Applications of the Novel Midpalatal Piezocorticotomy Guide for MARPE Midfacial Skeletal Expansion
Abstract
1. Introduction
2. Materials and Methods
2.1. Description of MARPE Installation Procedure
2.2. Description of the Novel Piezocorticotomy Guide for Midpalatal Skeletal Expansion
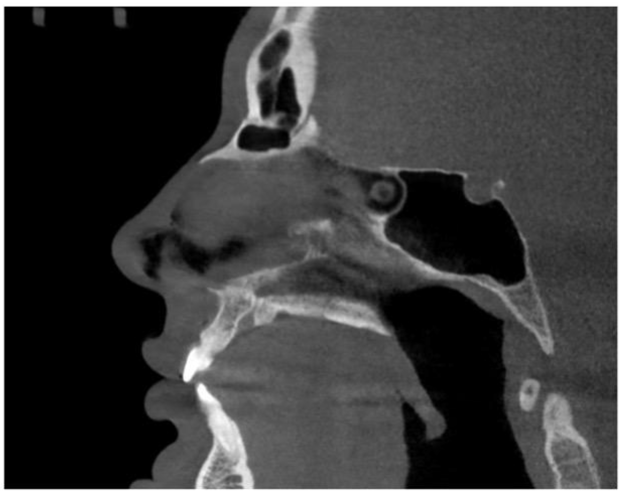
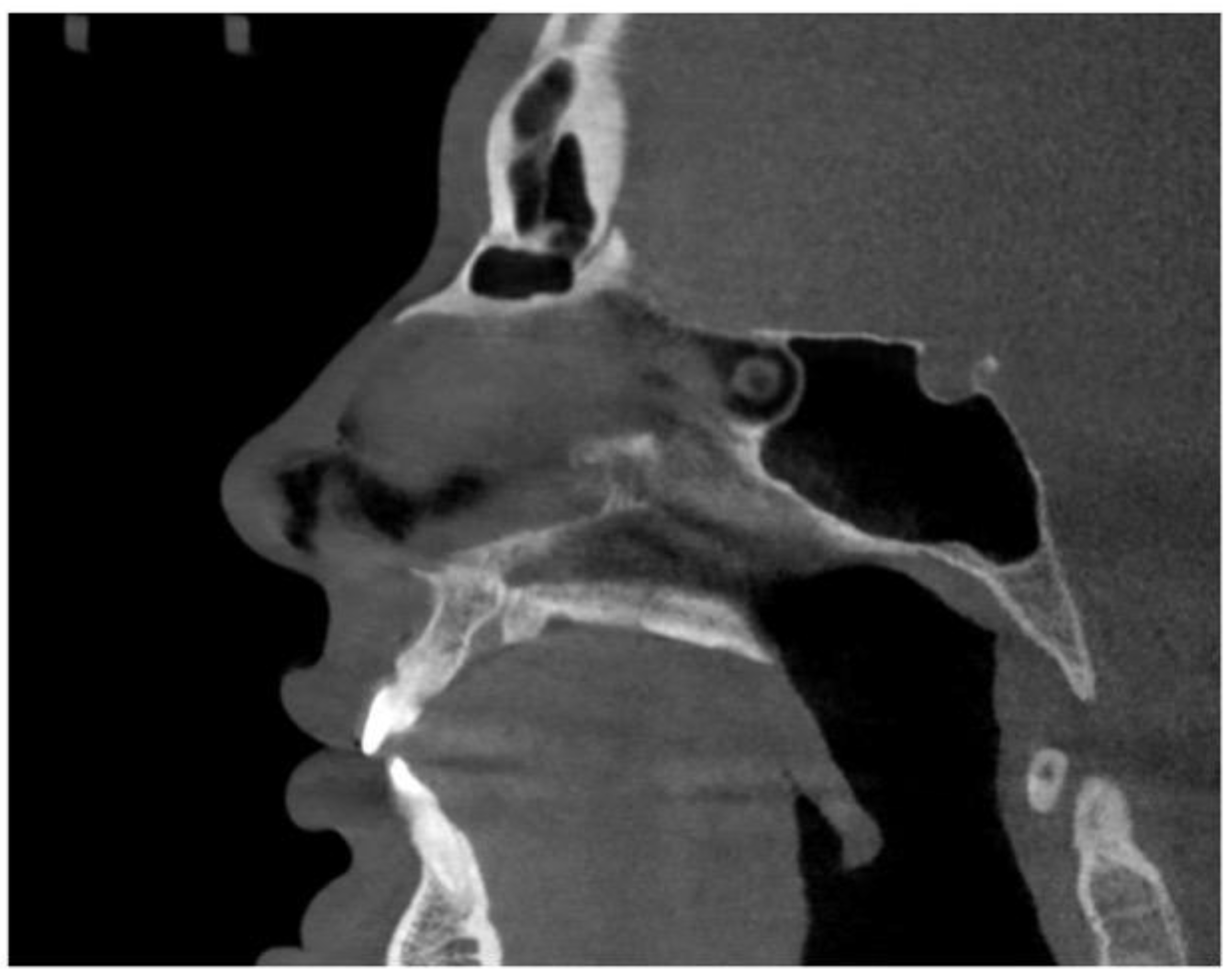
2.3. Technique of the 3D Printed Guide-Assisted Midpalatal Piezocorticotomy
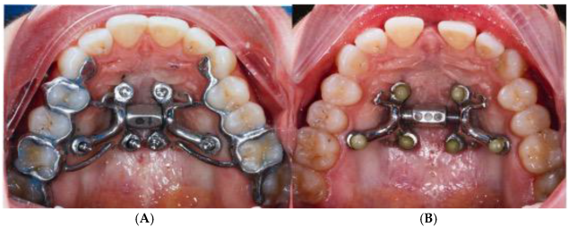
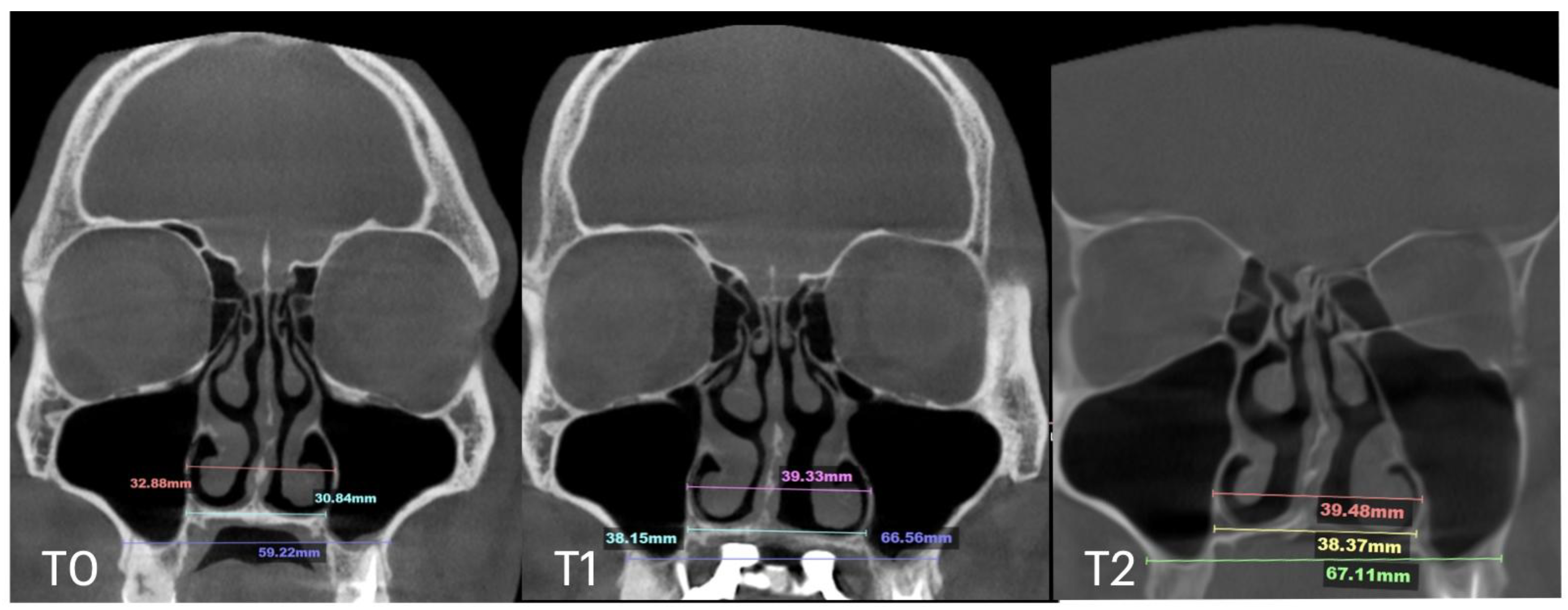
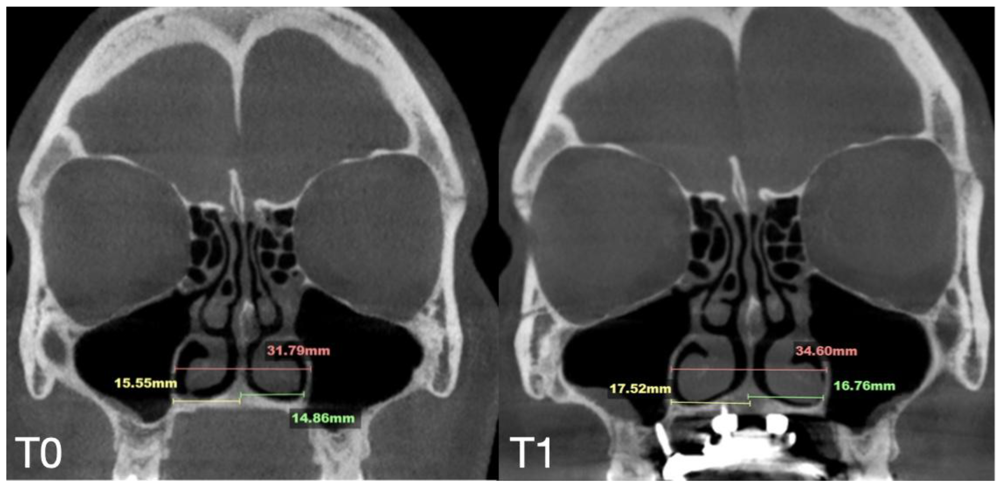
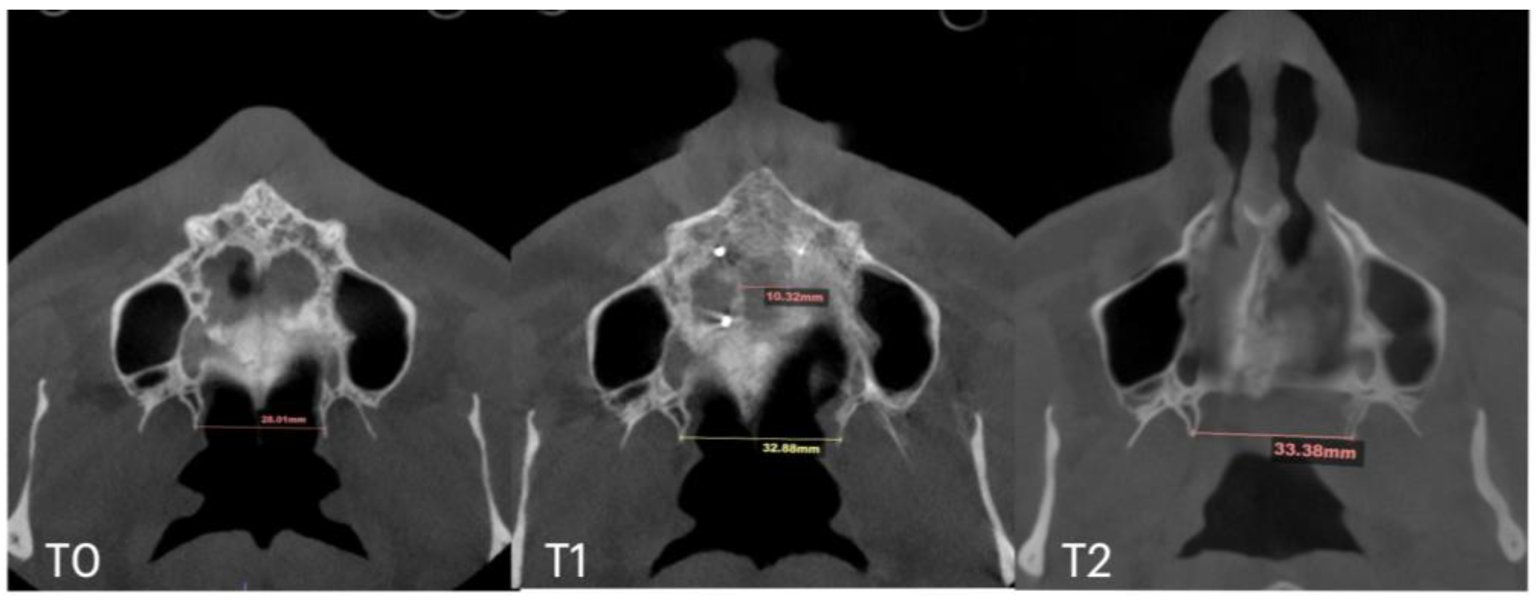
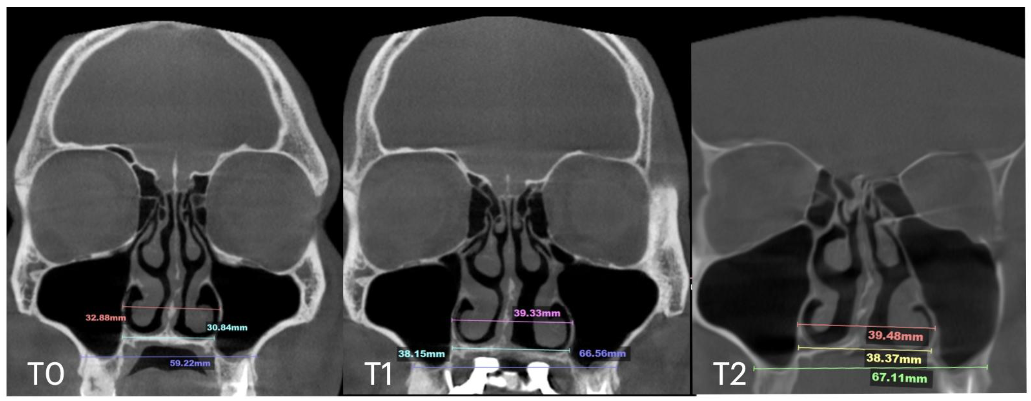
2.4. Case A: Blind Midpalatal Piezocorticotomy with MARPE Expansion
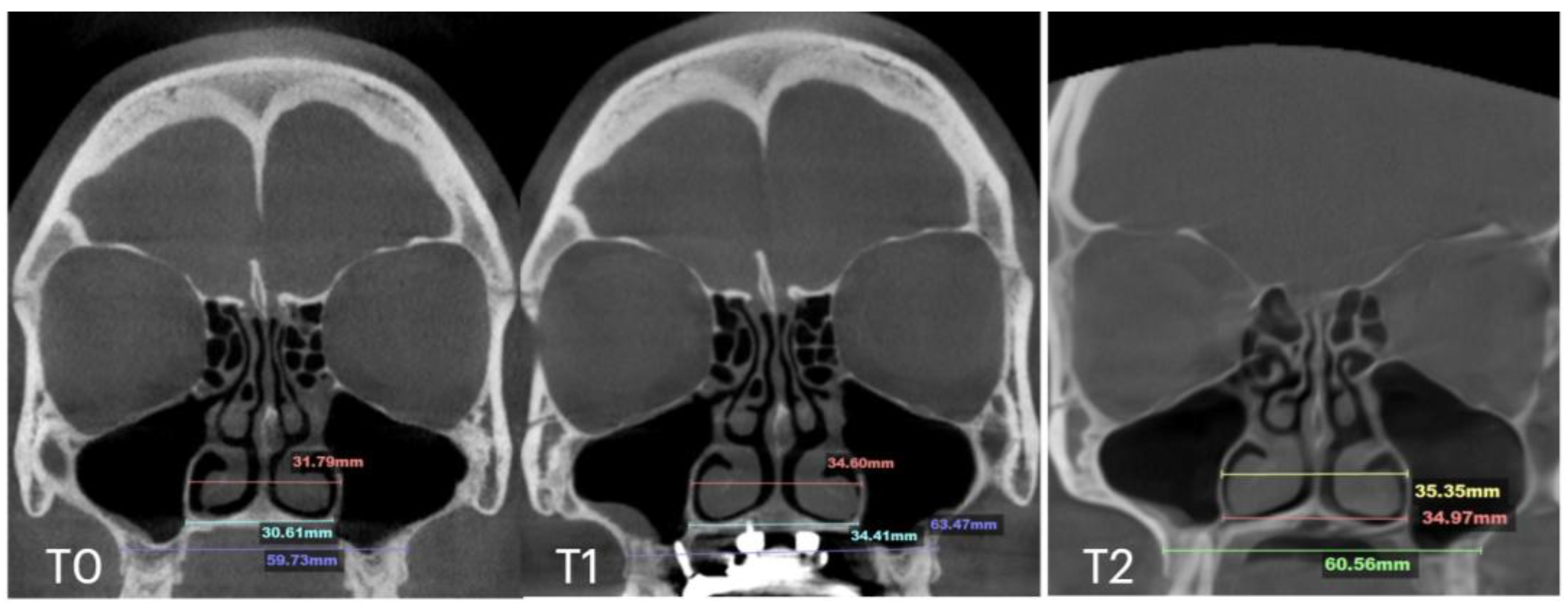
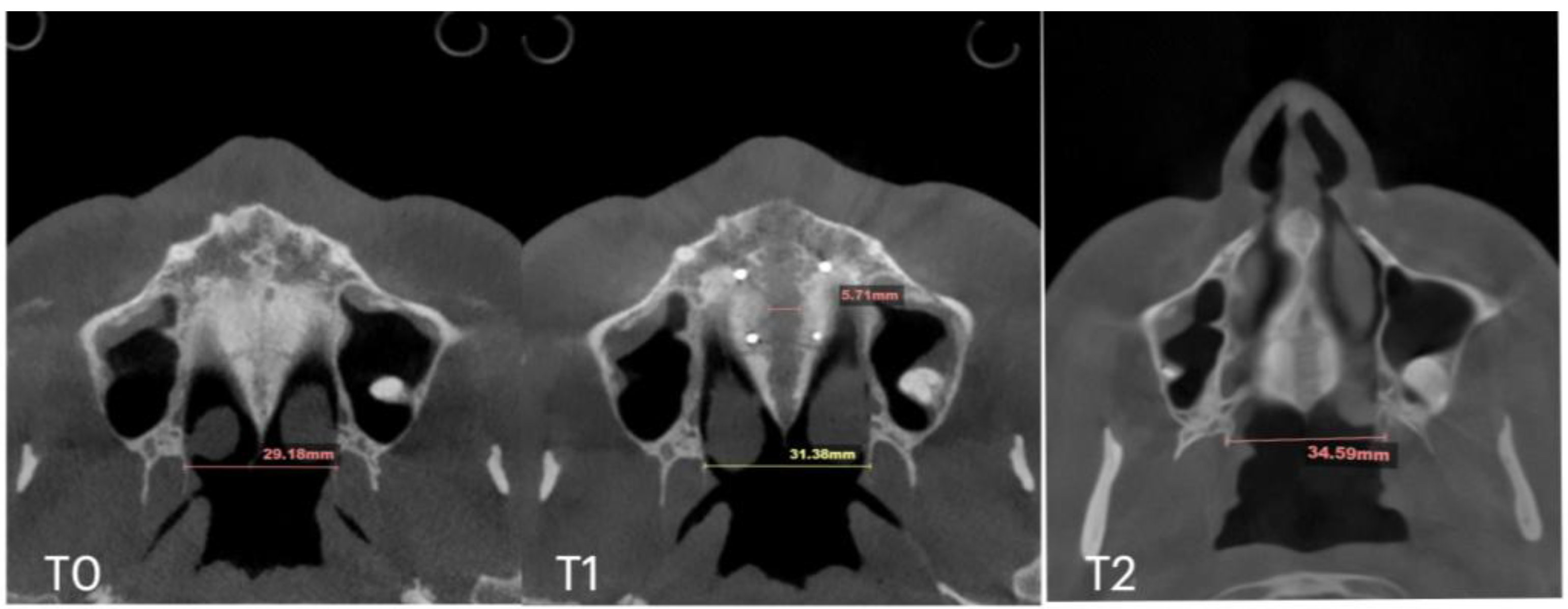
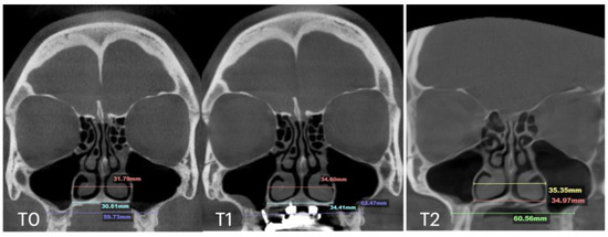
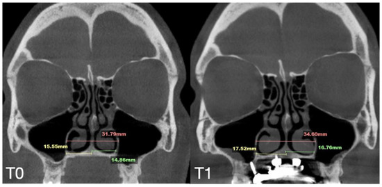
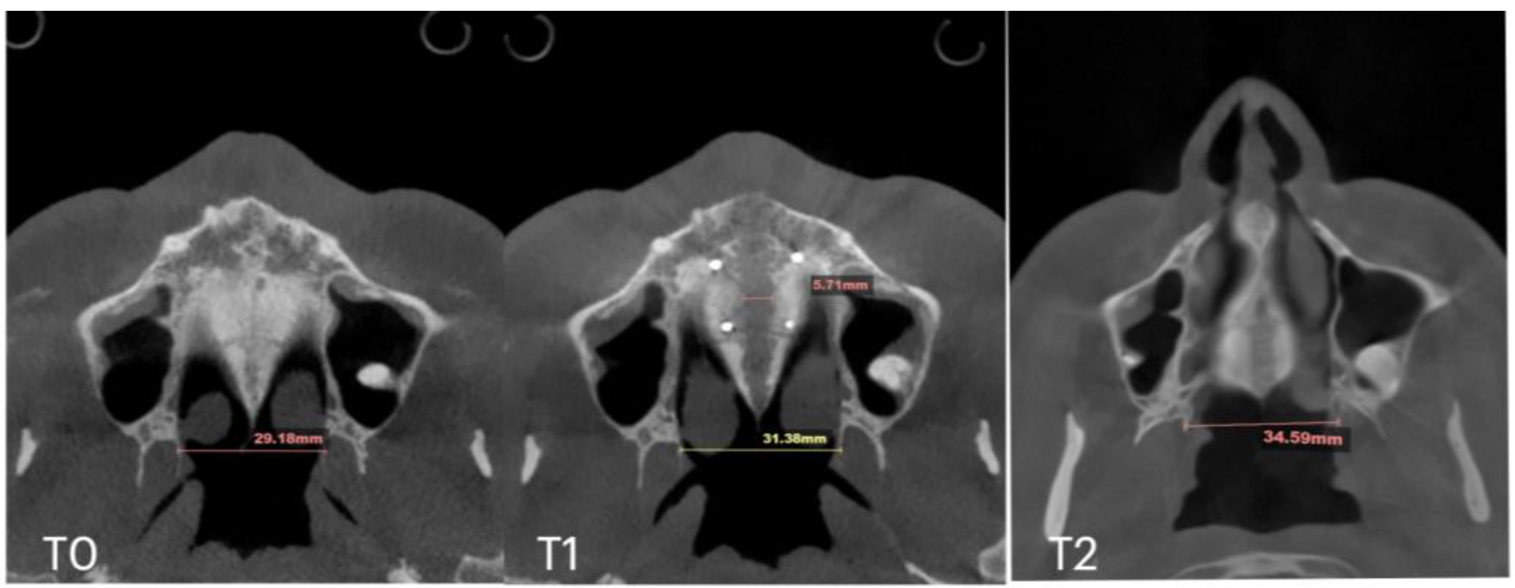
2.5. Case B: Guide-Assisted Midpalatal Piezocorticotomy
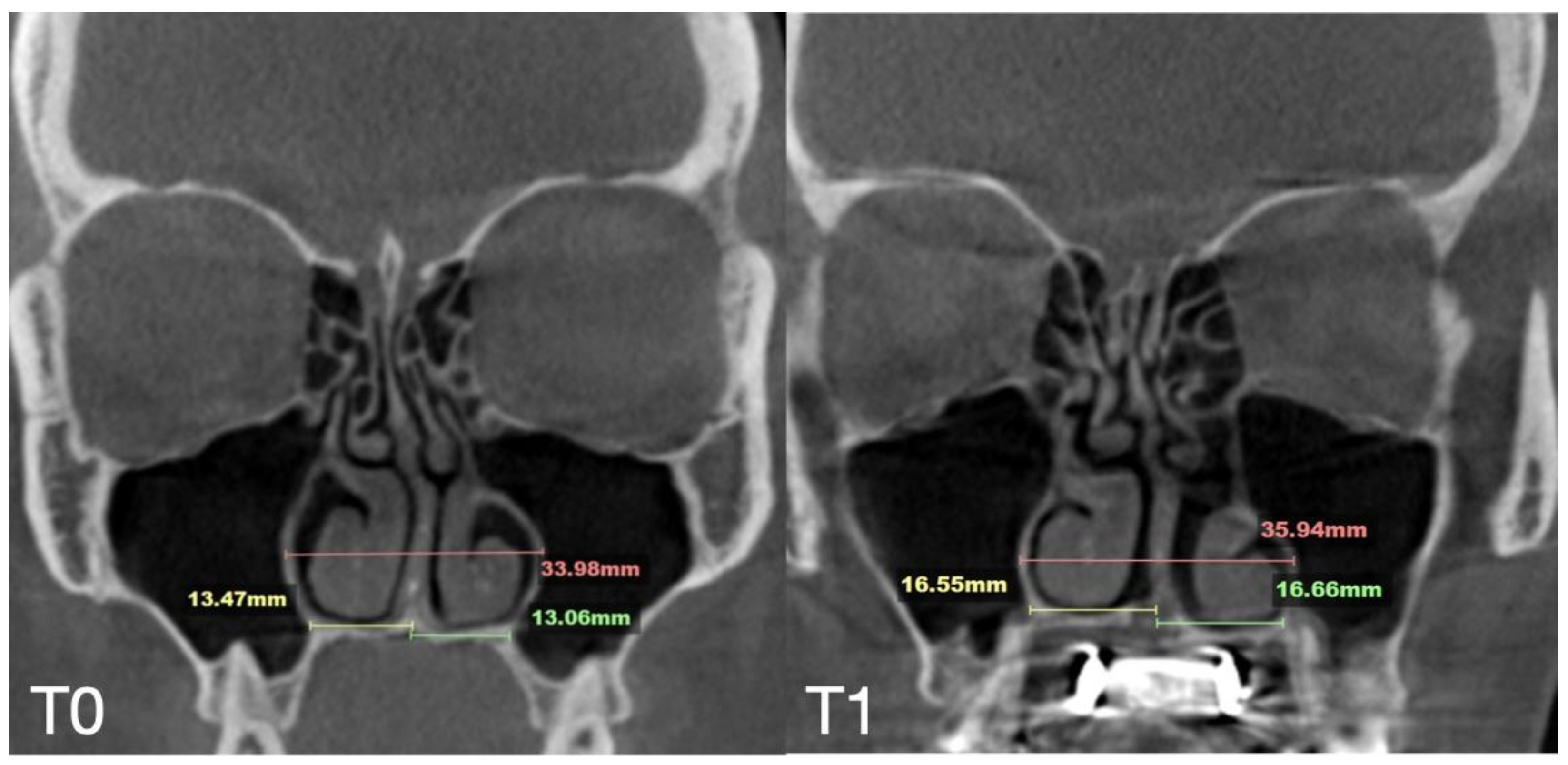
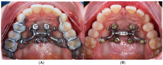
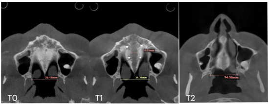
2.6. Case C: Bilateral Posterior Crossbite with Guide-Assisted Expansion
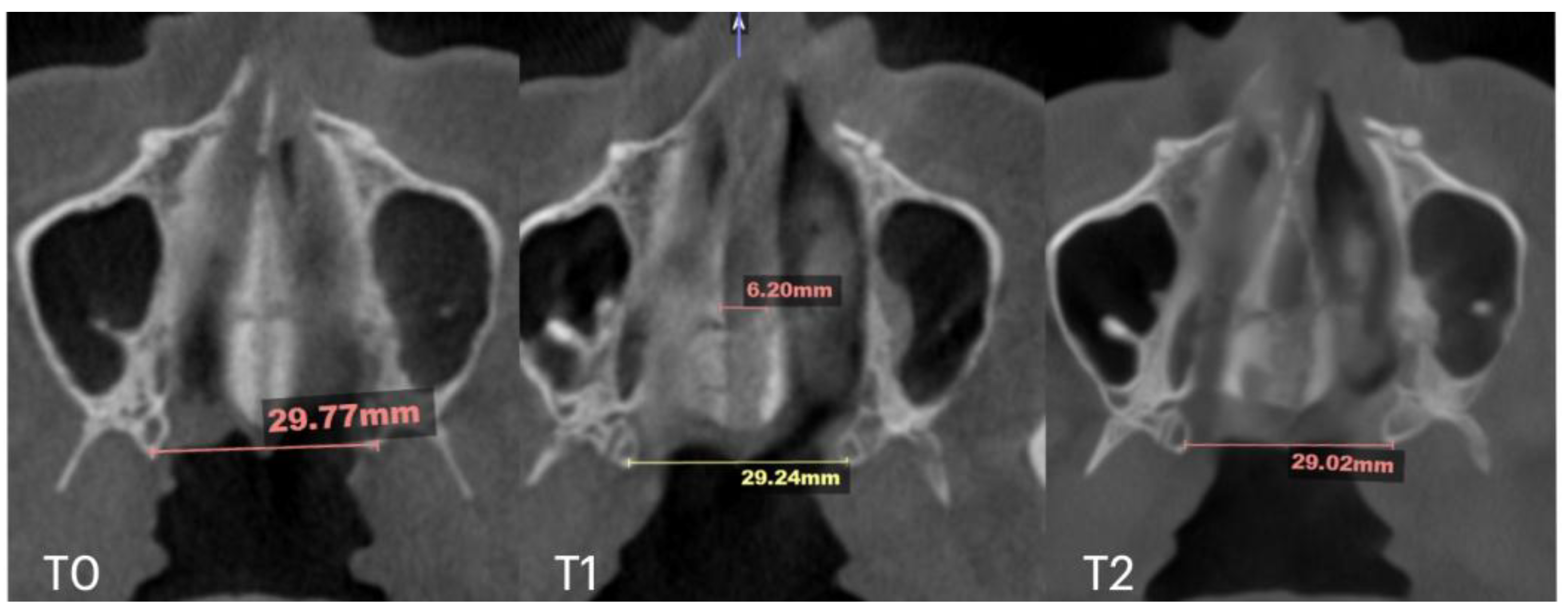
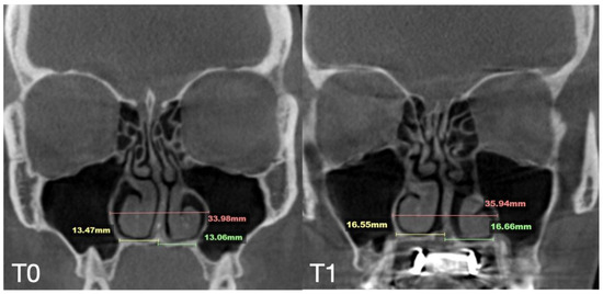
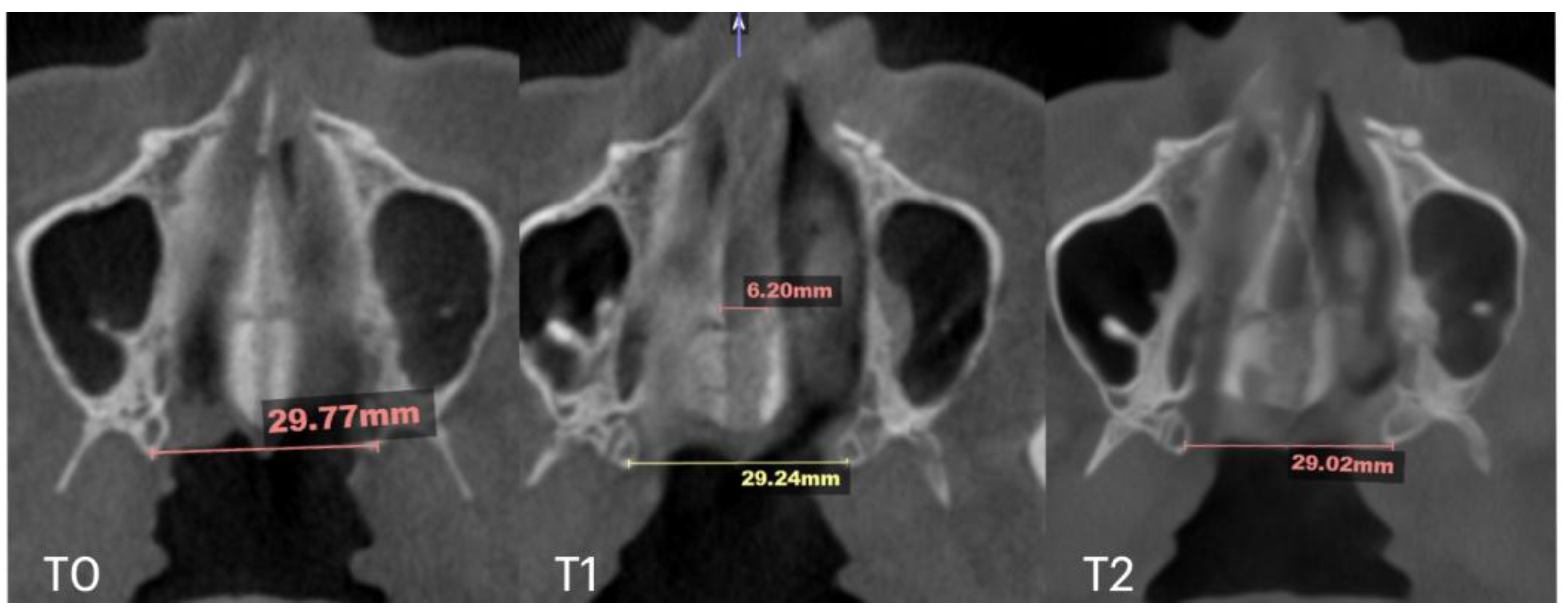
2.7. Case D: Midfacial Asymmetry Correction with Guided Expansion
3. Discussion
Rationale for the Use of the Midpalatal Piezocorticotomy Guide
- -
- -
- Diagonal fractures of the palatine bone extending from the distal margin of the palatal process of the maxillary bone unilaterally, often associated with pain and tension;
- -
- -
- -
- Unilateral soft tissue shift, including nasal ala and corner of the mouth displacement toward the side of unattached separation.
4. Conclusions
5. Patents
Author Contributions
Funding
Institutional Review Board Statement
Informed Consent Statement
Data Availability Statement
Conflicts of Interest
Abbreviations
| MARPE | Mini screw-Assisted Rapid Palatal Expansion |
| ANS | Anterior Nasal Spine |
| PNS | Posterior Nasal Spine |
| SARPE | Surgically Assisted Rapid Palatal Expansion |
| OSA | Obstructive Sleep Apnea |
References
- Kapetanović, A.; Theodorou, C.I.; Bergé, S.J.; Schols, J.G.J.H.; Xi, T. Efficacy of Miniscrew-Assisted Rapid Palatal Expansion (MARPE) in late adolescents and adults: A systematic review and meta-analysis. Eur. J. Orthod. 2021, 43, 313–323. [Google Scholar] [CrossRef] [PubMed]
- Tanaka, O.; Mota-Júnior, S.L. MARPE as an adjunct to orthodontic treatment. Dent. Press J. Orthod. 2023, 27, e22bbo6. [Google Scholar] [CrossRef] [PubMed]
- Chun, J.H.; de Castro, A.C.R.; Oh, S.; Kim, K.H.; Choi, S.H.; Nojima, L.I.; da Cunha Gonçalves Nojima, M.; Lee, K.J. Skeletal and alveolar changes in conventional rapid palatal expansion (RPE) and miniscrew-assisted RPE (MARPE): A prospective randomized clinical trial using low-dose CBCT. BMC Oral Health 2022, 22, 114. [Google Scholar] [CrossRef] [PubMed]
- Brunetto, D.P.; Sant’Anna, E.F.; Machado, A.W.; Moon, W. Non-surgical treatment of transverse deficiency in adults using Microimplant-assisted Rapid Palatal Expansion (MARPE). Dent. Press J. Orthod. 2017, 22, 110–125. [Google Scholar] [CrossRef]
- Brunetto, D.P.; Moschik, C.E.; Dominguez-Mompell, R.; Jaria, E.; Sant’Anna, E.F.; Moon, W. Mini-implant assisted rapid palatal expansion (MARPE) effects on adult obstructive sleep apnea (OSA) and quality of life: A multi-center prospective controlled trial. Prog. Orthod. 2022, 23, 3. [Google Scholar] [CrossRef]
- Ventura, V.; Botelho, J.; Machado, V.; Mascarenhas, P.; Pereira, F.D.; Mendes, J.J.; Delgado, A.S.; Pereira, P.M. Miniscrew-Assisted Rapid Palatal Expansion (MARPE): An Umbrella Review. J. Clin. Med. 2022, 11, 1287. [Google Scholar] [CrossRef]
- Minervini, G.A.; Bud, E.; Vlasa, A.; Pacurar, M.; Matei, A.; Bud, A.; Szoke, A.-R. Retrospective Histological Study on Palatal and Gingival Mucosa Changes during a Rapid Palatal Expansion Procedure. Biomedicines 2023, 11, 3246. [Google Scholar] [CrossRef]
- Zimring, J.F.; Isaacson, R.J. Forces Produced by Rapid Maxillary Expansion III. Forces Present During Retention. Angle Orthod. 1965, 35, 178–186. [Google Scholar]
- Handelman, C.S.; Wang, L.; BeGole, E.A.; Haas, A.J. Nonsurgical rapid maxillary expansion in adults: Report on 47 cases using the Haas expander. Angle Orthod. 2000, 70, 129–144. [Google Scholar]
- Weissheimer, A.; de Menezes, L.M.; Mezomo, M.; Dias, D.M.; de Lima, E.M.S.; Rizzatto, S.M.D. Immediate effects of rapid maxillary expansion with Haas-type and hyrax-type expanders: A randomized clinical trial. Am. J. Orthod. Dentofac. Orthop. 2011, 140, 366–376. [Google Scholar] [CrossRef]
- Lione, R.; Ballanti, F.; Franchi, L.; Baccetti, T.; Cozza, P. Treatment and posttreatment skeletal effects of rapid maxillary expansion studied with low-dose computed tomography in growing subjects. Am. J. Orthod. Dentofac. Orthop. 2008, 134, 389–392. [Google Scholar] [CrossRef] [PubMed]
- Altieri, F.; Cassetta, M. Comparison of changes in skeletal, dentoalveolar, periodontal, and nasal structures after tooth-borne or bone-borne rapid maxillary expansion: A parallel cohort study. Am. J. Orthod. Dentofac. Orthop. 2022, 161, e336–e344. [Google Scholar] [CrossRef] [PubMed]
- Oztürk, M.; Doruk, C.; Ozeç, I.; Polat, S.; Babacan, H.; Biçakci, A.A. Pulpal blood flow: Effects of corticotomy and midline osteotomy in surgically assisted rapid palatal expansion. J. Cranio-Maxillofac. Surg. 2003, 31, 97–100. [Google Scholar] [CrossRef] [PubMed]
- Li, J.; Shi, L.; Zhang, X.; Weng, L.; Chen, H.; Lin, J. Evaluating the effect of midpalatal corticotomy-assisted rapid maxillary expansion on the upper airway in young adults using computational fluid dynamics. J. Zhejiang Univ. Sci. B 2021, 22, 146–155. [Google Scholar] [CrossRef]
- Tang, H.; Liu, P.; Liu, X.; Hou, Y.; Chen, W.; Zhang, L.; Guo, J. Skeletal width changes after mini-implant-assisted rapid maxillary expansion (MARME) in young adults. Angle Orthod. 2021, 91, 301–306. [Google Scholar] [CrossRef]
- Naveda, R.; Dos Santos, A.M.; Seminario, M.P.; Miranda, F.; Janson, G.; Garib, D. Midpalatal suture bone repair after miniscrew-assisted rapid palatal expansion in adults. Prog. Orthod. 2022, 23, 35. [Google Scholar] [CrossRef]
- Ceschi, M.; Riatti, R.; Di Leonardo, B.; Contardo, L. Skeletal expansion using a miniscrew-assisted rapid palatal expansion in a 50-year-old patient. Am. J. Orthod. Dentofac. Orthop. 2022, 162, 568–579. [Google Scholar] [CrossRef]
- Laudemann, K.; Santo, G.; Revilla, C.; Harth, M.; Kopp, S.; Sader, R.A.; Landes, C.A. Assessment of surgically assisted rapid maxillary expansion regarding pterygomaxillary disjunction using thin volume-rendering technique: In variance analysis and in reliability, accuracy, and validity. J. Oral Maxillofac. Surg. 2011, 69, 2631–2643. [Google Scholar] [CrossRef]
- Lucchese, A.; Gherlone, E.F.; Asperio, P.; y Baena, R.R. The distraction osteogenesis in midfacial hypoplasia. J. Craniofac. Surg. 2014, 25, 831–834. [Google Scholar] [CrossRef]
- Quo, S.D.; Hyunh, N.; Guilleminault, C. Bimaxillary expansion therapy for pediatric sleep-disordered breathing. Sleep Med. 2017, 30, 45–51. [Google Scholar] [CrossRef]
- Kyung, S.H.; Park, Y.-C.; Pae, E.-K. Obstructive sleep apnea patients with the oral appliance experience pharyngeal size and shape changes in three dimensions. Angle Orthod. 2005, 75, 15–22. [Google Scholar] [PubMed]
- Yoon, A.; Gozal, D.; Kushida, C.; Pelayo, R.; Liu, S.; Faldu, J.; Hong, C. A roadmap of craniofacial growth modification for children with sleep-disordered breathing: A multidisciplinary proposal. Sleep 2023, 46, zsad095. [Google Scholar] [CrossRef] [PubMed]
- Cistulli, P.A.; Palmisano, R.G.; Poole, M.D. Treatment of obstructive sleep apnea syndrome by rapid maxillary expansion. Sleep 1998, 21, 831–835. [Google Scholar] [CrossRef] [PubMed]


















| Nasal Base Width, mm | Maxillary Base Width, mm | Lateral Nasal Width, mm | Inter-Pterygoid Distance, mm | Midpalatal Suture Separation, mm | |||||||||
|---|---|---|---|---|---|---|---|---|---|---|---|---|---|
| T0 | T1 | T2 | T0 | T1 | T2 | T0 | T1 | T2 | T0 | T1 | T2 | T1 | |
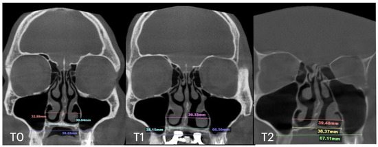
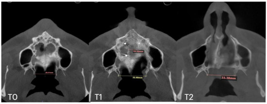
| Case A | 30.84 | 38.15 | 38.37 | 59.22 | 66.37 | 67.11 | 32.8 | 39.33 | 39.48 | 28.01 | 32.88 | 33.38 | 10.5 |
| Case B | 30.61 | 34.41 | 34.97 | 59.73 | 63.47 | 60.56 | 31.79 | 34.6 | 35.35 | 29.18 | 31.38 | 34.59 | 5.7 |
| Case C | 28.40 | 38.32 | 36.72 | 53.63 | 62.43 | 59.80 | 31.29 | 38.45 | 38.51 | 29.15 | 35.8 | 35.36 | 8.47 |
| Case D | 26.25 | 33.27 | 31.54 | 55.9 | 61.84 | 60.37 | 33.98 | 35.94 | 38.09 | 29.77 | 29.24 | 29.02 | 6.2 |
Disclaimer/Publisher’s Note: The statements, opinions and data contained in all publications are solely those of the individual author(s) and contributor(s) and not of MDPI and/or the editor(s). MDPI and/or the editor(s) disclaim responsibility for any injury to people or property resulting from any ideas, methods, instructions or products referred to in the content. |
© 2025 by the authors. Licensee MDPI, Basel, Switzerland. This article is an open access article distributed under the terms and conditions of the Creative Commons Attribution (CC BY) license (https://creativecommons.org/licenses/by/4.0/).
Share and Cite
Koval, S.; Kolesnyk, V.; Chepanova, D. Applications of the Novel Midpalatal Piezocorticotomy Guide for MARPE Midfacial Skeletal Expansion. J. Clin. Med. 2025, 14, 4728. https://doi.org/10.3390/jcm14134728
Koval S, Kolesnyk V, Chepanova D. Applications of the Novel Midpalatal Piezocorticotomy Guide for MARPE Midfacial Skeletal Expansion. Journal of Clinical Medicine. 2025; 14(13):4728. https://doi.org/10.3390/jcm14134728
Chicago/Turabian StyleKoval, Svitlana, Viktoriia Kolesnyk, and Daria Chepanova. 2025. "Applications of the Novel Midpalatal Piezocorticotomy Guide for MARPE Midfacial Skeletal Expansion" Journal of Clinical Medicine 14, no. 13: 4728. https://doi.org/10.3390/jcm14134728
APA StyleKoval, S., Kolesnyk, V., & Chepanova, D. (2025). Applications of the Novel Midpalatal Piezocorticotomy Guide for MARPE Midfacial Skeletal Expansion. Journal of Clinical Medicine, 14(13), 4728. https://doi.org/10.3390/jcm14134728

