The Clinical Utility of Lower Extremity Dual-Energy CT Angiography in the Detection of Bone Marrow Edema in Diabetic Patients with Peripheral Artery Disease
Abstract
1. Introduction
2. Materials and Methods
2.1. Patient Population and Study Design
2.2. CT Study Protocol
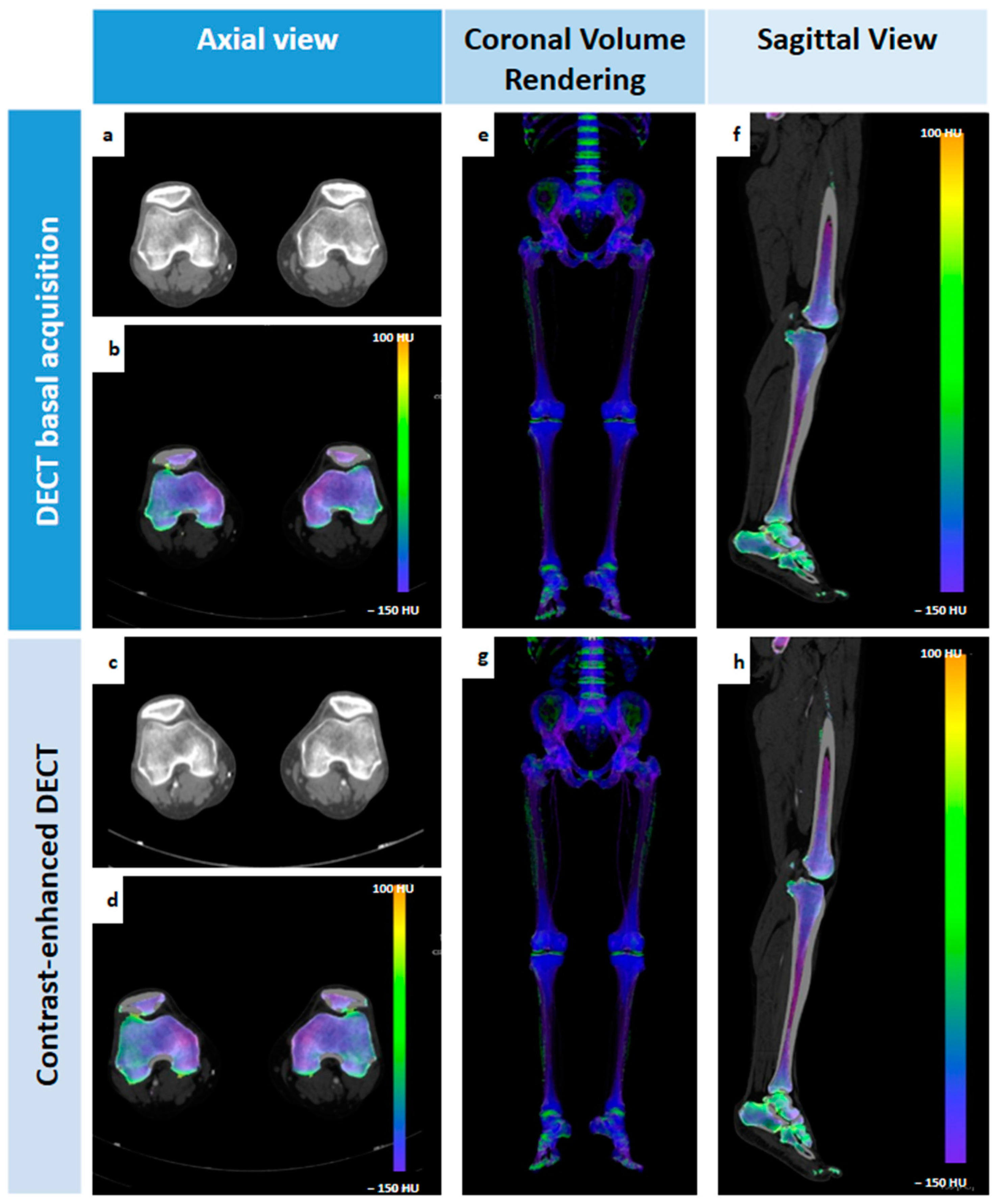
2.3. DE-CTA Image Reconstruction and Post-Processing
2.4. Image Analysis
2.5. Statistical Analysis
3. Results
4. Discussion
Author Contributions
Funding
Institutional Review Board Statement
Informed Consent Statement
Data Availability Statement
Conflicts of Interest
References
- Yadav, V.; Khanduri, S.; Yadav, P.; Pandey, S.; Tyagi, E.; Yadav, H.; Krishnam, A.; Hamza, M. Diagnostic Accuracy of Color Doppler and Calcium Scoring versus Dual-Energy Computed Tomography Angiography in the Assessment of Peripheral Arterial Diseases of Lower Limb. J. Clin. Imaging Sci. 2020, 10, 45. [Google Scholar] [CrossRef] [PubMed]
- Aday, A.W.; Matsushita, K. Epidemiology of Peripheral Artery Disease and Polyvascular Disease. Circ. Res. 2021, 128, 1818–1832. [Google Scholar] [CrossRef] [PubMed]
- Criqui, M.H.; Aboyans, V. Epidemiology of peripheral artery disease. Circ. Res. 2015, 116, 1509–1526, Erratum in Circ. Res. 2015, 117, e12. [Google Scholar] [CrossRef]
- Shwaiki, O.; Rashwan, B.; Fink, M.A.; Kirksey, L.; Gadani, S.; Karuppasamy, K.; Melzig, C.; Thompson, D.; D’Amico, G.; Rengier, F.; et al. Lower extremity CT angiography in peripheral arterial disease: From the established approach to evolving technical developments. Int. J. Cardiovasc. Imaging 2021, 37, 3101–3114. [Google Scholar] [CrossRef]
- Conte, M.S.; Bradbury, A.W.; Kolh, P.; White, J.V.; Dick, F.; Fitridge, R.; Mills, J.L.; Ricco, J.-B.; Suresh, K.R.; Murad, M.H.; et al. Global Vascular Guidelines on the Management of Chronic Limb-Threatening Ischemia. Eur. J. Vasc. Endovasc. Surg. 2019, 58, S1–S109.e33, Erratum in Eur. J. Vasc. Endovasc. Surg. 2020, 59, 492–493; Erratum in Eur. J. Vasc. Endovasc. Surg. 2020, 60, 158–159. [Google Scholar] [CrossRef]
- Beckman, J.A.; Creager, M.A.; Libby, P. Diabetes and atherosclerosis: Epidemiology, pathophysiology, and management. JAMA 2002, 287, 2570–2581. [Google Scholar] [CrossRef] [PubMed]
- Barnes, J.A.; Eid, M.A.; Creager, M.A.; Goodney, P.P. Epidemiology and Risk of Amputation in Patients with Diabetes Mellitus and Peripheral Artery Disease. Arter. Thromb. Vasc. Biol. 2020, 40, 1808–1817. [Google Scholar] [CrossRef]
- Schaper, N.C.; van Netten, J.J.; Apelqvist, J.; Bus, S.A.; Hinchliffe, R.J.; Lipsky, B.A.; IWGDF Editorial Board. Practical Guidelines on the prevention and management of diabetic foot disease (IWGDF 2019 update). Diabetes Metab. Res. Rev. 2020, 36 (Suppl. S1), e3266. [Google Scholar] [CrossRef]
- Monteiro-Soares, M.; Russell, D.; Boyko, E.J.; Jeffcoate, W.; Mills, J.L.; Morbach, S.; Game, F.; on behalf of the International Working Group on the Diabetic Foot (IWGDF). Guidelines on the classification of diabetic foot ulcers (IWGDF 2019). Diabetes/Metabolism Res. Rev. 2020, 36, e3273. [Google Scholar] [CrossRef]
- Tao, G.L.; Zheng, L.S.; Wang, Z.Y.; Xu, Y.P.; Zhong, X.G.; Wang, H.; Zhang, X.S. Clinical characteristics and risk factors of diabetic foot ulcers with PAD. Eur. Rev. Med. Pharmacol. Sci. 2023, 27, 11412–11420. [Google Scholar] [CrossRef]
- Behroozian, A.; Beckman, J.A. Microvascular Disease Increases Amputation in Patients with Peripheral Artery Disease. Arter. Thromb. Vasc. Biol. 2020, 40, 534–540. [Google Scholar] [CrossRef]
- Floridi, C.; Cacioppa, L.M.; Agliata, G.; Cellina, M.; Rossini, N.; Valeri, T.; Curzi, M.; Felicioli, A.; Bruno, A.; Rosati, M.; et al. True Non-Contrast Phase versus Virtual-Non Contrast: “Lights and Shadows” of Dual Energy CT Angiography in Peripheral Arterial Disease. Appl. Sci. 2023, 13, 7134. [Google Scholar] [CrossRef]
- Napoli, A.; Anzidei, M.; Zaccagna, F.; Marincola, B.C.; Zini, C.; Brachetti, G.; Cartocci, G.; Fanelli, F.; Catalano, C.; Passariello, R. Peripheral arterial occlusive disease: Diagnostic performance and effect on therapeutic management of 64-section CT angiography. Radiology 2011, 261, 976–986. [Google Scholar] [CrossRef]
- Itoga, N.K.; Kim, T.; Sailer, A.M.; Fleischmann, D.; Mell, M.W. Lower extremity computed tomography angiography can help predict technical success of endovascular revascularization in the superficial femoral and popliteal artery. J. Vasc. Surg. 2017, 66, 835–843.e1. [Google Scholar] [CrossRef] [PubMed]
- Horehledova, B.; Mihl, C.; Milanese, G.; Brans, R.; Eijsvoogel, N.G.; Hendriks, B.M.F.; Wildberger, J.E.; Das, M. CT Angiography in the Lower Extremity Peripheral Artery Disease Feasibility of an Ultra-Low Volume Contrast Media Protocol. Cardiovasc. Interv. Radiol. 2018, 41, 1751–1764. [Google Scholar] [CrossRef]
- Met, R.; Bipat, S.; Legemate, D.A.; Reekers, J.A.; Koelemay, M.J.W. Diagnostic performance of computed tomography angiography in peripheral arterial disease: A systematic review and meta-analysis. JAMA 2009, 301, 415–424. [Google Scholar] [CrossRef]
- Takx, R.A.; Partovi, S.; Ghoshhajra, B.B. Imaging of atherosclerosis. Int. J. Cardiovasc. Imaging 2016, 32, 5–12. [Google Scholar] [CrossRef] [PubMed]
- Meyersohn, N.M.; Walker, T.G.; Oliveira, G.R. Advances in axial imaging of peripheral vascular disease. Curr. Cardiol. Rep. 2015, 17, 87. [Google Scholar] [CrossRef]
- Aboyans, V.; Ricco, J.B.; Bartelink, M.E.L.; Björck, M.; Brodmann, M.; Cohnert, T.; Collet, J.P.; Czerny, M.; De Carlo, M.; Debus, S.; et al. 2017 ESC Guidelines on the Diagnosis and Treatment of Peripheral Arterial Diseases, in collaboration with the European Society for Vascular Surgery (ESVS): Document covering atherosclerotic disease of extracranial carotid and vertebral, mesenteric, renal, upper and lower extremity arteries Endorsed by: The European Stroke Organization (ESO) the Task Force for the Diagnosis and Treatment of Peripheral Arterial Diseases of the European Society of Cardiology (ESC) and of the European Society for Vascular Surgery (ESVS). Eur. Heart J. 2018, 39, 763–816. [Google Scholar] [CrossRef]
- Tagliati, C.; Lanza, C.; Pieroni, G.; Amici, L.; Carotti, M.; Giuseppetti, G.M.; Giovagnoni, A. Ultra-low-dose chest CT in adult patients with cystic fibrosis using a third-generation dual-source CT scanner. La Radiol. Med. 2021, 126, 544–552. [Google Scholar] [CrossRef]
- Agostini, A.; Borgheresi, A.; Mari, A.; Floridi, C.; Bruno, F.; Carotti, M.; Schicchi, N.; Barile, A.; Maggi, S.; Giovagnoni, A. Dual-energy CT: Theoretical principles and clinical applications. La Radiol. Med. 2019, 124, 1281–1295. [Google Scholar] [CrossRef]
- Sanghavi, P.S.; Jankharia, B.G. Applications of dual energy CT in clinical practice: A pictorial essay. Indian J. Radiol. Imaging 2019, 29, 289–298. [Google Scholar] [CrossRef]
- Odedra, D.; Narayanasamy, S.; Sabongui, S.; Priya, S.; Krishna, S.; Sheikh, A. Dual Energy CT Physics—A Primer for the Emergency Radiologist. Front. Radiol. 2022, 2, 820430. [Google Scholar] [CrossRef]
- Koo, B.J.; Won, J.H.; Choi, H.C.; Na, J.B.; Kim, J.E.; Park, M.J.; Jo, S.H.; Park, H.O.; Lee, C.E.; Kim, M.J.; et al. Automatic Plaque Removal Using Dual-Energy Computed Tomography Angiography: Diagnostic Accuracy and Utility in Patients with Peripheral Artery Disease. Medicina 2022, 58, 1435. [Google Scholar] [CrossRef] [PubMed]
- Kim, J.S.; Park, S.H.; Park, S.; Hwang, J.H.; Kim, J.H.; Pak, S.Y.; Lee, K.; Schmidt, B. Imaging Findings of Peripheral Arterial Disease on Lower-Extremity CT Angiography Using a Virtual Monoenergetic Imaging Algorithm. J. Korean Soc. Radiol. 2022, 83, 1032–1045. [Google Scholar] [CrossRef] [PubMed]
- Kosmala, A.; Weng, A.M.; Schmid, A.; Gruschwitz, P.; Grunz, J.; Bley, T.A.; Petritsch, B. Dual-Energy CT Angiography in Peripheral Arterial Occlusive Disease: Diagnostic Accuracy of Different Image Reconstruction Approaches. Acad. Radiol. 2022, 29 (Suppl. 4), S59–S68. [Google Scholar] [CrossRef] [PubMed]
- Carotti, M.; Salaffi, F.; Beci, G.; Giovagnoni, A. The application of dual-energy computed tomography in the diagnosis of musculoskeletal disorders: A review of current concepts and applications. La Radiol. Med. 2019, 124, 1175–1183. [Google Scholar] [CrossRef] [PubMed]
- Foti, G.; Serra, G.; Iacono, V.; Marocco, S.; Bertoli, G.; Gori, S.; Zorzi, C. Identification of Non-Traumatic Bone Marrow Oedema: The Pearls and Pitfalls of Dual-Energy CT (DECT). Tomography 2021, 7, 387–396. [Google Scholar] [CrossRef] [PubMed]
- Ren, Q.; Tang, D.; Xiong, Z.; Zhao, H.; Zhang, S. Traumatic bone marrow lesions in dual-energy computed tomography. Insights Imaging 2022, 13, 174. [Google Scholar] [CrossRef] [PubMed]
- Foti, G.; Lombardo, F.; Guerriero, M.; Rodella, T.; Cicciò, C.; Faccioli, N.; Serra, G.; Manenti, G. Management of vertebral compression fractures: The role of dual-energy CT in clinical practice. La Radiol. Med. 2022, 127, 627–636. [Google Scholar] [CrossRef] [PubMed]
- Cellina, M.; Cè, M.; Rossini, N.; Cacioppa, L.M.; Ascenti, V.; Carrafiello, G.; Floridi, C. Computed Tomography Urography: State of the Art and Beyond. Tomography 2023, 9, 909–930. [Google Scholar] [CrossRef] [PubMed]
- Foti, G.; Mantovani, W.; Faccioli, N.; Crivellari, G.; Romano, L.; Zorzi, C.; Carbognin, G. Identification of bone marrow edema of the knee: Diagnostic accuracy of dual-energy CT in comparison with MRI. La Radiol. Med. 2021, 126, 405–413. [Google Scholar] [CrossRef] [PubMed]
- Foti, G.; Guerriero, M.; Faccioli, N.; Fighera, A.; Romano, L.; Zorzi, C.; Carbognin, G. Identification of bone marrow edema around the ankle joint in non-traumatic patients: Diagnostic accuracy of dual-energy computed tomography. Clin. Imaging 2021, 69, 341–348. [Google Scholar] [CrossRef] [PubMed]
- Jans, L.; De Kock, I.; Herregods, N.; Verstraete, K.L.; Van den Bosch, F.E.; Carron, P.; Oei, E.H.; Elewaut, D.; Jacques, P. Du-al-energy CT: A new imaging modality for bone marrow oedema in rheumatoid arthritis. Ann. Rheum. Dis. 2018, 77, 958–960. [Google Scholar]
- Wu, H.; Zhang, G.; Shi, L.; Li, X.; Chen, M.; Huang, X.; Cao, X.; Tan, S.; Cui, Y.; Liang, C. Axial Spondyloarthritis: Dual-Energy Virtual Noncalcium CT in the Detection of Bone Marrow Edema in the Sacroiliac Joints. Radiology 2019, 290, 157–164. [Google Scholar] [CrossRef]
- Saba, L.; De Filippo, M.; Saba, F.; Fellini, F.; Marcy, P.-Y.; Dagan, R.; Voituriez, P.; Aelvoet, J.; Klotz, G.; Bernard, R.; et al. Dual energy CT and research of the bone marrow edema: Comparison with MRI imaging. Indian J. Radiol. Imaging 2019, 29, 386–390. [Google Scholar] [CrossRef]
- Li, M.; Qu, Y.; Song, B. Meta-analysis of dual-energy computed tomography virtual non-calcium imaging to detect bone marrow edema. Eur. J. Radiol. 2017, 95, 124–129. [Google Scholar] [CrossRef]
- Foti, G.; Longo, C.; Sorgato, C.; Oliboni, E.S.; Mazzi, C.; Motta, L.; Bertoli, G.; Marocco, S. Osteomyelitis of the Lower Limb: Diagnostic Accuracy of Dual-Energy CT versus MRI. Diagnostics 2023, 13, 703. [Google Scholar] [CrossRef]
- Mens, M.A.; de Geus, A.; Wellenberg, R.H.H.; Streekstra, G.J.; Weil, N.L.; Bus, S.A.; Busch-Westbroek, T.E.; Nieuwdorp, M.; Maas, M. Preliminary evaluation of dual-energy CT to quantitatively assess bone marrow edema in patients with diabetic foot ulcers and suspected osteomyelitis. Eur. Radiol. 2023, 33, 5645–5652. [Google Scholar] [CrossRef]
- Donovan, A.; Schweitzer, M.E. Use of MR imaging in diagnosing diabetes-related pedal osteomyelitis. RadioGraphics 2010, 30, 723–736. [Google Scholar] [CrossRef]
- Björck, M.; Earnshaw, J.J.; Acosta, S.; Gonçalves, F.B.; Cochennec, F.; Debus, E.S.; Hinchliffe, R.; Jongkind, V.; Koelemay, M.J.W.; Menyhei, G.; et al. Editor’s Choice—European Society for Vascular Surgery (ESVS) 2020 Clinical Practice Guidelines on the Management of Acute Limb Ischaemia. Eur. J. Vasc. Endovasc. Surg. 2020, 59, 173–218. [Google Scholar] [CrossRef]
- Gerhard-Herman, M.D.; Gornik, H.L.; Barrett, C.; Barshes, N.R.; Corriere, M.A.; Drachman, D.E.; Fleisher, L.A.; Fowkes, F.G.; Hamburg, N.M.; Kinlay, S.; et al. 2016 AHA/ACC Guideline on the Management of Patients with Lower Extremity Peripheral Artery Disease: Executive Summary: A Report of the American College of Cardiology/American Heart Association Task Force on Clinical Practice Guidelines. Circulation 2017, 135, e686–e725. [Google Scholar] [CrossRef]
- De Santis, D.; De Cecco, C.N.; Schoepf, U.J.; Nance, J.W.; Yamada, R.T.; Thomas, B.A.; Otani, K.; Jacobs, B.E.; Turner, D.A.; Wichmann, J.L.; et al. Modified calcium subtraction in dual-energy CT angiography of the lower extremity runoff: Impact on di-agnostic accuracy for stenosis detection. Eur. Radiol. 2019, 29, 4783–4793. [Google Scholar] [CrossRef]
- Roug, I.K.; Pierre-Jerome, C. MRI spectrum of bone changes in the diabetic foot. Eur. J. Radiol. 2012, 81, 1625–1629. [Google Scholar] [CrossRef]
- Gonzalez-Martín, D.; Herrera-Perez, M.; Martín-Velez, P.; Rendon-Díaz, D. Prevalence of bone marrow edema in a study population with foot and/or ankle pain. Foot 2019, 40, 76–80. [Google Scholar] [CrossRef]
- Richter, L.; Freisinger, E.; Lüders, F.; Gebauer, K.; Meyborg, M.; Malyar, N.M. Impact of diabetes type on treatment and outcome of patients with peripheral artery disease. Diabetes Vasc. Dis. Res. 2018, 15, 504–510. [Google Scholar] [CrossRef] [PubMed]
- Vacirca, A.; Faggioli, G.; Pini, R.; Gallitto, E.; Mascoli, C.; Cacioppa, L.M.; Gargiulo, M.; Stella, A. The Outcome of Technical Intraoperative Complications Occurring in Standard Aortic Endovascular Repair. Ann. Vasc. Surg. 2019, 56, 153–162. [Google Scholar] [CrossRef] [PubMed]
- Lowry, D.; Saeed, M.; Narendran, P.; Tiwari, A. A review of distribution of atherosclerosis in the lower limb arteries of patients with diabetes mellitus and peripheral vascular disease. Vasc. Endovasc. Surg. 2018, 52, 535–542. [Google Scholar] [CrossRef] [PubMed]
- Suh, C.H.; Yun, S.J.; Jin, W.; Lee, S.H.; Park, S.Y.; Ryu, C.W. Diagnostic performance of dual-energy CT for the detection of bone marrow oedema: A systematic review and meta-analysis. Eur. Radiol. 2018, 28, 4182–4194. [Google Scholar] [CrossRef] [PubMed]





| DE-CTA Acquisition Protocol | |
|---|---|
| KVp | Tube A 90 kVp Tube B 150 kVp |
| mAs | 120-67 |
| Collimation | 1 mm (acquisition 192 × 2 × 0.6 mm2) |
| Rotation time | 0.5 s |
| Pitch | 0.4 |
| FOV | 300 mm |
| Reconstruction thickness | 1 mm |
| Contrast medium volume | 1 mL/Kg |
| Contrast medium infusion rate | ≥4 mL/s |
| Iodine delivery rate (IDR) | 1.4–1.8 |
| Demographic | |
|---|---|
| 76 |
| 74 (41–92) |
| 77 (53–126) |
| 171 (158–193) |
| 25.7 (17–33.5) |
| Clinical (PAD Fontaine stage) | n° (%) |
| 30 (39.5%) |
| 18 (23.7%) |
| 28 (36.8%) |
| Parameter | BME-Group (n = 17) | Non-BME-Group (n = 59) | p |
|---|---|---|---|
| Patients (n) | 17 (22%) | 59 (78%) | |
| Age (yrs) | 71.5 ± 10.4 | 71.9 ± 11.0 | ns |
| Male/female (ratio) | 12/5 | 43/16 | ns |
| BMI (kg/m2) | 25.5 | 25.7 | ns |
| Fontaine stage III/IV (%) | 15 | 31 | 0.024 |
| Endovascular revascularization (%) | 11 | 39 | ns |
| Surgical revascularization (%) | 6 | 20 | ns |
| Secondary amputation (%) | 6 | 0 | <0.001 |
Disclaimer/Publisher’s Note: The statements, opinions and data contained in all publications are solely those of the individual author(s) and contributor(s) and not of MDPI and/or the editor(s). MDPI and/or the editor(s) disclaim responsibility for any injury to people or property resulting from any ideas, methods, instructions or products referred to in the content. |
© 2024 by the authors. Licensee MDPI, Basel, Switzerland. This article is an open access article distributed under the terms and conditions of the Creative Commons Attribution (CC BY) license (https://creativecommons.org/licenses/by/4.0/).
Share and Cite
Floridi, C.; Cacioppa, L.M.; Valeri, T.; Rossini, N.; Rosati, M.; Vento, V.; Felicioli, A.; Macchini, M.; Candelari, R.; Carotti, M.; et al. The Clinical Utility of Lower Extremity Dual-Energy CT Angiography in the Detection of Bone Marrow Edema in Diabetic Patients with Peripheral Artery Disease. J. Clin. Med. 2024, 13, 1536. https://doi.org/10.3390/jcm13061536
Floridi C, Cacioppa LM, Valeri T, Rossini N, Rosati M, Vento V, Felicioli A, Macchini M, Candelari R, Carotti M, et al. The Clinical Utility of Lower Extremity Dual-Energy CT Angiography in the Detection of Bone Marrow Edema in Diabetic Patients with Peripheral Artery Disease. Journal of Clinical Medicine. 2024; 13(6):1536. https://doi.org/10.3390/jcm13061536
Chicago/Turabian StyleFloridi, Chiara, Laura Maria Cacioppa, Tommaso Valeri, Nicolo Rossini, Marzia Rosati, Vincenzo Vento, Alessandro Felicioli, Marco Macchini, Roberto Candelari, Marina Carotti, and et al. 2024. "The Clinical Utility of Lower Extremity Dual-Energy CT Angiography in the Detection of Bone Marrow Edema in Diabetic Patients with Peripheral Artery Disease" Journal of Clinical Medicine 13, no. 6: 1536. https://doi.org/10.3390/jcm13061536
APA StyleFloridi, C., Cacioppa, L. M., Valeri, T., Rossini, N., Rosati, M., Vento, V., Felicioli, A., Macchini, M., Candelari, R., Carotti, M., & Giovagnoni, A. (2024). The Clinical Utility of Lower Extremity Dual-Energy CT Angiography in the Detection of Bone Marrow Edema in Diabetic Patients with Peripheral Artery Disease. Journal of Clinical Medicine, 13(6), 1536. https://doi.org/10.3390/jcm13061536

