Reliability of Ultrasonographic Assessment of Sternal Micromotions by Physiotherapists in Patients with Median Sternotomy
Abstract
1. Introduction
2. Materials and Methods
2.1. Participants
2.2. Assessment and Data Collection
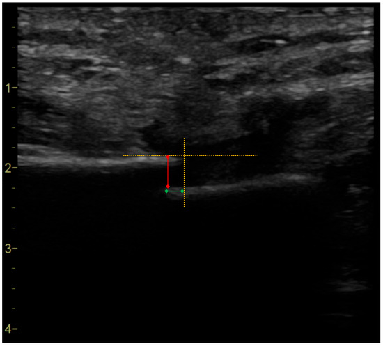
2.3. Real-Time Ultrasound Imaging Acquisition
2.4. Off-Line Ultrasound Imaging Data Elaboration
2.5. Statistical Analysis
2.6. Sample Size Estimation
3. Results
4. Discussion
5. Conclusions
Author Contributions
Funding
Institutional Review Board Statement
Informed Consent Statement
Data Availability Statement
Acknowledgments
Conflicts of Interest
References
- Bonow, R.O.; Carabello, B.A.; Kanu, C.; de Leon, A.C.; Faxon, D.P.; Freed, M.D.; Gaasch, W.H.; Lytle, B.W.; Nishimura, R.A.; O’Gara, P.T.; et al. ACC/AHA 2006 guidelines for the management of patients with valvular heart disease: A report of the American College of Cardiology/American Heart Association Task Force on Practice Guidelines (writing Committee to Revise the 1998 guidelines for the management of patients with valvular heart disease) developed in collaboration with the Society of Cardiovascular Anesthesiologists endorsed by the Society for Cardiovascular Angiography and Interventions and the Society of Thoracic Surgeons. J. Am. Coll. Cardiol. 2006, 48, e1–e148. [Google Scholar] [PubMed]
- Nooh, E.; Griesbach, C.; Rösch, J.; Weyand, M.; Harig, F. Development of a new sternal dehiscence prediction scale for decision making in sternal closure techniques after cardiac surgery. J. Cardiothorac. Surg. 2021, 16, 174. [Google Scholar] [CrossRef] [PubMed]
- Robicsek, F.; Fokin, A.; Cook, J.; Bhatia, D. Sternal instability after midline sternotomy. Thorac. Cardiovasc. Surg. 2000, 48, 1–8. [Google Scholar] [CrossRef] [PubMed]
- Stephens, R.S.; Whitman, G.J. Postoperative critical care of the adult cardiac surgical patient: Part II: Procedure-specific considerations, management of complications, and quality improvement. Crit. Care Med. 2015, 43, 1995–2014. [Google Scholar] [CrossRef]
- McDonall, J.; Heynsbergh, N.; Oxley, S.; Botti, M.; Hutchinson, A. Opportunities for patients to engage in postoperative recovery following cardiac surgery: A systematic narrative review. Patient Educ. Couns. 2020, 103, 2095–2106. [Google Scholar] [CrossRef]
- Niemann, B.; Vigelius-Rauch, U.; Hecker, A. Management of Cardiothoracic Surgery Complications. In Textbook of Emergency General Surgery; Coccolini, F., Catena, F., Eds.; Springer: Cham, Switzerland, 2023. [Google Scholar]
- Vestergaard, R.F.; Søballe, K.; Hasenkam, J.M.; Stilling, M. Sternal instability measured with radiostereometric analysis. A study of method feasibility, accuracy and precision. J. Cardiothorac. Surg. 2018, 13, 1–5. [Google Scholar] [CrossRef]
- El-Ansary, D.; Waddington, G.; Denehy, L.; McManus, M.; Fuller, L.; Katijjahbe, M.A.; Adams, R. Physical assessment of sternal stability following a median sternotomy for cardiac surgery: Validity and reliability of the sternal instability scale (SIS). Int. J. Phys. Ther. Rehab. 2018, 4, 2. [Google Scholar] [CrossRef]
- El-Ansary, D.; Waddington, G.; Adams, R. Measurement of non-physiological movement in sternal instability by ultrasound. Ann. Thorac. Surg. 2007, 83, 1513–1516. [Google Scholar] [CrossRef]
- Balachandran, S.; Sorohan, M.; Denehy, L.; Lee, A.; Royse, A.; Royse, C.; Ali, K.M.; El-Ansary, D. Is ultrasound a reliable and precise measure of sternal micromotion in acute patients after cardiac surgery? Int. J. Ther. Rehabil. 2017, 24, 62–70. [Google Scholar] [CrossRef]
- Pengelly, J.; Boggett, S.; Bryant, A.; Royse, C.; Royse, A.; Williams, G.; El-Ansary, D. SAfety and Feasibility of EArly resistance training after median sternotomy: The SAFE-ARMS study. Phys. Ther. 2022, 102, pzac056. [Google Scholar] [CrossRef]
- Rousson, V.; Gasser, T.; Seifert, B. Assessing intrarater, interrater and test-retest reliability of continuous measurements. Stat. Med. 2002, 21, 3431–3446. [Google Scholar] [CrossRef] [PubMed]
- Scholtes, V.A.; Terwee, C.B.; Poolman, R.W. What makes a measurement instrument valid and reliable? Injury 2011, 42, 236–240. [Google Scholar] [CrossRef] [PubMed]
- Balachandran, S.; Denehy, L.; Lee, A.; Royse, C.; Royse, A.; El-Ansary, D. Motion at the sternal edges during upper limb and trunk tasks in-vivo as measured by real-time ultrasound following cardiac surgery: A three-month prospective, observational study. Heart Lung Circ. 2019, 28, 1283–1291. [Google Scholar] [CrossRef]
- Cahalin, L.P.; Lapier, T.K.; Shaw, D.K. Sternal Precautions: Is It Time for Change? Precautions versus Restrictions—A Review of Literature and Recommendations for Revision. Cardiopulm. Phys. Ther. J. 2011, 22, 5–15. [Google Scholar] [CrossRef]
- Giardini, M.; Guenzi, M.; Arcolin, I.; Godi, M.; Pistono, M.; Caligari, M. Comparison of Two Techniques Performing the Supine-to-Sitting Postural Change in Patients with Sternotomy. J. Clin. Med. 2023, 12, 4665. [Google Scholar] [CrossRef]
- Abbasi, M.; Davudi, H.; Dianati, E. Psychometric Properties of Short Portable Mental Status Questionnaire for Older Adults. Aging Psychol. 2024, 10, 73–87. [Google Scholar]
- Tivendale, L.; El-Ansary, D.; Royse, A.; Royse, C.; Canty, D. R02 A sequential program of online, simulator and clinical mentored training for lung and sternal ultrasound for cardiothoracic nurses and physiotherapists. Heart Lung Circ. 2021, 30, S16–S17. [Google Scholar] [CrossRef]
- Zhu, Q.; Huang, Z.; Ma, Q.; Wu, Z.; Kang, Y.; Zhang, M.; Gan, T.; Wang, M. Supine versus semi-Fowler’s positions for tracheal extubation in abdominal surgery-a randomized clinical trial. BMC Anesthesiol. 2020, 20, 185. [Google Scholar] [CrossRef]
- Katijjahbe, M.A.; Denehy, L.; Granger, C.L.; Royse, A.; Royse, C.; Bates, R.; Logie, S.; Clarke, S. The Sternal Management Accelerated Recovery Trial (S.M.A.R.T)—Standard restrictive versus an intervention of modified sternal precautions following cardiac surgery via median sternotomy: Study protocol for a randomised controlled trial. Trials 2017, 18, 290. [Google Scholar] [CrossRef]
- Portney, L.G.; Watkins, M.P. Foundations of Clinical Research: Applications to Practice; Prentice Hall: Upper Saddle River, NJ, USA, 2000. [Google Scholar]
- McDowell, I. Measuring Health: A Guide to Rating Scales and Questionnaires; Oxford University Press: Oxford, UK, 2006. [Google Scholar]
- Terwee, C.B.; Bot, S.D.; de Boer, M.R.; Van der Windt, D.A.; Knol, D.L.; Dekker, J.; Bouter, L.M.; de Vet, H.C.W. Quality criteria were proposed for measurement properties of health status questionnaires. J. Clin. Epidemiol. 2007, 60, 34–42. [Google Scholar] [CrossRef]
- Mukaka, M.M. A guide to appropriate use of correlation coefficient in medical research. MMJ 2012, 24, 69–71. [Google Scholar]
- Bonett, D.G. Sample size requirements for estimating intraclass correlations with desired precision. Stat. Med. 2002, 21, 1331–1335. [Google Scholar] [CrossRef]
- Van Hooren, B.; Teratsias, P.; Hodson-Tole, E.F. Ultrasound imaging to assess skeletal muscle architecture during movements: A systematic review of methods, reliability, and challenges. J. Appl. Physiol. 2020, 128, 978–999. [Google Scholar] [CrossRef]
- Cheung, P.P.; Dougados, M.; Gossec, L. Reliability of ultrasonography to detect synovitis in rheumatoid arthritis: A systematic literature review of 35 studies (1415 patients). Arthritis Care Res. 2010, 62, 323–334. [Google Scholar] [CrossRef]
- Andrade, R.A.; do Sales Coriolano, M.D.G.W.; de Souza, E.L.H.; da Silva, J.H.C.; da Cunha, M.D.; Pernambuco, L.; Ribeiro, V.V.; da Silva, H.J. Reliability of ultrasound examination of hyoid bone displacement amplitude: A systematic review and meta-analysis. Dysphagia 2022, 37, 1375–1385. [Google Scholar] [CrossRef] [PubMed]
- Oo, W.M.; Linklater, J.M.; Daniel, M.; Saarakkala, S.; Samuels, J.; Conaghan, P.G.; Keen, H.I.; Deveza, L.A.; Hunter, D.J. Clinimetrics of ultrasound pathologies in osteoarthritis: Systematic literature review and meta-analysis. Osteoarthr. Cartil. 2018, 26, 601–611. [Google Scholar] [CrossRef]
- Mc Auliffe, S.; Mc Creesh, K.; Purtill, H.; O’Sullivan, K. A systematic review of the reliability of diagnostic ultrasound imaging in measuring tendon size: Is the error clinically acceptable? Phys. Ther. Sport 2017, 26, 52–63. [Google Scholar] [CrossRef] [PubMed]
- Valera-Calero, J.A.; Ojedo-Martin, C.; Fernández-de-Las-Peñas, C.; Cleland, J.A.; Arias-Buria, J.L.; Hervas-Perez, J.P. Reliability and validity of panoramic ultrasound imaging for evaluating muscular quality and morphology: A systematic review. Ultrasound Med. Biol. 2021, 47, 185–200. [Google Scholar] [CrossRef]
- El-Ansary, D.; Marshall, C.J.; Farragher, J.; Annoni, R.; Schwank, A.; McFarlane, J.; Bryant, A.; Han, J.; Webster, M.; Zito, G.; et al. Architectural anatomy of the quadriceps and the relationship with muscle strength: An observational study utilising real-time ultrasound in healthy adults. J. Anat. 2021, 239, 847–855. [Google Scholar] [CrossRef]
- El-Ansary, D.; LaPier, T.K.; Adams, J.; Gach, R.; Triano, S.; Katijjahbe, M.A.; Hirschhorn, A.D.; Mungovan, S.F.; Lotshaw, A.; Cahalin, L.P. An Evidence-Based Perspective on Movement and Activity Following Median Sternotomy. Phys. Ther. 2019, 99, 1587–1601. [Google Scholar] [CrossRef]
- Kwah, L.K.; Pinto, R.Z.; Diong, J.; Herbert, R.D. Reliability and validity of ultrasound measurements of muscle fascicle length and pennation in humans: A systematic review. J. Appl. Physiol. 2013, 114, 761–769. [Google Scholar] [CrossRef] [PubMed]
- Rathi, S.; Taylor, N.F.; Gee, J.; Green, R.A. Measurement of glenohumeral joint translation using real-time ultrasound imaging: A physiotherapist and sonographer intra-rater and inter-rater reliability study. Man. Ther. 2016, 26, 110–116. [Google Scholar] [CrossRef] [PubMed]
- Mayer, K.P.; Dhar, S.; Cassity, E.; Denham, A.; England, J.; Morris, P.E.; Dupont-Versteegden, E.E. Interrater Reliability of Muscle Ultrasonography Image Acquisition by Physical Therapists in Patients Who Have or Who Survived Critical Illness. Phys. Ther. 2020, 100, 1701–1711. [Google Scholar] [CrossRef]
- Sorrentino, R.; Esposito, R.; Pezzullo, E.; Galderisi, M. Real-time three-dimensional speckle tracking echocardiography: Technical aspects and clinical applications. Res. Rep. Clin. Cardiol. 2016, 7, 147–158. [Google Scholar] [CrossRef]
- Nicholson, J.A.; Tsang, S.T.J.; MacGillivray, T.J.; Perks, F.; Simpson, A.H.R.W. What is the role of ultrasound in fracture management?: Diagnosis and therapeutic potential for fractures, delayed unions, and fracture-related infection. BJR 2019, 8, 304–312. [Google Scholar] [CrossRef]
- McGregor, W.E.; Trumble, D.R.; Magovern, J.A. Mechanical analysis of midline sternotomy wound closure. J. Thorac. Cardiovasc. Surg. 1999, 117, 1144–1150. [Google Scholar] [CrossRef]
- Engelman, D.T.; Ben Ali, W.; Williams, J.B.; Perrault, L.P.; Reddy, V.S.; Arora, R.C.; Roselli, E.E.; Khoynezhad, A.; Gerdisch, M.; Levy, J.H.; et al. Guidelines for Perioperative Care in Cardiac Surgery: Enhanced Recovery After Surgery Society Recommendations. JAMA Surg. 2019, 154, 755–766. [Google Scholar] [CrossRef]
- Passantino, A.; Dalla Vecchia, L.A.; Corrà, U.; Scalvini, S.; Pistono, M.; Bussotti, M.; Gambarin, F.I.; Scrutinio, D.; La Rovere, M.T. The future of exercise-based cardiac rehabilitation for patients with heart failure. Front. Cardiovasc. Med. 2021, 8, 709898. [Google Scholar] [CrossRef] [PubMed]
- Lentz, B.; Fong, T.; Rhyne, R.; Risko, N. A systematic review of the cost-effectiveness of ultrasound in emergency care settings. Ultrasound J. 2021, 13, 16. [Google Scholar] [CrossRef]
- Pengelly, J.; Pengelly, M.; Lin, K.Y.; Royse, C.; Royse, A.; Bryant, A.; Williams, G.; El-Ansary, D. Resistance training following median sternotomy: A systematic review and meta-analysis. Heart Lung Circ. 2019, 28, 1549–1559. [Google Scholar] [CrossRef]
- Ali, N.A.M.; El-Ansary, D.; Rahman, M.R.A.; Ahmad, S.; Royse, C.; Huat, C.T.; Nor, M.A.M.; Dillon, J.; Royse, A.; Haron, H.; et al. Early Supervised Incremental Resistance Training (ESpIRiT) following cardiac surgery via a median sternotomy: A study protocol of a multicentre randomised controlled trial. BMJ Open 2023, 13, e067914. [Google Scholar] [CrossRef] [PubMed]
- Bianchi, S. Ultrasound and bone: A pictorial review. J. Ultrasound. 2020, 23, 227–257. [Google Scholar] [CrossRef] [PubMed]
- Copeland, M.; Senkowski, C.; Ulcickas, M.; Mendelson, M.; Griepp, R.B. Breast size as a risk factor for sternal wound complications following cardiac surgery. Arch. Surg. 1994, 129, 757–759. [Google Scholar] [CrossRef]
- Schiraldi, L.; Jabbour, G.; Centofanti, P.; Giordano, S.; Abdelnour, E.; Gonzalez, M.; Raffoul, W.; di Summa, P.G. Deep sternal wound infections: Evidence for prevention, treatment, and reconstructive surgery. Arch. Plast. Surg. 2019, 46, 291–302. [Google Scholar] [CrossRef] [PubMed]
- Koo, T.K.; Li, M.Y. A guideline of selecting and reporting intraclass correlation coefficients for reliability research. J. Chiropr. Med. 2016, 15, 155–163. [Google Scholar] [CrossRef]
- Cid-Serra, X.; Hoang, W.; El-Ansary, D.; Canty, D.; Royse, A.; Royse, C. Clinical impact of point-of-care ultrasound in internal medicine inpatients: A systematic review. Ultrasound Med. Biol. 2022, 48, 170–179. [Google Scholar] [CrossRef]


| N = 33 | Mean ± SD |
|---|---|
| Age (yrs) | 65.9 ± 7.1 |
| BMI (kg/m2) | 25.0 ± 3.5 |
| Respiratory rate (number/min) | 19.7 ± 3.4 |
| Thorax circumference (cm) | 99.8 ± 10.3 |
| Frequency | |
| Sex (M) | 28 (85%) |
| Diabetes | 8 (24%) |
| COPD | 2 (6%) |
| Smoking history | 17 (52%) |
| Osteoporosis | 1 (3%) |
| Bilateral mamillary artery usage | 3 (9%) |
| Sternal instability by SIS | 5 (15%) |
| N = 33 | X-Axis (mm) | Y-Axis (mm) | ||||
|---|---|---|---|---|---|---|
| Median | IQR1 | IQR3 | Median | IQR1 | IQR3 | |
| Resting position | −1.6 | −2.3 | −1.2 | 1.3 | 0.8 | 1.7 |
| Cough | −0.9 | −1.7 | −0.6 | 1.2 | 0.6 | 1.6 |
| Rotational postural change | −0.8 | −1.4 | −0.3 | 1.3 | 0.7 | 1.7 |
| Postural change using IDSS | −0.9 | −1.3 | 0.3 | 1.4 | 0.8 | 2.0 |
| Variable | ICC | CI95 | SEM (mm) | MDC90 (mm) | |
|---|---|---|---|---|---|
| Lower | Upper | ||||
| Resting position, X-axis | 0.90 | 0.80 | 0.95 | 0.33 | 0.78 |
| Resting position, Y-axis | 0.89 | 0.76 | 0.94 | 0.27 | 0.62 |
| Cough, X-axis | 0.94 | 0.89 | 0.97 | 0.48 | 1.10 |
| Cough, Y-axis | 0.91 | 0.82 | 0.96 | 0.23 | 0.54 |
| Rotational postural change, X-axis | 0.77 | 0.59 | 0.88 | 0.60 | 1.40 |
| Rotational postural change, Y-axis | 0.88 | 0.77 | 0.94 | 0.30 | 0.70 |
| Postural change using IDSS, X-axis | 0.81 | 0.65 | 0.90 | 0.64 | 1.50 |
| Postural change using IDSS, Y-axis | 0.84 | 0.70 | 0.92 | 0.36 | 0.85 |
Disclaimer/Publisher’s Note: The statements, opinions and data contained in all publications are solely those of the individual author(s) and contributor(s) and not of MDPI and/or the editor(s). MDPI and/or the editor(s) disclaim responsibility for any injury to people or property resulting from any ideas, methods, instructions or products referred to in the content. |
© 2025 by the authors. Licensee MDPI, Basel, Switzerland. This article is an open access article distributed under the terms and conditions of the Creative Commons Attribution (CC BY) license (https://creativecommons.org/licenses/by/4.0/).
Share and Cite
Libiani, G.; Arcolin, I.; Guenzi, M.; Milani, G.; Pistono, M.; Corna, S.; Godi, M.; Giardini, M. Reliability of Ultrasonographic Assessment of Sternal Micromotions by Physiotherapists in Patients with Median Sternotomy. J. Clin. Med. 2025, 14, 3770. https://doi.org/10.3390/jcm14113770
Libiani G, Arcolin I, Guenzi M, Milani G, Pistono M, Corna S, Godi M, Giardini M. Reliability of Ultrasonographic Assessment of Sternal Micromotions by Physiotherapists in Patients with Median Sternotomy. Journal of Clinical Medicine. 2025; 14(11):3770. https://doi.org/10.3390/jcm14113770
Chicago/Turabian StyleLibiani, Gianluca, Ilaria Arcolin, Marco Guenzi, Giacomo Milani, Massimo Pistono, Stefano Corna, Marco Godi, and Marica Giardini. 2025. "Reliability of Ultrasonographic Assessment of Sternal Micromotions by Physiotherapists in Patients with Median Sternotomy" Journal of Clinical Medicine 14, no. 11: 3770. https://doi.org/10.3390/jcm14113770
APA StyleLibiani, G., Arcolin, I., Guenzi, M., Milani, G., Pistono, M., Corna, S., Godi, M., & Giardini, M. (2025). Reliability of Ultrasonographic Assessment of Sternal Micromotions by Physiotherapists in Patients with Median Sternotomy. Journal of Clinical Medicine, 14(11), 3770. https://doi.org/10.3390/jcm14113770

