Kissing Balloon-Stent Technique for Simple Bifurcation Lesions
Abstract
1. Introduction
2. Methods
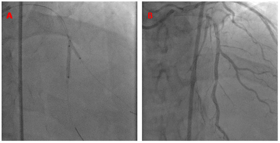
3. Technique Description and Rationale
4. Results
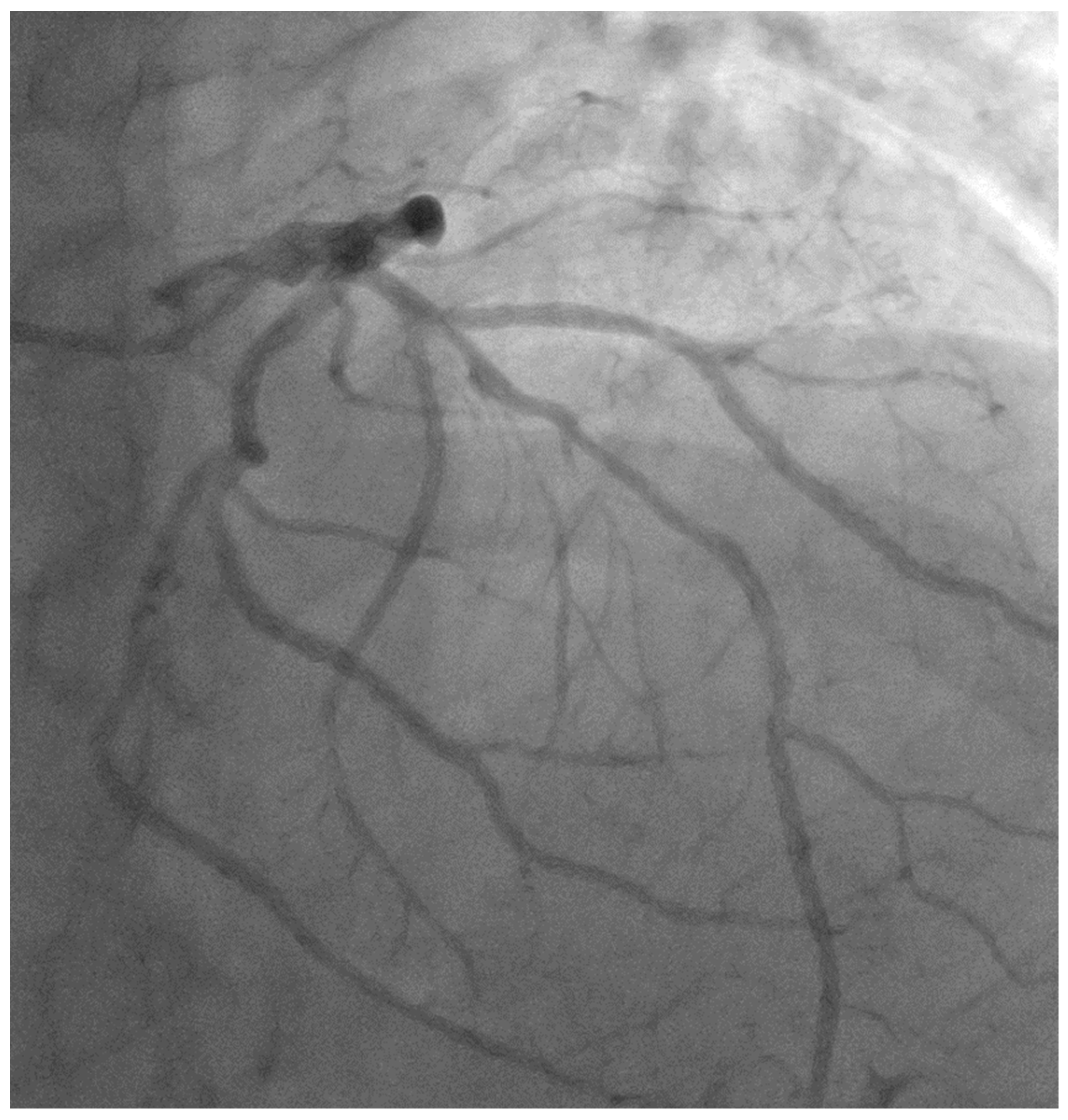
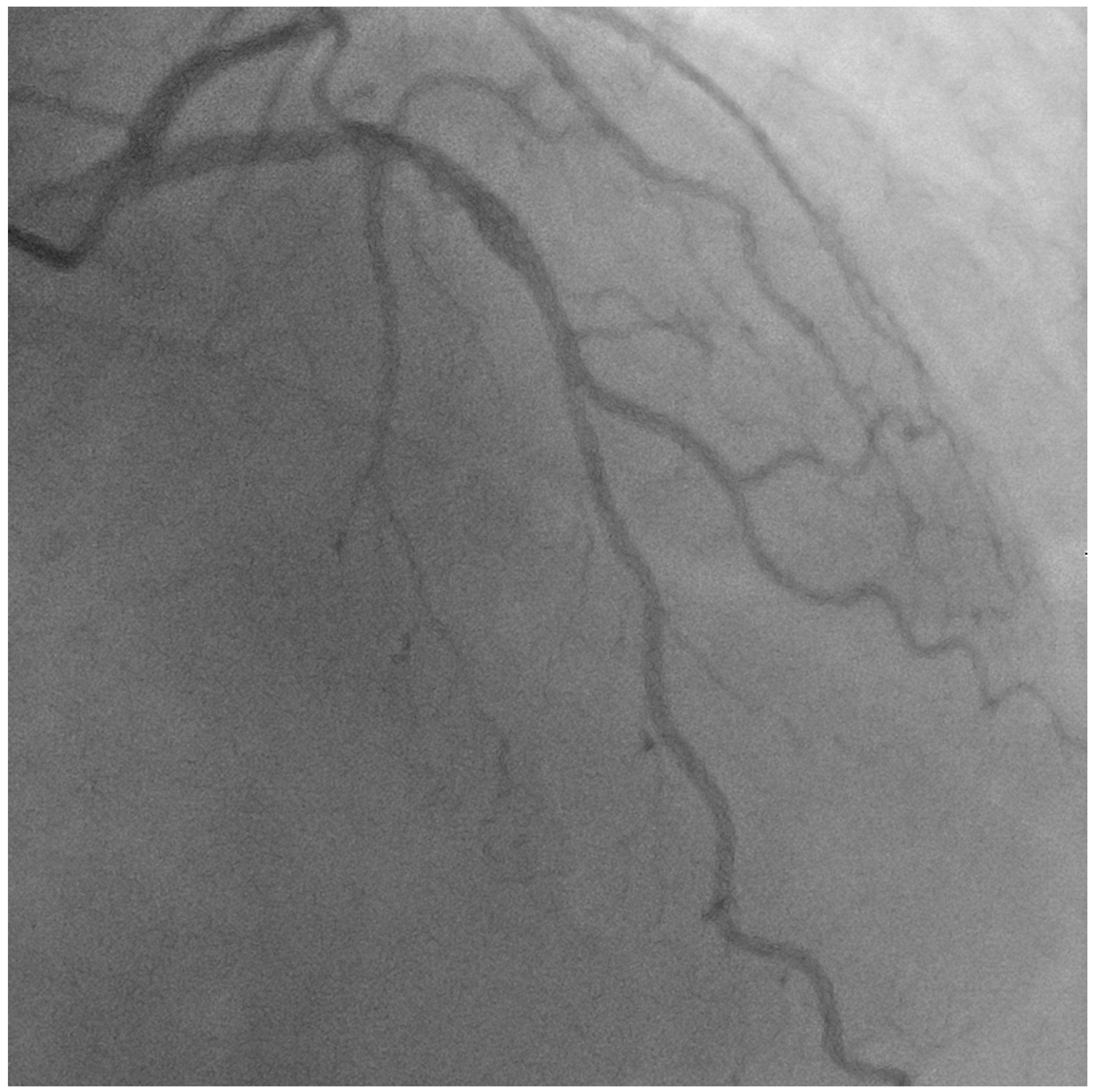
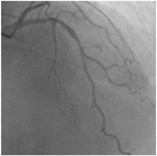
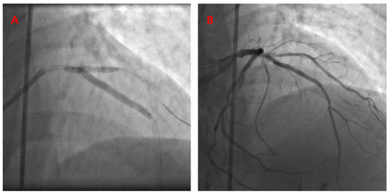
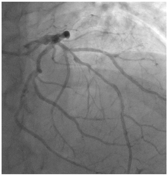
5. Case Series
- Case # 1
- Case # 2
- Case # 3
6. Brief Summary of the Five Remaining Cases
- Case #4: A 61-year-old man with a Medina 0,1,0 lesion. A LAD stent was employed with K-BS in the diagonal branch. The patient returned 9 months later with 90% stenosis in the proximal diagonal artery, which required stenting. He was progressing well clinically 4 years after the index procedure, without repeat coronary interventions being needed.
- Case #5: A 55-year-old man with ostial LCx disease, who received K-BS treatment with an LCx stent and balloon in the LAD. The patient presented again 4 years later with the progression of LAD/LCx/LM disease and was referred for coronary artery bypass surgery.
- Case #6: A 62-year-old man with unstable angina, who was found to have significant ostial LAD disease. He received a stent in the LAD and a balloon in a Ramus (K-BS). He underwent a follow-up angiogram 2 years later that showed a patent LAD and a Ramus. He continued to progress well clinically 2 years after the index procedure.
- Case #7: A 76-year-old patient who underwent a K-BS in the LAD/D1 bifurcation lesion. No follow-up angiogram was required, and he continued to progress well clinically 4 years after the index procedure.
- Case #8: A 67-year-old patient with severe peripheral arterial disease. The patient underwent K-BS in an ostial LAD (stent)/Ramus (balloon) bifurcation lesion. A follow-up angiogram 4 months later showed patent anatomy. The patient continued to progress well 1 year after coronary intervention.
7. Discussion
8. Study Limitations
9. Conclusions
Supplementary Materials
Author Contributions
Funding
Institutional Review Board Statement
Informed Consent Statement
Data Availability Statement
Conflicts of Interest
References
- Serruys, P.W.; Onuma, Y.; Garg, S.; Vranckx, P.; De Bruyne, B.; Morice, M.C.; Colombo, A.; Macaya, C.; Richardt, G.; Fajadet, J.; et al. 5-year clinical outcomes of the ARTS II (Arterial Revascularization Therapies Study II) of the sirolimus-eluting stent in the treatment of patients with multivessel de novo coronary artery lesions. J. Am. Coll. Cardiol. 2010, 55, 1093–1101. [Google Scholar] [CrossRef] [PubMed]
- Raphael, C.E.; O’Kane, P.D.; Johnson, T.W.; Prasad, A.; Gulati, R.; Sandoval, Y.; Di Mario, C.; Holmes, D.R., Jr. Evolution of the Crush Technique for Bifurcation Stenting. JACC Cardiovasc. Interv. 2021, 14, 2315–2326. [Google Scholar] [CrossRef] [PubMed]
- Chen, S.L.; Zhang, J.J.; Han, Y.; Kan, J.; Chen, L.; Qiu, C.; Jiang, T.; Tao, L.; Zeng, H.; Li, L.; et al. Double Kissing Crush Versus Provisional Stenting for Left Main Distal Bifurcation Lesions: DKCRUSH-V Randomized Trial. J. Am. Coll. Cardiol. 2017, 70, 2605–2617. [Google Scholar] [CrossRef] [PubMed]
- Lunardi, M.; Louvard, Y.; Lefevre, T.; Stankovic, G.; Burzotta, F.; Kassab, G.S.; Lassen, J.F.; Darremont, O.; Garg, S.; Koo, B.K.; et al. Definitions and Standardized Endpoints for Treatment of Coronary Bifurcations. EuroIntervention 2023, 19, e807–e831. [Google Scholar] [CrossRef] [PubMed]
- Chen, S.L.; Sheiban, I.; Xu, B.; Jepson, N.; Paiboon, C.; Zhang, J.J.; Ye, F.; Sansoto, T.; Kwan, T.W.; Lee, M.; et al. Impact of the complexity of bifurcation lesions treated with drug-eluting stents: The DEFINITION study (Definitions and impact of complEx biFurcation lesIons on clinical outcomes after percutaNeous coronary IntervenTIOn using drug-eluting steNts). JACC Cardiovasc. Interv. 2014, 7, 1266–1276. [Google Scholar] [CrossRef] [PubMed]
- Choi, K.H.; Bruno, F.; Cho, Y.K.; De Luca, L.; Song, Y.B.; Kang, J.; Mattesini, A.; Gwon, H.C.; Truffa, A.; Kim, H.S.; et al. Comparison of Outcomes Between 1- and 2-Stent Techniques for Medina Classification 0.0.1 Coronary Bifurcation Lesions. JACC Cardiovasc. Interv. 2023, 16, 2083–2093. [Google Scholar] [CrossRef] [PubMed]
- Mohamed, M.O.; Lamellas, P.; Roguin, A.; Oemrawsingh, R.M.; Ijsselmuiden, A.J.J.; Routledge, H.; van Leeuwen, F.; Debrus, R.; Roffi, M.; Mamas, M.A.; et al. Clinical Outcomes of Percutaneous Coronary Intervention for Bifurcation Lesions According to Medina Classification. J. Am. Heart Assoc. 2022, 11, e025459. [Google Scholar] [CrossRef] [PubMed]
- Louvard, Y.; Lefevre, T.; Morice, M.C. Percutaneous coronary intervention for bifurcation coronary disease. Heart 2004, 90, 713–722. [Google Scholar] [CrossRef] [PubMed]
- Murasato, Y.; Kinoshita, Y.; Yamawaki, M.; Okamura, T.; Nagoshi, R.; Watanabe, Y.; Suzuki, N.; Mori, T.; Shinke, T.; Shite, J.; et al. Impact of Medina classification on clinical outcomes of imaging-guided coronary bifurcation stenting. Int. J. Cardiol. Heart Vasc. 2023, 49, 101311. [Google Scholar] [CrossRef] [PubMed]
- Suleiman, S.; Coughlan, J.J.; Touma, G.; Szirt, R. Contemporary Management of Isolated Ostial Side Branch Disease: An Evidence-based Approach to Medina 001 Bifurcations. Interv. Cardiol. 2021, 16, e06. [Google Scholar] [CrossRef] [PubMed]
- Jackson, D.; Tong, D.; Layland, J. A review of the coronary applications of the drug coated balloon. Int. J. Cardiol. 2017, 226, 77–86. [Google Scholar] [CrossRef] [PubMed]
- Vaquerizo, B.; Fernandez-Nofreiras, E.; Oategui, I.; Suarez de Lezo, J.; Rumoroso, J.R.; Martin, P.; Routledge, H.; Tizon-Marcos, H. Second-Generation Drug-Eluting Balloon for Ostial Side Branch Lesions (001-Bifurcations): Mid-Term Clinical and Angiographic Results. J. Interv. Cardiol. 2016, 29, 285–292. [Google Scholar] [CrossRef] [PubMed]
- Cayli, M.; Elbasan, Z.; Gur, M.; Seker, T.; Ucar, H.; Kuloglu, O.; Sen, O.; Sahin, D.Y.; Kalkan, G.Y. Modified flower petal technique in the treatment of Medina type 0,0,1 or 0,1,0 lesions. EuroIntervention 2015, 11, 772–779. [Google Scholar] [CrossRef] [PubMed][Green Version]
- Cayli, M.; Sahin, D.Y.; Elbasan, Z.; Gur, M.; Cagliyan, C.E.; Kivrak, A.; Seker, T.; Balli, M. Modified flower petal technique: A new technique for the treatment of Medina type 1.1.1 coronary bifurcation lesions. JACC Cardiovasc. Interv. 2013, 6, 516–522. [Google Scholar] [CrossRef] [PubMed][Green Version]
- Xu, J.; Hahn, J.Y.; Song, Y.B.; Choi, S.H.; Choi, J.H.; Lu, C.; Lee, S.H.; Hong, K.P.; Park, J.E.; Gwon, H.C. Carina shift versus plaque shift for aggravation of side branch ostial stenosis in bifurcation lesions: Volumetric intravascular ultrasound analysis of both branches. Circ. Cardiovasc. Interv. 2012, 5, 657–662. [Google Scholar] [CrossRef] [PubMed]
- Burzotta, F.; Trani, C. Technical Aspects of Provisional Stenting in Percutaneous Treatment of Complex Bifurcation Lesions. Interv. Cardiol. 2013, 8, 96–99. [Google Scholar] [CrossRef] [PubMed]
- Saylik, F.; Cinar, T.; Selcuk, M.; Cicek, V.; Hayiroglu, M.I.; Orhan, A.L. Comparison of outcomes between single long stent and overlapping stents: A meta-analysis of the literature. Herz 2023, 48, 376–383. [Google Scholar] [CrossRef] [PubMed]
- Shaheen, M.; Mokarrab, M.; Youssef, A.; Aref, M.; Abushouk, A.I.; Elmaraezy, A.; Almasswary, A. Physiological evaluation of the provisional side-branch intervention strategy for bifurcation lesions using instantaneous wave-free ratio. Indian Heart J. 2018, 70 (Suppl. S3), S254–S258. [Google Scholar] [CrossRef] [PubMed]
- Writing Committee, M.; Lawton, J.S.; Tamis-Holland, J.E.; Bangalore, S.; Bates, E.R.; Beckie, T.M.; Bischoff, J.M.; Bittl, J.A.; Cohen, M.G.; DiMaio, J.M.; et al. 2021 ACC/AHA/SCAI Guideline for Coronary Artery Revascularization: Executive Summary: A Report of the American College of Cardiology/American Heart Association Joint Committee on Clinical Practice Guidelines. J. Am. Coll. Cardiol. 2022, 79, 197–215. [Google Scholar]
- Saylik, F.; Hayiroglu, M.I.; Akbulut, T.; Cinar, T. Comparison of Long-Term Outcomes Between Intravascular Ultrasound-, Optical Coherence Tomography- and Angiography-Guided Stent Implantation: A Meta-Analysis. Angiology 2023, 30, 33197231198674. [Google Scholar] [CrossRef] [PubMed]









| Patient | Age | Lesion | Intervention | Follow-Up Angiogram | Clinical Follow-Up |
|---|---|---|---|---|---|
| Case 1 | 56 yo | LAD/D1 | LAD stent, D1 balloon | 4 years | 4 y, SR |
| Case 2 | 50 yo | LAD/D1 | LAD stent, D1 balloon | 2 years | 4 y, NR |
| Case 3 | 41 yo | LAD/D1 | LAD stent, D1 balloon | 11 years | 11 y, NR |
| Case 4 | 61 yo | LAD/D1 | LAD stent, D1 balloon | 9 months | 9 m, SR |
| Case 5 | 55 yo | Ostial LCx/ LAD | LCx stent/LAD balloon | 4 years | 4 y, SR |
| Case 6 | 62 yo | Ostial LAD/Ramus | LAD stent/Ramus Balloon | 2 years | 2 y, NR |
| Case 7 | 76 yo | LAD/ D1 | LAD balloon/D1 stent | None | 4 y, NR |
| Case 8 | 67 yo | Ostial LAD/Ramus | LAD stent/Ramus Balloon | 4 months | 1 y, NR |
| Patient | Stented Lesion | Ballooned Lesion |
|---|---|---|
| Case 1 | LAD ISR | D1 is an 80% lesion |
| Case 2 | LAD patent | D1 is patent |
| Case 3 | LAD ISR | D1 is patent |
| Case 4 | LAD patent | D1 is a 90% lesion |
| Case 5 | LCx disease progression | LAD disease progression |
| Case 6 | LAD is patent | Ramus is patent |
| Case 8 | LAD is patent | Ramus is patent |
| Technique | Pros | Cons |
|---|---|---|
| Single-stent strategy | ||
| Provisional crossing side branch | Single stent Simple technique Can easily convert to a two-stent technique | Side branch occlusion/jailing |
| Provisional Nailing of the ostium | Single stent Simple technique | Missing the ostium/carina or plaque shift into the side branch |
| Kissing BS | Single stent Minimizes plaque and carina shift | Plaque disruption–dissection of balloon branch |
| Two-stent strategy | ||
| Culotte | Used in bifurcation angles of <70 degrees | Lose main vessel wire access Can be difficult to re-cross |
| T stenting | Used for 90-degree angles | Can miss the ostium |
| DK Crush | Maintain main vessel wire access Superiority of data with LM disease | Technically challenging/multiple steps Longer time. Can be difficult to re-cross |
| Single-stent conversion to a two-stent (bailout) procedure | ||
| Reverse culotte | Reconstructing bifurcation | Difficulty re-crossing |
| Reverse T stenting | Simple technique | Too much protrusion into the main branch |
Disclaimer/Publisher’s Note: The statements, opinions and data contained in all publications are solely those of the individual author(s) and contributor(s) and not of MDPI and/or the editor(s). MDPI and/or the editor(s) disclaim responsibility for any injury to people or property resulting from any ideas, methods, instructions or products referred to in the content. |
© 2024 by the authors. Licensee MDPI, Basel, Switzerland. This article is an open access article distributed under the terms and conditions of the Creative Commons Attribution (CC BY) license (https://creativecommons.org/licenses/by/4.0/).
Share and Cite
Kassier, A.; Kassab, K.; Fischell, T.A. Kissing Balloon-Stent Technique for Simple Bifurcation Lesions. J. Clin. Med. 2024, 13, 2645. https://doi.org/10.3390/jcm13092645
Kassier A, Kassab K, Fischell TA. Kissing Balloon-Stent Technique for Simple Bifurcation Lesions. Journal of Clinical Medicine. 2024; 13(9):2645. https://doi.org/10.3390/jcm13092645
Chicago/Turabian StyleKassier, Adnan, Kameel Kassab, and Tim A. Fischell. 2024. "Kissing Balloon-Stent Technique for Simple Bifurcation Lesions" Journal of Clinical Medicine 13, no. 9: 2645. https://doi.org/10.3390/jcm13092645
APA StyleKassier, A., Kassab, K., & Fischell, T. A. (2024). Kissing Balloon-Stent Technique for Simple Bifurcation Lesions. Journal of Clinical Medicine, 13(9), 2645. https://doi.org/10.3390/jcm13092645

