Prenatal Diagnosis of Ductal Constriction in Normal Heart Anatomy—Are There Any Neonatal Consequences?
Abstract
1. Introduction
2. Materials and Methods
- Myocardial hypertrophy with septum thickness > 4.5 mm regardless of gestational age measured in M-Mode view [4].
- Tricuspid regurgitation seen in a four-chamber view (4CV) in a Color Doppler and in Pulsed Wave Doppler with peak systolic velocity > 1.5 m/s and duration > 80 ms [5].
- Bidirectional flow in foramen ovale (right-left and left-right flow) [6].
- Pericardial effusion seen in 4CV as >3 mm of fluid [6].
- Reversal flow in the aortic arch seen in a sagittal view [6].
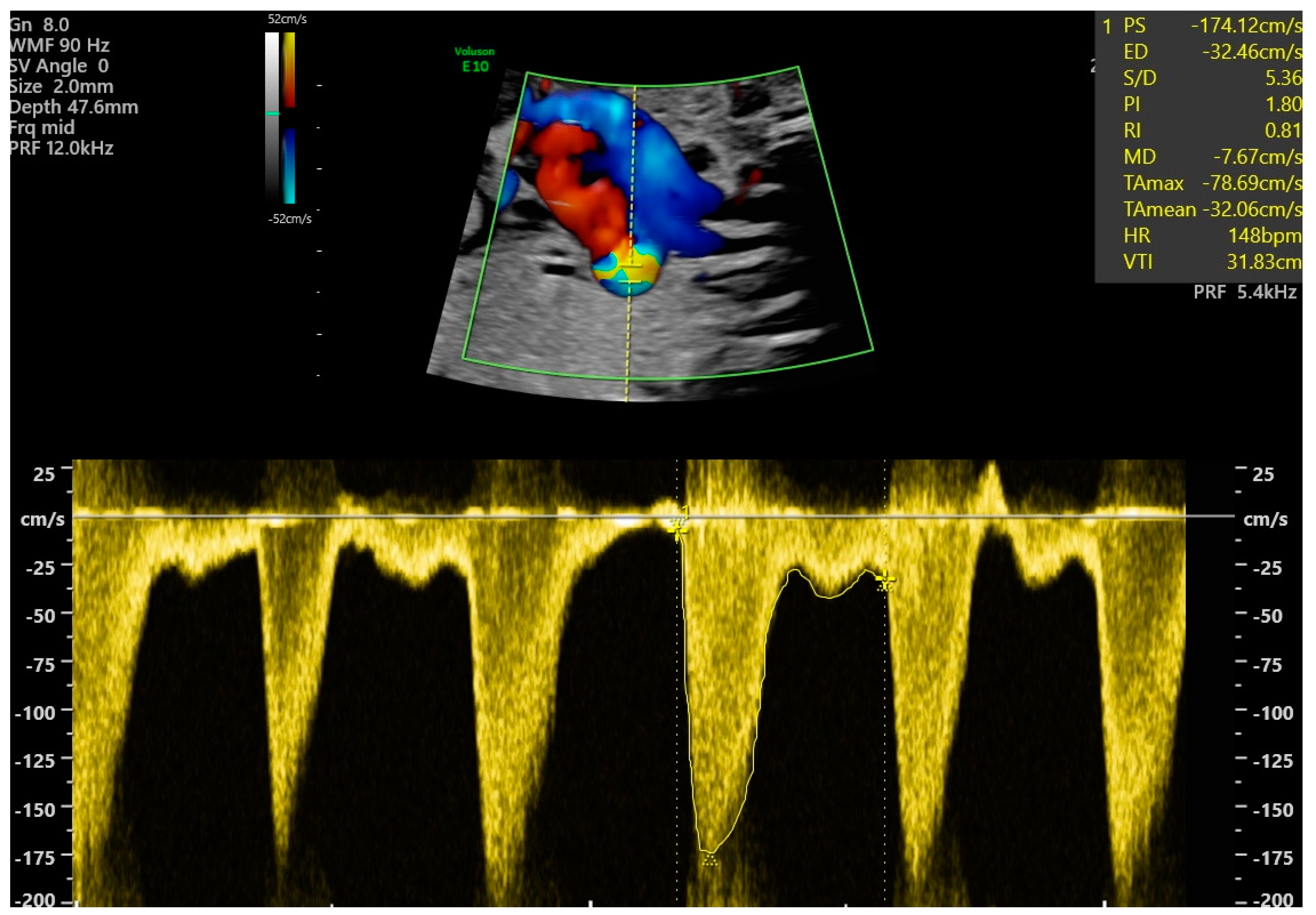
- Pulmonary valve insufficiency at the level of right ventricular outflow tract (RVOT) or pulmonary trunk seen in Color and Pulsewave Doppler during diastole [6].
3. Results
3.1. Fetal Functional Abnormalities
3.2. Neonatal Outcome
3.2.1. Mode and Gestational Age of Delivery
3.2.2. Neonates’ Birthweight, Apgar Score and Sex
3.2.3. Respiratory Problems
3.2.4. Bilirubin
3.2.5. Hospitalization Days
4. Discussion
5. Conclusions
Supplementary Materials
Author Contributions
Funding
Institutional Review Board Statement
Informed Consent Statement
Data Availability Statement
Conflicts of Interest
Abbreviations
| NHA | Normal heart anatomy |
| ECHO | Echocardiography |
| DC | Ductal constriction |
| NHS | Normal heart study |
| DA | Ductus arteriosus |
| PSV | Peak systolic velocity |
| PI | Pulsility index |
| PPHN | Pulmonary hypertension of the newborn |
| CHD | Congenital heart defect |
| ECM | Extracardiac malformation |
| TR | Tricuspid regurgitation |
| PE | Pericardial effusion |
| HA/CA | Heart area/chest area |
| 4CV | Four-chamber view |
| RVOT | Right ventricular outflow tract |
| RDS | Respiratory distress syndrome |
| MPA | Main pulmonary artery |
| RV | Right ventricle |
| LV | Left ventricle |
| PGE2 | Prostaglandin E2 |
| PDV | Peak diastolic velocity |
| DM | Diabetes mellitus |
| CVPS | Cardiovascular Profile Score |
| PA | Pulmonary artery |
| TsB | Total serum bilirubin |
| UTI | Urinary tract infection |
References
- Alvarez, S.G.V.; McBrien, A. Ductus arteriosus and fetal echocardiography: Implications for practice. Semin. Fetal Neonatal Med. 2018, 23, 285–291. [Google Scholar] [CrossRef] [PubMed]
- Sylwestrzak, O.; Respondek-Liberska, M. Echocardiographic Methods of Fetal Heart Size Assessmentheart to Chest Area Ratio and Transversal Heart Diameter. Prenat. Cardiol. 2018, 8, 20–23. [Google Scholar] [CrossRef]
- Respondek, M.; Respondek, A.; Huhta, J.C.; Wilczynski, J. 2D echocardiographic assessment of the fetal heart size in the 2nd and 3rd trimester of uncomplicated pregnancy. Eur. J. Obstet. Gynecol. Reprod. Biol. 1992, 44, 185–188. [Google Scholar] [CrossRef] [PubMed]
- Szmyd, B.; Biedrzycka, M.; Karuga, F.F.; Rogut, M.; Strzelecka, I.; Respondek-Liberska, M. Interventricular Septal Thickness as a Diagnostic Marker of Fetal Macrosomia. J. Clin. Med. 2021, 10, 949. [Google Scholar] [CrossRef]
- Respondek, M.L.; Kammermeier, M.; Ludomirsky, A.; Weil, S.R.; Huhta, J.C. The prevalence and clinical significance of fetal tricuspid valve regurgitation with normal heart anatomy. Am. J. Obstet. Gynecol. 1994, 171, 1265–1270. [Google Scholar] [CrossRef]
- Respondek-Liberska, M. Diagnostyka Prenatalna USG, 1st ed.; PZWL Wydawnictwo Lekarskie: Warszawa, Poland, 2019. [Google Scholar]
- Respondek-Liberska, M.; Sylwestrzak, O.; Murlewska, J.; Biały, Ł.; Krekora, M.; Tadros-Zins, M.; Gulczyńska, E.; Strzelecka, I. Fetal Third-Trimester Functional Cardiovascular Abnormalities and Neonatal Elevated Bilirubin Level. J. Clin. Med. 2023, 12, 6021. [Google Scholar] [CrossRef]
- Zielinsky, P. Constriction of fetal ductus arteriosus and maternal intake of polyphenol-rich foods. Pregnancy Cardio 2014, 4, 6–18. [Google Scholar] [CrossRef]
- Hung, Y.C.; Yeh, J.L.; Hsu, J.H. Molecular Mechanisms for Regulating Postnatal Ductus Arteriosus Closure. Int. J. Mol. Sci. 2018, 19, 1861. [Google Scholar] [CrossRef]
- Coceani, F.; Baragatti, B. Mechanisms for Ductus Arteriosus Closure. Semin. Perinatol. 2012, 36, 92–97. [Google Scholar] [CrossRef]
- Schiessl, B.; Schneider, K.T.; Zimmermann, A.; Kainer, F.; Friese, K.; Oberhoffer, R. Prenatal Constriction of the Fetal Ductus Arteriosus—Related to Maternal Pain Medication? Z. Geburtshilfe Neonatol. 2005, 209, 65–68. [Google Scholar] [CrossRef]
- Auer, M.; Brezinka, C.; Eller, P.; Luze, K.; Schweigmann, U.; Schwärzler, P. Prenatal diagnosis of intrauterine premature closure of the ductus arteriosus following maternal diclofenac application. Ultrasound Obs. Gyne 2004, 23, 513–516. [Google Scholar] [CrossRef] [PubMed]
- Paladini, D.; Marasini, M.; Volpe, P. Severe ductal constriction in the third-trimester fetus following maternal self-medication with nimesulide. Ultrasound Obs. Gyne 2005, 25, 357–361. [Google Scholar] [CrossRef] [PubMed]
- Respondek, M.; Weil, S.R.; Huhta, J.C. Fetal echocardiography during indomethacin treatment. Ultrasound Obs. Gyne 1995, 5, 86–89. [Google Scholar] [CrossRef] [PubMed]
- Norton, M.E. Teratogen update: Fetal effects of indomethacin administration during pregnancy. Teratology 1997, 56, 282–292. [Google Scholar] [CrossRef]
- Pugnaloni, F.; Doni, D.; Lucente, M.; Fiocchi, S.; Capolupo, I. Ductus Arteriosus in Fetal and Perinatal Life. J. Cardiovasc. Dev. Dis. 2024, 11, 113. [Google Scholar] [CrossRef]
- Uzun, O.; Babaoglu, K.; Ayhan, Y.I.; Moselhi, M.; Rushworth, F.; Morris, S.; Beattie, B.; Wiener, J.; Lewis, M.J. Diagnostic ultrasound features and outcome of restrictive foramen ovale in fetuses with structurally normal hearts. Pediatr. Cardiol. 2014, 35, 943–952. [Google Scholar] [CrossRef] [PubMed]
- Wilczynski, J.; Respondek, M.; Pertynski, T. Fetal Echocardiography (2D and M-mode) in Pregnant Women with Insulin Dependent Diabetes in the Second Half of Pregnancy. Int. J. Prenat. Perinat. Psychol. Med. 1993, 5, 27–32. [Google Scholar]
- Depla, A.L.; De Wit, L.; Steenhuis, T.J.; Slieker, M.G.; Voormolen, D.N.; Scheffer, P.G.; De Heus, R.; Van Rijn, B.B.; Bekker, M.N. Effect of maternal diabetes on fetal heart function on echocardiography: Systematic review and meta-analysis. Ultrasound Obs. Gyne 2021, 57, 539–550. [Google Scholar] [CrossRef]
- Suda-Całus, M.; Dąbrowska, K.; Gulczyńska, E. Infant of a diabetic mother: Clinical presentation, diagnosis and treatment. Pediatr. Endocrinol. Diabetes Metab. 2024, 30, 36–41. [Google Scholar] [CrossRef]
- Huhta, J.C. Guidelines for the Evaluation of Heart Failure in the Fetus With or Without Hydrops. Pediatr. Cardiol. 2004, 25, 274–286. [Google Scholar] [CrossRef]
- Van Vonderen, J.J.; Roest, A.A.W.; Klumper, F.J.C.; Hooper, S.B.; Te Pas, A.B. The effect of breathing on ductus arteriosus blood flow directly after birth. Eur. J. Pediatr. 2017, 176, 1581–1585. [Google Scholar] [CrossRef][Green Version]
- Zielinsky, P.; MagalhÃes, G.A.; Zurita-Peralta, J.; Sosa-OlavarrÍa, A.; Marinho, G.; Van Der Sand, L.; Sulis, N.M.; Nicoloso, L.H.; Piccoli, A., Jr.; Vian, I. Improvement in fetal pulmonary hypertension and maturity after reversal of ductal constriction: Prospective cohort study. Ultrasound Obs. Gyne 2021, 58, 420–427. [Google Scholar] [CrossRef] [PubMed]
- Kaplan, M.; Maisels, M.J. Natural history of early neonatal bilirubinemia: A global perspective. J. Perinatol. 2021, 41, 873–878. [Google Scholar] [CrossRef] [PubMed]
- Olusanya, B.O.; Kaplan, M.; Hansen, T.W.R. Neonatal hyperbilirubinaemia: A global perspective. Lancet Child Adolesc. Health 2018, 2, 610–620. [Google Scholar] [CrossRef] [PubMed]
- Chastain, A.P.; Geary, A.L.; Bogenschutz, K.M. Managing neonatal hyperbilirubinemia: An updated guideline. JAAPA 2024, 37, 19–25. [Google Scholar] [CrossRef] [PubMed]
- Kemper, A.R.; Newman, T.B.; Slaughter, J.L.; Maisels, M.J.; Watchko, J.F.; Downs, S.M.; Grout, R.W.; Bundy, D.G.; Stark, A.R.; Bogen, D.L.; et al. Clinical Practice Guideline Revision: Management of Hyperbilirubinemia in the Newborn Infant 35 or More Weeks of Gestation. Pediatrics 2022, 150, e2022058859. [Google Scholar] [CrossRef]
- Domosud, J.; Kulik-Rechberger, B. Maternal pre-pregnancy BMI and gestational weight gain as risk factors of jaundice in healthy newborns ≥ 37 weeks of gestation. J. Health Inequal 2022, 8, 137–144. [Google Scholar] [CrossRef]
- Özdek, S.; Kul, M.; Barış Akcan, A.; Çekmez, F.; Aydemir, G.; Aydınöz, S.; Karademir, F.; Süleymanoğlu, S. The effect of the pre-pregnancy weight of the mother and the gestational weight gain on the bilirubin level of term newborn. J. Matern. Fetal Neonatal Med. 2016, 29, 2434–2437. [Google Scholar] [CrossRef]
- Itova, T.D.; Georgieva, V.A. Prenatal factors for neonatal jaundice. J. IMAB 2022, 28, 4660–4665. [Google Scholar] [CrossRef]
- Mitra, S.; Rennie, J. Neonatal jaundice: Aetiology, diagnosis and treatment. Br. J. Hosp. Med. 2017, 78, 699–704. [Google Scholar] [CrossRef]
- Huang, J.; Zhao, Q.; Li, J.; Meng, J.; Li, S.; Yan, W.; Wang, J.; Ren, C. Correlation between neonatal hyperbilirubinemia and vitamin D levels: A meta-analysis. PLoS ONE 2021, 16, e0251584. [Google Scholar] [CrossRef] [PubMed]
- Zhou, W.; Wang, P.; Bai, Y.; Zhang, Y.; Shu, J.; Liu, Y. Vitamin D metabolic pathway genes polymorphisms and vitamin D levels in association with neonatal hyperbilirubinemia in China: A single-center retrospective cohort study. BMC Pediatr. 2023, 23, 275. [Google Scholar] [CrossRef] [PubMed] [PubMed Central]
- Baz, A.M.K.; El-Agamy, O.A.E.F.; Ibrahim, A.M. Incidence of urinary tract infection in neonates with significant indirect Hyperbilirubinemia of unknown etiology: Case-control study. Ital. J. Pediatr. 2021, 47, 35. [Google Scholar] [CrossRef] [PubMed]


| NHA-DC (n = 49) | NHA-NDC (n = 299) | p Value | |
|---|---|---|---|
| Maternal age (mean and SD) | 30.9 (±5.2) | 31.4 (±5.8) | >0.05 |
| Gestational age at exam (mean, SD) | 33 (±4.2) | 33 (±4.5) | >0.05 |
| Nulliparity (n, %) | 17 (34.7%) | 109 (36.5%) | >0.05 |
| Pregestational diabetes (n, %) | 3 (6%) | 9 (3%) | >0.05 |
| Gestational diabetes (n, %) | 13 (27%) | 39 (13%) | 0.016 |
| Hypertension (n, %) | 15 (30.6%) | 17 (5.7%) | <0.001 |
| BMI > 30 (n, %) | 4 (8%) | 30 (10%) | >0.05 |
| NHA-DC (n = 49) | NHA-NDC (n = 299) | p Value | |
|---|---|---|---|
| Gestational age at birth (median, IQR) | 39.0 (IQR 1.3) | 39.3 (IQR 1.7) | 0.006 |
| Birth weight (mean, SD) | 3258.9 (SD 450.5) | 3271.0 (SD 472.0) | >0.05 |
| 5th minute Apgar (median, IQR) | 10.0 (IQR 0.5) | 10.0 (IQR 1.0) | 0.027 |
| 5th minute Apgar < 7 (n, %) | 1 (2%) | 2 (0.7%) | >0.05 |
| Neonatal respiratory complications | 13 (27%) | 12 (4%) | <0.001 |
| Phototherapy for hyperbilirubinemia | 21 (43%) | 69 (23%) | 0.006 |
| Bilirubin level (median, IQR) | 13.3 (IQR 2.4) | 13.2 (IQR 1.8) | >0.05 |
| Days of hospitalization (median, IQR) | 4.0 (IQR 4.0) | 3.0 (IQR 2.0) | <0.001 |
| NHA-DC (n = 49) | NHA-NDC (n = 299) | p Value | |
|---|---|---|---|
| Incidence of neonatal breathing difficulties | 13 (27%) | 12 (4%) | <0.001 |
| Decreased O2 saturation treated with oxygen | 5 (10.2%) | 2 (0.7%) | <0.001 |
| X-ray suggesting RDS | 4 (8.2%) | 5 (1.7%) | 0.008 |
| Clinical signs of respiratory problems (intercostal retraction, cyanosis, respiratory effort) | 4 (8.2%) | 5 (1.7%) | 0.008 |
Disclaimer/Publisher’s Note: The statements, opinions and data contained in all publications are solely those of the individual author(s) and contributor(s) and not of MDPI and/or the editor(s). MDPI and/or the editor(s) disclaim responsibility for any injury to people or property resulting from any ideas, methods, instructions or products referred to in the content. |
© 2025 by the authors. Licensee MDPI, Basel, Switzerland. This article is an open access article distributed under the terms and conditions of the Creative Commons Attribution (CC BY) license (https://creativecommons.org/licenses/by/4.0/).
Share and Cite
Biały, Ł.H.; Talar, T.; Gulczyńska, E.; Strzelecka, I.; Respondek-Liberska, M. Prenatal Diagnosis of Ductal Constriction in Normal Heart Anatomy—Are There Any Neonatal Consequences? J. Clin. Med. 2025, 14, 3388. https://doi.org/10.3390/jcm14103388
Biały ŁH, Talar T, Gulczyńska E, Strzelecka I, Respondek-Liberska M. Prenatal Diagnosis of Ductal Constriction in Normal Heart Anatomy—Are There Any Neonatal Consequences? Journal of Clinical Medicine. 2025; 14(10):3388. https://doi.org/10.3390/jcm14103388
Chicago/Turabian StyleBiały, Łucja Hanna, Tomasz Talar, Ewa Gulczyńska, Iwona Strzelecka, and Maria Respondek-Liberska. 2025. "Prenatal Diagnosis of Ductal Constriction in Normal Heart Anatomy—Are There Any Neonatal Consequences?" Journal of Clinical Medicine 14, no. 10: 3388. https://doi.org/10.3390/jcm14103388
APA StyleBiały, Ł. H., Talar, T., Gulczyńska, E., Strzelecka, I., & Respondek-Liberska, M. (2025). Prenatal Diagnosis of Ductal Constriction in Normal Heart Anatomy—Are There Any Neonatal Consequences? Journal of Clinical Medicine, 14(10), 3388. https://doi.org/10.3390/jcm14103388

