The Radiologic Evaluation and Clinical Significance of Glenohumeral Bone Loss in Anterior Shoulder Instability
Abstract
1. Introduction
2. Glenoid Track Theory
3. Imaging
3.1. Roentgenography
3.2. Computed Tomography (CT)

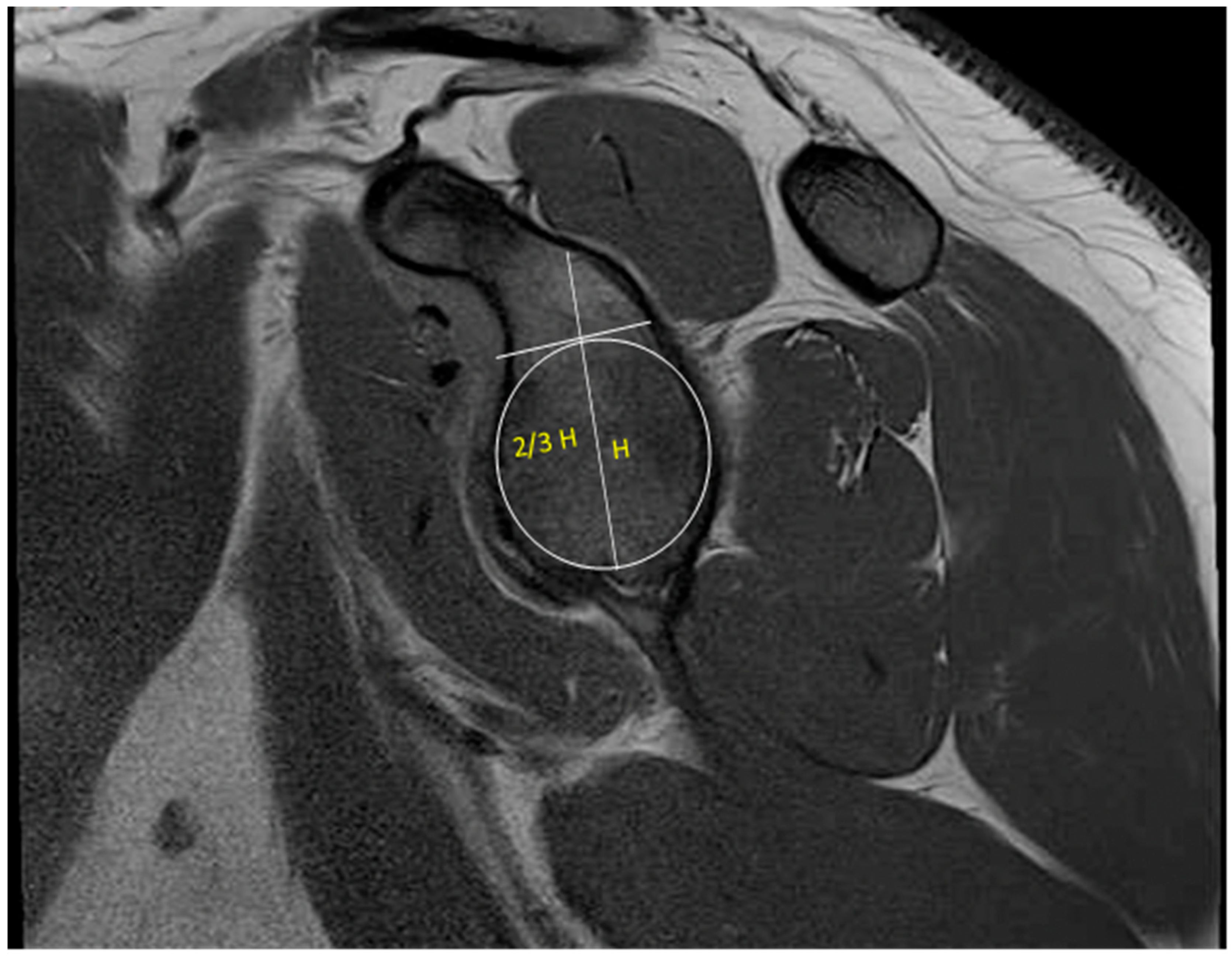
3.3. Magnetic Resonance Imaging (MRI)
3.4. Ultrasound
4. Clinical Significance of Glenohumeral Bone Loss
5. Current Limitations
6. Summary
Author Contributions
Funding
Conflicts of Interest
References
- Dumont, G.D.; Russell, R.D.; Robertson, W.J. Anterior Shoulder Instability: A Review of Pathoanatomy, Diagnosis and Treatment. Curr. Rev. Musculoskelet. Med. 2011, 4, 200. [Google Scholar] [CrossRef] [PubMed]
- Leroux, T.; Wasserstein, D.; Veillette, C.; Khoshbin, A.; Henry, P.; Chahal, J.; Austin, P.; Mahomed, N.; Ogilvie-Harris, D. Epidemiology of Primary Anterior Shoulder Dislocation Requiring Closed Reduction in Ontario, Canada. Am. J. Sports Med. 2014, 42, 442–450. [Google Scholar] [CrossRef]
- Bigliani, L.U.; Kelkar, R.; Flatow, E.L.; Pollock, R.G.; Mow, V.C. Glenohumeral Stability. Biomechanical Properties of Passive and Active Stabilizers. Clin. Orthop. 1996, 330, 13–30. [Google Scholar] [CrossRef]
- Boileau, P.; Villalba, M.; Héry, J.-Y.; Balg, F.; Ahrens, P.; Neyton, L. Risk Factors for Recurrence of Shoulder Instability After Arthroscopic Bankart Repair. J. Bone Jt. Surg. 2006, 88, 1755–1763. [Google Scholar] [CrossRef]
- Lynch, J.R.; Clinton, J.M.; Dewing, C.B.; Warme, W.J.; Matsen, F.A. Treatment of Osseous Defects Associated with Anterior Shoulder Instability. J. Shoulder Elb. Surg. 2009, 18, 317–328. [Google Scholar] [CrossRef] [PubMed]
- Tauber, M.; Resch, H.; Forstner, R.; Raffl, M.; Schauer, J. Reasons for Failure after Surgical Repair of Anterior Shoulder Instability. J. Shoulder Elb. Surg. 2004, 13, 279–285. [Google Scholar] [CrossRef]
- Taylor, D.C.; Arciero, R.A. Pathologic Changes Associated with Shoulder Dislocations. Arthroscopic and Physical Examination Findings in First-Time, Traumatic Anterior Dislocations. Am. J. Sports Med. 1997, 25, 306–311. [Google Scholar] [CrossRef]
- Lee, S.H.; Lim, K.H.; Kim, J.W. Risk Factors for Recurrence of Anterior-Inferior Instability of the Shoulder After Arthroscopic Bankart Repair in Patients Younger Than 30 Years. Arthrosc. J. Arthrosc. Relat. Surg. Off. Publ. Arthrosc. Assoc. N. Am. Int. Arthrosc. Assoc. 2018, 34, 2530–2536. [Google Scholar] [CrossRef]
- Nolte, P.C.; Elrick, B.P.; Bernholt, D.L.; Lacheta, L.; Millett, P.J. The Bony Bankart: Clinical and Technical Considerations. Sports Med. Arthrosc. Rev. 2020, 28, 146–152. [Google Scholar] [CrossRef]
- Nakagawa, S.; Iuchi, R.; Hanai, H.; Hirose, T.; Mae, T. The Development Process of Bipolar Bone Defects from Primary to Recurrent Instability in Shoulders with Traumatic Anterior Instability. Am. J. Sports Med. 2019, 47, 695–703. [Google Scholar] [CrossRef]
- Dickens, J.F.; Slaven, S.E.; Cameron, K.L.; Pickett, A.M.; Posner, M.; Campbell, S.E.; Owens, B.D. Prospective Evaluation of Glenoid Bone Loss After First-Time and Recurrent Anterior Glenohumeral Instability Events. Am. J. Sports Med. 2019, 47, 1082–1089. [Google Scholar] [CrossRef]
- Calandra, J.J.; Baker, C.L.; Uribe, J. The Incidence of Hill-Sachs Lesions in Initial Anterior Shoulder Dislocations. Arthrosc. J. Arthrosc. Relat. Surg. 1989, 5, 254–257. [Google Scholar] [CrossRef]
- Burkhart, S.S.; De Beer, J.F. Traumatic Glenohumeral Bone Defects and Their Relationship to Failure of Arthroscopic Bankart Repairs. Arthrosc. J. Arthrosc. Relat. Surg. 2000, 16, 677–694. [Google Scholar] [CrossRef] [PubMed]
- Yamamoto, N.; Itoi, E.; Abe, H.; Minagawa, H.; Seki, N.; Shimada, Y.; Okada, K. Contact between the Glenoid and the Humeral Head in Abduction, External Rotation, and Horizontal Extension: A New Concept of Glenoid Track. J. Shoulder Elb. Surg. 2007, 16, 649–656. [Google Scholar] [CrossRef]
- Omori, Y.; Yamamoto, N.; Koishi, H.; Futai, K.; Goto, A.; Sugamoto, K.; Itoi, E. Measurement of the Glenoid Track In Vivo as Investigated by 3-Dimensional Motion Analysis Using Open MRI. Am. J. Sports Med. 2014, 42, 1290–1295. [Google Scholar] [CrossRef] [PubMed]
- Ventura, A.; Smiraglio, C.; Viscomi, A.; De Salvatore, S.; Bertucci, B. The Glenoid Track Concept: On-Track and Off-Track—A Narrative Review. Osteology 2022, 2, 129–136. [Google Scholar] [CrossRef]
- Provencher, M.T.; Midtgaard, K.S.; Owens, B.D.; Tokish, J.M. Diagnosis and Management of Traumatic Anterior Shoulder Instability. J. Am. Acad. Orthop. Surg. 2021, 29, E51–E61. [Google Scholar] [CrossRef]
- Kurokawa, D.; Yamamoto, N.; Nagamoto, H.; Omori, Y.; Tanaka, M.; Sano, H.; Itoi, E. The Prevalence of a Large Hill-Sachs Lesion That Needs to Be Treated. J. Shoulder Elb. Surg. 2013, 22, 1285–1289. [Google Scholar] [CrossRef] [PubMed]
- Provencher, M.T.; Frank, R.M.; LeClere, L.E.; Metzger, P.D.; Ryu, J.J.; Bernhardson, L.T.A.; Romeo, A.A. The Hill-Sachs Lesion: Diagnosis, Classification, and Management. J. Am. Acad. Orthop. Surg. 2012, 20, 242–252. [Google Scholar] [CrossRef]
- Barlow, B.; Metzger, P.; Peace, W.; Leonardelli, D.; Solomon, D.; Provencher, M.T. Clinical Grading of Hill-Sachs Injuries: Association with Glenoid Bone Loss and Clinical Application of the “Glenoid Track” Concept in Terms of Humeral Head Engagement (SS-13). Arthrosc. J. Arthrosc. Relat. Surg. 2010, 26, e7. [Google Scholar] [CrossRef]
- Peebles, L.A.; Golijanin, P.; Peebles, A.M.; Douglass, B.W.; Arner, J.W.; Provencher, M.T. Glenoid Bone Loss Directly Affects Hill-Sachs Morphology: An Advanced 3-Dimensional Analysis. Am. J. Sports Med. 2022, 50, 2469–2475. [Google Scholar] [CrossRef] [PubMed]
- Rockwood, C.A.; Matsen, F.A. (Eds.) The Shoulder, 4th ed.; Saunders; Elsevier: Philadelphia, PA, USA, 2009; ISBN 978-1-4160-3427-8. [Google Scholar]
- Čičak, N.; Bilić, R.; Delimar, D. Hill-Sachs Lesion in Recurrent Shoulder Dislocation: Sonographic Detection. J. Ultrasound Med. Off. J. Am. Inst. Ultrasound Med. 1998, 17, 557–560. [Google Scholar] [CrossRef]
- Vopat, M.L.; Peebles, L.A.; McBride, T.; Cirone, I.; Rider, D.; Provencher, C.M.T. Accuracy and Reliability of Imaging Modalities for the Diagnosis and Quantification of Hill-Sachs Lesions: A Systematic Review. Arthrosc. J. Arthrosc. Relat. Surg. 2021, 37, 391–401. [Google Scholar] [CrossRef]
- Murachovsky, J.; Bueno, R.S.; Nascimento, L.G.P.; Almeida, L.H.O.; Strose, E.; Castiglia, M.T.; De Oliveira, H.C.; Ikemoto, R.Y. Calculating Anterior Glenoid Bone Loss Using the Bernageau Profile View. Skelet. Radiol. 2012, 41, 1231–1237. [Google Scholar] [CrossRef]
- Edwards, T.B.; Boulahia, A.; Walch, G. Radiographic Analysis of Bone Defects in Chronic Anterior Shoulder Instability. Arthrosc. J. Arthrosc. Relat. Surg. 2003, 19, 732–739. [Google Scholar] [CrossRef] [PubMed]
- Yiannakopoulos, C.K.; Mataragas, E.; Antonogiannakis, E. A Comparison of the Spectrum of Intra-Articular Lesions in Acute and Chronic Anterior Shoulder Instability. Arthrosc. J. Arthrosc. Relat. Surg. 2007, 23, 985–990. [Google Scholar] [CrossRef] [PubMed]
- Saliken, D.J.; Bornes, T.D.; Bouliane, M.J.; Sheps, D.M.; Beaupre, L.A. Imaging Methods for Quantifying Glenoid and Hill-Sachs Bone Loss in Traumatic Instability of the Shoulder: A Scoping Review. BMC Musculoskelet. Disord. 2015, 16, 1–26. [Google Scholar] [CrossRef] [PubMed]
- Fox, J.A.; Sanchez, A.; Zajac, T.J.; Provencher, M.T. Understanding the Hill-Sachs Lesion in Its Role in Patients with Recurrent Anterior Shoulder Instability. Curr. Rev. Musculoskelet. Med. 2017, 10, 469–479. [Google Scholar] [CrossRef] [PubMed]
- Griffith, J.F.; Yung, P.S.H.; Antonio, G.E.; Tsang, P.H.; Ahuja, A.T.; Kai, M.C. CT Compared with Arthroscopy in Quantifying Glenoid Bone Loss. AJR Am. J. Roentgenol. 2007, 189, 1490–1493. [Google Scholar] [CrossRef]
- Magarelli, N.; Milano, G.; Sergio, P.; Santagada, D.A.; Fabbriciani, C.; Bonomo, L. Intra-Observer and Interobserver Reliability of the “Pico” Computed Tomography Method for Quantification of Glenoid Bone Defect in Anterior Shoulder Instability. Skelet. Radiol. 2009, 38, 1071–1075. [Google Scholar] [CrossRef]
- Griffith, J.F.; Antonio, G.E.; Tong, C.W.C.; Ming, C.K. Anterior Shoulder Dislocation: Quantification of Glenoid Bone Loss with CT. Am. J. Roentgenol. 2003, 180, 1423–1430. [Google Scholar] [CrossRef] [PubMed]
- Huysmans, P.E.; Haen, P.S.; Kidd, M.; Dhert, W.J.; Willems, J.W. The Shape of the Inferior Part of the Glenoid: A Cadaveric Study. J. Shoulder Elb. Surg. 2006, 15, 759–763. [Google Scholar] [CrossRef]
- Nofsinger, C.; Browning, B.; Burkhart, S.S.; Pedowitz, R.A. Objective Preoperative Measurement of Anterior Glenoid Bone Loss: A Pilot Study of a Computer-Based Method Using Unilateral 3-Dimensional Computed Tomography. Arthrosc. J. Arthrosc. Relat. Surg. 2011, 27, 322–329. [Google Scholar] [CrossRef]
- Green, G.L.; Arnander, M.; Pearse, E.; Tennent, D. CT Estimation of Glenoid Bone Loss in Anterior Glenohumeral Instability: A Systematic Review of Existing Techniques. Bone Jt. Open 2022, 3, 114–122. [Google Scholar] [CrossRef] [PubMed]
- Bois, A.J.; Fening, S.D.; Polster, J.; Jones, M.H.; Miniaci, A. Quantifying Glenoid Bone Loss in Anterior Shoulder Instability: Reliability and Accuracy of 2-Dimensional and 3-Dimensional Computed Tomography Measurement Techniques. Am. J. Sports Med. 2012, 40, 2569–2577. [Google Scholar] [CrossRef]
- Burns, D.M.; Chahal, J.; Shahrokhi, S.; Henry, P.; Wasserstein, D.; Whyne, C.; Theodoropoulos, J.; Ogilvie-Harris, D.; Dwyer, T. Diagnosis of Engaging Bipolar Bone Defects in the Shoulder Using 2-Dimensional Computed Tomography: A Cadaveric Study. Am. J. Sports Med. 2016, 44, 2771–2777. [Google Scholar] [CrossRef]
- Rossi, L.A.; Frank, R.M.; Wilke, D.; Provencher, C.M.T.; Millet, P.J.; Romeo, A.; Walch, G.; Lo, I.; Yamamoto, N.; Bokor, D.; et al. Evaluation and Management of Glenohumeral Instability with Associated Bone Loss: An Expert Consensus Statement Using the Modified Delphi Technique. Arthrosc. J. Arthrosc. Relat. Surg. 2021, 37, 1719–1728. [Google Scholar] [CrossRef]
- Gyftopoulos, S.; Beltran, L.S.; Bookman, J.; Rokito, A. MRI Evaluation of Bipolar Bone Loss Using the On-Track off-Track Method: A Feasibility Study. Am. J. Roentgenol. 2015, 205, 848–852. [Google Scholar] [CrossRef] [PubMed]
- Gyftopoulos, S.; Hasan, S.; Bencardino, J.; Mayo, J.; Nayyar, S.; Babb, J.; Jazrawi, L. Diagnostic Accuracy of MRI in the Measurement of Glenoid Bone Loss. Am. J. Roentgenol. 2012, 199, 873–878. [Google Scholar] [CrossRef]
- Makovicka, J.L.; Moore, M.L.; Pollock, J.R.; Rodriguez, M.J.; Shaha, J.S.; Haglin, J.M.; Tokish, J.M. MRI Analysis Demonstrates Improved Reliability in Measuring Shoulder Glenoid Bone Loss Using a Two-Thirds Glenoid Height Technique Compared to the “Best-Fit Circle”. Arthrosc. J. Arthrosc. Relat. Surg. Off. Publ. Arthrosc. Assoc. N. Am. Int. Arthrosc. Assoc. 2023, 40, 666–671. [Google Scholar] [CrossRef]
- Gyftopoulos, S.; Yemin, A.; Beltran, L.; Babb, J.; Bencardino, J. Engaging Hill-Sachs Lesion: Is There an Association between This Lesion and Findings on Mri? Am. J. Roentgenol. 2013, 201, W633–W638. [Google Scholar] [CrossRef]
- Stillwater, L.; Koenig, J.; Maycher, B.; Davidson, M. 3D-MR vs. 3D-CT of the Shoulder in Patients with Glenohumeral Instability. Skelet. Radiol. 2017, 46, 325–331. [Google Scholar] [CrossRef] [PubMed]
- Simão, M.N.; Nogueira-Barbosa, M.H.; Muglia, V.F.; Barbieri, C.H. Anterior Shoulder Instability: Correlation Between Magnetic Resonance Arthrography, Ultrasound Arthrography and Intraoperative Findings. Ultrasound Med. Biol. 2012, 38, 551–560. [Google Scholar] [CrossRef] [PubMed]
- Sugaya, H.; Moriishi, J.; Dohi, M.; Kon, Y.; Tsuchiya, A. Glenoid Rim Morphology in Recurrent Anterior Glenohumeral Instability. J. Bone Joint Surg. Am. 2003, 85, 878–884. [Google Scholar] [CrossRef] [PubMed]
- Yamamoto, N.; Itoi, E.; Abe, H.; Kikuchi, K.; Seki, N.; Minagawa, H.; Tuoheti, Y. Effect of an Anterior Glenoid Defect on Anterior Shoulder Stability. Am. J. Sports Med. 2009, 37, 949–954. [Google Scholar] [CrossRef] [PubMed]
- Shaha, J.S.; Cook, J.B.; Song, D.J.; Rowles, D.J.; Bottoni, C.R.; Shaha, S.H.; Tokish, J.M. Redefining “Critical” Bone Loss in Shoulder Instability: Functional Outcomes Worsen With “Subcritical” Bone Loss. Am. J. Sports Med. 2015, 43, 1719–1725. [Google Scholar] [CrossRef]
- DIckens, J.F.; Owens, B.D.; Cameron, K.L.; DeBerardino, T.M.; Masini, B.D.; Peck, K.Y.; Svoboda, S.J. The Effect of Subcritical Bone Loss and Exposure on Recurrent Instability After Arthroscopic Bankart Repair in Intercollegiate American Football. Am. J. Sports Med. 2017, 45, 1769–1775. [Google Scholar] [CrossRef]
- Cetik, O.; Uslu, M.; Ozsar, B.K. The Relationship between Hill-Sachs Lesion and Recurrent Anterior Shoulder Dislocation. Acta Orthop. Belg. 2007, 73, 175–178. [Google Scholar]
- Armitage, M.S.; Faber, K.J.; Drosdowech, D.S.; Litchfield, R.B.; Athwal, G.S. Humeral Head Bone Defects: Remplissage, Allograft, and Arthroplasty. Orthop. Clin. N. Am. 2010, 41, 417–425. [Google Scholar] [CrossRef]
- Ghodadra, N.; Gupta, A.; Romeo, A.A.; Bach, B.R.; Verma, N.; Shewman, E.; Goldstein, J.; Provencher, M.T. Normalization of Glenohumeral Articular Contact Pressures after Latarjet or Iliac Crest Bone-Grafting. J. Bone Joint Surg. Am. 2010, 92, 1478–1489. [Google Scholar] [CrossRef]
- Chapovsky, F.; Kelly, J.D. Osteochondral Allograft Transplantation for Treatment of Glenohumeral Instability. Arthrosc. J. Arthrosc. Relat. Surg. 2005, 21, 1007.e1–1007.e4. [Google Scholar] [CrossRef] [PubMed]
- Purchase, R.J.; Wolf, E.M.; Hobgood, E.R.; Pollock, M.E.; Smalley, C.C. Hill-Sachs “Remplissage”: An Arthroscopic Solution for the Engaging Hill-Sachs Lesion. Arthrosc. J. Arthrosc. Relat. Surg. 2008, 24, 723–726. [Google Scholar] [CrossRef] [PubMed]
- Prigmore, B.; Tabbaa, S.; Crawford, D.C. Osteochondral Allograft Transplantation in the Shoulder: A Systematic Review of Indications and Outcomes. Cartilage 2023, 15, 219–228. [Google Scholar] [CrossRef]
- Lederman, E.S.; Shah, A.A. A Ratio Estimating Glenoid Bone Loss. JSES Int. 2022, 6, 763–768. [Google Scholar] [CrossRef]
- Moroder, P. Editorial Commentary: Glenoid Bone Loss Measurements in Shoulder Instability—Precise but Not Accurate. Arthrosc. J. Arthrosc. Relat. Surg. 2020, 36, 2314–2315. [Google Scholar] [CrossRef] [PubMed]







Disclaimer/Publisher’s Note: The statements, opinions and data contained in all publications are solely those of the individual author(s) and contributor(s) and not of MDPI and/or the editor(s). MDPI and/or the editor(s) disclaim responsibility for any injury to people or property resulting from any ideas, methods, instructions or products referred to in the content. |
© 2024 by the authors. Licensee MDPI, Basel, Switzerland. This article is an open access article distributed under the terms and conditions of the Creative Commons Attribution (CC BY) license (https://creativecommons.org/licenses/by/4.0/).
Share and Cite
Zinner, M.A.; Neufeld, E.V.; Goodwillie, A.D. The Radiologic Evaluation and Clinical Significance of Glenohumeral Bone Loss in Anterior Shoulder Instability. J. Clin. Med. 2024, 13, 7708. https://doi.org/10.3390/jcm13247708
Zinner MA, Neufeld EV, Goodwillie AD. The Radiologic Evaluation and Clinical Significance of Glenohumeral Bone Loss in Anterior Shoulder Instability. Journal of Clinical Medicine. 2024; 13(24):7708. https://doi.org/10.3390/jcm13247708
Chicago/Turabian StyleZinner, Matthew A., Eric V. Neufeld, and Andrew D. Goodwillie. 2024. "The Radiologic Evaluation and Clinical Significance of Glenohumeral Bone Loss in Anterior Shoulder Instability" Journal of Clinical Medicine 13, no. 24: 7708. https://doi.org/10.3390/jcm13247708
APA StyleZinner, M. A., Neufeld, E. V., & Goodwillie, A. D. (2024). The Radiologic Evaluation and Clinical Significance of Glenohumeral Bone Loss in Anterior Shoulder Instability. Journal of Clinical Medicine, 13(24), 7708. https://doi.org/10.3390/jcm13247708

