The Treatment of Patients with Early-Stage Non-Small Cell Lung Cancer Who Are Not Candidates or Decline Surgical Resection: The Role of Radiation and Image-Guided Thermal Ablation
Abstract
1. Introduction
2. The Origins and Evolution of Lung SBRT
2.1. SBRT for the Inoperable Patient: Origins
2.2. SBRT for the Inoperable Patient: Landmark Data, Quality of Life, and Public Health Benefits
2.3. SBRT in the Operable Patient
2.4. Adjuvant Therapy
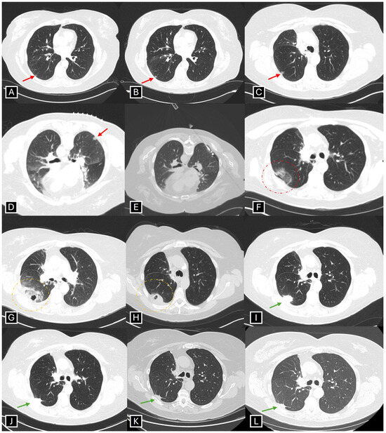
3. Image-Guided Thermal Ablation (IGTA) Procedures
3.1. Introduction
3.2. IGTA Modalities and Mechanism of Action
3.3. Indications/Patient Selection: Society Guidelines for IGTA for Early NSCLC
3.4. Technique
3.5. Safety of IGTA Procedures
3.6. Preservation of Lung Function
3.7. Comparative Assessment of IGTA Versus Surgical Resection and SBRT
3.8. IGTA: RFA Versus MWA Versus CA
3.9. Cost-Effectiveness
3.10. IGTA Conclusions
Author Contributions
Funding
Conflicts of Interest
References
- WHO. Lung Cancer: Key Facts 2023. Available online: https://www.who.int/news-room/fact-sheets/detail/lung-cancer (accessed on 17 November 2024).
- Siegel, R.L.; Giaquinto, A.N.; Jemal, A. Cancer statistics, 2024. CA Cancer J. Clin. 2024, 74, 12–49. [Google Scholar] [CrossRef] [PubMed]
- Thomas, K.W.; Gould, M.K.; Naeger, D. Overview of the Initial Evaulation, Diagnosis, and Staging of Patients with Suspected Lung Cancer. 6 September 2023. Available online: https://www.uptodate.com/contents/overview-of-the-initial-evaluation-diagnosis-and-staging-of-patients-with-suspected-lung-cancer (accessed on 17 November 2024).
- National Comprehensive Cancer Network. Non-Small Cell Lung Cancer (Version 11.2024). Available online: https://www.nccn.org/professionals/physician_gls/pdf/nscl.pdf (accessed on 17 November 2024).
- Bi, N.; Shedden, K.; Zheng, X.; Kong, F.S. Comparison of the Effectiveness of Radiofrequency Ablation With Stereotactic Body Radiation Therapy in Inoperable Stage I Non-Small Cell Lung Cancer: A Systemic Review and Pooled Analysis. Int. J. Radiat. Oncol. Biol. Phys. 2016, 95, 1378–1390. [Google Scholar] [CrossRef]
- Videtic, G.M.M. Stereotactic body radiation therapy and lung cancer. In Stereotactic Body Radiation Therapy: Lung Cancer; Lo, S.S., Teh, B.S., Lu, J.J., Schefter, T.E., Eds.; Future Medicine Ltd.: London, UK, 2013; pp. 5–19. [Google Scholar]
- Videtic, G.M.; Stephans, K.L. The role of stereotactic body radiotherapy in the management of non-small cell lung cancer: An emerging standard for the medically inoperable patient? Curr. Oncol. Rep. 2010, 12, 235–241. [Google Scholar] [CrossRef] [PubMed]
- Sibley, G.S. Radiotherapy for patients with medically inoperable Stage I nonsmall cell lung carcinoma: Smaller volumes and higher doses—A review. Cancer 1998, 82, 433–438. [Google Scholar] [CrossRef]
- Qiao, X.; Tullgren, O.; Lax, I.; Sirzen, F.; Lewensohn, R. The role of radiotherapy in treatment of stage I non-small cell lung cancer. Lung Cancer 2003, 41, 1–11. [Google Scholar] [CrossRef]
- Buchberger, D.S.; Videtic, G.M.M. Stereotactic Body Radiotherapy for the Management of Early-Stage Non-Small-Cell Lung Cancer: A Clinical Overview. JCO Oncol. Pract. 2023, 19, 239–249. [Google Scholar] [CrossRef]
- Hall, E.J.; Giaccia, A.J. Time, dose, and fractionation in radiotherapy. In Radiobiology for the Radiologist, 8th ed.; Hall, E.J., Giaccia, A.J., Eds.; Wolters Kluwer: Philadelphia, PA, USA, 2019; pp. 417–436. [Google Scholar]
- Leksell, L. The stereotaxic method and radiosurgery of the brain. Acta Chir. Scand. 1951, 102, 316–319. [Google Scholar]
- Lax, I.; Blomgren, H.; Naslund, I.; Svanstrom, R. Stereotactic radiotherapy of malignancies in the abdomen. Methodological aspects. Acta Oncol. 1994, 33, 677–683. [Google Scholar] [CrossRef]
- Blomgren, H.; Lax, I.; Naslund, I.; Svanstrom, R. Stereotactic high dose fraction radiation therapy of extracranial tumors using an accelerator. Clinical experience of the first thirty-one patients. Acta Oncol. 1995, 34, 861–870. [Google Scholar] [CrossRef]
- Uematsu, M.; Shioda, A.; Tahara, K.; Fukui, T.; Yamamoto, F.; Tsumatori, G.; Ozeki, Y.; Aoki, T.; Watanabe, M.; Kusano, S. Focal, high dose, and fractionated modified stereotactic radiation therapy for lung carcinoma patients: A preliminary experience. Cancer 1998, 82, 1062–1070. [Google Scholar] [CrossRef]
- Videtic, G.M.; Hu, C.; Singh, A.K.; Chang, J.Y.; Parker, W.; Olivier, K.R.; Schild, S.E.; Komaki, R.; Urbanic, J.J.; Timmerman, R.D.; et al. A Randomized Phase 2 Study Comparing 2 Stereotactic Body Radiation Therapy Schedules for Medically Inoperable Patients With Stage I Peripheral Non-Small Cell Lung Cancer: NRG Oncology RTOG 0915 (NCCTG N0927). Int. J. Radiat. Oncol. Biol. Phys. 2015, 93, 757–764. [Google Scholar] [CrossRef] [PubMed]
- Videtic, G.M.; Paulus, R.; Singh, A.K.; Chang, J.Y.; Parker, W.; Olivier, K.R.; Timmerman, R.D.; Komaki, R.R.; Urbanic, J.J.; Stephans, K.L.; et al. Long-term Follow-up on NRG Oncology RTOG 0915 (NCCTG N0927): A Randomized Phase 2 Study Comparing 2 Stereotactic Body Radiation Therapy Schedules for Medically Inoperable Patients With Stage I Peripheral Non-Small Cell Lung Cancer. Int. J. Radiat. Oncol. Biol. Phys. 2019, 103, 1077–1084. [Google Scholar] [CrossRef] [PubMed]
- Videtic, G.M.; Stephans, K.L.; Woody, N.M.; Reddy, C.A.; Zhuang, T.; Magnelli, A.; Djemil, T. 30 Gy or 34 Gy? Comparing 2 single-fraction SBRT dose schedules for stage I medically inoperable non-small cell lung cancer. Int. J. Radiat. Oncol. Biol. Phys. 2014, 90, 203–208. [Google Scholar] [CrossRef] [PubMed]
- Videtic, G.M.M.; Donington, J.; Giuliani, M.; Reddy, C.A.; Zhuang, T.; Magnelli, A.; Djemil, T. Stereotactic body radiation therapy for early-stage non-small cell lung cancer: Executive Summary of an ASTRO Evidence-Based Guideline. Pract. Radiat. Oncol. 2017, 7, 295–301. [Google Scholar] [CrossRef]
- Videtic, G.M.M.; Reddy, C.A.; Woody, N.M.; Stephans, K.L. Ten-Year Experience in Implementing Single-Fraction Lung SBRT for Medically Inoperable Early-Stage Lung Cancer. Int. J. Radiat. Oncol. Biol. Phys. 2021, 111, 436–442. [Google Scholar] [CrossRef]
- Woody, N.M.; Stephans, K.L.; Marwaha, G.; Djemil, T.; Videtic, G.M. Stereotactic Body Radiation Therapy for Non-Small Cell Lung Cancer Tumors Greater Than 5 cm: Safety and Efficacy. Int. J. Radiat. Oncol. Biol. Phys. 2015, 92, 325–331. [Google Scholar] [CrossRef]
- Onishi, H.; Araki, T.; Shirato, H.; Nagata, Y.; Hiraoka, M.; Gomi, K.; Yamashita, T.; Niibe, Y.; Karasawa, K.; Hayakawa, K.; et al. Stereotactic hypofractionated high-dose irradiation for stage I nonsmall cell lung carcinoma: Clinical outcomes in 245 subjects in a Japanese multiinstitutional study. Cancer 2004, 101, 1623–1631. [Google Scholar] [CrossRef]
- Onishi, H.; Shirato, H.; Nagata, Y.; Hiraoka, M.; Fujino, M.; Gomi, K.; Niibe, Y.; Karasawa, K.; Hayakawa, K.; Takai, Y.; et al. Hypofractionated stereotactic radiotherapy (HypoFXSRT) for stage I non-small cell lung cancer: Updated results of 257 patients in a Japanese multi-institutional study. J. Thorac. Oncol. 2007, 2 (Suppl. S3), S94–S100. [Google Scholar] [CrossRef]
- Bezjak, A.; Paulus, R.; Gaspar, L.E.; Timmerman, R.D.; Straube, W.L.; Ryan, W.F.; Garces, Y.I.; Pu, A.T.; Singh, A.K.; Videtic, G.M.; et al. Safety and Efficacy of a Five-Fraction Stereotactic Body Radiotherapy Schedule for Centrally Located Non-Small-Cell Lung Cancer: NRG Oncology/RTOG 0813 Trial. J. Clin. Oncol. 2019, 37, 1316–1325. [Google Scholar] [CrossRef]
- Timmerman, R.; Papiez, L.; McGarry, R.; Likes, L.; DesRosiers, C.; Frost, S.; Williams, M. Extracranial stereotactic radioablation: Results of a phase I study in medically inoperable stage I non-small cell lung cancer. Chest 2003, 124, 1946–1955. [Google Scholar] [CrossRef]
- Timmerman, R.; Paulus, R.; Galvin, J.; Michalski, J.; Straube, W.; Bradley, J.; Fakiris, A.; Bezjak, A.; Videtic, G.; Johnstone, D.; et al. Stereotactic body radiation therapy for inoperable early stage lung cancer. JAMA 2010, 303, 1070–1076. [Google Scholar] [CrossRef] [PubMed]
- Timmerman, R.D.; Hu, C.; Michalski, J.M.; Bradley, J.C.; Galvin, J.; Johnstone, D.W.; Choy, H. Long-term Results of Stereotactic Body Radiation Therapy in Medically Inoperable Stage I Non-Small Cell Lung Cancer. JAMA Oncol. 2018, 4, 1287–1288. [Google Scholar] [CrossRef] [PubMed]
- Timmerman, R.D.; Paulus, R.; Pass, H.I.; Gore, E.M.; Edelman, M.J.; Galvin, J.; Straube, W.L.; Nedzi, L.A.; McGarry, R.C.; Robinson, C.G.; et al. Stereotactic Body Radiation Therapy for Operable Early-Stage Lung Cancer: Findings From the NRG Oncology RTOG 0618 Trial. JAMA Oncol. 2018, 4, 1263–1266. [Google Scholar] [CrossRef] [PubMed]
- Sittenfeld, S.M.C.; Juloori, A.; Reddy, C.A.; Stephans, K.L.; Videtic, G.M.M. Salvage Stereotactic Body Radiation Therapy for Isolated Local Recurrence After Primary Surgical Resection of Non-small-cell Lung Cancer. Clin. Lung Cancer 2021, 22, e360–e365. [Google Scholar] [CrossRef]
- Nyman, J.; Hallqvist, A.; Lund, J.A.; Brustugun, O.T.; Bergman, B.; Bergström, P.; Friesland, S.; Lewensohn, R.; Holmberg, E.; Lax, I. SPACE—A randomized study of SBRT vs conventional fractionated radiotherapy in medically inoperable stage I NSCLC. Radiother. Oncol. 2016, 121, 1–8. [Google Scholar] [CrossRef]
- Ball, D.; Mai, G.T.; Vinod, S.; Babington, S.; Ruben, J.; Kron, T.; Chesson, B.; Herschtal, A.; Vanevski, M.; Rezo, A.; et al. Stereotactic ablative radiotherapy versus standard radiotherapy in stage 1 non-small-cell lung cancer (TROG 09.02 CHISEL): A phase 3, open-label, randomised controlled trial. Lancet Oncol. 2019, 20, 494–503. [Google Scholar] [CrossRef]
- Swaminath, A.; Ritter, T.; Louie, A.V.; Palma, D.A.; Guckenberger, M.; Senan, S.; Bezjak, A.; Moghanaki, D. Performing SBRT in the Fly-With-Caution Zone: Are We Heeding the Advice of Daedalus? Int. J. Radiat. Oncol. Biol. Phys. 2022, 112, 586–589. [Google Scholar] [CrossRef]
- McGarry, R.C.; Papiez, L.; Williams, M.; Whitford, T.; Timmerman, R.D. Stereotactic body radiation therapy of early-stage non-small-cell lung carcinoma: Phase I study. Int. J. Radiat. Oncol. Biol. Phys. 2005, 63, 1010–1015. [Google Scholar] [CrossRef]
- Fakiris, A.J.; McGarry, R.C.; Yiannoutsos, C.T.; Papiez, L.; Williams, M.; Henderson, M.A.; Timmerman, R. Stereotactic body radiation therapy for early-stage non-small-cell lung carcinoma: Four-year results of a prospective phase II study. Int. J. Radiat. Oncol. Biol. Phys. 2009, 75, 677–682. [Google Scholar] [CrossRef]
- Singh, A.K.; Gomez-Suescun, J.A.; Stephans, K.L.; Bogart, J.A.; Hermann, G.M.; Tian, L.; Groman, A.; Videtic, G.M. One Versus Three Fractions of Stereotactic Body Radiation Therapy for Peripheral Stage I to II Non-Small Cell Lung Cancer: A Randomized, Multi-Institution, Phase 2 Trial. Int. J. Radiat. Oncol. Biol. Phys. 2019, 105, 752–759. [Google Scholar] [CrossRef]
- Owen, D.; Sio, T.T. Stereotactic body radiotherapy (SBRT) for central and ultracentral node-negative lung tumors. J. Thorac. Dis. 2020, 12, 7024–7031. [Google Scholar] [CrossRef] [PubMed]
- Roach, M.C.; Robinson, C.G.; DeWees, T.A.; Ganachaud, J.; Przybysz, D.; Drzymala, R.; Rehman, S.; Kashani, R.; Bradley, J.D. Stereotactic Body Radiation Therapy for Central Early-Stage NSCLC: Results of a Prospective Phase I/II Trial. J. Thorac. Oncol. 2018, 13, 1727–1732. [Google Scholar] [CrossRef] [PubMed]
- Hearn, J.W.; Videtic, G.M.; Djemil, T.; Stephans, K.L. Salvage stereotactic body radiation therapy (SBRT) for local failure after primary lung SBRT. Int. J. Radiat. Oncol. Biol. Phys. 2014, 90, 402–406. [Google Scholar] [CrossRef] [PubMed]
- Manyam, B.V.; Videtic, G.M.M.; Verdecchia, K.; Reddy, C.A.; Woody, N.M.; Stephans, K.L. Effect of Tumor Location and Dosimetric Predictors for Chest Wall Toxicity in Single-Fraction Stereotactic Body Radiation Therapy for Stage I Non-Small Cell Lung Cancer. Pract. Radiat. Oncol. 2019, 9, e187–e195. [Google Scholar] [CrossRef] [PubMed]
- Palma, D.; Visser, O.; Lagerwaard, F.J.; Belderbos, J.; Slotman, B.J.; Senan, S. Impact of introducing stereotactic lung radiotherapy for elderly patients with stage I non-small-cell lung cancer: A population-based time-trend analysis. J. Clin. Oncol. 2010, 28, 5153–5159. [Google Scholar] [CrossRef]
- Ng, S.S.W.; Ning, M.S.; Lee, P.; McMahon, R.A.; Siva, S.; Chuong, M.D. Single-Fraction Stereotactic Body Radiation Therapy: A Paradigm During the Coronavirus Disease 2019 (COVID-19) Pandemic and Beyond? Adv. Radiat. Oncol. 2020, 5, 761–773. [Google Scholar] [CrossRef]
- Timmerman, R.; McGarry, R.; Yiannoutsos, C.; Papiez, L.; Tudor, K.; DeLuca, J.; Ewing, M.; Abdulrahman, R.; DesRosiers, C.; Williams, M.; et al. Excessive toxicity when treating central tumors in a phase II study of stereotactic body radiation therapy for medically inoperable early-stage lung cancer. J. Clin. Oncol. 2006, 24, 4833–4839. [Google Scholar] [CrossRef]
- Giuliani, M.E.; Filion, E.; Faria, S.; Kundapur, V.; Toni Vu, T.T.T.; Lok, B.H.; Raman, S.; Bahig, H.; Laba, J.M.; Lang, P.; et al. Stereotactic Radiation for Ultra-Central Non-Small Cell Lung Cancer: A Safety and Efficacy Trial (SUNSET). Int. J. Radiat. Oncol. Biol. Phys. 2024, 120, 669–677. [Google Scholar] [CrossRef]
- Swaminath, A.; Parpia, S.; Wierzbicki, M.; Kundapur, V.; Faria, S.; Okawara, G.S.; Tsakiridis, T.K.; Ahmed, N.; Bujold, A.; Hirmiz, K.; et al. Stereotactic vs Hypofractionated Radiotherapy for Inoperable Stage I Non-Small Cell Lung Cancer: The LUSTRE Phase 3 Randomized Clinical Trial. JAMA Oncol. 2024, 10, 1571–1575. [Google Scholar] [CrossRef]
- Tekatli, H.; Haasbeek, N.; Dahele, M.; De Haan, P.; Verbakel, W.; Bongers, E.; Hashemi, S.; Nossent, E.; Spoelstra, F.; de Langen, A.J.; et al. Outcomes of Hypofractionated High-Dose Radiotherapy in Poor-Risk Patients with “Ultracentral” Non-Small Cell Lung Cancer. J. Thorac. Oncol. 2016, 11, 1081–1089. [Google Scholar] [CrossRef]
- Lindberg, K.; Grozman, V.; Karlsson, K.; Lindberg, S.; Lax, I.; Wersäll, P.; Persson, G.F.; Josipovic, M.; Khalil, A.A.; Moeller, D.S.; et al. The HILUS-Trial-a Prospective Nordic Multicenter Phase 2 Study of Ultracentral Lung Tumors Treated With Stereotactic Body Radiotherapy. J. Thorac. Oncol. 2021, 16, 1200–1210. [Google Scholar] [CrossRef] [PubMed]
- Chang, J.H.; Poon, I.; Erler, D.; Zhang, L.; Cheung, P. The safety and effectiveness of stereotactic body radiotherapy for central versus ultracentral lung tumors. Radiother. Oncol. 2018, 129, 277–283. [Google Scholar] [CrossRef] [PubMed]
- Chang, J.Y.; Li, Q.Q.; Xu, Q.Y.; Allen, P.K.; Rebueno, N.; Gomez, D.R.; Balter, P.; Komaki, R.; Mehran, R.; Swisher, S.G.; et al. Stereotactic ablative radiation therapy for centrally located early stage or isolated parenchymal recurrences of non-small cell lung cancer: How to fly in a “no fly zone”. Int. J. Radiat. Oncol. Biol. Phys. 2014, 88, 1120–1128. [Google Scholar] [CrossRef] [PubMed]
- Cong, Y.; Sun, B.; Wang, J.; Meng, X.; Xuan, L.; Zhang, J.; Liu, J.; Shen, G.; Wu, S. Outcomes and toxicity of stereotactic body radiation therapy for advanced stage ultra-central non-small cell lung cancer. Thorac. Cancer 2019, 10, 1567–1575. [Google Scholar] [CrossRef]
- Rosenberg, S.A.; Mak, R.; Kotecha, R.; Loo, B.W., Jr.; Senan, S. The Nordic-HILUS Trial: Ultracentral Lung Stereotactic Ablative Radiotherapy and a Narrow Therapeutic Window. J. Thorac. Oncol. 2021, 16, e79–e80. [Google Scholar] [CrossRef]
- Videtic, G.M.; Reddy, C.A.; Sorenson, L. A prospective study of quality of life including fatigue and pulmonary function after stereotactic body radiotherapy for medically inoperable early-stage lung cancer. Support. Care Cancer 2013, 21, 211–218. [Google Scholar] [CrossRef]
- Chen, H.; Louie, A.V.; Boldt, R.G.; Rodrigues, G.B.; Palma, D.A.; Senan, S. Quality of Life After Stereotactic Ablative Radiotherapy for Early-Stage Lung Cancer: A Systematic Review. Clin. Lung Cancer 2016, 17, e141–e149. [Google Scholar] [CrossRef]
- Adebahr, S.; Hechtner, M.; Schrader, N.; Schimek-Jasch, T.; Kaier, K.; Duncker-Rohr, V.; Gkika, E.; Momm, F.; Gaertner, J.; Becker, G.; et al. Early Impact of Pulmonary Fractionated Stereotactic Body Radiotherapy on Quality of Life:Benefit for Patients With Low Initial Scores (STRIPE Trial). J. Thorac. Oncol. 2019, 14, 408–419. [Google Scholar] [CrossRef]
- Sher, D.J.; Wee, J.O.; Punglia, R.S. Cost-effectiveness analysis of stereotactic body radiotherapy and radiofrequency ablation for medically inoperable, early-stage non-small cell lung cancer. Int. J. Radiat. Oncol. Biol. Phys. 2011, 81, e767–e774. [Google Scholar] [CrossRef]
- Verma, V.; Simone, C.B., 2nd. Approaches to stereotactic body radiation therapy for large (>/=5 centimeter) non-small cell lung cancer. Transl. Lung Cancer Res. 2019, 8, 70–77. [Google Scholar] [CrossRef]
- Woody, N.M.; Stephans, K.L.; Andrews, M.; Zhuang, T.; Gopal, P.; Xia, P.; Farver, C.F.; Raymond, D.P.; Peacock, C.D.; Cicenia, J.; et al. A Histologic Basis for the Efficacy of SBRT to the lung. J. Thorac. Oncol. 2017, 12, 510–519. [Google Scholar] [CrossRef] [PubMed]
- Allen, A.J.; Labella, D.A.; Kowalchuk, R.O.; Waters, M.R.; Kersh, C.R. Effect of histology on stereotactic body radiotherapy for non-small cell lung cancer oligometastatic pulmonary lesions. Transl. Lung Cancer Res. 2023, 12, 66–78. [Google Scholar] [CrossRef] [PubMed]
- Chang, J.Y.; Senan, S.; Paul, M.A.; Mehran, R.J.; Louie, A.V.; Balter, P.; Groen, H.J.; McRae, S.E.; Widder, J.; Feng, L.; et al. Stereotactic ablative radiotherapy versus lobectomy for operable stage I non-small-cell lung cancer: A pooled analysis of two randomised trials. Lancet Oncol. 2015, 16, 630–637. [Google Scholar] [CrossRef] [PubMed]
- Chang, J.Y.; Mehran, R.J.; Feng, L.; Verma, V.; Liao, Z.; Welsh, J.W.; Lin, S.H.; O’Reilly, M.S.; Jeter, M.D.; Balter, P.A.; et al. Stereotactic ablative radiotherapy for operable stage I non-small-cell lung cancer (revised STARS): Long-term results of a single-arm, prospective trial with prespecified comparison to surgery. Lancet Oncol. 2021, 22, 1448–1457. [Google Scholar] [CrossRef] [PubMed]
- Sublobar Resection or Stereotactic Ablative Radiotherapy in Treating Patients with Stage I Non-Small Cell Lung Cancer, the STABLE-MATES Trial. Available online: https://www.cancer.gov/about-cancer/treatment/clinical-trials/search/v?id5NCI-2015-01676&r51 (accessed on 17 November 2024).
- Veterans Affairs Lung Cancer Surgery or Stereotactic Radiotherapy (VALOR). Available online: https://clinicaltrials.gov/ct2/show/NCT02984761 (accessed on 17 November 2024).
- Surgery Versus Stereotactic Body Radiation Therapy for Stage I Non-Small Cell Lung Cancer (SORT). Available online: https://clinicaltrials.gov/study/NCT05183932?term=SORT%20lung%20SBRT&rank=1 (accessed on 17 November 2024).
- Senthi, S.; Lagerwaard, F.J.; Haasbeek, C.J.; Slotman, B.J.; Senan, S. Patterns of disease recurrence after stereotactic ablative radiotherapy for early stage non-small-cell lung cancer: A retrospective analysis. Lancet Oncol. 2012, 13, 802–809. [Google Scholar] [CrossRef]
- Bradley, J.D.; El Naqa, I.; Drzymala, R.E.; Trovo, M.; Jones, G.; Denning, M.D. Stereotactic body radiation therapy for early-stage non-small-cell lung cancer: The pattern of failure is distant. Int. J. Radiat. Oncol. Biol. Phys. 2010, 77, 1146–1150. [Google Scholar] [CrossRef]
- Lin, A.J.; Roach, M.; Bradley, J.; Robinson, C. Combining stereotactic body radiation therapy with immunotherapy: Current data and future directions. Transl. Lung Cancer Res. 2019, 8, 107–115. [Google Scholar] [CrossRef]
- Citrin, D.E. Recent Developments in Radiotherapy. N. Engl. J. Med. 2017, 377, 1065–1075. [Google Scholar] [CrossRef]
- Chandra, R.A.; Keane, F.K.; Voncken, F.E.M.; Thomas, C.R., Jr. Contemporary radiotherapy: Present and future. Lancet 2021, 398, 171–184. [Google Scholar] [CrossRef]
- Shaverdian, N.; Lisberg, A.E.; Bornazyan, K.; Veruttipong, D.; Goldman, J.W.; Formenti, S.C.; Garon, E.B.; Lee, P. Previous radiotherapy and the clinical activity and toxicity of pembrolizumab in the treatment of non-small-cell lung cancer: A secondary analysis of the KEYNOTE-001 phase 1 trial. Lancet Oncol. 2017, 18, 895–903. [Google Scholar] [CrossRef]
- Hwang, W.L.; Niemierko, A.; Hwang, K.L.; Hubbeling, H.; Schapira, E.; Gainor, J.F.; Keanem, F.K. Clinical Outcomes in Patients With Metastatic Lung Cancer Treated With PD-1/PD-L1 Inhibitors and Thoracic Radiotherapy. JAMA Oncol. 2018, 4, 253–255. [Google Scholar] [CrossRef] [PubMed]
- Theelen, W.; Peulen, H.M.U.; Lalezari, F.; van der Noort, V.; de Vries, J.F.; Aerts, J.G.J.V.; Dumoulin, D.W.; Bahce, I.; Niemeijer, A.N.; de Langen, A.J.; et al. Effect of Pembrolizumab After Stereotactic Body Radiotherapy vs Pembrolizumab Alone on Tumor Response in Patients with Advanced Non-Small Cell Lung Cancer: Results of the PEMBRO-RT Phase 2 Randomized Clinical Trial. JAMA Oncol. 2019, 5, 1276–1282. [Google Scholar] [CrossRef] [PubMed]
- Theelen, W.; Chen, D.; Verma, V.; Hobbs, B.P.; Peulen, H.M.U.; Aerts, J.G.J.V.; Bahce, I.; Niemeijer, A.L.N.; Chang, J.Y.; de Groot, P.M.; et al. Pembrolizumab with or without radiotherapy for metastatic non-small-cell lung cancer: A pooled analysis of two randomised trials. Lancet Respir. Med. 2021, 9, 467–475. [Google Scholar] [CrossRef] [PubMed]
- Welsh, J.; Menon, H.; Chen, D.; Ma, V.; Tang, C.; Altan, M.; Hess, K.; de Groot, P.; Nguyen, Q.N.; Varghese, R.; et al. Pembrolizumab with or without radiation therapy for metastatic non-small cell lung cancer: A randomized phase I/II trial. J. Immunother. Cancer 2020, 8, e001001. [Google Scholar] [CrossRef]
- Antonia, S.J.; Villegas, A.; Daniel, D.; Vicente, D.; Murakami, S.; Hui, R.; Yokoi, T.; Chiappori, A.; Lee, K.H.; de Wit, M.; et al. Durvalumab after Chemoradiotherapy in Stage III Non-Small-Cell Lung Cancer. N. Engl. J. Med. 2017, 377, 1919–1929. [Google Scholar] [CrossRef]
- Chang, J.Y.; Lin, S.H.; Dong, W.; Liao, Z.; Gandhi, S.J.; Gay, C.M.; Zhang, J.; Chun, S.G.; Elamin, Y.Y.; Fossella, F.V.; et al. Stereotactic ablative radiotherapy with or without immunotherapy for early-stage or isolated lung parenchymal recurrent node-negative non-small-cell lung cancer: An open-label, randomised, phase 2 trial. Lancet 2023, 402, 871–881. [Google Scholar] [CrossRef]
- Durvalumab vs. Placebo with Stereotactic Body Radiation Therapy in Early Stage Unresected Non-Small Cell Lung Cancer (NSCLC) Patients/Osimertinib Following SBRT in Patients with Early Stage Unresected NSCLC Harboring an EGFR Mutation (PACIFIC-4). Available online: http://clinicaltrials.gov/ct2/show/NCT03833154 (accessed on 17 November 2024).
- Efficacy and Safety Study of Stereotactic Body Radiotherapy (SBRT) with or Without Pembrolizumab (MK-3475) in Adults with Unresected Stage I or II Non-Small Cell Lung Cancer (NSCLC) (MK-3475-867/KEYNOTE-867). Available online: https://clinicaltrials.gov/ct2/show/NCT03924869 (accessed on 17 November 2024).
- Dupuy, D.E.; Zuromski, J.; Pennathur, A. Ablation for treating small pulmonary nodules: Radiologic and surgical approach and perspectives. Curr. Chall. Thorac. Surg. 2022, 4. Available online: https://ccts.amegroups.org/article/view/69617/pdf (accessed on 15 December 2024). [CrossRef]
- Mansur, A.; Garg, T.; Camacho, J.C.; Habibollahi, P.; Edward Boas, F.; Khorshidi, F.; Buethe, J.; Nezami, N. Image-Guided Percutaneous and Transarterial Therapies for Primary and Metastatic Lung Cancer. Technol. Cancer Res. Treat. 2023, 22, 15330338231164193. [Google Scholar] [CrossRef]
- Li, C.; Wang, H.; Jiang, Y.; Fu, W.; Liu, X.; Zhong, R.; Cheng, B.; Zhu, F.; Xiang, Y.; He, J.; et al. Advances in lung cancer screening and early detection. Cancer Biol. Med. 2022, 19, 591–608. [Google Scholar] [CrossRef]
- Palussiere, J.; Catena, V.; Buy, X. Percutaneous thermal ablation of lung tumors—Radiofrequency, microwave and cryotherapy: Where are we going? Diagn. Interv. Imaging 2017, 98, 619–625. [Google Scholar] [CrossRef]
- Paez-Carpio, A.; Gomez, F.M.; Isus Olive, G.; Paredes, P.; Baetens, T.; Carrero, E.; Sánchez, M.; Vollmer, I. Image-guided percutaneous ablation for the treatment of lung malignancies: Current state of the art. Insights Imaging 2021, 12, 57. [Google Scholar] [CrossRef] [PubMed]
- Fish, A.G.; Madoff, D.C. An Interventional Radiologist’s Guide to Lung Cancer. Semin. Intervent. Radiol. 2024, 41, 121–128. [Google Scholar] [CrossRef] [PubMed]
- Hong, K.; Georgiades, C. Radiofrequency ablation: Mechanism of action and devices. J. Vasc. Interv. Radiol. 2010, 21 (Suppl. S8), S179–S186. [Google Scholar] [CrossRef]
- Wright, A.S.; Sampson, L.A.; Warner, T.F.; Mahvi, D.M.; Lee, F.T., Jr. Radiofrequency versus microwave ablation in a hepatic porcine model. Radiology 2005, 236, 132–139. [Google Scholar] [CrossRef] [PubMed]
- Tafti, B.A.; Genshaft, S.; Suh, R.; Abtin, F. Lung Ablation: Indications and Techniques. Semin. Intervent. Radiol. 2019, 36, 163–175. [Google Scholar] [CrossRef] [PubMed]
- Smith, S.L.; Jennings, P.E. Lung radiofrequency and microwave ablation: A review of indications, techniques and post-procedural imaging appearances. Br. J. Radiol. 2015, 88, 20140598. [Google Scholar] [CrossRef]
- Mansur, A.; Garg, T.; Shrigiriwar, A.; Etezadi, V.; Georgiades, C.; Habibollahi, P.; Huber, T.C.; Camacho, J.C.; Nour, S.G.; Sag, A.A.; et al. Image-Guided Percutaneous Ablation for Primary and Metastatic Tumors. Diagnostics 2022, 12, 1300. [Google Scholar] [CrossRef]
- Lubner, M.G.; Brace, C.L.; Hinshaw, J.L.; Lee, F.T., Jr. Microwave tumor ablation: Mechanism of action, clinical results, and devices. J. Vasc. Interv. Radiol. 2010, 21 (Suppl. S8), S192–S203. [Google Scholar] [CrossRef]
- Sun, Y.; Wang, Y.; Ni, X.; Xu, H.R.; Wu, H.Y.; Zhai, H.Z.; Lu, C.Y.; Zhao, X.; Chen, Y.Q.; Zhou, L.L.; et al. Comparison of ablation zone between 915- and 2,450-MHz cooled-shaft microwave antenna: Results in in vivo porcine livers. AJR Am. J. Roentgenol. 2009, 192, 511–514. [Google Scholar] [CrossRef]
- Gage, A.A.; Baust, J. Mechanisms of tissue injury in cryosurgery. Cryobiology 1998, 37, 171–186. [Google Scholar] [CrossRef]
- Rubinsky, B.; Lee, C.Y.; Bastacky, J.; Onik, G. The process of freezing and the mechanism of damage during hepatic cryosurgery. Cryobiology 1990, 27, 85–97. [Google Scholar] [CrossRef] [PubMed]
- Aarts, B.M.; Klompenhouwer, E.G.; Rice, S.L.; Imani, F.; Baetens, T.; Bex, A.; Horenblas, S.; Kok, M.; Haanen, J.B.A.G.; Beets-Tan, R.G.H.; et al. Cryoablation and immunotherapy: An overview of evidence on its synergy. Insights Imaging 2019, 10, 53. [Google Scholar] [CrossRef] [PubMed]
- Genshaft, S.J.; Suh, R.D.; Abtin, F.; Baerlocher, M.O.; Chang, A.J.; Dariushnia, S.R.; Devane, A.M.; Faintuch, S.; Himes, E.A.; Lisberg, A.; et al. Society of Interventional Radiology Multidisciplinary Position Statement on Percutaneous Ablation of Non-small Cell Lung Cancer and Metastatic Disease to the Lungs: Endorsed by the Canadian Association for Interventional Radiology, the Cardiovascular and Interventional Radiological Society of Europe, and the Society of Interventional Oncology. J. Vasc. Interv. Radiol. 2021, 32, 1241.e1–1241.e12. [Google Scholar] [CrossRef] [PubMed]
- Ettinger, D.S.; Wood, D.E.; Aisner, D.L.; Akerley, W.; Bauman, J.R.; Bharat, A.; Bruno, D.S.; Chang, J.Y.; Chirieac, L.R.; D’amico, T.A.; et al. Non-Small Cell Lung Cancer, Version 3.2022, NCCN Clinical Practice Guidelines in Oncology. J. Natl. Compr. Canc. Netw. 2022, 20, 497–530. [Google Scholar] [CrossRef]
- Sun, Y.; Zhang, H.; Liu, J.; Xu, H.; Wu, H.; Zhai, H.; Lu, C.; Zhao, X.; Chen, Y.; Zhou, L.; et al. Efficacy of radiofrequency ablation and microwave ablation in the treatment of thoracic cancer: A systematic review and meta-analysis. Thorac. Cancer 2019, 10, 543–550. [Google Scholar] [CrossRef]
- Yuan, Z.; Wang, Y.; Zhang, J.; Zheng, J.; Li, W. A Meta-Analysis of Clinical Outcomes After Radiofrequency Ablation and Microwave Ablation for Lung Cancer and Pulmonary Metastases. J. Am. Coll. Radiol. 2019, 16, 302–314. [Google Scholar] [CrossRef]
- Jiang, B.; McClure, M.A.; Chen, T.; Chen, S. Efficacy and safety of thermal ablation of lung malignancies: A Network meta-analysis. Ann. Thorac. Med. 2018, 13, 243–250. [Google Scholar] [CrossRef]
- De Baere, T.; Auperin, A.; Deschamps, F.; Chevallier, P.; Gaubert, Y.; Boige, V. Radiofrequency ablation is a valid treatment option for lung metastases: Experience in 566 patients with 1037 metastases. Ann. Oncol. 2015, 26, 987–991. [Google Scholar] [CrossRef]
- Welch, B.T.; Brinjikji, W.; Schmit, G.D.; Callstrom, M.R.; Kurup, A.N.; Cloft, H.J.; Woodrum, D.A.; Nichols, F.C.; Atwell, T.D. A national analysis of the complications, cost, and mortality of percutaneous lung ablation. J. Vasc. Interv. Radiol. 2015, 26, 787–791. [Google Scholar] [CrossRef]
- Li, G.; Xue, M.; Chen, W.; Yi, S. Efficacy and safety of radiofrequency ablation for lung cancers: A systematic review and meta-analysis. Eur. J. Radiol. 2018, 100, 92–98. [Google Scholar] [CrossRef]
- Kashima, M.; Yamakado, K.; Takaki, H.; Kodama, H.; Yamada, T.; Uraki, J.; Nakatsuka, A. Complications after 1000 lung radiofrequency ablation sessions in 420 patients: A single center’s experiences. AJR Am. J. Roentgenol. 2011, 197, W576–W580. [Google Scholar] [CrossRef] [PubMed]
- Xu, Z.; Wang, X.; Ke, H.; Lyu, G. Cryoablation is superior to radiofrequency ablation for the treatment of non-small cell lung cancer: A meta-analysis. Cryobiology 2023, 112, 104560. [Google Scholar] [CrossRef] [PubMed]
- Dupuy, D.E.; DiPetrillo, T.; Gandhi, S.; Ready, N.; Ng, T.; Donat, W.; Mayo-Smith, W.W. Radiofrequency ablation followed by conventional radiotherapy for medically inoperable stage I non-small cell lung cancer. Chest 2006, 129, 738–745. [Google Scholar] [CrossRef]
- Lencioni, R.; Crocetti, L.; Cioni, R.; Suh, R.; Glenn, D.; Regge, D.; Helmberger, T.; Gillams, A.R.; Frilling, A.; Ambrogi, M.; et al. Response to radiofrequency ablation of pulmonary tumours: A prospective, intention-to-treat, multicentre clinical trial (the RAPTURE study). Lancet Oncol. 2008, 9, 621–628. [Google Scholar] [CrossRef] [PubMed]
- Dupuy, D.E.; Fernando, H.C.; Hillman, S.; Ng, T.; Tan, A.D.; Sharma, A.; Rilling, W.S.; Hong, K.; Putnam, J.B. Radiofrequency ablation of stage IA non-small cell lung cancer in medically inoperable patients: Results from the American College of Surgeons Oncology Group Z4033 (Alliance) trial. Cancer 2015, 121, 3491–3498. [Google Scholar] [CrossRef]
- Kwan, S.W.; Mortell, K.E.; Hippe, D.S.; Brunner, M.C. An economic analysis of sublobar resection versus thermal ablation for early-stage non-small-cell lung cancer. J. Vasc. Interv. Radiol. 2014, 25, 1558–1564, quiz 1565. [Google Scholar] [CrossRef]
- Ambrogi, M.C.; Fanucchi, O.; Cioni, R.; Dini, P.; De Liperi, A.; Cappelli, C.; Davini, F.; Bartolozzi, C.; Mussi, A. Long-term results of radiofrequency ablation treatment of stage I non-small cell lung cancer: A prospective intention-to-treat study. J. Thorac. Oncol. 2011, 6, 2044–2051. [Google Scholar] [CrossRef]
- Palussiere, J.; Lagarde, P.; Auperin, A.; Deschamps, F.; Chomy, F.; de Baere, T. Percutaneous lung thermal ablation of non-surgical clinical N0 non-small cell lung cancer: Results of eight years’ experience in 87 patients from two centers. Cardiovasc. Interv. Radiol. 2015, 38, 160–166. [Google Scholar] [CrossRef]
- Horner-Rieber, J.; Dern, J.; Bernhardt, D.; König, L.; Adeberg, S.; Verma, V.; Paul, A.; Kappes, J.; Hoffmann, H.; Debus, J.; et al. Parenchymal and Functional Lung Changes after Stereotactic Body Radiotherapy for Early-Stage Non-Small Cell Lung Cancer-Experiences from a Single Institution. Front. Oncol. 2017, 7, 215. [Google Scholar] [CrossRef]
- Stone, B.; Mangona, V.S.; Johnson, M.D.; Ye, H.; Grills, I.S. Changes in Pulmonary Function Following Image-Guided Stereotactic Lung Radiotherapy: Neither Lower Baseline Nor Post-SBRT Pulmonary Function Are Associated with Worse Overall Survival. J. Thorac. Oncol. 2015, 10, 1762–1769. [Google Scholar] [CrossRef]
- Palma, D.A.; Bahig, H.; Hope, A.; Harrow, S.; Debenham, B.J.; Louie, A.V.; Vu, T.T.T.T.; Filion, E.; Bezjak, A.; Campeau, M.P.; et al. Stereotactic Radiation Therapy in Early Non-Small Cell Lung Cancer and Interstitial Lung Disease: A Nonrandomized Clinical Trial. JAMA Oncol. 2024, 10, 575–582. [Google Scholar] [CrossRef] [PubMed]
- Videtic, G.M.M.; Woody, N.M.; Reddy, C.A.; Stephans, K.L. Never too old: A single-institution experience of stereotactic body radiation therapy for patients 90 years and older with early stage lung cancer. Pract. Radiat. Oncol. 2017, 7, e543–e549. [Google Scholar] [CrossRef] [PubMed]
- Howington, J.A.; Blum, M.G.; Chang, A.C.; Balekian, A.A.; Murthy, S.C. Treatment of stage I and II non-small cell lung cancer: Diagnosis and management of lung cancer, 3rd ed: American College of Chest Physicians evidence-based clinical practice guidelines. Chest 2013, 143 (Suppl. S5), e278S–e313S. [Google Scholar] [CrossRef] [PubMed]
- Edge, S.B.; Compton, C.C. The American Joint Committee on Cancer: The 7th edition of the AJCC cancer staging manual and the future of TNM. Ann. Surg. Oncol. 2010, 17, 1471–1474. [Google Scholar] [CrossRef]
- Wang, Y.; Liu, B.; Cao, P.; Wang, W.; Wang, W.; Chang, H.; Li, D.; Li, X.; Zhao, X.; Li, Y. Comparison between computed tomography-guided percutaneous microwave ablation and thoracoscopic lobectomy for stage I non-small cell lung cancer. Thorac. Cancer 2018, 9, 1376–1382. [Google Scholar] [CrossRef]
- Yao, W.; Lu, M.; Fan, W.; Huang, J.; Gu, Y.; Gao, F.; Wang, Y.; Li, J.; Zhu, Z. Comparison between microwave ablation and lobectomy for stage I non-small cell lung cancer: A propensity score analysis. Int. J. Hyperthermia 2018, 34, 1329–1336. [Google Scholar] [CrossRef]
- Zemlyak, A.; Moore, W.H.; Bilfinger, T.V. Comparison of survival after sublobar resections and ablative therapies for stage I non-small cell lung cancer. J. Am. Coll. Surg. 2010, 211, 68–72. [Google Scholar] [CrossRef]
- Safi, S.; Rauch, G.; Winkel, J.O.D.; Kunz, J.; Schneider, T.; Bischof, M.; Heussel, C.P.; Huber, P.E.; Herth, F.J.; Dienemann, H.; et al. Sublobar Resection, Radiofrequency Ablation or Radiotherapy in Stage I Non-Small Cell Lung Cancer. Respiration 2015, 89, 550–557. [Google Scholar] [CrossRef]
- Lam, A.; Yoshida, E.J.; Bui, K.; Fernando, D.; Nelson, K.; Abi-Jaoudeh, N. A National Cancer Database Analysis of Radiofrequency Ablation versus Stereotactic Body Radiotherapy in Early-Stage Non-Small Cell Lung Cancer. J. Vasc. Interv. Radiol. 2018, 29, 1211–1217.e1. [Google Scholar] [CrossRef]
- Uhlig, J.; Ludwig, J.M.; Goldberg, S.B.; Chiang, A.; Blasberg, J.D.; Kim, H.S. Survival Rates after Thermal Ablation versus Stereotactic Radiation Therapy for Stage 1 Non-Small Cell Lung Cancer: A National Cancer Database Study. Radiology 2018, 289, 862–870. [Google Scholar] [CrossRef]
- Ochiai, S.; Yamakado, K.; Kodama, H.; Nomoto, Y.; Ii, N.; Takaki, H.; Sakuma, H. Comparison of therapeutic results from radiofrequency ablation and stereotactic body radiotherapy in solitary lung tumors measuring 5 cm or smaller. Int. J. Clin. Oncol. 2015, 20, 499–507. [Google Scholar] [CrossRef] [PubMed]
- Palussiere, J.; Chomy, F.; Savina, M.; Deschamps, F.; Gaubert, J.Y.; Renault, A.; Bonnefoy, O.; Laurent, F.; Meunier, C.; Bellera, C.; et al. Radiofrequency ablation of stage IA non-small cell lung cancer in patients ineligible for surgery: Results of a prospective multicenter phase II trial. J. Cardiothorac. Surg. 2018, 13, 91. [Google Scholar] [CrossRef] [PubMed]
- Huang, B.Y.; Li, X.M.; Song, X.Y.; Huang, G.; Ni, X.; Wang, J.; Han, X.; Li, W.; Wei, Z. Long-term results of CT-guided percutaneous radiofrequency ablation of inoperable patients with stage Ia non-small cell lung cancer: A retrospective cohort study. Int. J. Surg. 2018, 53, 143–150. [Google Scholar] [CrossRef] [PubMed]
- Yang, X.; Ye, X.; Zheng, A.; Huang, G.; Ni, X.; Wang, J.; Han, X.; Li, W.; Wei, Z. Percutaneous microwave ablation of stage I medically inoperable non-small cell lung cancer: Clinical evaluation of 47 cases. J. Surg. Oncol. 2014, 110, 758–763. [Google Scholar] [CrossRef] [PubMed]
- Han, X.; Yang, X.; Huang, G.; Li, C.; Zhang, L.; Qiao, Y.; Wang, C.; Dong, Y.; Chen, X.; Feng, Q.; et al. Safety and clinical outcomes of computed tomography-guided percutaneous microwave ablation in patients aged 80 years and older with early-stage non-small cell lung cancer: A multicenter retrospective study. Thorac. Cancer 2019, 10, 2236–2242. [Google Scholar] [CrossRef]
- Moore, W.; Talati, R.; Bhattacharji, P.; Bilfinger, T. Five-year survival after cryoablation of stage I non-small cell lung cancer in medically inoperable patients. J. Vasc. Interv. Radiol. 2015, 26, 312–319. [Google Scholar] [CrossRef]
- Alexander, E.S.; Machan, J.T.; Ng, T.; Breen, L.D.; DiPetrillo, T.A.; Dupuy, D.E. Cost and effectiveness of radiofrequency ablation versus limited surgical resection for stage I non-small-cell lung cancer in elderly patients: Is less more? J. Vasc. Interv. Radiol. 2013, 24, 476–482. [Google Scholar] [CrossRef]
- Mabud, T.S.; Swilling, D.; Guichet, P.; Zhu, Y.; Manduca, S.; Patel, B.; Azour, L.; Taslakian, B.; Garay, S.M.; Moore, W. Pulmonary Cryoablation Outcomes in Octogenarians and Nonagenarians with Primary Lung Cancer. J. Vasc. Interv. Radiol. 2023, 34, 2006–2011. [Google Scholar] [CrossRef]
- Mouli, S.K.; Kurilova, I.; Sofocleous, C.T.; Lewandowski, R.J. The Role of Percutaneous Image-Guided Thermal Ablation for the Treatment of Pulmonary Malignancies. AJR Am. J. Roentgenol. 2017, 209, 740–751. [Google Scholar] [CrossRef]


| Modality | MOA | Delivery | Indications | Outcomes | Toxicity | Comparisons |
|---|---|---|---|---|---|---|
| Lung SBRT | High energy XRAYs (photons) cause DNA damage leading to tumor cell death | Non-invasive No anesthesia Linear accelerator (most commonly) Patient immobilized (body mold with abdominal compression) 4D CT used to track tumor motion throughout respiratory cycle, or breath-hold techniques used to ensure accurate delivery Daily image guidance used to confirm accuracy | Inoperable early-stage NSCLC or operable patients who decline surgery Used to effectively treat peripheral, central, and ultracentral lesions Per societal guidelines, can be used for the treatment of large tumors (≥5 cm) and salvage situations (post-surgery or re-RT) Lung disease, location to hilum/vessels not absolute contraindications Also commonly used in the treatment of lung metastases | LC rates on the order of 85−98% OS benefit over conventional EBRT shown in PRT phase III setting Acceptable outcomes demonstrated in operable patients | G3/4 toxicity on the order of <10% Common toxicities: pneumonitis, esophagitis, chest wall pain G5 toxicity rare—more concerning with ultracentral tumors and mitigated with meticulous treatment planning at centers of expertise Acceptable doses, peripheral tumors: 34 Gy/1 fx, 48 Gy/4 fx, 54 Gy/3 fx Acceptable doses, central/ultracentral tumors: 50 Gy/5 fx, 60 Gy/8 fx | Bi et al., RFA vs. SBRT, Systemic Review and Pooled Analysis (IJROBP 2016) [5] 31 studies and over 3000 patients analyzed LC RFA—1 yr, 3 yr, 5 yr: 77%, 55%, 42% LC SBRT—1 yr, 3 yr, 5 yr: 97%, 88%, 86% (p < 0.001) No OS difference Most frequent RFA complication: Pneumothorax (31%) Most frequent SBRT (≥G3) complication: Pneumonitis (2%) |
| IGTA | Extreme heat or cold generated via radiofrequency waves, microwaves, Joule–Thompson effect leading to tumor cell death RFA, MWA, CA are all options | Minimally invasive Requires anesthesia/sedation Electrodes, probes and/or needles inserted in tumor under image guidance to facilitate effect | Inoperable early-stage NSCLC or operable patients who decline surgery Preferred for tumors ≤ 3 cm Absolute contraindications include emphysema with bullae, life expectancy < 3 months, ECOG > 3, non-correctable hemorrhagic diathesis Tumor location near hilum/vessels is a relative contraindication | LC rates on the order of 42–77% OS comparable to series of surgery and lung SBRT | Major complication rates: 4.6% to 30.0% Most common complication: Pneumothorax (~30%) Other complications: Hemorrhage, effusion, infection, fistula |
| Year of Publication | Reference | Design | No. of Patients | Population | Histology | Dose | Outcomes | Toxicity | Notes |
|---|---|---|---|---|---|---|---|---|---|
| 2010 2018 | RTOG #0236 [26,27] | Phase II | 55 | T1, T2 N0M0 Medically inoperable Peripheral lung tumors | SCC: 31% Adeno: 35% Large cell: 5% NSCLC, NOS: 29% | 54 Gy in 3 fractions | LC, 3 yr: 97.6% LC, 5 yr: 92.7% OS, 3 yr: 55.8% OS, 5 yr: 40.0% | G3/4, 3 yr: 16.4% G3/4, 5 yr: 30.9% | First North American multi-institutional phase II study for lung SBRT in early-stage NSCLC |
| 2015 2019 | RTOG #0915 [16,17] | Phase II | 84 | T1, T2 N0M0 Medically inoperable Peripheral lung tumors | SCC: 29.8% Adeno: 58.3% NSCLC, NOS: 11.9% | 34 Gy in 1 fraction 48 Gy in 4 fractions | 34 Gy, LC, 1 yr: 97.0% 48 Gy, LC, 1 yr: 92.7% 34 Gy, LC, 5 yr: 89.4% 48 Gy, LC, 5 yr: 93.2% 34 Gy, OS, 5 yr: 29.6% 48 Gy, OS, 5 yr: 41.1% | 34 Gy, G3 or higher, 1 yr: 10.3% 48 Gy, G3 or higher, 1 yr: 13.3% 34 Gy, G3 or higher, 5 yr: 2.6% 48 Gy, G3 or higher, 5 yr: 11.1% | Established the validity of single-fraction SBRT for the treatment of peripheral lung tumors |
| 2018 | RTOG #0618 [28] | Phase II | 26 | T, T2 N0M0 Medically operable Peripheral lung tumors | SCC: 19.2% Adeno: 46.1% NSCLC, NOS: 34.6% | 54 Gy in 3 fractions | LC, 4 yr: 96.0% OS, 4 yr: 56.0% | G3, 4 yr: 7.7% (No G4/5) | Investigated application of SBRT in the medically operable population, showing promising results |
| 2019 | RTOG #0813 [24] | Phase I/II | 100 | T1, T2 N0M0 Medically inoperable Central lung tumors | SCC: 45.0% Adeno: 39.0% Bronchoalveolar: 1.0% NSCLC, NOS: 15.0% | Five fraction, dose escalation, 10–12 Gy per fraction | LC, 10 Gy per fraction, 2 yr: 87.5% LC, 12 Gy per fraction, 2 yr: 87.9% OS, 10 Gy per fraction, 2 yr: 75% OS, 12 Gy per fraction, 2 yr: 72.7% | Probability of dose limiting toxicity at 12 Gy per fraction: 7.2% | Established safe and effective dosing for central tumors as 50 Gy in 5 fractions |
| 2019 | CHISEL [31] | Phase III PRT | 101 | T1-T2a, N0M0 NSCLC Medically inoperable or refused surgery Peripherally located lung tumor | SCC: 37.6% Adeno: 45.5% Large Cell: 2.0% Mixed: 2.0% NSCLC, NOS: 12.9% | SBRT: 54 Gy in 3 fractions or 48 Gy in 4 fractions vs. EBRT: 66 Gy in 33 fractions or 50 Gy in 20 fractions | SBRT, LC, 2 yr: 89% EBRT: LC, 2 yr: 65% SBRT, MS: 5 years EBRT, MS: 3 years | SBRT, G3/G4: 8 events EBRT, G3: 2 events | In a randomized phase III setting, this trial demonstrated the superiority of SBRT in terms of local control over EBRT while also showing an OS benefit with SBRT and low rates of toxicity |
| 2024 | SUNSET [43] | Phase I | 30 | T1-T3 N0M0 NSCLC (≤6 cm) Ultracentral tumor location Planning target volume overlap with CBT, esophagus, PV, PA | SCC: 26.7% Adeno: 33.3% NSCLC, NOS: 40.0% | 60 Gy in 8 fractions | LC, 3 yr: 89.6% OS, 3 yr: 72.5% | G3-5: 6.7% 2 patients—1 G3 dyspnea, 1 G5 PNA (ILD) | Showed 60 Gy in 8 fractions to be an effective and safe dose for ultracentral tumors |
| 2024 | LUSTRE [44] | Phase III PRT | 233 | T1-T2a N0M0 Medically inoperable Peripheral, central, or ultracentral tumor location | N/A | SBRT peripheral: 48 Gy in 4 fractions SBRT central or ultracentral: 60 Gy in 8 fractions Non-SBRT: 60 Gy in 15 fractions | SBRT, LC, 3 yr: 87.6% Non-SBRT, LC, 3 yr: 81.2% | SBRT, G3/4: 12.8% SBRT, G5: 1 event Non-SBRT, G3/4: 7% | No difference in LC, EFS, OS or toxicity between SBRT and hypo-fractionated RT |
| Year of Publication | Reference | Design | No. of Patients | Population | Histology | Modality | Outcomes | Toxicity | Notes |
|---|---|---|---|---|---|---|---|---|---|
| 2008 | RAPTURE [104] | Prospective, single-arm, multicenter | 105 (33 NSCLC patients) 137 procedures | Tumors 3.5 cm or smaller in diameter NSCLC and metastases 13 patients were stage I NSCLC—remaining 20 were recurrent or metastatic | SCC: 54.5% Adeno: 39.3% Large cell: 3% Bronchiolar carcinoma: 3% | RFA | LC, 1 yr: 88% OS, 1 yr, NSCLC: 70% OS, 2 yr, NSCLC: 48% | Pneumothorax needing drainage (total): 27/137 procedures, 19.7% Pneumothorax not needing drainage: 28/137, 20.4% Pleural effusion needing drainage: 4/137, 2.9% Pleural effusion not needing drainage: 11/137, 8% Intrapulmonary hemorrhage: 3/137, 2.2% | First prospective, intention to treat, multicenter trial assessing RFA for lung malignancies |
| 2011 | Ambrogi et al. [107] | Prospective, single center study | 57 80 procedures | Stage I NSCLC Medically inoperable | SCC: 49.2% Adeno: 25.4% NOS: 25.4% | RFA | Median FU of 47 months CR rate: 59.3% Median OS: 33.4 months Cancer specific actuarial survival: 59% at 3 years | Major complication rate: 5% Minor complication rate: 20% Pneumothorax: 4 requiring drainage | CR rate for stage IA: 65.9% CR rate for stage IB: 40% (p = 0.01) |
| 2015 | Group Z4033 (Alliance) Trial [105] | Prospective multicenter trial | 51 | Biopsy proven stage IA NSCLC Medically inoperable | SCC: 37.3% Adeno: 47.1% Bronchoalveolar: 2.0% NOS: 13.7% | RFA | LC, 1 yr: 68.9% LC, 2 yr: 59.8% OS, 1 yr: 86.3% OS, 2 yr: 69.8% | G3-5: 11.8% Authors note no G4 to G5 events were attributable to RFA | LC rates worse for tumors >2 cm |
| 2015 | Palussiere et al. [108] | Prospective, multicenter trial | 87 88 procedures | N0 NSCLC Medically inoperable | SCC: 21% Adeno: 59% Other: 16% NOS: 4% | RFA (82) MWA (5) | LC, 1 yr; 88.5% LC, 2 yr: 81.7% LC, 3 yr: 78.9% OS, 5- yr: 58.1% | Pneumothorax: 44/88, 50% Pneumothorax requiring drainage: 18/88, 20.5% G3/4 brachial plexopathy: 2 | On MVA, pathology and tumor size >2 cm were independent prognostic factors for DFS |
| 2018 | Huang et al. [123] | RR | 50 73 procedures | Stage IA NSCLC Medically inoperable | SCC: 32% Adeno: 50% Other: 18% | RFA | LC, 1 yr: 4% LC, 2 yr: 12% LC, 5 yr: 26% OS, 1 yr: 96% OS, 3 yr: 67.1% OS, 5 yr: 36.3% | Pneumothorax requiring drainage: 4% Low grade fever: 36% Hemoptysis/cough: 22% | Tumor size <2 cm was associated with significantly improved 3-year OS |
| 2014 | Yang et al. [124] | RR | 47 | Stage I NSCLC Medically inoperable | SCC: 27.7% Adeno: 59.6% Other: 12.7% | MWA | LC, 1 yr; 96% LC, 3 yr: 64% LC, 5 yr: 48% OS, 1 yr; 89% OS, 3 yr: 43% OS, 5 yr: 16% | Pneumothorax: 63.8% Hemoptysis: 31.9% Pleural effusion: 34% Infection: 14.9% Bronchopulmonary fistula: 2.1% | Tumors ≤3.5 cm associated with better survival |
| 2015 | Moore et al. [126] | RR | 45 patients 47 procedures | T1N0M0 NSCLC Medically inoperable | SCC: 19.1% Adeno: 44.7% NOS: 36.2% | CA | LC: 85.1% OS, 5- yr: 67.8% ± 15.3 | Major complications: 6.4% 2 cases of hemoptysis Prolonged chest tube placement | Favorable outcomes for CA |
Disclaimer/Publisher’s Note: The statements, opinions and data contained in all publications are solely those of the individual author(s) and contributor(s) and not of MDPI and/or the editor(s). MDPI and/or the editor(s) disclaim responsibility for any injury to people or property resulting from any ideas, methods, instructions or products referred to in the content. |
© 2024 by the authors. Licensee MDPI, Basel, Switzerland. This article is an open access article distributed under the terms and conditions of the Creative Commons Attribution (CC BY) license (https://creativecommons.org/licenses/by/4.0/).
Share and Cite
Buchberger, D.S.; Khurana, R.; Bolen, M.; Videtic, G.M.M. The Treatment of Patients with Early-Stage Non-Small Cell Lung Cancer Who Are Not Candidates or Decline Surgical Resection: The Role of Radiation and Image-Guided Thermal Ablation. J. Clin. Med. 2024, 13, 7777. https://doi.org/10.3390/jcm13247777
Buchberger DS, Khurana R, Bolen M, Videtic GMM. The Treatment of Patients with Early-Stage Non-Small Cell Lung Cancer Who Are Not Candidates or Decline Surgical Resection: The Role of Radiation and Image-Guided Thermal Ablation. Journal of Clinical Medicine. 2024; 13(24):7777. https://doi.org/10.3390/jcm13247777
Chicago/Turabian StyleBuchberger, David S., Rishabh Khurana, Michael Bolen, and Gregory M. M. Videtic. 2024. "The Treatment of Patients with Early-Stage Non-Small Cell Lung Cancer Who Are Not Candidates or Decline Surgical Resection: The Role of Radiation and Image-Guided Thermal Ablation" Journal of Clinical Medicine 13, no. 24: 7777. https://doi.org/10.3390/jcm13247777
APA StyleBuchberger, D. S., Khurana, R., Bolen, M., & Videtic, G. M. M. (2024). The Treatment of Patients with Early-Stage Non-Small Cell Lung Cancer Who Are Not Candidates or Decline Surgical Resection: The Role of Radiation and Image-Guided Thermal Ablation. Journal of Clinical Medicine, 13(24), 7777. https://doi.org/10.3390/jcm13247777
