Impact of Prior Periacetabular Osteotomy on Total Hip Arthroplasty Outcomes in Patients with Developmental Dysplasia of the Hip
Abstract
1. Introduction
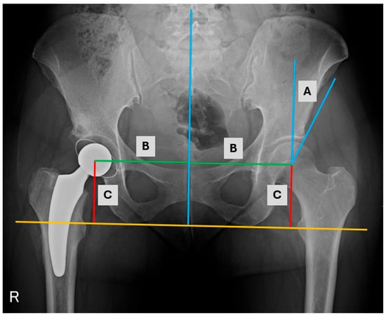
2. Materials and Methods
3. Results
4. Discussion
5. Conclusions
Author Contributions
Funding
Institutional Review Board Statement
Informed Consent Statement
Data Availability Statement
Conflicts of Interest
Abbreviations
| THA | Total Hip Arthroplasty |
| PAO | Periacetabular |
| DDH | Developmental Dysplasia of the Hip |
| OA | Osteoarthritis |
| MHHS | Modified Harris Hip Score |
| OHS | Osteoarthritis |
| BCI | Bone Coverage Index |
| BMI | Body Mass Index |
| HGB | Hemoglobin |
| HCT | Hematocrit |
| IQR | Interquartile range |
| PFO | proximal femoral osteotomy |
| ROM | Range of motion |
| FHC | Femoral Head Coverage |
References
- de Courtivron, B.; Brulefert, K.; Portet, A.; Odent, T. Residual acetabular dysplasia in congenital hip dysplasia. Orthop. Traumatol. Surg. Res. 2022, 108 (Suppl. S1), 103172. [Google Scholar] [CrossRef] [PubMed]
- Gala, L.; Clohisy, J.C.; Beaulé, P.E. Hip Dysplasia in the Young Adult. J. Bone Jt. Surg. Am. 2016, 98, 63–73. [Google Scholar] [CrossRef] [PubMed]
- Ganz, R.; Klaue, K.; Vinh, T.S.; Mast, J.W. A new periacetabular osteotomy for the treatment of hip dysplasias. Technique and preliminary results. Clin. Orthop. Relat. Res. 1988, 232, 26–36. [Google Scholar] [CrossRef]
- Millis, M.B.; McClincy, M. Periacetabular osteotomy to treat residual dysplasia in adolescents and young adults: Indications, complications, results. J. Child. Orthop. 2018, 12, 349–357. [Google Scholar] [CrossRef] [PubMed]
- Sambandam, S.N.; Hull, J.; Jiranek, W.A. Factors predicting the failure of Bernese periacetabular osteotomy: A meta-regression analysis. Int. Orthop. 2009, 33, 1483–1488. [Google Scholar] [CrossRef]
- Novais, E.N.; Ferraro, S.L.; Miller, P.; Kim, Y.J.; Millis, M.B.; Clohisy, J.C. Periacetabular Osteotomy for Symptomatic Acetabular Dysplasia in Patients >/=40 Years Old: Intermediate and Long-Term Outcomes and Predictors of Failure. J. Bone Jt. Surg. Am. 2023, 105, 1175–1181. [Google Scholar] [CrossRef]
- Ahmad, S.S.; Giebel, G.M.; Perka, C.; Meller, S.; Pumberger, M.; Hardt, S.; Stöckle, U.; Konrads, C. Survival of the dysplastic hip after periacetabular osteotomy: A meta-analysis. HIP Int. 2023, 33, 306–312. [Google Scholar] [CrossRef]
- Learmonth, I.D.; Young, C.; Rorabeck, C. The operation of the century: Total hip replacement. Lancet 2007, 370, 1508–1519. [Google Scholar] [CrossRef]
- Röder, C.; Staub, L.P.; Eggli, S.; Dietrich, D.; Busato, A.; Müller, U. Influence of preoperative functional status on outcome after total hip arthroplasty. J. Bone Jt. Surg. Am. 2007, 89, 11–17. [Google Scholar] [CrossRef]
- Wang, Y. Current concepts in developmental dysplasia of the hip and Total hip arthroplasty. Arthroplasty 2019, 1, 2. [Google Scholar] [CrossRef]
- Yang, S.; Cui, Q. Total hip arthroplasty in developmental dysplasia of the hip: Review of anatomy, techniques and outcomes. World J. Orthop. 2012, 3, 42–48. [Google Scholar] [CrossRef] [PubMed]
- Kim, C.-H.; Kim, J.W. Periacetabular osteotomy vs. total hip arthroplasty in young active patients with dysplastic hip: Systematic review and meta-analysis. Orthop. Traumatol. Surg. Res. 2020, 106, 1545–1551. [Google Scholar] [CrossRef] [PubMed]
- Crowe, J.F.; Mani, V.J.; Ranawat, C.S. Total hip replacement in congenital dislocation and dysplasia of the hip. J. Bone Jt. Surg. Am. 1979, 61, 15–23. [Google Scholar] [CrossRef]
- Brooker, A.F.; Bowerman, J.W.; Robinson, R.A.; Riley, L.H., Jr. Ectopic ossification following total hip replacement. Incidence and a method of classification. J. Bone Jt. Surg. Am. 1973, 55, 1629–1632. [Google Scholar] [CrossRef]
- Eggli, S.; Woo, A. Risk factors for heterotopic ossification in total hip arthroplasty. Arch. Orthop. Trauma Surg. 2001, 121, 531–535. [Google Scholar] [CrossRef] [PubMed]
- Zhu, Y.; Zhang, F.; Chen, W.; Zhang, Q.; Liu, S.; Zhang, Y. Incidence and risk factors for heterotopic ossification after total hip arthroplasty: A meta-analysis. Arch. Orthop. Trauma Surg. 2015, 135, 1307–1314. [Google Scholar] [CrossRef]
- Łęgosz, P.; Otworowski, M.; Sibilska, A.; Starszak, K.; Kotrych, D.; Kwapisz, A.; Synder, M. Heterotopic Ossification: A Challenging Complication of Total Hip Arthroplasty: Risk Factors, Diagnosis, Prophylaxis, and Treatment. BioMed Res. Int. 2019, 2019, 1–8. [Google Scholar] [CrossRef]
- Di Benedetto, P.; Andrea, Z.; Stefano, M.; Vanni, C.; Alessandro, B.; Renato, G.; Araldo, C. Heterotopic Ossification in Primary Total Hip Arthroplasty: Which is the role of drainage? Acta Bio Medica Atenei Parm. 2019, 90 (Suppl. S1), 92–97. [Google Scholar]
- Iorio, R.; Healy, W.L. Heterotopic ossification after hip and knee arthroplasty: Risk factors, prevention, and treatment. J. Am. Acad. Orthop. Surg. 2002, 10, 409–416. [Google Scholar] [CrossRef]
- De La Rocha, A.; Sucato, D.J.; Tulchin, K.; Podeszwa, D.A. Treatment of adolescents with a periacetabular osteotomy after previous pelvic surgery. Clin. Orthop. Relat. Res. 2012, 470, 2583–2590. [Google Scholar] [CrossRef]
- Kołodziejczyk, K.; Czwojdziński, A.; Sionek, A.; Czubak, J. Assessment of the endoprosthesis offset in a dysplastic coxarthrosis. Acta Orthop. Belg. 2022, 88, 541–548. [Google Scholar] [CrossRef] [PubMed]
- Kołodziejczyk, K.; Czubak-Wrzosek, M.; Kwiatkowska, M.; Czubak, J. Hip dysplasia in adolescence: Osteotomy in childhood improves the results of periacetabular osteotomy in adolescents and young adults: A prospective study. Bone Jt. J. 2022, 104-B, 775–780. [Google Scholar] [CrossRef]
- Wells, J.; Millis, M.; Kim, Y.J.; Bulat, E.; Miller, P.; Matheney, T. Survivorship of the Bernese Periacetabular Osteotomy: What Factors are Associated with Long-term Failure? Clin. Orthop. Relat. Res. 2017, 475, 396–405. [Google Scholar] [CrossRef]
- Troelsen, A.; Elmengaard, B.; Søballe, K. Medium-term outcome of periacetabular osteotomy and predictors of conversion to total hip replacement. J. Bone Jt. Surg. Am. 2009, 91, 2169–2179. [Google Scholar] [CrossRef] [PubMed]
- Willey, M.C.; Westermann, R.W.; Glass, N.; Goetz, J.E.; Aitken, H.; Fatemi, N.; Davison, J.; Miller, A.; Parker, E.; Fruehling, C.; et al. Risk Factors for Composite Failure of Hip Dysplasia Treated With Periacetabular Osteotomy: A Minimum 10-Year Follow-up. J. Am. Acad. Orthop. Surg. 2022, 30, E690–E702. [Google Scholar] [CrossRef]
- Ziran, N.; Varcadipane, J.; Kadri, O.; Ussef, N.; Kanim, L.; Foster, A.; Matta, J. Ten- and 20-year Survivorship of the Hip After Periacetabular Osteotomy for Acetabular Dysplasia. J. Am. Acad. Orthop. Surg. 2019, 27, 247–255. [Google Scholar] [CrossRef] [PubMed]
- Osawa, Y.; Hasegawa, Y.; Seki, T.; Amano, T.; Higuchi, Y.; Ishiguro, N. Significantly Poor Outcomes of Total Hip Arthroplasty After Failed Periacetabular Osteotomy. J. Arthroplast. 2016, 31, 1904–1909. [Google Scholar] [CrossRef]
- Peters, C.L.; Beck, M.; Dunn, H.K. Total hip arthroplasty in young adults after failed triple innominate osteotomy. J. Arthroplast. 2001, 16, 188–195. [Google Scholar] [CrossRef]
- Slavković, N.; Vukašinović, Z.; Šešlija, I.; Bukumirić, Z.; Baščarević, Z.; Spasovski, D. Acetabular component position of the noncemented total hip endoprosthesis after previous Chiari pelvic osteotomy. Acta Chir. Orthop. Traumatol. Cechoslov. 2013, 80, 287–294. [Google Scholar] [CrossRef]
- Ito, H.; Takatori, Y.; Moro, T.; Oshima, H.; Oka, H.; Tanaka, S. Total hip arthroplasty after rotational acetabular osteotomy. J. Arthroplast. 2015, 30, 403–406. [Google Scholar] [CrossRef]
- Tokunaga, K.; Aslam, N.; Zdero, R.; Schemitsch, E.H.; Waddell, J.P. Effect of prior Salter or Chiari osteotomy on THA with developmental hip dysplasia. Clin. Orthop. Relat. Res. 2011, 469, 237–243. [Google Scholar] [CrossRef] [PubMed]
- Yuasa, T.; Maezawa, K.; Nozawa, M.; Kaneko, K. Total hip arthroplasty after previous rotational acetabular osteotomy. Eur. J. Orthop. Surg. Traumatol. 2015, 25, 1057–1060. [Google Scholar] [CrossRef] [PubMed]
- Komiyama, K.; Hamai, S.; Motomura, G.; Ikemura, S.; Fujii, M.; Kawahara, S.; Nakashima, Y. Total hip arthroplasty after periacetabular osteotomy versus primary total hip arthroplasty: A propensity-matched cohort study. Arch. Orthop. Trauma Surg. 2021, 141, 1411–1417. [Google Scholar] [CrossRef] [PubMed]
- Kaneuji, A.; Sugimori, T.; Ichiseki, T.; Yamada, K.; Fukui, K.; Matsumoto, T. Minimum ten-year results of a porous acetabular component for Crowe I to III hip dysplasia using an elevated hip center. J. Arthroplast. 2009, 24, 187–194. [Google Scholar] [CrossRef]
- Ma, Y.; Luo, D.; Cheng, H.; Xiao, K.; Chai, W.; Li, R.; Zhang, H. Is cup positioning easier in DDH patients previously treated with Bernese periacetabular osteotomy? J. Orthop. Surg. Res. 2020, 15, 501. [Google Scholar] [CrossRef]



| Implant Type | Group A (n = 29) (THA After PAO) | Group B (n = 24) (THA Without PAO) |
|---|---|---|
| Stem (cementless) | ||
| CLS | 12 | 3 |
| Fitmore | 14 | 11 |
| Optymis | 3 | 7 |
| Accolade | 0 | 2 |
| Modulus | 0 | 1 |
| Cup (cementless) | ||
| Allofit | 26 | 14 |
| RM | 3 | 7 |
| Trident | 0 | 2 |
| Delta | 0 | 1 |
| Group A (n = 29) (THA After PAO) | Group B (n = 24) (THA Without PAO) | p-Value | |
|---|---|---|---|
| Male hips/Female hips | 0/29 | 0/24 | - |
| Age during THA (years) | 41.2 (36.1–45.9) | 44.8 (43–49) | 0.17 * |
| Body mass (kg) | 63 (58–70) | 70 (63–78) | 0.076 * |
| BMI (kg/m2) | 23.8 (22–27.1) | 24.9 (23.1–30.4) | 0.27 ** |
| Baseline concentration values of Hb (g/dL) | 13.7 (13–14.3) | 13.65 (12.9–14.2) | 0.96 * |
| HCT (%) | 41 (39–43) | 41 (39–43) | 0.4 * |
| Follow-up (months) | 53 (35–63) | 51.5 (31–59) | 0.63 * |
| Modified Harris Hip Score | 55.4 (52.7–56) | 56 (55.4–56.6) | 0.064 * |
| Oxford Hip Score | 19 (18–19) | 19 (18–20) | 0.095 * |
| Variable | Group A (n = 29) (THA After PAO) | Group B (n = 24) (THA Without PAO) | p-Value |
|---|---|---|---|
| FHC (%) | 71 (65.4–80) | 60.95 (55.4–64) | <0.001 * |
| Medialization before THA (mm) | 111 (102–120) | 113 (104–119) | 0.9 * |
| Distalization before THA (mm) | 82 (75–87) | 79.5 (72–83) | 0.17 * |
| Wiberg angle (°) | 12.8 (8.8–18) | 15 (10–18) | 0.4 * |
| Variable | Group A (n = 29) (THA After PAO) | Group B (n = 24) (THA Without PAO) | p-Value |
|---|---|---|---|
| Time of hospitalization (days) | 4.4 (3.7–4.8) | 3.6 (2.9–4.3) | 0.20 * |
| Hgb drop (preoperative vs. 3rd postoperative day) (g/dL) | 4.4 (3.6–4.8) | 3.6 (2.9–4.3) | 0.004 * |
| HCT 3 days after the surgery (%) | 27 (25–30) | 29.5 (27–31) | 0.02 * |
| Time of surgery (min) | 75 (60–85) | 65 (58.8–70) | 0.20 * |
| Modified Harris Hip Score | 89 (83–91) | 91 (91–91) | 0.03 * |
| Oxford Hip Score | 48 (46–48) | 48 (48–48) | 0.19 * |
| Duration between PAO and THA (months) | 72 (37–87) | — | — |
| Variable | Group A (n = 29) (THA After PAO) | Group B (n = 24) (THA Without PAO) | p-Value |
|---|---|---|---|
| Brooker scale (0/1/2/3/4) | 16/10/3/0/0 | 22/1/1/0/0 | 0.005 * |
| Medialization THA (mm) | 91 (88–95) | 92.5 (87–99) | 0.53 ** |
| Distalization THA (mm) | 79 (73–83) | 74.5 (69–77) | 0.004 ** |
| Inclination (°) | 48.1 (41–52.5) | 46.8 (43–51.6) | 0.88 ** |
| Anteversion (°) | 22.3 (15.7–28.7) | 21.6 (16.7–33.6) | 0.53 ** |
| Bone Coverage Index (%) | 84.8 (78.7–100) | 92.05 (81.4–100) | 0.27 ** |
| Cup implant size (mm) | 48 (45.5–50) | 48 (47.5–48) | 0.83 ** |
Disclaimer/Publisher’s Note: The statements, opinions and data contained in all publications are solely those of the individual author(s) and contributor(s) and not of MDPI and/or the editor(s). MDPI and/or the editor(s) disclaim responsibility for any injury to people or property resulting from any ideas, methods, instructions or products referred to in the content. |
© 2025 by the authors. Licensee MDPI, Basel, Switzerland. This article is an open access article distributed under the terms and conditions of the Creative Commons Attribution (CC BY) license (https://creativecommons.org/licenses/by/4.0/).
Share and Cite
Czwojdziński, A.; Leśniak, J.; Sionek, A.; Grzelecki, D.; Czubak, J. Impact of Prior Periacetabular Osteotomy on Total Hip Arthroplasty Outcomes in Patients with Developmental Dysplasia of the Hip. J. Clin. Med. 2025, 14, 3661. https://doi.org/10.3390/jcm14113661
Czwojdziński A, Leśniak J, Sionek A, Grzelecki D, Czubak J. Impact of Prior Periacetabular Osteotomy on Total Hip Arthroplasty Outcomes in Patients with Developmental Dysplasia of the Hip. Journal of Clinical Medicine. 2025; 14(11):3661. https://doi.org/10.3390/jcm14113661
Chicago/Turabian StyleCzwojdziński, Adam, Jakub Leśniak, Andrzej Sionek, Dariusz Grzelecki, and Jarosław Czubak. 2025. "Impact of Prior Periacetabular Osteotomy on Total Hip Arthroplasty Outcomes in Patients with Developmental Dysplasia of the Hip" Journal of Clinical Medicine 14, no. 11: 3661. https://doi.org/10.3390/jcm14113661
APA StyleCzwojdziński, A., Leśniak, J., Sionek, A., Grzelecki, D., & Czubak, J. (2025). Impact of Prior Periacetabular Osteotomy on Total Hip Arthroplasty Outcomes in Patients with Developmental Dysplasia of the Hip. Journal of Clinical Medicine, 14(11), 3661. https://doi.org/10.3390/jcm14113661

