Sentinel Lymph Node Detection in Early-Stage Oral Squamous Cell Carcinoma Using Magnetic Resonance Lymphography: A Pilot Study
Abstract
1. Introduction
2. Materials and Methods
2.1. Patients
2.2. Study Design
2.3. Peritumoral Injection of Contrast Agents
2.4. MR Lymphography
2.5. Scintigraphy and SPECT/CT
2.6. Evaluation and Analyses
3. Results
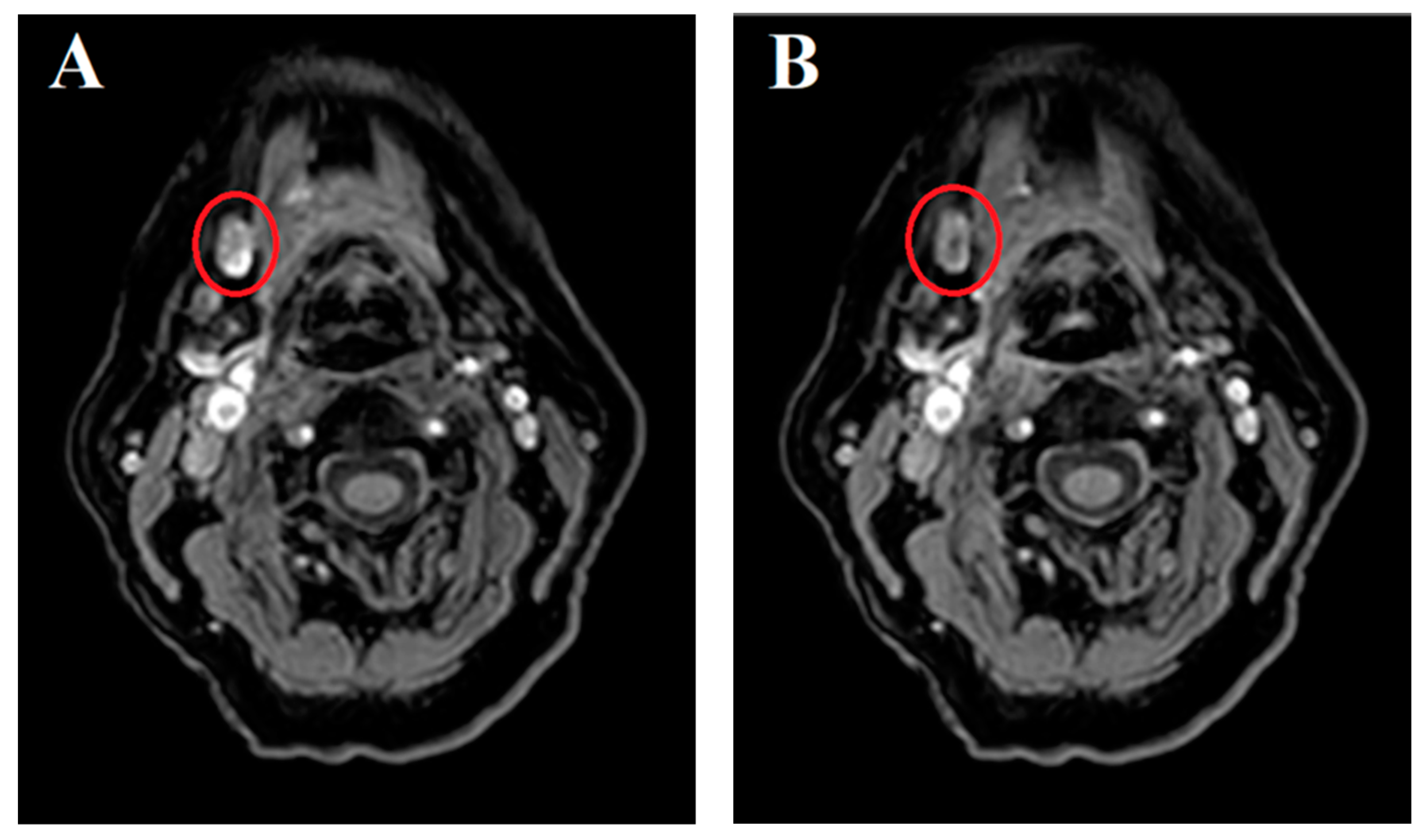
Sentinel Lymph Node Identification on MR Lymphography
4. Discussion
5. Conclusions
Author Contributions
Funding
Institutional Review Board Statement
Informed Consent Statement
Data Availability Statement
Conflicts of Interest
References
- Garrel, R.; Poissonnet, G.; Moyà Plana, A.; Fakhry, N.; Fakhry, N.; Dolivet, G.; Dolivet, G.; Lallemant, B.; Sarini, J.; Vergez, S.; et al. Equivalence Randomized Trial to Compare Treatment on the Basis of Sentinel Node Biopsy Versus Neck Node Dissection in Operable T1-T2N0 Oral and Oropharyngeal Cancer. J. Clin. Oncol. 2020, 38, 4010–4018. [Google Scholar] [CrossRef] [PubMed]
 - Hasegawa, Y.; Tsukahara, K.; Yoshimoto, S.; Miura, K.; Yokoyama, J.; Hirano, S.; Uemura, H.; Sugasawa, M.; Yoshizaki, T.; Homma, A.; et al. Neck Dissections Based on Sentinel Lymph Node Navigation Versus Elective Neck Dissections in Early Oral Cancers: A Randomized, Multicenter, and Noninferiority Trial. J. Clin. Oncol. 2021, 39, 2025–2036. [Google Scholar] [CrossRef] [PubMed]
 - Gupta, T.; Maheshwari, G.; Kannan, S.; Nair, S.; Chaturvedi, P.; Agarwal, J.P. Systematic review and meta-analysis of randomized controlled trials comparing elective neck dissection versus sentinel lymph node biopsy in early-stage clinically node-negative oral and/or oropharyngeal squamous cell carcinoma: Evidence-base for practice and implications for research. Oral Oncol. 2022, 124, 105642. [Google Scholar] [CrossRef] [PubMed]
 - den Toom, I.J.; van Schie, A.; van Weert, S.; Karagozoglu, K.H.; Bloemena, E.; Hoekstra, O.S.; de Bree, R. The added value of SPECT-CT for the identification of sentinel lymph nodes in early stage oral cancer. Eur. J. Nucl. Med. Mol. Imaging 2017, 44, 998–1004. [Google Scholar] [CrossRef] [PubMed][Green Version]
 - den Toom, I.J.; Boeve, K.; Lobeek, D.; Bloemena, E.; Donswijk, M.L.; de Keizer, B.; Klop, W.M.C.; Leemans, C.R.; Willems, S.M.; Takes, R.P.; et al. Elective Neck Dissection or Sentinel Lymph Node Biopsy in Early Stage Oral Cavity Cancer Patients: The Dutch Experience. Cancers 2020, 12, 1783. [Google Scholar] [CrossRef]
 - Bowe, C.M.; Shastri, M.; Gulati, A.; Norris, P.; Corrigan, A.; Barrett, A.; Bisase, B. Challenges and outcomes in establishing a sentinel lymph node biopsy service for oral squamous cell carcinoma in a regional district specialist hospital. Br. J. Oral Maxillofac. Surg. 2021, 59, 217–221. [Google Scholar] [CrossRef]
 - Mahieu, R.; de Maar, J.S.; Nieuwenhuis, E.R.; Deckers, R.; Moonen, C.; Alic, L.; Haken, B.T.; de Keizer, B.; de Bree, R. New Developments in Imaging for Sentinel Lymph Node Biopsy in Early-Stage Oral Cavity Squamous Cell Carcinoma. Cancers 2020, 12, 3055. [Google Scholar] [CrossRef]
 - Wallace, A.M.; Hoh, C.K.; Ellner, S.J.; Darrah, D.D.; Schulteis, G.; Vera, D.R. Lymphoseek: A molecular imaging agent for melanoma sentinel lymph node mapping. Ann. Surg. Oncol. 2007, 14, 913–921. [Google Scholar] [CrossRef]
 - Gulec, S.A. PET probe-guided surgery. J. Surg. Oncol. 2007, 96, 353–357. [Google Scholar] [CrossRef]
 - Honda, K.; Ishiyama, K.; Suzuki, S.; Oumi, E.; Sato, T.; Kawasaki, Y.; Saito, H.; Ishikawa, K. Sentinel lymph node biopsy using computed tomographic lymphography in patients with early tongue cancer. Acta Otolaryngol. 2015, 135, 507–512. [Google Scholar] [CrossRef][Green Version]
 - Bae, S.; Lee, H.J.; Nam, W.; Koh, Y.W.; Choi, E.C.; Kim, J. MR lymphography for sentinel lymph node detection in patients with oral cavity cancer: Preliminary clinical study. Head Neck 2018, 40, 1483–1488. [Google Scholar] [CrossRef] [PubMed]
 - Li, C.; Meng, S.; Yang, X.; Zhou, D.; Wang, J.; Hu, J. Sentinel lymph node detection using magnetic resonance lymphography with conventional gadolinium contrast agent in breast cancer: A preliminary clinical study. BMC Cancer 2015, 15, 213. [Google Scholar] [CrossRef][Green Version]
 - Lu, Q.; Hua, J.; Kassir, M.M.; Delproposto, Z.; Dai, Y.; Sun, J.; Haacke, M.; Hu, J. Imaging lymphatic system in breast cancer patients with magnetic resonance lymphangiography. PLoS ONE 2013, 8, e69701. [Google Scholar] [CrossRef] [PubMed][Green Version]
 - Brierley, J.D.; Gospodarowicz, M.; Wittekind, C. UICC TNM Classification of Malignant Tumours, 8th ed.; Wiley: Chichester, UK, 2017. [Google Scholar]
 - Ahuja, A.T.; Ying, M.; Ho, S.Y.; Antonio, G.; Lee, Y.P.; King, A.D.; Wong, K.T. Ultrasound of malignant cervical lymph nodes. Cancer Imaging 2008, 8, 48–56. [Google Scholar] [CrossRef] [PubMed]
 - Mahieu, R.; Tijink, B.M.; van Es, R.J.J.; van Nierop, B.J.; Beijst, C.; de Keizer, B.; de Bree, R. The potential of the Crystal Cam handheld gamma-camera for preoperative and intraoperative sentinel lymph node localization in early-stage oral cancer. Eur. Arch. Otorhinolaryngol. 2023, 280, 5519–5529. [Google Scholar] [CrossRef]
 - Alkureishi, L.W.; Burak, Z.; Alvarez, J.A.; Ballinger, J.; Bilde, A.; Britten, A.J.; Calabrese, L.; Chiesa, C.; Chiti, A.; de Bree, R.; et al. Joint practice guidelines for radionuclide lymphoscintigraphy for sentinel node localization in oral/oropharyngeal squamous cell carcinoma. Ann. Surg. Oncol. 2009, 16, 3190–3210. [Google Scholar] [CrossRef]
 - Dhawan, I.; Sandhu, S.V.; Bhandari, R.; Sood, N.; Bhullar, R.K.; Sethi, N. Detection of cervical lymph node micrometastasis and isolated tumor cells in oral squamous cell carcinoma using immunohistochemistry and serial sectioning. J. Oral Maxillofac. Pathol. 2016, 20, 436–444. [Google Scholar] [CrossRef]
 - Hermanek, P.; Hutter, R.V.; Sobin, L.H.; Wittekind, C. International Union Against Cancer. Classification of isolated tumor cells and micrometastasis. Cancer 1999, 86, 2668–2673. [Google Scholar] [CrossRef]
 - Giammarile, F.; Schilling, C.; Gnanasegaran, G.; Bal, C.; Oyen, W.J.G.; Rubello, D.; Schwarz, T.; Tartaglione, G.; Miller, R.N.; Paez, D.; et al. The EANM practical guidelines for sentinel lymph node localisation in oral cavity squamous cell carcinoma. Eur. J. Nucl. Med. Mol. Imaging 2019, 46, 623–637. [Google Scholar] [CrossRef]
 - Yoneyama, H.; Tsushima, H.; Kobayashi, M.; Onoguchi, M.; Nakajima, K.; Kinuya, S. Improved detection of sentinel lymph nodes in SPECT/CT images acquired using a low- to medium-energy general-purpose collimator. Clin. Nucl. Med. 2014, 39, e1–e6. [Google Scholar] [CrossRef]
 - Freites-Martinez, A.; Santana, N.; Arias-Santiago, S.; Viera, A. Using the Common Terminology Criteria for Adverse Events (CTCAE—Version 5.0) to Evaluate the Severity of Adverse Events of Anticancer Therapies. Actas Dermosifiliogr. (Engl Ed). 2021, 112, 90–92. [Google Scholar] [CrossRef]
 - Rinaldo, A.; Devaney, K.O.; Ferlito, A. Immunohistochemical studies in the identification of lymph node micrometastases in patients with squamous cell carcinoma of the head and neck. ORL J. Otorhinolaryngol. Relat. Spec. 2004, 66, 38–41. [Google Scholar] [CrossRef] [PubMed]
 - King, C.; Elsherif, N.; Kirwan, R.; Schilling, C.; Hall, G.; Morgan, P.; Collins, L.; Sandison, A.; Odell, E.; Thavaraj, S. Serial step sections at narrow intervals with immunohistochemistry are required for accurate histological assessment of sentinel lymph node biopsy in oral squamous cell carcinoma. Head Neck 2021, 43, 2985–2993. [Google Scholar] [CrossRef] [PubMed]
 - Loo, B.W., Jr.; Draney, M.T.; Sivanandan, R.; Ruehm, S.G.; Pawlicki, T.; Xing, L.; Herfkens, R.J.; Le, Q.-T. Indirect MR lymphangiography of the head and neck using conventional gadolinium contrast: A pilot study in humans. Int. J. Radiat. Oncol. Biol. Phys. 2006, 66, 462–468. [Google Scholar] [CrossRef]
 - Bisso, S.; Degrassi, A.; Brambilla, D.; Leroux, J.C. Poly(ethylene glycol)-alendronate coated nanoparticles for magnetic resonance imaging of lymph nodes. J. Drug Target. 2019, 27, 659–669. [Google Scholar] [CrossRef]
 - Sugiyama, S.; Iwai, T.; Izumi, T.; Baba, J.; Oguri, S.; Hirota, M.; Mitsudo, K. Sentinel lymph node mapping of clinically N0 early oral cancer: A diagnostic pitfall on CT lymphography. Oral Radiol. 2021, 37, 251–255. [Google Scholar] [CrossRef]
 - KleinJan, G.H.; van Werkhoven, E.; van den Berg, N.S.; Karakullukcu, M.B.; Zijlmans, H.; van der Hage, J.A.; van de Wiel, B.A.; Buckle, T.; Klop, W.M.C.; Horenblas, S.; et al. The best of both worlds: A hybrid approach for optimal pre- and intraoperative identification of sentinel lymph nodes. Eur. J. Nucl. Med. Mol. Imaging 2018, 45, 1915–1925. [Google Scholar] [CrossRef]
 - Hernando, J.; Aguirre, P.; Aguilar-Salvatierra, A.; Leizaola-Cardesa, I.O.; Bidaguren, A.; Gómez-Moreno, G. Magnetic detection of sentinel nodes in oral squamous cell carcinoma by means of superparamagnetic iron oxide contrast. J. Surg. Oncol. 2020, 121, 244–248. [Google Scholar] [CrossRef]
 - Mizokami, D.; Kosuda, S.; Tomifuji, M.; Araki, K.; Yamashita, T.; Shinmoto, H.; Shiotani, A. Superparamagnetic iron oxide-enhanced interstitial magnetic resonance lymphography to detect a sentinel lymph node in tongue cancer patients. Acta Otolaryngol. 2013, 133, 418–423. [Google Scholar] [CrossRef]
 - Maza, S.; Taupitz, M.; Taymoorian, K.; Winzer, K.J.; Ruckert, J.; Paschen, C.; Räber, G.; Schneider, S.; Trefzer, U.; Munz, D.L. Multimodal fusion imaging ensemble for targeted sentinel lymph node management: Initial results of an innovative promising approach for anatomically difficult lymphatic drainage in different tumour entities. Eur. J. Nucl. Med. Mol. Imaging 2007, 34, 378–383. [Google Scholar] [CrossRef]
 - Glutig, K.; Bhargava, R.; Hahn, G.; Hirsch, W.; Kunze, C.; Mentzel, H.J.; Schaefer, J.F.; Willinek, W.; on behalf of the GARDIAN Study Group. Safety of gadobutrol in more than 1,000 pediatric patients: Subanalysis of the GARDIAN study, a global multicenter prospective non-interventional study. Pediatr. Radiol. 2016, 46, 1317–1323. [Google Scholar] [CrossRef] [PubMed]
 - McClennan, B.L. Low-osmolality contrast media: Premises and promises. Radiology 1987, 162 Pt 1, 1–8. [Google Scholar] [CrossRef] [PubMed]
 - Almén, T. Contrast agent design. Some aspects on the synthesis of water soluble contrast agents of low osmolality. J. Theor. Biol. 1969, 24, 216–226. [Google Scholar] [CrossRef] [PubMed]
 - van den Bosch, S.; Takes, R.P.; de Ridder, M.; de Bree, R.; Al-Mamgani, A.; Schreuder, W.H.; Hoebers, F.; van Weert, S.; Elbers, J.; Hardillo, J.; et al. Personalized neck irradiation guided by sentinel lymph node biopsy in patients with squamous cell carcinoma of the oropharynx, larynx or hypopharynx with a clinically negative neck: (Chemo)radiotherapy to the PRIMary tumor only. Protocol of the PRIMO study. Clin. Transl. Radiat. Oncol. 2024, 44, 100696. [Google Scholar] [CrossRef] [PubMed]
 - de Veij Mestdagh, P.D.; Jonker, M.C.J.; Vogel, W.V.; Schreuder, W.H.; Donswijk, M.L.; Klop, W.M.C.; Al-Mamgani, A. SPECT/CT-guided lymph drainage mapping for the planning of unilateral elective nodal irradiation in head and neck squamous cell carcinoma. Eur. Arch. Otorhinolaryngol. 2018, 275, 2135–2144. [Google Scholar] [CrossRef]
 - de Veij Mestdagh, P.D.; Schreuder, W.H.; Vogel, W.V.; Donswijk, M.L.; van Werkhoven, E.; van der Wal, J.E.; Dirven, R.; Karakullukcu, B.; Sonke, J.J.; Van Den Brekel, M.W.; et al. Mapping of sentinel lymph node drainage using SPECT/CT to tailor elective nodal irradiation in head and neck cancer patients (SUSPECT-2): A single-center prospective trial. BMC Cancer 2019, 19, 1110. [Google Scholar] [CrossRef]
 - de Veij Mestdagh, P.D.; Walraven, I.; Vogel, W.V.; Schreuder, W.H.; van Werkhoven, E.; Carbaat, C.; Donswijk, M.L.; Brekel, M.W.v.D.; Al-Mamgani, A. SPECT/CT-guided elective nodal irradiation for head and neck cancer is oncologically safe and less toxic: A potentially practice-changing approach. Radiother. Oncol. 2020, 147, 56–63. [Google Scholar] [CrossRef]
 - Schilling, C.; Stoeckli, S.J.; Haerle, S.K.; Broglie, M.A.; Huber, G.F.; Sorensen, J.A.; Bakholdt, V.; Krogdahl, A.; von Buchwald, C.; Bilde, A.; et al. Sentinel European Node Trial (SENT): 3-year results of sentinel node biopsy in oral cancer. Eur. J. Cancer 2015, 51, 2777–2784. [Google Scholar] [CrossRef]
 - Berger, D.M.S.; van den Berg, N.S.; van der Noort, V.; van der Hiel, B.; Valdes Olmos, R.A.; Buckle, T.A.; KleinJan, G.H.; Brouwer, O.R.; Vermeeren, L.; Karakullukçu, B.; et al. Technologic (R)Evolution Leads to Detection of More Sentinel Nodes in Patients with Melanoma in the Head and Neck Region. J. Nucl. Med. 2021, 62, 1357–1362. [Google Scholar] [CrossRef]
 




| Characteristics | n = 10 | 
|---|---|
| Gender, n (%) | |
| Female | 6 (60%) | 
| Median age (years) (range) | 62.3 (51–80) | 
| Tumor location, n (%) | |
| Tongue | 6 (60%) | 
| Floor of mouth | 2 (20%) | 
| Buccal mucosa | 1 (10%) | 
| Retromolar trigone | 1 (10%) | 
| Side primary tumor, n (%) | |
| Left | 4 (40%) | 
| Right | 6 (60%) | 
| Clinical T-stage, n (%) * | |
| T1 | 7 (70%) | 
| T2 | 3 (30%) | 
| Pathology primary tumor | |
| Mean diameter (mm) (SD) | 14.7 (±7.4) | 
| Mean depth of invasion (mm) (SD) | 4.1 (±2.2) | 
| Median harvested SLNs (range) | 4 (1–7) | 
| Histopathological status SLNs, n (%) | |
| Negative | 34 (82.9%) | 
| Positive | 7 (17.1%) | 
| Pathological N-stage after SLN biopsy, n (%) * | |
| pN0(sn) | 6 (60%) | 
| pN1(sn) | 1 (10%) | 
| pN2b(sn) | 2 (20%) | 
| pN2c(sn) | 1 (10%) | 
| Complementary neck treatment, n (%) | |
| Complementary neck dissection | 3 (30%) | 
| Complementary radiotherapy | 2 (20%) | 
| Follow-up (months) (range) | 16.0 (7–21) | 
| N° | Primary  Tumor  | Identified SLNs LSG and SPECT/CT | Identified SLNs MR Lymphography | Harvested SLNs (cps) | PA | Complementary Treatment of Neck | pTNM Stage * | Upstaging Due to MR Lymphography | Follow-Up | |||
|---|---|---|---|---|---|---|---|---|---|---|---|---|
| (Side) | Level | Side | Level | Side | Level | Side (cps) | (months) | |||||
| 1 | Tongue  (left)  | Ib | Right | Ib | Right (192) | - | None | pT1N0(i+)(sn) cM0 | No | NED [21] | ||
| II/III | Right | II | Right | IIa | Right (426) | - | ||||||
| Ib | Left | Ib | Left | Ib | Left (1265) | + ITC | ||||||
| Ia | Left (115) | - | ||||||||||
| II | Left | II/III | Left (118) | - | ||||||||
| IIa | Left (133) | - | ||||||||||
| IV | Left | IV | Left | IV | Left (1458) | - | ||||||
| 2 | Tongue (right) | Ib | Right | Ib | Right | Ib | Right (1834) | - | N.A. | pT1N0(sn) cM0 | No | NED [20] | 
| Ib | Right (1100) | - | ||||||||||
| II | Right | II | Right | II | Right (6700) | - | ||||||
| II | Right (2331) | - | ||||||||||
| 3 | Floor of mouth (left)  | Ib | Right | Ib | Right | Ib | Right (340) | +macro | SND I–IV bilateral, RT | pT1N2c cM0 | No | NED [17] | 
| Ib | Left | Ib | Left (857) | +macro | ||||||||
| IV | Left | IV | Left (421) | - | ||||||||
| 4 | Tongue (right)  | IIa | Right | IIa | Right | II | Right (1694) | - | N.A. | pT1N0(sn) cM0 | No | NED [20] | 
| IIb | Right | IIb | Right | II | Right (6700) | - | ||||||
| II | Right (1162) | - | ||||||||||
| III | Right | III | Right | III | Right (3200) | - | ||||||
| 5 | Buccal  mucosa (right)  | Ib | Right | Ib | Right (74) | - | N.A. | pT2N0(sn) cM0 | No | NED [18] | ||
| Ib | Right | Ib | Right (485) | - | ||||||||
| Ib | Right (605) | - | ||||||||||
| II | Right | IIa | Right (398) | - | ||||||||
| 6 | Retromolar trigone (right) | Ib | Right | Ib | Right | Ib | Right (55) | - | MRND right | pT2N2b(mi) cM0 | No | NED [17] | 
| IIa | Left | II/III | Right (129) | +micro | ||||||||
| II/III | Right (88) | +micro | ||||||||||
| 7 | Tongue (left)  | II | Left | II | Left | II | Left (1050) | - | N.A. | pT2N0(sn) cM0 | No | NED [16] | 
| II | Left (300) | - | ||||||||||
| III/IV | Left | III/IV | Left | IV | Left (9200) | - | ||||||
| 8 | Floor of mouth (right)  | Ib | Right | Ib | Right (20) | - | N.A. | pT1N0(sn) cM0 | No | NED [15] | ||
| II | Right | II | Right | IIa | Right (799) | - | ||||||
| II | Right | IIa | Right (729) | - | ||||||||
| IIa | Right (63) | - | ||||||||||
| II | Left | IIa | Left (274) | - | ||||||||
| 9 | Tongue  (left)  | IIa | Left | IIa | II | Left (3740) | - | N.A. | pT1N0(sn) cM0 | No | NED [9] | |
| 10 | Tongue (right) | IIa | Right | IIa | Right | IIa | Right (1683) | +macro | SND I–IV right, RT | pT1N2b cM0 | No | NED [7] | 
| IIa | Right | IIa | Right (1800) | - | ||||||||
| IIa | Right (2168) | +macro | ||||||||||
| IIa | Right (242) | - | ||||||||||
| IIa | Right (443) | - | ||||||||||
| IIb | Right | IIb | Right | IIb | Right (1520) | - | ||||||
| III | Right (338) | - | ||||||||||
Disclaimer/Publisher’s Note: The statements, opinions and data contained in all publications are solely those of the individual author(s) and contributor(s) and not of MDPI and/or the editor(s). MDPI and/or the editor(s) disclaim responsibility for any injury to people or property resulting from any ideas, methods, instructions or products referred to in the content.  | 
© 2024 by the authors. Licensee MDPI, Basel, Switzerland. This article is an open access article distributed under the terms and conditions of the Creative Commons Attribution (CC BY) license (https://creativecommons.org/licenses/by/4.0/).
Share and Cite
Donders, D.N.V.; Mahieu, R.; Tellman, R.S.; Philippens, M.E.P.; van Es, R.J.J.; Van Cann, E.M.; Breimer, G.E.; de Bree, R.; de Keizer, B. Sentinel Lymph Node Detection in Early-Stage Oral Squamous Cell Carcinoma Using Magnetic Resonance Lymphography: A Pilot Study. J. Clin. Med. 2024, 13, 7052. https://doi.org/10.3390/jcm13237052
Donders DNV, Mahieu R, Tellman RS, Philippens MEP, van Es RJJ, Van Cann EM, Breimer GE, de Bree R, de Keizer B. Sentinel Lymph Node Detection in Early-Stage Oral Squamous Cell Carcinoma Using Magnetic Resonance Lymphography: A Pilot Study. Journal of Clinical Medicine. 2024; 13(23):7052. https://doi.org/10.3390/jcm13237052
Chicago/Turabian StyleDonders, Dominique N. V., Rutger Mahieu, Roosmarijn S. Tellman, Marielle E. P. Philippens, Robert J. J. van Es, Ellen M. Van Cann, Gerben E. Breimer, Remco de Bree, and Bart de Keizer. 2024. "Sentinel Lymph Node Detection in Early-Stage Oral Squamous Cell Carcinoma Using Magnetic Resonance Lymphography: A Pilot Study" Journal of Clinical Medicine 13, no. 23: 7052. https://doi.org/10.3390/jcm13237052
APA StyleDonders, D. N. V., Mahieu, R., Tellman, R. S., Philippens, M. E. P., van Es, R. J. J., Van Cann, E. M., Breimer, G. E., de Bree, R., & de Keizer, B. (2024). Sentinel Lymph Node Detection in Early-Stage Oral Squamous Cell Carcinoma Using Magnetic Resonance Lymphography: A Pilot Study. Journal of Clinical Medicine, 13(23), 7052. https://doi.org/10.3390/jcm13237052
        
