Advances in Multi-Modality Imaging in Hypertrophic Cardiomyopathy
Abstract
1. Background
2. Role of Multi-Modality Imaging in HCM
2.1. Diagnosis and Classification
2.2. Decision Making
2.2.1. Pharmacological
2.2.2. Risk Stratification
2.2.3. Screening
3. Electrocardiography
4. Echocardiography
4.1. Left Ventricular Hypertrophy
4.2. Left Ventricular Outflow Tract Obstruction
4.3. Mitral Valve Assessment
4.4. Systolic Function
4.5. Diastolic Function
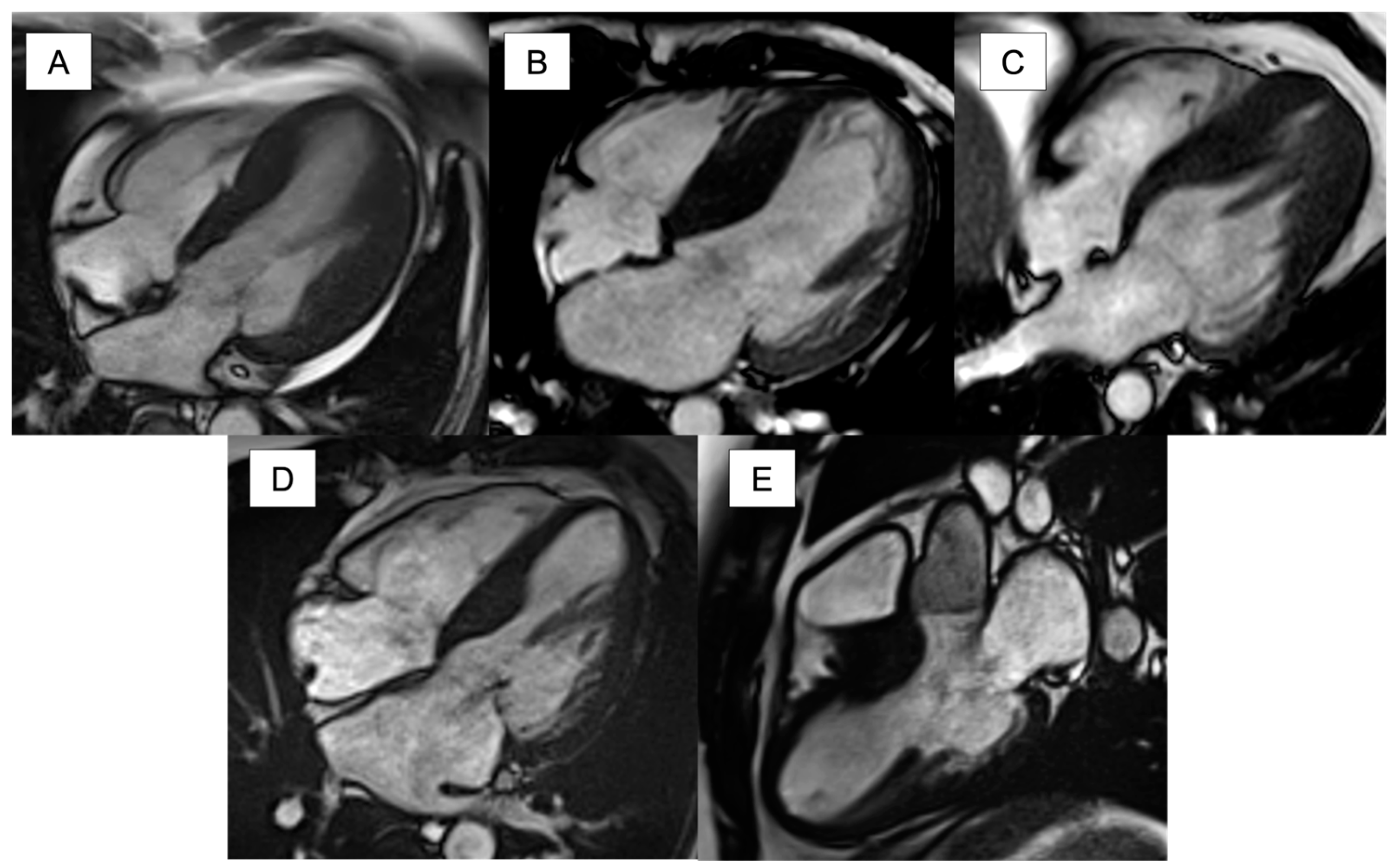
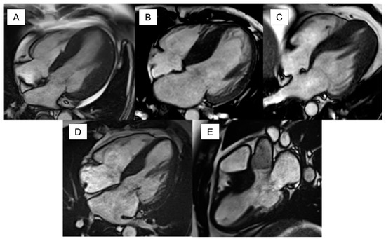
5. Cardiovascular Magnetic Resonance (CMR)
5.1. Anatomy/Morphology and Function
5.2. Guiding Treatment/Procedures
5.3. Tissue Characterization (Multiparametric Mapping and Late Gadolinium Enhancement Imaging)—Differentiating HCM Phenocopies
5.4. LGE as Risk Stratification
5.5. CMR Perfusion and Microvascular Dysfunction
5.6. Diffusion Imaging
5.7. Strain
5.8. Flow
6. Cardiac Computed Tomography (CT)
6.1. Anatomy/Morphology
6.2. Function
6.3. Epicardial Coronary Artery Disease (CAD)
6.4. Three-Dimensional Reconstruction and Pre-Procedural Planning
6.5. Anomalous Coronary Anatomy and Myocardial Bridges
6.6. CT-Based Fractional Flow Reserve (CT-FFR)
6.7. Dual-Energy Cardiac CT and Tissue Characterization (Late Iodine Enhancement, ECV)
6.8. Limitations: Radiation, Contrast, Vasodilators, and Image Optimization
7. Nuclear Imaging
7.1. SPECT vs. PET and Radiotracers
7.2. Stress—Patterns
7.3. Ischemia—Prevalence, Patterns, and Prognosis
7.4. Genotype-Positive
7.5. PET MBF and Prognosis
7.6. Assessing Therapeutic Efficacy
7.7. Hybrid Imaging Techniques
8. Role of MMI in Clinical Research and Trials
8.1. Endpoint Determination (Efficacy, Safety)
8.2. Confirm Diagnosis and Determine Eligibility
8.3. Mechanism of Action
9. Challenges and Opportunities
9.1. Standardization of Imaging Protocols and Analysis Technique
9.2. Tailored Imaging Strategy
9.3. Heterogeneity of Phenotypes
9.4. Timing of Imaging
9.5. Predictive Modelling
10. Conclusions
Author Contributions
Funding
Conflicts of Interest
References
- Seidman, C.E.; Seidman, J.G. Identifying sarcomere gene mutations in hypertrophic cardiomyopathy: A personal history. Circ. Res. 2011, 108, 743–750. [Google Scholar] [CrossRef]
- Arbelo, E.; Protonotarios, A.; Gimeno, J.R.; Arbustini, E.; Barriales-Villa, R.; Basso, C.; Bezzina, C.R.; Biagini, E.; Blom, N.A.; de Boer, R.A.; et al. 2023 ESC Guidelines for the management of cardiomyopathies: Developed by the task force on the management of cardiomyopathies of the European Society of Cardiology (ESC). Eur. Heart J. 2023, 44, 3503–3626. [Google Scholar] [CrossRef]
- Maron, M.S.; Link, M.S.; Udelson, J.E.; Kuvin, J.T.; Pandian, N.G.; Olivotto, I.; Nistri, S.; Cecchi, F.; Maron, B.J.; Zenovich, A.G.; et al. Hypertrophic Cardiomyopathy Is Predominantly a Disease of Left Ventricular Outflow Tract Obstruction. Circulation 2006, 114, 2232–2239. [Google Scholar] [CrossRef]
- Spudich, J.A. The myosin mesa and a possible unifying hypothesis for the molecular basis of human hypertrophic cardiomyopathy. Biochem. Soc. Trans. 2015, 43, 64–72. [Google Scholar] [CrossRef]
- Cheng, Z.; Fang, T.; Huang, J.; Guo, Y.; Alam, M.; Qian, H. Hypertrophic Cardiomyopathy: From Phenotype and Pathogenesis to Treatment. Front. Cardiovasc. Med. 2021, 8, 722340. [Google Scholar] [CrossRef]
- Achim, A.; Serban, A.M.; Mot, S.D.C.; Leibundgut, G.; Marc, M.; Sigwart, U. Alcohol septal ablation in hypertrophic cardiomyopathy: For which patients? ESC Heart Fail. 2023, 10, 1570–1579. [Google Scholar] [CrossRef]
- de Boer, R.A.; Heymans, S.; Backs, J.; Carrier, L.; Coats, A.J.S.; Dimmeler, S.; Eschenhagen, T.; Filippatos, G.; Gepstein, L.; Hulot, J.; et al. Targeted therapies in genetic dilated and hypertrophic cardiomyopathies: From molecular mechanisms to therapeutic targets. A position paper from the Heart Failure Association (HFA) and the Working Group on Myocardial Function of the European Society of Cardiology (ESC). Eur. J. Heart Fail. 2022, 24, 406–420. [Google Scholar] [CrossRef]
- Marian, A.J.; Braunwald, E. Hypertrophic Cardiomyopathy. Circ. Res. 2017, 121, 749–770. [Google Scholar] [CrossRef] [PubMed]
- Elliott, P.M. The end of the beginning for drug therapy in obstructive hypertrophic cardiomyopathy with EXPLORER-HCM. Cardiovasc. Res. 2020, 116, e175–e178. [Google Scholar] [CrossRef] [PubMed]
- Spudich, J.A. Hypertrophic and Dilated Cardiomyopathy: Four Decades of Basic Research on Muscle Lead to Potential Therapeutic Approaches to These Devastating Genetic Diseases. Biophys. J. 2014, 106, 1236–1249. [Google Scholar] [CrossRef] [PubMed]
- Green, E.M.; Wakimoto, H.; Anderson, R.L.; Evanchik, M.J.; Gorham, J.M.; Harrison, B.C.; Henze, M.; Kawas, R.; Oslob, J.D.; Rodriguez, H.M.; et al. A small-molecule inhibitor of sarcomere contractility suppresses hypertrophic cardiomyopathy in mice. Science 2016, 351, 617–621. [Google Scholar] [CrossRef] [PubMed]
- Nagueh, S.F.; Phelan, D.; Abraham, T.; Armour, A.; Desai, M.Y.; Dragulescu, A.; Gilliland, Y.; Lester, S.J.; Maldonado, Y.; Mohiddin, S.; et al. Recommendations for Multimodality Cardiovascular Imaging of Patients with Hypertrophic Cardiomyopathy: An Update from the American Society of Echocardiography, in Collaboration with the American Society of Nuclear Cardiology, the Society for Cardiovascular Magnetic Resonance, and the Society of Cardiovascular Computed Tomography. J. Am. Soc. Echocardiogr. 2022, 35, 533–569. [Google Scholar] [CrossRef]
- Galluzzo, A.; Fiorelli, F.; Rossi, V.A.; Monzo, L.; Montrasio, G.; Camilli, M.; Halasz, G.; Uccello, G.; Mollace, R.; Beltrami, M. Multimodality Imaging in Sarcomeric Hypertrophic Cardiomyopathy: Get It Right…on Time. Life 2023, 13, 171. [Google Scholar] [CrossRef]
- Dong, T.; Gilliland, Y.; Kramer, C.M.; Theodore, A.; Desai, M. Multimodality imaging of hypertrophic cardiomyopathy. Prog. Cardiovasc. Dis. 2023, 80, 14–24. [Google Scholar] [CrossRef]
- Monda, E.; Palmiero, G.; Lioncino, M.; Rubino, M.; Cirillo, A.; Fusco, A.; Caiazza, M.; Verrillo, F.; Diana, G.; Mauriello, A.; et al. Multimodality Imaging in Cardiomyopathies with Hypertrophic Phenotypes. J. Clin. Med. 2022, 11, 868. [Google Scholar] [CrossRef]
- Olivotto, I.; Cecchi, F.; Poggesi, C.; Yacoub, M.H. Patterns of Disease Progression in Hypertrophic Cardiomyopathy. Circ. Heart Fail. 2012, 5, 535–546. [Google Scholar] [CrossRef] [PubMed]
- Ostrominski, J.W.; Guo, R.; Elliott, P.M.; Ho, C.Y. Cardiac Myosin Inhibitors for Managing Obstructive Hypertrophic Cardiomyopathy: JACC: Heart Failure State-of-the-Art Review. JACC Heart Fail. 2023, 11, 735–748. [Google Scholar] [CrossRef] [PubMed]
- Tenaya Therapeutics Doses First Patient in the MyPeak-1™ Phase 1b Clinical Trial of TN-201 for the Treatment of MYBPC3-Associated Hypertrophic Cardiomyopathy: Tenaya Therapeutics, Inc. 2023. Available online: https://investors.tenayatherapeutics.com/news-releases/news-release-details/tenaya-therapeutics-doses-first-patient-mypeak-1tm-phase-1b (accessed on 26 October 2023).
- Heidenreich, P.A.; Bozkurt, B.; Aguilar, D.; Allen, L.A.; Byun, J.J.; Colvin, M.M.; Deswal, A.; Drazner, M.H.; Dunlay, S.M.; Evers, L.R.; et al. 2022 AHA/ACC/HFSA Guideline for the Management of Heart Failure: A Report of the American College of Cardiology/American Heart Association Joint Committee on Clinical Practice Guidelines. Circulation 2022, 145, e895–e1032. [Google Scholar] [CrossRef]
- Bos, J.M.; Towbin, J.A.; Ackerman, M.J. Diagnostic, prognostic, and therapeutic implications of genetic testing for hypertrophic cardiomyopathy. J. Am. Coll. Cardiol. 2009, 54, 201–211. [Google Scholar] [CrossRef]
- Neubauer, S.; Kolm, P.; Ho, C.Y.; Kwong, R.Y.; Desai, M.Y.; Dolman, S.F.; Appelbaum, E.; Desvigne-Nickens, P.; DiMarco, J.P.; Friedrich, M.G.; et al. Distinct Subgroups in Hypertrophic Cardiomyopathy in the NHLBI HCM Registry. J. Am. Coll. Cardiol. 2019, 74, 2333–2345. [Google Scholar] [CrossRef]
- de Feria, A.; Owens, A.T. Novel therapies in inherited cardiomyopathies. Prog. Pediatr. Cardiol. 2021, 63, 101444. [Google Scholar] [CrossRef]
- Olivotto, I.; Oreziak, A.; Barriales-Villa, R.; Abraham, T.P.; Masri, A.; Garcia-Pavia, P.; Saberi, S.; Lakdawala, N.K.; Wheeler, M.T.; Owens, A.; et al. Mavacamten for treatment of symptomatic obstructive hypertrophic cardiomyopathy (EXPLORER-HCM): A randomised, double-blind, placebo-controlled, phase 3 trial. Lancet 2020, 396, 759–769. [Google Scholar] [CrossRef] [PubMed]
- Saberi, S.; Cardim, N.; Yamani, M.; Schulz-Menger, J.; Li, W.; Florea, V.; Sehnert, A.J.; Kwong, R.Y.; Jerosch-Herold, M.; Masri, A.; et al. Mavacamten favorably impacts cardiac structure in obstructive hypertrophic cardiomyopathy: EXPLORER-HCM cardiac magnetic resonance substudy analysis. Circulation 2021, 143, 606–608. [Google Scholar] [CrossRef] [PubMed]
- Ho, C.Y.; Mealiffe, M.E.; Bach, R.G.; Bhattacharya, M.; Choudhury, L.; Edelberg, J.M.; Hegde, S.M.; Jacoby, D.; Lakdawala, N.K.; Lester, S.J.; et al. Evaluation of mavacamten in symptomatic patients with nonobstructive hypertrophic cardiomyopathy. J. Am. Coll. Cardiol. 2020, 75, 2649–2660. [Google Scholar] [CrossRef] [PubMed]
- Chuang, C.; Collibee, S.; Ashcraft, L.; Wang, W.; Wal, M.V.; Wang, X.; Hwee, D.T.; Wu, Y.; Wang, J.; Chin, E.R.; et al. Discovery of Aficamten (CK-274), a next-generation cardiac myosin inhibitor for the treatment of hypertrophic cardiomyopathy. J. Med. Chem. 2021, 64, 14142–14152. [Google Scholar] [CrossRef] [PubMed]
- Greenberg, M.J.; Tardiff, J.C. Complexity in genetic cardiomyopathies and new approaches for mechanism-based precision medicine. J. Gen. Physiol. 2021, 153, e202012662. [Google Scholar] [CrossRef] [PubMed]
- Lee, M.M.Y.; Masri, A. Differentiating Cardiac Troponin Levels During Cardiac Myosin Inhibition or Cardiac Myosin Activation Treatments: Drug Effect or the Canary in the Coal Mine? Curr. Heart Fail. Rep. 2023, 20, 504–518. [Google Scholar] [CrossRef] [PubMed]
- Nishimura, R.A.; Seggewiss, H.; Schaff, H.V. Hypertrophic obstructive cardiomyopathy: Surgical myectomy and septal ablation. Circ. Res. 2017, 121, 771–783. [Google Scholar] [CrossRef] [PubMed]
- O’Mahony, C.; Jichi, F.; Pavlou, M.; Monserrat, L.; Anastasakis, A.; Rapezzi, C.; Biagini, E.; Gimeno, J.R.; Limongelli, G.; McKenna, W.J.; et al. A novel clinical risk prediction model for sudden cardiac death in hypertrophic cardiomyopathy (HCM Risk-SCD). Eur. Heart J. 2013, 35, 2010–2020. [Google Scholar] [CrossRef]
- Mital, S.; Burke, M.A.; Day, S.M.; Elliott, P.; Evanovich, L.L.; Hung, J.; Joglar, J.A.; Kantor, P.; Kimmelstiel, C.; Kittleson, M.; et al. 2020 AHA/ACC Guideline for the Diagnosis and Treatment of Patients with Hypertrophic Cardiomyopathy. Circulation 2020, 142, e558–e631. [Google Scholar]
- Elliott, P.M.; Anastasakis, A.; Borger, M.A.; Borggrefe, M.; Cecchi, F.; Charron, P.; Hagege, A.A.; Lafont, A.; Limongelli, G.; Mahrholdt, H.; et al. 2014 ESC Guidelines on diagnosis and management of hypertrophic cardiomyopathy: The Task Force for the Diagnosis and Management of Hypertrophic Cardiomyopathy of the European Society of Cardiology (ESC). Eur. Heart J. 2014, 35, 2733–2779. [Google Scholar]
- Lorenzini, M.; Norrish, G.; Field, E.; Ochoa, J.P.; Cicerchia, M.; Akhtar, M.M.; Syrris, P.; Lopes, L.R.; Kaski, J.P.; Elliott, P.M. Penetrance of Hypertrophic Cardiomyopathy in Sarcomere Protein Mutation Carriers. J. Am. Coll. Cardiol. 2020, 76, 550–559. [Google Scholar] [CrossRef]
- Olivotto, I.; Girolami, F.; Nistri, S.; Rossi, A.; Rega, L.; Garbini, F.; Grifoni, C.; Cecchi, F.; Yacoub, M.H. The Many Faces of Hypertrophic Cardiomyopathy: From Developmental Biology to Clinical Practice. J. Cardiovasc. Transl. Res. 2009, 2, 349–367. [Google Scholar] [CrossRef]
- Ryan, M.P.; Cleland, J.G.; French, J.A.; Joshi, J.; Choudhury, L.; Chojnowska, L.; Michalak, E.; Al-Mahdawi, S.; Nihoyannopoulos, P.; Oakley, C.M. The standard electrocardiogram as a screening test for hypertrophic cardiomyopathy. Am. J. Cardiol. 1995, 76, 689–694. [Google Scholar] [CrossRef]
- Ho, C.Y. Hypertrophic Cardiomyopathy: Preclinical and Early Phenotype. J. Cardiovasc. Transl. Res. 2009, 2, 462–470. [Google Scholar] [CrossRef]
- McLeod, C.J.; Ackerman, M.J.; Nishimura, R.A.; Tajik, A.J.; Gersh, B.J.; Ommen, S.R. Outcome of patients with hypertrophic cardiomyopathy and a normal electrocardiogram. J. Am. Coll. Cardiol. 2009, 54, 229–233. [Google Scholar] [CrossRef]
- Cluitmans, M.; Brooks, D.H.; MacLeod, R.; Dössel, O.; Guillem, M.S.; van Dam, P.M.; Svehlikova, J.; He, B.; Sapp, J.; Wang, L.; et al. Validation and Opportunities of Electrocardiographic Imaging: From Technical Achievements to Clinical Applications. Front. Physiol. 2018, 9, 1305. [Google Scholar] [CrossRef]
- Webber, M.; Joy, G.; Bennett, J.; Chan, F.; Falconer, D.; Shiwani, H.; Davies, R.H.; Krausz, G.; Tanackovic, S.; Guger, C.; et al. Technical development and feasibility of a reusable vest to integrate cardiovascular magnetic resonance with electrocardiographic imaging. J. Cardiovasc. Magn. Reson. 2023, 25, 73. [Google Scholar] [CrossRef]
- Vignola, P.A.; Bloch, A.; Kaplan, A.D.; Walker, H.J.; Chiotellis, P.N.; Myers, G.S. Interobserver variability in echocardiography. J. Clin. Ultrasound 1977, 5, 238–242. [Google Scholar] [CrossRef]
- St. Pierre, S.R.; Peirlinck, M.; Kuhl, E. Sex Matters: A Comprehensive Comparison of Female and Male Hearts. Front. Physiol. 2022, 13, 831179. [Google Scholar] [CrossRef]
- Huurman, R.; Schinkel, A.F.L.; van der Velde, N.; Bowen, D.J.; Menting, M.E.; Bosch, A.E.v.D.; van Slegtenhorst, M.; Hirsch, A.; Michels, M. Effect of body surface area and gender on wall thickness thresholds in hypertrophic cardiomyopathy. Neth. Heart J. 2020, 28, 37–43. [Google Scholar] [CrossRef]
- Norrish, G.; Kaski, J.P. 61—Hypertrophic Cardiomyopathy. In Diagnosis and Management of Adult Congenital Heart Disease, 3rd ed.; Gatzoulis, M.A., Webb, G.D., Daubeney, P.E.F., Eds.; Elsevier: Amsterdam, The Netherlands, 2018; pp. 615–621. [Google Scholar]
- Carasso, S.; Marmor, D.B.; Shuvy, M. Transcatheter Edge to Edge Mitral Valve Repair for Mitral Regurgitation in Hypertrophic Cardiomyopathy: A Case Series. Can. J. Cardiol. 2023, 6, ytab446. [Google Scholar] [CrossRef]
- La Canna, G.; Scarfò, I.; Arendar, I.; Colombo, A.; Torracca, L.; Margonato, D.; Montorfano, M.; Alfieri, O. Targeting Alcohol Septal Ablation in Patients with Obstructive Hypertrophic Cardiomyopathy Candidates for Surgical Myectomy: Added Value of Three-Dimensional Intracoronary Myocardial Contrast Echocardiography. J. Clin. Med. 2021, 10, 2166. [Google Scholar] [CrossRef]
- Sherrid, M.V.; Gunsburg, D.Z.; Moldenhauer, S.; Pearle, G. Systolic anterior motion begins at low left ventricular outflow tract velocity in obstructive hypertrophic cardiomyopathy. J. Am. Coll. Cardiol. 2000, 36, 1344–1354. [Google Scholar] [CrossRef]
- Marstrand, P.; Han, L.; Day, S.M.; Olivotto, I.; Ashley, E.A.; Michels, M.; Pereira, A.C.; Wittekind, S.G.; Helms, A.; Saberi, S.; et al. Hypertrophic Cardiomyopathy With Left Ventricular Systolic Dysfunction. Circulation 2020, 141, 1371–1383. [Google Scholar] [CrossRef]
- Wabich, E.; Dorniak, K.; Zienciuk-Krajka, A.; Nowak, R.; Raczak, G.; Daniłowicz-Szymanowicz, L. Segmental longitudinal strain as the most accurate predictor of the patchy pattern late gadolinium enhancement in hypertrophic cardiomyopathy. J. Cardiol. 2021, 77, 475–481. [Google Scholar] [CrossRef]
- Augusto, J.B.; Davies, R.H.; Bhuva, A.N.; Knott, K.D.; Seraphim, A.; Alfarih, M.; Lau, C.; Hughes, R.K.; Lopes, L.R.; Shiwani, H.; et al. Diagnosis and risk stratification in hypertrophic cardiomyopathy using machine learning wall thickness measurement: A comparison with human test-retest performance. Lancet Digit. Health 2020, 3, e20–e28. [Google Scholar] [CrossRef]
- Brouwer, W.P.; Germans, T.; Head, M.C.; van der Velden, J.; Heymans, M.W.; Christiaans, I.; Houweling, A.C.; Wilde, A.A.; van Rossum, A.C. Multiple myocardial crypts on modified long-axis view are a specific finding in pre-hypertrophic HCM mutation carriers. Eur. Heart J.—Cardiovasc. Imaging 2012, 13, 292–297. [Google Scholar] [CrossRef]
- Moon, J.C.C.; Fisher, N.G.; McKenna, W.J.; Pennell, D.J. Detection of apical hypertrophic cardiomyopathy by cardiovascular magnetic resonance in patients with non-diagnostic echocardiography. Heart 2004, 90, 645–649. [Google Scholar] [CrossRef]
- Maron, M.S.; Finley, J.J.; Udelson, J.E.; Bos, J.M.; Ackerman, M.J.; Hauser, T.H.; Manning, W.J.; Haas, T.S.; Lesser, J.R.; Maron, B.J.; et al. Prevalence, Clinical Significance, and Natural History of Left Ventricular Apical Aneurysms in Hypertrophic Cardiomyopathy. Circulation 2008, 118, 1541–1549. [Google Scholar] [CrossRef]
- Maron, M.S.; Rowin, E.J.; Lin, D.; Appelbaum, E.; Gibson, C.M.; Chan, R.H.; Lesser, J.R.; Lindberg, J.; Haas, T.S.; Udelson, J.E.; et al. Prevalence and Clinical Profile of Myocardial Crypts in Hypertrophic Cardiomyopathy. Circ. Cardiovasc. Imaging 2012, 5, 441–447. [Google Scholar] [CrossRef]
- Rowin, E.J.; Maron, B.J.; Haas, T.S.; Garberich, R.F.; Wang, W.; Link, M.S.; Maron, M.S. Hypertrophic cardiomyopathy with left ventricular apical aneurysm: Implications for risk stratification and management. J. Am. Coll. Cardiol. 2017, 69, 761–773. [Google Scholar] [CrossRef]
- Maron, M.S.; Rowin, E.J.; Maron, B.J. How to Image Hypertrophic Cardiomyopathy. Circ. Cardiovasc. Imaging 2017, 10, e005372. [Google Scholar] [CrossRef]
- Yang, K.; Song, Y.-Y.; Chen, X.-Y.; Wang, J.-X.; Li, L.; Yin, G.; Zheng, Y.-C.; Wei, M.-D.; Lu, M.-J.; Zhao, S.-H. Apical hypertrophic cardiomyopathy with left ventricular apical aneurysm: Prevalence, cardiac magnetic resonance characteristics, and prognosis. Eur. Heart J.—Cardiovasc. Imaging 2020, 21, 1341–1350. [Google Scholar] [CrossRef] [PubMed]
- Nordin, S.; Kozor, R.; Baig, S.; Abdel-Gadir, A.; Medina-Menacho, K.; Rosmini, S.; Captur, G.; Tchan, M.; Geberhiwot, T.; Murphy, E.; et al. Cardiac Phenotype of Prehypertrophic Fabry Disease. Circ. Cardiovasc. Imaging 2018, 11, e007168. [Google Scholar] [CrossRef]
- Sado, D.M.; White, S.K.; Piechnik, S.K.; Banypersad, S.M.; Treibel, T.; Captur, G.; Fontana, M.; Maestrini, V.; Flett, A.S.; Robson, M.D.; et al. Identification and assessment of anderson-fabry disease by cardiovascular magnetic resonance noncontrast myocardial T1 mapping. Circ. Cardiovasc. Imaging 2013, 6, 392–398. [Google Scholar] [CrossRef]
- Moon, J.C.; Sheppard, M.; Reed, E.; Lee, P.; Elliott, P.M.; Pennell, D.J. The histological basis of late gadolinium enhancement cardiovascular magnetic resonance in a patient with anderson-fabry disease. J. Cardiovasc. Magn. Reson. 2006, 8, 479–482. [Google Scholar] [CrossRef]
- Fontana, M.; Pica, S.; Reant, P.; Abdel-Gadir, A.; Treibel, T.A.; Banypersad, S.M.; Maestrini, V.; Barcella, W.; Rosmini, S.; Bulluck, H.; et al. Prognostic Value of Late Gadolinium Enhancement Cardiovascular Magnetic Resonance in Cardiac Amyloidosis. Circulation 2015, 132, 1570–1579. [Google Scholar] [CrossRef]
- Swoboda, P.P.; McDiarmid, A.K.; Erhayiem, B.; Broadbent, D.A.; Dobson, L.E.; Garg, P.; Ferguson, C.; Page, S.P.; Greenwood, J.P.; Plein, S. Assessing Myocardial Extracellular Volume by T1 Mapping to Distinguish Hypertrophic Cardiomyopathy From Athlete’s Heart. J. Am. Coll. Cardiol. 2016, 67, 2189–2190. [Google Scholar] [CrossRef]
- Nordin, S.; Kozor, R.; Bulluck, H.; Castelletti, S.; Rosmini, S.; Abdel-Gadir, A.; Baig, S.; Mehta, A.; Hughes, D.; Moon, J.C. Cardiac Fabry Disease With Late Gadolinium Enhancement Is a Chronic Inflammatory Cardiomyopathy. J. Am. Coll. Cardiol. 2016, 68, 1707–1708. [Google Scholar] [CrossRef]
- Augusto, J.B.; Nordin, S.; Vijapurapu, R.; Baig, S.; Bulluck, H.; Castelletti, S.; Alfarih, M.; Knott, K.; Captur, G.; Kotecha, T.; et al. Myocardial Edema, Myocyte Injury, and Disease Severity in Fabry Disease. Circ. Cardiovasc. Imaging 2020, 13, e010171. [Google Scholar] [CrossRef]
- Abdel-Aty, H.; Cocker, M.; Strohm, O.; Filipchuk, N.; Friedrich, M.G. Abnormalities in T2-weighted cardiovascular magnetic resonance images of hypertrophic cardiomyopathy: Regional distribution and relation to late gadolinium enhancement and severity of hypertrophy. J. Magn. Reson. Imaging 2008, 28, 242–245. [Google Scholar] [CrossRef]
- Bluemke, D.A.; Lima, J.A.C. Using MRI to Probe the Heart in Hypertrophic Cardiomyopathy. Radiology 2020, 294, 287–288. [Google Scholar] [CrossRef]
- Green, J.J.; Berger, J.S.; Kramer, C.M.; Salerno, M. Prognostic value of late gadolinium enhancement in clinical outcomes for hypertrophic cardiomyopathy. JACC Cardiovasc. Imaging 2012, 5, 370–377. [Google Scholar] [CrossRef]
- O’Hanlon, R.; Grasso, A.; Roughton, M.; Moon, J.C.; Clark, S.; Wage, R.; Webb, J.; Kulkarni, M.; Dawson, D.; Sulaibeekh, L.; et al. Prognostic significance of myocardial fibrosis in hypertrophic cardiomyopathy. J. Am. Coll. Cardiol. 2010, 56, 867–874. [Google Scholar] [CrossRef] [PubMed]
- Liu, J.; Zhao, S.; Yu, S.; Wu, G.; Wang, D.; Liu, L.; Song, J.; Zhu, Y.; Kang, L.; Wang, J.; et al. Patterns of Replacement Fibrosis in Hypertrophic Cardiomyopathy. Radiology 2022, 302, 298–306. [Google Scholar] [CrossRef] [PubMed]
- Chan, R.H.; Maron, B.J.; Olivotto, I.; Pencina, M.J.; Assenza, G.E.; Haas, T.; Lesser, J.R.; Gruner, C.; Crean, A.M.; Rakowski, H.; et al. Prognostic value of quantitative contrast-enhanced cardiovascular magnetic resonance for the evaluation of sudden death risk in patients with hypertrophic cardiomyopathy. Circulation 2014, 130, 484–495. [Google Scholar] [CrossRef] [PubMed]
- Adabag, A.S.; Maron, B.J.; Appelbaum, E.; Harrigan, C.J.; Buros, J.L.; Gibson, C.M.; Lesser, J.R.; Hanna, C.A.; Udelson, J.E.; Manning, W.J.; et al. Occurrence and frequency of arrhythmias in hypertrophic cardiomyopathy in relation to delayed enhancement on cardiovascular magnetic resonance. J. Am. Coll. Cardiol. 2008, 51, 1369–1374. [Google Scholar] [CrossRef] [PubMed]
- Bogaert, J.; Goldstein, M.; Tannouri, F.; Golzarian, J.; Dymarkowski, S. Late myocardial enhancement in hypertrophic cardiomyopathy with contrast-enhanced MR imaging. Am. J. Roentgenol. 2003, 180, 981–985. [Google Scholar] [CrossRef] [PubMed]
- Raman, B.; Ariga, R.; Spartera, M.; Sivalokanathan, S.; Chan, K.; Dass, S.; Petersen, S.E.; Daniels, M.J.; Francis, J.; Smillie, R.; et al. Progression of myocardial fibrosis in hypertrophic cardiomyopathy: Mechanisms and clinical implications. Eur. Heart J. Cardiovasc. Imaging 2019, 20, 157–167. [Google Scholar] [CrossRef] [PubMed]
- Achim, A.; Savaria, B.U.; Buja, L.M. Commentary on the enigma of small vessel disease in hypertrophic cardiomyopathy: Is invasive assessment of microvascular resistance a novel independent predictor of prognosis? Cardiovasc. Pathol. 2022, 60, 107448. [Google Scholar] [CrossRef] [PubMed]
- De Gaspari, M.; Basso, C.; Perazzolo Marra, M.; Elia, S.; Bueno Marinas, M.; Angelini, A.; Thiene, G.; Rizzo, S. Small Vessel Disease: Another Component of the Hypertrophic Cardiomyopathy Phenotype Not Necessarily Associated with Fibrosis. J. Clin. Med. 2021, 10, 575. [Google Scholar] [CrossRef] [PubMed]
- Schlittler, M.; Pramstaller, P.P.; Rossini, A.; De Bortoli, M. Myocardial Fibrosis in Hypertrophic Cardiomyopathy: A Perspective from Fibroblasts. Int. J. Mol. Sci. 2023, 24, 14845. [Google Scholar] [CrossRef]
- Fahmy, A.S.; Rowin, E.J.; Jaafar, N.; Chan, R.H.; Rodriguez, J.; Nakamori, S.; Ngo, L.H.; Pradella, S.; Zocchi, C.; Olivotto, I.; et al. Radiomics of Late Gadolinium Enhancement Reveals Prognostic Value of Myocardial Scar Heterogeneity in Hypertrophic Cardiomyopathy. JACC Cardiovasc. Imaging 2024, 17, 16–27. [Google Scholar] [CrossRef]
- Hughes, R.K.; Augusto, J.B.; Knott, K.; Davies, R.; Shiwani, H.; Seraphim, A.; Malcolmson, J.W.; Khoury, S.; Joy, G.; Mohiddin, S.; et al. Apical Ischemia Is a Universal Feature of Apical Hypertrophic Cardiomyopathy. Circ. Cardiovasc. Imaging 2023, 16, e014907. [Google Scholar]
- Chiribiri, A.; Leuzzi, S.; Conte, M.; Bongioanni, S.; Bratis, K.; Olivotti, L.; De Rosa, C.; Lardone, E.; Di Donna, P.; Villa, A.; et al. Rest perfusion abnormalities in hypertrophic cardiomyopathy: Correlation with myocardial fibrosis and risk factors for sudden cardiac death. Clin. Radiol. 2015, 70, 495–501. [Google Scholar] [CrossRef] [PubMed]
- Sivalokanathan, S. The Role of Cardiovascular Magnetic Resonance Imaging in the Evaluation of Hypertrophic Cardiomyopathy. Diagnostics 2022, 12, 314. [Google Scholar] [CrossRef] [PubMed]
- Camaioni, C.; Knott, K.D.; Augusto, J.B.; Seraphim, A.; Rosmini, S.; Ricci, F.; Boubertakh, R.; Xue, H.; Hughes, R.; Captur, G.; et al. Inline perfusion mapping provides insights into the disease mechanism in hypertrophic cardiomyopathy. Heart 2020, 106, 824–829. [Google Scholar] [CrossRef]
- Kim, E.K.; Lee, S.-C.; Chang, S.-A.; Jang, S.-Y.; Kim, S.M.; Park, S.-J.; Choi, J.-O.; Park, S.W.; Jeon, E.-S.; Choe, Y.H. Prevalence and clinical significance of cardiovascular magnetic resonance adenosine stress-induced myocardial perfusion defect in hypertrophic cardiomyopathy. J. Cardiovasc. Magn. Reson. 2020, 22, 30. [Google Scholar] [CrossRef]
- Das, A.; Kelly, C.; Teh, I.; Nguyen, C.; Brown, L.A.E.; Chowdhary, A.; Jex, N.; Thirunavukarasu, S.; Sharrack, N.; Gorecka, M.; et al. Phenotyping hypertrophic cardiomyopathy using cardiac diffusion magnetic resonance imaging: The relationship between microvascular dysfunction and microstructural changes. Eur. Heart J.—Cardiovasc. Imaging 2022, 23, 352–362. [Google Scholar] [CrossRef]
- Nielles-Vallespin, S.; Khalique, Z.; Ferreira, P.F.; de Silva, R.; Scott, A.D.; Kilner, P.; McGill, L.-A.; Giannakidis, A.; Gatehouse, P.D.; Ennis, D.; et al. Assessment of Myocardial Microstructural Dynamics by In Vivo Diffusion Tensor Cardiac Magnetic Resonance. J. Am. Coll. Cardiol. 2017, 69, 661–676. [Google Scholar] [CrossRef] [PubMed]
- Joy, G.; Kelly, C.I.; Webber, M.; Pierce, I.; Teh, I.; McGrath, L.; Velazquez, P.; Hughes, R.K.; Kotwal, H.; Das, A.; et al. Microstructural and Microvascular Phenotype of Sarcomere Mutation Carriers and Overt Hypertrophic Cardiomyopathy. Circulation 2023, 148, 808–818. [Google Scholar] [CrossRef] [PubMed]
- Cavus, E.; Muellerleile, K.; Schellert, S.; Schneider, J.; Tahir, E.; Chevalier, C.; Jahnke, C.; Radunski, U.K.; Adam, G.; Kirchhof, P.; et al. CMR feature tracking strain patterns and their association with circulating cardiac biomarkers in patients with hypertrophic cardiomyopathy. Clin. Res. Cardiol. 2021, 110, 1757–1769. [Google Scholar] [CrossRef] [PubMed]
- Li, Z.-L.; He, S.; Xia, C.-C.; Peng, W.-L.; Li, L.; Liu, K.-L.; Zhang, J.-G.; Pu, J.; Guo, Y.-K. Global longitudinal diastolic strain rate as a novel marker for predicting adverse outcomes in hypertrophic cardiomyopathy by cardiac magnetic resonance tissue tracking. Clin. Radiol. 2021, 76, 78.e19–78.e25. [Google Scholar] [CrossRef] [PubMed]
- She, J.; Guo, J.; Yu, Y.; Zhao, S.; Chen, Y.; Ge, M.; Zeng, M.; Jin, H. Left Ventricular Outflow Tract Obstruction in Hypertrophic Cardiomyopathy: The Utility of Myocardial Strain Based on Cardiac MR Tissue Tracking. J. Magn. Reson. Imaging 2021, 53, 51–60. [Google Scholar] [CrossRef] [PubMed]
- Pu, C.; Fei, J.; Lv, S.; Wu, Y.; He, C.; Guo, D.; Mabombo, P.U.; Chooah, O.; Hu, H. Global Circumferential Strain by Cardiac Magnetic Resonance Tissue Tracking Associated With Ventricular Arrhythmias in Hypertrophic Cardiomyopathy Patients. Front. Cardiovasc. Med. 2021, 8, 670361. [Google Scholar] [CrossRef]
- Sharifian, M.; Rezaeian, N.; Asadian, S.; Mohammadzadeh, A.; Nahardani, A.; Kasani, K.; Toloueitabar, Y.; Farahmand, A.M.; Hosseini, L. Efficacy of Novel Noncontrast Cardiac Magnetic Resonance Methods in Indicating Fibrosis in Hypertrophic Cardiomyopathy. Cardiol. Res. Pract. 2021, 2021, 9931136. [Google Scholar] [CrossRef]
- Pagourelias, E.D.; Mirea, O.; Duchenne, J.; Unlu, S.; Van Cleemput, J.; Papadopoulos, C.E.; Bogaert, J.; Vassilikos, V.P.; Voigt, J.-U. Speckle tracking deformation imaging to detect regional fibrosis in hypertrophic cardiomyopathy: A comparison between 2D and 3D echo modalities. Eur. Heart J.—Cardiovasc. Imaging 2020, 21, 1262–1272. [Google Scholar] [CrossRef]
- Bergey, P.D.; Axel, L. Focal hypertrophic cardiomyopathy simulating a mass: MR tagging for correct diagnosis. Am. J. Roentgenol. 2000, 174, 242–244. [Google Scholar] [CrossRef]
- Amano, Y.; Yamada, F.; Hashimoto, H.; Obara, M.; Asai, K.; Kumita, S. Fast 3-Breath-Hold 3-Dimensional Tagging Cardiac Magnetic Resonance in Patients with Hypertrophic Myocardial Diseases: A Feasibility Study. BioMed Res. Int. 2016, 2016, 3749489. [Google Scholar] [CrossRef]
- van Dockum, W.G.; Kuijer, J.P.A.; Götte, M.J.W.; ten Cate, F.J.; ten Berg, J.M.; Beek, A.M.; Twisk, J.W.R.; Marcus, J.T.; Visser, C.A.; van Rossum, A.C. Septal ablation in hypertrophic obstructive cardiomyopathy improves systolic myocardial function in the lateral (free) wall: A follow-up study using CMR tissue tagging and 3D strain analysis. Eur. Heart J. 2006, 27, 2833–2839. [Google Scholar] [CrossRef] [PubMed]
- Pruijssen, J.T.; Allen, B.D.; Barker, A.J.; Bonow, R.O.; Choudhury, L.; Carr, J.C.; Markl, M.; van Ooij, P. Hypertrophic Cardiomyopathy Is Associated with Altered Left Ventricular 3D Blood Flow Dynamics. Radiol. Cardiothorac. Imaging 2020, 2, e190038. [Google Scholar] [CrossRef] [PubMed]
- van Ooij, P.; Allen, B.D.; Contaldi, C.; Garcia, J.; Collins, J.; Carr, J.; Choudhury, L.; Bonow, R.O.; Barker, A.J.; Markl, M. 4D flow MRI and T1-Mapping: Assessment of altered cardiac hemodynamics and extracellular volume fraction in hypertrophic cardiomyopathy. J. Magn. Reson. Imaging 2016, 43, 107–114. [Google Scholar] [CrossRef] [PubMed]
- Conte, E.; Mushtaq, S.; Muscogiuri, G.; Formenti, A.; Annoni, A.; Mancini, E.; Ricci, F.; Melotti, E.; Gigante, C.; Lorenza, Z.; et al. The Potential Role of Cardiac CT in the Evaluation of Patients With Known or Suspected Cardiomyopathy: From Traditional Indications to Novel Clinical Applications. Front. Cardiovasc. Med. 2021, 8, 709124. [Google Scholar] [CrossRef] [PubMed]
- Shariat, M.; Thavendiranathan, P.; Nguyen, E.; Wintersperger, B.; Paul, N.; Rakowski, H.; Crean, A.M. Utility of coronary CT angiography in outpatients with hypertrophic cardiomyopathy presenting with angina symptoms. J. Cardiovasc. Comput. Tomogr. 2014, 8, 429–437. [Google Scholar] [CrossRef] [PubMed]
- van der Velde, N.; Huurman, R.; Yamasaki, Y.; Kardys, I.; Galema, T.W.; Budde, R.P.; Zijlstra, F.; Krestin, G.P.; Schinkel, A.F.; Michels, M.; et al. Frequency and Significance of Coronary Artery Disease and Myocardial Bridging in Patients With Hypertrophic Cardiomyopathy. Am. J. Cardiol. 2020, 125, 1404–1412. [Google Scholar] [CrossRef] [PubMed]
- Shin, Y.J.; Lee, J.H.; Yoo, J.Y.; Kim, J.A.; Jeon, Y.; Yoon, Y.E.; Chun, E.J. Clinical significance of evaluating coronary atherosclerosis in adult patients with hypertrophic cardiomyopathy who have chest pain. Eur. Radiol. 2019, 29, 4593–4602. [Google Scholar] [CrossRef]
- Cooper, R.M.; Binukrishnan, S.R.; Shahzad, A.; Hasleton, J.; Sigwart, U.; Stables, R.H. Computed tomography angiography planning identifies the target vessel for optimum infarct location and improves clinical outcome in alcohol septal ablation for hypertrophic obstructive cardiomyopathy. EuroIntervention 2017, 12, e2194–e2203. [Google Scholar] [CrossRef]
- Takayama, H.; Yu, S.N.; Sorabella, R.; Leb, J.; Pulerwitz, T.C.; Cooper, C.; Argenio, M.; Shimada, Y.J.; Weiner, S.; Ginns, J.N. Virtual septal myectomy for preoperative planning in hypertrophic cardiomyopathy. J. Thorac. Cardiovasc. Surg. 2019, 158, 455–463. [Google Scholar] [CrossRef]
- Basso, C.; Thiene, G.; Mackey-Bojack, S.; Frigo, A.C.; Corrado, D.; Maron, B.J. Myocardial bridging, a frequent component of the hypertrophic cardiomyopathy phenotype, lacks systematic association with sudden cardiac death. Eur. Heart J. 2009, 30, 1627–1634. [Google Scholar] [CrossRef]
- Sellers, S.L.; Fonte, T.A.; Grover, R.; Mooney, J.; Weir-McCall, J.; Lau, K.P.; Chavda, A.; McNabney, C.; Ahmadi, A.; Blanke, P.; et al. Hypertrophic Cardiomyopathy (HCM): New insights into Coronary artery remodelling and ischemia from FFR(CT). J. Cardiovasc. Comput. Tomogr. 2018, 12, 467–471. [Google Scholar] [CrossRef]
- Coenen, A.; Lubbers, M.M.; Kurata, A.; Kono, A.; Dedic, A.; Chelu, R.G.; Dijkshoorn, M.L.; van Geuns, R.-J.M.; Schoebinger, M.; Itu, L.; et al. Coronary CT angiography derived fractional flow reserve: Methodology and evaluation of a point of care algorithm. J. Cardiovasc. Comput. Tomogr. 2016, 10, 105–113. [Google Scholar] [CrossRef]
- Oda, S.; Emoto, T.; Nakaura, T.; Kidoh, M.; Utsunomiya, D.; Funama, Y.; Nagayama, Y.; Takashio, S.; Ueda, M.; Yamashita, T.; et al. Myocardial Late Iodine Enhancement and Extracellular Volume Quantification with Dual-Layer Spectral Detector Dual-Energy Cardiac CT. Radiol. Cardiothorac. Imaging 2019, 1, e180003. [Google Scholar] [CrossRef]
- Litt, H.I. Dual-Energy (Spectral) Late Iodine Enhancement Cardiac CT: Does a Dual-Layer Detector Make It Work? Radiol. Cardiothorac. Imaging. 2019, 1, e194002. [Google Scholar] [CrossRef] [PubMed]
- Mendoza, D.D.; Joshi, S.B.; Weissman, G.; Taylor, A.J.; Weigold, W.G. Viability imaging by cardiac computed tomography. J. Cardiovasc. Comput. Tomogr. 2010, 4, 83–91. [Google Scholar] [CrossRef] [PubMed]
- Berecova, Z.; Juskanic, D.; Simkova, J.; Simkova, I. Dual-energy Computed Tomography Delayed Myocardial Enhancement in the Diagnostic Dilemma of True versus False Left Ventricular Aneurysm—A Case Report. J. Clin. Imaging Sci. 2021, 11, 20. [Google Scholar] [CrossRef] [PubMed]
- Timmer, S.A.; Knaapen, P. Coronary microvascular function, myocardial metabolism, and energetics in hypertrophic cardiomyopathy: Insights from positron emission tomography. Eur. Heart J.—Cardiovasc. Imaging 2013, 14, 95–101. [Google Scholar] [CrossRef] [PubMed]
- Sciagrà, R.; Calabretta, R.; Cipollini, F.; Passeri, A.; Castello, A.; Cecchi, F.; Olivotto, I.; Pupi, A. Myocardial blood flow and left ventricular functional reserve in hypertrophic cardiomyopathy: A 13NH3 gated PET study. Eur. J. Nucl. Med. Mol. Imaging 2017, 44, 866–875. [Google Scholar] [CrossRef]
- Bravo, P.E.; Tahari, A.; Pozios, I.; Luo, H.-C.; Bengel, F.M.; Wahl, R.L.; Abraham, M.R.; Abraham, T.P. Apparent left ventricular cavity dilatation during PET/CT in hypertrophic cardiomyopathy: Clinical predictors and potential mechanisms. J. Nucl. Cardiol. 2016, 23, 1304–1314. [Google Scholar] [CrossRef] [PubMed]
- von Dohlen, T.W.; Prisant, L.M.; Frank, M.J. Significance of positive or negative thallium-201 scintigraphy in hypertrophic cardiomyopathy. Am. J. Cardiol. 1989, 64, 498–503. [Google Scholar] [CrossRef]
- Bravo, P.E. Is there a role for cardiac positron emission tomography in hypertrophic cardiomyopathy? J. Nucl. Cardiol. 2019, 26, 1125–1134. [Google Scholar] [CrossRef]
- Dilsizian, V.; Bonow, R.O.; Epstein, S.E.; Fananapazir, L. Myocardial ischemia detected by thallium scintigraphy is frequently related to cardiac arrest and syncope in young patients with hypertrophic cardiomyopathy. J. Am. Coll. Cardiol. 1993, 22, 796–804. [Google Scholar] [CrossRef] [PubMed]
- Olivotto, I.; Girolami, F.; Sciagrà, R.; Ackerman, M.J.; Sotgia, B.; Bos, J.M.; Nistri, S.; Sgalambro, A.; Grifoni, C.; Torricelli, F.; et al. Microvascular function is selectively impaired in patients with hypertrophic cardiomyopathy and sarcomere myofilament gene mutations. J. Am. Coll. Cardiol. 2011, 58, 839–848. [Google Scholar] [CrossRef] [PubMed]
- Knaapen, P.; van Dockum, W.G.; Götte, M.J.; Broeze, K.A.; Kuijer, J.P.; Zwanenburg, J.J.; Kuijer, J.P.A.; Zwanenburg, J.J.M.; Marcus, J.T.; Kok, W.E.M.; et al. Regional heterogeneity of resting perfusion in hypertrophic cardiomyopathy is related to delayed contrast enhancement but not to systolic function: A PET and MRI study. J. Nucl. Cardiol. 2006, 13, 660–667. [Google Scholar] [CrossRef] [PubMed]
- Camici, P.; Chiriatti, G.; Lorenzoni, R.; Bellina, R.C.; Gistri, R.; Italiani, G.; Parodi, O.; Salvadori, P.A.; Nista, N.; Papi, L.; et al. Coronary vasodilation is impaired in both hypertrophied and nonhypertrophied myocardium of patients with hypertrophic cardiomyopathy: A study with nitrogen-13 ammonia and positron emission tomography. J. Am. Coll. Cardiol. 1991, 17, 879–886. [Google Scholar] [CrossRef] [PubMed]
- Bravo, P.E.; Pinheiro, A.; Higuchi, T.; Rischpler, C.; Merrill, J.; Santaularia-Tomas, M.; Abraham, M.R.; Wahl, R.L.; Abraham, T.P.; Bengel, F.M. PET/CT Assessment of Symptomatic Individuals with Obstructive and Nonobstructive Hypertrophic Cardiomyopathy. J. Nucl. Med. 2012, 53, 407. [Google Scholar] [CrossRef] [PubMed]
- Cecchi, F.; Olivotto, I.; Gistri, R.; Lorenzoni, R.; Chiriatti, G.; Camici, P.G. Coronary microvascular dysfunction and prognosis in hypertrophic cardiomyopathy. New Engl. J. Med. 2003, 349, 1027–1035. [Google Scholar] [CrossRef]
- Udelson, J.E.; Bonow, R.O.; O’Gara, P.T.; Maron, B.J.; Van Lingen, A.; Bacharach, S.L.; Epstein, S.E. Verapamil prevents silent myocardial perfusion abnormalities during exercise in asymptomatic patients with hypertrophic cardiomyopathy. Circulation 1989, 79, 1052–1060. [Google Scholar] [CrossRef]
- Cannon, R.O.; Dilsizian, V.; O’Gara, P.T.; Udelson, J.E.; Tucker, E.; Panza, J.A.; Fananapazir, L.; McIntosh, C.L.; Wallace, R.B.; Bonow, R.O. Impact of surgical relief of outflow obstruction on thallium perfusion abnormalities in hypertrophic cardiomyopathy. Circulation 1992, 85, 1039–1045. [Google Scholar] [CrossRef]
- Abazid, R.M.; Romsa, J.G.; Warrington, J.C.; Akincioglu, C.; Stodilka, R.Z.; Vezina, W.C. Complementary role of hybrid imaging with SPECT myocardial perfusion and coronary CT angiography in hypertrophic cardiomyopathy. J. Nucl. Cardiol. 2022, 29, 2716–2720. [Google Scholar] [CrossRef]
- Groves, A.; Elliot, P.; Kayani, I.; Endozo, R.; Menezes, L.; Moon, J.; Habib, S.; Woldman, S.; McKenna, W.; Ell, P. Imaging HOCM on combined Rb PET/CTA: Initial Experience. J. Nucl. Med. 2008, 49, 195–196. [Google Scholar]
- Kong, E.-J.; Lee, S.-H.; Cho, I.-H. Myocardial Fibrosis in Hypertrophic Cardiomyopathy Demonstrated by Integrated Cardiac F-18 FDG PET/MR. Nucl. Med. Mol. Imaging 2013, 47, 196–200. [Google Scholar] [CrossRef]
- Saberi, S.; Wheeler, M.; Bragg-Gresham, J.; Hornsby, W.; Agarwal, P.P.; Attili, A.; Concannon, M.; Dries, A.M.; Shmargad, Y.; Salisbury, H.; et al. Effect of Moderate-Intensity Exercise Training on Peak Oxygen Consumption in Patients With Hypertrophic Cardiomyopathy: A Randomized Clinical Trial. JAMA 2017, 317, 1349–1357. [Google Scholar] [CrossRef]
- Shimada, Y.J.; Passeri, J.J.; Baggish, A.L.; O’Callaghan, C.; Lowry, P.A.; Yannekis, G.; Abbara, S.; Ghoshhajra, B.B.; Rothman, R.D.; Ho, C.Y.; et al. Effects of losartan on left ventricular hypertrophy and fibrosis in patients with nonobstructive hypertrophic cardiomyopathy. JACC Heart Fail. 2013, 1, 480–487. [Google Scholar] [CrossRef]
- Marian, A.J.; Tan, Y.; Li, L.; Chang, J.; Syrris, P.; Hessabi, M.; Rahbar, M.H.; Willerson, J.T.; Cheong, B.Y.; Liu, C.-Y.; et al. Hypertrophy Regression With N-Acetylcysteine in Hypertrophic Cardiomyopathy (HALT-HCM): A Randomized, Placebo-Controlled, Double-Blind Pilot Study. Circ. Res. 2018, 122, 1109–1118. [Google Scholar] [CrossRef]
- Ho, C.Y.; Day, S.M.; Axelsson, A.; Russell, M.W.; Zahka, K.; Lever, H.M.; Pereira, A.C.; Colan, S.D.; Margossian, R.; Murphy, A.M.; et al. Valsartan in early-stage hypertrophic cardiomyopathy: A randomized phase 2 trial. Nat. Med. 2021, 27, 1818–1824. [Google Scholar] [CrossRef] [PubMed]
- Tian, Z.; Li, L.; Li, X.; Wang, J.A.; Zhang, Q.; Li, Z.; Peng, D.; Yang, P.; Ma, W.; Wang, F.; et al. Effect of Mavacamten on Chinese Patients With Symptomatic Obstructive Hypertrophic Cardiomyopathy: The EXPLORER-CN Randomized Clinical Trial. JAMA Cardiol. 2023, 8, 957–965. [Google Scholar] [CrossRef] [PubMed]
- Coats, C.J.; Maron, M.S.; Abraham, T.P.; Olivotto, I.; Lee, M.M.; Arad, M.; Cardim, N.; Ma, C.-S.; Choudhury, L.; Düngen, H.-D.; et al. Exercise Capacity in Patients With Obstructive Hypertrophic Cardiomyopathy: SEQUOIA-HCM Baseline Characteristics and Study Design. JACC Heart Fail. 2024, 12, 199–215. [Google Scholar] [CrossRef] [PubMed]
- A Follow-Up, Open-Label, Research Evaluation of Sustained Treatment of Aficamten (CK-3773274) in Hypertrophic Cardiomyopathy (HCM), (FOREST-HCM), (NCT04848506) ClinicalTrials.gov (Internet). 2021. Available online: https://clinicaltrials.gov/study/NCT04848506 (accessed on 15 December 2023).
- Ananthakrishna, R.; Lee, S.L.; Foote, J.; Sallustio, B.C.; Binda, G.; Mangoni, A.A.; Woodman, R.; Semsarian, C.; Horowitz, J.D.; Selvanayagam, J.B. Randomized controlled trial of perhexiline on regression of left ventricular hypertrophy in patients with symptomatic hypertrophic cardiomyopathy (RESOLVE-HCM trial). Am. Heart J. 2021, 240, 101–113. [Google Scholar] [CrossRef] [PubMed]
- Farrant, J.; Dodd, S.; Vaughan, C.; Reid, A.; Schmitt, M.; Garratt, C.; Akhtar, M.; Mahmod, M.; Neubauer, S.; Cooper, R.M.; et al. Rationale and design of a randomised trial of trientine in patients with hypertrophic cardiomyopathy. Heart 2023, 109, 1175–1182. [Google Scholar] [CrossRef] [PubMed]
- Exercise Intolerance in Non-obstructive Hypertrophic Cardiomyopathy (EXCITE-HCM) (NCT05818605): ClinicalTrials.gov (Internet). 2023. Available online: https://clinicaltrials.gov/study/NCT05818605 (accessed on 15 December 2023).
- Effects of Ranolazine on Coronary Microvascular Dysfunction in Patients with Hypertrophic Cardiomyopathy ClinicalTrials.gov (Internet). 2016. Available online: https://clinicaltrials.gov/study/NCT03953989 (accessed on 15 December 2023).
- Non-Invasive Radiation Ablation in Patients with Hypertrophic CardioMyopathy: NIRA-HOCM (NIRA-HOCM) (NCT04153162) ClinicalTrials.gov (Internet). 2020. Available online: https://clinicaltrials.gov/study/NCT04153162 (accessed on 15 December 2023).
- The Impact of Exercise-Induced Cardiac Remodeling on Myocardial Efficiency (NCT04580693) ClinicalTrials.gov (Internet). 2019. Available online: https://clinicaltrials.gov/study/NCT04580693 (accessed on 15 December 2023).
- First-in-Man Early Feasibility Study for Transcatheter HOCM Septal Ablation ClinicalTrials.gov (Internet). 2021. Available online: https://clinicaltrials.gov/study/NCT04770142 (accessed on 15 December 2023).
- Renal Denervation in Hypertrophic Cardiomyopathy (SNYPER-PS) (NCT05577208) ClinicalTrials.gov (Internet). 2022. Available online: https://clinicaltrials.gov/study/NCT05577208 (accessed on 15 December 2023).
- Effect of Mavacamten Treatment on Coronary Flow Reserve in oHCM (MavaPET) (NCT06023186) ClinicalTrials.gov (Internet). 2023. Available online: https://clinicaltrials.gov/study/NCT06023186 (accessed on 15 December 2023).




| Adults | LV wall thickness ≥ 15 mm in any myocardial segment that is not explained solely by loading conditions. LV wall thickness of 13–14 mm requires evaluation of family history, genetic findings, and ECG abnormalities. |
| Children | LV wall thickness z-score > 2. |
| Relatives | LV wall thickness ≥ 13 mm. In child first-degree relatives with LV wall thickness z-scores of <2, the presence of associated morphological or ECG abnormalities should raise the suspicion but are not diagnostic for HCM. |
| Treatment | Trial/Year/N/Duration | Outcomes |
|---|---|---|
| Exercise | RESET-HCM (2017) [125] NCT01127061 N = 136 randomized N = 47 to 61 CMR follow-up data samples 16 weeks | Echo (secondary): ↔ LVOT-G (Valsalva/exe) CMR (secondary): ↔ Maximal LV thickness ↔ LVMi ↔ LVEDVi ↔ LVESVi ↔ LVEF ↔ Total DGE ↔ DGE % of LV mass |
| Losartan | NCT01150461 (2013) [126] N = 20 1 year | CMR (primary): ↓ % LGE CMR (secondary): ↔ LVM |
| N-Acetylcysteine | HALT-HCM (2018) [127] NCT01537926 N = 35, echo (per-protocol analysis); N = 18, CMR (per-protocol analysis) 12 months | Echo (secondary): ↔ LVESD ↔ LVMi ↔ LVM CMR (secondary): ↔ MWT ↔ LVEDV ↔ LVESV ↔ LVEF ↔ Mean LV midwall strain ↔ Myocardial mass ↔ Enhanced myocardium ↔ % of myocardium that has scar |
| Valsartan | VANISH (2021) [128] NCT01912534 N = 178 2 years | Echo (secondary): ↑ E’ velocity ↔ S’ velocity CMR (secondary): ↔ Max LV wall thickness ↔ LVMi ↔ LAVi ↑ LVEDV ↔ LVESV |
| Mavacamten | EXPLORER-HCM (2021) [23,25] NCT03470545 N = 251 N = 35, CMR substudy Week 30 | Echo (secondary): ↓ LVOT-G (exercise) CMR (exploratory): ↓ LVMi ↓ Max LV wall thickness ↓ LAVI max ↓ LVEF ↔ LGE |
| EXPLORER-CN (2023) [129] NCT05174416 N = 81 (including N = 58 CMR data samples) Week 30 | Echo (primary): ↓ LVOT-G (Valsalva) Echo (secondary): ↓ LVOT-G (rest) ↓ Proportion of LVOT-G < 30 and <50 CMR (secondary): ↓ LVMi CMR (exploratory): ↓ LVM and ↓ LV MWT ↓ Max LAVi and ↓ min LAVi | |
| Aficamten | SEQUOIA-HCM (ongoing) [130] NCT05186818 N = 282 (includes CMR substudy) 12/24 weeks | Echo (secondary) (12/24 weeks): LVOT-G (Valsalva) Proportion of LVOT-G < 30 Echo (safety): Incidence of LVEF < 50% Echo (exploratory) (24 weeks): LVEF LVESV, LVEDV LAV CMR (exploratory) (24 weeks): LVMi LVEF Septal, free wall, MWT LAVi LVESV LVEDV |
| FOREST-HCM (ongoing) [131] NCT04848506 N = ? (CMR substudy) Up to 5 years | Echo (secondary) (12-week intervals): Peak LVOT-G at rest | |
| Perhexilene | RESOLVE-HCM (ongoing) [132] NCT04426578 N~60 12 months | CMR (primary): LVH (septal thickness) CMR (secondary): LVM Oxygen-sensitive CMR |
| Trientine | TEMPEST (ongoing) [133] NCT04706429 N = 154 Week 52 | CMR (primary): LVM/BSA CMR (secondary): LV GLS and strain rate Wall thickness, mass, volumes, EF Atrial volume and function CMR (mechanistic): LV myocardial cellular mass, LV myocardial extracellular mass, myocardial ECV, LV LGE PCr/ATP ratio (31P MRS) (subgroup) |
| Moderate-intensity exercise training vs. usual physical activity | EXCITE-HCM [134] NCT05818605 (ongoing) N~70 24 weeks | Echo (secondary): Myocardial systolic strain Myocardial work PET (exploratory): Regional myocardial perfusion Coronary flow reserve (ratio) |
| Treatment | Trial/Year/N/Duration | Outcomes |
|---|---|---|
| Ranolazine | NCT03953989 [135] N = 26 4 months | PET (primary): MBF during hyperaemia Coronary flow reserve Coronary resistance |
| Non-Invasive Radiation Ablation | NIRA-HOCM [136] NCT04153162 N~10 3/6/12 months | CT (12 months) (secondary): Patency of LAD artery Presence of radiation pneumonitis Echo (3/6/12 months) (secondary): Aortic and mitral valve function LVOT-G LVEF CMR (6 months) (secondary): LV wall thickness |
| Exercise | NCT04580693 [137] N~60 2 weeks 3 groups: endurance athletes, HCM, healthy volunteers/control | PET (secondary): MBF reserve Echo (exploratory): LVM |
| Transcatheter Intra-septal RF Ablation System (TIRA Catheter) | First-in-Man early Feasibility Study for Transcatheter HOCM Septal Ablation [138] NCT04770142 N~7 1 month | Echo (primary): LVOT-G (rest/Valsalva) LVOT diameter IVS CT and MRI (primary): IVS |
| Renal Denervation | SNYPER-PS (ongoing) [139] NCT05577208 N~20 6 months | SPECT (primary): Cardiac sympathetic nerve activity (123I-MIBG washout rate measured with scintigraphy) Echo (secondary): LVM LVOT-G (Valsalva) |
| Mavacamten | MavaPET (ongoing) [140] NCT06023186 N~20, oHCM 12 months | PET-CT (primary): Myocardial perfusion reserve |
| Imaging Modality | Strengths | Limitations |
|---|---|---|
| Echocardiography |
|
|
| Cardiac magnetic resonance |
|
|
| Cardiac computed tomography |
|
|
| Nuclear imaging |
|
|
Disclaimer/Publisher’s Note: The statements, opinions and data contained in all publications are solely those of the individual author(s) and contributor(s) and not of MDPI and/or the editor(s). MDPI and/or the editor(s) disclaim responsibility for any injury to people or property resulting from any ideas, methods, instructions or products referred to in the content. |
© 2024 by the authors. Licensee MDPI, Basel, Switzerland. This article is an open access article distributed under the terms and conditions of the Creative Commons Attribution (CC BY) license (https://creativecommons.org/licenses/by/4.0/).
Share and Cite
Goldie, F.C.; Lee, M.M.Y.; Coats, C.J.; Nordin, S. Advances in Multi-Modality Imaging in Hypertrophic Cardiomyopathy. J. Clin. Med. 2024, 13, 842. https://doi.org/10.3390/jcm13030842
Goldie FC, Lee MMY, Coats CJ, Nordin S. Advances in Multi-Modality Imaging in Hypertrophic Cardiomyopathy. Journal of Clinical Medicine. 2024; 13(3):842. https://doi.org/10.3390/jcm13030842
Chicago/Turabian StyleGoldie, Fraser C., Matthew M. Y. Lee, Caroline J. Coats, and Sabrina Nordin. 2024. "Advances in Multi-Modality Imaging in Hypertrophic Cardiomyopathy" Journal of Clinical Medicine 13, no. 3: 842. https://doi.org/10.3390/jcm13030842
APA StyleGoldie, F. C., Lee, M. M. Y., Coats, C. J., & Nordin, S. (2024). Advances in Multi-Modality Imaging in Hypertrophic Cardiomyopathy. Journal of Clinical Medicine, 13(3), 842. https://doi.org/10.3390/jcm13030842

