Noise-Optimized CBCT Imaging of Temporomandibular Joints—The Impact of AI on Image Quality
Abstract
1. Introduction
2. Materials and Methods
2.1. Patients
2.2. Image Acquisition and Post-Processing
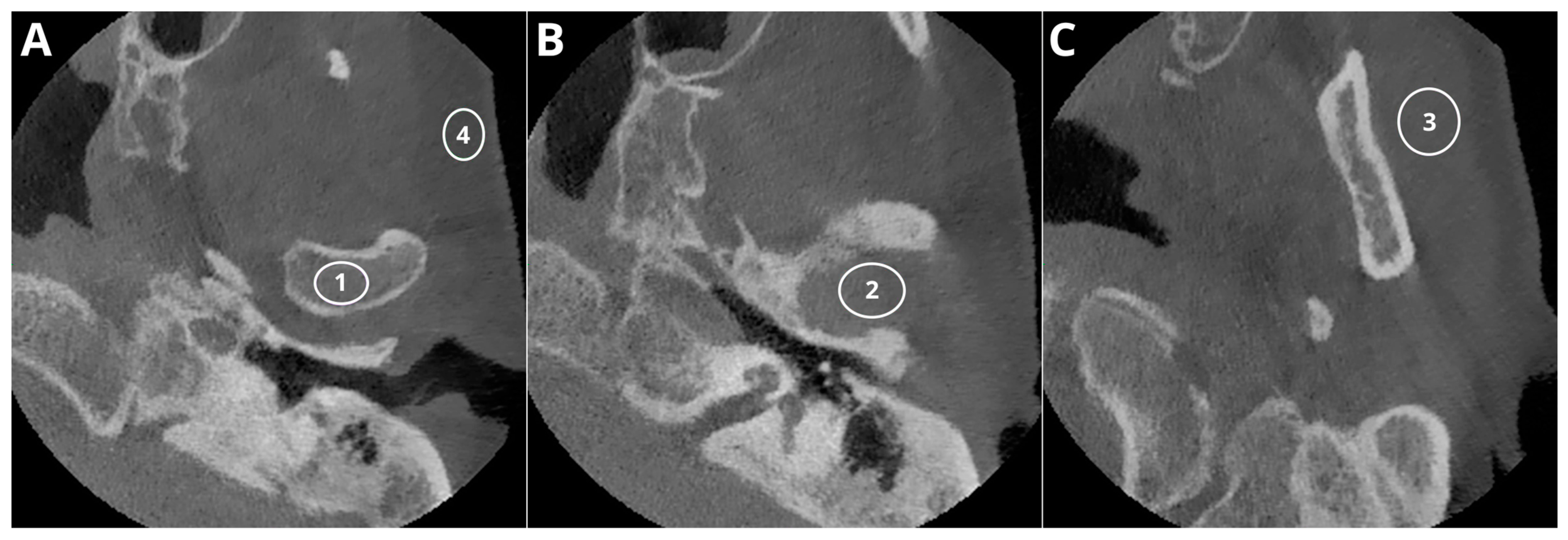
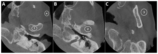
2.3. Objective Image Quality
- Mandibular condyle.
- TMJ articular space.
- Masseter muscle.
- Buccal adipose tissue.
2.4. Subjective Image Quality
- anatomical structures not identifiable, images with no diagnostic value;
- structures identifiable with adequate image quality;
- anatomical structures still fully assessable in all parts and acceptable image quality;
- clear delineation of structures and good image quality;
- excellent delineation of structures and excellent image quality.
2.5. Lesion Assessment
- flattening—the loss of the convex form of the articular surface;
- erosion and subchondral cysts—the loss of continuity in the cortical bone margins +/− cavities below the articular surface;
- osteophytes—marginal hypertrophy with sclerotic borders and the exophytic angular formation of the osseous tissue arising from the surface;
- subcortical sclerosis—an increase in the thickness of the cortical plate;
- condylar deformation—abnormal morphology of the condyle.
2.6. Inter-Rater Reliability Analysis
2.7. Error Study
2.8. Statistical Evaluation
3. Results
3.1. Population, Sample Size
3.2. Objective Image Quality
3.3. Subjective Image Quality
3.4. Lesion Assessment
3.5. Inter-Rater Reliability Analysis
3.6. Error Study
4. Discussion
5. Conclusions
Author Contributions
Funding
Institutional Review Board Statement
Informed Consent Statement
Data Availability Statement
Conflicts of Interest
References
- Ingawalé, S.; Goswami, T. Temporomandibular Joint: Disorders, Treatments, and Biomechanics. Ann. Biomed. Eng. 2009, 37, 976–996. [Google Scholar] [CrossRef]
- Wright, E.F.; North, S.L. Management and Treatment of Temporomandibular Disorders: A Clinical Perspective. J. Man. Manip. Ther. 2009, 17, 247–254. [Google Scholar] [CrossRef] [PubMed]
- Pantoja, L.L.Q.; de Toledo, I.P.; Pupo, Y.M.; Porporatti, A.L.; De Luca Canto, G.; Zwir, L.F.; Guerra, E.N.S. Prevalence of Degenerative Joint Disease of the Temporomandibular Joint: A Systematic Review. Clin. Oral Investig. 2019, 23, 2475–2488. [Google Scholar] [CrossRef] [PubMed]
- Loster, J.E.; Osiewicz, M.A.; Groch, M.; Ryniewicz, W.; Wieczorek, A. The Prevalence of TMD in Polish Young Adults. J. Prosthodont. 2017, 26, 284–288. [Google Scholar] [CrossRef] [PubMed]
- Lai, Y.C.; Yap, A.U.; Türp, J.C. Prevalence of Temporomandibular Disorders in Patients Seeking Orthodontic Treatment: A Systematic Review. J. Oral Rehabil. 2019, 47, 270–280. [Google Scholar] [CrossRef] [PubMed]
- Dubner, R.; Slade, G.D.; Ohrbach, R.; Greenspan, J.D.; Fillingim, R.B.; Bair, E.; Sanders, A.E.; Diatchenko, L.; Meloto, C.B.; Smith, S.; et al. Painful Temporomandibular Disorder: Decade of Discovery from OPPERA Studies. J. Dent. Res 2016, 95, 1084–1092. [Google Scholar]
- Schiffman, E.; Ohrbach, R.; Truelove, E.; Look, J.; Anderson, G.; Goulet, J.-P.; List, T.; Svensson, P.; Gonzalez, Y.; Lobbezoo, F.; et al. Diagnostic Criteria for Temporomandibular Disorders (DC/TMD) for Clinical and Research Applications: Recommendations of the International RDC/TMD Consortium Network* and Orofacial Pain Special Interest Group. J. Oral Facial Pain Headache 2014, 28, 6–27. [Google Scholar] [CrossRef] [PubMed]
- Valesan, L.F.; Da-Cas, C.D.; Réus, J.C.; Denardin, A.C.S.; Garanhani, R.R.; Bonotto, D.; Januzzi, E.; de Souza, B.D.M. Prevalence of Temporomandibular Joint Disorders: A Systematic Review and Meta-Analysis. Clin. Oral Investig. 2021, 25, 441–453. [Google Scholar] [CrossRef]
- Li, D.T.S.; Leung, Y.Y. Temporomandibular Disorders: Current Concepts and Controversies in Diagnosis and Management. Diagnostics 2021, 11, 459. [Google Scholar] [CrossRef]
- Larheim, T.A.; Abrahamsson, A.K.; Kristensen, M.; Arvidsson, L.Z. Temporomandibular Joint Diagnostics Using CBCT. Dentomaxillofacial Radiol. 2015, 44, 20140235. [Google Scholar] [CrossRef]
- Ladeira, D.B.S.; da Cruz, A.D.; de Almeida, S.M. Digital Panoramic Radiography for Diagnosis of the Temporomandibular Joint: CBCT as the Gold Standard. Braz. Oral Res. 2015, 29, S1806-83242015000100303. [Google Scholar] [CrossRef]
- Al-Saleh, M.A.Q.; Jaremko, J.L.; Alsufyani, N.; Jibri, Z.; Lai, H.; Major, P.W. Assessing the Reliability of MRI-CBCT Image Registration to Visualize Temporomandibular Joints. Dentomaxillofacial Radiol. 2015, 44, 20140244. [Google Scholar] [CrossRef]
- Mehndiratta, A.; Kumar, J.; Manchanda, A.; Singh, I.; Mohanty, S.; Seth, N.; Gautam, R. Painful Clicking Jaw: A Pictorial Review of Internal Derangement of the Temporomandibular Joint. Pol. J. Radiol. 2019, 84, 598–615. [Google Scholar] [CrossRef]
- Alkhader, M.; Kuribayashi, A.; Ohbayashi, N.; Nakamura, S.; Kurabayashi, T. Usefulness of Cone Beam Computed Tomography in Temporomandibular Joints with Soft Tissue Pathology. Dentomaxillofacial Radiol. 2010, 39, 343–348. [Google Scholar] [CrossRef] [PubMed]
- Gaêta-Araujo, H.; Leite, A.F.; de Faria Vasconcelos, K.; Jacobs, R. Two Decades of Research on CBCT Imaging in DMFR—An Appraisal of Scientific Evidence. Dentomaxillofacial Radiol. 2021, 50, 20200367. [Google Scholar] [CrossRef] [PubMed]
- Koç, N. Evaluation of Osteoarthritic Changes in the Temporomandibular Joint and Their Correlations with Age: A Retrospective CBCT Study. Dent. Med. Probl. 2020, 57, 67–72. [Google Scholar] [CrossRef] [PubMed]
- Bechara, B.; McMahan, C.A.; Moore, W.S.; Noujeim, M.; Geha, H.; Teixeira, F.B. Contrast-to-Noise Ratio Difference in Small Field of View Cone Beam Computed Tomography Machines. J. Oral Sci. 2012, 54, 227–232. [Google Scholar] [CrossRef] [PubMed]
- Nagarajappa, A.; Dwivedi, N.; Tiwari, R. Artifacts: The Downturn of CBCT Image. J. Int. Soc. Prev. Community Dent. 2015, 5, 440–445. [Google Scholar] [CrossRef] [PubMed]
- Kocasarac, H.D.; Yigit, D.H.; Bechara, B.; Sinanoglu, A.; Noujeim, M. Contrast-to-Noise Ratio with Different Settings in a CBCT Machine in Presence of Different Root-End Filling Materials: An In Vitro Study. Dentomaxillofacial Radiol. 2016, 45, 20160012. [Google Scholar] [CrossRef] [PubMed]
- Geyer, L.L.; Schoepf, U.J.; Meinel, F.G.; Nance, J.W.; Bastarrika, G.; Leipsic, J.A.; Paul, N.S.; Rengo, M.; Laghi, A.; De Cecco, C.N. State of the Art: Iterative CT Reconstruction Techniques. Radiology 2015, 276, 339–357. [Google Scholar] [CrossRef]
- Van Gompel, G.; Van Slambrouck, K.; Defrise, M.; Batenburg, K.J.; De Mey, J.; Sijbers, J.; Nuyts, J. Iterative Correction of Beam Hardening Artifacts in CT. Med. Phys. 2011, 38, S36–S49. [Google Scholar] [CrossRef] [PubMed]
- Schmidt, A.M.A.; Grunz, J.P.; Petritsch, B.; Gruschwitz, P.; Knarr, J.; Huflage, H.; Bley, T.A.; Kosmala, A. Combination of Iterative Metal Artifact Reduction and Virtual Monoenergetic Reconstruction Using Split-Filter Dual-Energy CT in Patients with Dental Artifact on Head and Neck CT. Am. J. Roentgenol. 2022, 218, 716–727. [Google Scholar] [CrossRef]
- Staniszewska, M.; Chrusciak, D. Iterative Reconstruction as a Method for Optimisation of Computed Tomography Procedures. Pol. J. Radiol. 2017, 82, 792–797. [Google Scholar] [CrossRef] [PubMed]
- Gardner, S.J.; Mao, W.; Liu, C.; Aref, I.; Elshaikh, M.; Lee, J.K.; Pradhan, D.; Movsas, B.; Chetty, I.J.; Siddiqui, F. Improvements in CBCT Image Quality Using a Novel Iterative Reconstruction Algorithm: A Clinical Evaluation. Adv. Radiat. Oncol. 2019, 4, 390–400. [Google Scholar] [CrossRef] [PubMed]
- Chen, B.; Xiang, K.; Gong, Z.; Wang, J.; Tan, S. Statistical Iterative CBCT Reconstruction Based on Neural Network. IEEE Trans. Med. Imaging 2018, 37, 1511–1521. [Google Scholar] [CrossRef]
- Washio, H.; Ohira, S.; Funama, Y.; Morimoto, M.; Wada, K.; Yagi, M.; Shimamoto, H.; Koike, Y.; Ueda, Y.; Karino, T.; et al. Metal Artifact Reduction Using Iterative CBCT Reconstruction Algorithm for Head and Neck Radiation Therapy: A Phantom and Clinical Study. Eur. J. Radiol. 2020, 132, 109293. [Google Scholar] [CrossRef]
- Ramage, A.; Lopez Gutierrez, B.; Fischer, K.; Sekula, M.; Santaella, G.M.; Scarfe, W.; Brasil, D.M.; de Oliveira-Santos, C. Filtered Back Projection vs. Iterative Reconstruction for CBCT: Effects on Image Noise and Processing Time. Dentomaxillofacial Radiol. 2023, 52, 20230109. [Google Scholar] [CrossRef]
- Kim, J.H.; Yoon, H.J.; Lee, E.; Kim, I.; Cha, Y.K.; Bak, S.H. Validation of Deep-Learning Image Reconstruction for Low-Dose Chest Computed Tomography Scan: Emphasis on Image Quality and Noise. Korean J. Radiol. 2021, 22, 131–138. [Google Scholar] [CrossRef]
- Tatsugami, F.; Higaki, T.; Nakamura, Y.; Yu, Z.; Zhou, J.; Lu, Y.; Fujioka, C.; Kitagawa, T.; Kihara, Y.; Iida, M.; et al. Deep Learning–Based Image Restoration Algorithm for Coronary CT Angiography. Eur. Radiol. 2019, 29, 5322–5329. [Google Scholar] [CrossRef]
- Greffier, J.; Hamard, A.; Pereira, F.; Barrau, C.; Pasquier, H.; Beregi, J.P.; Frandon, J. Image Quality and Dose Reduction Opportunity of Deep Learning Image Reconstruction Algorithm for CT: A Phantom Study. Eur. Radiol. 2020, 30, 3951–3959. [Google Scholar] [CrossRef]
- Nam, J.G.; Hong, J.H.; Kim, D.S.; Oh, J.; Goo, J.M. Deep Learning Reconstruction for Contrast-Enhanced CT of the Upper Abdomen: Similar Image Quality with Lower Radiation Dose in Direct Comparison with Iterative Reconstruction. Eur. Radiol. 2021, 31, 5533–5543. [Google Scholar] [CrossRef]
- Nam, J.G.; Ahn, C.; Choi, H.; Hong, W.; Park, J.; Kim, J.H.; Goo, J.M. Image Quality of Ultralow-Dose Chest CT Using Deep Learning Techniques: Potential Superiority of Vendor-Agnostic Post-Processing over Vendor-Specific Techniques. Eur. Radiol. 2021, 31, 5139–5147. [Google Scholar] [CrossRef] [PubMed]
- Brady, S.L.; Trout, A.T.; Somasundaram, E.; Anton, C.G.; Li, Y.; Dillman, J.R. Improving Image Quality and Reducing Radiation Dose for Pediatric CT by Using Deep Learning Reconstruction. Radiology 2021, 298, 180–188. [Google Scholar] [CrossRef]
- Cheng, Y.; Han, Y.; Li, J.; Fan, G.; Cao, L.; Li, J.; Jia, X.; Yang, J.; Guo, J. Low-Dose CT Urography Using Deep Learning Image Reconstruction: A Prospective Study for Comparison with Conventional CT Urography. Br. J. Radiol. 2021, 94, 20201291. [Google Scholar] [CrossRef]
- Benz, D.C.; Ersözlü, S.; Mojon, F.L.A.; Messerli, M.; Mitulla, A.K.; Ciancone, D.; Kenkel, D.; Schaab, J.A.; Gebhard, C.; Pazhenkottil, A.P.; et al. Radiation Dose Reduction with Deep-Learning Image Reconstruction for Coronary Computed Tomography Angiography. Eur. Radiol. 2022, 32, 2620–2628. [Google Scholar] [CrossRef]
- Racine, D.; Brat, H.G.; Dufour, B.; Steity, J.M.; Hussenot, M.; Rizk, B.; Fournier, D.; Zanca, F. Image Texture, Low Contrast Liver Lesion Detectability and Impact on Dose: Deep Learning Algorithm Compared to Partial Model-Based Iterative Reconstruction. Eur. J. Radiol. 2021, 141, 109808. [Google Scholar] [CrossRef]
- Hata, A.; Yanagawa, M.; Yoshida, Y.; Miyata, T.; Tsubamoto, M.; Honda, O.; Tomiyama, N. Combination of Deep Learning–Based Denoising and Iterative Reconstruction for Ultra-Low-Dose CT of the Chest: Image Quality and Lung-RADS Evaluation. Am. J. Roentgenol. 2020, 215, 1321–1328. [Google Scholar] [CrossRef] [PubMed]
- Kazimierczak, W.; Kazimierczak, N.; Wilamowska, J.; Wojtowicz, O.; Nowak, E.; Serafin, Z. Enhanced Visualization in Endoleak Detection through Iterative and AI-Noise Optimized Spectral Reconstructions. Sci. Rep. 2024, 14, 3845. [Google Scholar] [CrossRef] [PubMed]
- Koivisto, J.; Van Eijnatten, M.; Arnstedt, J.J.; Holli-Helenius, K.; Dastidar, P.; Wolff, J. Impact of Prone, Supine and Oblique Patient Positioning on CBCT Image Quality, Contrast-to-Noise Ratio and Figure of Merit Value in the Maxillofacial Region. Dentomaxillofacial Radiol. 2017, 46, 20160418. [Google Scholar] [CrossRef]
- Ahmad, M.; Hollender, L.; Anderson, Q.; Kartha, K.; Ohrbach, R.; Truelove, E.L.; John, M.T.; Schiffman, E.L. Research Diagnostic Criteria for Temporomandibular Disorders (RDC/TMD): Development of Image Analysis Criteria and Examiner Reliability for Image Analysis. Oral Surg. Oral Med. Oral Pathol. Oral Radiol. Endodontology 2009, 107, 844–860. [Google Scholar] [CrossRef]
- Koetzier, L.R.; Mastrodicasa, D.; Szczykutowicz, T.P.; van der Werf, N.R.; Wang, A.S.; Sandfort, V.; van der Molen, A.J.; Fleischmann, D.; Willemink, M.J. Deep Learning Image Reconstruction for CT: Technical Principles and Clinical Prospects. Radiology 2023, 306, e221257. [Google Scholar] [CrossRef]
- Ferreira, L.A.; Grossmann, E.; Januzzi, E.; de Paula, M.V.Q.; Carvalho, A.C.P. Diagnosis of Temporomandibular Joint Disorders: Indication of Imaging Exams. Braz. J. Otorhinolaryngol. 2016, 82, 341–352. [Google Scholar] [CrossRef] [PubMed]
- Hegazy, M.A.A.; Cho, M.H.; Lee, S.Y. Image Denoising by Transfer Learning of Generative Adversarial Network for Dental CT. Biomed. Phys. Eng. Express 2020, 6, 055024. [Google Scholar] [CrossRef] [PubMed]
- Hu, Z.; Jiang, C.; Sun, F.; Zhang, Q.; Ge, Y.; Yang, Y.; Liu, X.; Zheng, H.; Liang, D. Artifact Correction in Low-Dose Dental CT Imaging Using Wasserstein Generative Adversarial Networks. Med. Phys. 2019, 46, 1686–1696. [Google Scholar] [CrossRef] [PubMed]
- Hegazy, M.A.A.; Cho, M.H.; Lee, S.Y. Half-Scan Artifact Correction Using Generative Adversarial Network for Dental CT. Comput. Biol. Med. 2021, 132, 104313. [Google Scholar] [CrossRef] [PubMed]
- Iskanderani, D.; Nilsson, M.; Alstergren, P.; Shi, X.Q.; Hellen-Halme, K. Evaluation of a Low-Dose Protocol for Cone Beam Computed Tomography of the Temporomandibular Joint. Dentomaxillofacial Radiol. 2020, 49, 20190495. [Google Scholar] [CrossRef] [PubMed]
- de Oliveira Reis, L.; Lopes Rosado, L.P.; Gaêta-Araujo, H.; Freitas, D.Q. Evaluation of a Low-Dose Protocol for Cone Beam Computed Tomography of the Temporomandibular Joint—Ethical and Methodological Considerations. Dentomaxillofacial Radiol. 2020, 50, 20200424. [Google Scholar] [CrossRef]
- de Oliveira Reis, L.; Gaêta-Araujo, H.; Rosado, L.P.L.; Mouzinho-Machado, S.; Oliveira-Santos, C.; Freitas, D.Q.; Correr-Sobrinho, L. Do Cone-Beam Computed Tomography Low-Dose Protocols Affect the Evaluation of the Temporomandibular Joint? J. Oral. Rehabil. 2023, 50, 1. [Google Scholar] [CrossRef]







| Parameter | Reconstruction | N | Mean | SD | Median | Min | Max | Q1 | Q3 | p |
|---|---|---|---|---|---|---|---|---|---|---|
| ROI1 (condyle) | DLM | 100 | 401.55 | 79.27 | 405.52 | 163.38 | 598.78 | 357.80 | 454.76 | p = 0.497 |
| Native | 100 | 408.45 | 85.94 | 412.24 | 137.07 | 559.88 | 357.85 | 481.42 | ||
| ROI2 (articular space) | DLM | 100 | 234.98 | 58.17 | 232.68 | 106.34 | 437.79 | 201.60 | 268.17 | p = 0.752 |
| Native | 100 | 235.57 | 51.61 | 228.49 | 119.17 | 361.57 | 200.13 | 277.12 | ||
| Noise (SD) | DLM | 100 | 27.33 | 7.39 | 26.37 | 12.91 | 47.26 | 21.12 | 31.79 | p < 0.001 * |
| Native | 100 | 37.99 | 9.09 | 37.58 | 16.17 | 69.58 | 31.14 | 43.91 | ||
| CNR ROI1 | DLM | 100 | 13.19 | 5.16 | 12.72 | 4.72 | 31.66 | 9.34 | 16.51 | p < 0.001 * |
| Native | 100 | 9.74 | 3.52 | 9.67 | 1.64 | 17.93 | 7.22 | 12.10 | ||
| CNR ROI2 | DLM | 100 | 6.64 | 3.35 | 6.08 | 0.86 | 18.67 | 4.52 | 7.78 | p < 0.001 * |
| Native | 100 | 4.88 | 2.04 | 4.76 | 1.18 | 9.78 | 3.21 | 5.78 |
| Image Quality | Reconstruction Type | p | |
|---|---|---|---|
| DLM (N = 200) | Native (N = 200) | ||
| 1 | 4 (2.0%) | 2 (1.0%) | p = 0.055 |
| 2 | 20 (10.0%) | 20 (10.0%) | |
| 3 | 37 (18.5%) | 48 (24.00%) | |
| 4 | 71 (35.0%) | 86 (43.0%) | |
| 5 | 68 (34.0%) | 44 (22.0%) | |
| Lesion | Reconstruction | p | ||
|---|---|---|---|---|
| DLM | Native | |||
| Reader I | Sclerosis | 40 | 44 | p = 0.755 |
| Osteophytes | 40 | 39 | p = 0.84 | |
| Erosions | 35 | 36 | p = 1 | |
| Deformation | 36 | 36 | p = 0.992 | |
| Reader II | Sclerosis | 45 | 45 | p = 0.953 |
| Osteophytes | 44 | 42 | p = 0.687 | |
| Erosions | 36 | 34 | p = 0.728 | |
| Deformation | 36 | 36 | p = 0.992 | |
| κ | 95% CI | Agreement | Interpretation | |
|---|---|---|---|---|
| 0.805 | 0.738 | 0.871 | 85.99% | Strong |
Disclaimer/Publisher’s Note: The statements, opinions and data contained in all publications are solely those of the individual author(s) and contributor(s) and not of MDPI and/or the editor(s). MDPI and/or the editor(s) disclaim responsibility for any injury to people or property resulting from any ideas, methods, instructions or products referred to in the content. |
© 2024 by the authors. Licensee MDPI, Basel, Switzerland. This article is an open access article distributed under the terms and conditions of the Creative Commons Attribution (CC BY) license (https://creativecommons.org/licenses/by/4.0/).
Share and Cite
Kazimierczak, W.; Kędziora, K.; Janiszewska-Olszowska, J.; Kazimierczak, N.; Serafin, Z. Noise-Optimized CBCT Imaging of Temporomandibular Joints—The Impact of AI on Image Quality. J. Clin. Med. 2024, 13, 1502. https://doi.org/10.3390/jcm13051502
Kazimierczak W, Kędziora K, Janiszewska-Olszowska J, Kazimierczak N, Serafin Z. Noise-Optimized CBCT Imaging of Temporomandibular Joints—The Impact of AI on Image Quality. Journal of Clinical Medicine. 2024; 13(5):1502. https://doi.org/10.3390/jcm13051502
Chicago/Turabian StyleKazimierczak, Wojciech, Kamila Kędziora, Joanna Janiszewska-Olszowska, Natalia Kazimierczak, and Zbigniew Serafin. 2024. "Noise-Optimized CBCT Imaging of Temporomandibular Joints—The Impact of AI on Image Quality" Journal of Clinical Medicine 13, no. 5: 1502. https://doi.org/10.3390/jcm13051502
APA StyleKazimierczak, W., Kędziora, K., Janiszewska-Olszowska, J., Kazimierczak, N., & Serafin, Z. (2024). Noise-Optimized CBCT Imaging of Temporomandibular Joints—The Impact of AI on Image Quality. Journal of Clinical Medicine, 13(5), 1502. https://doi.org/10.3390/jcm13051502

