Basic Principles and Role of Endoscopic Ultrasound in Diagnosis and Differentiation of Pancreatic Cancer from Other Pancreatic Lesions: A Comprehensive Review of Endoscopic Ultrasound for Pancreatic Cancer
Abstract
1. Introduction
2. Endoscopic Ultrasound: Basic Principles
3. Conventional (Radial and Linear) Endoscopic Ultrasound
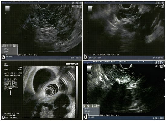
4. Miniature Probe Endoscopic Ultrasound
5. Real-Time Elastography–Endoscopic Ultrasound
- Strain Elastography (Qualitative Elastography): It estimates the stiffness of the tissue by measuring the degree of strain [29,52]. The results are interpreted with the help of a colored scale, wherein red-green areas indicate softer tissues and blue areas indicate stiffer tissues [29,52]. The main limitations of qualitative elastography are that it lacks reproducibility as the interpretation of the colors is highly operator-dependent, and it provides limited information when comparing results for different patients and lesions [54,55].
- Shear-Wave Elastography (Quantitative Elastography): It measures tissue stiffness by measuring the propagation of the shear waves, which is the emission of focused waves from the probe to the target lesion, also known as acoustic radiation force impulse [29]. Another method of shear-wave elastography is the semi-quantitative analysis, which allows for the measurement of tissue stiffness by calculating the strain ratio (ratio of stiffness of area of interest on the target tissue and smaller region of interest of a reference tissue) and strain histogram technique where an average hue histogram represents the colors and thereby the stiffness of the tissue [56]. It is important to note that only strain elastography is available with EUS for the evaluation and characterization of pancreatic lesions [29].
6. Contrast-Enhanced Endoscopic Ultrasound
7. Endoscopic Ultrasound Fine-Needle Aspiration and Biopsy
7.1. Endoscopic Ultrasound Fine-Needle Aspiration
7.2. Endoscopic Ultrasound Fine-Needle Biopsy
8. Cost-Effectiveness of EUS in Evaluation of Pancreatic Lesions
9. Future Innovations in Endoscopic Ultrasound
10. Artificial-Intelligence-Augmented Endoscopic Ultrasound
11. Conclusions
Author Contributions
Funding
Conflicts of Interest
References
- Yousaf, M.N.; Chaudhary, F.S.; Ehsan, A.; Suarez, A.L.; Muniraj, T.; Jamidar, P.; Aslanian, H.R.; Farrell, J.J. Endoscopic Ultrasound (EUS) and the Management of Pancreatic Cancer. BMJ Open Gastroenterol. 2020, 7, e000408. [Google Scholar] [CrossRef] [PubMed]
- Cancer of the Pancreas—Cancer Stat Facts. Available online: https://seer.cancer.gov/statfacts/html/pancreas.html (accessed on 1 March 2024).
- Varadarajulu, S.; Eloubeidi, M.A. The Role of Endoscopic Ultrasonography in the Evaluation of Pancreatico-Biliary Cancer. Surg. Clin. N. Am. 2010, 90, 251–263. [Google Scholar] [CrossRef] [PubMed]
- Kinney, T. Evidence-Based Imaging of Pancreatic Malignancies. Surg. Clin. N. Am. 2010, 90, 235–249. [Google Scholar] [CrossRef] [PubMed]
- Laffan, T.A.; Horton, K.M.; Klein, A.P.; Berlanstein, B.; Siegelman, S.S.; Kawamoto, S.; Johnson, P.T.; Fishman, E.K.; Hruban, R.H. Prevalence of Unsuspected Pancreatic Cysts on MDCT. AJR Am. J. Roentgenol. 2008, 191, 802–807. [Google Scholar] [CrossRef] [PubMed]
- Serrani, M.; Lisotti, A.; Caletti, G.; Fusaroli, P. Role of Contrast Harmonic-Endoscopic Ultrasound in Pancreatic Cystic Lesions. Endosc. Ultrasound 2017, 6, 25–30. [Google Scholar] [CrossRef] [PubMed]
- Lariño-Noia, J.; Iglesias-Garcia, J.; de la Iglesia-Garcia, D.; Dominguez-Muñoz, J.E. EUS-FNA in Cystic Pancreatic Lesions: Where Are We Now and Where Are We Headed in the Future? Endosc. Ultrasound 2018, 7, 102–109. [Google Scholar] [CrossRef] [PubMed]
- Brugge, W.R. Diagnosis and Management of Cystic Lesions of the Pancreas. J. Gastrointest. Oncol. 2015, 6, 375–388. [Google Scholar] [CrossRef] [PubMed]
- Dite, P.; Novotny, I.; Dvorackova, J.; Kianicka, B.; Blaho, M.; Svoboda, P.; Uvirova, M.; Rohan, T.; Maskova, H.; Kunovsky, L. Pancreatic Solid Focal Lesions: Differential Diagnosis between Autoimmune Pancreatitis and Pancreatic Cancer. Dig. Dis. 2019, 37, 416–421. [Google Scholar] [CrossRef] [PubMed]
- Sun, L.; Huang, H.; Jin, Z. Application of EUS-Based Techniques in the Evaluation of Pancreatic Cystic Neoplasms. Endosc. Ultrasound 2021, 10, 230–240. [Google Scholar] [CrossRef]
- European Study Group on Cystic Tumours of the Pancreas. European Evidence-Based Guidelines on Pancreatic Cystic Neoplasms. Gut 2018, 67, 789–804. [Google Scholar] [CrossRef]
- Brugge, W.R. The Use of EUS to Diagnose Cystic Neoplasms of the Pancreas. Gastrointest. Endosc. 2009, 69, S203–S209. [Google Scholar] [CrossRef]
- Kamata, K.; Kitano, M. Endoscopic Diagnosis of Cystic Lesions of the Pancreas. Dig. Endosc. Off. J. JPN. Gastroenterol. Endosc. Soc. 2019, 31, 5–15. [Google Scholar] [CrossRef]
- Dietrich, C.F.; Sharma, M.; Hocke, M. Contrast-Enhanced Endoscopic Ultrasound. Endosc. Ultrasound 2012, 1, 130–136. [Google Scholar] [CrossRef] [PubMed][Green Version]
- Levine, I.; Trindade, A.J. Endoscopic Ultrasound Fine Needle Aspiration vs Fine Needle Biopsy for Pancreatic Masses, Subepithelial Lesions, and Lymph Nodes. World J. Gastroenterol. 2021, 27, 4194–4207. [Google Scholar] [CrossRef] [PubMed]
- Kuraoka, N.; Hashimoto, S.; Matsui, S.; Terai, S. Effectiveness of EUS-Guided Fine-Needle Biopsy versus EUS-Guided Fine-Needle Aspiration: A Retrospective Analysis. Diagnostics 2021, 11, 965. [Google Scholar] [CrossRef]
- Will, U.; Meyer, F.; Manger, T.; Wanzar, I. Endoscopic Ultrasound-Assisted Rendezvous Maneuver to Achieve Pancreatic Duct Drainage in Obstructive Chronic Pancreatitis. Endoscopy 2005, 37, 171–173. [Google Scholar] [CrossRef] [PubMed]
- Alkarboly, T.A.M.; Mohammad, M.O.; Hussein, H.A.; Mahummod, S.L. Comparative Study between Endoscopic Ultrasonography and Transabdominal Ultrasonography in the Assessment of Pancreatobiliary Diseases (with Literatures Review). Open J. Gastroenterol. 2016, 6, 17–30. [Google Scholar] [CrossRef]
- Reddy, Y.; Willert, R.P. Endoscopic Ultrasound: What Is It and When Should It Be Used? Clin. Med. 2009, 9, 539–543. [Google Scholar] [CrossRef]
- Shaw, S.M.; Kimmey, M.B. General Principles of Endoscopic Ultrasonographic Imaging. Tech. Gastrointest. Endosc. 2000, 2, 50–55. [Google Scholar] [CrossRef]
- Sharma, M.; Hollerbach, S.; Fusaroli, P.; Löwe, A.; Koch, J.; Ignee, A.; Jenssen, C.; Dietrich, C.F. General Principles of Image Optimization in EUS. Endosc. Ultrasound 2021, 10, 168–184. [Google Scholar] [CrossRef]
- Chung, A.; Kwan, V. Endoscopic Ultrasound: An Overview of Its Role in Current Clinical Practice. Australas. J. Ultrasound Med. 2009, 12, 21–29. [Google Scholar] [CrossRef] [PubMed]
- Yamashita, Y.; Kitano, M. Endoscopic Ultrasonography for Pancreatic Solid Lesions. J. Med. Ultrason. 2001 2020, 47, 377–387. [Google Scholar] [CrossRef] [PubMed]
- Understanding Endoscopic Ultrasound and Fine Needle Aspiration. Available online: http://educationaldimensions.com/eLearn/aspirationandbiopsy/radvslin.php (accessed on 3 February 2024).
- Vukobrat-Bijedic, Z.; Husic-Selimovic, A.; Bijedic, N.; Gornjakovic, S.; Sofic, A.; Gogov, B.; Bjelogrlic, I.; Mehmedovic, A.; Glavas, S. Sensitivity of EUS and ERCP Endoscopic Procedures in the Detection of Pancreatic Cancer During Preoperative Staging Correlated with CT and CT Angiography Imaging Methods. Acta Inform. Medica AIM J. Soc. Med. Inform. Bosnia Herzeg. Cas. Drustva Za Med. Inform. BiH 2014, 22, 160–163. [Google Scholar] [CrossRef]
- Singh, A.; Faulx, A.L. Endoscopic Evaluation in the Workup of Pancreatic Cancer. Surg. Clin. N. Am. 2016, 96, 1257–1270. [Google Scholar] [CrossRef] [PubMed]
- Canto, M.I.; Hruban, R.H.; Fishman, E.K.; Kamel, I.R.; Schulick, R.; Zhang, Z.; Topazian, M.; Takahashi, N.; Fletcher, J.; Petersen, G.; et al. Frequent Detection of Pancreatic Lesions in Asymptomatic High-Risk Individuals. Gastroenterology 2012, 142, 796–804. [Google Scholar] [CrossRef]
- Rivadeneira, D.E.; Pochapin, M.; Grobmyer, S.R.; Lieberman, M.D.; Christos, P.J.; Jacobson, I.; Daly, J.M. Comparison of Linear Array Endoscopic Ultrasound and Helical Computed Tomography for the Staging of Periampullary Malignancies. Ann. Surg. Oncol. 2003, 10, 890–897. [Google Scholar] [CrossRef]
- Kitano, M.; Yoshida, T.; Itonaga, M.; Tamura, T.; Hatamaru, K.; Yamashita, Y. Impact of Endoscopic Ultrasonography on Diagnosis of Pancreatic Cancer. J. Gastroenterol. 2019, 54, 19–32. [Google Scholar] [CrossRef] [PubMed]
- Müller, M.F.; Meyenberger, C.; Bertschinger, P.; Schaer, R.; Marincek, B. Pancreatic Tumors: Evaluation with Endoscopic US, CT, and MR Imaging. Radiology 1994, 190, 745–751. [Google Scholar] [CrossRef]
- Deguelte, S.; de Mestier, L.; Hentic, O.; Cros, J.; Lebtahi, R.; Hammel, P.; Kianmanesh, R. Preoperative Imaging and Pathologic Classification for Pancreatic Neuroendocrine Tumors. J. Visc. Surg. 2018, 155, 117–125. [Google Scholar] [CrossRef]
- Falqueto, A.; Pelandré, G.L.; da Costa, M.Z.G.; Nacif, M.S.; Marchiori, E. Prevalence of Pancreatic Cystic Neoplasms on Imaging Exams: Association with Signs of Malignancy Risk. Radiol. Bras. 2018, 51, 218–224. [Google Scholar] [CrossRef]
- Ishikawa, T.; Kawashima, H.; Ohno, E.; Mizutani, Y.; Fujishiro, M. Imaging Diagnosis of Autoimmune Pancreatitis Using Endoscopic Ultrasonography. J. Med. Ultrason. 2021, 48, 543–553. [Google Scholar] [CrossRef]
- Catalano, M.F.; Sahai, A.; Levy, M.; Romagnuolo, J.; Wiersema, M.; Brugge, W.; Freeman, M.; Yamao, K.; Canto, M.; Hernandez, L.V. EUS-Based Criteria for the Diagnosis of Chronic Pancreatitis: The Rosemont Classification. Gastrointest. Endosc. 2009, 69, 1251–1261. [Google Scholar] [CrossRef] [PubMed]
- Yoon, W.J.; Brugge, W.R. Endoscopic Ultrasound and Pancreatic Cystic Lesions-Diagnostic and Therapeutic Applications. Endosc. Ultrasound 2012, 1, 75–79. [Google Scholar] [CrossRef] [PubMed]
- Lu, X.; Zhang, S.; Ma, C.; Peng, C.; Lv, Y.; Zou, X. The Diagnostic Value of EUS in Pancreatic Cystic Neoplasms Compared with CT and MRI. Endosc. Ultrasound 2015, 4, 324–329. [Google Scholar] [CrossRef] [PubMed]
- Ng, P.Y.; Rasmussen, D.N.; Vilmann, P.; Hassan, H.; Gheorman, V.; Burtea, D.; Şurlin, V.; Săftoiu, A. Endoscopic Ultrasound-Guided Drainage of Pancreatic Pseudocysts: Medium-Term Assessment of Outcomes and Complications. Endosc. Ultrasound 2013, 2, 199–203. [Google Scholar] [CrossRef]
- Buerlein, R.C.D.; Shami, V.M. Management of Pancreatic Cysts and Guidelines: What the Gastroenterologist Needs to Know. Ther. Adv. Gastrointest. Endosc. 2021, 14, 26317745211045769. [Google Scholar] [CrossRef]
- Lim, L.G.; Itoi, T.; Lim, W.C.; Mesenas, S.J.; Seo, D.W.; Tan, J.; Wang, H.P.; Akaraviputh, T.; Lakhtakia, S.; Omar, S.; et al. Current Status on the Diagnosis and Management of Pancreatic Cysts in the Asia-Pacific Region: Role of Endoscopic Ultrasound. J. Gastroenterol. Hepatol. 2011, 26, 1702–1708. [Google Scholar] [CrossRef]
- Efthymiou, A.; Podas, T.; Zacharakis, E. Endoscopic Ultrasound in the Diagnosis of Pancreatic Intraductal Papillary Mucinous Neoplasms. World J. Gastroenterol. WJG 2014, 20, 7785–7793. [Google Scholar] [CrossRef] [PubMed]
- Sarr, M.G.; Carpenter, H.A.; Prabhakar, L.P.; Orchard, T.F.; Hughes, S.; van Heerden, J.A.; DiMagno, E.P. Clinical and Pathologic Correlation of 84 Mucinous Cystic Neoplasms of the Pancreas. Ann. Surg. 2000, 231, 205–212. [Google Scholar] [CrossRef]
- Chatterjee, A.; Shah, J. Role of Endoscopic Ultrasound in Diagnosis of Pancreatic Ductal Adenocarcinoma. Diagnostics 2024, 14, 78. [Google Scholar] [CrossRef]
- Hansen, S.E.J.; Langsted, A.; Varbo, A.; Madsen, C.M.; Tybjærg-Hansen, A.; Nordestgaard, B.G. Low and High Pancreatic Amylase Is Associated with Pancreatic Cancer and Chronic Pancreatitis. Eur. J. Epidemiol. 2021, 36, 975–984. [Google Scholar] [CrossRef] [PubMed]
- Menzel, J.; Domschke, W. Gastrointestinal Miniprobe Sonography: The Current Status. Am. J. Gastroenterol. 2000, 95, 605–616. [Google Scholar] [CrossRef] [PubMed]
- Nesje, L.B.; Ødegaard, S.; Kimmey, M.B. Transendoscopic Ultrasonography during Conventional Upper Gastrointestinal Endoscopy: Clinical Evaluation of a Linear 20-MHz Probe System. Scand. J. Gastroenterol. 1997, 32, 500–508. [Google Scholar] [CrossRef]
- Chak, A.; Soweid, A.; Hoffman, B.; Stevens, P.; Hawes, R.H.; Lightdale, C.J.; Cooper, G.S.; Canto, M.I.; Sivak, M.V. Clinical Implications of Endoluminal Ultrasonography Using Through-the-Scope Catheter Probes. Gastrointest. Endosc. 1998, 48, 485–490. [Google Scholar] [CrossRef] [PubMed]
- Waxman, I. Clinical Impact of High-Frequency Ultrasound Probe Sonography During Diagnostic Endoscopy—A Prospective Study. Endoscopy 1998, 30, A 166–A 168. [Google Scholar] [CrossRef]
- Varas Lorenzo, M.J.; Abad Belando, R.; Sánchez-Vizcaíno Mengual, E. Miniprobe Endoscopic Sonography for Gastrointestinal Tract Assessment: A Case Series of 1451 Procedures. J. Ultrasound Med. Off. J. Am. Inst. Ultrasound Med. 2018, 37, 293–303. [Google Scholar] [CrossRef] [PubMed]
- Kanemaki, N.; Nakazawa, S.; Inui, K.; Yoshino, J.; Yamao, K.; Okushima, K. Three-Dimensional Intraductal Ultrasonography: Preliminary Results of a New Technique for the Diagnosis of Diseases of the Pancreatobiliary System. Endoscopy 1997, 29, 726–731. [Google Scholar] [CrossRef] [PubMed]
- Seifert, H.; Fusaroli, P.; Arcidiacono, P.G.; Braden, B.; Herth, F.; Hocke, M.; Larghi, A.; Napoleon, B.; Rimbas, M.; Ungureanu, B.S.; et al. Controversies in EUS: Do We Need Miniprobes? Endosc. Ultrasound 2021, 10, 246–269. [Google Scholar] [CrossRef] [PubMed]
- Tolunay, H.E.; Eroğlu, H.; Çelik, Ö.Y.; Arat, Ö.; Obut, M.; Varlı, E.N.; Şahin, D.; Yücel, A. Can Placental Elasticity Predict the Time of Delivery in Cases of Threatened Preterm Labor? J. Obstet. Gynaecol. Res. 2021, 47, 606–612. [Google Scholar] [CrossRef]
- Conti, C.B.; Mulinacci, G.; Salerno, R.; Dinelli, M.E.; Grassia, R. Applications of Endoscopic Ultrasound Elastography in Pancreatic Diseases: From Literature to Real Life. World J. Gastroenterol. 2022, 28, 909–917. [Google Scholar] [CrossRef]
- Giovannini, M.; Hookey, L.C.; Bories, E.; Pesenti, C.; Monges, G.; Delpero, J.R. Endoscopic Ultrasound Elastography: The First Step towards Virtual Biopsy? Preliminary Results in 49 Patients. Endoscopy 2006, 38, 344–348. [Google Scholar] [CrossRef] [PubMed]
- Dietrich, C.F.; Hocke, M. Elastography of the Pancreas, Current View. Clin. Endosc. 2019, 52, 533–540. [Google Scholar] [CrossRef] [PubMed]
- Dietrich, C.F.; Burmeister, S.; Hollerbach, S.; Arcidiacono, P.G.; Braden, B.; Fusaroli, P.; Hocke, M.; Iglesias-Garcia, J.; Kitano, M.; Larghi, A.; et al. Do We Need Elastography for EUS? Endosc. Ultrasound 2020, 9, 284–290. [Google Scholar] [CrossRef]
- Yamashita, Y.; Tanioka, K.; Kawaji, Y.; Tamura, T.; Nuta, J.; Hatamaru, K.; Itonaga, M.; Yoshida, T.; Ida, Y.; Maekita, T.; et al. Utility of Elastography with Endoscopic Ultrasonography Shear-Wave Measurement for Diagnosing Chronic Pancreatitis. Gut Liver 2020, 14, 659–664. [Google Scholar] [CrossRef]
- Lee, T.H.; Cha, S.-W.; Cho, Y.D. EUS Elastography: Advances in Diagnostic EUS of the Pancreas. Korean J. Radiol. 2012, 13 (Suppl. S1), S12–S16. [Google Scholar] [CrossRef] [PubMed]
- Iglesias-Garcia, J.; Larino-Noia, J.; Abdulkader, I.; Forteza, J.; Dominguez-Munoz, J.E. EUS Elastography for the Characterization of Solid Pancreatic Masses. Gastrointest. Endosc. 2009, 70, 1101–1108. [Google Scholar] [CrossRef] [PubMed]
- Pei, Q.; Zou, X.; Zhang, X.; Chen, M.; Guo, Y.; Luo, H. Diagnostic Value of EUS Elastography in Differentiation of Benign and Malignant Solid Pancreatic Masses: A Meta-Analysis. Pancreatol. Off. J. Int. Assoc. Pancreatol. IAP Al 2012, 12, 402–408. [Google Scholar] [CrossRef]
- Kim, S.Y.; Cho, J.H.; Kim, Y.J.; Kim, E.J.; Park, J.Y.; Jeon, T.J.; Kim, Y.S. Diagnostic Efficacy of Quantitative Endoscopic Ultrasound Elastography for Differentiating Pancreatic Disease. J. Gastroenterol. Hepatol. 2017, 32, 1115–1122. [Google Scholar] [CrossRef]
- Kato, T.; Tsukamoto, Y.; Naitoh, Y.; Hirooka, Y.; Furukawa, T.; Hayakawa, T. Ultrasonographic and Endoscopic Ultrasonographic Angiography in Pancreatic Mass Lesions. Acta Radiol. Stockh. Swed. 1987 1995, 36, 381–387. [Google Scholar]
- Sanchez, M.V.A.; Varadarajulu, S.; Napoleon, B. EUS Contrast Agents: What Is Available, How Do They Work, and Are They Effective? Gastrointest. Endosc. 2009, 69, S71–S77. [Google Scholar] [CrossRef]
- Sidhu, P.S.; Cantisani, V.; Dietrich, C.F.; Gilja, O.H.; Saftoiu, A.; Bartels, E.; Bertolotto, M.; Calliada, F.; Clevert, D.-A.; Cosgrove, D.; et al. The EFSUMB Guidelines and Recommendations for the Clinical Practice of Contrast-Enhanced Ultrasound (CEUS) in Non-Hepatic Applications: Update 2017 (Long Version). Ultraschall Med.—Eur. J. Ultrasound 2018, 39, e2–e44. [Google Scholar] [CrossRef]
- Reddy, N.K.; Ioncică, A.M.; Săftoiu, A.; Vilmann, P.; Bhutani, M.S. Contrast-Enhanced Endoscopic Ultrasonography. World J. Gastroenterol. 2011, 17, 42–48. [Google Scholar] [CrossRef] [PubMed]
- Hickman, K.; Sadler, T.J.; Zhang, T.T.; Boninsegna, E.; Majcher, V.; Godfrey, E. Pancreatic Cystic Lesions and the Role of Contrast Enhanced Endoscopic Ultrasound. Clin. Radiol. 2022, 77, 418–427. [Google Scholar] [CrossRef] [PubMed]
- DeWitt, J.; Devereaux, B.; Chriswell, M.; McGreevy, K.; Howard, T.; Imperiale, T.F.; Ciaccia, D.; Lane, K.A.; Maglinte, D.; Kopecky, K.; et al. Comparison of Endoscopic Ultrasonography and Multidetector Computed Tomography for Detecting and Staging Pancreatic Cancer. Ann. Intern. Med. 2004, 141, 753–763. [Google Scholar] [CrossRef]
- D’Onofrio, M.; Malagò, R.; Zamboni, G.; Vasori, S.; Falconi, M.; Capelli, P.; Mansueto, G. Contrast-Enhanced Ultrasonography Better Identifies Pancreatic Tumor Vascularization than Helical CT. Pancreatol. Off. J. Int. Assoc. Pancreatol. IAP Al 2005, 5, 398–402. [Google Scholar] [CrossRef]
- Hou, X.; Jin, Z.; Xu, C.; Zhang, M.; Zhu, J.; Jiang, F.; Li, Z. Contrast-Enhanced Harmonic Endoscopic Ultrasound-Guided Fine-Needle Aspiration in the Diagnosis of Solid Pancreatic Lesions: A Retrospective Study. PLoS ONE 2015, 10, e0121236. [Google Scholar] [CrossRef] [PubMed]
- Kitano, M.; Kudo, M.; Yamao, K.; Takagi, T.; Sakamoto, H.; Komaki, T.; Kamata, K.; Imai, H.; Chiba, Y.; Okada, M.; et al. Characterization of Small Solid Tumors in the Pancreas: The Value of Contrast-Enhanced Harmonic Endoscopic Ultrasonography. Am. J. Gastroenterol. 2012, 107, 303–310. [Google Scholar] [CrossRef]
- Kamata, K.; Kitano, M.; Omoto, S.; Kadosaka, K.; Miyata, T.; Minaga, K.; Yamao, K.; Imai, H.; Kudo, M. New Endoscopic Ultrasonography Techniques for Pancreaticobiliary Diseases. Ultrason. Seoul Korea 2016, 35, 169–179. [Google Scholar] [CrossRef] [PubMed]
- Fusaroli, P.; Spada, A.; Mancino, M.G.; Caletti, G. Contrast Harmonic Echo–Endoscopic Ultrasound Improves Accuracy in Diagnosis of Solid Pancreatic Masses. Clin. Gastroenterol. Hepatol. 2010, 8, 629–634.e2. [Google Scholar] [CrossRef]
- Yamashita, Y.; Shimokawa, T.; Napoléon, B.; Fusaroli, P.; Gincul, R.; Kudo, M.; Kitano, M. Value of Contrast-Enhanced Harmonic Endoscopic Ultrasonography with Enhancement Pattern for Diagnosis of Pancreatic Cancer: A Meta-Analysis. Dig. Endosc. 2019, 31, 125–133. [Google Scholar] [CrossRef]
- Brand, B.; Pfaff, T.; Binmoeller, K.F.; Sriram, P.V.J.; Fritscher-Ravens, A.; Knöfel, W.T.; Jäckle, S.; Soehendra, N. Soehendra Endoscopic Ultrasound for Differential Diagnosis of Focal Pancreatic Lesions, Confirmed by Surgery. Scand. J. Gastroenterol. 2000, 35, 1221–1228. [Google Scholar] [CrossRef] [PubMed]
- Yoshida, T.; Yamashita, Y.; Kitano, M. Endoscopic Ultrasound for Early Diagnosis of Pancreatic Cancer. Diagnostics 2019, 9, 81. [Google Scholar] [CrossRef] [PubMed]
- Lisotti, A.; Napoleon, B.; Facciorusso, A.; Cominardi, A.; Crinò, S.F.; Brighi, N.; Gincul, R.; Kitano, M.; Yamashita, Y.; Marchegiani, G.; et al. Contrast-Enhanced EUS for the Characterization of Mural Nodules within Pancreatic Cystic Neoplasms: Systematic Review and Meta-Analysis. Gastrointest. Endosc. 2021, 94, 881–889.e5. [Google Scholar] [CrossRef] [PubMed]
- Facciorusso, A.; Mohan, B.P.; Crinò, S.F.; Ofosu, A.; Ramai, D.; Lisotti, A.; Chandan, S.; Fusaroli, P. Contrast-Enhanced Harmonic Endoscopic Ultrasound-Guided Fine-Needle Aspiration versus Standard Fine-Needle Aspiration in Pancreatic Masses: A Meta-Analysis. Expert Rev. Gastroenterol. Hepatol. 2021, 15, 821–828. [Google Scholar] [CrossRef] [PubMed]
- Eloubeidi, M.A.; Decker, G.A.; Chandrasekhara, V.; Chathadi, K.V.; Early, D.S.; Evans, J.A.; Fanelli, R.D.; Fisher, D.A.; Foley, K.; Hwang, J.H.; et al. The Role of Endoscopy in the Evaluation and Management of Patients with Solid Pancreatic Neoplasia. Gastrointest. Endosc. 2016, 83, 17–28. [Google Scholar] [CrossRef] [PubMed]
- Dumonceau, J.-M.; Deprez, P.H.; Jenssen, C.; Iglesias-Garcia, J.; Larghi, A.; Vanbiervliet, G.; Aithal, G.P.; Arcidiacono, P.G.; Bastos, P.; Carrara, S.; et al. Indications, Results, and Clinical Impact of Endoscopic Ultrasound (EUS)-Guided Sampling in Gastroenterology: European Society of Gastrointestinal Endoscopy (ESGE) Clinical Guideline—Updated January 2017. Endoscopy 2017, 49, 695–714. [Google Scholar] [CrossRef] [PubMed]
- Hébert-Magee, S.; Bae, S.; Varadarajulu, S.; Ramesh, J.; Frost, A.R.; Eloubeidi, M.A.; Eltoum, I.A. The Presence of a Cytopathologist Increases the Diagnostic Accuracy of Endoscopic Ultrasound-Guided Fine Needle Aspiration Cytology for Pancreatic Adenocarcinoma: A Meta-Analysis. Cytopathol. Off. J. Br. Soc. Clin. Cytol. 2013, 24, 159–171. [Google Scholar] [CrossRef] [PubMed]
- Layfield, L.J.; Bentz, J.S.; Gopez, E.V. Immediate On-Site Interpretation of Fine-Needle Aspiration Smears. Cancer Cytopathol. 2001, 93, 319–322. [Google Scholar] [CrossRef]
- Klapman, J.B.; Logrono, R.; Dye, C.E.; Waxman, I. Clinical Impact of On-Site Cytopathology Interpretation on Endoscopic Ultrasound-Guided Fine Needle Aspiration. Off. J. Am. Coll. Gastroenterol. ACG 2003, 98, 1289. [Google Scholar] [CrossRef]
- Sakorafas, G.H.; Smyrniotis, V.; Reid-Lombardo, K.M.; Sarr, M.G. Primary Pancreatic Cystic Neoplasms Revisited. Part III. Intraductal Papillary Mucinous Neoplasms. Surg. Oncol. 2011, 20, e109–e118. [Google Scholar] [CrossRef]
- Facciorusso, A.; Stasi, E.; Di Maso, M.; Serviddio, G.; Ali Hussein, M.S.; Muscatiello, N. Endoscopic Ultrasound-Guided Fine Needle Aspiration of Pancreatic Lesions with 22 versus 25 Gauge Needles: A Meta-Analysis. United Eur. Gastroenterol. J. 2017, 5, 846–853. [Google Scholar] [CrossRef] [PubMed]
- Bang, J.Y.; Hebert-Magee, S.; Trevino, J.; Ramesh, J.; Varadarajulu, S. Randomized Trial Comparing the 22-Gauge Aspiration and 22-Gauge Biopsy Needles for EUS-Guided Sampling of Solid Pancreatic Mass Lesions. Gastrointest. Endosc. 2012, 76, 321–327. [Google Scholar] [CrossRef] [PubMed]
- Wang, K.-X.; Ben, Q.-W.; Jin, Z.-D.; Du, Y.-Q.; Zou, D.-W.; Liao, Z.; Li, Z.-S. Assessment of Morbidity and Mortality Associated with EUS-Guided FNA: A Systematic Review. Gastrointest. Endosc. 2011, 73, 283–290. [Google Scholar] [CrossRef] [PubMed]
- Banafea, O.; Mghanga, F.P.; Zhao, J.; Zhao, R.; Zhu, L. Endoscopic Ultrasonography with Fine-Needle Aspiration for Histological Diagnosis of Solid Pancreatic Masses: A Meta-Analysis of Diagnostic Accuracy Studies. BMC Gastroenterol. 2016, 16, 108. [Google Scholar] [CrossRef] [PubMed]
- Gonzalo-Marin, J.; Vila, J.J.; Perez-Miranda, M. Role of Endoscopic Ultrasound in the Diagnosis of Pancreatic Cancer. World J. Gastrointest. Oncol. 2014, 6, 360–368. [Google Scholar] [CrossRef] [PubMed]
- Rodrigues-Pinto, E.; Grimm, I.S.; Baron, T.H. Endoscopic Ultrasound Fine-Needle Aspiration vs. Fine-Needle Biopsy: Tissue Is Always the Issue. Endosc. Int. Open 2016, 4, E506–E507. [Google Scholar] [CrossRef] [PubMed][Green Version]
- Bang, J.Y.; Hebert-Magee, S.; Navaneethan, U.; Hasan, M.K.; Hawes, R.; Varadarajulu, S. EUS-Guided Fine Needle Biopsy of Pancreatic Masses Can Yield True Histology. Gut 2018, 67, 2081–2084. [Google Scholar] [CrossRef] [PubMed]
- Vanbiervliet, G.; Napoléon, B.; Saint Paul, M.C.; Sakarovitch, C.; Wangermez, M.; Bichard, P.; Subtil, C.; Koch, S.; Grandval, P.; Gincul, R.; et al. Core Needle versus Standard Needle for Endoscopic Ultrasound-Guided Biopsy of Solid Pancreatic Masses: A Randomized Crossover Study. Endoscopy 2014, 46, 1063–1070. [Google Scholar] [CrossRef] [PubMed]
- Raut, C.P.; Grau, A.M.; Staerkel, G.A.; Kaw, M.; Tamm, E.P.; Wolff, R.A.; Vauthey, J.-N.; Lee, J.E.; Pisters, P.W.T.; Evans, D.B. Diagnostic Accuracy of Endoscopic Ultrasound-Guided Fine-Needle Aspiration in Patients with Presumed Pancreatic Cancer. J. Gastrointest. Surg. Off. J. Soc. Surg. Aliment. Tract 2003, 7, 118–128. [Google Scholar] [CrossRef]
- Facciorusso, A.; Kovacevic, B.; Yang, D.; Vilas-Boas, F.; Martínez-Moreno, B.; Stigliano, S.; Rizzatti, G.; Sacco, M.; Arevalo-Mora, M.; Villarreal-Sanchez, L.; et al. Predictors of Adverse Events after Endoscopic Ultrasound-Guided through-the-Needle Biopsy of Pancreatic Cysts: A Recursive Partitioning Analysis. Endoscopy 2022, 54, 1158–1168. [Google Scholar] [CrossRef]
- Khan, M.A.; Grimm, I.S.; Ali, B.; Nollan, R.; Tombazzi, C.; Ismail, M.K.; Baron, T.H. A Meta-Analysis of Endoscopic Ultrasound–Fine-Needle Aspiration Compared to Endoscopic Ultrasound–Fine-Needle Biopsy: Diagnostic Yield and the Value of Onsite Cytopathological Assessment. Endosc. Int. Open 2017, 5, E363–E375. [Google Scholar] [CrossRef] [PubMed]
- Balaban, V.D.; Cazacu, I.M.; Pinte, L.; Jinga, M.; Bhutani, M.S.; Saftoiu, A. EUS-through-the-Needle Microbiopsy Forceps in Pancreatic Cystic Lesions: A Systematic Review. Endosc. Ultrasound 2020, 10, 19–24. [Google Scholar] [CrossRef] [PubMed]
- Levy, M.J.; Wiersema, M.J. EUS-Guided Trucut Biopsy. Gastrointest. Endosc. 2005, 62, 417–426. [Google Scholar] [CrossRef] [PubMed]
- DiMaio, C.J.; Kolb, J.M.; Benias, P.C.; Shah, H.; Shah, S.; Haluszka, O.; Maranki, J.; Sharzehi, K.; Lam, E.; Gordon, S.R.; et al. Initial Experience with a Novel EUS-Guided Core Biopsy Needle (SharkCore): Results of a Large North American Multicenter Study. Endosc. Int. Open 2016, 4, E974–E979. [Google Scholar] [CrossRef] [PubMed]
- Adler, D.G.; Muthusamy, V.R.; Ehrlich, D.S.; Parasher, G.; Thosani, N.C.; Chen, A.; Buscaglia, J.M.; Appannagari, A.; Quintero, E.; Aslanian, H.; et al. A Multicenter Evaluation of a New EUS Core Biopsy Needle: Experience in 200 Patients. Endosc. Ultrasound 2019, 8, 99–104. [Google Scholar] [CrossRef] [PubMed]
- van Riet, P.A.; Larghi, A.; Attili, F.; Rindi, G.; Nguyen, N.Q.; Ruszkiewicz, A.; Kitano, M.; Chikugo, T.; Aslanian, H.; Farrell, J.; et al. A Multicenter Randomized Trial Comparing a 25-Gauge EUS Fine-Needle Aspiration Device with a 20-Gauge EUS Fine-Needle Biopsy Device. Gastrointest. Endosc. 2019, 89, 329–339. [Google Scholar] [CrossRef] [PubMed]
- Ohtsuka, T.; Fernandez-del Castillo, C.; Furukawa, T.; Hijioka, S.; Jang, J.-Y.; Lennon, A.M.; Miyasaka, Y.; Ohno, E.; Salvia, R.; Wolfgang, C.L.; et al. International Evidence-Based Kyoto Guidelines for the Management of Intraductal Papillary Mucinous Neoplasm of the Pancreas. Pancreatology 2024, 24, 255–270. [Google Scholar] [CrossRef]
- Vege, S.S.; Ziring, B.; Jain, R.; Moayyedi, P.; Adams, M.A.; Dorn, S.D.; Dudley-Brown, S.L.; Flamm, S.L.; Gellad, Z.F.; Gruss, C.B.; et al. American Gastroenterological Association Institute Guideline on the Diagnosis and Management of Asymptomatic Neoplastic Pancreatic Cysts. Gastroenterology 2015, 148, 819–822. [Google Scholar] [CrossRef] [PubMed]
- Elta, G.H.; Enestvedt, B.K.; Sauer, B.G.; Lennon, A.M. ACG Clinical Guideline: Diagnosis and Management of Pancreatic Cysts. Off. J. Am. Coll. Gastroenterol. ACG 2018, 113, 464. [Google Scholar] [CrossRef]
- Tanaka, M.; Fernández-del Castillo, C.; Kamisawa, T.; Jang, J.Y.; Levy, P.; Ohtsuka, T.; Salvia, R.; Shimizu, Y.; Tada, M.; Wolfgang, C.L. Revisions of International Consensus Fukuoka Guidelines for the Management of IPMN of the Pancreas. Pancreatology 2017, 17, 738–753. [Google Scholar] [CrossRef]
- Faccioli, N.; Santi, E.; Foti, G.; D’Onofrio, M. Cost-Effectiveness Analysis of Including Contrast-Enhanced Ultrasound in Management of Pancreatic Cystic Neoplasms. Radiol. Med. 2022, 127, 349–359. [Google Scholar] [CrossRef]
- Lobo, J.M.; Scheiman, J.M.; Zaydfudim, V.M.; Shami, V.M.; Sauer, B.G. Clinical and Economic Outcomes of Patients Undergoing Guideline-Directed Management of Pancreatic Cysts. Off. J. Am. Coll. Gastroenterol. ACG 2020, 115, 1689. [Google Scholar] [CrossRef]
- Kumar, S.; Saumoy, M.; Oh, A.; Schneider, Y.; Brand, R.E.; Chak, A.; Ginsberg, G.G.; Kochman, M.L.; Canto, M.I.; Goggins, M.G.; et al. Threshold Analysis of the Cost-Effectiveness of Endoscopic Ultrasound in Patients at High-Risk for Pancreatic Ductal Adenocarcinoma. Pancreas 2021, 50, 807–814. [Google Scholar] [CrossRef] [PubMed]
- Durkin, C.; Krishna, S.G. Advanced Diagnostics for Pancreatic Cysts: Confocal Endomicroscopy and Molecular Analysis. World J. Gastroenterol. 2019, 25, 2734–2742. [Google Scholar] [CrossRef]
- Napoleon, B.; Palazzo, M.; Lemaistre, A.-I.; Caillol, F.; Palazzo, L.; Aubert, A.; Buscail, L.; Maire, F.; Morellon, B.M.; Pujol, B.; et al. Needle-Based Confocal Laser Endomicroscopy of Pancreatic Cystic Lesions: A Prospective Multicenter Validation Study in Patients with Definite Diagnosis. Endoscopy 2019, 51, 825–835. [Google Scholar] [CrossRef] [PubMed]
- Kovacevic, B.; Antonelli, G.; Klausen, P.; Hassan, C.; Larghi, A.; Vilmann, P.; Karstensen, J.G. EUS-Guided Biopsy versus Confocal Laser Endomicroscopy in Patients with Pancreatic Cystic Lesions: A Systematic Review and Meta-Analysis. Endosc. Ultrasound 2021, 10, 270–279. [Google Scholar] [CrossRef]
- Karia, K.; Kahaleh, M. A Review of Probe-Based Confocal Laser Endomicroscopy for Pancreaticobiliary Disease. Clin. Endosc. 2016, 49, 462–466. [Google Scholar] [CrossRef] [PubMed]
- Lee, L.S. Updates in Diagnosis and Management of Pancreatic Cysts. World J. Gastroenterol. 2021, 27, 5700–5714. [Google Scholar] [CrossRef]
- Paniccia, A.; Polanco, P.M.; Boone, B.A.; Wald, A.I.; McGrath, K.; Brand, R.E.; Khalid, A.; Kubiliun, N.; O’Broin-Lennon, A.M.; Park, W.G.; et al. Prospective, Multi-Institutional, Real-Time Next-Generation Sequencing of Pancreatic Cyst Fluid Reveals Diverse Genomic Alterations That Improve the Clinical Management of Pancreatic Cysts. Gastroenterology 2023, 164, 117–133.e7. [Google Scholar] [CrossRef]
- Rangwani, S.; Juakiem, W.; Krishna, S.G.; El-Dika, S. Role of Endoscopic Ultrasound in the Evaluation of Pancreatic Cystic Neoplasms: A Concise Review. Diagnostics 2023, 13, 705. [Google Scholar] [CrossRef]
- Khalaf, K.; Terrin, M.; Jovani, M.; Rizkala, T.; Spadaccini, M.; Pawlak, K.M.; Colombo, M.; Andreozzi, M.; Fugazza, A.; Facciorusso, A.; et al. A Comprehensive Guide to Artificial Intelligence in Endoscopic Ultrasound. J. Clin. Med. 2023, 12, 3757. [Google Scholar] [CrossRef] [PubMed]
- Yu, K.-H.; Beam, A.L.; Kohane, I.S. Artificial Intelligence in Healthcare. Nat. Biomed. Eng. 2018, 2, 719–731. [Google Scholar] [CrossRef]
- Erickson, B.J.; Korfiatis, P.; Akkus, Z.; Kline, T.L. Machine Learning for Medical Imaging. Radiographics 2017, 37, 505–515. [Google Scholar] [CrossRef] [PubMed]
- Iwasa, Y.; Iwashita, T.; Takeuchi, Y.; Ichikawa, H.; Mita, N.; Uemura, S.; Shimizu, M.; Kuo, Y.-T.; Wang, H.-P.; Hara, T. Automatic Segmentation of Pancreatic Tumors Using Deep Learning on a Video Image of Contrast-Enhanced Endoscopic Ultrasound. J. Clin. Med. 2021, 10, 3589. [Google Scholar] [CrossRef]
- Sinkala, M.; Mulder, N.; Martin, D. Machine Learning and Network Analyses Reveal Disease Subtypes of Pancreatic Cancer and Their Molecular Characteristics. Sci. Rep. 2020, 10, 1212. [Google Scholar] [CrossRef]
- Inoue, H.; Ogo, K.; Tabuchi, M.; Yamane, N.; Oka, H. An Automatic Visual Inspection Method Based on Supervised Machine Learning for Rapid On-Site Evaluation in EUS-FNA. In Proceedings of the 2014 Proceedings of the SICE Annual Conference (SICE), Sapporo, Japan, 9–12 September 2014; pp. 1114–1119. [Google Scholar]
- Hashimoto, Y.; Ohno, I.; Imaoka, H.; Takahashi, H.; Mitsunaga, S.; Sasaki, M.; Kimura, G.; Suzuki, Y.; Watanabe, K.; Umemoto, K.; et al. Mo1296 Reliminary Result of Computer Aided Diagnosis (CAD) Performance Using Deep Learning in EUS-FNA Cytology of Pancreatic Cancer. Gastrointest. Endosc. 2018, 87, AB434. [Google Scholar] [CrossRef]
- Nguon, L.S.; Seo, K.; Lim, J.-H.; Song, T.-J.; Cho, S.-H.; Park, J.-S.; Park, S. Deep Learning-Based Differentiation between Mucinous Cystic Neoplasm and Serous Cystic Neoplasm in the Pancreas Using Endoscopic Ultrasonography. Diagnostics 2021, 11, 1052. [Google Scholar] [CrossRef] [PubMed]
- Machicado, J.D.; Chao, W.-L.; Carlyn, D.E.; Pan, T.-Y.; Poland, S.; Alexander, V.L.; Maloof, T.G.; Dubay, K.; Ueltschi, O.; Middendorf, D.M.; et al. High Performance in Risk Stratification of Intraductal Papillary Mucinous Neoplasms by Confocal Laser Endomicroscopy Image Analysis with Convolutional Neural Networks (with Video). Gastrointest. Endosc. 2021, 94, 78–87.e2. [Google Scholar] [CrossRef]
- Jiang, J.; Chao, W.-L.; Culp, S.; Krishna, S.G. Artificial Intelligence in the Diagnosis and Treatment of Pancreatic Cystic Lesions and Adenocarcinoma. Cancers 2023, 15, 2410. [Google Scholar] [CrossRef] [PubMed]
- Dahiya, D.S.; Al-Haddad, M.; Chandan, S.; Gangwani, M.K.; Aziz, M.; Mohan, B.P.; Ramai, D.; Canakis, A.; Bapaye, J.; Sharma, N. Artificial Intelligence in Endoscopic Ultrasound for Pancreatic Cancer: Where Are We Now and What Does the Future Entail? J. Clin. Med. 2022, 11, 7476. [Google Scholar] [CrossRef]







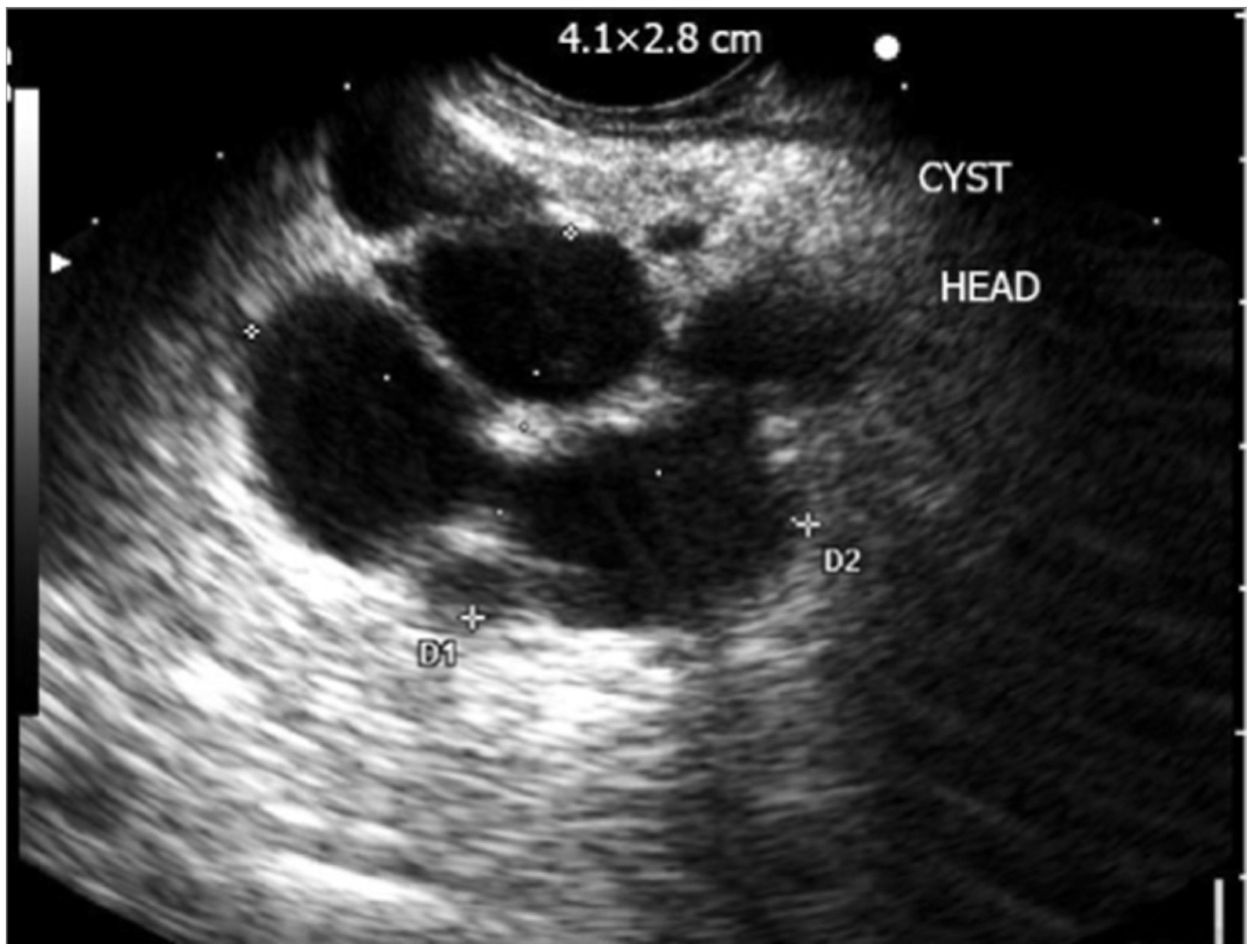
| Non-neoplastic cysts | Pseudocyst Simple/congenital cyst Retention cyst Mucinous non-neoplastic cyst Enterogenous cyst Periampullary duodenal wall cyst Endometrial cyst |
| Neoplastic cysts | Mucinous cystic lesions Intraductal papillary mucinous neoplasm Mucinous cystic neoplasm Serous cystic neoplasm Non-mucinous cystic lesions Serous cystadenocarcinoma Solid pseudopapillary neoplasm Cystic neuroendocrine neoplasm Acinar cell cystic neoplasm Cystic hamartoma Cystic teratoma Cystic pancreatoblastoma Ductal adenocarcinoma with cystic degeneration |
| Other neoplastic lesions | Pancreatic adenocarcinoma Acinar cell carcinoma Neuroendocrine tumors Lymphomas Metastases |
| Type of Lesion | Features in Endoscopic Ultrasound | Fluid Carcinogenic Embryogen | Fluid Amylase |
|---|---|---|---|
| Pancreatic Pseudocyst [37,38,39] | Anechoic, well-circumscribed, round or oval lesion, absence of septations and mural nodules | Low | High |
| Intraductal Papillary Mucinous Neoplasm [38,40] | Macrocystic-type lesion with occasional parenchymal changes and communication with pancreatic duct | High | High |
| Serous Cystadenoma [38,40] | Multiple microcysts (<3 mm) in a cystic lesion, possible honeycomb-like appearance, no ductal communication | Low | Low |
| Mucinous Cystic Neoplasm [38,41] | Cysts with septations of variable thickness, visible wall with occasional peripheral calcifications, no ductal communication | High | Low |
| Solid Pseudopapillary Neoplasm [38] | Mixed solid-cystic well-demarcated tumor | Low | Low |
| Pancreatic Adenocarcinoma [26,42,43] | Heterogenous, hypoechoic mass with an irregular border | High | Variable |
| Guidelines | Indications for Endoscopic Ultrasound |
|---|---|
| Kyoto Guidelines for IPMN (2024) | The presence of any of the following “worrisome features”: Clinical: |
| A. Acute pancreatitis B. Elevated serum CA 19-9 C. New onset or acute exacerbation of diabetes within the past year Imaging: A. Cyst size ≥3 cm B. Enhancing mural nodule <5 mm C. Thickened/enhancing cyst walls D. Main pancreatic duct ≥5 mm and <10 mm E. Abrupt change in caliber of the pancreatic duct with atrophy F. Lymphadenopathy G. Cystic growth rate ≥2.5 mm/year | |
| European Evidence-Based Guidelines (2018) | Lesions with concerning features |
| A. Growth rate >5 mm/year B. Elevated serum CA 19-9 (≥37 U/mL) C. Main pancreatic duct dilatation (5–9.9 mm) D. Cyst diameter ≥40 mm E. New onset of diabetes mellitus F. Acute pancreatitis G. Enhancing mural nodule <5 mm | |
| American College of Gastroenterology (2018) | If any of the following present: |
| -PD ≥ 5 mm -IPMN or MCN ≥ 3 cm -Change in PD caliber with upstream atrophy -Size increase of ≥ 3 mm/year during surveillance -Jaundice due to cyst -Pancreatitis due to cyst -Presence of a mural nodule or solid component | |
| International Consensus (2017) | If any of the following present: |
| -Pancreatitis due to cyst -Cyst size ≥ 3 cm -Enhancing mural nodule < 5 mm -Thickened/enhancing cyst walls -PD 5–9 mm -Abrupt change in diameter of PD with distal pancreatic atrophy -Lymphadenopathy -Elevated CA 19-9 -Rapid growth of cyst (>5 mm/2 years) | |
| American Gastroenterological Association (2015) | ≥2 high-risk features -Cyst size ≥ 3 cm -Pancreatic Duct Dilatation -Presence of a solid component |
Disclaimer/Publisher’s Note: The statements, opinions and data contained in all publications are solely those of the individual author(s) and contributor(s) and not of MDPI and/or the editor(s). MDPI and/or the editor(s) disclaim responsibility for any injury to people or property resulting from any ideas, methods, instructions or products referred to in the content. |
© 2024 by the authors. Licensee MDPI, Basel, Switzerland. This article is an open access article distributed under the terms and conditions of the Creative Commons Attribution (CC BY) license (https://creativecommons.org/licenses/by/4.0/).
Share and Cite
Dahiya, D.S.; Shah, Y.R.; Ali, H.; Chandan, S.; Gangwani, M.K.; Canakis, A.; Ramai, D.; Hayat, U.; Pinnam, B.S.M.; Iqbal, A.; et al. Basic Principles and Role of Endoscopic Ultrasound in Diagnosis and Differentiation of Pancreatic Cancer from Other Pancreatic Lesions: A Comprehensive Review of Endoscopic Ultrasound for Pancreatic Cancer. J. Clin. Med. 2024, 13, 2599. https://doi.org/10.3390/jcm13092599
Dahiya DS, Shah YR, Ali H, Chandan S, Gangwani MK, Canakis A, Ramai D, Hayat U, Pinnam BSM, Iqbal A, et al. Basic Principles and Role of Endoscopic Ultrasound in Diagnosis and Differentiation of Pancreatic Cancer from Other Pancreatic Lesions: A Comprehensive Review of Endoscopic Ultrasound for Pancreatic Cancer. Journal of Clinical Medicine. 2024; 13(9):2599. https://doi.org/10.3390/jcm13092599
Chicago/Turabian StyleDahiya, Dushyant Singh, Yash R. Shah, Hassam Ali, Saurabh Chandan, Manesh Kumar Gangwani, Andrew Canakis, Daryl Ramai, Umar Hayat, Bhanu Siva Mohan Pinnam, Amna Iqbal, and et al. 2024. "Basic Principles and Role of Endoscopic Ultrasound in Diagnosis and Differentiation of Pancreatic Cancer from Other Pancreatic Lesions: A Comprehensive Review of Endoscopic Ultrasound for Pancreatic Cancer" Journal of Clinical Medicine 13, no. 9: 2599. https://doi.org/10.3390/jcm13092599
APA StyleDahiya, D. S., Shah, Y. R., Ali, H., Chandan, S., Gangwani, M. K., Canakis, A., Ramai, D., Hayat, U., Pinnam, B. S. M., Iqbal, A., Malik, S., Singh, S., Jaber, F., Alsakarneh, S., Mohamed, I., Ali, M. A., Al-Haddad, M., & Inamdar, S. (2024). Basic Principles and Role of Endoscopic Ultrasound in Diagnosis and Differentiation of Pancreatic Cancer from Other Pancreatic Lesions: A Comprehensive Review of Endoscopic Ultrasound for Pancreatic Cancer. Journal of Clinical Medicine, 13(9), 2599. https://doi.org/10.3390/jcm13092599

