Accuracy of Contrast-Enhanced Ultrasound for Hepatocellular Carcinoma Post-Transcatheter Arterial Embolization
Abstract
1. Introduction
2. Materials and Methods
Statistical Methods
3. Results
3.1. Demographics
3.2. Post-TACE Lesion Characteristics
4. Discussion
Limitations
5. Conclusions
Author Contributions
Funding
Institutional Review Board Statement
Informed Consent Statement
Data Availability Statement
Acknowledgments
Conflicts of Interest
Appendix A

Appendix B
| Pre-TACE | Post-TACE | Follow-Up | |
|---|---|---|---|
| 1 | CT | CT | CT |
| 2 | CT | CT | CT |
| 4 | CT | CT | CT |
| 5 | CT | CT | CT |
| 6 | CT | CT | CT |
| 7 | MR | CT | CT |
| 8 | MR | MR | N/A |
| 9 | CT | CT | CT |
| 10 | CT | CT | TACE |
| 11 | CT | CT | CT |
| 12 | MR | MR | CT |
| 14 | CT | CT | CT |
| 15 | CT | CT | MR |
| 18 | CT | CT | CT |
| 19 | CT | CT | CT |
| 20 | CT | CT | CT |
| 21 | CT | CT | CT |
| 22 | MR | MR | MR |
| 23 | CT | CT | CT |
| 24 | CT | CT | CT |
| 25 | MR | CT | CT |
| 26 | CT | CT | CT |
| 27 | MR | MR | MR |
| 28 | MR | CT | CT |
| 30 | MR | CT | CT |
| 32 | MR | CT | N/A |
| CT | 17 | 22 | 20 |
| MR | 9 | 4 | 3 |
References
- Zheng, W.; Li, Q.; Zou, X.B.; Wang, J.W.; Han, F.; Li, F.; Huang, L.S.; Li, A.H.; Zhou, J.H. Evaluation of Contrast-enhanced US LI-RADS version 2017: Application on 2020 Liver Nodules in Patients with Hepatitis B Infection. Radiology 2020, 294, 299–307. [Google Scholar] [CrossRef] [PubMed]
- McGillen, K.L.; Zaidi, S.; Ahmed, A.; Harter, S.; Yee, N.S. Contrast-Enhanced Ultrasonography for Screening and Diagnosis of Hepatocellular Carcinoma: A Case Series and Review of the Literature. Medicines 2020, 7, 51. [Google Scholar] [CrossRef] [PubMed]
- CEUS LI-RADS v2017 Core. Available online: https://www.acr.org/-/media/ACR/Files/RADS/LI-RADS/CEUS-LI-RADS-2017-Core.pdf (accessed on 15 May 2024).
- Brown, D.B.; Nikolic, B.; Covey, A.M.; Nutting, C.W.; Saad, W.E.; Salem, R.; Sofocleous, C.T.; Sze, D.Y. Quality improvement guidelines for transhepatic arterial chemoembolization, embolization, and chemotherapeutic infusion for hepatic malignancy. J. Vasc. Interv. Radiol. 2012, 23, 287–294. [Google Scholar] [CrossRef] [PubMed]
- Faccia, M.; Garcovich, M.; Ainora, M.E.; Riccardi, L.; Pompili, M.; Gasbarrini, A.; Zocco, M.A. Contrast-Enhanced Ultrasound for Monitoring Treatment Response in Different Stages of Hepatocellular Carcinoma. Cancers 2022, 14, 481. [Google Scholar] [CrossRef]
- Paul, S.; Dhamija, E.; Gamanagatti, S.; Sreenivas, V.; Yadav, D.; Jain, S.; Shalimar; Acharya, S. Evaluation of tumor response to intra-arterial chemoembolization of hepatocellular carcinoma: Comparison of contrast-enhanced ultrasound with multiphase computed tomography. Diagn. Interv. Imaging 2017, 98, 253–260. [Google Scholar] [CrossRef] [PubMed]
- Lim, H.S.; Jeong, Y.Y.; Kang, H.K.; Kim, J.K.; Park, J.G. Imaging features of hepatocellular carcinoma after transcatheter arterial chemoembolization and radiofrequency ablation. AJR Am. J. Roentgenol. 2006, 187, W341–W349. [Google Scholar] [CrossRef] [PubMed]
- Cho, Y.Z.; Park, S.Y.; Choi, E.H.; Baik, S.K.; Kwon, S.O.; Kim, Y.J.; Cha, S.H.; Kim, M.Y. The usefulness of contrast-enhanced ultrasonography in the early detection of hepatocellular carcinoma viability after transarterial chemoembolization: Pilot study. Clin. Mol. Hepatol. 2015, 21, 165–174. [Google Scholar] [CrossRef]
- Xia, Y.; Kudo, M.; Minami, Y.; Hatanaka, K.; Ueshima, K.; Chung, H.; Hagiwara, S.; Inoue, T.; Ishikawa, E.; Kitai, S.; et al. Response evaluation of transcatheter arterial chemoembolization in hepatocellular carcinomas: The usefulness of sonazoid-enhanced harmonic sonography. Oncology 2008, 75 (Suppl. S1), 99–105. [Google Scholar] [CrossRef]
- Watanabe, Y.; Ogawa, M.; Kumagawa, M.; Hirayama, M.; Miura, T.; Matsumoto, N.; Nakagawara, H.; Yamamoto, T.; Moriyama, M. Utility of Contrast-Enhanced Ultrasound for Early Therapeutic Evaluation of Hepatocellular Carcinoma After Transcatheter Arterial Chemoembolization. Ultrasound Med. 2020, 39, 431–440. [Google Scholar] [CrossRef]
- Moschouris, H.; Kalokairinou-Motogna, M.; Vrakas, S.; Papadatou, A.; Karagiannis, E.; Kiltenis, M.; Kladis-Kalentzis, K.; Marmaridou, K.; Papadogeorgopoulos, N.; Malagari, K. Imaging of intrahepatic progression of hepatocellular carcinoma post transarterial chemoembolization. A long-term, prospective evaluation of contrast-enhanced ultrasonography (CEUS). Med Ultrason. 2017, 19, 134–142. [Google Scholar] [CrossRef][Green Version]
- Moschouris, H.; Malagari, K.; Papadaki, M.G.; Kornezos, I.; Gkoutzios, P.; Tepelenis, N.; Matsaidonis, D. Short-term evaluation of liver tumors after transarterial chemoembolization: Limitations and feasibility of contrast-enhanced ultrasonography. Abdom. Imaging 2011, 36, 718–728. [Google Scholar] [CrossRef] [PubMed]
- Tai, C.-J.; Huang, M.-T.; Wu, C.-H.; Tai, C.-J.; Shi, Y.-C.; Chang, C.-C.; Chang, Y.-J.; Kuo, L.-J.; Wei, P.-L.; Chen, R.-J.; et al. Contrast-Enhanced Ultrasound and Computed Tomography Assessment of Hepatocellular Carcinoma after Transcatheter Arterial Chemo-Embolization: A Systematic Review. J. Gastrointest. Liver Dis. 2016, 25, 499–507. [Google Scholar] [CrossRef] [PubMed]
- Zhong, J.; Su, Z.; Zhang, Y.; Zhang, H.; Lin, P.; Tang, X.; Zheng, R. Contrast-Enhanced Ultrasonography Versus Contrast-Enhanced Computed Tomography for Assessment of Residual Tumor From Hepatocellular Carcinoma Treated With Transarterial Chemoembolization: A Meta-analysis. J. Ultrasound Med. 2018, 37, 1881–1890. [Google Scholar] [CrossRef] [PubMed]
- Takizawa, K.; Numata, K.; Morimoto, M.; Kondo, M.; Nozaki, A.; Moriya, S.; Ishii, T.; Oshima, T.; Fukuda, H.; Okada, M.; et al. Use of contrast-enhanced ultrasonography with a perflubutane-based contrast agent performed one day after transarterial chemoembolization for the early assessment of residual viable hepatocellular carcinoma. Eur. J. Radiol. 2013, 82, 1471–1480. [Google Scholar] [CrossRef] [PubMed]
- Hai, Y.; Savsani, E.; Chong, W.; Eisenbrey, J.; Lyshchik, A. Meta-analysis and systematic review of contrast-enhanced ultrasound in evaluating the treatment response after locoregional therapy of hepatocellular carcinoma. Abdom. Radiol. 2021, 46, 5162–5179. [Google Scholar] [CrossRef] [PubMed]
- Eisenbrey, J.R.; Gabriel, H.; Savsani, E.; Lyshchik, A. Contrast-enhanced ultrasound (CEUS) in HCC diagnosis and assessment of tumor response to locoregional therapies. Abdom. Radiol. 2021, 46, 3579–3595. [Google Scholar] [CrossRef]
- Gummadi, S.; Stanczak, M.; Lyshchik, A.; Forsberg, F.; Shaw, C.M.; Eisenbrey, J.R. Contrast-enhanced ultrasound identifies early extrahepatic collateral contributing to residual hepatocellular tumor viability after transarterial chemoembolization. Radiol. Case Rep. 2018, 13, 713–718. [Google Scholar] [CrossRef] [PubMed]
- Shaw, C.M.; Eisenbrey, J.R.; Lyshchik, A.; O’Kane, P.L.; Merton, D.A.; Machado, P.; Pino, L.; Brown, D.B.; Forsberg, F. Contrast-enhanced ultrasound evaluation of residual blood flow to hepatocellular carcinoma after treatment with transarterial chemoembolization using drug-eluting beads: A prospective study. J. Ultrasound Med. 2015, 34, 859–867. [Google Scholar] [CrossRef]
- Nam, K.; Stanczak, M.; Lyshchik, A.; Machado, P.; Kono, Y.; Forsberg, F.; Shaw, C.M.; Eisenbrey, J.R. Evaluation of Hepatocellular Carcinoma Transarterial Chemoembolization using Quantitative Analysis of 2D and 3D Real-time Contrast Enhanced Ultrasound. Biomed. Phys. Eng. Express. 2018, 4, 035039. [Google Scholar] [CrossRef]
- Savsani, E.; Shaw, C.M.; Forsberg, F.; Wessner, C.E.; Lyshchik, A.; O’Kane, P.; Liu, J.-B.; Balasubramanya, R.; Roth, C.G.; Naringrekar, H.; et al. Contrast-enhanced US Evaluation of Hepatocellular Carcinoma Response to Chemoembolization: A Prospective Multicenter Trial. Radiology 2023, 309, e230727. [Google Scholar] [CrossRef] [PubMed]
- Kamaya, A.; Fetzer, D.; Seow, J.; Burrowes, D.; Choi, H.; Dawkins, A.; Fung, C.; Gabriel, H.; Hong, C.; Khurana, A.; et al. LI-RADS US surveillance version 2024 for surveillance of hepatocellular carcinoma: An update to the American College of Radiology US LI-RADS. Radiology 2024, 313, e240169. [Google Scholar] [CrossRef]
- Ding, H.; Kudo, M.; Onda, H.; Suetomi, Y.; Minami, Y.; Maekawa, K. Contrast-enhanced subtraction harmonic sonography for evaluating treatment response in patients with hepatocellular carcinoma. AJR Am. J. Roentgenol. 2001, 176, 661–666. [Google Scholar] [CrossRef] [PubMed]






| LI-RADS Treated | LI-RADS Viable | New Lesion | Portal Vein Thrombus | |
|---|---|---|---|---|
| CEUS | 12 (38.7%) | 19 (61.3%) | 6 | 5 |
| CT/MRI | 16 (48.5%) | 17 (51.5%) | 6 | 5 |
| Subject | Correct Modality | Target Lesion or New Lesion | LI-RADS | Additional Information |
|---|---|---|---|---|
| 1 | CT | New | LR-4 | CEUS showed new lesion LR-3. Follow-up CT the lesion progressed to LR-5 |
| 2 | CT | New | LR-5 | US did not identify new lesion |
| 3 | CT | New | LR-3 | US did not see new lesion, progressed to LR-4 on follow-up |
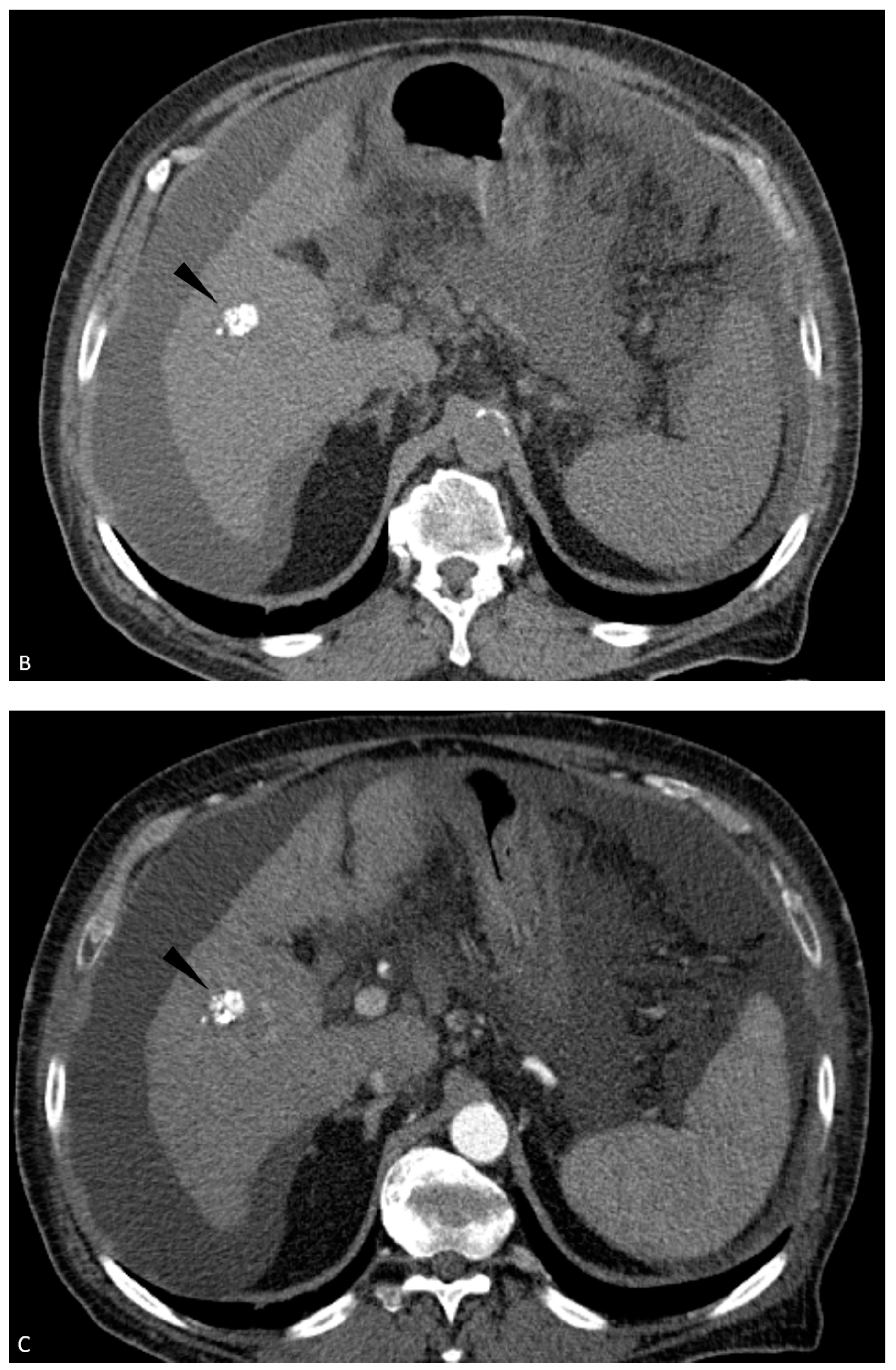
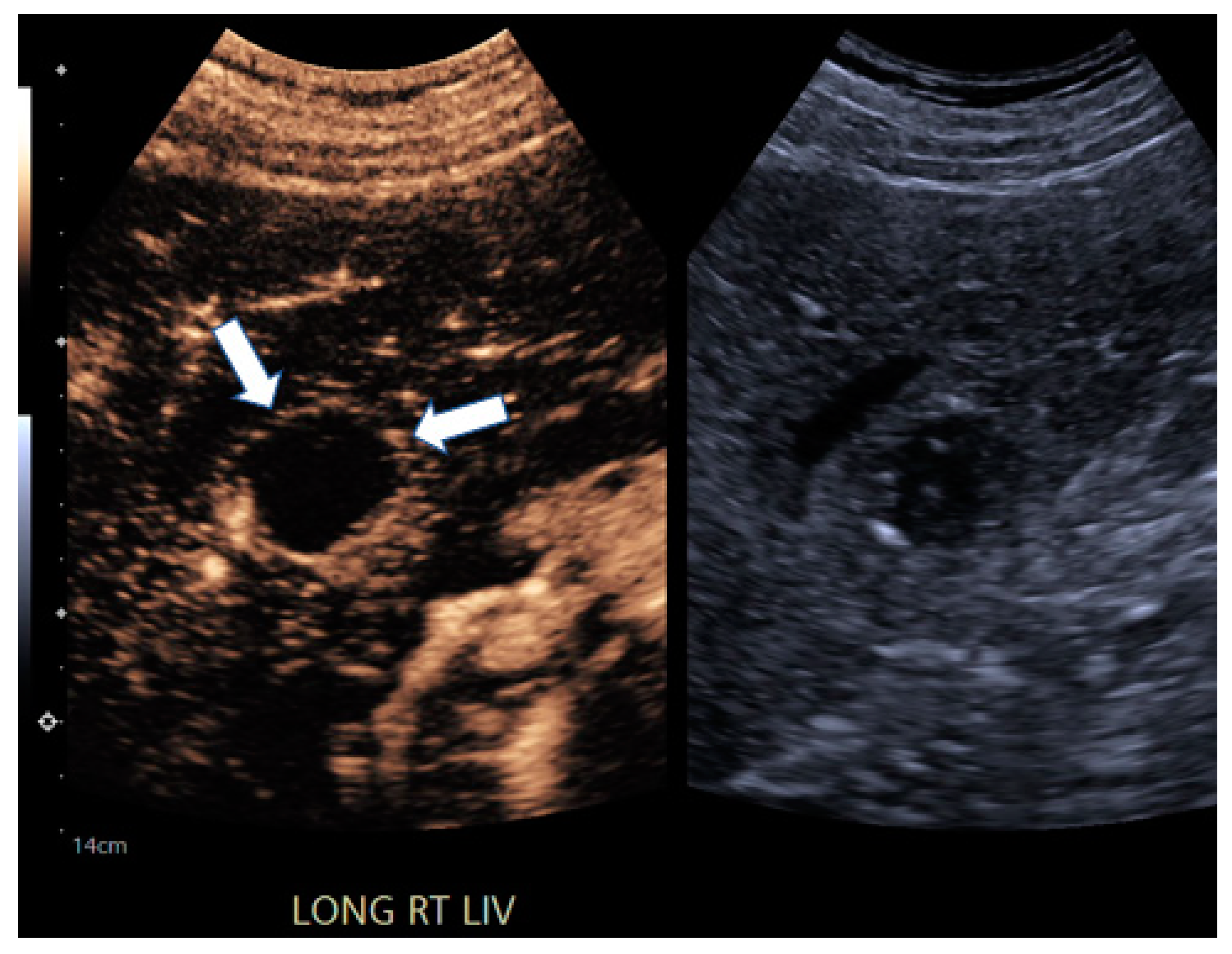
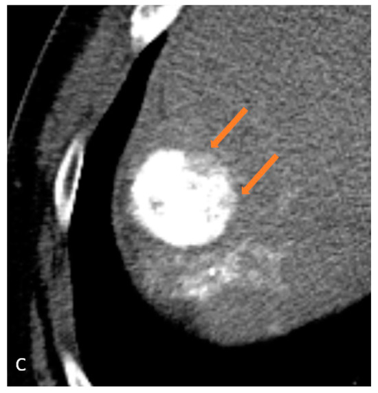
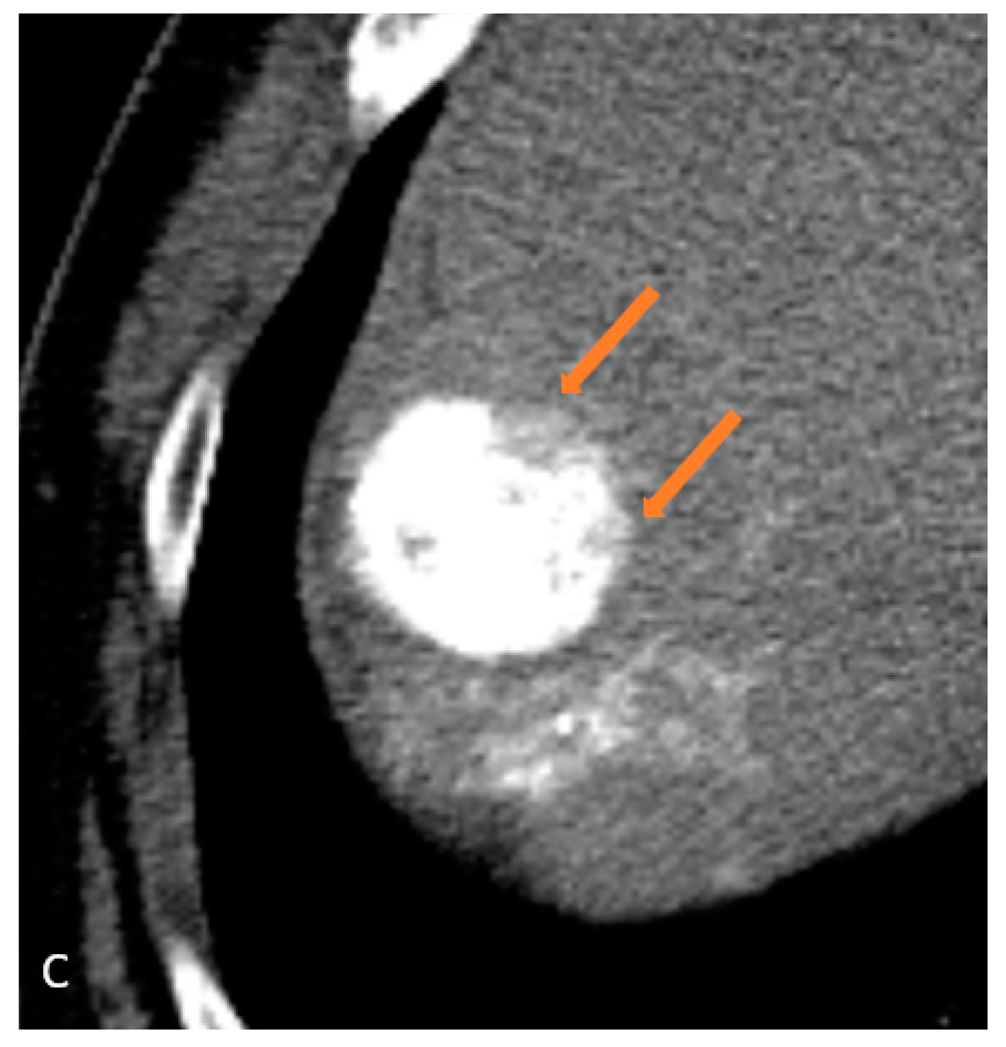
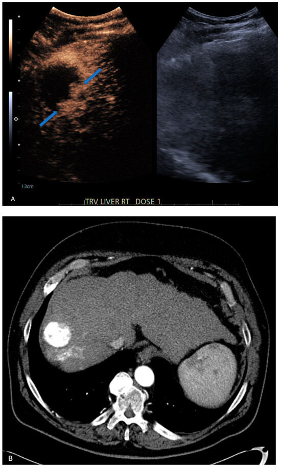
| 4 | CT | Target | LR-treated | CEUS called residual tumor (Figure 1), follow-up CT confirmed treated tumor |
| 5 | CT | Target | LR-treated | US was unable to see the target tumor at all |
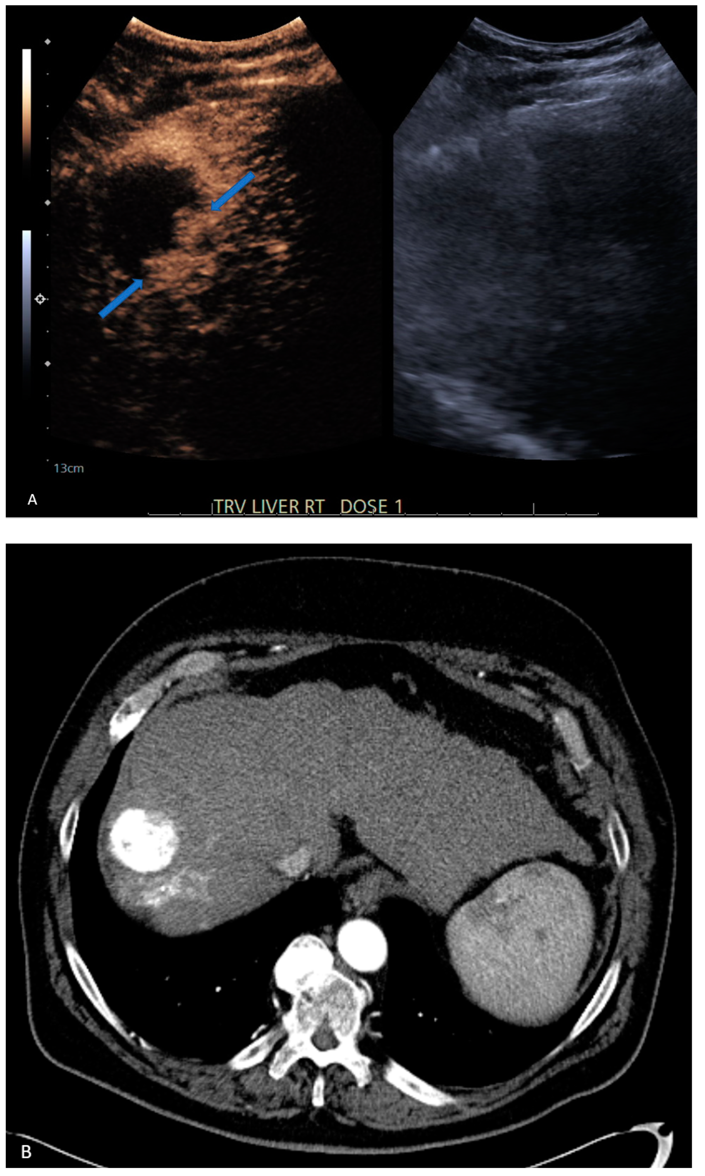
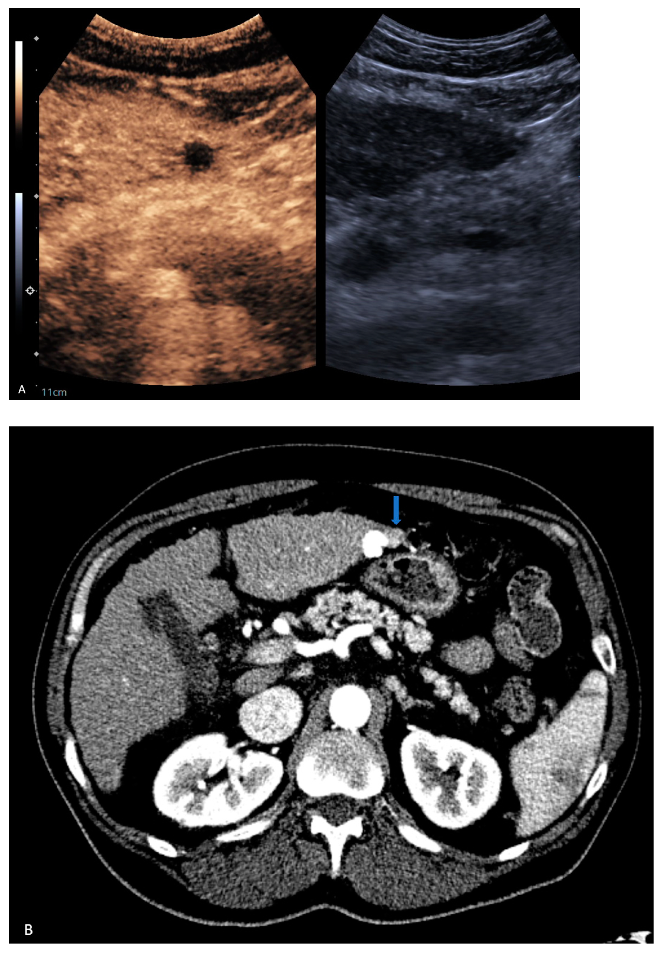
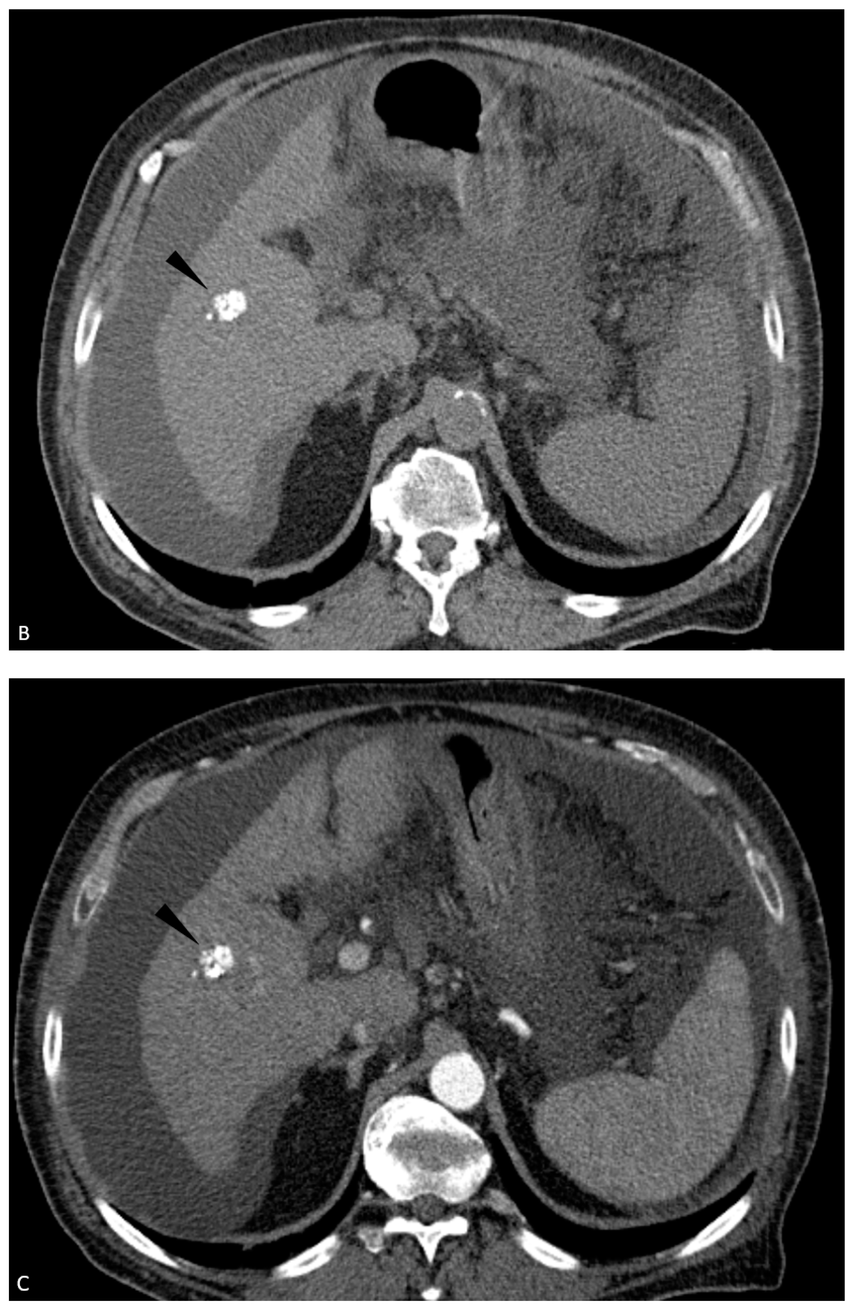
| 6 | CEUS | Target | LR-viable | CT missed subtle disease at the periphery of the treated HCC (Figure 2) |
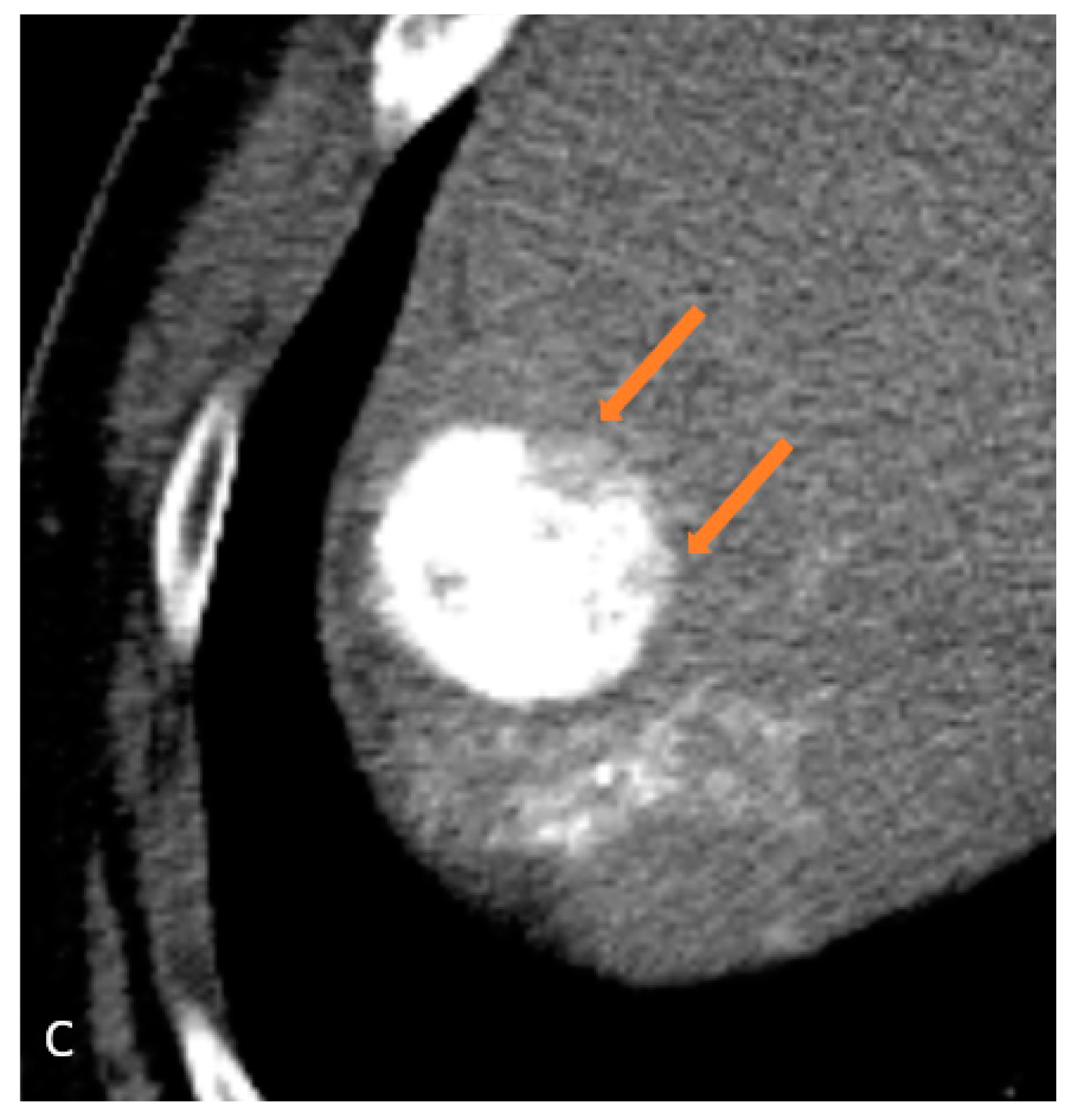
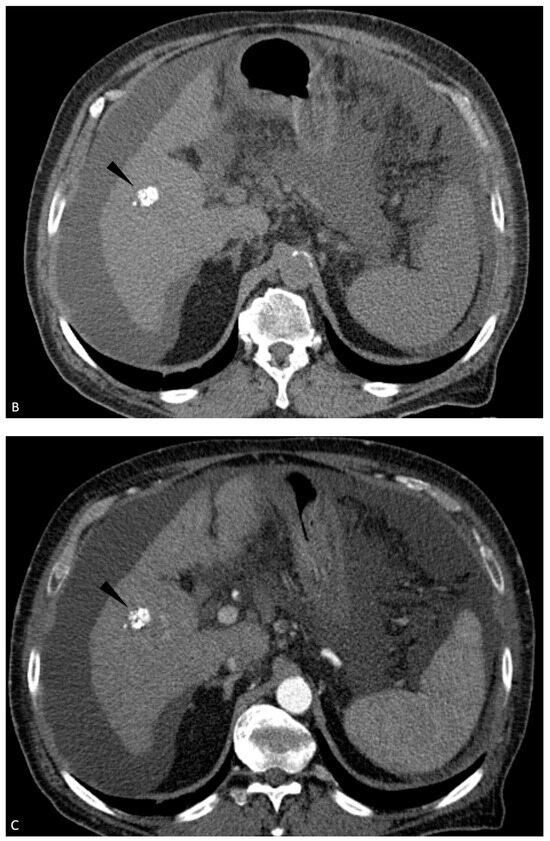
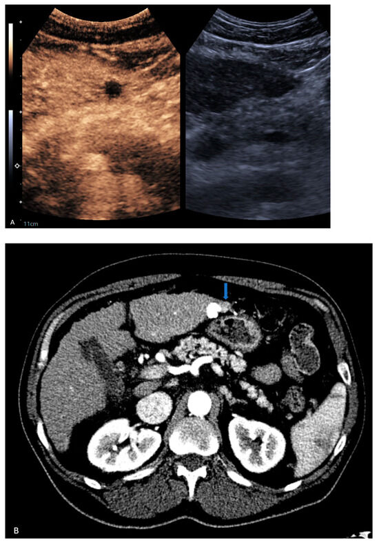
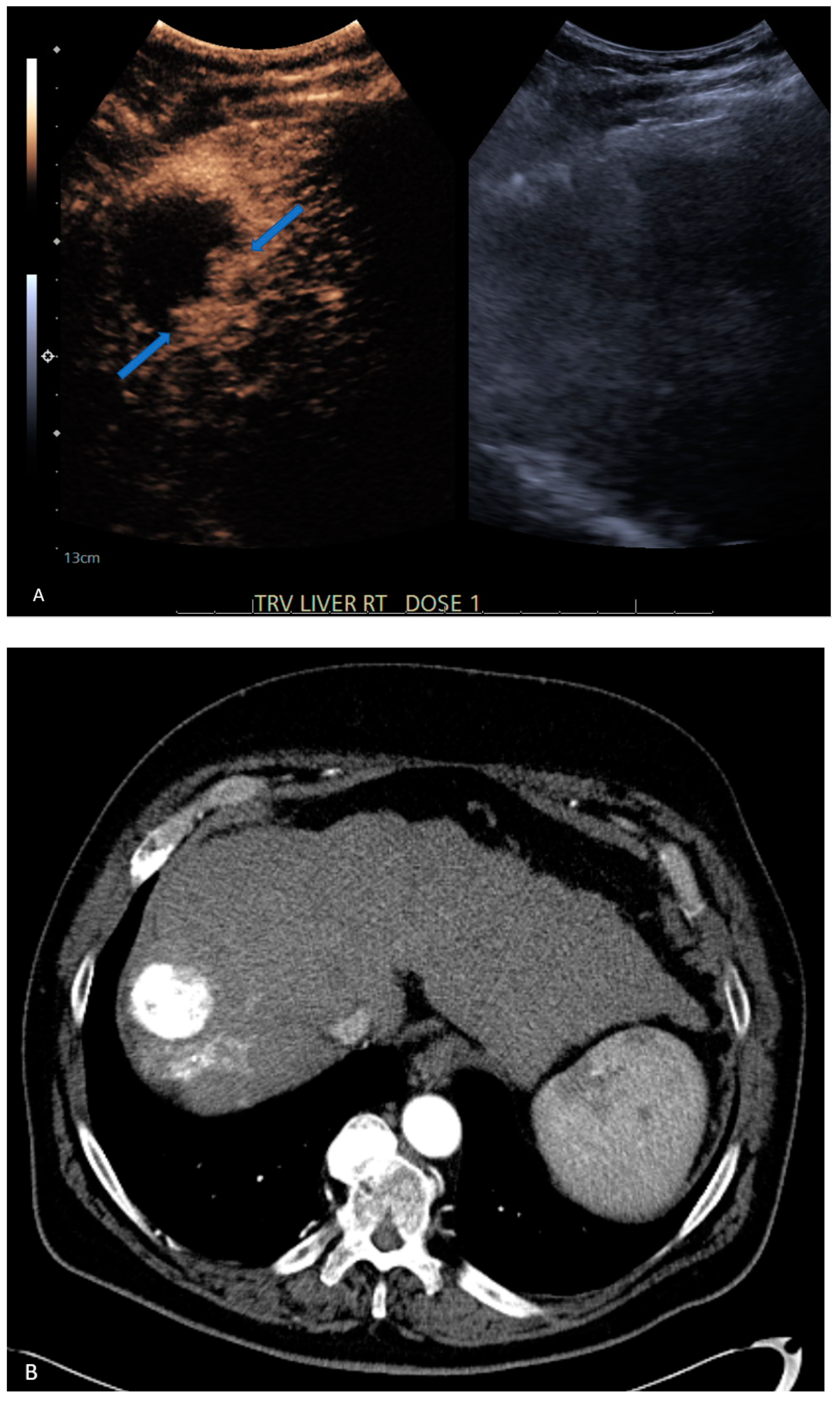
| 7 | CEUS | Target | LR-treated | CT called residual tumor, follow-up CT showed the area was perfusional, not disease (Figure 3) |
| 8 | Other | Target | Not seen | One of 2 target lesions was not seen on CEUS, CT, or follow-up CT |
| 9 | Other | Target | Not seen | One of 2 target lesions was not seen on CEUS, CT, or follow-up CT |
| Grayscale Echogenicity of Tumor After TACE | LIRADS—Viable (n = 19) | LIRADS—Treated (n = 11) |
|---|---|---|
| Hypoechoic | 4 (21%) | 1 (9%) |
| Isoechoic | 3 (16%) | 5 (45%) |
| Hyperechoic | 8 (42%) | 2 (18%) |
| Heterogeneous (mixed) | 4 (21%) | 3 (27%) |
Disclaimer/Publisher’s Note: The statements, opinions and data contained in all publications are solely those of the individual author(s) and contributor(s) and not of MDPI and/or the editor(s). MDPI and/or the editor(s) disclaim responsibility for any injury to people or property resulting from any ideas, methods, instructions or products referred to in the content. |
© 2024 by the authors. Licensee MDPI, Basel, Switzerland. This article is an open access article distributed under the terms and conditions of the Creative Commons Attribution (CC BY) license (https://creativecommons.org/licenses/by/4.0/).
Share and Cite
McGillen, K.L.; Pryor, W.W., 3rd; Yee, N.S.; Zhu, J.; Krok, K.L.; Waybill, P.N. Accuracy of Contrast-Enhanced Ultrasound for Hepatocellular Carcinoma Post-Transcatheter Arterial Embolization. J. Clin. Med. 2024, 13, 7720. https://doi.org/10.3390/jcm13247720
McGillen KL, Pryor WW 3rd, Yee NS, Zhu J, Krok KL, Waybill PN. Accuracy of Contrast-Enhanced Ultrasound for Hepatocellular Carcinoma Post-Transcatheter Arterial Embolization. Journal of Clinical Medicine. 2024; 13(24):7720. https://doi.org/10.3390/jcm13247720
Chicago/Turabian StyleMcGillen, Kathryn L., William Watkins Pryor, 3rd, Nelson S. Yee, Junjia Zhu, Karen L. Krok, and Peter N. Waybill. 2024. "Accuracy of Contrast-Enhanced Ultrasound for Hepatocellular Carcinoma Post-Transcatheter Arterial Embolization" Journal of Clinical Medicine 13, no. 24: 7720. https://doi.org/10.3390/jcm13247720
APA StyleMcGillen, K. L., Pryor, W. W., 3rd, Yee, N. S., Zhu, J., Krok, K. L., & Waybill, P. N. (2024). Accuracy of Contrast-Enhanced Ultrasound for Hepatocellular Carcinoma Post-Transcatheter Arterial Embolization. Journal of Clinical Medicine, 13(24), 7720. https://doi.org/10.3390/jcm13247720

