Challenging Management of a Rare Complex Cerebral Arteriovenous Malformation in the Corpus Callosum and Post-Central Gyrus: A Case Study of a 41-Year-Old Female
Abstract
1. Introduction
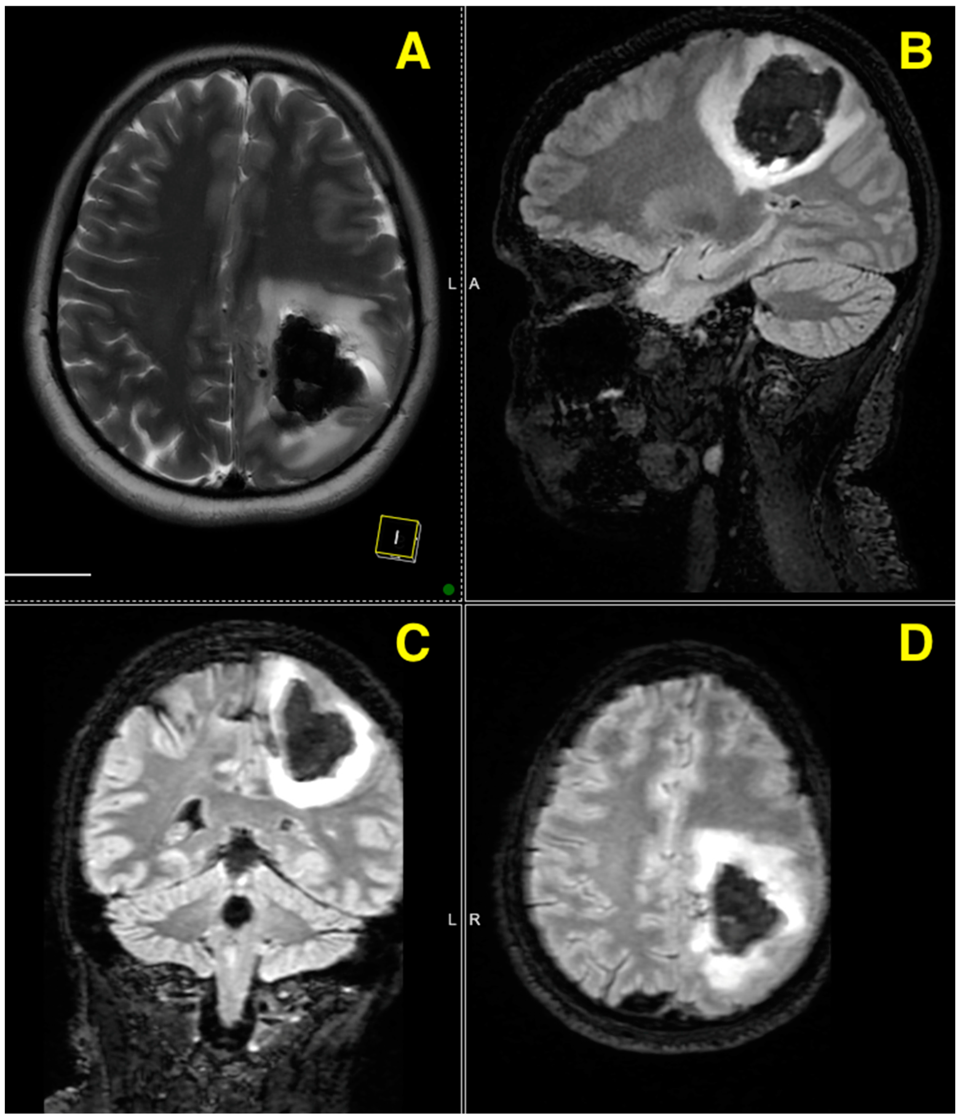
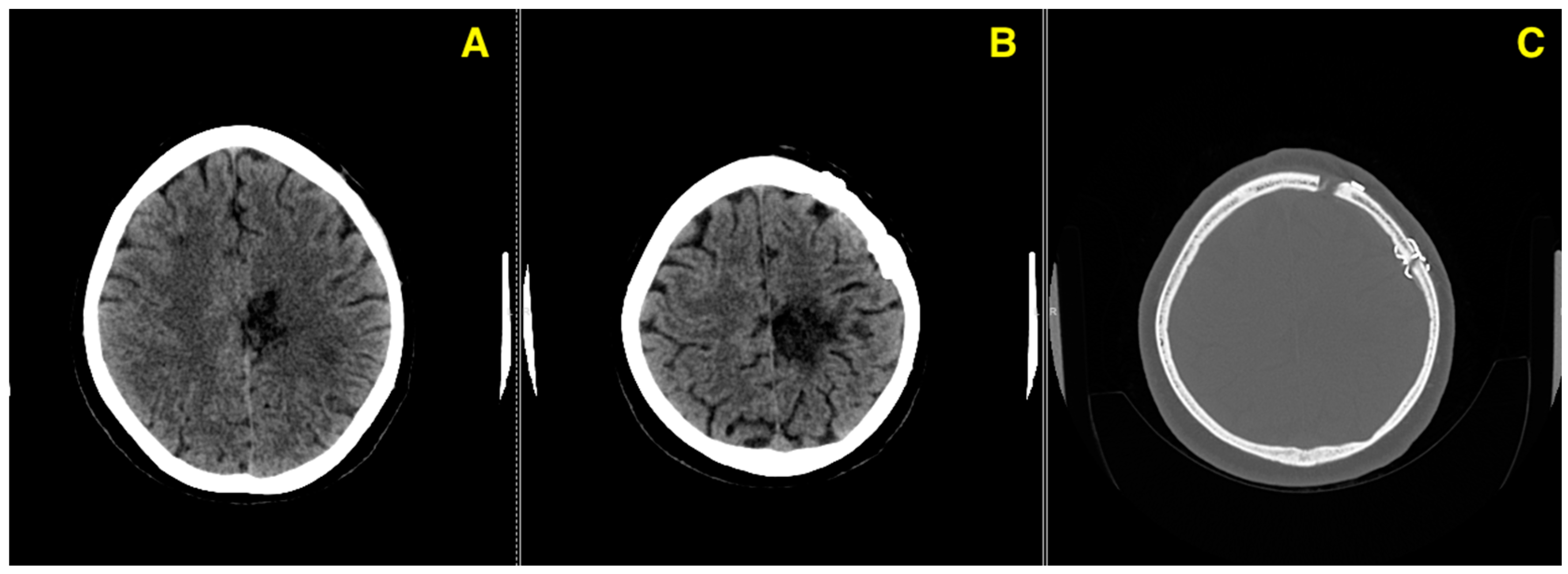
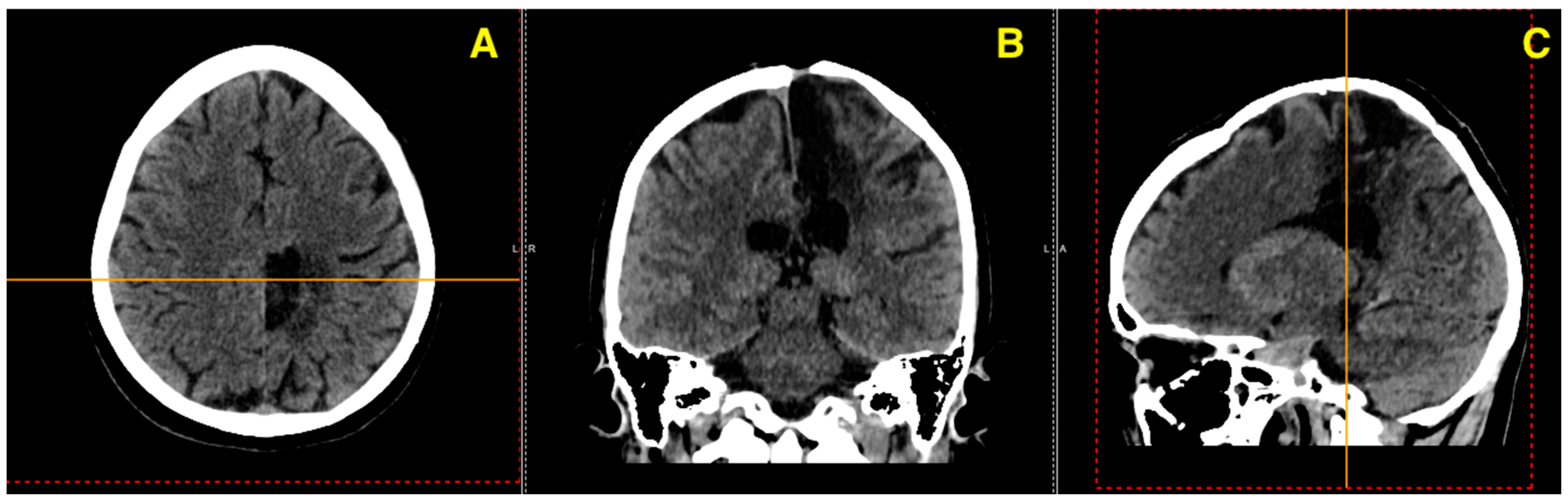
2. Case Presentation
3. Discussion
4. Conclusions
Author Contributions
Funding
Institutional Review Board Statement
Informed Consent Statement
Data Availability Statement
Conflicts of Interest
References
- Lawton, M.T.; Rutledge, W.C.; Kim, H.; Stapf, C.; Whitehead, K.J.; Li, D.Y.; Krings, T.; terBrugge, K.; Kondziolka, D.; Morgan, M.K.; et al. Brain arteriovenous malformations. Nat. Rev. Dis. Primer 2015, 1, 15008. [Google Scholar] [CrossRef]
- Al-Shahi Salman, R.; White, P.M.; Counsell, C.E.; du Plessis, J.; van Beijnum, J.; Josephson, C.B.; Wilkinson, T.; Wedderburn, C.J.; Chandy, Z.; St. George, E.J.; et al. Outcome After Conservative Management or Intervention for Unruptured Brain Arteriovenous Malformations. JAMA 2014, 311, 1661–1669. [Google Scholar] [CrossRef]
- Raghunath, A.; Bennett, N.; Arimappamagan, A.; Bhat, D.I.; Srinivas, D.; Thennarasu, K.; Jamuna, R.; Somanna, S. Impact on cognitive functions following gamma knife radiosurgery for cerebral arteriovenous malformations. J. Neurosci. Rural Pract. 2016, 7, 28–35. [Google Scholar] [CrossRef]
- Chang, E.F.; Gabriel, R.A.; Potts, M.B.; Berger, M.S.; Lawton, M.T. Supratentorial cavernous malformations in eloquent and deep locations: Surgical approaches and outcomes. J. Neurosurg. 2011, 114, 814–827. [Google Scholar] [CrossRef]
- Ismail, M.; Albanaa, S.A.; Neamah, A.M.; Hassan, N.F.; Mohialdeen, Y.A.; Abdulateef, A.A.; Hoz, S.S. Complex arteriovenous malformation of the corpus callosum: Surgical nuances. Indian J. Med. Sci. 2023, 75, 181–184. [Google Scholar] [CrossRef]
- Pabaney, A.H.; Ali, R.; Kole, M.; Malik, G.M. Arteriovenous malformations of the corpus callosum: Pooled analysis and systematic review of literature. Surg. Neurol. Int. 2016, 7, S228–S236. [Google Scholar] [CrossRef]
- Giotta Lucifero, A.; Baldoncini, M.; Bruno, N.; Tartaglia, N.; Ambrosi, A.; Marseglia, G.L.; Galzio, R.; Campero, A.; Hernesniemi, J.; Luzzi, S. Microsurgical Neurovascular Anatomy of the Brain: The Anterior Circulation (Part I). Acta Bio Medica Atenei Parm. 2021, 92, e2021412. [Google Scholar] [CrossRef]
- Mincă, D.I.; Rusu, M.C.; Rădoi, P.M.; Hostiuc, S.; Toader, C. Transcallosal and Pericallosal Courses of the Anterior Cerebral Artery. Medicina 2022, 58, 1365. [Google Scholar] [CrossRef]
- Ma, L.; Huang, Z.; Chen, X.-L.; Ma, J.; Liu, X.-J.; Wang, H.; Ye, X.; Wang, S.-L.; Cao, Y.; Wang, S.; et al. Periventricular Location as a Risk Factor for Hemorrhage and Severe Clinical Presentation in Pediatric Patients with Untreated Brain Arteriovenous Malformations. Am. J. Neuroradiol. 2015, 36, 1550–1557. [Google Scholar] [CrossRef]
- Leacy, R.D.; Ansari, S.A.; Schirmer, C.M.; Cooke, D.L.; Prestigiacomo, C.J.; Bulsara, K.R.; Hetts, S.W. Endovascular treatment in the multimodality management of brain arteriovenous malformations: Report of the Society of NeuroInterventional Surgery Standards and Guidelines Committee. J. Neurointerv. Surg. 2022, 14, 1118–1124. [Google Scholar] [CrossRef]
- Chen, Y.; Li, R.; Ma, L.; Zhao, Y.; Yu, T.; Wang, H.; Ye, X.; Wang, R.; Chen, X.; Zhao, Y. Single-Stage Combined Embolization and Resection for Spetzler-Martin Grade III/IV/V Arteriovenous Malformations: A Single-Center Experience and Literature Review. Front. Neurol. 2020, 11, 570198. [Google Scholar] [CrossRef]
- Zhu, Z.-Y.; Zhang, W.; Zhu, S.-H.; Zhang, G.-J.; Chen, J. Stereotactic radiosurgery alone for brain arteriovenous malformations: A single-institute experience. BMC Neurol. 2024, 24, 368. [Google Scholar] [CrossRef]
- de Liyis, B.G.; Arini, A.A.I.K.; Karuniamaya, C.P.; Pramana, N.A.K.; Tini, K.; Widyadharma, I.P.E.; Setyopranoto, I. Risk of intracranial hemorrhage in brain arteriovenous malformations: A systematic review and meta-analysis. J. Neurol. 2024, 271, 2274–2284. [Google Scholar] [CrossRef]
- Unnithan, A.K.A. Overview of the current concepts in the management of arteriovenous malformations of the brain. Postgrad. Med. J. 2020, 96, 212–220. [Google Scholar] [CrossRef]
- Conger, A.; Kulwin, C.; Lawton, M.T.; Cohen-Gadol, A.A. Diagnosis and evaluation of intracranial arteriovenous malformations. Surg. Neurol. Int. 2015, 6, 76. [Google Scholar] [CrossRef]
- Baharvahdat, H.; Blanc, R.; Termechi, R.; Pistocchi, S.; Bartolini, B.; Redjem, H.; Piotin, M. Hemorrhagic Complications after Endovascular Treatment of Cerebral Arteriovenous Malformations. Am. J. Neuroradiol. 2014, 35, 978–983. [Google Scholar] [CrossRef]
- Su, X.; Wang, Z.; Yang, Z.; Song, J. How I do it? Surgical removal of a corpus callosum arteriovenous malformation using a robotic digital microscope. Acta Neurochir. 2023, 165, 1609–1613. [Google Scholar] [CrossRef]
- Walia, S.; Fisher, K.; Dodd, R.L.; Venkatasubramanian, C. Surgical Management of Spontaneous Intracerebral Hemorrhage. Curr. Treat. Options Neurol. 2021, 23, 28. [Google Scholar] [CrossRef]
- Hao, Q.; Zhang, H.; Han, H.; Jin, H.; Ma, L.; Li, R.; Li, Z.; Li, A.; Yuan, K.; Zhu, Q.; et al. Recurrence of Cerebral Arteriovenous Malformation Following Complete Obliteration Through Endovascular Embolization. Transl. Stroke Res. 2023. [Google Scholar] [CrossRef]
- Dallas, J.; Englot, D.J.; Naftel, R.P. Neurosurgical approaches to pediatric epilepsy: Indications, techniques, and outcomes of common surgical procedures. Seizure-Eur. J. Epilepsy 2020, 77, 76–85. [Google Scholar] [CrossRef]
- Chakravarthi, S.S.; Kassam, A.B.; Fukui, M.B.; Monroy-Sosa, A.; Rothong, N.; Cunningham, J.; Jennings, J.E.; Guenther, N.; Connelly, J.; Kaemmerer, T.; et al. Awake Surgical Management of Third Ventricular Tumors: A Preliminary Safety, Feasibility, and Clinical Applications Study. Oper. Neurosurg. 2019, 17, 208. [Google Scholar] [CrossRef]
- Wang, M.; Jiao, Y.; Zeng, C.; Zhang, C.; He, Q.; Yang, Y.; Tu, W.; Qiu, H.; Shi, H.; Zhang, D.; et al. Chinese Cerebrovascular Neurosurgery Society and Chinese Interventional & Hybrid Operation Society, of Chinese Stroke Association Clinical Practice Guidelines for Management of Brain Arteriovenous Malformations in Eloquent Areas. Front. Neurol. 2021, 12, 651663. [Google Scholar] [CrossRef] [PubMed]
- Brosnan, C.; Amoo, M.; Javadpour, M. Preoperative embolisation of brain arteriovenous malformations: A systematic review and meta-analysis. Neurosurg. Rev. 2022, 45, 2051–2063. [Google Scholar] [CrossRef] [PubMed]
- Park, M.T.; Essibayi, M.A.; Srinivasan, V.M.; Catapano, J.S.; Graffeo, C.S.; Lawton, M.T. Surgical management outcomes of intracranial arteriovenous malformations after preoperative embolization: A systematic review and meta-analysis. Neurosurg. Rev. 2022, 45, 3499–3510. [Google Scholar] [CrossRef]
- Mohr, J.P.; Overbey, J.R.; Hartmann, A.; von Kummer, R.; Salman, R.A.-S.; Kim, H.; van der Worp, H.B.; Parides, M.K.; Stefani, M.A.; Houdart, E.; et al. Medical management with interventional therapy versus medical management alone for unruptured brain arteriovenous malformations (ARUBA): Final follow-up of a multicentre, non-blinded, randomised controlled trial. Lancet Neurol. 2020, 19, 573–581. [Google Scholar] [CrossRef]
- Lawton, M.T. The Role of AVM Microsurgery in the Aftermath of A Randomized Trial of Unruptured Brain Arteriovenous Malformations. Am. J. Neuroradiol. 2015, 36, 617–619. [Google Scholar] [CrossRef]







| Authors and Year | Number of Patients | Sex Ratio (M:F) | AVM Artery | AVM Diameter | Treatment Option | Complications |
|---|---|---|---|---|---|---|
| Liyis et al., 2024 [13] | 112 | 1.2:1 | Pericallosal, posterior cerebral | 1.5–5 cm | Microsurgery, embolization | 5% hemorrhage, 4% new neurological deficits |
| Brosnan et al., 2022 [23] | 250 | 1.1:1 | Anterior cerebral, MCA | 2–5 cm | Multimodal: embolization, microsurgery | 18.8% death or dependency, 13.2% neurological deficits |
| Park et al., 2022 [24] | National Sample | 1.2:1 | MCA, posterior cerebral | 2–4 cm | Microsurgery, embolization, radiosurgery | 3.9% annual stroke risk for medical management vs. 12.5% for interventional treatment |
| Mohr et al., 2020 [25] | 109 | 1.1:1 | MCA, basilar artery | 2–5 cm | Conservative treatment, intervention (microsurgery, embolization) | 30.7% stroke/death in the intervention group vs. 10.1% in the medical group |
| Lawton et al., 2015 [26] | 300 | 1.3:1 | MCA, anterior cerebral, posterior cerebral | 1.5–4.5 cm | Microsurgery, preoperative embolization | 8% recurrence, 5% postoperative deficits |
Disclaimer/Publisher’s Note: The statements, opinions and data contained in all publications are solely those of the individual author(s) and contributor(s) and not of MDPI and/or the editor(s). MDPI and/or the editor(s) disclaim responsibility for any injury to people or property resulting from any ideas, methods, instructions or products referred to in the content. |
© 2024 by the authors. Licensee MDPI, Basel, Switzerland. This article is an open access article distributed under the terms and conditions of the Creative Commons Attribution (CC BY) license (https://creativecommons.org/licenses/by/4.0/).
Share and Cite
Toader, C.; Brehar, F.M.; Radoi, M.P.; Covache-Busuioc, R.A.; Serban, M.; Ciurea, A.V.; Dobrin, N. Challenging Management of a Rare Complex Cerebral Arteriovenous Malformation in the Corpus Callosum and Post-Central Gyrus: A Case Study of a 41-Year-Old Female. J. Clin. Med. 2024, 13, 7494. https://doi.org/10.3390/jcm13247494
Toader C, Brehar FM, Radoi MP, Covache-Busuioc RA, Serban M, Ciurea AV, Dobrin N. Challenging Management of a Rare Complex Cerebral Arteriovenous Malformation in the Corpus Callosum and Post-Central Gyrus: A Case Study of a 41-Year-Old Female. Journal of Clinical Medicine. 2024; 13(24):7494. https://doi.org/10.3390/jcm13247494
Chicago/Turabian StyleToader, Corneliu, Felix Mircea Brehar, Mugurel Petrinel Radoi, Razvan Adrian Covache-Busuioc, Matei Serban, Alexandru Vladimir Ciurea, and Nicolaie Dobrin. 2024. "Challenging Management of a Rare Complex Cerebral Arteriovenous Malformation in the Corpus Callosum and Post-Central Gyrus: A Case Study of a 41-Year-Old Female" Journal of Clinical Medicine 13, no. 24: 7494. https://doi.org/10.3390/jcm13247494
APA StyleToader, C., Brehar, F. M., Radoi, M. P., Covache-Busuioc, R. A., Serban, M., Ciurea, A. V., & Dobrin, N. (2024). Challenging Management of a Rare Complex Cerebral Arteriovenous Malformation in the Corpus Callosum and Post-Central Gyrus: A Case Study of a 41-Year-Old Female. Journal of Clinical Medicine, 13(24), 7494. https://doi.org/10.3390/jcm13247494

