Potential Association of Molar-Incisor Hypomineralization (MIH) with Dental Agenesis and Infraoccluded Deciduous Molars: Is MIH Related to Dental Anomaly Pattern (DAP)? An Observational Cross-Sectional Study
Abstract
1. Introduction
Dental Anomaly Pattern (DAP)
2. Materials and Methods
2.1. Study Design
2.2. Study Population and Procedure
2.3. Evaluation of MIH Lesions
2.4. Inclusion/Exclusion Criteria
2.5. Training and Calibration of the Examiners
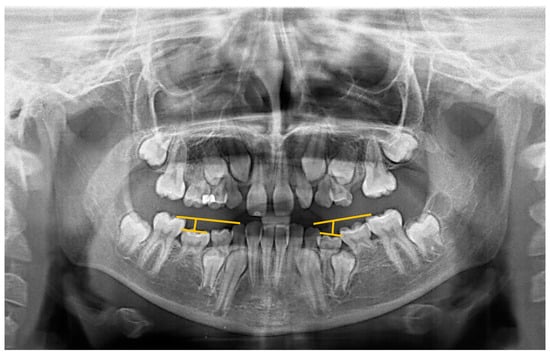
2.6. Association of MIH with AG and Primary IODM
2.7. Statistical Analysis
2.8. Ethical Approval
3. Results
3.1. Demographic and MIH Characteristics
3.2. Frequencies of AG in Patients with and without MIH
3.3. Frequencies of Primary IODM in Patients with and without MIH
4. Discussion
5. Limitations
- Observational cross-sectional design limits longitudinal analysis.
- Limited number of patients with AG and/or IODM restricts in-depth data exploration beyond frequency analyses.
- Exclusively studying an orthodontic population may limit broader applicability.
- Geographical specificity to Madrid, Spain, may restrict generalizability to populations with different prevalence rates of MIH, AG, and IODM.
6. Conclusions
Author Contributions
Funding
Institutional Review Board Statement
Informed Consent Statement
Data Availability Statement
Acknowledgments
Conflicts of Interest
References
- Weerheijm, K.L. Molar incisor hypomineralisation (MIH). Eur. J. Paediatr. Dent. 2003, 4, 114–120. [Google Scholar]
- Portella, P.D.; Menoncin, B.L.V.; de Souza, J.F.; de Menezes, J.V.N.B.; Fraiz, F.C.; da Silva Assunção, L.R. Impact of Molar Incisor Hypomineralization on Quality of Life in Children with Early Mixed Dentition: A Hierarchical Approach. Int. J. Paediatr. Dent. 2019, 29, 496–506. [Google Scholar] [CrossRef]
- Lygidakis, N.A.; Garot, E.; Somani, C.; Taylor, G.D.; Rouas, P.; Wong, F.S.L. Best clinical practice guidance for clinicians dealing with children presenting with molar-incisor-hypomineralisation (MIH): An updated European Academy of Paediatric Dentistry policy document. Eur. Arch. Paediatr. Dent. 2022, 23, 3–21. [Google Scholar] [CrossRef]
- Elhennawy, K.; Manton, D.J.; Crombie, F.; Zaslansky, P.; Radlanski, R.J.; Jost-Brinkmann, P.G.; Schwendicke, F. Structural, mechanical and chemical evaluation of molar- incisor hypomineralization-affected enamel: A systematic review. Arch. Oral. Biol. 2017, 83, 272–281. [Google Scholar] [CrossRef]
- Jälevik, B. Prevalence and Diagnosis of Molar-Incisor- Hypomineralisation (MIH): A systematic review. Eur. Arch. Paediatr. Dent. 2010, 11, 59–64. [Google Scholar] [CrossRef]
- Elfrink, M.E.C.; Ghanim, A.; Manton, D.J.; Weerheijm, K.L. Standardised studies on Molar Incisor Hypomineralisation (MIH) and Hypomineralised Second Primary Molars (HSPM): A need. Eur. Arch. Paediatr. Dent. 2015, 16, 247–255. [Google Scholar] [CrossRef] [PubMed]
- Weerheijm, K.L.; Duggal, M.; Mejàre, I.; Papagiannoulis, L.; Koch, G.; Martens, L.C.; Hallonsten, A.L. Judgement criteria for molar incisor hypomineralisation (MIH) in epidemiologic studies: A summary of the European meeting on MIH held in Athens, 2003. Eur. J. Paediatr. Dent. 2003, 4, 110–113. [Google Scholar] [PubMed]
- Lopes, L.B.; Machado, V.; Mascarenhas, P.; Mendes, J.J.; Botelho, J. The prevalence of molar-incisor hypomineralization: A systematic review and meta-analysis. Sci. Rep. 2021, 11, 22405. [Google Scholar] [CrossRef] [PubMed]
- Preusser, S.E.; Ferring, V.; Wleklinski, C.; Wetzel, W.E. Prevalence and severity of molar incisor hypomineralization in a region of Germany -a brief communication. J. Public. Health Dent. 2007, 67, 148–150. [Google Scholar] [CrossRef]
- Abdelaziz, M.; Krejci, I.; Banon, J. Prevalence of Molar Incisor Hypomineralization in over 30,000 Schoolchildren in Switzerland. J. Clin. Med. 2022, 46, 1–5. [Google Scholar] [CrossRef]
- Schneider, P.M.; Silva, M. Endemic Molar Incisor Hypomineralization: A Pandemic Problem That Requires Monitoring by the Entire Health Care Community. Curr. Osteoporos. Rep. 2018, 16, 283–288. [Google Scholar] [CrossRef] [PubMed]
- Bezamat, M.; Souza, J.F.; Silva, F.M.F.; Corrêa, E.G.; Fatturi, A.L.; Brancher, J.A.; Carvalho, F.M.; Cavallari, T.; Bertolazo, L.; Machado-Souza, C.; et al. Gene-Environment Interaction in Molar-Incisor Hypomineralization. PLoS ONE 2021, 16, e0241898. [Google Scholar] [CrossRef] [PubMed]
- Teixeira, R.J.P.B.; Andrade, N.S.; Queiroz, L.C.C.; Mendes, F.M.; Moura, M.S.; Moura, L.F.A.D.; Lima, M.D.M. Exploring the association between genetic and environmental factors and molar incisor hypomineralization: Evidence from a twin study. Int. J. Paediatr. Dent. 2018, 28, 198–206. [Google Scholar] [CrossRef] [PubMed]
- Bussaneli, D.G.; Vieira, A.R.; Santos-Pinto, L.; Restrepo, M. Molar-incisor hypomineralisation: An updated view for aetiology 20 years later. Eur. Arch. Paediatr. Dent. 2022, 23, 193–198. [Google Scholar] [CrossRef] [PubMed]
- Butera, A.; Maiorani, C.; Morandini, A.; Simonini, M.; Morittu, S.; Barbieri, S.; Bruni, A.; Sinesi, A.; Ricci, M.; Trombini, J.; et al. Assessment of Genetical, Pre, Peri and Post Natal Risk Factors of Deciduous Molar Hypomineralization (DMH), Hypomineralized Second Primary Molar (HSPM) and Molar Incisor Hypomineralization (MIH): A Narrative Review. Children 2021, 8, 432. [Google Scholar] [CrossRef] [PubMed]
- Baccetti, T. A controlled study of associated dental anomalies. Angle Orthod. 1998, 68, 267–274. [Google Scholar] [PubMed]
- Peck, S. Dental Anomaly Patterns (DAP). A new way to look at malocclusion. Angle Orthod. 2009, 79, 1015–1016. [Google Scholar] [CrossRef] [PubMed]
- Calvano Küchler, E.; De Andrade Risso, P.; De Castro Costa, M.; Modesto, A.; Vieira, A.R. Assessing the proposed association between tooth agenesis and taurodontism in 975 paediatric subjects. Int. J. Paediatr. Dent. 2008, 18, 231–234. [Google Scholar] [CrossRef]
- Danielsen, J.C.; Karimian, K.; Ciarlantini, R.; Melsen, B.; Kjær, I. Unilateral and bilateral dental transpositions in the maxilla-dental and skeletal findings in 63 individuals. Eur. Arch. Paediatr. Dent. 2015, 16, 467–476. [Google Scholar] [CrossRef]
- Lai, P.Y.; Seow, W.K. A controlled study of the association of various dental anomalies with hypodontia of permanent teeth. Pediatr. Dent. 1989, 11, 291–296. [Google Scholar]
- Walshaw, E.G.; Noble, F.; Conville, R.; Anne Lawson, J.; Hasmun, N.; Rodd, H. Molar incisor hypomineralisation and dental anomalies: A random or real association? Int. J. Paediatr. Dent. 2020, 30, 342–348. [Google Scholar] [CrossRef] [PubMed]
- Şen Yavuz, B.; Sezer, B.; Kaya, R.; Tuğcu, N.; Kargül, B. Is there an association between molar incisor hypomineralization and developmental dental anomalies? A case-control study. BMC Oral. Health 2023, 23, 776. [Google Scholar] [CrossRef] [PubMed]
- Marcianes, M.; García-Camba, P.; Albaladejo, A.; Varela Morales, M. Predictive Value of Hypomineralization of Second Primary Molars for Molar Incisor Hypomineralization and Other Relationships between Both Developmental Defects of Dental Enamel. J. Clin. Med. 2023, 12, 5533. [Google Scholar] [CrossRef] [PubMed]
- Elfrink, M.E.; Veerkamp, J.S.; Aartman, I.H.; Moll, H.A.; Ten Cate, J.M. Validity of scoring caries and primary molar hypomineralization (DMH) on intraoral photographs. Eur. Arch. Paediatr. Dent. 2009, 10 (Suppl. 1), 5–10. [Google Scholar] [CrossRef] [PubMed]
- Commission on Oral Health, Research & Epidemiology; Report of an FDI Working Group. A review of the developmental defects of enamel index (DDE Index). Int. Dent. J. 1992, 42, 411–426. [Google Scholar]
- Odeh, R.; Mihailidis, S.; Townsend, G.; Lähdesmäki, R.; Hughes, T.; Brook, A. Prevalence of infraocclusion of primary molars determined using a new 2D image analysis methodology. Aust. Dent. J. 2016, 61, 183–189. [Google Scholar] [CrossRef] [PubMed]
- Bjerklin, K.; Bennett, J. The long-term survival of lower second primary molars in subjects with agenesis of the premolars. Eur. J. Orthod. 2000, 22, 245–255. [Google Scholar] [CrossRef]
- Cardoso Silva, C.; Maroto Edo, M.; Soledad Alvaro Llorente, M.; Barbería Leache, E. Primary molar infraocclusion: Frequency, magnitude, root resorption and premolar agenesis in a Spanish sample. Eur. J. Paediatr. Dent. 2014, 15, 258–264. [Google Scholar] [PubMed]
- Shalish, M.; Peck, S.; Wasserstein, A.; Peck, L. Increased occurrence of dental anomalies associated with infraocclusion of deciduous molars. Angle Orthod. 2010, 80, 440–445. [Google Scholar] [CrossRef]
- Crombie, F.; Manton, D.; Kilpatrick, N. Aetiology of molar-incisor hypomineralization: A critical review. Int. J. Paediatr. Dent. 2009, 19, 73–83. [Google Scholar] [CrossRef]
- Ghanim, A. Molar incisor hypomineralisation (MIH) training manual for clinical field surveys and practice. Eur. Arch. Paediatr. Dent. 2017, 18, 225–242. [Google Scholar] [CrossRef] [PubMed]
- Lygidakis, N.A.; Wong, F.; Jälevik, B.; Vierrou, A.M.; Alaluusua, S.; Espelid, I. Best Clinical Practice Guidance for clinicians dealing with children presenting with Molar-Incisor-Hypomineralisation (MIH): An EAPD Policy Document. Eur. Arch. Paediatr. Dent. 2010, 11, 75–81. [Google Scholar] [CrossRef] [PubMed]
- Garg, N.; Jain, A.K.; Saha, S.; Singh, J. Essentiality of Early Diagnosis of Molar Incisor Hypomineralization in Children and Review of its Clinical Presentation, Etiology and Management. Int. J. Clin. Pediatr. Dent. 2012, 5, 190–196. [Google Scholar] [PubMed]
- Ghanim, A.; Morgan, M.; Mariño, R.; Bailey, D.; Manton, D. Molar-incisor hypomineralisation: Prevalence and defect characteristics in Iraqi children. Int. J. Paediat. Dent. 2011, 21, 413–421. [Google Scholar] [CrossRef] [PubMed]
- Küchler, E.C.; Risso, P.A.; Costa, M.D.C.; Modesto, A.; Vieira, A.R. Studies of dental anomalies in a large group of school children. Arch. Oral. Biol. 2008, 53, 941–946. [Google Scholar] [CrossRef] [PubMed]
- Kurol, J. Infraocclusion of primary molars: An epidemiologic and familial study. Community Dent. Oral. Epidemiol. 1981, 9, 94–102. [Google Scholar] [CrossRef] [PubMed]
- De la Rosa, C.; Valmaseda, E.; Costa, X.; Gay Escoda, C. Infraocclusion of primary molars: Reports of cases. ASDC J. Dent. Child. 1998, 65, 47–51. [Google Scholar]
- Dos Santos, C.C.O.; Melo, D.L.; da Silva, P.; Normando, D. What is the survival rate of deciduous molars in cases with agenesis of premolar successors? A systematic review. Angle Orthod. 2022, 92, 110–117. [Google Scholar] [CrossRef] [PubMed]
- Arhakis, A.; Boutiou, E. Etiology, Diagnosis, Consequences and Treatment of Infraoccluded Primary Molars. Open Dent. J. 2016, 10, 714–719. [Google Scholar] [CrossRef]
- Souza-Silva, B.N.; Vieira, W.A.; Bernardino, Í.M.; Batista, M.J.; Bittencourt, M.A.V.; Paranhos, L.R. Non-syndromic tooth agenesis patterns and their association with other dental anomalies: A retrospective study. Arch. Oral. Biol. 2018, 96, 26–32. [Google Scholar] [CrossRef]
- Peck, S.; Peck, L.; Kataja, M. Mandibular lateral incisor-canine transposition, concomitant dental anomalies, and genetic control. Angle Orthod. 1998, 68, 455–466. [Google Scholar] [PubMed]
- Langberg, B.J.; Peck, S. Tooth-size reduction associated with occurrence of palatal displacement of canines. Angle Orthod. 2000, 70, 126–128. [Google Scholar] [PubMed]
- Sajnani, A.K.; King, N.M. Dental anomalies associated with buccally- and palatally- impacted maxillary canines. J. Investig. Clin. Dent. 2014, 5, 208–213. [Google Scholar] [CrossRef] [PubMed]
- Garib, D.G.; Zanella, N.L.M.; Peck, S. Associated dental anomalies: Case report. J. Appl. Oral. Sci. 2005, 13, 431–436. [Google Scholar] [CrossRef] [PubMed]
- Patel, A.; Aghababaie, S.; Parekh, S. Hypomineralisation or hypoplasia? Br. Dent. J. 2019, 227, 683–686. [Google Scholar] [CrossRef] [PubMed]
- Elcock, C.; Smith, R.N.; Simpson, J.; Abdellatif, A.; Bäckman, B.; Brook, A.H. Comparison of methods for measurement of hypoplastic lesions. Eur. J. Oral. Sci. 2006, 114, 365–383. [Google Scholar] [CrossRef] [PubMed]
- Jälevik, B.; Szigyarto-Matei, A.; Robertson, A. The prevalence of developmental defects of enamel, a prospective cohort study of adolescents in Western Sweden: A Barn I TAnadvarden (BITA, children in dental care) study. Eur. Arch. Paediatr. Dent. 2018, 19, 187–195. [Google Scholar] [CrossRef] [PubMed]
- Tallón-Walton, V.; Nieminen, P.; Arte, S.; Carvalho-Lobato, P.; Ustrell-Torrent, J.M.; Manzanares-Céspedes, M.C. An epidemiological study of dental agenesis in a primary health area in Spain: Estimated prevalence and associated factors. Med. Oral. Patol. Oral. Cir. Bucal. 2010, 15, 569–574. [Google Scholar] [CrossRef]
- Rodd, H.D.; Nazzal, H.; Bonifacio, C.C.; Ruth, C.W.; Crombie, F.; El Shahawy, O.; Folayan, M.O.; Gambetta-Tessini, K.; Goyal, A.; Hasmun, N.; et al. An International Investigation of Molar Incisor Hypomineralisation (iMIH) and Its Association with Dental Anomalies: Development of a Protocol. Dent. J. 2023, 11, 117. [Google Scholar] [CrossRef]



|
| At least one FPM affected by the defect * White-yellow-brown demarcated opacities Post-eruptive enamel breakdown (PEB) associated with opacities Extensive atypical caries with surrounding opacities or in low-risk surfaces Atypical restorations; crowns if MIH is found in other teeth Extractions due to MIH Eruption failure of a molar or an incisor |
| Absence of other developmental defects (dentinogenesis imperfecta, amelogenesis imperfecta, fluorosis) Absence of syndromes or craniofacial anomalies Lack of consanguinity with other selected subjects Availability of high-quality panoramic radiographs and digital intraoral photographs onto a 40-inch screen Patients with agenesis who were younger than 10 years were required to have a second OPG obtained after 12 years of age to be included in the study. |
| MIH | No MIH | p | |
|---|---|---|---|
| Total | 287 | 287 | |
| Age (years) | 9.15 ± 1.92 | 9.57 ± 1.65 | 0.005 |
| Gender: F/M | 160/127 | 155/132 | 0.737 |
| AG * | MIH | No MIH | p |
|---|---|---|---|
| Yes | 20 (7%) | 23 (8%) | 0.751 |
| No | 267 (93%) | 264 (92%) | |
| Total | 287 | 287 |
| AG * of Premolars | MIH | No MIH | p |
|---|---|---|---|
| Yes | 14 (4.9%) | 13 (4.5%) | 1.000 |
| No | 273 (95.1%) | 274 (95.5%) | |
| Total | 287 | 287 |
| IODM * | MIH | No MIH | p |
|---|---|---|---|
| Yes | 55 (27%) | 39 (19.2%) | 0.082 |
| No | 149 (73%) | 164 (80.8%) | |
| Total | 204 | 203 |
Disclaimer/Publisher’s Note: The statements, opinions and data contained in all publications are solely those of the individual author(s) and contributor(s) and not of MDPI and/or the editor(s). MDPI and/or the editor(s) disclaim responsibility for any injury to people or property resulting from any ideas, methods, instructions or products referred to in the content. |
© 2024 by the authors. Licensee MDPI, Basel, Switzerland. This article is an open access article distributed under the terms and conditions of the Creative Commons Attribution (CC BY) license (https://creativecommons.org/licenses/by/4.0/).
Share and Cite
Marcianes, M.; Garcia-Camba, P.; Albaladejo, A.; Varela Morales, M. Potential Association of Molar-Incisor Hypomineralization (MIH) with Dental Agenesis and Infraoccluded Deciduous Molars: Is MIH Related to Dental Anomaly Pattern (DAP)? An Observational Cross-Sectional Study. J. Clin. Med. 2024, 13, 2445. https://doi.org/10.3390/jcm13082445
Marcianes M, Garcia-Camba P, Albaladejo A, Varela Morales M. Potential Association of Molar-Incisor Hypomineralization (MIH) with Dental Agenesis and Infraoccluded Deciduous Molars: Is MIH Related to Dental Anomaly Pattern (DAP)? An Observational Cross-Sectional Study. Journal of Clinical Medicine. 2024; 13(8):2445. https://doi.org/10.3390/jcm13082445
Chicago/Turabian StyleMarcianes, Maria, Pablo Garcia-Camba, Alberto Albaladejo, and Margarita Varela Morales. 2024. "Potential Association of Molar-Incisor Hypomineralization (MIH) with Dental Agenesis and Infraoccluded Deciduous Molars: Is MIH Related to Dental Anomaly Pattern (DAP)? An Observational Cross-Sectional Study" Journal of Clinical Medicine 13, no. 8: 2445. https://doi.org/10.3390/jcm13082445
APA StyleMarcianes, M., Garcia-Camba, P., Albaladejo, A., & Varela Morales, M. (2024). Potential Association of Molar-Incisor Hypomineralization (MIH) with Dental Agenesis and Infraoccluded Deciduous Molars: Is MIH Related to Dental Anomaly Pattern (DAP)? An Observational Cross-Sectional Study. Journal of Clinical Medicine, 13(8), 2445. https://doi.org/10.3390/jcm13082445

