Characteristics and Surgical Management of Bilateral Body Mandibular Fractures: A 23-Year Experience
Abstract
1. Introduction
2. Materials and Methods
Statistical Analysis
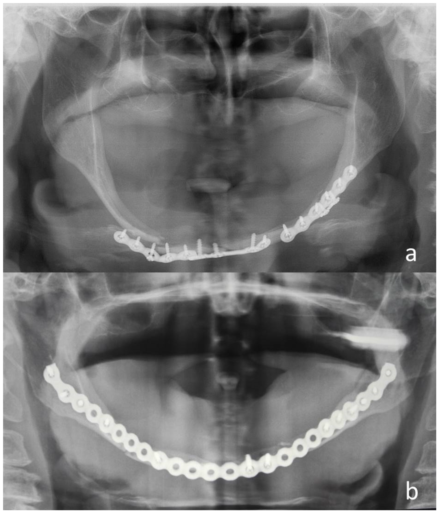
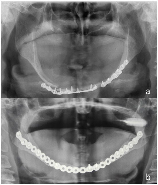
3. Results
4. Discussion
5. Conclusions
Author Contributions
Funding
Institutional Review Board Statement
Informed Consent Statement
Data Availability Statement
Conflicts of Interest
References
- Gassner, R.; Tuli, T.; Hächl, O.; Rudisch, A.; Ulmer, H. Cranio-maxillofacial trauma: A 10 year review of 9543 cases with 21,067 injuries. J. Cranio-Maxillofac. Surg. 2003, 31, 51–61. [Google Scholar] [CrossRef]
- Rose, M.J.; Cimba, M.J.; Day, S.; Bhatt, P.; Panchal, N.; Ford, B.P. Epidemiologic Patterns of Maxillofacial Trauma in a Metropolitan Area: A Retrospective Analysis. J. Oral. Maxillofac. Surg. 2021, 79, 2537.e1–e2537. [Google Scholar] [CrossRef] [PubMed]
- Afrooz, P.N.; Bykowski, M.R.; James, I.B.; Daniali, L.N.; Clavijo-Alvarez, J.A. The Epidemiology of Mandibular Fractures in the United States, Part 1: A Review of 13,142 Cases from the US National Trauma Data Bank. J. Oral. Maxillofac. Surg. 2015, 73, 2361–2366. [Google Scholar] [CrossRef] [PubMed]
- Morris, C.; Bebeau, N.P.; Brockhoff, H.; Tandon, R.; Tiwana, P. Mandibular fractures: An analysis of the epidemiology and patterns of injury in 4,143 fractures. J. Oral. Maxillofac. Surg. 2015, 73, 951.e1. [Google Scholar] [CrossRef] [PubMed]
- Oruç, M.; Işik, V.M.; Kankaya, Y.; Gürsoy, K.; Sungur, N.; Aslan, G.; Koçer, U. Analysis of fractured mandible over two decades. J. Craniofac. Surg. 2016, 27, 1457–1461. [Google Scholar] [CrossRef]
- Roccia, F.; Iocca, O.; Sobrero, F.; Rae, E.; Laverick, S.; Carlaw, K.; Aquilina, P.; Bojino, A.; Romeo, I.; Duran-Valles, F.; et al. World Oral and Maxillofacial Trauma (WORMAT) project: A multicenter prospective analysis of epidemiology and patterns of maxillofacial trauma around the world. J. Stomatol. Oral Maxillofac. Surg. 2022, 123, e849–e857. [Google Scholar] [CrossRef]
- Sobrero, F.; Roccia, F.; Omedè, M.; Merlo, F.; Dubron, K.M.; Politis, C.M.; Rabufetti, A.M.; Scolozzi, P.M.; Ramieri, G.M.; Birk, A.M.; et al. Current Strategies for Treatment of Mandibular Fractures with Plate Osteosynthesis: A European Prospective Study. J. Craniofac. Surg. 2024, 35, 1120–1124. [Google Scholar] [CrossRef] [PubMed]
- Cillo, J.E.; Ellis, E. Management of bilateral mandibular angle fractures with combined rigid and nonrigid fixation. J. Oral Maxillofac. Surg. 2014, 72, 106–111. [Google Scholar] [CrossRef]
- Moura, L.B.; dos Santos Trento, G.; de Azambuja Carvalho, P.H.; Granucci, M.; de Oliveira, J.C.S.; Pereira-Filho, V.A. Double unilateral, bilateral, and multiple mandibular fractures: An observational study. Oral Maxillofac. Surg. 2018, 22, 315–321. [Google Scholar] [CrossRef] [PubMed]
- Rughubar, V.; Vares, Y.; Singh, P.; Filipsky, A.; Creanga, A.; Iqbal, S.; Alkhalil, M.; Kormi, E.; Hanken, H.; Calle, A.R.; et al. Combination of Rigid and Nonrigid Fixation Versus Nonrigid Fixation for Bilateral Mandibular Fractures: A Multicenter Randomized Controlled Trial. J. Oral Maxillofac. Surg. 2020, 78, 1781–1794. [Google Scholar] [CrossRef]
- Halazonetis, J.A. The “weak” regions of the mandible. Br. J. Oral. Surg. 1968, 6, 37–48. [Google Scholar] [CrossRef]
- Pollock, R.A. (Ed.) The mandible. In Craniomaxillofacial Buttresses: Anatomy and Operative Repair; Thieme Medical Publishers, Inc.: Stuttgart, Germany, 2012; pp. 70–100. [Google Scholar]
- Zhou, H.; Lv, K.; Yang, R.; Li, Z.; Li, Z. Mechanics in the production of mandibular fractures: A clinical, retrospective case-control study. PLoS ONE 2016, 11, e0149553. [Google Scholar] [CrossRef]
- Rashid, A.; Eyeson, J.; Haider, D.; Van Gijn, D.; Fan, K. Incidence and patterns of mandibular fractures during a 5-year period in a London teaching hospital. Br. J. Oral Maxillofac. Surg. 2013, 51, 794–798. [Google Scholar] [CrossRef] [PubMed]
- de Matos, F.P.; Arnez, M.F.M.; Sverzut, C.E.; Trivellato, A.E. A retrospective study of mandibular fracture in a 40-month period. Int. J. Oral Maxillofac. Surg. 2010, 39, 10–15. [Google Scholar] [CrossRef] [PubMed]
- Brown, J.S.; Khan, A.; Wareing, S.; Schache, A.G. A new classification of mandibular fractures. Int. J. Oral Maxillofac. Surg. 2022, 51, 78–90. [Google Scholar] [CrossRef]
- Kidwai, S.M.; Lu, G.N. Mandibular Body Fractures. Facial Plast. Surg. Clin. North Am. 2022, 30, 99–108. [Google Scholar] [CrossRef] [PubMed]
- Huelke, D.F. Location of mandibular fractures related to teeth and edentulous regions. J. Oral Surg. Anesth. Hosp. Dent. Serv. 1964, 22, 396–405. [Google Scholar] [PubMed]
- Atwood, D.A. Some clinical factors related to rate of resorption of residual ridges. 1962. J. Prosthet. Dent. 2001, 86, 119–125. [Google Scholar] [CrossRef] [PubMed]
- Tallgren, A. The continuing reduction of the residual alveolar ridges in complete denture wearers: A mixed-longitudinal study covering 25 years. J. Prosthet. Dent. 2003, 89, 427–435. [Google Scholar] [CrossRef]
- Jacobs, R. Preoperative radiologic planning of implant surgery in compromised patients. Periodontology 2000 2003, 33, 12–25. [Google Scholar] [CrossRef] [PubMed]
- Krishnaraj, S.; Chinnasamy, R. A 4-year retrospective study of mandibular fractures in a south Indian City. J. Craniofac. Surg. 2007, 18, 776–780. [Google Scholar] [CrossRef] [PubMed]
- Kostakis, G.; Stathopoulos, P.; Dais, P.; Gkinis, G.; Igoumenakis, D.; Mezitis, M.; Rallis, G. An epidemiologic analysis of 1,142 maxillofacial fractures and concomitant injuries. Oral Surg. Oral Med. Oral Pathol. Oral Radiol. 2012, 114, S69–S73. [Google Scholar] [CrossRef]
- Goodday, R.H.B. Management of fractures of the mandibular body and symphysis. Oral Maxillofac. Surg. Clin. N. Am. 2013, 25, 601–616. [Google Scholar] [CrossRef]
- Buch, K.; Mottalib, A.; Nadgir, R.N.; Fujita, A.; Sekiya, K.; Ozonoff, A.; Sakai, O. Unifocal versus multifocal mandibular fractures and injury location. Emerg. Radiol. 2016, 23, 161–167. [Google Scholar] [CrossRef] [PubMed]
- Ellis, E.; Price, C. Treatment protocol for fractures of the atrophic mandible. J. Oral Maxillofac. Surg. 2008, 66, 421–435. [Google Scholar] [CrossRef] [PubMed]
- Gerbino, G.; Cocis, S.; Roccia, F.; Novelli, G.; Canzi, G.; Sozzi, D. Management of atrophic mandibular fractures: An Italian multicentric retrospective study. J. Cranio-Maxillofac. Surg. 2018, 46, 2176–2181. [Google Scholar] [CrossRef]
- Eyrich, G.K.H.; Grätz, K.W.; Sailer, H.F. Surgical treatment of fractures of the edentulous mandible. J. Oral Maxillofac. Surg. 1997, 55, 1081–1087. [Google Scholar] [CrossRef]
- Ehrenfeld, M.; Manson, P.N.; Preinm, J. (Eds.) Mantibular fractures. In Principles of Internal Fixation of the Craniomaxillofacial Skeleton. Trauma and Orthognathic Surgery; Georg Thieme Verlag KG: Stuttgart, Germany, 2012; pp. 135–179. [Google Scholar] [CrossRef]
- Luhr, H.G.; Reidick, T.; Merten, H.A. Results of treatment of fractures of the atrophic edentulous mandible by compression plating: A retrospective evaluation of 84 consecutive cases. J. Oral Maxillofac. Surg. 1996, 54, 250–254. [Google Scholar] [CrossRef]
- Ellis, E. Open reduction and internal fixation of combined angle and body/symphysis fractures of the mandible: How much fixation is enough? J. Oral Maxillofac. Surg. 2013, 71, 726–733. [Google Scholar] [CrossRef]
- Ellis, E. An algorithm for the treatment of noncondylar mandibular fractures. J. Oral Maxillofac. Surg. 2014, 72, 939–949. [Google Scholar] [CrossRef]
- Roccia, F.; Cocis, S.; Segura-Pallerès, I.; Duran-Valles, F.; Zanakis, S.N.; Petrov, P.; Konstantinovic, V.S.; Bottini, G.B. Surgical management of mandibular angle fractures: Does the extraction of the third molar lead to a change in the fixation pattern? A European multicenter survey. J. Oral Maxillofac. Surg. 2021, 79, 404–411. [Google Scholar] [CrossRef] [PubMed]
- Bell, R.B. The role of oral and maxillofacial surgery in the trauma care center. J. Oral Maxillofac. Surg. 2007, 65, 2544–2553. [Google Scholar] [CrossRef] [PubMed]
- Brucoli, M.; Boffano, P.; Romeo, I.; Corio, C.; Benech, A.; Ruslin, M.; Forouzanfar, T.; Rodríguez-Santamarta, T.; de Vicente, J.C.; Tarle, M.; et al. The epidemiology of edentulous atrophic mandibular fractures in Europe. J. Cranio-Maxillofac. Surg. 2019, 47, 1929–1934. [Google Scholar] [CrossRef]
- Bera, R.N.; Tiwari, P. Current evidence for the management of edentulous atrophic mandible fractures: A PRISMA-SWiM guided review. Craniomaxillofac. Trauma Reconstr. 2023, 16, 317–332. [Google Scholar] [CrossRef] [PubMed]
- Bojino, A.; Roccia, F.; Carlaw, K.; Aquilina, P.; Rae, E.; Laverick, S.; Romeo, I.; Iocca, O.; Copelli, C.; Sobrero, F.; et al. A multicentric prospective analysis of maxillofacial trauma in the elderly population. Dent Traumatol. 2022, 38, 185–195. [Google Scholar] [CrossRef] [PubMed]
- Zhang, Z.-X.; Xie, L.; Li, Z. Global, regional, and national burdens of facial fractures: A systematic analysis of the global burden of disease 2019. BMC Oral Health 2024, 24, 282. [Google Scholar] [CrossRef]
- Augat, P.; Morgan, E.; Lujan, T.; MacGillivray, T.; Cheung, W. Imaging techniques for the assessment of fracture repair. Injury 2014, 45 (Suppl. 2), S16–S22. [Google Scholar] [CrossRef]
- Lane, W.A. The Operative Treatment of Fractures; Medical Publishing Co.: London, UK, 1905; pp. 32–33. [Google Scholar]
- Luhr, H.G. On the stable osteosynthesis in mandibular fractures. Dtsch. Zahnarztl. Z. 1968, 23, 754. [Google Scholar]
- Speissl, B. Rigid internal fixation of fractures of the lower jaw. Reconstr. Surg. Traumatol. 1972, 13, 124–140. [Google Scholar]
- Roccia, F.; Sobrero, F.; Raveggi, E.; Rabufetti, A.; Scolozzi, P.; Dubron, K.; Politis, C.; Ganasouli, D.; Zanakis, S.N.; Jelovac, D.; et al. European multicenter prospective analysis of the use of maxillomandibular fixation for mandibular fractures treated with open reduction and internal fixation. J. Stomatol. Oral Maxillofac. Surg. 2023, 124, 101376s. [Google Scholar] [CrossRef]
- McKibbin, B. The biology of fracture healing in long bones. J. Bone Jt. Surg. Br. 1978, 60, 150–162. [Google Scholar] [CrossRef] [PubMed]
- Wolff, J. The classic: On the inner architecture of bones and its importance for bone growth. 1870. Clin. Orthop. 2010, 468, 1056–1065. [Google Scholar] [CrossRef]
- Michelet, F.X.; Moll, A. Surgical treatments of fractures of the corpus mandibulae without blockage, with diminutive screwed plates inserted via the endobuccal route. Rev. Odontostomatol. Midi. Fr. 1971, 29, 87–105. [Google Scholar]
- Michelet, F.X.; Deymes, J.; Dessus, B. Osteosynthesis with miniaturized screwed plates in maxillo-facial surgery. J. Maxillofac. Surg. 1973, 1, 79–84. [Google Scholar] [CrossRef] [PubMed]
- Champy, M.; Lodde, J.P. Syntheses mandibulaires. Localization des syntheses en fonction des contraintes mandibulaires [Mandibular synthesis. Placement of the synthesis as a function of mandibular stress]. Rev. Stomatol. Chir. Maxillofac. 1976, 77, 9716. [Google Scholar]
- Singleton, C.; Manchella, S.; Nastri, A.; Bordbar, P. Mandibular fractures–what a difference 30 years has made. Br. J. Oral. Maxillofac. Surg. 2022, 60, 1202–1208. [Google Scholar] [CrossRef] [PubMed]
- Kearns, G.J.; Perrott, D.H.; Kaban, L.B. Rigid fixation of mandibular fractures: Does operator experience reduce complications? J. Oral Maxillofac. Surg. 1994, 52, 226–231. [Google Scholar] [CrossRef] [PubMed]
- Stathopoulos, P.; Parara, E.; Krasadakis, C.; Nikolopoulou, A.; Giannikis, G.; Mourouzis, C. Management of the atrophic mandibular fractures: A ten-year prospective study of 48 injuries. Oral Maxillofac. Surg. 2024, 28, 1321–1325. [Google Scholar] [CrossRef]
- Mugino, H.; Takagi, S.; Oya, R.; Nakamura, S.; Ikemura, K. Miniplate osteosynthesis of fractures of the edentulous mandible. Clin. Oral Investig. 2005, 9, 58–62. [Google Scholar] [CrossRef]
- Wittwer, G.; Adeyemo, W.L.; Turhani, D.; Ploder, O. Treatment of atrophic mandibular fractures based on the degree of atrophy-experience with different plating systems: A retrospective study. J. Oral Maxillofac. Surg. 2006, 64, 230–234. [Google Scholar] [CrossRef] [PubMed]
- Melo, A.R.; De Aguiar Soares Carneiro, S.C.; Leal, J.L.F.; Vasconcelos, B.C.D.E. Fracture of the atrophic mandible: Case series and critical review. J. Oral Maxillofac. Surg. 2011, 69, 1430–1435. [Google Scholar] [CrossRef]
- Novelli, G.; Sconza, C.; Ardito, E.; Bozzetti, A. Surgical Treatment of the Atrophic Mandibular Fractures by Locked Plates Systems: Our Experience and a Literature Review. Craniomaxillofac. Trauma Reconstr. 2012, 5, 65–74. [Google Scholar] [CrossRef] [PubMed]
- Flores-Hidalgo, A.; Altay, M.A.; Atencio, I.C.; Manlove, A.E.; Schneider, K.M.; Baur, D.A.; Quereshy, F.A. Management of fractures of the atrophic mandible: A case series. Oral Surg. Oral Med. Oral Pathol. Oral Radiol. 2015, 119, 619–627. [Google Scholar] [CrossRef] [PubMed]
- Schilli, W.; Stoll, P.; Bahr, W. Mandibular fractures. In Manual of Internal Fixation in the Cranio-Facial Skeleton: Techniques Recommended by the AO/ASIF Maxillofacial Group; Springer: New York, NY, USA, 1998. [Google Scholar]
- Sikes, J.W.; Smith, B.R.; Mukherjee, D.P. An in vitro study of the effect of bony buttressing on fixation strength of a fractured atrophic edentulous mandible model. J. Oral Maxillofac. Surg. 2000, 58, 56–61. [Google Scholar] [CrossRef]
- Batbayar, E.O.; Bos, R.R.M.; van Minnen, B. A Treatment Protocol for Fractures of the Edentulous Mandible. J. Oral Maxillofac. Surg. 2018, 76, 2151–2160. [Google Scholar] [CrossRef] [PubMed]
- Müller, S.; Bürgers, R.; Ehrenfeld, M.; Gosau, M. Macroplate fixation of fractures of the edentulous atrophic mandible: Immediate function and masticatory rehabilitation. Clin. Oral Investig. 2011, 15, 151–156. [Google Scholar] [CrossRef] [PubMed]

| N | Sex | Age | Etiology | Mandibular Fracture Sites Associated | Approach | Treatment | Hospitalization (Days) |
|---|---|---|---|---|---|---|---|
| 1 | M | 18 | Sport | None | Intraoral | 2 plates 1.0 mm bilateral | 4 |
| 2 | F | 19 | RTA | None | Intraoral | 1 plate 1.0 mm right 2 plates 1.0 mm left | 5 |
| 3 | M | 19 | RTA | None | Intraoral | 2 plates 1.0 mm bilateral | 5 |
| 4 | M | 33 | RTA | None | Intraoral | 1 plate 1.5 mm left 2 plates 1.0 mm right | 9 |
| 5 | M | 56 | Work | None | Intraoral | 2 plates 1.0 mm bilateral | 21 |
| N | Sex | Age | Etiology | Mandibular Fracture Sites Associated | Atrophy Degree * | Approach | Treatment | Hospitalization (Days) |
|---|---|---|---|---|---|---|---|---|
| 6 | M | 37 | RTA | None | I | Extraoral | 1 plate 1.5 mm right 1 plate 1.0 mm left | 5 |
| 7 | F | 49 | Fall | None | I | Extraoral | Plate 2.0 mm | 9 |
| 8 | M | 55 | Assault | Symphysis | I | Intraoral | 2 plates 1.0 mm left 1 plate 1.0 mm right | 3 |
| 9 | M | 55 | Work | None | I | Intraoral | 1 plate 1.5 mm bilateral | 6 |
| 10 | M | 60 | Work | None | I | Intraoral | 1 plate 1.5 mm bilateral | 3 |
| 11 | M | 56 | Fall | None | II | Extraoral | 2 plates 1.0 mm bilateral | 4 |
| 12 | F | 76 | Fall | None | II | Extraoral | Plate 2.0 mm | 7 |
| 13 | M | 77 | Fall | None | II | Extraoral | 2 plates 1.0 mm bilateral | 6 |
| 14 | F | 81 | RTA | None | II | Exraoral | Plate 2.0 mm | 8 |
| 15 | F | 76 | Fall | None | III | Extraoral | 2 plates 1.0 mm bilateral | 3 |
| 16 | F | 80 | Fall | None | III | Extraoral | Plate 2.0 mm | 5 |
| 17 | F | 80 | Fall | None | III | Extraoral | 1 plate 1.5 mm right 1 plate 1.0 mm left | 5 |
| 18 | F | 81 | Fall | Symphysis | III | Extraoral | 1 plate 1.5 mm bilateral | 6 |
| 19 | F | 81 | Fall | None | III | Extraoral | Plate 2.0 mm | 11 |
| 20 | F | 82 | Fall | Symphysis | III | Extraoral | Plate 2.0 mm | 4 |
| 21 | F | 84 | Fall | None | III | Extraoral | Plate 2.0 mm | 6 |
| 22 | F | 84 | Fall | None | III | Extraoral | Plate 2.0 mm | 8 |
| 23 | F | 85 | Fall | None | III | Extraoral | Plate 2.0 mm | 7 |
| 24 | F | 87 | Fall | None | III | Extraoral | Plate 2.0 mm | 7 |
| 25 | M | 90 | RTA | None | III | Extraoral | Plate 2.0 mm | 4 |
| 26 | F | 94 | Fall | None | III | Extraoral | Plate 2.0 mm | 7 |
| Dentate Patients n | Edentulous Patients n | p Value | |
|---|---|---|---|
| Age (years) | |||
| median (IQR) | 19.0 (26.0) | 80.0 (26.0) | <0.001 * |
| Cause | |||
| Assault | 0 | 1 (5%) | 0.008 ° |
| Fall | 0 | 15 (71%) | |
| Work | 1 (20%) | 2 (10%) | |
| RTA | 3 (60%) | 3 (14%) | |
| Sport | 1 (20%) | 0 | |
| Hospital stay (days) | |||
| median (IQR) | 5 (3) | 6 (3) | 0.801 * |
| Surgical approach | |||
| Intraoral | 5 (100%) | 3 (14%) | <0.001 ° |
| Extraoral | 0 | 18 (86%) | |
| Type of treatment | |||
| Plates 2.0 or 2.5mm | 0 | 12 (57%) | 0.042 ° |
| Plates 1.0 or 1.5 mm | 5 | 9 (43%) |
Disclaimer/Publisher’s Note: The statements, opinions and data contained in all publications are solely those of the individual author(s) and contributor(s) and not of MDPI and/or the editor(s). MDPI and/or the editor(s) disclaim responsibility for any injury to people or property resulting from any ideas, methods, instructions or products referred to in the content. |
© 2024 by the authors. Licensee MDPI, Basel, Switzerland. This article is an open access article distributed under the terms and conditions of the Creative Commons Attribution (CC BY) license (https://creativecommons.org/licenses/by/4.0/).
Share and Cite
Roccia, F.; Cena, P.; Cremona, G.; Garzino Demo, P.; Sobrero, F. Characteristics and Surgical Management of Bilateral Body Mandibular Fractures: A 23-Year Experience. J. Clin. Med. 2025, 14, 160. https://doi.org/10.3390/jcm14010160
Roccia F, Cena P, Cremona G, Garzino Demo P, Sobrero F. Characteristics and Surgical Management of Bilateral Body Mandibular Fractures: A 23-Year Experience. Journal of Clinical Medicine. 2025; 14(1):160. https://doi.org/10.3390/jcm14010160
Chicago/Turabian StyleRoccia, Fabio, Paolo Cena, Giulia Cremona, Paolo Garzino Demo, and Federica Sobrero. 2025. "Characteristics and Surgical Management of Bilateral Body Mandibular Fractures: A 23-Year Experience" Journal of Clinical Medicine 14, no. 1: 160. https://doi.org/10.3390/jcm14010160
APA StyleRoccia, F., Cena, P., Cremona, G., Garzino Demo, P., & Sobrero, F. (2025). Characteristics and Surgical Management of Bilateral Body Mandibular Fractures: A 23-Year Experience. Journal of Clinical Medicine, 14(1), 160. https://doi.org/10.3390/jcm14010160

