VEXAS and Myelodysplastic Syndrome: An Interdisciplinary Challenge
Abstract
1. Introduction
2. Materials and Methods
2.1. Imaging
2.2. Bone Marrow Smear
2.3. Next-Generation-Sequencing
2.4. Ethical Approval, Data Availability and Patient and Public Involvement
3. Results
3.1. Clinical Features, Treatment and Outcome
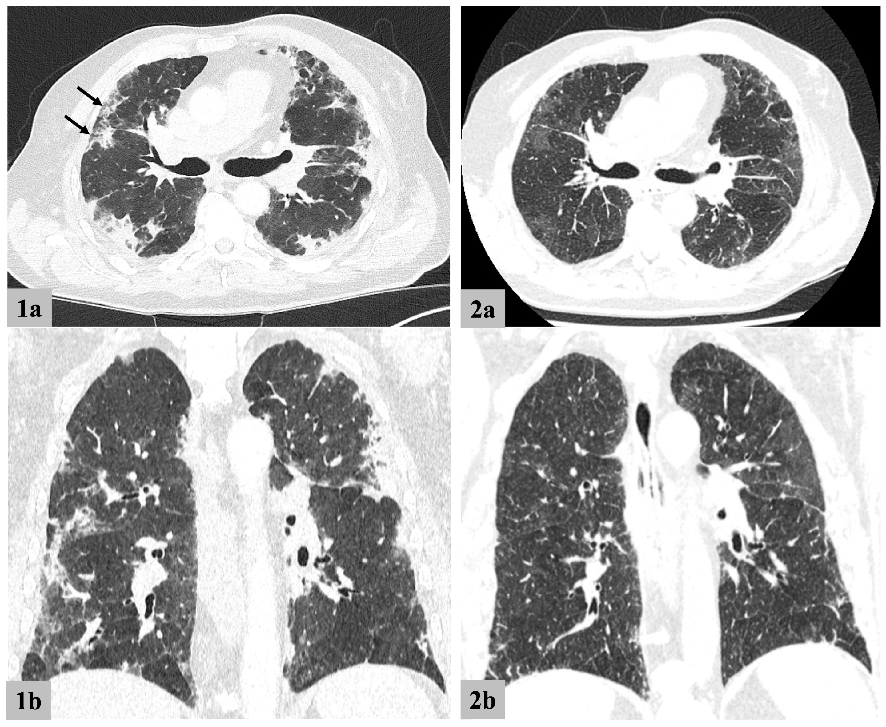
3.2. Imaging
3.2.1. Chest
3.2.2. Joints and Bones
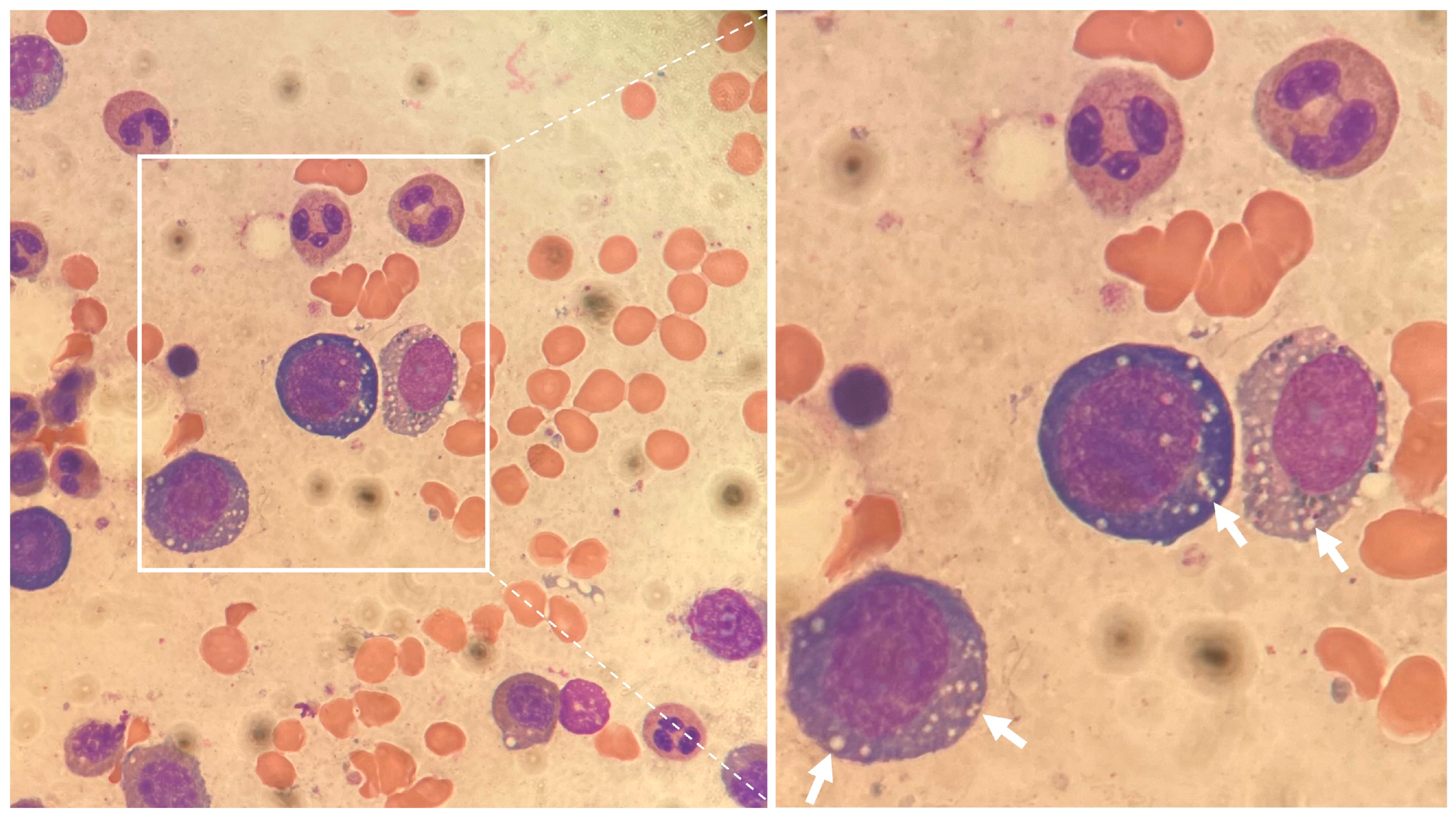
3.3. Bone Marrow Microscopy
4. Discussion
Author Contributions
Funding
Institutional Review Board Statement
Informed Consent Statement
Data Availability Statement
Conflicts of Interest
References
- Beck, D.B.; Ferrada, M.A.; Sikora, K.A.; Ombrello, A.K.; Collins, J.C.; Pei, W.; Balanda, N.; Ross, D.L.; Ospina Cardona, D.; Wu, Z.; et al. Somatic Mutations in UBA1 and Severe Adult-Onset Autoinflammatory Disease. N. Engl. J. Med. 2020, 383, 2628–2638. [Google Scholar] [CrossRef]
- Georgin-Lavialle, S.; Terrier, B.; Guedon, A.F.; Heiblig, M.; Comont, T.; Lazaro, E.; Lacombe, V.; Terriou, L.; Ardois, S.; Bouaziz, J.D.; et al. Further characterization of clinical and laboratory features in VEXAS syndrome: Large-scale analysis of a multicentre case series of 116 French patients. Br. J. Dermatol. 2022, 186, 564–574. [Google Scholar] [CrossRef]
- Koster, M.J.; Kourelis, T.; Reichard, K.K.; Kermani, T.A.; Beck, D.B.; Cardona, D.O.; Samec, M.J.; Mangaonkar, A.A.; Begna, K.H.; Hook, C.C.; et al. Clinical Heterogeneity of the VEXAS Syndrome: A Case Series. Mayo Clin. Proc. 2021, 96, 2653–2659. [Google Scholar] [CrossRef]
- Ruffer, N.; Krusche, M. VEXAS syndrome: A diagnostic puzzle. RMD Open 2023, 9, e003332. [Google Scholar] [CrossRef]
- Huang, H.; Zhang, W.; Cai, W.; Liu, J.; Wang, H.; Qin, T.; Xu, Z.; Li, B.; Qu, S.; Pan, L.; et al. VEXAS syndrome in myelodysplastic syndrome with autoimmune disorder. Exp. Hematol. Oncol. 2021, 10, 23. [Google Scholar] [CrossRef]
- Patel, N.; Dulau-Florea, A.; Calvo, K.R. Characteristic bone marrow findings in patients with UBA1 somatic mutations and VEXAS syndrome. Semin. Hematol. 2021, 58, 204–211. [Google Scholar] [CrossRef]
- Poulter, J.A.; Collins, J.C.; Cargo, C.; De Tute, R.M.; Evans, P.; Ospina Cardona, D.; Bowen, D.T.; Cunnington, J.R.; Baguley, E.; Quinn, M.; et al. Novel somatic mutations in UBA1 as a cause of VEXAS syndrome. Blood 2021, 137, 3676–3681. [Google Scholar] [CrossRef] [PubMed]
- Austestad, J.; Madland, T.M.; Sandnes, M.; Haslerud, T.M.; Benneche, A.; Reikvam, H. VEXAS Syndrome in a Patient with Myeloproliferative Neoplasia. Case Rep. Hematol. 2023, 2023, 6551544. [Google Scholar] [CrossRef] [PubMed]
- Cherniawsky, H.; Friedmann, J.; Nicolson, H.; Dehghan, N.; Stubbins, R.J.; Foltz, L.M.; Leitch, H.A.; Sreenivasan, G.M.; Ambler, K.L.S.; Nevill, T.J.; et al. VEXAS syndrome: A review of bone marrow aspirate and biopsies reporting myeloid and erythroid precursor vacuolation. Eur. J. Haematol. 2023, 110, 633–638. [Google Scholar] [CrossRef] [PubMed]
- Himmelmann, A.; Brucker, R. The VEXAS Syndrome: Uncontrolled Inflammation and Macrocytic Anaemia in a 77-Year-Old Male Patient. Eur. J. Case Rep. Intern. Med. 2021, 8, 002484. [Google Scholar] [CrossRef] [PubMed]
- Lotscher, F.; Seitz, L.; Simeunovic, H.; Sarbu, A.C.; Porret, N.A.; Feldmeyer, L.; Borradori, L.; Bonadies, N.; Maurer, B. Case Report: Genetic Double Strike: VEXAS and TET2-Positive Myelodysplastic Syndrome in a Patient with Long-Standing Refractory Autoinflammatory Disease. Front. Immunol. 2021, 12, 800149. [Google Scholar] [CrossRef]
- Obiorah, I.E.; Patel, B.A.; Groarke, E.M.; Wang, W.; Trick, M.; Ombrello, A.K.; Ferrada, M.A.; Wu, Z.; Gutierrez-Rodrigues, F.; Lotter, J.; et al. Benign and malignant hematologic manifestations in patients with VEXAS syndrome due to somatic mutations in UBA1. Blood Adv. 2021, 5, 3203–3215. [Google Scholar] [CrossRef]
- Oganesyan, A.; Hakobyan, Y.; Terrier, B.; Georgin-Lavialle, S.; Mekinian, A. Looking beyond VEXAS: Coexistence of undifferentiated systemic autoinflammatory disease and myelodysplastic syndrome. Semin. Hematol. 2021, 58, 247–253. [Google Scholar] [CrossRef]
- Comont, T.; Heiblig, M.; Riviere, E.; Terriou, L.; Rossignol, J.; Bouscary, D.; Rieu, V.; Le Guenno, G.; Mathian, A.; Aouba, A.; et al. Azacitidine for patients with Vacuoles, E1 Enzyme, X-linked, Autoinflammatory, Somatic syndrome (VEXAS) and myelodysplastic syndrome: Data from the French VEXAS registry. Br. J. Haematol. 2022, 196, 969–974. [Google Scholar] [CrossRef] [PubMed]
- Diarra, A.; Duployez, N.; Fournier, E.; Preudhomme, C.; Coiteux, V.; Magro, L.; Quesnel, B.; Heiblig, M.; Sujobert, P.; Barraco, F.; et al. Successful allogeneic hematopoietic stem cell transplantation in patients with VEXAS syndrome: A 2-center experience. Blood Adv. 2022, 6, 998–1003. [Google Scholar] [CrossRef] [PubMed]
- Kunishita, Y.; Kirino, Y.; Tsuchida, N.; Maeda, A.; Sato, Y.; Takase-Minegishi, K.; Yoshimi, R.; Nakajima, H. Case Report: Tocilizumab Treatment for VEXAS Syndrome With Relapsing Polychondritis: A Single-Center, 1-Year Longitudinal Observational Study In Japan. Front. Immunol. 2022, 13, 901063. [Google Scholar] [CrossRef] [PubMed]
- Raaijmakers, M.; Hermans, M.; Aalbers, A.; Rijken, M.; Dalm, V.; van Daele, P.; Valk, P.J.M. Azacytidine Treatment for VEXAS Syndrome. Hemasphere 2021, 5, e661. [Google Scholar] [CrossRef] [PubMed]
- Heiblig, M.; Ferrada, M.A.; Koster, M.J.; Barba, T.; Gerfaud-Valentin, M.; Mekinian, A.; Coelho, H.; Fossard, G.; Barraco, F.; Galicier, L.; et al. Ruxolitinib is more effective than other JAK inhibitors to treat VEXAS syndrome: A retrospective multicenter study. Blood 2022, 140, 927–931. [Google Scholar] [CrossRef] [PubMed]
- Kipfer, B.; Daikeler, T.; Kuchen, S.; Hallal, M.; Andina, N.; Allam, R.; Bonadies, N. Increased cardiovascular comorbidities in patients with myelodysplastic syndromes and chronic myelomonocytic leukemia presenting with systemic inflammatory and autoimmune manifestations. Semin. Hematol. 2018, 55, 242–247. [Google Scholar] [CrossRef] [PubMed]
- Ferrada, M.A.; Sikora, K.A.; Luo, Y.; Wells, K.V.; Patel, B.; Groarke, E.M.; Ospina Cardona, D.; Rominger, E.; Hoffmann, P.; Le, M.T.; et al. Somatic Mutations in UBA1 Define a Distinct Subset of Relapsing Polychondritis Patients With VEXAS. Arthritis Rheumatol. 2021, 73, 1886–1895. [Google Scholar] [CrossRef]
- Assi, R.; Kantarjian, H.M.; Garcia-Manero, G.; Cortes, J.E.; Pemmaraju, N.; Wang, X.; Nogueras-Gonzalez, G.; Jabbour, E.; Bose, P.; Kadia, T.; et al. A phase II trial of ruxolitinib in combination with azacytidine in myelodysplastic syndrome/myeloproliferative neoplasms. Am. J. Hematol. 2018, 93, 277–285. [Google Scholar] [CrossRef] [PubMed]
- Kouranloo, K.; Ashley, A.; Zhao, S.S.; Dey, M. Pulmonary manifestations in VEXAS (vacuoles, E1 enzyme, X-linked, autoinflammatory, somatic) syndrome: A systematic review. Rheumatol. Int. 2023, 43, 1023–1032. [Google Scholar] [CrossRef] [PubMed]
- Lohaus, N.; Schaab, J.; Schaer, D.; Balabanov, S.; Huellner, M.W. VEXAS Syndrome With Tracheal Involvement but Absence of Vasculitis in FDG PET/CT. Clin. Nucl. Med. 2023, 48, e444–e445. [Google Scholar] [CrossRef] [PubMed]
- Mekinian, A.; Zhao, L.P.; Chevret, S.; Desseaux, K.; Pascal, L.; Comont, T.; Maria, A.; Peterlin, P.; Terriou, L.; D’Aveni Piney, M.; et al. A Phase II prospective trial of azacitidine in steroid-dependent or refractory systemic autoimmune/inflammatory disorders and VEXAS syndrome associated with MDS and CMML. Leukemia 2022, 36, 2739–2742. [Google Scholar] [CrossRef]


| Patient 1 | Patient 2 | Patient 3 | Patient 4 | |
|---|---|---|---|---|
| Hemoglobin (g/dL) | 10.3 | 8.2 | 8.1 | 8.0 |
| Mean corpuscular volume (fL) | 109.1 | 124.1 | 95.0 | 111.0 |
| White blood count (/nL) | 6.54 | 6.60 | 6.67 | 4.70 |
| Platelet count (/nL) | 195 | 38 | 212 | 82 |
| C-reactive protein at initial presentation (mg/L) | 98.3 | 26.5 * | 139.3 | 10.5 * |
| Observation period (months) | 35 | 26 | 18 | 68 |
| UBA1 | Further Somatic Mutations | |
|---|---|---|
| Patient 1 | UBA1 codon 41 (p.Met41Val (NM_003334.4:c.121A>G)) | DNMT3A (p.Arg882Cys (NM_022552.5:c.2644C>T)) |
| Patient 2 | UBA1 codon 41 (p.Met41Val (NM_003334.4:c.121A>G)) | TET2 (p.M633I (c.1899G>A)), U2AF1 (p.Q157P (c.470A>C)) |
| Patient 3 | UBA1 codon 41 (p.Met41Leu (NM_003334.4:c.121A>C)) | none |
| Patient 4 | UBA1 codon 41 (p.Met41Leu (NM_003334.4:c.121A>C)) | EZH2 gene: intronic, non-coding region 2-base deletion near a splice site, with unclear significance |
Disclaimer/Publisher’s Note: The statements, opinions and data contained in all publications are solely those of the individual author(s) and contributor(s) and not of MDPI and/or the editor(s). MDPI and/or the editor(s) disclaim responsibility for any injury to people or property resulting from any ideas, methods, instructions or products referred to in the content. |
© 2024 by the authors. Licensee MDPI, Basel, Switzerland. This article is an open access article distributed under the terms and conditions of the Creative Commons Attribution (CC BY) license (https://creativecommons.org/licenses/by/4.0/).
Share and Cite
Kreutzinger, V.; Pankow, A.; Boyadzhieva, Z.; Schneider, U.; Ziegeler, K.; Stephan, L.U.; Kübke, J.C.; Schröder, S.; Oberender, C.; le Coutre, P.; et al. VEXAS and Myelodysplastic Syndrome: An Interdisciplinary Challenge. J. Clin. Med. 2024, 13, 1049. https://doi.org/10.3390/jcm13041049
Kreutzinger V, Pankow A, Boyadzhieva Z, Schneider U, Ziegeler K, Stephan LU, Kübke JC, Schröder S, Oberender C, le Coutre P, et al. VEXAS and Myelodysplastic Syndrome: An Interdisciplinary Challenge. Journal of Clinical Medicine. 2024; 13(4):1049. https://doi.org/10.3390/jcm13041049
Chicago/Turabian StyleKreutzinger, Virginie, Anne Pankow, Zhivana Boyadzhieva, Udo Schneider, Katharina Ziegeler, Lars Uwe Stephan, Jan Carl Kübke, Sebastian Schröder, Christian Oberender, Philipp le Coutre, and et al. 2024. "VEXAS and Myelodysplastic Syndrome: An Interdisciplinary Challenge" Journal of Clinical Medicine 13, no. 4: 1049. https://doi.org/10.3390/jcm13041049
APA StyleKreutzinger, V., Pankow, A., Boyadzhieva, Z., Schneider, U., Ziegeler, K., Stephan, L. U., Kübke, J. C., Schröder, S., Oberender, C., le Coutre, P., Stintzing, S., & Jelas, I. (2024). VEXAS and Myelodysplastic Syndrome: An Interdisciplinary Challenge. Journal of Clinical Medicine, 13(4), 1049. https://doi.org/10.3390/jcm13041049

