Immune Profile and MRI-Detected Cardiac Fibrosis and Edema in Hypertensive and Non-Hypertensive Patients with COVID-19
Abstract
1. Introduction
2. Materials and Methods
2.1. Study Design and Participants
2.2. Biomarker Quantification
Peripheral Blood Mononuclear Cell Isolation
2.3. Flow Cytometry
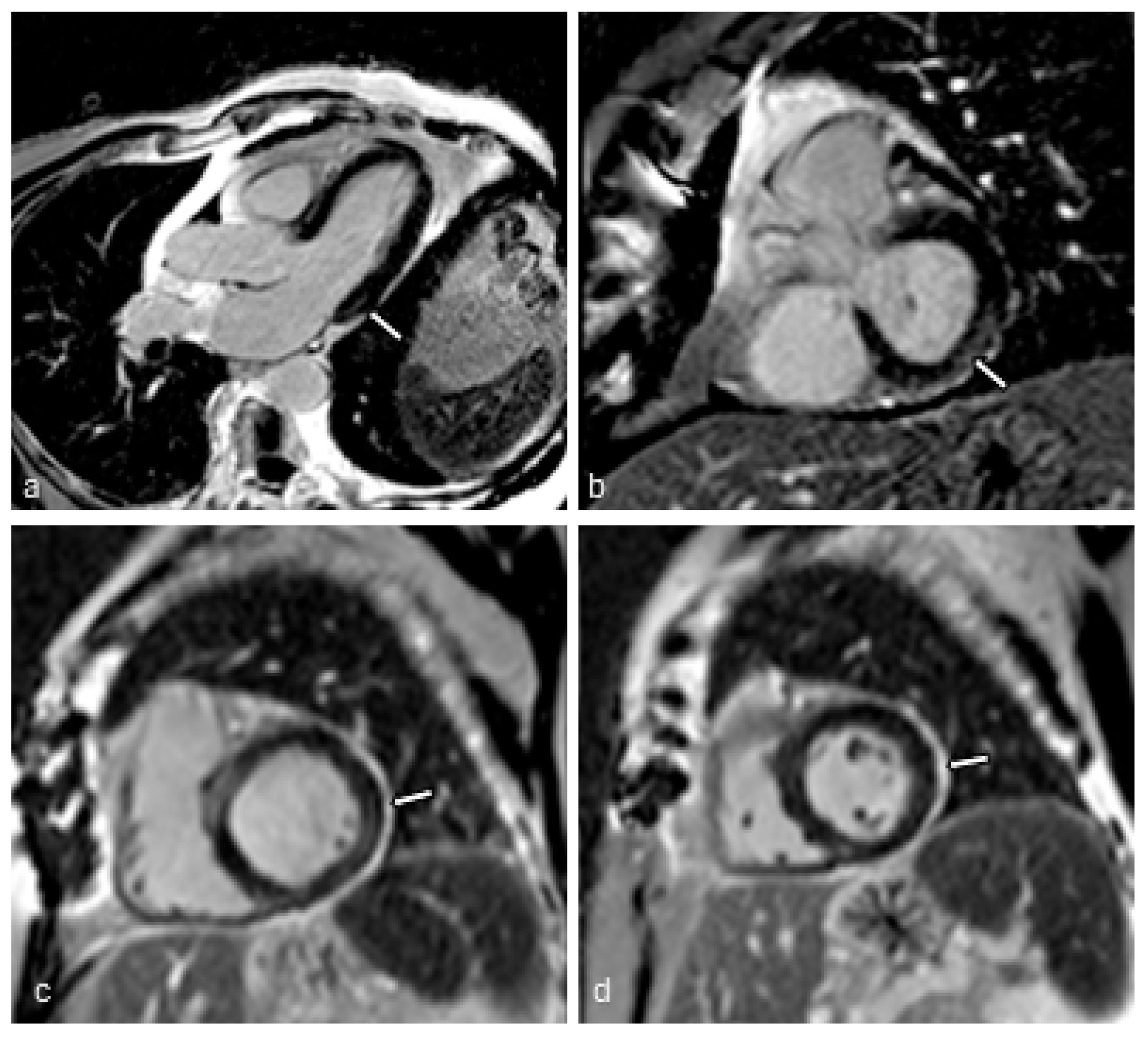
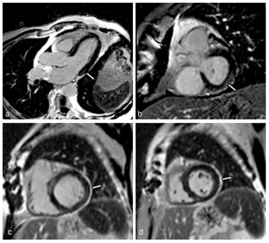
2.4. Cardiac MRI Protocol
2.4.1. Image Acquisition
2.4.2. Image Analysis
2.5. Outcomes
2.6. Statistical Analysis
3. Results
3.1. Immune Signatures
3.2. MRI Findings
3.3. Correlations
4. Discussion
4.1. Immune Biomarkers
4.2. Cardiac MRI Findings
4.3. Associations Between Biomarkers and Cardiac MRI Parameters
5. Conclusions
Supplementary Materials
Author Contributions
Funding
Institutional Review Board Statement
Informed Consent Statement
Data Availability Statement
Acknowledgments
Conflicts of Interest
References
- Faria, D.; Moll-Bernardes, R.J.; Testa, L.; Moniz, C.M.; Rodrigues, E.C.; Rodrigues, A.G.; Araujo, A.; Alves, M.J.; Ono, B.E.; Izaias, J.E.; et al. Sympathetic neural overdrive, aortic stiffening, endothelial dysfunction, and impaired exercise capacity in severe COVID-19 survivors: A mid-term study of cardiovascular sequelae. Hypertension 2023, 80, 470–481. [Google Scholar] [CrossRef]
- Compagnucci, P.; Volpato, G.; Pascucci, R.; Falanga, U.; Misiani, A.; Molini, S.; Spinucci, G.; Cipolletta, L.; Conti, M.; Grifoni, G.; et al. Impact of the COVID-19 pandemic on a tertiary-level electrophysiology laboratory in Italy. Circ. Arrhythmia Electrophysiol. 2020, 13, e008774. [Google Scholar] [CrossRef]
- Huang, S.; Wang, J.; Liu, F.; Liu, J.; Cao, G.; Yang, C.; Liu, W.; Tu, C.; Zhu, M.; Xiong, B. COVID-19 patients with hypertension have more severe disease: A multicenter retrospective observational study. Hypertens. Res. 2020, 43, 824–831. [Google Scholar] [CrossRef]
- Moll-Bernardes, R.; Ferreira, J.R.; Sousa, A.S.; Tortelly, M.B.; Pimentel, A.L.; Figueiredo, A.C.B.; Schaustz, E.B.; Secco, J.C.P.; Sales, A.R.K.; Terzi, F.V.; et al. Impact of the immune profiles of hypertensive patients with and without obesity on COVID-19 severity. Int. J. Obes. 2024, 48, 254–262. [Google Scholar] [CrossRef]
- Moll-Bernardes, R.; Ferreira, J.R.; Schaustz, E.B.; Sousa, A.S.; Mattos, J.D.; Tortelly, M.B.; Pimentel, A.L.; Figueiredo, A.C.B.; Noya-Rabelo, M.M.; Fortier, S.; et al. New insights on the mechanisms of myocardial injury in hypertensive patients with COVID-19. J. Clin. Immunol. 2023, 43, 1496–1505. [Google Scholar] [CrossRef]
- Moll-Bernardes, R.; De Sousa, A.S.; Macedo, A.V.; Lopes, R.D.; Vera, N.; Maia, L.C.; Feldman, A.; Arruda, G.D.; Castro, M.J.; Pimentel-Coelho, P.M.; et al. IL-10 and IL-12 (P70) levels predict the risk of COVID-19 progression in hypertensive patients: Insights from the BRACE-CORONA trial. Front. Cardiovasc. Med. 2021, 8, 702507. [Google Scholar] [CrossRef]
- Moll-Bernardes, R.; Fortier, S.C.; Sousa, A.S.; Lopes, R.D.; Vera, N.; Conde, L.; Feldman, A.; Arruda, G.; Cabral-Castro, M.; Albuquerque, D.C.; et al. NKG2A Expression among CD8 Cells Is Associated with COVID-19 Progression in Hypertensive Patients: Insights from the BRACE CORONA Randomized Trial. J. Clin. Med. 2022, 11, 3713. [Google Scholar] [CrossRef]
- Huang, F.; Liu, X.; Sun, X.; Li, Z. IL-10 served as an indicator in severe COVID-19 patients. J. Med. Virol. 2020, 93, 1233–1235. [Google Scholar] [CrossRef]
- Liu, Q.Q.; Cheng, A.; Wang, Y.; Li, H.; Hu, L.; Zhao, X.; Wang, T.; He, F. Cytokines and their relationship with the severity and prognosis of coronavirus disease 2019 (COVID-19): A retrospective cohort study. BMJ Open 2020, 10, e041471. [Google Scholar] [CrossRef]
- Mehta, P.; McAuley, D.F.; Brown, M.; Sanchez, E.; Tattersall, R.S.; Manson, J.J. COVID-19: Consider cytokine storm syndromes and immunosuppression. Lancet 2020, 395, 1033–1034. [Google Scholar] [CrossRef]
- Moll-Bernardes, R.; Mattos, J.D.; Schaustz, E.B.; Sousa, A.S.; Ferreira, J.R.; Tortelly, M.B.; Pimentel, A.M.; Figueiredo, A.C.B.; Noya-Rabelo, M.M.; Sales, A.R.; et al. Troponin in COVID-19: To Measure or Not to Measure? Insights from a Prospective Cohort Study. J. Clin. Med. 2022, 11, 5951. [Google Scholar] [CrossRef]
- Puntmann, V.O.; Carerj, M.L.; Wieters, I.; Fahim, M.; Arendt, C.; Hoffmann, J.; Shchendrygina, A.; Escher, F.; Vasa-Nicotera, M.; Zeiher, A.M.; et al. Outcomes of cardiovascular magnetic resonance imaging in patients recently recovered from coronavirus disease 2019 (COVID-19). JAMA Cardiol. 2020, 5, 1265–1273. [Google Scholar] [CrossRef]
- Breitbart, P.; Koch, A.; Schmidt, M.; Magedanz, A.; Lindhoff-Last, E.; Voigtländer, T.; Schmermund, A.; Mehta, R.H.; Eggebrecht, H. Clinical and cardiac magnetic resonance findings in post-COVID patients referred for suspected myocarditis. Clin. Res. Cardiol. 2021, 110, 1832–1840. [Google Scholar] [CrossRef]
- Clark, D.E.; Parikh, A.; Dendy, J.M.; Diamond, A.B.; George-Durrett, K.; Fish, F.A.; Slaughter, J.C.; Fitch, W.; Hughes, S.G.; Soslow, J.H. COVID-19 myocardial pathology evaluation in athletes with cardiac magnetic resonance (COMPETE CMR). Circulation 2021, 143, 609–612. [Google Scholar] [CrossRef]
- Huang, L.; Zhao, P.; Tang, D.; Zhu, T.; Han, R.; Zhan, C.; Liu, W.; Zeng, H.; Tao, Q.; Xia, L. Cardiac involvement in patients recovered from COVID-2019 identified using magnetic resonance imaging. Cardiovasc. Imaging 2020, 13, 2330–2339. [Google Scholar] [CrossRef]
- Knight, D.S.; Kotecha, T.; Razvi, Y.; Chacko, L.; Brown, J.T.; Jeetley, P.S.; Goldring, J.; Jacobs, M.; Lamb, L.E.; Negus, R.; et al. COVID-19: Myocardial injury in survivors. Circulation 2020, 142, 1120–1122. [Google Scholar] [CrossRef]
- Vago, H.; Szabo, L.; Dohy, Z.; Merkely, B. Cardiac magnetic resonance findings in patients recovered from COVID-19: Initial experiences in elite athletes. Cardiovasc. Imaging 2021, 14, 1279–1281. [Google Scholar]
- Wang, H.; Li, R.; Zhou, Z.; Jiang, H.; Yan, Z.; Tao, X.; Li, H.; Xu, L. Cardiac involvement in COVID-19 patients: Mid-term follow up by cardiovascular magnetic resonance. J. Cardiovasc. Magn. Reson. 2021, 23, 14. [Google Scholar] [CrossRef]
- Shafiabadi Hassani, N.; Talakoob, H.; Karim, H.; MozafaryBazargany, M.; Rastad, H. Cardiac magnetic resonance imaging findings in 2954 COVID-19 adult survivors: A comprehensive systematic review. J. Magn. Reson. Imaging 2022, 55, 866–880. [Google Scholar] [CrossRef]
- Niu, J.; Zeng, M.; Wang, Y.; Liu, J.; Li, H.; Wang, S.; Zhou, X.; Wang, J.; Li, Y.; Hou, F.; et al. Sensitive marker for evaluation of hypertensive heart disease: Extracellular volume and myocardial strain. BMC Cardiovasc. Disord. 2020, 20, 292. [Google Scholar] [CrossRef]
- Rettmann, D.W.; Saranathan, M.; Wu, K.C.; Azevedo, C.F.; Bluemke, D.A.; Foo, T.K. High temporal resolution breathheld 3D FIESTA CINE imaging: Validation of ventricular function in patients with chronic myocardial infarction. J. Magn. Reson. Imaging Off. J. Int. Soc. Magn. Reson. Med. 2007, 25, 1141–1146. [Google Scholar] [CrossRef] [PubMed]
- Schelbert, E.B.; Piehler, K.M.; Zareba, K.M.; Moon, J.C.; Ugander, M.; Messroghli, D.R.; Valeti, U.S.; Chang, C.C.H.; Shroff, S.G.; Diez, J.; et al. Myocardial fibrosis quantified by extracellular volume is associated with subsequent hospitalization for heart failure, death, or both across the spectrum of ejection fraction and heart failure stage. J. Am. Heart Assoc. 2015, 4, e002613. [Google Scholar] [CrossRef]
- Messroghli, D.R. Modified Look-Locker inversion recovery (MOLLI) for high-resolution T_1 mapping of the heart. Magn. Reson. Med. 2004, 52, 141–146. [Google Scholar] [CrossRef] [PubMed]
- Messroghli, D.R.; Plein, S.; Higgins, D.M.; Walters, K.; Jones, T.R.; Ridgway, J.P.; Sivananthan, M.U. Human myocardium: Single-breath-hold MR T1 mapping with high spatial resolution—Reproducibility study. Radiology 2006, 238, 1004–1012. [Google Scholar] [CrossRef]
- Lorenz, C.H.; Walker, E.S.; Morgan, V.L.; Klein, S.S.; Graham, T.P. Normal human right and left ventricular mass, systolic function, and gender differences by cine magnetic resonance imaging. J. Cardiovasc. Magn. Reson. 1999, 1, 7–21. [Google Scholar] [CrossRef]
- Moon, J.C.; Messroghli, D.R.; Kellman, P.; Piechnik, S.K.; Robson, M.D.; Ugander, M.; Gatehouse, P.D.; Arai, A.E.; Friedrich, M.G.; Neubauer, S.; et al. Myocardial T1 mapping and extracellular volume quantification: A Society for Cardiovascular Magnetic Resonance (SCMR) and CMR Working Group of the European Society of Cardiology consensus statement. J. Cardiovasc. Magn. Reson. 2013, 15, 92. [Google Scholar] [CrossRef]
- Haaf, P.; Garg, P.; Messroghli, D.R.; Broadbent, D.A.; Greenwood, J.P.; Plein, S. Cardiac T1 mapping and extracellular volume (ECV) in clinical practice: A comprehensive review. J. Cardiovasc. Magn. Reson. 2016, 18, 89. [Google Scholar] [CrossRef]
- Liu, P.P.; Blet, A.; Smyth, D.; Li, H. The science underlying COVID-19: Implications for the cardiovascular system. Circulation 2020, 142, 68–78. [Google Scholar] [CrossRef]
- Rostami, M.; Mansouritorghabeh, H. D-dimer level in COVID-19 infection: A systematic review. Expert Rev. Hematol. 2020, 13, 1265–1275. [Google Scholar] [CrossRef]
- Antonioli, L.; Fornai, M.; Pellegrini, C.; Blandizzi, C. NKG2A and COVID-19: Another brick in the wall. Cell. Mol. Immunol. 2020, 17, 672–674. [Google Scholar] [CrossRef]
- Yaqinuddin, A.; Kashir, J. Innate immunity in COVID-19 patients mediated by NKG2A receptors, and potential treatment using Monalizumab, Cholroquine, and antiviral agents. Med. Hypotheses 2020, 140, 109777. [Google Scholar] [CrossRef]
- Zhang, C.; Wang, X.-M.; Li, S.-R.; Twelkmeyer, T.; Wang, W.-H.; Zhang, S.-Y.; Wang, S.-F.; Chen, J.-Z.; Jin, X.; Wu, Y.-Z.; et al. NKG2A is a NK cell exhaustion checkpoint for HCV persistence. Nat. Commun. 2019, 10, 1507. [Google Scholar] [CrossRef] [PubMed]
- Adamo, L.; Rocha-Resende, C.; Mann, D.L. The emerging role of B lymphocytes in cardiovascular disease. Annu. Rev. Immunol. 2020, 38, 99–121. [Google Scholar] [CrossRef]
- Yan, X.; Anzai, A.; Katsumata, Y.; Matsuhashi, T.; Ito, K.; Endo, J.; Yamamoto, T.; Takeshima, A.; Shinmura, K.; Shen, W.; et al. Temporal dynamics of cardiac immune cell accumulation following acute myocardial infarction. J. Mol. Cell. Cardiol. 2013, 62, 24–35. [Google Scholar] [CrossRef] [PubMed]
- Pinto, A.R.; Ilinykh, A.; Ivey, M.J.; Kuwabara, J.T.; D’antoni, M.L.; Debuque, R.; Chandran, A.; Wang, L.; Arora, K.; Rosenthal, N.A.; et al. Revisiting cardiac cellular composition. Circ. Res. 2016, 118, 400–409. [Google Scholar] [CrossRef] [PubMed]
- Rocha-Resende, C.; Pani, F.; Adamo, L. B cells modulate the expression of MHC-II on cardiac CCR2− macrophages. J. Mol. Cell. Cardiol. 2021, 157, 98–103. [Google Scholar] [CrossRef]
- Pietri, P.; Vyssoulis, G.; Vlachopoulos, C.; Zervoudaki, A.; Gialernios, T.; Aznaouridis, K.; Stefanadis, C. Relationship between low-grade inflammation and arterial stiffness in patients with essential hypertension. J. Hypertens. 2006, 24, 2231–2238. [Google Scholar] [CrossRef]
- Cereda, A.; Toselli, M.; Palmisano, A.; Vignale, D.; Khokhar, A.; Campo, G.; Bertini, M.; Loffi, M.; Andreini, D.; Pontone, G.; et al. Coronary calcium score as a predictor of outcomes in the hypertensive Covid-19 population: Results from the Italian (S) Core-COVID-19 Registry. Hypertens. Res. 2022, 45, 333–343. [Google Scholar] [CrossRef]
- Li, X.; Wang, H.; Zhao, R.; Wang, T.; Zhu, Y.; Qian, Y.; Liu, B.; Yu, Y.; Han, Y. Elevated extracellular volume fraction and reduced global longitudinal strains in participants recovered from COVID-19 without clinical cardiac findings. Radiology 2021, 299, E230–E240. [Google Scholar] [CrossRef]
- Singh, T.; Kite, T.A.; Joshi, S.S.; Spath, N.B.; Kershaw, L.; Baker, A.; Jordan, H.; Gulsin, G.S.; Williams, M.C.; Van Beek, E.J.; et al. MRI and CT coronary angiography in survivors of COVID-19. Heart 2022, 108, 46–53. [Google Scholar] [CrossRef]
- Casella, M.; Gasperetti, A.; Compagnucci, P.; Narducci, M.L.; Pelargonio, G.; Catto, V.; Carbucicchio, C.; Bencardino, G.; Conte, E.; Schicchi, N. Different phases of disease in lymphocytic myocarditis: Clinical and electrophysiological characteristics. Clin. Electrophysiol. 2023, 9, 314–326. [Google Scholar] [CrossRef] [PubMed]
- Brito, D.; Meester, S.; Yanamala, N.; Patel, H.B.; Balcik, B.J.; Casaclang-Verzosa, G.; Seetharam, K.; Riveros, D.; Beto, R.J.; Balla, S.; et al. High prevalence of pericardial involvement in college student athletes recovering from COVID-19. Cardiovasc. Imaging 2021, 14, 541–555. [Google Scholar] [CrossRef] [PubMed]
- Dove, M.L.; Oster, M.E.; Hashemi, S.; Slesnick, T.C. Cardiac magnetic resonance findings after multisystem inflammatory syndrome in children. J. Pediatr. 2022, 245, 95–101. [Google Scholar] [CrossRef] [PubMed]
- Bartoszek, M.; Małek, Ł.A.; Barczuk-Falęcka, M.; Brzewski, M. Cardiac magnetic resonance follow-up of children after pediatric inflammatory multisystem syndrome temporally associated with SARS-CoV-2 with initial cardiac involvement. J. Magn. Reson. Imaging 2022, 55, 883–891. [Google Scholar] [CrossRef]
- Wang, H.; Deng, W.; Zhang, Y.; Yang, J.; Wang, Z.; Liu, B.; Han, Y.; Yu, Y.; Zhao, R.; Li, X. Changes in subclinical cardiac abnormalities 1 Year after recovering from COVID-19 in patients without clinical cardiac findings. Heliyon 2024, 10, e27380. [Google Scholar] [CrossRef]
- Cremonesi, M.; Felicetta, A.; Cannata, F.; Serio, S.; van Beek, J.J.; Bombace, S.; My, I.; Zanon, V.; Catalano, C.; Papadopoulou, V.; et al. Long COVID-19 Cardiac Complications Are Associated With Autoimmunity to Cardiac Self-Antigens Sufficient to Cause Cardiac Dysfunction. Circulation 2023, 148, 504–507. [Google Scholar] [CrossRef]
- Ramos, G.C.; van den Berg, A.; Nunes-Silva, V.; Weirather, J.; Peters, L.; Burkard, M.; Friedrich, M.; Pinnecker, J.; Abeßer, M.; Heinze, K.G.; et al. Myocardial aging as a T-cell–mediated phenomenon. Proc. Natl. Acad. Sci. USA 2017, 114, E2420–E2429. [Google Scholar] [CrossRef]




| Characteristics | Total | Hypertension | χ2 Test p-Value | ||||
|---|---|---|---|---|---|---|---|
| No | Yes | ||||||
| n | (%) | n | (%) | n | (%) | ||
| Sex | |||||||
| Male | 34 | (73.9) | 17 | (68.0) | 17 | (81.0) | 0.502 |
| Female | 12 | (26.1) | 8 | (32.0) | 4 | (19.0) | |
| Age | |||||||
| 18–59 years | 24 | (52.2) | 17 | (68.0) | 7 | (33.3) | 0.037 |
| 60–87 years | 22 | (47.8) | 8 | (32.0) | 14 | (66.7) | |
| Diabetes | |||||||
| No | 34 | (73.9) | 23 | (92.0) | 11 | (52.4) | 0.005 |
| Yes | 12 | (26.1) | 2 | (8.0) | 10 | (47.6) | |
| Cardiac disease a | |||||||
| No | 37 | (80.4) | 23 | (92.0) | 14 | (66.7) | 0.059 |
| Yes | 9 | (19.6 | 2 | (8.0) | 7 | (33.3) | |
| Pulmonary disease b | |||||||
| No | 43 | (93.5) | 25 | (100.0) | 18 | (85.7) | 0.088 |
| Yes | 3 | (6.5) | 0 | (0.0) | 3 | (14.3) | |
| Obesity | |||||||
| No | 25 | (54.3 | 15 | (60.0) | 10 | (47.6) | 0.553 |
| Yes | 21 | (45.7) | 10 | (40.0) | 11 | (52.4) | |
| Myocardial injury c | |||||||
| No | 12 | (26.1) | 8 | (32.0) | 4 | (19.0) | 0.502 |
| Yes | 34 | (73.9) | 17 | (68.0) | 17 | (81.0) | |
| D-dimer | |||||||
| No | 8 | (17.4) | 4 | (16.0) | 6 | (28.6) | 0.475 |
| Yes | 36 | (78.3) | 21 | (84.0) | 15 | (71.4) | |
| TOTAL | 46 | (100.0) | 25 | (100.0) | 21 | (100.0) | |
| Immune Markers | n | Mean | SD | Minimum | Median | Maximum | p-Value * |
|---|---|---|---|---|---|---|---|
| Monocytes (%) | 30 | 5.9 | 5.5 | 0.1 | 4.4 | 18.3 | 0.236 |
| B lymphocytes (%) | 30 | 12.7 | 10.2 | 2.3 | 9.5 | 45.8 | 0.034 |
| NK lymphocytes (%) | 30 | 19.9 | 16.1 | 3.8 | 14.4 | 75.0 | 0.273 |
| NK NKG2A (%) | 30 | 32.2 | 13.7 | 6.5 | 32.2 | 58.2 | 0.987 |
| NK NKG2A MFI | 30 | 3116.6 | 1012.8 | 1317.2 | 3134.4 | 5293.2 | 0.959 |
| Total lymphocytes (%) | 30 | 39.1 | 21.5 | 1.2 | 41.8 | 69.5 | 0.629 |
| T lymphocytes (%) | 30 | 64.9 | 16.2 | 22.3 | 67.9 | 87.6 | 0.735 |
| CD4+ T cells (%) | 30 | 57.0 | 16.3 | 23.2 | 62.1 | 80.4 | 0.486 |
| CD8+ T cells (%) | 30 | 34.9 | 13.2 | 1.6 | 31.7 | 63.3 | 0.660 |
| CD8+ CD38+ T cells (%) | 30 | 22.7 | 18.8 | 4.0 | 16.6 | 77.3 | 0.202 |
| CD8+ CD38+ (MFI) | 30 | 2653.3 | 1114.8 | 1372.0 | 2240.1 | 5075.7 | 0.127 |
| CD8+ HLA-DR+ T cells (%) | 30 | 8.9 | 16.9 | 0.5 | 4.5 | 88.8 | 0.002 |
| CD8+ HLA-DR+ MFI | 30 | 7210.0 | 3222.0 | 2239.1 | 6877.2 | 13,499.4 | 0.519 |
| CD8+ NKG2A cells (%) | 30 | 6.4 | 5.2 | 0.0 | 5.7 | 25.6 | 0.643 |
| CD8+ NKG2A MFI | 30 | 2965.9 | 1086.1 | 0.0 | 2937.7 | 4605.0 | 0.934 |
| CD8+ HLA-DR+ CD38− cells (%) | 30 | 3.3 | 8.4 | 0.0 | 1.0 | 45.4 | 0.001 |
| CD8+ HLA-DR+ CD38+ cells (%) | 30 | 5.6 | 8.7 | 0.3 | 3.1 | 43.4 | 0.006 |
| CD8+ HLA-DR− CD38+ cells (%) | 30 | 17.1 | 18.6 | 2.0 | 11.4 | 74.1 | 0.056 |
| CD8+ HLA-DR− CD38− cells (%) | 30 | 73.9 | 22.0 | 8.9 | 82.2 | 95.7 | 0.056 |
| EGF | 39 | 28.4 | 46.1 | 0.5 | 8.7 | 195.6 | 0.002 |
| Eotaxin | 39 | 141.7 | 100.4 | 1.9 | 118.0 | 539.4 | 0.514 |
| GCSF | 39 | 315.0 | 999.5 | 0.0 | 51.4 | 4500.1 | <0.001 |
| GMCSF | 39 | 50.2 | 251.7 | 0.1 | 3.6 | 1574.8 | <0.001 |
| IFNa2 | 39 | 95.0 | 208.0 | 0.0 | 55.2 | 1305.8 | <0.001 |
| IL1beta | 39 | 12.2 | 51.4 | 0.1 | 0.5 | 309.4 | <0.001 |
| ILRA | 39 | 100.4 | 265.6 | 0.1 | 33.4 | 1664.6 | <0.001 |
| IL-2 | 39 | 14.3 | 65.4 | 0.0 | 0.5 | 400.5 | <0.001 |
| IL-3 | 39 | 4.3 | 18.3 | 0.0 | 0.0 | 90.0 | <0.001 |
| IL-4 | 39 | 465.4 | 1.505.0 | 0.0 | 0.3 | 8133.5 | <0.001 |
| IL-5 | 39 | 23.5 | 84.0 | 0.1 | 1.5 | 516.2 | <0.001 |
| IL-6 | 39 | 39.5 | 66.7 | 0.0 | 7.3 | 244.2 | 0.001 |
| IL-7 | 39 | 21.9 | 70.7 | 0.0 | 5.6 | 440.8 | <0.001 |
| IL-17A | 39 | 28.6 | 138.7 | 0.0 | 1.5 | 865.6 | <0.001 |
| IL-8 | 39 | 28.9 | 45.3 | 0.1 | 11.8 | 216.8 | 0.002 |
| IL-10 | 39 | 117.0 | 336.6 | 0.2 | 14.9 | 1710.5 | <0.001 |
| IL-13 | 39 | 33.4 | 95.2 | 0.0 | 0.9 | 513.6 | <0.001 |
| IL-15 | 39 | 21.2 | 88.9 | 0.2 | 3.3 | 555.3 | <0.001 |
| IL-12P70 | 39 | 58.8 | 326.3 | 0.0 | 2.0 | 2040.9 | <0.001 |
| IL-12P40 | 39 | 39.3 | 188.4 | 0.0 | 2.4 | 1177.3 | <0.001 |
| IP10 | 39 | 2629.0 | 2870.4 | 0.0 | 1820.0 | 13,282.5 | 0.115 |
| MCP1 | 39 | 535.1 | 669.9 | 0.2 | 257.3 | 3023.7 | 0.006 |
| MIP1beta | 39 | 20.9 | 41.1 | 0.0 | 8.6 | 237.6 | <0.001 |
| MIP1alpha | 39 | 14.4 | 33.8 | 0.0 | 3.9 | 160.6 | <0.001 |
| TNFalpha | 39 | 29.9 | 70.2 | 0.1 | 8.1 | 326.1 | <0.001 |
| TNFbeta | 39 | 47.8 | 118.1 | 0.0 | 3.7 | 579.7 | <0.001 |
| VEGF | 39 | 102.7 | 120.6 | 0.0 | 50.9 | 536.1 | 0.083 |
| Immune Cells | Hypertension | Mean | SD | Minimum | Median | Maximum | p-Value * |
|---|---|---|---|---|---|---|---|
| Monocytes (%) | No | 5.8 | 5.1 | 0.3 | 4.0 | 18.3 | 0.728 |
| Yes | 6.0 | 6.1 | 0.1 | 4.8 | 17.8 | ||
| B lymphocytes (%) | No | 14.6 | 9.1 | 2.9 | 11.6 | 36.9 | 0.043 |
| Yes | 10.5 | 11.2 | 2.3 | 6.9 | 45.8 | ||
| NK lymphocytes (%) | No | 12.5 | 7.8 | 3.8 | 10.7 | 31.5 | 0.008 |
| Yes | 28.3 | 19.0 | 3.9 | 27.9 | 75.0 | ||
| NK NKG2A (%) | No | 34.6 | 13.7 | 7.2 | 31.8 | 58.2 | 0.448 |
| Yes | 29.5 | 13.7 | 6.5 | 33.0 | 58.2 | ||
| NK NKG2A MFI | No | 3018.4 | 910.4 | 1545.0 | 3184.0 | 4571.9 | 0.637 |
| Yes | 3228.8 | 1143.0 | 1317.2 | 3059.7 | 5293.2 | ||
| Lymphocytes (%) | No | 37.0 | 23.0 | 5.4 | 40.4 | 68.5 | 0.637 |
| Yes | 41.5 | 20.3 | 1.2 | 48.8 | 69.5 | ||
| T lymphocytes (%) | No | 67.5 | 13.7 | 41.2 | 68.4 | 87.6 | 0.448 |
| Yes | 62.0 | 18.7 | 22.3 | 64.7 | 85.6 | ||
| CD4+ T cells (%) | No | 52.6 | 17.6 | 23.2 | 56.5 | 78.7 | 0.142 |
| Yes | 62.1 | 13.5 | 32.4 | 65.6 | 80.4 | ||
| CD8+ T cells (%) | No | 38.1 | 11.6 | 18.9 | 37.0 | 57.8 | 0.110 |
| Yes | 31.1 | 14.3 | 1.6 | 29.4 | 63.3 | ||
| CD8+ CD38+ T cells (%) | No | 26.0 | 18.6 | 6.3 | 21.0 | 64.8 | 0.224 |
| Yes | 19.0 | 18.9 | 4.0 | 13.6 | 77.3 | ||
| CD8+ CD38+ (MFI) | No | 2720.6 | 952.3 | 1881.3 | 2449.9 | 5075.7 | 0.120 |
| Yes | 2576.2 | 1309.3 | 1372.0 | 1.852.9 | 4977.5 | ||
| CD8+ HLA-DR+ T cells (%) | No | 10.4 | 21.3 | 0.5 | 4.4 | 88.8 | 0.854 |
| Yes | 7.3 | 10.4 | 0.8 | 4.5 | 41.1 | ||
| CD8+ HLA-DR+ MFI | No | 7512.3 | 3093.3 | 2780.7 | 6877.2 | 13,499.4 | 0.498 |
| Yes | 6864.6 | 3446.3 | 2239.1 | 6361.7 | 12,096.3 | ||
| CD8+ NKG2A cells (%) | No | 6.1 | 3.8 | 1.3 | 5.7 | 13.6 | 0.759 |
| Yes | 6.6 | 6.6 | 0.0 | 5.1 | 25.6 | ||
| CD8+ NKG2A MFI | No | 3031.8 | 873.2 | 1635.7 | 2807.8 | 4581.0 | 0.984 |
| Yes | 2890.5 | 1319.2 | 0.0 | 3196.4 | 4605.0 | ||
| CD8+ HLA-DR+ CD38− cells (%) | No | 4.0 | 11.1 | 0.0 | 0.8 | 45.4 | 0.637 |
| Yes | 2.5 | 3.7 | 0.0 | 1.0 | 13.3 | ||
| CD8+ HLA-DR+ CD38+ cells (%) | No | 6.3 | 10.2 | 0.4 | 3.9 | 43.4 | 0.552 |
| Yes | 4.8 | 7.0 | 0.3 | 2.8 | 27.8 | ||
| CD8+ HLA-DR− CD38+ cells (%) | No | 19.7 | 19.3 | 2.3 | 11.6 | 62.8 | 0.498 |
| Yes | 14.2 | 18.1 | 2.0 | 10.1 | 74.1 | ||
| CD8+ HLA-DR− CD38− cells (%) | No | 69.9 | 23.7 | 8.9 | 77.1 | 92.4 | 0.224 |
| Yes | 78.5 | 19.7 | 22.7 | 85.7 | 95.7 |
| Cytokines | Hypertension | Mean | SD | Minimum | Median | Maximum | p-Value * |
|---|---|---|---|---|---|---|---|
| EGF | No | 20.7 | 36.5 | 0.5 | 8.6 | 158.5 | 0.362 |
| Yes | 38.3 | 55.8 | 1.8 | 10.4 | 195.6 | ||
| Eotaxin | No | 120.6 | 77.0 | 1.9 | 98.8 | 321.9 | 0.172 |
| Yes | 169.0 | 121.5 | 25.9 | 138.0 | 539.4 | ||
| GCSF | No | 53.2 | 55.2 | 0.0 | 25.0 | 186.5 | 0.124 |
| Yes | 653.8 | 1467.1 | 7.0 | 62.8 | 4500.1 | ||
| GMCSF | No | 4.5 | 5.1 | 0.1 | 2.4 | 17.7 | 0.067 |
| Yes | 109.4 | 379.3 | 0.8 | 5.1 | 1574.8 | ||
| IFNa2 | No | 60.7 | 67.8 | 0.0 | 27.5 | 222.5 | 0.255 |
| Yes | 139.4 | 304.9 | 4.1 | 59.3 | 1305.8 | ||
| IL1beta | No | 1.3 | 1.8 | 0.1 | 0.4 | 5.6 | 0.333 |
| Yes | 26.3 | 76.7 | 0.1 | 1.0 | 309.4 | ||
| ILRA | No | 58.5 | 69.1 | 0.1 | 34.2 | 276.5 | 0.408 |
| Yes | 154.7 | 394.6 | 9.6 | 30.4 | 1664.6 | ||
| IL-2 | No | 1.0 | 1.4 | 0.0 | 0.4 | 4.8 | 0.124 |
| Yes | 31.5 | 97.9 | 0.1 | 0.9 | 400.5 | ||
| IL-3 | No | 0.1 | 0.1 | 0.0 | 0.0 | 0.5 | 0.834 |
| Yes | 9.8 | 27.1 | 0.0 | 0.0 | 90.0 | ||
| IL-4 | No | 130.5 | 383.1 | 0.0 | 0.1 | 1561.0 | 0.048 |
| Yes | 898.8 | 2198.4 | 0.0 | 4.8 | 8133.5 | ||
| IL-5 | No | 7.1 | 18.5 | 0.1 | 1.2 | 80.4 | 0.020 |
| Yes | 44.7 | 124.4 | 0.6 | 2.2 | 516.2 | ||
| IL-6 | No | 25.2 | 49.6 | 0.0 | 4.1 | 206.1 | 0.124 |
| Yes | 57.9 | 82.0 | 0.0 | 21.1 | 244.2 | ||
| IL-7 | No | 7.6 | 8.9 | 0.0 | 4.8 | 35.8 | 0.163 |
| Yes | 40.5 | 105.4 | 0.7 | 7.8 | 440.8 | ||
| IL-17A | No | 1.6 | 2.0 | 0.0 | 1.1 | 7.0 | 0.010 |
| Yes | 63.6 | 208.4 | 0.5 | 2.4 | 865.6 | ||
| IL-8 | No | 21.0 | 32.7 | 0.1 | 8.6 | 120.4 | 0.267 |
| Yes | 39.2 | 57.2 | 0.6 | 16.6 | 216.8 | ||
| IL-10 | No | 49.2 | 129.5 | 0.2 | 14.3 | 624.0 | 0.279 |
| Yes | 204.6 | 482.2 | 7.1 | 19.0 | 1710.5 | ||
| IL-13 | No | 19.7 | 63.3 | 0.0 | 0.8 | 268.0 | 0.034 |
| Yes | 51.0 | 125.2 | 0.0 | 1.4 | 513.6 | ||
| IL-15 | No | 3.4 | 2.5 | 0.2 | 3.0 | 10.7 | 0.087 |
| Yes | 44.1 | 133.4 | 0.7 | 5.3 | 555.3 | ||
| IL-12P70 | No | 1.9 | 1.6 | 0.0 | 1.8 | 5.2 | 0.081 |
| Yes | 132.4 | 492.7 | 0.2 | 2.4 | 2040.9 | ||
| IL-12P40 | No | 3.9 | 5.8 | 0.0 | 2.2 | 24.2 | 0.059 |
| Yes | 85.1 | 283.4 | 0.0 | 5.1 | 1177.3 | ||
| IP10 | No | 2921.5 | 3276.4 | 0.0 | 2151.5 | 13,282.5 | 0.685 |
| Yes | 2250.5 | 2282.4 | 81.8 | 1497.0 | 8956.8 | ||
| MCP1 | No | 502.1 | 692.9 | 0.2 | 242.8 | 3023.7 | 0.510 |
| Yes | 577.7 | 657.6 | 43.2 | 361.5 | 2598.3 | ||
| MIP1beta | No | 12.9 | 18.6 | 0.0 | 7.9 | 92.7 | 0.221 |
| Yes | 31.3 | 58.0 | 3.0 | 13.0 | 237.6 | ||
| MIP1alpha | No | 10.8 | 33.6 | 0.0 | 3.3 | 160.6 | 0.172 |
| Yes | 19.0 | 34.5 | 0.0 | 5.2 | 129.8 | ||
| TNFalpha | No | 12.9 | 14.5 | 0.1 | 7.9 | 54.0 | 0.305 |
| Yes | 51.8 | 102.6 | 1.5 | 9.4 | 326.1 | ||
| TNFbeta | No | 19.6 | 48.7 | 0.0 | 2.0 | 188.5 | 0.013 |
| Yes | 84.2 | 165.9 | 0.3 | 6.7 | 579.7 | ||
| VEGF | No | 84.3 | 84.4 | 0.0 | 47.3 | 259.0 | 0.475 |
| Yes | 126.4 | 155.4 | 11.7 | 69.9 | 536.1 |
| Cardiac MRI | Hypertension | Mean | SD | Minimum | Median | Maximum | p-Value * |
|---|---|---|---|---|---|---|---|
| LV EDVI, mL/m2 | No | 72.5 | 17.9 | 36.0 | 73.0 | 117.0 | 0.537 |
| Yes | 69.5 | 17.6 | 41.0 | 68.0 | 104.0 | ||
| Total | 71.1 | 17.6 | 36.0 | 70.5 | 117.0 | ||
| LV EF, % | No | 62.3 | 7.3 | 41.0 | 62.0 | 79.0 | 0.833 |
| Yes | 62.5 | 6.1 | 43.0 | 61.0 | 73.0 | ||
| Total | 62.4 | 6.7 | 41.0 | 62.0 | 79.0 | ||
| LVMI, g/m2 | No | 96.2 | 31.4 | 39.0 | 100.0 | 155.0 | 0.107 |
| Yes | 119.7 | 45.9 | 76.0 | 108.0 | 268.0 | ||
| Total | 107.0 | 40.0 | 39.0 | 104.5 | 268.0 | ||
| LAVI, mL/m2 | No | 28.6 | 4.9 | 20.0 | 28.0 | 37.0 | 0.799 |
| Yes | 32.8 | 13.6 | 15.0 | 28.0 | 72.0 | ||
| Total | 30.5 | 10.0 | 15.0 | 28.0 | 72.0 | ||
| Native T1, ms | No | 1250.2 | 134.5 | 1135.0 | 1233.0 | 1831.0 | 0.182 |
| Yes | 1259.2 | 119.2 | 1116.0 | 1249.0 | 1736.0 | ||
| Total | 1254.3 | 126.4 | 1116.0 | 1235.5 | 1831.0 | ||
| T2, ms | No | 41.3 | 2.8 | 36.0 | 41.0 | 50.0 | 0.697 |
| Yes | 41.7 | 2.7 | 38.0 | 41.0 | 47.0 | ||
| Total | 41.5 | 2.7 | 36.0 | 41.0 | 50.0 | ||
| ECV, % | No | 23.6 | 3.1 | 18.8 | 23.0 | 34.9 | 0.050 |
| Yes | 25.0 | 3.2 | 20.8 | 25.0 | 34.9 | ||
| Total | 24.2 | 3.2 | 18.8 | 23.3 | 34.9 |
Disclaimer/Publisher’s Note: The statements, opinions and data contained in all publications are solely those of the individual author(s) and contributor(s) and not of MDPI and/or the editor(s). MDPI and/or the editor(s) disclaim responsibility for any injury to people or property resulting from any ideas, methods, instructions or products referred to in the content. |
© 2024 by the authors. Licensee MDPI, Basel, Switzerland. This article is an open access article distributed under the terms and conditions of the Creative Commons Attribution (CC BY) license (https://creativecommons.org/licenses/by/4.0/).
Share and Cite
Moll-Bernardes, R.; Camargo, G.C.; Silvestre-Sousa, A.; Barroso, J.M.; Ferreira, J.R.; Tortelly, M.B.; Pimentel, A.L.; Figueiredo, A.C.B.S.; Schaustz, E.B.; Secco, J.C.P.; et al. Immune Profile and MRI-Detected Cardiac Fibrosis and Edema in Hypertensive and Non-Hypertensive Patients with COVID-19. J. Clin. Med. 2024, 13, 7317. https://doi.org/10.3390/jcm13237317
Moll-Bernardes R, Camargo GC, Silvestre-Sousa A, Barroso JM, Ferreira JR, Tortelly MB, Pimentel AL, Figueiredo ACBS, Schaustz EB, Secco JCP, et al. Immune Profile and MRI-Detected Cardiac Fibrosis and Edema in Hypertensive and Non-Hypertensive Patients with COVID-19. Journal of Clinical Medicine. 2024; 13(23):7317. https://doi.org/10.3390/jcm13237317
Chicago/Turabian StyleMoll-Bernardes, Renata, Gabriel C. Camargo, Andréa Silvestre-Sousa, Julia Machado Barroso, Juliana R. Ferreira, Mariana B. Tortelly, Adriana L. Pimentel, Ana Cristina B. S. Figueiredo, Eduardo B. Schaustz, José Carlos P. Secco, and et al. 2024. "Immune Profile and MRI-Detected Cardiac Fibrosis and Edema in Hypertensive and Non-Hypertensive Patients with COVID-19" Journal of Clinical Medicine 13, no. 23: 7317. https://doi.org/10.3390/jcm13237317
APA StyleMoll-Bernardes, R., Camargo, G. C., Silvestre-Sousa, A., Barroso, J. M., Ferreira, J. R., Tortelly, M. B., Pimentel, A. L., Figueiredo, A. C. B. S., Schaustz, E. B., Secco, J. C. P., Fortier, S. C., Vera, N., Conde, L., Cabral-Castro, M. J., Albuquerque, D. C., Rosado-de-Castro, P. H., Pinheiro, M. V. T., Souza, O. F., Luiz, R. R., & Medei, E. (2024). Immune Profile and MRI-Detected Cardiac Fibrosis and Edema in Hypertensive and Non-Hypertensive Patients with COVID-19. Journal of Clinical Medicine, 13(23), 7317. https://doi.org/10.3390/jcm13237317

