Successful Laparoscopy-Assisted Extirpation of Burkitt’s Lymphoma Causing Intestinal Obstruction in a 17-Year-Old Boy
Abstract
1. Introduction
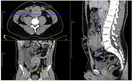
2. Case Report
3. Discussion
4. Conclusions
5. Limitations
Author Contributions
Funding
Institutional Review Board Statement
Informed Consent Statement
Data Availability Statement
Acknowledgments
Conflicts of Interest
Abbreviations
| BL | Burkitt’s lymphoma |
| B-NHL | B-cell non-Hodgkin’s lymphomas |
| CBC | complete blood count |
| CT | computer tomography |
| EBV | Epstein–Barr virus |
| ED | emergency department |
| FDG | fluorodeoxyglucose |
| LDH | lactate dehydrogenase |
| MIS | minimally invasive surgery |
| IGH-14q32 | immunoglobulin heavy chain gene on chromosome 14q32 |
| HGBL | High-grade B-cell lymphoma |
| NOS | not otherwise specified |
| MTX | methotrexate |
| PET | positron emission tomography |
| US | ultrasound |
References
- Minard-Colin, V.; Brugières, L.; Reiter, A.; Cairo, M.S.; Gross, T.G.; Woessmann, W.; Burkhardt, B.; Sandlund, J.T.; Williams, D.; Pillon, M.; et al. Non-Hodgkin Lymphoma in Children and Adolescents: Progress Through Effective Collaboration, Current Knowledge, and Challenges Ahead. J. Clin. Oncol. 2015, 33, 2963–2974. [Google Scholar] [CrossRef] [PubMed]
- Gurzu, S.; Bara, T.; Turcu, M.; Mardare, C.V.; Jung, I. Gastric Burkitt Lymphoma: A Case Report and Literature Review. Medicine 2017, 96, e8954. [Google Scholar] [CrossRef]
- Derinkuyu, B.E.; Boyunaga, O.; Oztunali, C.; Tekkesin, F.; Damar, C.; Alimli, A.G.; Okur, A. Imaging Features of Burkitt Lymphoma in Pediatric Patients. Diagn. Interv. Radiol. 2015, 22, 95–100. [Google Scholar] [CrossRef]
- Holocomb, G.W.; Murphy, J.P.; Peter, S.D. St. Holocomb and Aschraft Pediatric Surgery, 7th ed.; Elsevier: Amsterdam, The Netherlands, 2020; pp. 621–628. [Google Scholar]
- Sahli, H.; El Mandour, J.; Boularab, J.; Allali, N.; Chat, L.; El Haddad, S. Acute Intestinal Intussusception: Beware of Burkitt’s Lymphoma. Glob Pediatr. Health 2022, 9, 2333794X221078712. [Google Scholar] [CrossRef] [PubMed]
- Abbasoǧlu, L.; Gün, F.; Salman, F.T.; Çelik, A.; Ünüvar, A.; Görgün, Ö. The Role of Surgery in Intraabdominal Burkitt’s Lymphoma in Children. Eur. J. Pediatr. Surg. 2003, 13, 236–239. [Google Scholar] [CrossRef]
- Holcomb, G.W.; Tomita, S.S.; Haase, G.M.; Dillon, P.W.; Newman, K.D.; Applebaum, H. Minimally Invasive Surgery in Children with Cancer. Cancer 1995, 76, 121–128. [Google Scholar] [CrossRef] [PubMed]
- Bekoz, H.S.; Kantarcioglu, B.; Tecimer, T.; Uskent, N.; Cetiner, M.; Ferhanoglu, B.; Sargin, D. Complete Remission of Burkitt Lymphoma After Surgical Excision: A Case Report. Indian J. Hematol. Blood Transfus. 2016, 32, 178. [Google Scholar] [CrossRef] [PubMed]
- Fiegel, H.; Gfroerer, S.; Rolle, U. Systematic Review Shows That Pathological Lead Points Are Important and Frequent in Intussusception and Are Not Limited to Infants. Acta Paediatr. 2016, 105, 1275–1279. [Google Scholar] [CrossRef] [PubMed]
- Johnson, P.C.; Abramson, J.S. Current Treatment of Burkitt Lymphoma and High-Grade B-Cell Lymphomas. Oncology 2022, 36, 499–505. [Google Scholar] [CrossRef]
- Kyriakidis, I.; Pelagiadis, I.; Stratigaki, M.; Katzilakis, N.; Stiakaki, E. B–NHL Cases in a Tertiary Pediatric Hematology—Oncology Department: A 20-Year Retrospective Cohort Study. Life 2024, 14, 633. [Google Scholar] [CrossRef]
- Alaggio, R.; Amador, C.; Anagnostopoulos, I.; Attygalle, A.D.; de O. Araujo, I.B.; Berti, E.; Bhagat, G.; Borges, A.M.; Boyer, D.; Calaminici, M.; et al. The 5th Edition of the World Health Organization Classification of Haematolymphoid Tumours: Lymphoid Neoplasms. Leukemia 2022, 36, 1720–1748. [Google Scholar] [CrossRef] [PubMed]
- Rowe, M.; Fitzsimmons, L.; Bell, A.I. Epstein-Barr Virus and Burkitt Lymphoma. Chin. J. Cancer 2014, 33, 609–619. [Google Scholar] [CrossRef] [PubMed]
- Sendra-Fernández, C.; Pizarro-Moreno, Á.; Silva-Ruiz, P.; Mejías-Manzano, M.Á. Burkitt Lymphoma with Extensive Ileocolonic Extranodal Involvement. Presentation as a Rapidly Growing Abdominal Mass. Gastroenterol. Hepatol. 2017, 40, 288–290. [Google Scholar] [CrossRef] [PubMed]
- Allen, C.E.; Kelly, K.M.; Bollard, C.M. Pediatric Lymphomas and Histiocytic Disorders of Childhood. Pediatr. Clin. N. Am. 2015, 62, 139–165. [Google Scholar] [CrossRef] [PubMed]
- Campo, E.; Jaffe, E.S.; Cook, J.R.; Quintanilla-Martinez, L.; Swerdlow, S.H.; Anderson, K.C.; Brousset, P.; Cerroni, L.; de Leval, L.; Dirnhofer, S.; et al. The International Consensus Classification of Mature Lymphoid Neoplasms: A Report from the Clinical Advisory Committee. Blood 2022, 140, 1229–1253. [Google Scholar] [CrossRef]
- Graham, B.S.; Lynch, D.T. Burkitt Lymphoma. In StatPearls [Internet]; StatPearls Publishing: Treasure Island, FL, USA, 2024. [Google Scholar] [PubMed]
- Wyss, K.; Granath, F.; Wångdahl, A.; Djärv, T.; Fored, M.; Naucler, P.; Färnert, A. Malaria and Risk of Lymphoid Neoplasms and Other Cancer: A Nationwide Population-Based Cohort Study. BMC Med. 2020, 18, 296. [Google Scholar] [CrossRef] [PubMed]
- Hitchen, T.; Chen, N.; Heng, C. Non-surgical Management of Small Bowel Obstruction Secondary to Burkitt’s Lymphoma. ANZ J. Surg. 2022, 92, 3335–3337. [Google Scholar] [CrossRef]
- Catena, F.; Ansaloni, L.; Gazzotti, F.; Gagliardi, S.; Di Saverio, S.; De Cataldis, A.; Taffurelli, M. Small Bowel Tumours in Emergency Surgery: Specificity of Clinical Presentation. ANZ J. Surg. 2005, 75, 997–999. [Google Scholar] [CrossRef] [PubMed]
- Butterworth, J.W.; Brooker-Thompson, C.; Qureshi, Y.A.; Mohammadi, B.; Dawas, K. Emergency Laparotomy for Abdominal Catastrophes Secondary to Lymphoma: A Systematic Review. Eur. J. Surg. Oncol. 2024, 50, 107268. [Google Scholar] [CrossRef]
- Wiener-Carrillo, I.; González-Alvarado, C.; Cervantes-Valladolid, M.; Echaverry-Navarrete, D.; Zubieta-O’Farrill, G.; Gudiño-Chávez, A. Intussusception Secondary to a Carcinoid Tumor in an Adult Patient. Int. J. Surg. Case Rep. 2014, 5, 265. [Google Scholar] [CrossRef] [PubMed]
- Blakelock, R.T.; Beasley, S.W. The Clinical Implications of Non-Idiopathic Intussusception. Pediatr. Surg. Int. 1998, 14, 163–167. [Google Scholar] [CrossRef] [PubMed]
- Rampone, B.; Roviello, F.; Marrelli, D.; De Marco, G.; Rossi, S.; Corso, G.; Cerullo, G.; Pinto, E. Late Recurrence of Malignant Melanoma Presenting as Small Bowel Intussusception. Dig Dis. Sci. 2006, 51, 1047–1048. [Google Scholar] [CrossRef] [PubMed]
- Yagmur, Y.; Gumus, S. Burkitt’s Lymphoma Causing Intussusception in Adults:Report of Two Cases and Review of the Literature. J. Gastroenterol. Hepatol. Res. 2015, 4, 1702–1706. [Google Scholar] [CrossRef]
- Meshikhes, A.W.; Al-Zahrani, H.; Ewies, T. Laparoscopic Excision of Abdominal Wall Desmoid Tumor. Asian J. Endosc. Surg. 2016, 9, 79–82. [Google Scholar] [CrossRef]
- Chan, K.W.; Lee, K.H.; Tam, Y.H.; Yeung, C.K. Minimal Invasive Surgery in Pediatric Solid Tumors. J. Laparoendosc. Adv. Surg. Tech. A 2007, 17, 817–820. [Google Scholar] [CrossRef] [PubMed]
- Metzelder, M.L.; Kuebler, J.F.; Shimotakahara, A.; Glueer, S.; Grigull, L.; Ure, B.M. Role of Diagnostic and Ablative Minimally Invasive Surgery for Pediatric Malignancies. Cancer 2007, 109, 2343–2348. [Google Scholar] [CrossRef] [PubMed]
- Malkan, A.D.; Loh, A.H.P.; Sandoval, J.A. Minimally Invasive Surgery in the Management of Abdominal Tumors in Children. J. Pediatr. Surg. 2014, 49, 1171–1176. [Google Scholar] [CrossRef] [PubMed]
- Murakami, M.; Muto, M.; Nakagawa, S.; Kedoin, C.; Matsui, M.; Sugita, K.; Yano, K.; Onishi, S.; Harumatsu, T.; Yamada, K.; et al. Successful Laparoscopy-Assisted En Bloc Resection of Bulky Omental Malignant Lymphoma Involving the Ascending Colon and Multiple Lymph Node Metastases: Report of a Technically Demanding Case in a Pediatric Patient. Asian J. Endosc. Surg. 2022, 15, 836–840. [Google Scholar] [CrossRef]
- Vrancx, S.; Van De Sande, J.; Vanclooster, P.; De Gheldere, C.; Van De Velde, A. Burkitt Lymphoma Mimicking an Acute Appendicitis in a 17 Years Old Boy: A Case Report. Acta Chir. Belg. 2015, 115, 306–309. [Google Scholar] [CrossRef]
- Wang, S.M.; Huang, F.C.; Wu, C.H.; Ko, S.F.; Lee, S.Y.; Hsiao, C.C. Ileocecal Burkitt’s Lymphoma Presenting as Ileocolic Intussusception with Appendiceal Invagination and Acute Appendicitis. J. Formos. Med. Assoc. 2010, 109, 476–479. [Google Scholar] [CrossRef] [PubMed]
- Metzelder, M.; Ure, B. Port-Site Metastasis after Laparoscopic Biopsy of a Posttransplant Burkitt Lymphoma in a Child. Eur. J. Pediatr. Surg. 2009, 19, 126–127. [Google Scholar] [CrossRef]




| Antibodies | Clone | Manufacturer | Cat. No. |
|---|---|---|---|
| CD20 | L26 | Dako | M075501-2 |
| PAX5 | DAK-Pax5 | Dako | GA65061-2 |
| CD10 | DAK-CD10 | Dako | GA78661-2 |
| BCL-2 | 124 | Cell Marque | 226M-95 |
| BCL-6 | PG-B6p | Dako | M721101-2 |
| IgM | IgM | Dako | GA51361-2 |
| CD23 | DAK-CD23 | Dako | GA78161-2 |
| CD3 | F7.2.38 | Agilent Dako | M725401-2 |
| Cyclina D1 | EP12 | Cell Marque | 241R-46 |
| TdT | TdT-339 | Leica | 50-255-1963 |
| c-Myc | 9E10 | Santa Cruz | sc-40 |
| EBV-LMP | CS 1-4 | Dako | IR75361-2 |
| Ki67 | MIB-1 | Dako | GA62661-2 |
Disclaimer/Publisher’s Note: The statements, opinions and data contained in all publications are solely those of the individual author(s) and contributor(s) and not of MDPI and/or the editor(s). MDPI and/or the editor(s) disclaim responsibility for any injury to people or property resulting from any ideas, methods, instructions or products referred to in the content. |
© 2024 by the authors. Licensee MDPI, Basel, Switzerland. This article is an open access article distributed under the terms and conditions of the Creative Commons Attribution (CC BY) license (https://creativecommons.org/licenses/by/4.0/).
Share and Cite
Derzsi, Z.; Bara, Z.; Horváth, E.; Serac, G.; Mărginean, R.; Sólyom, R.; Kovács, E.; Gozar, H. Successful Laparoscopy-Assisted Extirpation of Burkitt’s Lymphoma Causing Intestinal Obstruction in a 17-Year-Old Boy. J. Clin. Med. 2024, 13, 7834. https://doi.org/10.3390/jcm13247834
Derzsi Z, Bara Z, Horváth E, Serac G, Mărginean R, Sólyom R, Kovács E, Gozar H. Successful Laparoscopy-Assisted Extirpation of Burkitt’s Lymphoma Causing Intestinal Obstruction in a 17-Year-Old Boy. Journal of Clinical Medicine. 2024; 13(24):7834. https://doi.org/10.3390/jcm13247834
Chicago/Turabian StyleDerzsi, Zoltán, Zsolt Bara, Emőke Horváth, Gabriel Serac, Răzvan Mărginean, Réka Sólyom, Evelyn Kovács, and Horea Gozar. 2024. "Successful Laparoscopy-Assisted Extirpation of Burkitt’s Lymphoma Causing Intestinal Obstruction in a 17-Year-Old Boy" Journal of Clinical Medicine 13, no. 24: 7834. https://doi.org/10.3390/jcm13247834
APA StyleDerzsi, Z., Bara, Z., Horváth, E., Serac, G., Mărginean, R., Sólyom, R., Kovács, E., & Gozar, H. (2024). Successful Laparoscopy-Assisted Extirpation of Burkitt’s Lymphoma Causing Intestinal Obstruction in a 17-Year-Old Boy. Journal of Clinical Medicine, 13(24), 7834. https://doi.org/10.3390/jcm13247834
