Autoimmune Encephalitis-like Presentation of Glioblastoma: Get to Know This Rare Occurrence
Abstract
1. Introduction
2. Materials and Methods
3. Results
4. Discussion
5. Conclusions and Future Directions
Supplementary Materials
Author Contributions
Funding
Institutional Review Board Statement
Informed Consent Statement
Data Availability Statement
Conflicts of Interest
Abbreviations
| AE | autoimmune encephalitis |
| CNS | central nervous system |
| CSF | cerebrospinal fluid |
| CT | computed tomography |
| DCE | dynamic contrast enhancement |
| DSC | dynamic susceptibility contrast |
| DTI | diffusion tensor imaging |
| DWI | diffusion-weighted imaging |
| EEG | electroencephalography |
| fMRI | functional magnetic resonance imaging |
| GBM | glioblastoma |
| MRI | magnetic resonance imaging |
| MRS | magnetic resonance spectroscopy |
| PNS | paraneoplastic neurological syndromes |
| PWI | perfusion weighted imaging |
| WB 18F-FDG PET/CT | whole-body 18F-fluorodeoxyglucose positron emission tomography/computerized tomography |
References
- Davis, M. Glioblastoma: Overview of Disease and Treatment. Clin. J. Oncol. Nurs. 2016, 20, S2–S8. [Google Scholar] [CrossRef] [PubMed]
- Sipos, D.; Raposa, B.L.; Freihat, O.; Simon, M.; Mekis, N.; Cornacchione, P.; Kovács, Á. Glioblastoma: Clinical Presentation, Multidisciplinary Management, and Long-Term Outcomes. Cancers 2025, 17, 146. [Google Scholar] [CrossRef] [PubMed]
- An, Y. Glioblastoma Multiforme and High-Grade Glioma. In Pocket Guide to Radiation Oncology; Springer Publishing Company: New York, NY, USA, 2020. [Google Scholar] [CrossRef]
- Jena, L.; McErlean, E.; McCarthy, H. Delivery across the blood-brain barrier: Nanomedicine for glioblastoma multiforme. Drug Deliv. Transl. Res. 2020, 10, 304–318. [Google Scholar] [CrossRef] [PubMed]
- Chang, Y.-W.; Yoon, H.-K.; Shin, H.-J.; Roh, H.G.; Cho, J.M. MR imaging of glioblastoma in children: Usefulness of diffusion/perfusion-weighted MRI and MR spectroscopy. Pediatr. Radiol. 2003, 33, 836–842. [Google Scholar] [CrossRef]
- Lasocki, A.; Gaillard, F.; Tacey, M.A.; Drummond, K.J.; Stuckey, S.L. The incidence and significance of multicentric noncontrast-enhancing lesions distant from a histologically-proven glioblastoma. J. Neurooncol. 2016, 129, 471–478. [Google Scholar] [CrossRef]
- Cordova, J.S.; Shu, H.-K.G.; Liang, Z.; Gurbani, S.S.; Cooper, L.A.D.; Holder, C.A.; Olson, J.J.; Kairdolf, B.; Schreibmann, E.; Neill, S.G.; et al. Whole-brain spectroscopic MRI biomarkers identify infiltrating margins in glioblastoma patients. Neuro-Oncology 2016, 18, 1180–1189. [Google Scholar] [CrossRef]
- Consoli, S.; Dono, F.; Evangelista, G.; Corniello, C.; Onofrj, M.; Thomas, A.; Sensi, S.L. Case Report: Brain tumor’s pitfalls: Two cases of high-grade brain tumors mimicking autoimmune encephalitis with positive onconeuronal antibodies. Front. Oncol. 2023, 13, 1254674. [Google Scholar] [CrossRef]
- Vogrig, A.; Joubert, B.; Ducray, F.; Thomas, L.; Izquierdo, C.; Decaestecker, K.; Martinaud, O.; Gerardin, E.; Grand, S.; Honnorat, J. Glioblastoma as differential diagnosis of autoimmune encephalitis. J. Neurol. 2018, 265, 669–677. [Google Scholar] [CrossRef]
- Flanagan, E.P.; Geschwind, M.D.; Lopez-Chiriboga, A.S.; Blackburn, K.M.; Turaga, S.; Binks, S.; Zitser, J.; Gelfand, J.M.; Day, G.S.; Dunham, S.R.; et al. Autoimmune Encephalitis Misdiagnosis in Adults. JAMA Neurol. 2023, 80, 30. [Google Scholar] [CrossRef]
- Zhou, Y.; Chen, H.; Zhu, M.; Li, M.; Wang, L.; Xie, Z.; Zhou, M.; Wu, X.; Hong, D. Clinical characteristics of autoimmune encephalitis with co-existence of multiple anti-neuronal antibodies. BMC Neurol. 2024, 24, 1. [Google Scholar] [CrossRef]
- Yan, B.; Chen, Q.; Wang, D.; Ding, L.; Qu, J.; Du, R.; Shi, W.; Kahlert, U.D.; Yu, Z. Artificial intelligence-based radiogenomics reveals the potential immunoregulatory role of COL22A1 in glioma and its induced autoimmune encephalitis. Front. Immunol. 2025, 16, 1562070. [Google Scholar] [CrossRef] [PubMed]
- Moser, T.; Gruber, J.; Mylonaki, E.; Böhm, V.; Schwarzenhofer, D.; Tröscher, A.R.; Lenzenweger, E.; Krehan, I.; Söllradl, E.; Leitinger, M.; et al. Autoimmune and infectious encephalitis: Development of a discriminative tool for early diagnosis and initiation of therapy. J. Neurol. 2024, 271, 7583–7591. [Google Scholar] [CrossRef] [PubMed]
- Hermetter, C.; Fazekas, F.; Hochmeister, S. Systematic Review: Syndromes, Early Diagnosis, and Treatment in Autoimmune Encephalitis. Front. Neurol. 2018, 9, 706. [Google Scholar] [CrossRef]
- Lancaster, E. The Diagnosis and Treatment of Autoimmune Encephalitis. J. Clin. Neurol. 2016, 12, 1. [Google Scholar] [CrossRef]
- Graus, F.; Titulaer, M.J.; Balu, R.; Benseler, S.; Bien, C.G.; Cellucci, T.; Cortese, I.; Dale, R.C.; Gelfand, J.M.; Geschwind, M.; et al. A clinical approach to diagnosis of autoimmune encephalitis. Lancet Neurol. 2016, 15, 391–404. [Google Scholar] [CrossRef]
- Kelley, B.P.; Patel, S.C.; Marin, H.L.; Corrigan, J.J.; Mitsias, P.D.; Griffith, B. Autoimmune Encephalitis: Pathophysiology and Imaging Review of an Overlooked Diagnosis. Am. J. Neuroradiol. 2017, 38, 1070–1078. [Google Scholar] [CrossRef]
- Abboud, H.; Probasco, J.C.; Irani, S.; Ances, B.; Benavides, D.R.; Bradshaw, M.; Christo, P.P.; Dale, R.C.; Fernandez-Fournier, M.; Flanagan, E.P.; et al. Autoimmune encephalitis: Proposed best practice recommendations for diagnosis and acute management. J. Neurol. Neurosurg. Psychiatry 2021, 92, 757–768. [Google Scholar] [CrossRef]
- Tanaka, K.; Kawamura, M.; Sakimura, K.; Kato, N. Significance of Autoantibodies in Autoimmune Encephalitis in Relation to Antigen Localization: An Outline of Frequently Reported Autoantibodies with a Non-Systematic Review. Int. J. Mol. Sci. 2020, 21, 4941. [Google Scholar] [CrossRef] [PubMed]
- Uy, C.E.; Binks, S.; Irani, S.R. Autoimmune encephalitis: Clinical spectrum and management. Pract. Neurol. 2021, 21, 412–423. [Google Scholar] [CrossRef]
- Graus, F.; Escudero, D.; Oleaga, L.; Bruna, J.; Villarejo-Galende, A.; Ballabriga, J.; Barceló, M.I.; Gilo, F.; Popkirov, S.; Stourac, P.; et al. Syndrome and outcome of antibody-negative limbic encephalitis. Eur. J. Neurol. 2018, 25, 1011–1016. [Google Scholar] [CrossRef]
- Pradhan, S.; Das, A.; Das, A.; Mulmuley, M. Antibody negative autoimmune encephalitis- Does it differ from definite one? Ann. Indian Acad. Neurol. 2019, 22, 401–408. [Google Scholar] [CrossRef] [PubMed]
- Ferreira, J.H.F.; Disserol, C.C.D.; Dias, B.d.F.; Marques, A.C.; Cardoso, M.D.; Silva, P.V.d.C.; Toso, F.F.; Dutra, L.A. Recent advances in autoimmune encephalitis. Arq. Neuropsiquiatr. 2024, 82, 1–13. [Google Scholar] [CrossRef]
- Gultekin, S.H. Paraneoplastic limbic encephalitis: Neurological symptoms, immunological findings and tumour association in 50 patients. Brain 2000, 123, 1481–1494. [Google Scholar] [CrossRef]
- Urbach, H.; Soeder, B.M.; Jeub, M.; Klockgether, T.; Meyer, B.; Bien, C.G. Serial MRI of limbic encephalitis. Neuroradiology 2006, 48, 380–386. [Google Scholar] [CrossRef] [PubMed]
- Alshutaihi, M.S.; Mazketly, M.; Tabbakh, M.; Akkash, N.; Bahro, T.; Alsaman, M.Z.B. Mimickers of autoimmune encephalitis: A literature review. J. Int. Med. Res. 2024, 52, 03000605241248050. [Google Scholar] [CrossRef] [PubMed]
- Prüss, H. Autoantibodies in neurological disease. Nat. Rev. Immunol. 2021, 21, 798–813. [Google Scholar] [CrossRef]
- Sanvito, F.; Pichiecchio, A.; Paoletti, M.; Rebella, G.; Resaz, M.; Benedetti, L.; Massa, F.; Morbelli, S.; Caverzasi, E.; Asteggiano, C.; et al. Autoimmune encephalitis: What the radiologist needs to know. Neuroradiology 2024, 66, 653–675. [Google Scholar] [CrossRef]
- Ball, C.; Fisicaro, R.; Morris, L.; White, A.; Pacicco, T.; Raj, K.; Agarwal, A.; Lee, W.-C.; Yu, F.F. Brain on fire: An imaging-based review of autoimmune encephalitis. Clin. Imaging 2022, 84, 1–30. [Google Scholar] [CrossRef]
- Jammoul, A.; Li, Y.; Rae-Grant, A. Autoantibody-mediated encephalitis: Not just paraneoplastic, not just limbic, and not untreatable. Clevel. Clin. J. Med. 2016, 83, 43–53. [Google Scholar] [CrossRef]
- Schettino, C.; Caranci, F.; Lus, G.; Signoriello, E.; Eoli, M.; Anghileri, E.; Pollo, B.; Melone, M.A.B.; Di Iorio, G.; Finocchiaro, G.; et al. Diffuse glioblastoma resembling acute hemorrhagic leukoencephalitis. Quant. Imaging Med. Surg. 2017, 7, 592–597. [Google Scholar] [CrossRef]
- Xiong, Y.-J.; Zhao, X.; Wang, X.-Y.; Pan, D.-J.; Tian, D.-S. Multiple cerebral gliomas mimicking central nervous system inflammatory demyelinating diseases. Medicine 2017, 96, e9456. [Google Scholar] [CrossRef] [PubMed]
- Sa’adeh, I.; Saadh, M.J. Multifocal glioblastoma multiform with ‘encephalitis-like presentation’: A case report. Egypt. J. Radiol. Nucl. Med. 2021, 52, 33. [Google Scholar] [CrossRef]
- Cunha, B.; Talmasov, D.; Connolly, J. Herpes Simplex Virus (HSV-1) Encephalitis Mimicking Glioblastoma: Case Report and Review of the Literature. J. Clin. Med. 2014, 3, 1392–1401. [Google Scholar] [CrossRef] [PubMed]
- Nam, T.-S.; Choi, K.-H.; Kim, M.-K.; Cho, K.-H. Glioblastoma Mimicking Herpes Simplex Encephalitis. J. Korean Neurosurg. Soc. 2011, 50, 119–122. [Google Scholar] [CrossRef]
- Peeraully, T.; Landolfi, J.C. Herpes Encephalitis Masquerading as Tumor. ISRN Neurol. 2011, 2011, 474672. [Google Scholar] [CrossRef] [PubMed]
- Piper, K.; Foster, H.; Gabel, B.; Nabors, B.; Cobbs, C. Glioblastoma Mimicking Viral Encephalitis Responds to Acyclovir: A Case Series and Literature Review. Front. Oncol. 2019, 9, 8. [Google Scholar] [CrossRef]
- Lu, J.; Zhang, J.-H.; Miao, A.-L.; Yin, J.-X.; Zhu, D.-L.; Lin, X.-J.; Chen, D.-W.; Shi, J.-P. Brain astrocytoma misdiagnosed as anti-NMDAR encephalitis: A case report. BMC Neurol. 2019, 19, 210. [Google Scholar] [CrossRef]
- Athauda, D.; Delamont, R.S.; De Pablo-Fernandez, E. High Grade Glioma Mimicking Voltage Gated Potassium Channel Complex Associated Antibody Limbic Encephalitis. Case Rep. Neurol. Med. 2014, 2014, 458790. [Google Scholar] [CrossRef]
- Macchi, Z.A.; Kleinschmidt-DeMasters, B.K.; Orjuela, K.D.; Pastula, D.M.; Piquet, A.L.; Baca, C.B. Glioblastoma as an autoimmune limbic encephalitis mimic: A case and review of the literature. J. Neuroimmunol. 2020, 342, 577214. [Google Scholar] [CrossRef]
- Mansfield, R.; Yong, W.; Shah, K.; Trip, S.A. Glioblastoma: A mimic of NMDA receptor encephalitis. BMJ Case Rep. 2020, 13, e237358. [Google Scholar] [CrossRef]
- Zoccarato, M.; Valeggia, S.; Zuliani, L.; Gastaldi, M.; Mariotto, S.; Franciotta, D.; Ferrari, S.; Lombardi, G.; Zagonel, V.; De Gaspari, P.; et al. Conventional brain MRI features distinguishing limbic encephalitis from mesial temporal glioma. Neuroradiology 2019, 61, 853–860. [Google Scholar] [CrossRef] [PubMed]
- Mitchell, D.; Shireman, J.; Potchanant, E.A.S.; Lara-Velazquez, M.; Dey, M. Neuroinflammation in Autoimmune Disease and Primary Brain Tumors: The Quest for Striking the Right Balance. Front. Cell. Neurosci. 2021, 15, 716947. [Google Scholar] [CrossRef] [PubMed]
- Li, X.; Gou, W.; Zhang, X. Neuroinflammation in Glioblastoma: Progress and Perspectives. Brain Sci. 2024, 14, 687. [Google Scholar] [CrossRef]
- Lin, H.; Liu, C.; Hu, A.; Zhang, D.; Yang, H.; Mao, Y. Understanding the immunosuppressive microenvironment of glioma: Mechanistic insights and clinical perspectives. J. Hematol. Oncol. 2024, 17, 31. [Google Scholar] [CrossRef]
- Kersch, C.N.; Ambady, P.; Hamilton, B.E.; Barajas, R.F. MRI and PET of Brain Tumor Neuroinflammation in the Era of Immunotherapy. Am. J. Roentgenol. 2022, 218, 582–596. [Google Scholar] [CrossRef]
- Altintas, A.; Dargvainiene, J.; Schneider-Gold, C.; Asgari, N.; Ayzenberg, I.; Ciplea, A.I.; Junker, R.; Leypoldt, F.; Wandinger, K.-P.; Hellwig, K. Gender issues of antibody-mediated diseases in neurology: (NMOSD/autoimmune encephalitis/MG). Ther. Adv. Neurol. Disord. 2020, 13, 1756286420949808. [Google Scholar] [CrossRef] [PubMed]
- Hemminki, K.; Liu, X.; Forsti, A.; Ji, J.; Sundquist, J.; Sundquist, K. Subsequent brain tumors in patients with autoimmune disease. Neuro-Oncology 2013, 15, 1142–1150. [Google Scholar] [CrossRef]
- Zhao, J.; Wang, C.; Xu, X.; Zhang, Y.; Ren, H.; Ren, Z.; Li, G.; Zhang, J.; Guan, H. Coexistence of Autoimmune Encephalitis and Other Systemic Autoimmune Diseases. Front. Neurol. 2019, 10, 1142. [Google Scholar] [CrossRef]
- Zhang, J.; Traylor, K.S.; Mountz, J.M. PET and SPECT Imaging of Brain Tumors. Semin. Ultrasound CT MRI 2020, 41, 530–540. [Google Scholar] [CrossRef]
- Wu, W.; Li, J.; Ye, J.; Wang, Q.; Zhang, W.; Xu, S. Differentiation of Glioma Mimicking Encephalitis and Encephalitis Using Multiparametric MR-Based Deep Learning. Front. Oncol. 2021, 11, 639062. [Google Scholar] [CrossRef]
- Zheng, F.; Yin, P.; Yang, L.; Wang, Y.; Hao, W.; Hao, Q.; Chen, X.; Hong, N. MRI-Based Machine Learning Fusion Models to Distinguish Encephalitis and Gliomas. J. Imaging Inform. Med. 2024, 37, 653–665. [Google Scholar] [CrossRef] [PubMed]
- Ludwig, N.; Keller, A.; Heisel, S.; Leidinger, P.; Klein, V.; Rheinheimer, S.; Andres, C.U.; Stephan, B.; Steudel, W.-I.; Graf, N.M.; et al. Improving Seroreactivity-Based Detection of Glioma. Neoplasia 2009, 11, 1383–1389. [Google Scholar] [CrossRef] [PubMed][Green Version]
- Ludwig, N.; Keller, A.; Comtesse, N.; Rheinheimer, S.; Pallasch, C.; Fischer, U.; Fassbender, K.; Steudel, W.I.; Lenhof, H.-P.; Meese, E. Pattern of Serum Autoantibodies Allows Accurate Distinction between a Tumor and Pathologies of the Same Organ. Clin. Cancer Res. 2008, 14, 4767–4774. [Google Scholar] [CrossRef] [PubMed]



| Case #1 | Case #2 | Case #3 | Case #4 | Case #5 | |
|---|---|---|---|---|---|
| Age | 50 | 65 | 70 | 57 | 45 |
| Sex | F | F | F | F | F |
| Clinical presentation at admission | Seizures, memory deficit, temporo-spatial desorientation, mild right upper limb motor deficit | Cognitive decline, memory deficit, low-grade fever, seizures | Progressive bizzarre behavioral changes, temporo-spatial disorientation, focal seizures | Psychomotor agitation, speech impairment lasting a few days, left arm clonic movements | Bizzarre behavioral changes, right arm tonico-clonic movements |
| CT | NSTR | NSTR | NSTR | NSTR | NSTR |
| EEG | Left epileptiforme discharges | Left epileptiform discharges | Left frontotemporal epileptiform discharges | Right hemispheric slow periodic discharges | Left hemispheric slow periodic discharges |
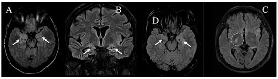
| Major MRI findings | Left parieto-occipital and thalamic FLAIR hyperintensities, with bilateral mesial temporal changes | Left mesial temporal lobe cortical thickening with FLAIR hyperintensity (subtle changes in right internal capsule) | Posterior left mesial temporal lobe FLAIR hyperintensity and ribbon-like cortical thickening | Right cortical frontal precentral FLAIR hyperintensity with no cortical thickening; subtle bilateral temporal changes (left > right) | Left cortical frontal-parietal, precentral FLAIR hyperintensity with ribbon-like thickening; subtle bilateral temporal changes (left > right) |
| Symmetry | Asymmetric; main alteration unilateral | Asymmetric; main alteration unilateral | Asymmetric; main alteration unilateral | Asymmetric; main alteration unilateral | Asymmetric; main alteration unilateral |
| Localization | Extra-limbic | Limbic system | Limbic system | Extra-limbic | Extra-limbic |
| CE | Absent | Absent | Absent | Absent | Absent |
| MRS | Partial Cho/Cr ratio inversion | NSTR | Moderate NAA reduction | NSTR | Partial Cho/Cr ratio inversion |
| CSF | NSTR | NSTR | Anti-HSV 1/2 IgG | OCB | Borderline rise in protein levels (0.45 g/L) |
| WB PET/CT | NSTR | NSTR | NSTR | NSTR | NSTR |
| Autoimmune serology | ANA | ANA | Anti-CRMP5, anti-HU, and ANA | Anti-NMDAR | Anti-TPO and APL |
| Oncologic history | NSTR | NSTR | History of colo-rectal cancer and basalioma (stable remission) | NSTR | NSTR |
| Previous autoimmune disorders | NSTR | NSTR | NSTR | Hashimoto thyroiditis, repeated miscarriage | Chronic thyroid disease |
| Suspected AE diagnosis | Possible autoimmune encephalitis (Ab-neg) | Possible autoimmune encephalitis (Ab-neg) | Possible paraneoplastic vs. autoimmune encephalitis | Possible anti-NMDA receptor encephalitis | Possible encephalopathy associated with autoimmune thyroid diseases |
| Case #1 | Case #2 | Case #3 | Case #4 | Case #5 | |
|---|---|---|---|---|---|
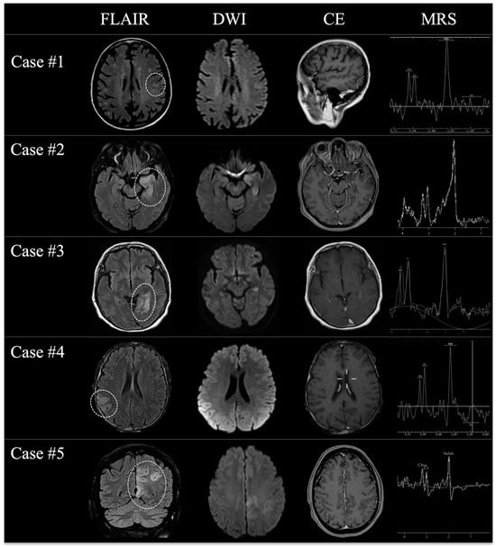
| First to second MRI scan interval (weeks) | 4 | 6 | 8 | 4 | 6 |
| Response to therapy | Partial | Partial | Sustained | Poor | Poor |
| Clinical presentation at follow-up | Persisting mild right upper limb motor deficit | Persisting cognitive and behavioral deterioration | NSTR | Relapsing speech disorder and left arm clonic movements | Behavioral changes and altered consciousness |
| Major MRI findings | Expansile edematous intra-axial lesion | Expansile edematous intra-axial lesion | Expansile edematous intra-axial lesion | Expansile edematous intra-axial lesion | Expansile edematous intra-axial lesion |
| Localization | Left parieto-occipital lobe | Left temporal lobe | Left temporal lobe | Right fronto-parietal region | Frontal lobe |
| CE | Irregular ring enhancement with inner necrotic core | Irregular ring enhancement with inner necrotic core | Irregular patchy enhancement | Irregular ring enhancement with inner necrotic core | Irregular ring enhancement with inner necrotic core |
| MRS | Increased Cho/NAA ratio, inverted Cho/Cr ratio, mild Lip-Lactate peak | Artifacts (significant NAA depletion, inverted Cho/Cr ratio) | Increased Cho/NAA ratio, inverted Cho/Cr ratio | Increased Cho/NAA ratio, inverted Cho/Cr ratio | Increased Cho/NAA ratio, inverted Cho/Cr ratio |
| Surgery | Biopsy | Gross total resection | Gross total resection | Partial resection | Partial resection |
| Pathology | GBM IDH wild-type, unmethylated | GBM IDH wild-type, unmethylated | GBM IDH wild-type, methylated | GBM IDH wild-type, unmethylated | GBM IDH wild-type, unmethylated |
| OS (months) | 7 | 18 | 15 | 9 | 7 |
Disclaimer/Publisher’s Note: The statements, opinions and data contained in all publications are solely those of the individual author(s) and contributor(s) and not of MDPI and/or the editor(s). MDPI and/or the editor(s) disclaim responsibility for any injury to people or property resulting from any ideas, methods, instructions or products referred to in the content. |
© 2025 by the authors. Licensee MDPI, Basel, Switzerland. This article is an open access article distributed under the terms and conditions of the Creative Commons Attribution (CC BY) license (https://creativecommons.org/licenses/by/4.0/).
Share and Cite
Negro, A.; D’Agostino, V.; Covelli, E.M.; Gemini, L.; Gragnano, E.; Tortora, M.; Elefante, A.; Chiapparini, L.; Russo, C. Autoimmune Encephalitis-like Presentation of Glioblastoma: Get to Know This Rare Occurrence. J. Clin. Med. 2025, 14, 3807. https://doi.org/10.3390/jcm14113807
Negro A, D’Agostino V, Covelli EM, Gemini L, Gragnano E, Tortora M, Elefante A, Chiapparini L, Russo C. Autoimmune Encephalitis-like Presentation of Glioblastoma: Get to Know This Rare Occurrence. Journal of Clinical Medicine. 2025; 14(11):3807. https://doi.org/10.3390/jcm14113807
Chicago/Turabian StyleNegro, Alberto, Vincenzo D’Agostino, Eugenio Maria Covelli, Laura Gemini, Eduardo Gragnano, Mario Tortora, Andrea Elefante, Luisa Chiapparini, and Camilla Russo. 2025. "Autoimmune Encephalitis-like Presentation of Glioblastoma: Get to Know This Rare Occurrence" Journal of Clinical Medicine 14, no. 11: 3807. https://doi.org/10.3390/jcm14113807
APA StyleNegro, A., D’Agostino, V., Covelli, E. M., Gemini, L., Gragnano, E., Tortora, M., Elefante, A., Chiapparini, L., & Russo, C. (2025). Autoimmune Encephalitis-like Presentation of Glioblastoma: Get to Know This Rare Occurrence. Journal of Clinical Medicine, 14(11), 3807. https://doi.org/10.3390/jcm14113807

