstrates high accuracy in achieving planned alignment in the coronal plane during robotic-assisted TKA, with minimal outliers and reliable predictions for both femoral and tibial angles. However, the ROSA Knee System showed less accuracy in the sagittal plane, particularly for the tibial slope, which did not adversely affect the implant’s stability.

1. Introduction

Robotic-assisted total knee arthroplasty (RA-TKA) surgery has gained popularity for improving surgical precision and reducing the percentage of unsatisfied patients [1,2,3]. However, the lack of randomized controlled trials comparing RA with conventional total knee arthroplasty (TKA), or comparative studies including large samples of patients, to date is not reasonable to report the certainty that robotic-assisted surgery is the gold standard in knee arthroplasty. Proper alignment is a major factor in implant longevity and joint function [4]. Radiographs are crucial for preoperative planning and postoperative assessments in TKA, and achieving planned resection angles is essential for considering a robotic system reliable and safe [5,6,7,8]. The ROSA (RObotic Surgical Assistant) Knee System (Zimmer Biomet, Warsaw, IN, USA) is a collaborative robotic and computer device to assist orthopedic surgeons during TKA [9,10,11]. This robotic-assisted device promises to enhance precision by piloting bone resections [12]. Several studies have demonstrated the ability of the ROSA Knee System to achieve specific limb alignment and angles in the coronal plane, such as the medial proximal tibial angle (MPTA), lateral distal femoral angle (LDFA), and hip–knee–ankle angle (HKA) [13,14,15,16]. However, low accuracy and a high percentage of outliers were reported in the sagittal plane, especially concerning distal femur flexion (DFF) and tibial slope (TS) angles [17].
This investigation evaluates the accuracy of the ROSA Knee System in achieving planned MPTA, LDFA, HKA, DFF, and TS by comparing the planned angle values with those obtained from postoperative radiographs three months postoperatively. The authors hypothesized that the percentage of outliers would be less than 10% for each considered measurement.

2. Materials and Methods

The present study was performed according to the Strengthening the Reporting of Observational Studies in Epidemiology (STROBE) guidelines [18]. The Ethics Committee of San Raffaele University of Milan approved the present study (ALLCCP, Em. 225-2024). The present study was conducted according to the principles of the Declaration of Helsinki and its later amendments. All patients understood the nature of their treatment and provided written consent to use their clinical and imaging data for research purposes. The inclusion criteria were adults with end-stage knee osteoarthritis stage III or IV according to the Kellgren–Lawrence grading scale, with adverse impact of knee disease on the patient’s quality of life, inadequate response to conservative treatment for at least 6 months, and preoperative flexion contracture of less than 10 degrees. The exclusion criteria were infection, previous ipsilateral knee surgeries, mono-compartmental knee arthritis, ipsilateral hip arthroplasty, revision setting, missing postoperative radiographs, and incomplete ROSA reports.

2.1. Surgical Procedures

All surgical procedures were performed by the main author (S.P.) at the Joint Replacement Department, IRCCS Galeazzi-Sant’Ambrogio Hospital, Milan, Italy. All patients received Persona (Zimmer Biomet, Warsaw, IN, USA) ultracongruent cruciate-retaining TKA. All procedures were performed in a highly standardized fashion using a medial midvastus surgical approach. Two femoral pins (3.2 mm diameter) and two tibial pins (3.2 mm diameter) were positioned in the proximal part of the surgical access and in the distal third of the medial tibia. Restricted kinematical alignment and an adjusted mechanical alignment technique were used in the varus and valgus knees, respectively.

2.2. Outcomes of Interest

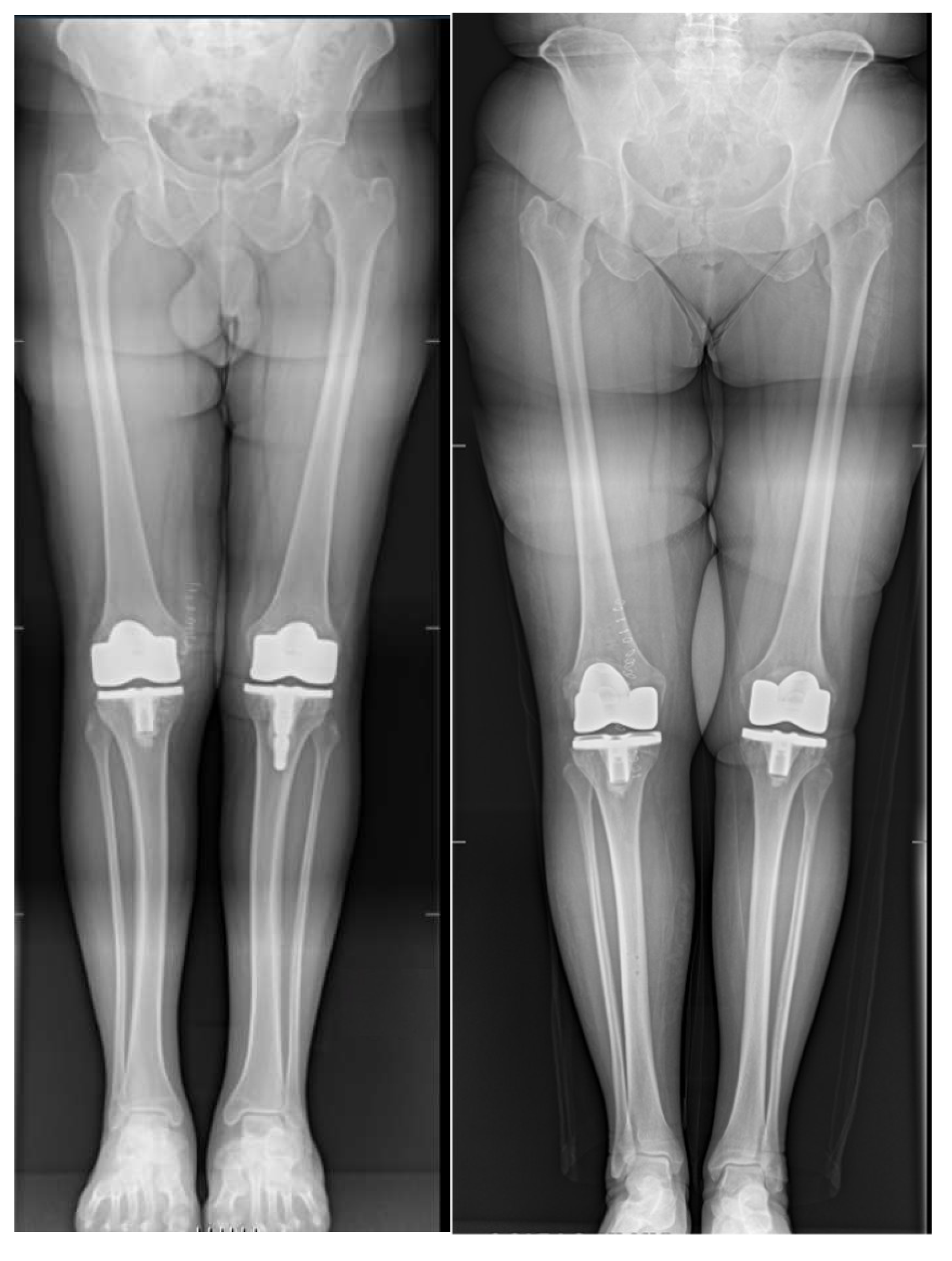
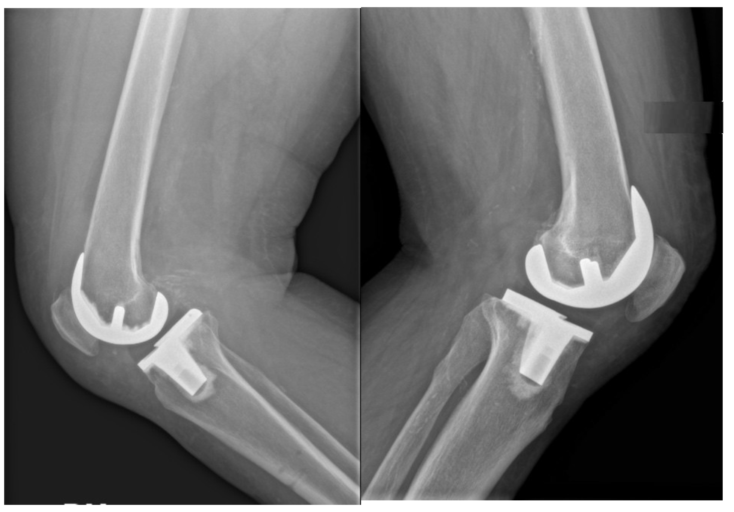
According to limitations previously highlighted [19], the planned intraoperative MPTA, LDFA, HKA, DFF, and TS angles of bone resections were extracted from the surgical report generated by the ROSA Knee System. Postoperative evaluation of radiographic outcomes was conducted three months postoperatively, and angle measurements were performed, as shown in Table 1. Standardized full-length weight-bearing anteroposterior lower limb radiographs and lateral 90° flexion knee and axial radiographs of the patella were obtained (Figure 1, Figure 2 and Figure 3). Incomplete radiographs because of a lack of weight bearing or incomplete extension warranted the exclusion from the present study. The arithmetic mean was calculated for each measurement performed by the two observers, and the obtained values were used for statistical purposes. Outliers from target angles were considered as follows: MPTA 90° ± 3°, LFDA 90° ± 3°, HKA 180° ± 3°, DFF 3° ± 3°, and TS 7° ± 3.

2.3. Data Synthesis

A biomedical statistician performed all the statistical evaluations using the SAS® Version 9.4 software. Descriptive statistics were used to summarize the data and included absolute and relative frequencies for categorical data and means and standard deviations for continuous values. Given the non-normal distribution of the variables considered, the Wilcoxon signed-rank test was used to compare the robotic and radiographic femoral and tibial angles in both sagittal and coronal planes. The accuracy of the ROSA Knee System, expressed by the difference between the robot and the radiograph results, was also estimated. Moreover, the influence of numbers over time on ROSA accuracy was assessed. Values of p lower than 0.05 were considered statistically significant.

3. Results

3.1. Patient Demographics

Sixty-seven consecutive patients with knee osteoarthritis (OA) managed with robotic-assisted TKA between February 2023 and June 2024 were included in the study. In contrast, two (3%) patients were excluded due to incomplete postoperative radiographs or ROSA surgical reports. Considering the first 10 patients as part of the learning curve of the surgeon, the demographic characteristics of the remaining 55 patients enrolled in the study are summarized in Table 2.

3.2. Results Synthese

For LDFA and MPTA, the outliers were 2° to 3° in 7.5% and 9.5% of patients, respectively. No outliers higher than 3° were found for LDFA, while the percentage of outliers higher than 3° was 5.7% for MPTA (Table 3).
No significant differences were found between planned (robotic) and achieved (radiographic) results for femoral and tibial coronal angles and HKA (Table 4 and Figure 1).
Moreover, the accuracy of ROSA software prediction was acceptable for both LDFA (r = 0.3) and MPTA (r = 0.4). The mean difference between those planned with robotic software and those measured with radiographs for LDFA and MPTA was 0.53 ± 1.00 and 0.31 ± 1.29, respectively (Table 5).
A statistically significant difference (p < 0.0001) was observed for planned and achieved TS angles, while no difference was observed for planned and achieved DFF flexion angles (Table 6; p = 0.3576).
Finally, as reported in Table 7, the accuracy in alignment prediction was not influenced by the surgeon’s experience.

4. Discussion

According to the main finding of the present investigation, the ROSA Knee System was associated with a percentage of outliers lower than 10% during robotic-assisted TKA. Moreover, outliers greater than 3° were found in only 5.7% of patients for MPTA. The accuracy in the coronal plane is crucial to guarantee the longevity of a TKA [20]. ROSA software can plan femoral and tibial coronal angles with good precision, with a difference between planned and achieved LDFA and MPTA of 0.53 ± 1.00 and 0.31 ± 1.29, respectively. This result agrees with those observed in previously published preclinical and biomechanics studies [17,21,22]. Furthermore, a significant accuracy for the HKA with only 3.6% of outliers was found, confirming results reported by Rossi et al. and Schrednitzki et al. [14,15,23]. Similar results were recently reported by Hax et al., who have demonstrated that most angles in the coronal plane were generally within the target range set for both groups and more frequently for femur than tibia components [24].
Moreover, regarding the evaluation of HKA, the preoperative lower limb axis did not influence the accuracy of the robot in the varus and valgus limbs. Finally, after carefully registering the system and with sufficient experience with the robotic software, acceptable coronal alignment results could be achieved with Persona TKA.
The accuracy of the ROSA Knee System in the sagittal plane is still debated. A good sagittal alignment is crucial to restoring knee flexion and function, significantly influencing patient satisfaction. The ROSA Knee System can be considered inaccurate for the sagittal cuts, reaching percentages of accuracy of 51% within 2° and 77% within 3° for the DFF and 57% within 2° and 74% within 3° for the TS [17]. However, this study identified DFF angles even though there were no differences between planned and achieved angles, while a significant difference was observed in the TS angle. Indeed, the TS angle was lower in radiographs than in the planned robotic software. However, these results usually do not negatively influence the stability of the implant during knee flexion. The saw is not long enough to reach the posterior aspect of the tibia when inserted in the tibial jig, possibility explaining these findings. Another explanation of the result could be that in the case of the large and long tibial plateau, especially in men, the sclerotic bone bends the saw during tibia resection, resulting in reduced TS. Another hypothesis, also supported by Hax et al., is that the reduced TS could result from an excessive anterior positioning of the tibial plateau center landmark during ROSA System registration [24]. The precision and accuracy of a robotic system are significantly related to landmark calibration, which can be prone to individual errors. Furthermore, as also reported by Hax et al., the reasons why the index robotic system demonstrated more accuracy in the coronal plane postoperatively rather than in the sagittal plane remain unclear. In this study, the surgeon chose to position tibial pins in the distal third of the tibia and femoral pins in the proximal portion, a not universally adopted practice. This approach could influence the software’s final alignment predictions and measurements. Finally, according to our results, after excluding the first ten patients as part of the surgeon’s learning curve, the number did not influence the alignment accuracy of the robotic system.
The small sample size and the lack of a formal control group (manual TKA or other robotic systems) impair the reliability of the results of the present investigation [13,14,25,26,27]. Moreover, a cost–benefit analysis comparing robotic-assisted TKA to conventional manual techniques could provide additional insights. The main author performed all surgeries independently in a highly standardized fashion, which might not reflect outcomes in other surgery settings. Although the surgeon had not used ROSA before, he completed four hours of theoretical and three hours of cadaveric lab training during a Zimmer Biomet Institute course before his first robotic-assisted TKA. In our previous study [28], we demonstrated a rapid reduction in surgical time and a high level of accuracy in component size prediction using ROSA, with a learning phase of only ten cases. For this reason, we decided to exclude the first ten patients in the present investigation. Measurement accuracy depends on the quality of radiographic images. Although these were standardized according to institutional protocols, minor errors, particularly in component rotation, cannot be ruled out. Comparing results with one-year postoperative images or computed tomography (CT) scans could address this issue [17]. Strengths of this study are the use of a single implant model, reducing variability in prosthesis positioning, the consistent standardization of perioperative care, including anesthesia and postoperative analgesia, and a stable surgical team, enhancing this study’s reliability.

5. Conclusions

The ROSA Knee System demonstrated high accuracy in achieving planned alignment in the coronal plane during robotic-assisted TKA, with minimal outliers and reliable predictions for both femoral and tibial angles. However, the ROSA Knee System showed less accuracy in the sagittal plane, particularly for the tibial slope, which did not adversely affect the implant’s stability. These findings suggest that the ROSA Knee System is reliable in achieving precise alignment in robotic-assisted TKA, though improvements in sagittal plane accuracy may be needed.

Author Contributions

Conceptualization, S.P. and S.R.; methodology, S.P. and G.M.; software, G.M. and F.M.; formal analysis, F.M. and G.M.; investigation, S.P., S.R. and G.M.; writing—original draft preparation, S.P. and G.M.; writing—review and editing, F.M. and G.M.; supervision, S.R. All authors have read and agreed to the published version of the manuscript.

Funding

This work was supported and funded by the Italian Ministry of Health—“Ricerca Corrente”. The APC was funded by the Italian Ministry of Health—“Ricerca Corrente”.

Institutional Review Board Statement

The study was conducted in accordance with the Declaration of Helsinki, in compliance with Good Clinical Practice and approved by the Ethics Committee of San Raffaele University (ALLCCP, Em. 225-2024, 3 May 2024).

Informed Consent Statement

Informed consent was obtained from all subjects involved in the study.

Data Availability Statement

The original contributions presented in the study are included in the article. Further inquiries can be directed to the corresponding author.

Conflicts of Interest

Sergio Romagnoli is a paid consultant for Zimmer Biomet. Stefano Petrillo is a paid medical educator for Zimmer Biomet.

Abbreviations

The following abbreviations are used in this manuscript:
RA-TKARobotic-assisted total knee arthroplasty
TKATotal knee arthroplasty
MPTAMedial proximal tibial angle
LDFALateral distal femoral angle
HKAHip–knee–ankle angle
DFFDistal femoral flexion
TSTibial slope
OAOsteoarthritis
CTComputed tomography

References

  1. Agarwal, N.; To, K.; McDonnell, S.; Khan, W. Clinical and Radiological Outcomes in Robotic-Assisted Total Knee Arthroplasty: A Systematic Review and Meta-Analysis. J. Arthroplast. 2020, 35, 3393–3409.e2. [Google Scholar] [CrossRef] [PubMed]
  2. Smith, A.F.; Eccles, C.J.; Bhimani, S.J.; Denehy, K.M.; Bhimani, R.B.; Smith, L.S.; Malkani, A.L. Improved Patient Satisfaction following Robotic-Assisted Total Knee Arthroplasty. J. Knee Surg. 2021, 34, 730–738. [Google Scholar] [CrossRef] [PubMed]
  3. Wang, J.C.; Piple, A.S.; Hill, W.J.; Chen, M.S.; Gettleman, B.S.; Richardson, M.; Heckmann, N.D.; Christ, A.B. Computer-Navigated and Robotic-Assisted Total Knee Arthroplasty: Increasing in Popularity Without Increasing Complications. J. Arthroplast. 2022, 37, 2358–2364. [Google Scholar] [CrossRef] [PubMed]
  4. Karasavvidis, T.; Pagan Moldenhauer, C.A.; Haddad, F.S.; Hirschmann, M.T.; Pagnano, M.W.; Vigdorchik, J.M. Current Concepts in Alignment in Total Knee Arthroplasty. J. Arthroplast. 2023, 38, 29–37. [Google Scholar] [CrossRef] [PubMed]
  5. Alrajeb, R.; Zarti, M.; Shuia, Z.; Alzobi, O.; Ahmed, G.; Elmhiregh, A. Robotic-assisted versus conventional total knee arthroplasty: A systematic review and meta-analysis of randomized controlled trials. Eur. J. Orthop. Surg. Traumatol. 2024, 34, 1333–1343. [Google Scholar] [CrossRef] [PubMed] [PubMed Central]
  6. Doan, G.W.; Courtis, R.P.; Wyss, J.G.; Green, E.W.; Clary, C.W. Image-Free Robotic-Assisted Total Knee Arthroplasty Improves Implant Alignment Accuracy: A Cadaveric Study. J. Arthroplast. 2022, 37, 795–801. [Google Scholar] [CrossRef] [PubMed]
  7. Han, S.; Rodriguez-Quintana, D.; Freedhand, A.M.; Mathis, K.B.; Boiwka, A.V.; Noble, P.C. Contemporary Robotic Systems in Total Knee Arthroplasty: A Review of Accuracy and Outcomes. Orthop. Clin. N. Am. 2021, 52, 83–92. [Google Scholar] [CrossRef] [PubMed]
  8. Zhang, J.; Ndou, W.S.; Ng, N.; Gaston, P.; Simpson, P.M.; Macpherson, G.J.; Patton, J.T.; Clement, N.D. Robotic-arm assisted total knee arthroplasty is associated with improved accuracy and patient reported outcomes: A systematic review and meta-analysis. Knee Surg. Sports Traumatol. Arthrosc. 2022, 30, 2677–2695, Erratum in Knee Surg. Sports Traumatol. Arthrosc. 2022, 30, 2696–2697.. [Google Scholar] [CrossRef] [PubMed] [PubMed Central]
  9. Batailler, C.; Hannouche, D.; Benazzo, F.; Parratte, S. Concepts and techniques of a new robotically assisted technique for total knee arthroplasty: The ROSA knee system. Arch. Orthop. Trauma Surg. 2021, 141, 2049–2058. [Google Scholar] [CrossRef]
  10. Kayani, B.; Konan, S.; Ayuob, A.; Onochie, E.; Al-Jabri, T.; Haddad, F.S. Robotic technology in total knee arthroplasty: A systematic review. EFORT Open Rev. 2019, 4, 611–617. [Google Scholar] [CrossRef] [PubMed] [PubMed Central]
  11. Massé, V.; Cholewa, J.; Shahin, M. Personalized alignment for total knee arthroplasty using the ROSA® Knee and Persona® knee systems: Surgical technique. Front. Surg. 2023, 9, 1098504. [Google Scholar] [CrossRef]
  12. ROSA Knee User Manual & Surgical Technique V1.4. 2024. Available online: https://www.zimmerbiomet.com/content/dam/zb-corporate/en/education-resources/surgical-techniques/specialties/robotics/2300.9-GLBL-en%20ROSA%20Knee%20System%20User%20Manual%20and%20Surg%20Tech-digital.pdf (accessed on 18 July 2025).
  13. Nogalo, C.; Farinelli, L.; Meena, A.; di Maria, F.; Abermann, E.; Fink, C. Robotic-assisted total knee arthroplasty is not associated with improved accuracy in implant position and alignment compared to conventional instrumentation in the execution of a preoperative digital plan. J. Exp. Orthop. 2024, 11, 12019. [Google Scholar] [CrossRef] [PubMed] [PubMed Central]
  14. Rossi, S.M.P.; Sangaletti, R.; Perticarini, L.; Terragnoli, F.; Benazzo, F. High accuracy of a new robotically assisted technique for total knee arthroplasty: An in vivo study. Knee Surg. Sports Traumatol. Arthrosc. 2023, 31, 1153–1161. [Google Scholar] [CrossRef] [PubMed] [PubMed Central]
  15. Schrednitzki, D.; Horn, C.E.; Lampe, U.A.; Halder, A.M. Imageless robotic-assisted total knee arthroplasty is accurate in vivo: A retrospective study to measure the postoperative bone resection and alignment. Arch. Orthop. Trauma Surg. 2023, 143, 3471–3479. [Google Scholar] [CrossRef] [PubMed]
  16. Vanlommel, L.; Neven, E.; Anderson, M.B.; Bruckers, L.; Truijen, J. The initial learning curve for the ROSA® Knee System can be achieved in 6-11 cases for operative time and has similar 90-day complication rates with improved implant alignment compared to manual instrumentation in total knee arthroplasty. J. Exp. Orthop. 2021, 8, 119. [Google Scholar] [CrossRef] [PubMed] [PubMed Central]
  17. Shin, C.; Crovetti, C.; Huo, E.; Lionberger, D. Unsatisfactory accuracy of recent robotic assisting system ROSA for total knee arthroplasty. J. Exp. Orthop. 2022, 9, 82. [Google Scholar] [CrossRef] [PubMed] [PubMed Central]
  18. von Elm, E.; Altman, D.G.; Egger, M.; Pocock, S.J.; Gotzsche, P.C.; Vandenbroucke, J.P.; STROBE Initiative. Strengthening the Reporting of Observational Studies in Epidemiology (STROBE) Statement: Guidelines for reporting observational studies. BMJ 2007, 335, 806–808. [Google Scholar] [CrossRef] [PubMed] [PubMed Central]
  19. Duchniewicz, M.A.; Shaaban, A.; Müller, M.; Anderson, P.M.; Goebel, L.; Orth, P.; Wolf, M.A.; Bachelier, F.; Landgraeber, S.; Winter, P. Inherent Bias in ROSA® Zimmer Biomet Pre-Op Planning Using 2D to 3D X-Atlas® Coronal Knee Axis Measurement. J. Clin. Med. 2025, 14, 1698. [Google Scholar] [CrossRef]
  20. van Hamersveld, K.T.; Marang-van de Mheen, P.J.; Nelissen, R.G.H.H. The Effect of Coronal Alignment on Tibial Component Migration Following Total Knee Arthroplasty: A Cohort Study with Long-Term Radiostereometric Analysis Results. J. Bone Jt. Surg. Am. 2019, 101, 1203–1212. [Google Scholar] [CrossRef] [PubMed]
  21. Mancino, F.; Rossi, S.M.P.; Sangaletti, R.; Caredda, M.; Terragnoli, F.; Benazzo, F. Increased accuracy in component positioning using an image-less robotic arm system in primary total knee arthroplasty: A retrospective study. Arch. Orthop. Trauma Surg. 2024, 144, 393–404. [Google Scholar] [CrossRef] [PubMed]
  22. Zaidi, F.; Goplen, C.M.; Fitz-Gerald, C.; Bolam, S.M.; Hanlon, M.; Munro, J.T.; Monk, A.P. High in-vivo accuracy of a novel robotic-arm-assisted system for total knee arthroplasty. Knee Surg. Sports Traumatol. Arthrosc. 2024, 33, 229–238. [Google Scholar] [CrossRef] [PubMed]
  23. Song, E.-K.; Seon, J.-K.; Yim, J.-H.; Netravali, N.A.; Bargar, W.L. Robotic-assisted TKA Reduces Postoperative Alignment Outliers and Improves Gap Balance Compared to Conventional TKA. Clin. Orthop. Relat. Res. 2013, 471, 118–126, Erratum in Clin. Orthop. Relat. Res. 2012, 470, 2627. [Google Scholar] [CrossRef] [PubMed]
  24. Hax, J.; Leuthard, L.; Baumann, G.; Preiss, S.; Stadelmann, V.A.; Worlicek, M. Comparable results in total knee arthroplasty using the ROSA knee system versus the conventional technique: A retrospective propensity-matched cohort study. Knee Surg. Sports Traumatol. Arthrosc. 2024, 32, 3239–3251. [Google Scholar] [CrossRef] [PubMed]
  25. Kenanidis, E.; Paparoidamis, G.; Milonakis, N.; Potoupnis, M.; Tsiridis, E. Comparative outcomes between a new robotically assisted and a manual technique for total knee arthroplasty in patients with osteoarthritis: A prospective matched comparative cohort study. Eur. J. Orthop. Surg. Traumatol. 2023, 33, 1231–1236. [Google Scholar] [CrossRef] [PubMed]
  26. Rajgor, H.D.; Mayne, A.; Munasinghe, C.; Pagkalos, J.; Agrawal, Y.; Davis, E.T.; Sharma, A.D. Mako versus ROSA: Comparing surgical accuracy in robotic total knee arthroplasty. J. Robot. Surg. 2024, 18, 33. [Google Scholar] [CrossRef] [PubMed]
  27. Zhou, G.; Wang, X.; Geng, X.; Li, Z.; Tian, H. Comparison of Alignment Accuracy and Clinical Outcomes between a CT-Based, Saw Cutting Robotic System and a CT-Free, Jig-guided Robotic System for Total Knee Arthroplasty. Orthop. Surg. 2024, 16, 1168–1174. [Google Scholar] [CrossRef] [PubMed] [PubMed Central]
  28. Petrillo, S.; Moretti, G.; Bordignon, N.; Romagnoli, S. Rapid reduction in surgical time and high level of accuracy in alignment and femoral component size prediction in robotic-assisted total knee arthroplasty with ROSA Knee System. J. Exp. Orthop. 2024, 12, e70148. [Google Scholar] [CrossRef]
Figure 1. Example of a full-length weight-bearing anteroposterior lower limb radiograph used for measurements.
Figure 1. Example of a full-length weight-bearing anteroposterior lower limb radiograph used for measurements.
Jcm 14 05205 g001
Figure 2. Example of a lateral 90° flexion knee radiograph used for measurements.
Figure 2. Example of a lateral 90° flexion knee radiograph used for measurements.
Jcm 14 05205 g002
Figure 3. Example of an axial radiograph of the patella (Merchant view) used for measurements.
Figure 3. Example of an axial radiograph of the patella (Merchant view) used for measurements.
Jcm 14 05205 g003
Table 1. Measurement of coronal and sagittal angles with radiographs. LDFA = lateral distal femoral angle; MPTA = medial proximal tibial angle; TS = tibial slope; DFF = distal femoral flexion.
Table 1. Measurement of coronal and sagittal angles with radiographs. LDFA = lateral distal femoral angle; MPTA = medial proximal tibial angle; TS = tibial slope; DFF = distal femoral flexion.
Radiographic AngleRadiograph NeededMeasurement StepsNormal Values
MPTAAnteroposterior view of the knee (AP)First line along the tibial plateau, second line tibial mechanical axis87–90°
LDFAAnteroposterior view of the knee (AP)First line along the distal femoral condyles, second line femoral mechanical axis87–90°
HKAFull-length weight-bearing AP view of the lower limb, including hip and ankleFirst line from the center of the hip to the center of the knee joint, second line from the center of the knee joint to the center of the ankle joint180° ± 3°
TSLateral view of the kneeFirst line along the tibial plateau, second line perpendicular to the anterior tibial cortex7° with Persona CR
DFFLateral view of the kneeFirst line along the femoral shaft, second line along the distal femoral condyles3° with Persona CR
Table 2. Demographic characteristics of the patients.
Table 2. Demographic characteristics of the patients.
Patient DemographicsMean ± SDValueRange
Age (years)69.6 ± 8.18.148–84
Sex15 male40 femalen.a.
Body mass index (BMI) kg/m226.3 ± 4.54.524–32
Kellgren–Lawrence (KL) gradegrade 323n.a.
grade 430n.a.
Hip–knee–ankle angle (HKA)Valgus:
−7.1° ± 5.2417 cases−1°–−15.5°
Varus:
6.7° ± 4.6638 cases0.5°–11.5°
Table 3. Alignment outliers.
Table 3. Alignment outliers.
ParameterPercentage < 2°Percentage < 3°
LDFA92.5%100%
MPTA90.5%94.3%
Table 4. Comparison between planned and achieved coronal angle values.
Table 4. Comparison between planned and achieved coronal angle values.
ParameterMean ± SD RobotMean ± SD Post-Op Rxp-Value
LDFA90.0 ± 1.1290.5 ± 0.940.09
MPTA89.0 ± 1.4789.3 ± 1.030.1
HKAValgus −1.90° ± 0.66Valgus −1.86° ± 1.320.3
Varus 1.29° ± 0.92Varus 1.59° ± 0.810.2
Table 5. Difference between planned and achieved coronal angle values.
Table 5. Difference between planned and achieved coronal angle values.
ParameterMean ± SD (95% CI)Min–Max
LDFA0.53 ± 1.00 (0.26; 0.80)−1.0; 2.6
MPTA0.31 ± 1.29 (−0.05; 0.66)−2.2; 3.5
Table 6. Comparison between planned and achieved sagittal angle values.
Table 6. Comparison between planned and achieved sagittal angle values.
ParameterMean ± SDMedian (IQR)
TS6.46 ± 1.186.5 (1.20)
DFF3.02 ± 1.073.0 (1.30)
Table 7. Relationship between case number and alignment accuracy.
Table 7. Relationship between case number and alignment accuracy.
LDFAFirst PatientsLast Patientsp-Value
Patients1045
Mean ± SD0.31 ± 0.800.63 ± 1.07
Median00.30.4141
Min–Max−0.8–1.8−1.0–2.6
95% CI−0.26; 0.880.18; 1.09
MPTAFirst patientsLast patientsp-Value
Patients1045
Mean ± SD0.42 ± 1.14−0.08 ± 1.01
Median000.3345
Min–Max−1.0–2.5−1.0–2.6
95% CI−0.40; 1.24−2.0; 1.5
Disclaimer/Publisher’s Note: The statements, opinions and data contained in all publications are solely those of the individual author(s) and contributor(s) and not of MDPI and/or the editor(s). MDPI and/or the editor(s) disclaim responsibility for any injury to people or property resulting from any ideas, methods, instructions or products referred to in the content.

Share and Cite

MDPI and ACS Style

Petrillo, S.; Migliorini, F.; Moretti, G.; Romagnoli, S. Accuracy of ROSA Knee System in Bone Cuts Orientation During Total Knee Arthroplasty: An Observational Study. J. Clin. Med. 2025, 14, 5205. https://doi.org/10.3390/jcm14155205

AMA Style

Petrillo S, Migliorini F, Moretti G, Romagnoli S. Accuracy of ROSA Knee System in Bone Cuts Orientation During Total Knee Arthroplasty: An Observational Study. Journal of Clinical Medicine. 2025; 14(15):5205. https://doi.org/10.3390/jcm14155205

Chicago/Turabian Style

Petrillo, Stefano, Filippo Migliorini, Giorgio Moretti, and Sergio Romagnoli. 2025. "Accuracy of ROSA Knee System in Bone Cuts Orientation During Total Knee Arthroplasty: An Observational Study" Journal of Clinical Medicine 14, no. 15: 5205. https://doi.org/10.3390/jcm14155205

APA Style

Petrillo, S., Migliorini, F., Moretti, G., & Romagnoli, S. (2025). Accuracy of ROSA Knee System in Bone Cuts Orientation During Total Knee Arthroplasty: An Observational Study. Journal of Clinical Medicine, 14(15), 5205. https://doi.org/10.3390/jcm14155205

Note that from the first issue of 2016, this journal uses article numbers instead of page numbers. See further details here.

Article Metrics

Back to TopTop