Whole Span Plating Prevents Subsequent Ipsilateral Femoral Fractures After Peri-Implant Fixation: A Preliminary Report
Abstract
1. Introduction
2. Patients and Methods
2.1. Surgical Indications
2.2. Preoperative Planning
2.3. Surgical Technique
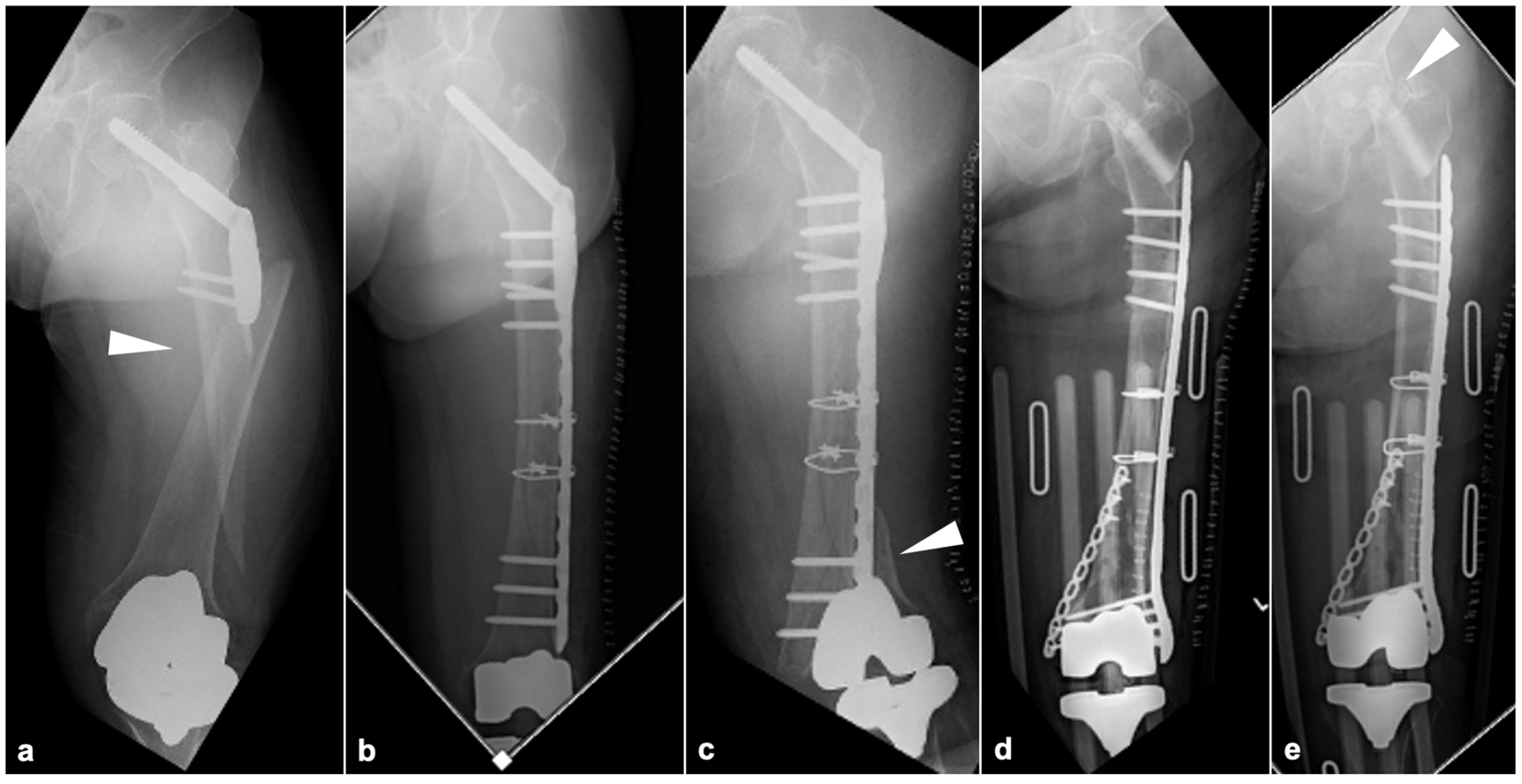
2.3.1. BHA/THA
2.3.2. SFN
2.3.3. TKA
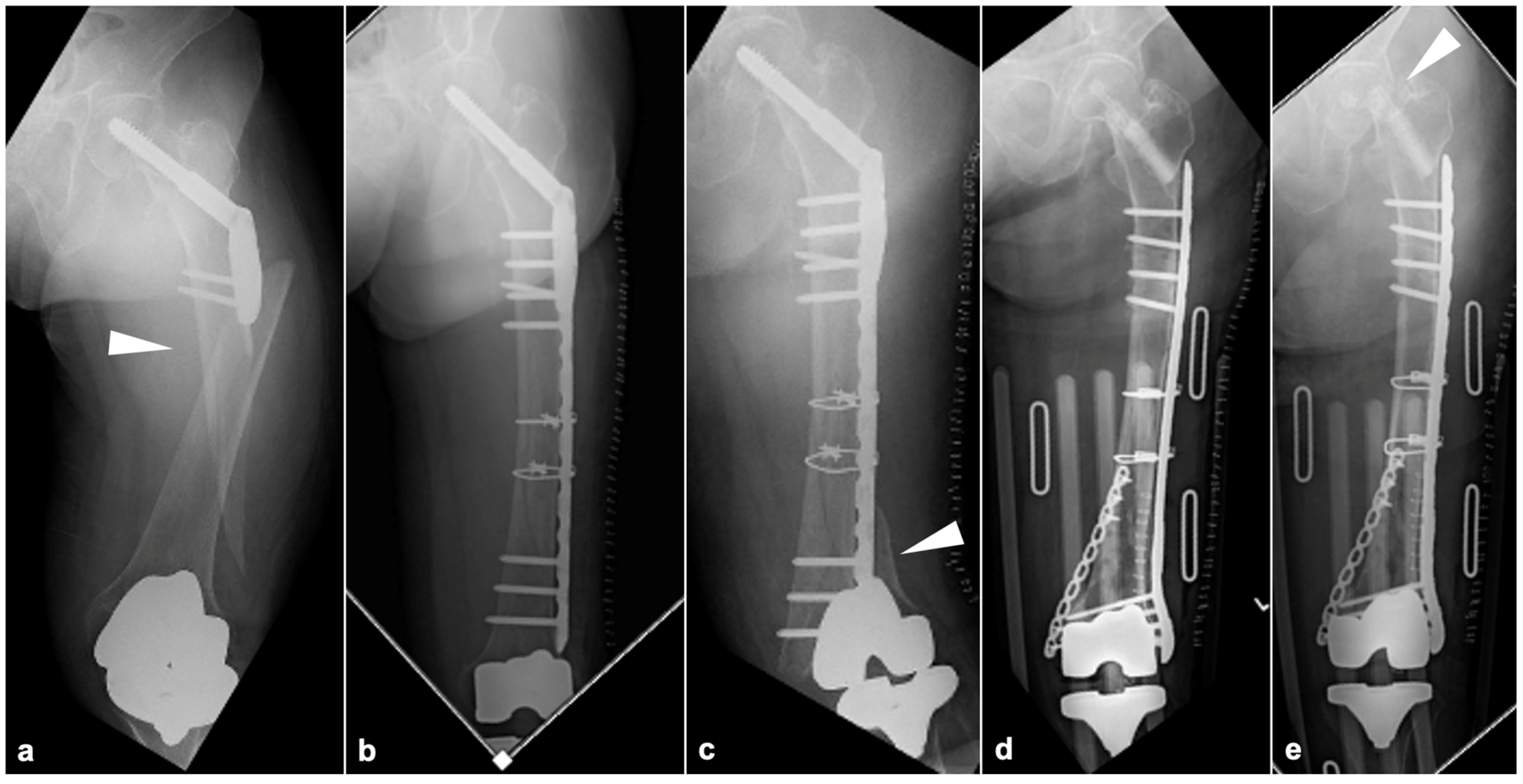
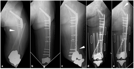
3. Results
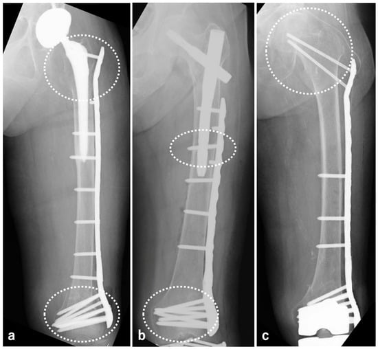
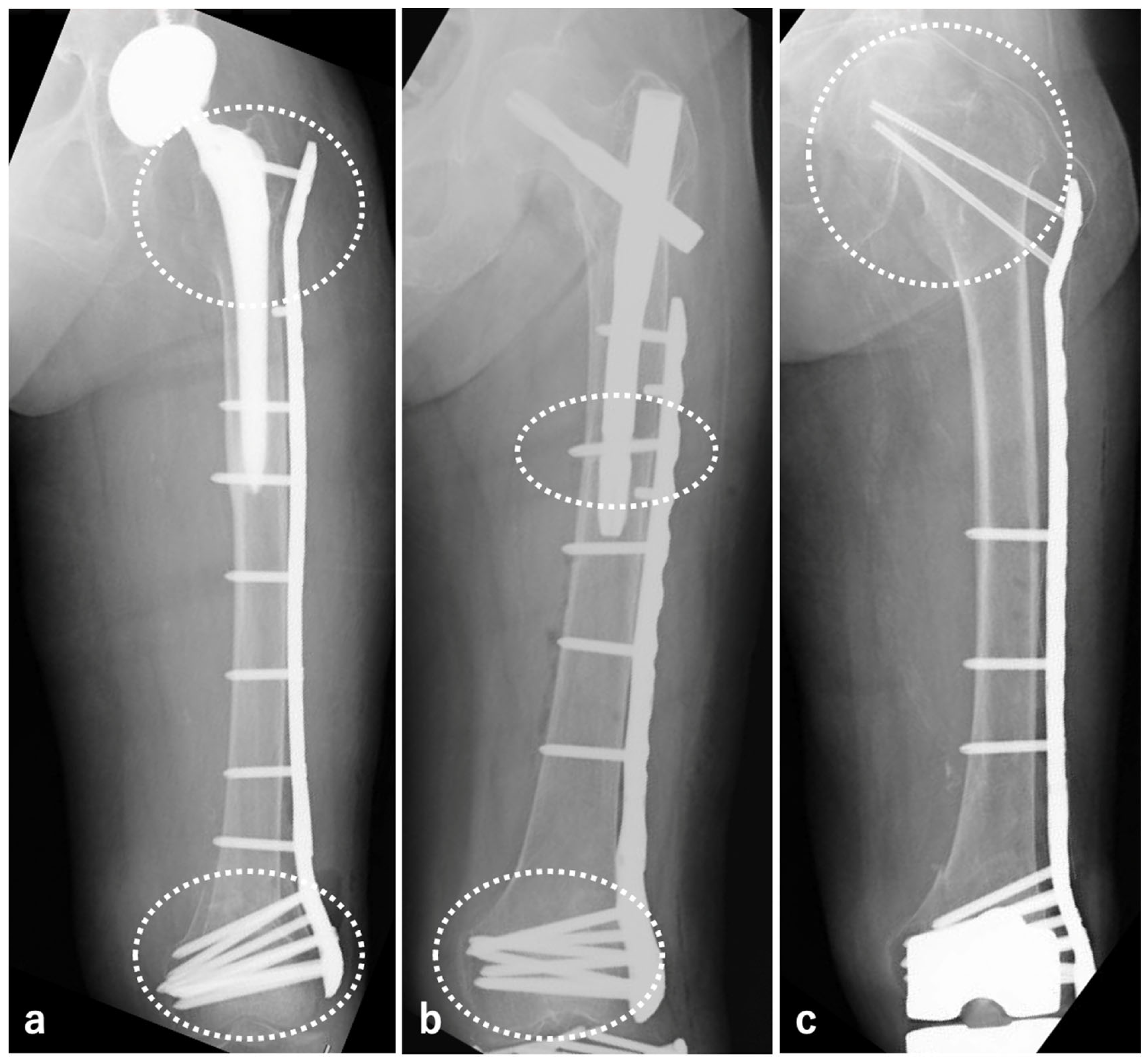
4. Discussion
5. Conclusions
Author Contributions
Funding
Institutional Review Board Statement
Informed Consent Statement
Data Availability Statement
Conflicts of Interest
References
- Nakatani, H. Ageing and shrinking population: The looming demographic challenges of super-aged and super-low fertility society starting from Asia. Glob. Health Med. 2023, 31, 257–263. [Google Scholar] [CrossRef] [PubMed]
- Ackerman, I.N.; Bohensky, M.A.; Zomer, E.; Tacey, M.; Gorelik, A.; Brand, C.A.; de Steiger, R. The projected burden of primary total knee and hip replacement for osteoarthritis in Australia to the year 2030. BMC Musculoskelet. Disord. 2019, 20, 90. [Google Scholar] [CrossRef] [PubMed]
- Coughlan, T.; Dockery, F. Osteoporosis and fracture risk in older people. Clin. Med. 2014, 14, 187–191. [Google Scholar] [CrossRef]
- Patsiogiannis, N.; Kanakaris, N.K.; Giannoudis, P.V. Periprosthetic hip fractures: An update into their management and clinical outcomes. EFORT Open Rev. 2021, 6, 75–692. [Google Scholar] [CrossRef]
- Canton, G.; Ratti, C.; Fattori, R.; Hoxhaj, B.; Murena, L. Periprosthetic knee fractures. A review of epidemiology, risk factors, diagnosis, management and outcome. Acta Biomed. 2017, 88, 118–128. [Google Scholar] [CrossRef]
- Hemmann, P.; Friederich, M.; Körner, D.; Klopfer, T.; Bahrs, C. Changing epidemiology of lower extremity fractures in adults over a 15-year period—A National Hospital Discharge Registry study. BMC Musculoskelet. Disord. 2021, 22, 456. [Google Scholar] [CrossRef]
- Chan, L.W.M.; Gardner, A.W.; Wong, M.K.; Chua, K.; Kwek, E.B.K.; Singapore Orthopaedic Research CollaborativE (SORCE). Non-prosthetic peri-implant fractures: Classification, management and outcomes. Arch. Orthop. Trauma Surg. 2018, 138, 791–802. [Google Scholar] [CrossRef]
- Randelli, F.; Pace, F.; Priano, D.; Giai Via, A.; Randelli, P. Re-fractures after periprosthetic femoral fracture: A difficult to treat growing evidence. Injury 2018, 49, S43–S47. [Google Scholar] [CrossRef]
- Lane, J.M.; Witayakom, W. What’s new in osteoporosis and fragility fractures. J. Bone Jt. Surg. Am. 2023, 105, 1303–1309. [Google Scholar] [CrossRef]
- Duncan, C.P.; Masri, B.A. Fractures of the femur after hip replacement. Instr. Course Lect. 1995, 44, 293–304. [Google Scholar]
- Rorabeck, C.H.; Taylor, J.W. Classification of periprosthetic fractures complicating total knee arthroplasty. Orthop. Clin. N. Am. 1999, 30, 209–214. [Google Scholar] [CrossRef] [PubMed]
- Takai, H.; Nonoue, Y.; Kitajima, M.; Hama, S.; Takahashi, T. Total femur fixation using the ‘nail-plate docking technique’ for ipsilateral femur shaft fracture. Trauma Case Rep. 2022, 42, 100722. [Google Scholar] [CrossRef] [PubMed]
- Kenny, P.; Rice, J.; Quinlan, W. Interprosthetic fracture of the femoral shaft. J. Arthroplast. 1998, 13, 361–364. [Google Scholar] [CrossRef]
- Aarden, J.J.; van der Esch, M.; Engelbert, R.H.H.; van der Schaaf, M.; de Rooij, S.E.; Buurman, B.M. Hip fractures in older patients: Trajectories of disability after surgery. J. Nutr. Health Aging 2017, 21, 837–842. [Google Scholar] [CrossRef]
- Chakravarthy, J.; Bansal, R.; Cooper, J. Locking plate osteosynthesis for Vancouver Type B1 and Type C periprosthetic fractures of femur: A report on 12 patients. Injury 2007, 38, 725–733. [Google Scholar] [CrossRef]
- Moloney, G.B.; Westrick, E.R.; Siska, P.A.; Tarkin, I.S. Treatment of periprosthetic femur fractures around a well-fixed hip arthroplasty implant: Span the whole bone. Arch. Orthop. Trauma Surg. 2014, 134, 9–14. [Google Scholar] [CrossRef]
- Füchtmeier, B.; Galler, M.; Müller, F. Mid-term results of 121 periprosthetic femoral fractures: Increased failure and mortality within but not after one postoperative year. J. Arthroplast. 2015, 30, 669–674. [Google Scholar] [CrossRef]
- Corten, K.; Vanrykel, F.; Bellemans, J.; Frederix, P.R.; Simon, J.P.; Broos, P.L. An algorithm for the surgical treatment of periprosthetic fractures of the femur around a well-fixed femoral component. J. Bone Jt. Surg. 2009, 91, 1424–1430. [Google Scholar] [CrossRef]
- Stoffel, K.; Sommer, C.; Meyer, C.; Schnettler, R. Chapter5.4 Internal fixation. In Periprosthetic Fracture Management; Schütz, M., Perka, C., Ruedi, T.P., Eds.; Geog Thime Verlag: New York, NY, USA, 2013; Volume 1, pp. 105–119. [Google Scholar]
- Lenz, M.; Perren, S.M.; Gueorguiev, B.; Richards, R.G.; Hofmann, G.O.; Fernandez dell’Oca, A.; Höntzsch, D.; Windolf, M. A biomechanical study on proximal plate fixation techniques in periprosthetic femur fractures. Injury 2014, 45, S71–S75. [Google Scholar] [CrossRef]
- Kim, M.B.; Cho, J.W.; Lee, Y.H.; Shon, W.Y.; Park, J.W.; Oh, J.K. Locking attachment plate fixation around a well-fixed stem in periprosthetic femoral shaft fractures. Arch. Orthop. Trauma Surg. 2017, 137, 1193–1200. [Google Scholar] [CrossRef]
- Walcher, M.G.; Giesinger, K.; du Sart, R.; Day, R.R.; Kuster, M.S. Plate positioning in periprosthetic or interprosthetic femur fractures with stable implants—A biomechanical study. J. Arthroplast. 2016, 31, 2894–2899. [Google Scholar] [CrossRef] [PubMed]
- Hou, Z.; Bowen, T.R.; Irgit, K.; Strohecker, K.; Matzko, M.E.; Widmaier, J.; Smith, W.R. Locked plating of periprosthetic femur fractures above total knee arthroplasty. J. Orthop. Trauma 2012, 26, 427–432. [Google Scholar] [CrossRef] [PubMed]
- Shon, O.J.; Cho, S.J.; Kim, G.B. Long locking plate combined with locking attachment plate in patients with periprosthetic femoral fracture around ipsilateral stem after total knee arthroplasty. BMC Musculoskelet. Disord. 2023, 24, 594. [Google Scholar] [CrossRef] [PubMed]
- Kösters, C.; den Toom, D.; Metzlaff, S.; Daniilidis, K.; Barz, L.; Roßlenbroich, S. Peri- and Interprosthetic Femoral Fractures—Current Concepts and New Developments for Internal Fixation. J. Clin. Med. 2022, 11, 1371. [Google Scholar] [CrossRef] [PubMed]
- Kim, J.; Kang, S.B.; Nam, K.; Rhee, S.H.; Won, J.W.; Han, H.S. Retrograde intramedullary nailing for distal femur fracture with osteoporosis. J. Orthop. Case Rep. 2012, 4, 307–312. [Google Scholar] [CrossRef]
- Sponer, P.; Korbel, M.; Grinac, M.; Prokes, L.; Bezrouk, A.; Kucera, T. The outcomes of cemented femoral revisions for periprosthetic femoral fractures in elderly: Comparison with cementless stems. Clin. Interv. Aging 2021, 16, 1869–1876. [Google Scholar] [CrossRef]
- Vicenti, G.; Bizzoca, D.; Solarino, G.; Carrozzo, M.; Belluati, A.; D’Arienzo, A.; De Carolis, O.; Moretti, B. Periprosthetic femoral re-fractures pathogenesis, classification, and surgical implications. Injury 2023, 54, S24–S30. [Google Scholar] [CrossRef]
- Lamb, J.N.; Evans, J.T.; Relton, S.; Whitehouse, M.R.; Wilkinson, J.M.; Pandit, H. The incidence of postoperative periprosthetic femoral fracture following total hip replacement: An analysis of UK National Joint Registry and Hospital Episodes statistics data. PLoS Med. 2024, 21, e1004462. [Google Scholar] [CrossRef]
- Gregson, C.L.; Compston, J.E. New national osteoporosis guidance-implications for geriatricians. Aging Clin. Exp. Res. 2022, 51, afac044. [Google Scholar] [CrossRef]
- Charde, S.H.; Joshi, A.; Raut, J. A comprehensive review on postmenopausal osteoporosis in women. Cureus 2023, 15, e48582. [Google Scholar] [CrossRef]
- Konda, S.R.; Perskin, C.R.; Parola, R.; Robitsek, R.J.; Ganta, A.; Egol, K.A. Trauma risk score also predicts blood transfusion requirements in geriatric hip fracture patients. Geriatr. Orthop. Surg. Rehabil. 2021, 12, 21514593211038387. [Google Scholar] [CrossRef] [PubMed]
- Kim, J.H.; Shin, H.J.; You, H.S.; Park, Y.; Ahn, K.H.; Jung, J.S.; Han, S.B.; Park, J.H.; Korea University Bloodless Medicine Center Scientific Committee. Effect of a patient blood management program on the appropriateness of red blood cell transfusion and clinical outcomes in elderly patients undergoing hip fracture surgery. J. Korean Med. Sci. 2023, 38, e64. [Google Scholar] [CrossRef] [PubMed]
- Min, B.W.; Cho, C.H.; Son, E.S.; Lee, K.J.; Lee, S.W.; Min, K.K. Minimally invasive plate osteosynthesis with locking compression plate in patients with Vancouver type B1 periprosthetic femoral fractures. Injury 2018, 49, 1336–1340. [Google Scholar] [CrossRef] [PubMed]




| Case | Age | Sex | Femoral Implant | Classification | Fracture History | Comorbidities |
|---|---|---|---|---|---|---|
| 1 | 73 | M | BHA | Vancouver-Type C | FNF | Chronic renal failure, chronic atrial fibrillation, hypertension |
| 2 | 71 | F | BHA | Vancouver-Type C | FNF, Peripro. FF | Hypertension |
| 3 | 88 | F | THA | Vancouver-Type C | None | Hypertension, severe osteoporosis |
| 4 | 70 | M | THA | Vancouver-Type C | None | Chronic atrial fibrillation, hypertension, valvular heart disease |
| 5 | 95 | F | THA | Vancouver-Type B1 | DFF | Hypertension, chronic heart failure, ischemic heart disease, severe osteoporosis |
| 6 | 54 | F | THA | Vancouver-Type B1+C | None | Hypertension |
| 7 | 93 | F | THA + TKA | Vancouver-Type C | None | Cerebrovascular accident, severe osteoporosis |
| 8 | 91 | F | SFN | NPPIF-Type N2A | FTF, PTF, AF | Cerebrovascular accident, severe osteoporosis |
| 9 | 74 | F | SFN | NPPIF-Type N2A | FTF | Arteriovenous malformation |
| 10 | 86 | F | TKA | L&R-Type 2 | FNF, FSF | Hypertension, severe osteoporosis |
| Case | ASA-PS | Osteoporosis Treatment History | Medication Details | PRBC (Units) | IOBL (mL) | OT (min) |
|---|---|---|---|---|---|---|
| 1 | 3 | No | None | 2 | 220 | 168 |
| 2 | 2 | No | None | 4 | 143 | 171 |
| 3 | 2 | No | None | 6 | 210 | 138 |
| 4 | 3 | Yes | Eldecalcitol | 2 | 640 | 209 |
| 5 | 2 | No | None | 2 | 50 | 92 |
| 6 | 2 | No | None | 8 | 172 | 252 |
| 7 | 3 | Yes | Teriparatide | 4 | 289 | 146 |
| 8 | 2 | Yes | Eldecalcitol, calcium aspartate, denosumab | 0 | 99 | 113 |
| 9 | 3 | Yes | Alendronate | 4 | 130 | 270 |
| 10 | 2 | No | None | 6 | 170 | 132 |
| Case | NWBP (Week) | Pre-Injury ADLs | Final ADLs | LHSD (Month) | Complications | Pre-ALS | Discharge Destination | FUP (Month) | Periprosthetic Re-Fracture |
|---|---|---|---|---|---|---|---|---|---|
| 1 | 4 | Independent Walking | Wheelchair | 3 | AP, Death | Home | Died at home | 3 | None |
| 2 | 8 | Independent Walking | Independent Walking | 3 | None | Home | Home | 21 | None |
| 3 | 4 | Walker | Wheelchair | 4 | None | Home | Nursing home | 24 | None |
| 4 | 4 | Independent Walking | Independent Walking | 2 | None | Home | Home | 12 | None |
| 5 | 2 | Walker | Walker | 2 | None | Home | Home | 13 | None |
| 6 | 8 | Independent Walking | Independent Walking | 3 | None | Home | Home | 18 | None |
| 7 | 2 | Walker | Walker | 3 | UTI | Home | Nursing home | 12 | None |
| 8 | 1 | Cane | Assisted Walking | 2 | None | Home | Home | 12 | None |
| 9 | 4 | Cane | Walker | 3 | None | Home | Home | 18 | None |
| 10 | 6 | Wheelchair | Wheelchair | 2.5 | None | Nursing home | Nursing home | 12 | None |
Disclaimer/Publisher’s Note: The statements, opinions and data contained in all publications are solely those of the individual author(s) and contributor(s) and not of MDPI and/or the editor(s). MDPI and/or the editor(s) disclaim responsibility for any injury to people or property resulting from any ideas, methods, instructions or products referred to in the content. |
© 2025 by the authors. Licensee MDPI, Basel, Switzerland. This article is an open access article distributed under the terms and conditions of the Creative Commons Attribution (CC BY) license (https://creativecommons.org/licenses/by/4.0/).
Share and Cite
Sato, S.; Hatashita, S.; Hakozaki, M.; Kameda, T.; Kaneuchi, Y.; Ito, M.; Matsumoto, Y. Whole Span Plating Prevents Subsequent Ipsilateral Femoral Fractures After Peri-Implant Fixation: A Preliminary Report. J. Clin. Med. 2025, 14, 3473. https://doi.org/10.3390/jcm14103473
Sato S, Hatashita S, Hakozaki M, Kameda T, Kaneuchi Y, Ito M, Matsumoto Y. Whole Span Plating Prevents Subsequent Ipsilateral Femoral Fractures After Peri-Implant Fixation: A Preliminary Report. Journal of Clinical Medicine. 2025; 14(10):3473. https://doi.org/10.3390/jcm14103473
Chicago/Turabian StyleSato, Shunsuke, Satoshi Hatashita, Michiyuki Hakozaki, Takuya Kameda, Yoichi Kaneuchi, Masayuki Ito, and Yoshihiro Matsumoto. 2025. "Whole Span Plating Prevents Subsequent Ipsilateral Femoral Fractures After Peri-Implant Fixation: A Preliminary Report" Journal of Clinical Medicine 14, no. 10: 3473. https://doi.org/10.3390/jcm14103473
APA StyleSato, S., Hatashita, S., Hakozaki, M., Kameda, T., Kaneuchi, Y., Ito, M., & Matsumoto, Y. (2025). Whole Span Plating Prevents Subsequent Ipsilateral Femoral Fractures After Peri-Implant Fixation: A Preliminary Report. Journal of Clinical Medicine, 14(10), 3473. https://doi.org/10.3390/jcm14103473

