Chronic Sarcoidosis: Diagnostic Difficulties and Search for New Criteria of Inflammatory Activity (A Case Report and Literature Review)
Abstract
1. Introduction
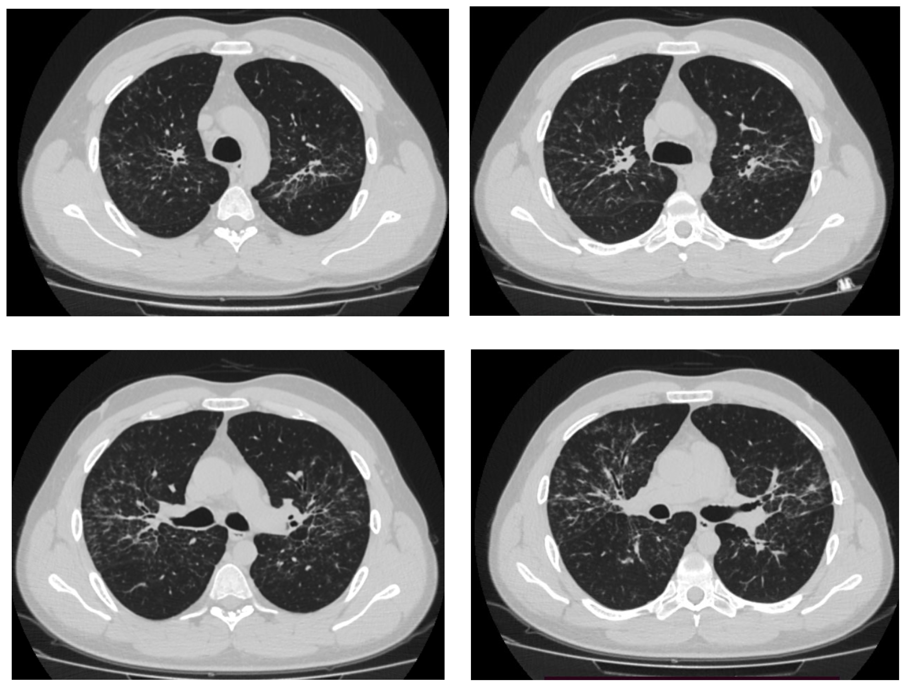
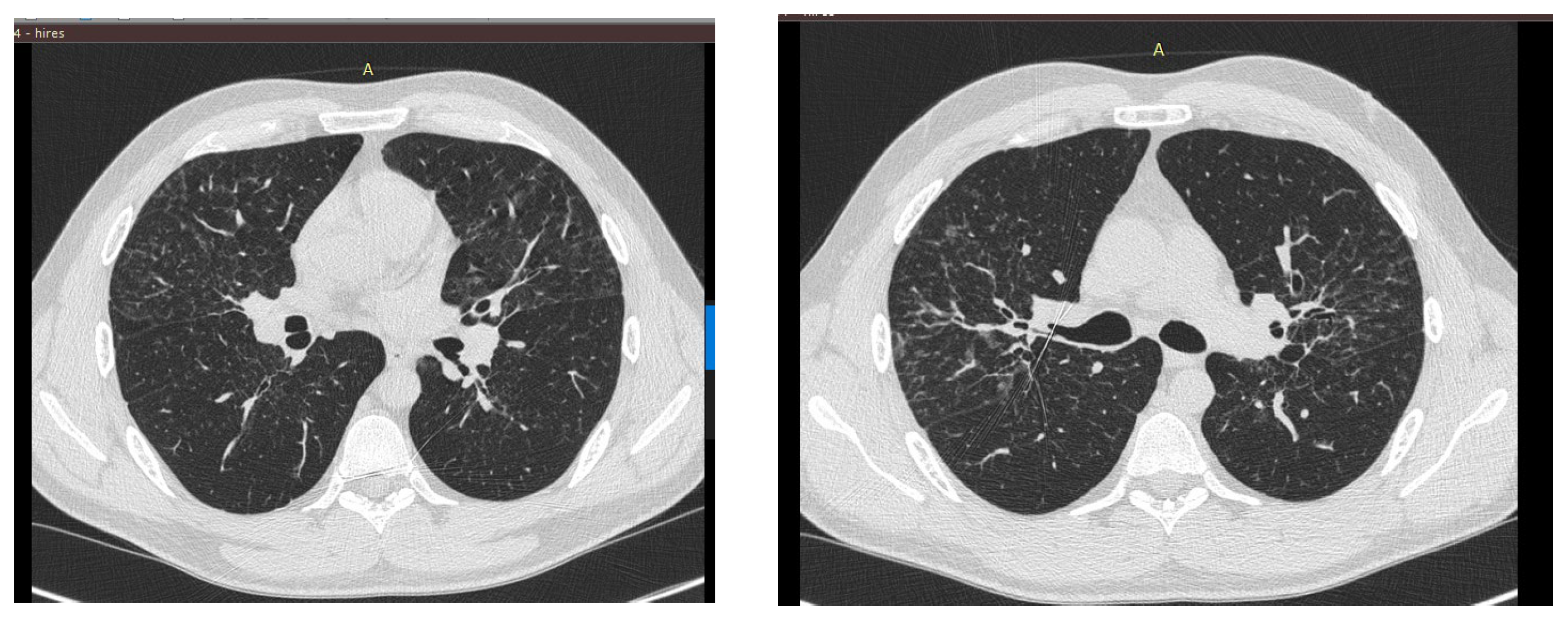
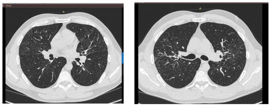
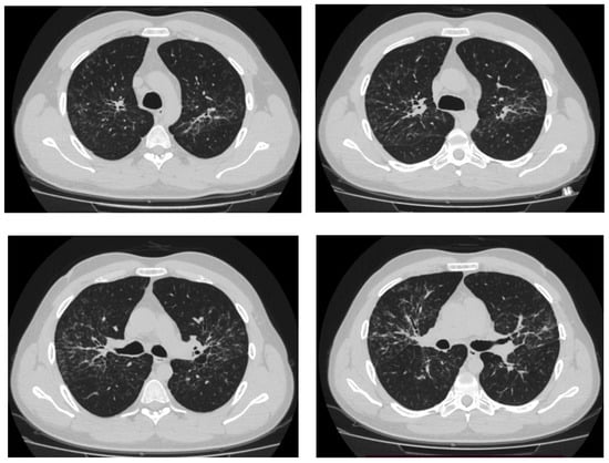
2. Clinical Case of Chronic Sarcoidosis and Immunologic Features
3. The Potential Manifestations of Acute Sarcoidosis
4. Different Manifestations and Causes of Pulmonary and Intrathoracic Lymph Node Sarcoidosis
5. Difficulties in the Diagnosis of Cardiac Sarcoidosis
- High-grade atrioventricular block or fatal ventricular arrhythmia;
- Basal thinning of the interventricular septum or abnormal ventricular wall anatomy;
- Abnormally high 67Ga citrate or 18F-FDG-PET uptake;
- Decreased left ventricular ejection fraction less than 50%;
- Delayed improvement on gadolinium-enhanced MRI.
- Ventricular arrhythmias registered on ECG, deviation of the electrical axis of the heart, or abnormal Q teeth;
- Perfusion defects on myocardial perfusion scintigraphy data;
- Monocytic infiltration and moderate or severe interstitial fibrosis of the myocardium according to endomyocardial biopsy.
- Patients with verified extracardiac sarcoidosis who met one of the following criteria:
- One or more of the following symptoms: significant palpitations of more than 1–2 weeks duration, history of pre-syncope or syncope.
- One or more of the following ECG abnormalities: complete left or right bundle branch block; presence of unexplained abnormal Q-squares in two or more leads; persistent first, second, or third-degree atrioventricular block; and persistent or non-persistent ventricular tachycardia.
- One or more of the following echocardiographic abnormalities: regional wall motion abnormalities, ventricular aneurysm, basal septal thinning, or left ventricular ejection fraction less than 50%.
- Unexplained second- or third-degree Mobitz II or third-degree atrioventricular block in adults less than 60 years.
- Sustained monomorphic ventricular tachycardia in the absence of any known etiology [38].
6. Diagnostic Possibilities of Skin Sarcoidosis
- Papules and papulovesicles: numerous, less than 1 cm in size, firm, and usually scaly. Color may be flesh-colored, yellow-brown, purplish-brown, or hypopigmented. Inflammations are usually located on the face, less commonly on the trunk and extremities, and may occur in scars.
- Plaques: oval or annular in shape, often well-circumscribed, usually firm to touch, sometimes scaly. Color varies from red-brown to flesh-colored, purplish-brown, and sometimes yellow-brown. They are located on the trunk, buttocks, shoulders, forearms, and lower back.
- Chilling lupus erythematosus: smooth, shiny plaques that are brown to purple or erythematous and may have scales on them. Inflammation occurs in the central part of the face, especially in the nose, cheeks, lips, forehead, and ears.
- Subcutaneous nodules are dense, mobile, rounded, or oval and are erythematous, flesh-colored, purple, or hyperpigmented. Inflammation is located on the extremities, predominantly the upper extremities, and less frequently on the trunk [40].
- Ichthyosiform (polygonal dense scales of brown or white-gray color);
- Atrophic and ulcerative;
- Sarcoidosis of the mucous membranes (cheeks, gingiva, hard palate, tongue, back of the pharynx, and salivary glands are involved, with papules, plaques, nodules, or infiltrative thickening);
- Erythroderma;
- Erythroderma (papules, plaques, nodules, or infiltrative thickening);
- Erythroderma (coalescence of thickened, yellow-brown, red-brown, or purplish-brown scaly plaques covering extensive cutaneous areas, often accompanied by small superficial scales or mild exfoliative dermatitis);
- Alopecia (scarring or non-scarring);
- Nail sarcoidosis (thinning, brittleness, thickening, pitting, furrows, trachyonychia, hyperpigmentation, nail plate destruction, and drumstick symptoms) [40].
7. The Potential Manifestations and Diagnostic Criteria of Sarcoidosis of the Nervous System
8. Difficulties in the Diagnosis of Ocular Lesions in Sarcoidosis
9. Immunology Futures in Chronic Sarcoidosis
10. Conclusions
Author Contributions
Funding
Institutional Review Board Statement
Informed Consent Statement
Acknowledgments
Conflicts of Interest
References
- Vizel, A.A.; Vizel, I.Y.; Amirov, N.B. Epidemiology of sarcoidosis in the Russian Federation. Bull. Mod. Clin. Med. 2017, 10, 66–73. [Google Scholar] [CrossRef]
- Hena, K.M. Sarcoidosis Epidemiology: Race Matters. Front. Immunol. 2020, 11, 537382. [Google Scholar] [CrossRef]
- Inaoka, P.T.; Shono, M.; Kamada, M.; Espinoza, J.L. Host-microbe interactions in the pathogenesis and clinical course of sarcoidosis. J. Biomed. Sci. 2019, 26, 45. [Google Scholar] [CrossRef] [PubMed]
- Hena, K.M.; Yip, J.; Jaber, N.; Goldfarb, D.; Fullam, K.; Cleven, K.; Moir, W.; Zeig-Owens, R.; Webber, M.P.; Spevack, D.M.; et al. Clinical Course of Sarcoidosis in World Trade Center-Exposed Firefighters. Chest 2018, 153, 114–123. [Google Scholar] [CrossRef] [PubMed]
- Bennett, D.; Bargagli, E.; Refini, R.M.; Rottoli, P. New concepts in the pathogenesis of sarcoidosis. Expert. Rev. Respir. Med. 2019, 13, 981–991. [Google Scholar] [CrossRef] [PubMed]
- Malkova, A.; Starshinova, A.; Zinchenko, Y.; Gavrilova, N.; Kudryavtsev, I.; Lapin, S.; Mazing, A.; Surkova, E.; Pavlova, M.; Belaeva, E.; et al. New laboratory criteria of the autoimmune inflammation in pulmonary sarcoidosis and tuberculosis. Clin. Immunol. 2021, 227, 108724. [Google Scholar] [CrossRef]
- Bagavant, H.; Cizio, K.; Araszkiewicz, A.M.; Papinska, J.A.; Garman, L.; Li, C.; Pezant, N.; Drake, W.P.; Montgomery, C.G.; Deshmukh, U.S. Systemic immune response to vimentin and granuloma formation in a model of pulmonary sarcoidosis. J. Transl. Autoimmun. 2022, 5, 100153. [Google Scholar] [CrossRef]
- Cozier, Y.C.; Govender, P.; Berman, J.S. Obesity and sarcoidosis: Consequence or contributor? Curr. Opin. Pulm. Med. 2018, 24, 487–494. [Google Scholar] [CrossRef]
- Crouser, E.D.; Maier, L.A.; Wilson, K.C.; Bonham, C.A.; Morgenthau, A.S.; Patterson, K.C.; Abston, E.; Bernstein, R.C.; Blankstein, R.; Chen, E.S.; et al. Diagnosis and Detection of Sarcoidosis. An Official American Thoracic Society Clinical Practice Guideline. Am. J. Respir. Crit. Care Med. 2020, 201, 26–51. [Google Scholar] [CrossRef]
- Schupp, J.C.; Freitag-Wolf, S.; Bargagli, E.; Mihailović-Vučinić, V.; Rottoli, P.; Grubanovic, A.; Müller, A.; Jochens, A.; Tittmann, L.; Schnerch, J.; et al. Phenotypes of organ involvement in sarcoidosis. Eur. Respir. J. 2018, 51, 1700991. [Google Scholar] [CrossRef]
- Rosen, Y. Four decades of necrotizing sarcoid granulomatosis: What do we know now? Arch. Pathol. Lab. Med. 2015, 139, 252–262. [Google Scholar] [CrossRef] [PubMed]
- Baughman, R.P.; Teirstein, A.S.; Judson, M.A.; Rossman, M.D.; Yeager, H., Jr.; Bresnitz, E.A.; DePalo, L.; Hunninghake, G.; Iannuzzi, M.C.; Johns, C.J.; et al. Case Control Etiologic Study of Sarcoidosis (ACCESS) research group. Clinical characteristics of patients in a case control study of sarcoidosis. Am. J. Respir. Crit. Care Med. 2001, 164, 1885–1889. [Google Scholar] [CrossRef] [PubMed]
- Polverino, F.; Balestro, E.; Spagnolo, P. Clinical Presentations, Pathogenesis, and Therapy of Sarcoidosis: State of the Art. J. Clin. Med. 2020, 9, 2363. [Google Scholar] [CrossRef] [PubMed]
- Mañá, J.; Rubio-Rivas, M.; Villalba, N.; Marcoval, J.; Iriarte, A.; Molina-Molina, M.; Llatjos, R.; García, O.; Martínez-Yélamos, S.; Vicens-Zygmunt, V.; et al. Multidisciplinary approach and long-term follow-up in a series of 640 consecutive patients with sarcoidosis: Cohort study of a 40-year clinical experience at a tertiary referral center in Barcelona, Spain. Medicine 2017, 96, 7595. [Google Scholar] [CrossRef]
- Ungprasert, P.; Matteson, E.L. Neurosarcoidosis. Rheum. Dis. Clin. N. Am. 2017, 43, 593–606. [Google Scholar] [CrossRef]
- Bargagli, E.; Prasse, A. Sarcoidosis: A review for the internist. Intern. Emerg. Med. 2018, 13, 325–331. [Google Scholar] [CrossRef] [PubMed]
- Jameson, A.; Revels, J.; Wang, L.L.; Wang, D.T.; Wang, S.S. Sarcoidosis, the master mimicker. Curr. Probl. Diagn. Radiol. 2022, 51, 60–72. [Google Scholar] [CrossRef]
- Castro, M.D.C.; Pereira, C.A.C. Nonlife-Threatening Sarcoidosis. Semin. Respir. Crit. Care Med. 2020, 41, 733–740. [Google Scholar] [CrossRef]
- Kharoubi, S. Heerfordt’s syndrome: About a case and literature review. Pan Afr. Med. J. 2020, 37, 117. [Google Scholar] [CrossRef]
- Mikulic, S.; Patel, P.; Sheffield, S.; Kandah, F.; Velarde, G. Heerfordt-Waldenström Syndrome Manifesting as Cardiac Sarcoidosis. Cureus 2020, 29, 10619. [Google Scholar] [CrossRef]
- Trivieri, M.G.; Spagnolo, P.; Birnie, D.; Liu, P.; Drake, W.; Kovacic, J.C.; Baughman, R.; Fayad, Z.A.; Judson, M.A. Challenges in Cardiac and Pulmonary Sarcoidosis: JACC State-of-the-Art Review. J. Am. Coll. Cardiol. 2020, 76, 1878–1901. [Google Scholar] [CrossRef] [PubMed]
- Obi, O.N.; Saketkoo, L.A.; Russell, A.-M.; Baughman, R.P. Sarcoidosis: Updates on therapeutic drug trials and novel treatment approaches. Front. Med. 2022, 9, 991783. [Google Scholar] [CrossRef] [PubMed]
- Baughman, R.P.; Valeyre, D.; Korsten, P.; Mathioudakis, A.G.; Wuyts, W.A.; Wells, A.; Rottoli, P.; Nunes, H.; Lower, E.E.; Judson, M.A.; et al. ERS clinical practice guidelines on treatment of sarcoidosis. Eur. Respir. J. 2021, 58, 2004079. [Google Scholar] [CrossRef] [PubMed]
- Sawahata, M.; Yamaguchi, T. Imaging Findings of Fibrosis in Pulmonary Sarcoidosis. Sarcoidosis Vasculitis Diffuse Lung Dis. Off. J. WASOG 2022, 39, 2022018. [Google Scholar] [CrossRef]
- Tana, C.; Donatiello, I.; Caputo, A.; Tana, M.; Naccarelli, T.; Mantini, C.; Ricci, F.; Ticinesi, A.; Meschi, T.; Cipollone, F.; et al. Clinical Features, Histopathology and Differential Diagnosis of Sarcoidosis. Cells 2021, 11, 59. [Google Scholar] [CrossRef]
- Levy, A.; Hamzeh, N.; Maier, L.A. Is it time to scrap Scadding and adopt computed tomography for initial evaluation of sarcoidosis? F1000Research 2018, 7, 600. [Google Scholar] [CrossRef]
- Nishino, M.; Lee, K.S.; Itoh, H.; Hatabu, H. The spectrum of pulmonary sarcoidosis: Variations of high-resolution CT findings and clues for specific diagnosis. Eur. J. Radiol. 2010, 73, 66–73. [Google Scholar] [CrossRef]
- Polychronopoulos, V.S.; Prakash, U.B.S. Airway involvement in sarcoidosis. Chest 2009, 136, 1371–1380. [Google Scholar] [CrossRef]
- Jeny, F.; Bernaudin, J.-F.; Aubart, F.C.; Brillet, P.-Y.; Bouvry, D.; Nunes, H.; Valeyre, D. Diagnosis issues in sarcoidosis. Respir. Med. Res. 2020, 77, 37–45. [Google Scholar] [CrossRef]
- Valeyre, D.; Brauner, M.; Bernaudin, J.-F.; Carbonnelle, E.; Duchemann, B.; Rotenberg, C.; Berger, I.; Martin, A.; Nunes, H.; Naccache, J.-M.; et al. Differential diagnosis of pulmonary sarcoidosis: A review. Front. Med. 2023, 10, 1150751. [Google Scholar] [CrossRef]
- Mankad, P.; Mitchell, B.; Birnie, D.; Kron, J. Cardiac Sarcoidosis. Curr. Cardiol. Rep. 2019, 21, 152. [Google Scholar] [CrossRef] [PubMed]
- Birnie, D.H. Cardiac Sarcoidosis. Semin. Respir. Crit. Care Med. 2020, 41, 626–640. [Google Scholar] [CrossRef] [PubMed]
- Terasaki, F.; Kusano, K.; Nakajima, T.; Yazaki, Y.; Morimoto, S.I.; Culver, D.A.; Isobe, M. The characteristics of Japanese guidelines on diagnosis and treatment of cardiac sarcoidosis compared with the previous guidelines. Sarcoidosis Vasculitis Diffuse Lung Dis. Off. J. WASOG 2022, 39, 2022028. [Google Scholar] [CrossRef]
- Liu, J.; Ma, P.; Lai, L.; Villanueva, A.; Koenig, A.; Bean, G.R.; Bowles, D.E.; Glass, C.; Watson, M.; Lavine, K.J.; et al. Transcriptional and Immune Landscape of Cardiac Sarcoidosis. Circ. Res. 2022, 131, 654–669. [Google Scholar] [CrossRef] [PubMed]
- Birnie, D.H.; Sauer, W.H.; Bogun, F.; Cooper, J.M.; Culver, D.A.; Duvernoy, C.S.; Judson, M.A.; Kron, J.; Mehta, D.; Nielsen, J.C.; et al. HRS expert consensus statement on the diagnosis and management of arrhythmias associated with cardiac sarcoidosis. Heart Rhythm. 2014, 11, 1305–1323. [Google Scholar] [CrossRef]
- Hulten, E.; Agarwal, V.; Cahill, M.; Cole, G.; Vita, T.; Parrish, S.; Bittencourt, M.S.; Murthy, V.L.; Kwong, R.; Di Carli, M.F.; et al. Presence of Late Gadolinium Enhancement by Cardiac Magnetic Resonance Among Patients With Suspected Cardiac Sarcoidosis Is Associated With Adverse Cardiovascular Prognosis: A Systematic Review and Meta-Analysis. Circulation. Cardiovasc. Imaging 2016, 9, 005001. [Google Scholar] [CrossRef]
- Sperry, B.W.; Tamarappoo, B.K.; Oldan, J.D.; Javed, O.; Culver, D.A.; Brunken, R.; Cerqueira, M.D.; Hachamovitch, R. Prognostic Impact of Extent, Severity, and Heterogeneity of Abnormalities on 18F-FDG PET Scans for Suspected Cardiac Sarcoidosis. JACC. Cardiovasc. Imaging 2018, 11, 336–345. [Google Scholar] [CrossRef]
- Silverstein, A.; Siltzbach, L.E. Muscle involvement in sarcoidosis. Asymptomatic, myositis, and myopathy. Arch Neurol. 1969, 21, 235–241. [Google Scholar] [CrossRef]
- Nordenswan, H.-K.; Pöyhönen, P.; Lehtonen, J.; Ekström, K.; Uusitalo, V.; Niemelä, M.; Vihinen, T.; Kaikkonen, K.; Haataja, P.; Kerola, T.; et al. Incidence of Sudden Cardiac Death and Life-Threatening Arrhythmias in Clinically Manifest Cardiac Sarcoidosis With and Without Current Indications for an Implantable Cardioverter Defibrillator. Circulation 2022, 146, 964–975. [Google Scholar] [CrossRef]
- Caplan, A.; Rosenbach, M.; Imadojemu, S. Cutaneous Sarcoidosis. Semin. Respir. Crit. Care Med. 2020, 41, 689–699. [Google Scholar] [CrossRef]
- Boch, K.; Langan, E.A.; Zillikens, D.; Ludwig, R.J.; Kridin, K. Evaluation of clinical and laboratory characteristics of patients with cutaneous sarcoidosis: A single-center retrospective cohort study. Front. Med. 2022, 9, 980507. [Google Scholar] [CrossRef]
- Alghamdi, A.; Mazraani, N.; Thabet, S.A.; Alghamdi, B.S.; Hanawi, M.; Almaghraby, H.; Huwait, H.F. Cutaneous Sarcoidosis of a 53-Year-Old Female: A Case Report. Cureus 2021, 13, 19351. [Google Scholar] [CrossRef] [PubMed]
- Arora, P.; Verma, G.; Chauhan, M.; Ahuja, A. Atypical Protean Manifestations of Cutaneous Sarcoidosis. Indian. J. Dermatol. 2022, 67, 87–89. [Google Scholar] [CrossRef] [PubMed]
- Tsai, H.L.; Chang, J.W.; Lu, J.H.; Liu, C.S. Epidemiology and risk factors associated with avascular necrosis in patients with autoimmune diseases: A nationwide study. Korean J. Intern. Med. 2022, 37, 864–876. [Google Scholar] [CrossRef]
- Barreras, P.; Stern, B.J. Clinical features and diagnosis of neurosarcoidosis-review article. J. Neuroimmunol. 2022, 368, 577871. [Google Scholar] [CrossRef] [PubMed]
- Bradshaw, M.J.; Pawate, S.; Koth, L.L.; Cho, T.A.; Gelfand, J.M. Neurosarcoidosis: Pathophysiology, Diagnosis, and Treatment. Neurol. (R) Neuroimmunol. Neuroinflammation 2021, 8, 1084. [Google Scholar] [CrossRef] [PubMed]
- Arun, T.; Palace, J. Effects of immunotherapies and clinical outcomes in neurosarcoidosis: A retrospective cohort study. J. Neurol. 2021, 268, 2466–2472. [Google Scholar] [CrossRef]
- Shen, J.; Lackey, E.; Shah, S. Neurosarcoidosis: Diagnostic Challenges and Mimics A Review. Curr. Allergy Asthma Rep. 2023, 23, 399–410. [Google Scholar] [CrossRef]
- Tavee, J.; Voortman, M. Granulomatous and nongranulomatous neurological sarcoidosis. Eur. Respir. Soc. Monogr. 2022, 96, 160–173. [Google Scholar] [CrossRef]
- Mekinian, A.; Maisonobe, L.; Boukari, L.; Melenotte, C.; Terrier, B.; Ayrignac, X.; Schleinitz, N.; Sène, D.; Hamidou, M.; Konaté, A.; et al. Characteristics, outcome and treatments with cranial pachymeningitis: A multicenter French retrospective study of 60 patients. Medicine 2018, 97, 11413. [Google Scholar] [CrossRef]
- Stern, B.J.; Royal, W.; Gelfand, J.M., 3rd; Clifford, D.B.; Tavee, J.; Pawate, S.; Berger, J.R.; Aksamit, A.J.; Krumholz, A.; Pardo, C.A.; et al. Definition and Consensus Diagnostic Criteria for Neurosarcoidosis: From the Neurosarcoidosis Consortium Consensus Group. JAMA Neurol. 2018, 75, 1546–1553. [Google Scholar] [CrossRef] [PubMed]
- Voortman, M.; Drent, M.; Baughman, R.P. Management of neurosarcoidosis: A clinical challenge. Curr. Opin. Neurol. 2019, 32, 475–483. [Google Scholar] [CrossRef] [PubMed]
- Giorgiutti, S.; Jacquot, R.; El Jammal, T.; Bert, A.; Jamilloux, Y.; Kodjikian, L.; Sève, P. Sarcoidosis-Related Uveitis: A Review. J. Clin. Med. 2023, 12, 3194. [Google Scholar] [CrossRef] [PubMed]
- Bazewicz, M.; Heissigerova, J.; Pavesio, C.; Willermain, F.; Skrzypecki, J. Ocular sarcoidosis in adults and children: Update on clinical manifestation and diagnosis. J. Ophthalmic Inflamm. Infect. 2023, 13, 41. [Google Scholar] [CrossRef]
- Standardization of Uveitis Nomenclature (SUN) Working Group. Classification Criteria for Sarcoidosis-Associated Uveitis. Am. J. Ophthalmol. 2021, 228, 220–230. [Google Scholar] [CrossRef]
- Sève, P.; Pacheco, Y.; Durupt, F.; Jamilloux, Y.; Gerfaud-Valentin, M.; Isaac, S.; Boussel, L.; Calender, A.; Androdias, G.; Valeyre, D.; et al. Sarcoidosis: A Clinical Overview from Symptoms to Diagnosis. Cells 2021, 10, 766. [Google Scholar] [CrossRef]
- Takase, H. Characteristics and management of ocular sarcoidosis. Immunol. Med. 2022, 45, 12–21. [Google Scholar] [CrossRef]
- Akao, K.; Minezawa, T.; Yamamoto, N.; Okamura, T.; Inoue, T.; Yamatsuta, K.; Uozu, S.; Goto, Y.; Hayashi, M.; Isogai, S.; et al. Flow cytometric analysis of lymphocyte profiles in mediastinal lymphadenopathy of sarcoidosis. PLoS ONE 2018, 13, 0206972. [Google Scholar] [CrossRef]
- Kraaijvanger, R.; Bonás, M.J.; Vorselaars, A.D.M.; Veltkamp, M. Biomarkers in the Diagnosis and Prognosis of Sarcoidosis: Current Use and Future Prospects. Front. Immunol. 2020, 11, 1443. [Google Scholar] [CrossRef]
- Ramos-Casals, M.; Retamozo, S.; Sisó-Almirall, A.; Pérez-Alvarez, R.; Pallarés, L.; Brito-Zerón, P. Clinically-useful serum biomarkers for diagnosis and prognosis of sarcoidosis. Expert Rev. Clin. Immunol. 2019, 15, 391–405. [Google Scholar] [CrossRef]
- Zhou, Y.; Chen, X.; Zhao, M.; Lower, E.E.; Baughman, R.P. SACE and IL-2R as serum biomarkers for evaluation of multi-organ involvement and prognosis of sarcoidosis. Respir. Res. 2023, 24, 219. [Google Scholar] [CrossRef]
- Ramirez, R.; Trivieri, M.; Fayad, Z.A.; Ahmadi, A.; Narula, J.; Argulian, E. Advanced Imaging in Cardiac Sarcoidosis. Journal of nuclear medicine: Official publication. Soc. Nuclear Med. 2019, 60, 892–898. [Google Scholar] [CrossRef]
- Al Hayja, M.A.; Vinjamuri, S. Cardiac sarcoidosis: The role of cardiac MRI and 18F-FDG-PET/CT in the diagnosis and treatment follow-up. Br. J. Cardiol. 2023, 30, 7. [Google Scholar] [CrossRef] [PubMed]
- Strambu, I.R. Challenges of cardiac sarcoidosis. Front. Med. 2023, 10, 999066. [Google Scholar] [CrossRef]
- Vender, R.J.; Aldahham, H.; Gupta, R. The role of PET in the management of sarcoidosis. Curr. Opin. Pulm. Med. 2022, 28, 485–491. [Google Scholar] [CrossRef]
- Starshinova, A.; Malkova, A.; Zinchenko, U.; Lapin, S.; Mazing, A.; Kudlay, D.; Yablonskiy, P.; Shoenfeld, Y. Detection of Anti-Vimentin Antibodies in Patients with Sarcoidosis. Diagnostics 2022, 12, 1939. [Google Scholar] [CrossRef]
- Baughman, R.P.; Culver, D.A.; Judson, M.A. A concise review of pulmonary sarcoidosis. Am. J. Respir. Crit. Care Med. 2011, 183, 573–581. [Google Scholar] [CrossRef] [PubMed]
- Patterson, K.C.; Chen, E.S. The pathogenesis of pulmonary sarcoidosis and implications for treatment. Chest 2018, 153, 1432–1442. [Google Scholar] [CrossRef]
- Hu, Y.; Yibrehu, B.; Zabini, D.; Kuebler, W.M. Animal models of sarcoidosis. Cell. Tissue Res. 2017, 367, 651–661. [Google Scholar] [CrossRef]
- Dubaniewicz, A. “Danger theory”as a common mechanism of sarcoidosis induction by infectious and non- infectious factors-a role of environmental factors and autoimmunity. Pol. Merkur. Lekarski 2018, 44, 97–100. [Google Scholar] [PubMed]
- Jouni, H.; Chareonthaitawee, P. Unraveling inflammation and oxidative stress in cardiac sarcoidosis. Circ. Cardiovasc. Imaging 2017, 10, e007287. [Google Scholar] [CrossRef] [PubMed]
- Ruža, I.; Lucāne, Z. Serum and urinary calcium level in Latvian patients with sarcoidosis. Reumatologia 2018, 56, 377–381. [Google Scholar] [CrossRef] [PubMed]
- Starshinova, A.A.; Malkova, A.M.; Basantsova, N.Y.; Zinchenko, Y.S.; Kudryavtsev, I.V.; Ershov, G.A.; Soprun, L.A.; Mayevskaya, V.A.; Churilov, L.P.; Yablonskiy, P.K. Sarcoidosis as an Autoimmune Disease. Front. Immunol. 2020, 0, 2933. [Google Scholar] [CrossRef] [PubMed]
- Puttgen, K.B. Diagnosis and management of of infantile hemangiomas. Pediatr. Clin. N. Am. 2014, 61, 383–402. Available online: http://ezproxy.lib.ucalgary.ca/login?url=http://search.ebscohost.com/login.aspx?direct=true&db=a9h&AN=22828887&site=ehost-live (accessed on 28 September 2021). [CrossRef] [PubMed]
- Berge, B.T.; KleinJan, A.; Muskens, F.; Hammad, H.; Hoogsteden, H.C.; Hendriks, R.W.; Lambrecht, B.N.; Van den Blink, B. Evidence for local dendritic cell activation in pulmonary sarcoidosis. Respir. Res. 2012, 13, 33. [Google Scholar] [CrossRef]
- Sakthivel, P.; Bruder, D. Mechanism of granuloma formation in sarcoidosis. Curr. Opin. Hematol. 2017, 24, 59–65. [Google Scholar] [CrossRef]
- Broos, C.E.; van Nimwegen, M.; Hoogsteden, H.C.; Hendriks, R.W.; Kool, M.; Van den Blink, B. Granuloma formation in pulmonary sarcoidosis. Front. Immunol. 2013, 4, 437. [Google Scholar] [CrossRef]
- Oliver, S.J.; Kikuchi, T.; Krueger, J.G.; Kaplan, G. Thalidomide induces granuloma differentiation in sarcoid skin lesions associated with disease improvement. Clin. Immunol. 2002, 102, 225–236. [Google Scholar] [CrossRef]
- Kita, S.; Tsuda, T.; Sugisaki, K.; Miyazaki, E.; Matsumoto, T. Characterization of Distribution of T Lymphocyte Subsets and Activated T Lymphocytes Infiltrating into Sarcoid Lesions. Intern. Med. 1995, 34, 847–855. [Google Scholar] [CrossRef][Green Version]
- Crouser, E. Role of imbalance between Th17 and regulatory T-cells in sarcoidosis. Curr. Opin. Pulm. Med. 2018, 24, 521–526. [Google Scholar] [CrossRef]
- Khassawneh, B.; Zhu, C.; Barkes, B.; Vestal, B.; Shrock, S.; Gillespie, M.; Pacheco, K.; Deane, K.D.; Maier, L.A.; Li, Q.-Z.; et al. Autoantibody profile in sarcoidosis, analysis from the GRADS sarcoidosis cohort. PLoS ONE 2022, 17, e0274381. [Google Scholar] [CrossRef]
- Cain, H.; Kraus, B. Immunofluorescence microscopic demonstration of vimentin filaments in asteroid bodies of sarcoidosis. A comparison with electron microscopic findings. Virchows Arch. B Cell. Pathol. Incl. Mol. Pathol. 1983, 42, 213–226. [Google Scholar] [CrossRef]
- Kinloch, A.J.; Kaiser, Y.; Wolfgeher, D.; Ai, J.; Eklund, A.; Clark, M.R.; Grunewald, J. In Situ Humoral Immunity to Vimentin in HLA-DRB1*03+ Patients with Pulmonary Sarcoidosis. Front. Immunol. 2018, 9, 1516. [Google Scholar] [CrossRef] [PubMed]
- Weeratunga, P.; Moller, D.R.; Ho, L.P. Immune mechanisms of granuloma formation in sarcoidosis and tuberculosis. J. Clin. Investig. 2024, 134, e175264. [Google Scholar] [CrossRef] [PubMed]
- Avendaño-Monje, C.L.; Cordero-Coma, M.; Mauriz, J.L.; Calleja-Antolín, S.; Fonollosa, A.; Llordén, A.G.; García-Sancho, J.M.; Sánchez-Salazar, M.I.; de Morales, J.G.R. Anti-retinal Antibodies in Sarcoidosis. Ocul. Immunol. Inflamm. 2022, 32, 141–147. [Google Scholar] [CrossRef]
- Caforio, A.L.P.; Baritussio, A.; Marcolongo, R.; Cheng, C.-Y.; Pontara, E.; Bison, E.; Cattini, M.G.; Gallo, N.; Plebani, M.; Iliceto, S.; et al. Serum Anti-Heart and Anti-Intercalated Disk Autoantibodies: Novel Autoimmune Markers in Cardiac Sarcoidosis. J. Clin. Med. 2021, 10, 2476. [Google Scholar] [CrossRef]
- Hanoudi, S.N.; Talwar, H.; Draghici, S.; Samavati, L. Autoantibodies against cytoskeletons and lysosomal trafficking discriminate sarcoidosis from healthy controls, tuberculosis and lung cancers. Mol. Biomed. 2022, 3, 3. [Google Scholar] [CrossRef]
- Ueda-Hayakawa, I.; Tanimura, H.; Osawa, M.; Iwasaka, H.; Ohe, S.; Yamazaki, F.; Mizuno, K.; Okamoto, H. Elevated serum BAFF levels in patients with sarcoidosis: Association with disease activity. Rheumatology 2013, 52, 1658–1666. [Google Scholar] [CrossRef]
- Weinberg, I.; Vasiliev, L.; Gotsman, I. Anti-dsDNA antibodies in sarcoidosis. Semin. Arthritis Rheum. 2000, 29, 328–331. [Google Scholar] [CrossRef]
- Shi, T.-Y.; Wen, X.-H.; Shi, X.-H.; Meng, J.; Lu, Y.-W. Associations between sarcoidosis, autoimmune diseases, and autoantibodies: A single-center retrospective study in China. Clin. Exp. Med. 2022, 22, 277–283. [Google Scholar] [CrossRef] [PubMed]
- Maertzdorf, J.; Weiner, J., 3rd; Mollenkopf, H.J.; TBornotTB Network; Bauer, T.; Prasse, A.; Müller-Quernheim, J.; Kaufmann, S.H. Common patterns and disease-related signatures in tuberculosis and sarcoidosis. Proc. Natl. Acad. Sci. USA 2012, 109, 7853–7858. [Google Scholar] [CrossRef] [PubMed]
- Peng, C.; Talreja, J.; Steinbauer, B.; Shinki, K.; Koth, L.L.; Samavati, L. Discovery of Two Novel Immunoepitopes and Development of Peptide-based Sarcoidosis Immunoassay. Am. J. Respir. Crit. Care Med. 2024. [Google Scholar] [CrossRef] [PubMed]
- Thillai, M.; Atkins, C.P.; Crawshaw, A.; Hart, S.P.; Ho, L.-P.; Kouranos, V.; Patterson, K.C.; Screaton, N.J.; Whight, J.; Wells, A.U. BTS Clinical Statement on pulmonary sarcoidosis. Thorax 2021, 76, 4–20. [Google Scholar] [CrossRef] [PubMed]
- Starshinova, A.; Zinchenko, Y.; Filatov, M.; Denisova, N.; Istomina, E.; Landa, S.; Burdakov, V.; Churilov, L.; Sapozhnikova, N.; Pavlova, M.; et al. Specific features of immune complexes in patients with sarcoidosis and pulmonary tuberculosis. Immunol. Res. 2018, 66, 737–743. [Google Scholar] [CrossRef] [PubMed]
- Grunewald, J.; Eklund, A. Sex-specific manifestations of Löfgren’s syndrome. Am. J. Respir. Crit. Care Med. 2007, 175, 40–44. [Google Scholar] [CrossRef]
- Kellner, H.; Späthling, S.; Herzer, P. Ultrasound findings in Löfgren’s syndrome: Is ankle swelling caused by arthritis. tenosynovitis or periarthritis? J. Rheumatol. 1992, 19, 38–41. [Google Scholar]
- Kobak, S. Sarcoidosis: A rheumatologist’s perspective. Ther. Adv. Musculoskelet. Dis. 2015, 7, 196–205. [Google Scholar] [CrossRef]
- Koilubaeva, G.; Egorova, O.; Bolotbekova, A.; Turatbekova, A.; Syunbai K, G. Ab1700 rheumatologist’s assessment of acute sarcoidosis. Ann. Rheum. Dis. 2023, 82, 2088. [Google Scholar]
- Visser, H.; Vos, K.; Zanelli, E.; Verduyn, W.; Schreuder, G.M.T.; Speyer, I.; Breedveld, F.C.; Hazes, J.M.W. Sarcoid arthritis: Clinical characteristics, diagnostic aspects, and risk factors. Ann. Rheum. Dis. 2002, 61, 499–504. [Google Scholar] [CrossRef] [PubMed]
- Bechman, K.; Christidis, D.; Walsh, S.; Birring, S.S.; Galloway, J. A review of the musculoskeletal manifestations of sarcoidosis. Rheumatology 2018, 57, 777–783. [Google Scholar] [CrossRef]
- Smedslund, G.; Kotar, A.M.; Uhlig, T. Sarcoidosis with musculoskeletal manifestations: Systematic review of non-pharmacological and pharmacological treatments. Rheumatol. Int. 2022, 42, 2109–2124. [Google Scholar] [CrossRef] [PubMed]
- Yeung, T.; Grebowicz, A.; Nevskaya, T.; Zahid, S.; Pope, J.E. Joint involvement in sarcoidosis: Systematic review and meta-analysis of prevalence, clinical pattern and outcome. Rheumatology 2024, 63, 1803–1814. [Google Scholar] [CrossRef] [PubMed]
- Awada, H.; Abi-Karam, G.; Fayad, F. Musculoskeletal and other extrapulmonary disorders in sarcoidosis. Best. Pr. Pract. Res. Clin. Rheumatol. 2003, 17, 97–187. [Google Scholar] [CrossRef] [PubMed]
- Rothschild, B.M.; Pingitore, C.; Eaton, M. Dactylitis: Implications for clinical practice. Semin. Arthritis Rheum. 1998, 28, 4–7. [Google Scholar] [CrossRef] [PubMed]
- Sawada, K.; Segal, A.M.; Malchesky, P.S.; Koo, A.P.; Naganuma, S.; Nosé, Y. Rapid improvement in a patient with leukocytoclastic vasculitis with secondary mixed cryoglobulinemia treated with cryofiltration. J. Rheumatol. 1991, 18, 91–94. [Google Scholar]
- Brill, A.K.; Ott, S.R.; Geiser, T. Effect and safety of mycophenolate mofetil in chronic pulmonary sarcoidosis: A retrospective study. Respiration 2013, 86, 376–383. [Google Scholar] [CrossRef]
- Karabulut, Y.; Öz, N.; Gezer, H.H.; Esen, I.; Duruöz, M.T. Perspective of sarcoidosis in terms of rheumatology: A single-center rheumatology clinic experience. Rheumatol. Int. 2022, 42, 2191–2197. [Google Scholar] [CrossRef]
- Shorr, A.F.; Murphy, F.T.; Kelly, W.F.; Kaplan, K.J.; Gilliland, W.R.; Shapeero, L.G. Osseous sarcoidosis clinical, radiographic, and therapeutic observations. J. Clin. Rheumatol. 1998, 4, 186–192. [Google Scholar] [CrossRef]
- Rúa-Figueroa, I.; Gantes, M.A.; Erausquin, C.; Mhaidli, H.; Montesdeoca, A. Vertebral sarcoidosis: Clinical and imaging findings. Semin. Arthritis Rheum. 2002, 31, 346–352. [Google Scholar] [CrossRef]
- Valeyre, D.; Prasse, A.; Nunes, H.; Uzunhan, Y.; Brillet, P.Y.; Müller-Quernheim, J. Sarcoidosis. Lancet 2014, 383, 1155–1167. [Google Scholar] [CrossRef]
- Nemoto, I.; Shimizu, T.; Fujita, Y.; Tateishi, Y.; Tsuji-Abe, Y.; Shimizu, H. Tumour-like muscular sarcoidosis. Clin. Exp. Dermatol. 2007, 32, 298–300. [Google Scholar] [CrossRef] [PubMed]
- Colebunders, R.; Mercelis, R.; Buyssens, N.; Martin, J.J. Symptomatic sarcoid myopathy with minimal involvement of the peripheral nerves. Acta Clin. Belg. 1984, 39, 43–47. [Google Scholar] [CrossRef] [PubMed]
- Cleven, K.L.; Ye, K.; Zeig-Owens, R.; Hena, K.M.; Montagna, C.; Shan, J.; Hosgood, H.D.; Jaber, N.; Weiden, M.D.; Colbeth, H.L.; et al. Genetic Variants Associated with FDNY WTC-Related Sarcoidosis. Int. J. Environ. Res. Public Health 2019, 16, 1830. [Google Scholar] [CrossRef] [PubMed]
- Rossman, M.D.; Thompson, B.; Frederick, M.; Maliarik, M.; Iannuzzi, M.C.; Rybicki, B.A.; Pandey, J.P.; Newman, L.S.; Magira, E.; Beznik-Cizman, B.; et al. HLA-DRB1*1101: A significant risk factor for sarcoidosis in blacks and whites. Am. J. Hum. Genet. 2003, 73, 720–735. [Google Scholar] [CrossRef]
- Spagnolo, P.; Maier, L.A. Genetics in sarcoidosis. Curr. Opin. Pulm. Med. 2021, 27, 423–429. [Google Scholar] [CrossRef]
- Garman, L.; Pezant, N.; Pastori, A.; Savoy, K.A.; Li, C.; Levin, A.M.; Iannuzzi, M.C.; Rybicki, B.A.; Adrianto, I.; Montgomery, C.G. Genome-Wide Association Study of Ocular Sarcoidosis Confirms HLA Associations and Implicates Barrier Function and Autoimmunity in African Americans. Ocul. Immunol. Inflamm. 2021, 29, 244–249. [Google Scholar] [CrossRef]
- Davoudi, S.; Chang, V.S.; Navarro-Gomez, D.; Stanwyck, L.K.; Sevgi, D.D.; Papavasileiou, E.; Ren, A.; Uchiyama, E.; Sullivan, L.; Lobo, A.M.; et al. Association of genetic variants in RAB23 and ANXA11 with uveitis in sarcoidosis. Mol. Vis. 2018, 24, 59–74. [Google Scholar]
- Darlington, P.; Gabrielsen, A.; Sörensson, P.; Tallstedt, L.; Padyukov, L.; Eklund, A.; Grunewald, J. HLA-alleles associated with increased risk for extra-pulmonary involvement in sarcoidosis. Tissue Antigens 2014, 83, 267–272. [Google Scholar] [CrossRef]
- Calender, A.; Weichhart, T.; Valeyre, D.; Pacheco, Y. Current Insights in Genetics of Sarcoidosis: Functional and Clinical Impacts. J. Clin. Med. 2020, 9, 2633. [Google Scholar] [CrossRef]
- Naruse, T.; Matsuzawa, Y.; Ota, M.; Katsuyama, Y.; Matsumori, A.; Hara, M.; Nagai, S.; Morimoto, S.; Sasayama, S.; Inoko, H. HLA-DQB1*0601 is primarily associated with the susceptibility to cardiac sarcoidosis. Tissue Antigens 2000, 56, 52–57. [Google Scholar] [CrossRef]
- Freitag-Wolf, S.; Schupp, J.C.; Frye, B.C.; Fischer, A.; Anwar, R.; Kieszko, R.; Mihailović-Vučinić, V.; Milanowski, J.; Jovanovic, D.; Zissel, G.; et al. Genetic and geographic influence on phenotypic variation in European sarcoidosis patients. Front. Med. 2023, 10, 1218106. [Google Scholar] [CrossRef] [PubMed]
- Gerke, A.K.; Hunninghake, G. The Immunology of Sarcoidosis. Clin. Chest Med. 2008, 29, 379–390. [Google Scholar] [CrossRef] [PubMed]
- Lahtela, E.; Kankainen, M.; Sinisalo, J.; Selroos, O.; Lokki, M.L. Exome Sequencing Identifies Susceptibility Loci for Sarcoidosis Prognosis. Front. Immunol. 2019, 10, 2964. [Google Scholar] [CrossRef] [PubMed]
- Kishore, A.; Petersen, B.-S.; Nutsua, M.; Müller-Quernheim, J.; Franke, A.; Fischer, A.; Schreiber, S.; Petrek, M. Whole-exome sequencing identifies rare genetic variations in German families with pulmonary sarcoidosis. Hum. Genet. 2018, 137, 705–716. [Google Scholar] [CrossRef] [PubMed]
- Zhou, H.; Diao, M.; Zhang, M. The Association between ANXA11 Gene Polymorphisms and Sarcoidosis: A Meta-Analysis and systematic review. Sarcoidosis Vasc. Diffus. Lung Dis. 2016, 33, 102–111. [Google Scholar]
- Rossides, M.; Grunewald, J.; Eklund, A.; Kullberg, S.; Di Giuseppe, D.; Askling, J.; Arkema, E.V. Familial aggregation and heritability of sarcoidosis: A Swedish nested case-control study. Eur. Respir. J. 2018, 52, 1800385. [Google Scholar] [CrossRef]
- Calender, A.; France, I.T.F.O.G.S.; Farnier, P.A.R.; Buisson, A.; Pinson, S.; Bentaher, A.; Lebecque, S.; Corvol, H.; Taam, R.A.; Houdouin, V.; et al. Whole exome sequencing in three families segregating a pediatric case of sarcoidosis. BMC Med. Genom. 2018, 11, 23. [Google Scholar] [CrossRef]
- Fritz, D.; Ferwerda, B.; Brouwer, M.C.; van de Beek, D. Whole genome sequencing identifies variants associated with sarcoidosis in a family with a high prevalence of sarcoidosis. Clin. Rheumatol. 2021, 40, 3735–3743. [Google Scholar] [CrossRef]
- Calender, A.; Lim, C.X.; Weichhart, T.; Buisson, A.; Besnard, V.; Rollat-Farnier, P.A.; Bardel, C.; Roy, P.; Cottin, V.; Devouassoux, G.; et al. Exome sequencing and pathogenicity-network analysis of five French families implicate mTOR signalling and autophagy in familial sarcoidosis. Eur. Respir. J. 2019, 54, 1900430. [Google Scholar] [CrossRef]
- Cinetto, F.; Scarpa, R.; Dell’Edera, A.; Jones, M.G. Immunology of sarcoidosis: Old companions, new relationships. Curr. Opin. Pulm. Med. 2020, 26, 535–543. [Google Scholar] [CrossRef]
- Damsky, W.; Thakral, D.; Emeagwali, N.; Galan, A.; King, B. Tofacitinib Treatment and Molecular Analysis of Cutaneous Sarcoidosis. N. Engl. J. Med. 2018, 379, 2540–2546. [Google Scholar] [CrossRef] [PubMed]
- Linke, M.; Pham, H.T.T.; Katholnig, K.; Schnöller, T.; Miller, A.; Demel, F.; Schütz, B.; Rosner, M.; Kovacic, B.; Sukhbaatar, N.; et al. Chronic signaling via the metabolic checkpoint kinase mTORC1 induces macrophage granuloma formation and marks sarcoidosis progression. Nat. Immunol. 2017, 18, 293–302. [Google Scholar] [CrossRef] [PubMed]
- Wilson, J.L.; Mayr, H.K.; Weichhart, T. Metabolic Programming of Macrophages: Implications in the Pathogenesis of Granulomatous Disease. Front. Immunol. 2019, 10, 2265. [Google Scholar] [CrossRef] [PubMed]
- Shamaei, M.; Mortaz, E.; Pourabdollah, M.; Garssen, J.; Tabarsi, P.; Velayati, A.; Adcock, I.M. Evidence for M2 macrophages in granulomas from pulmonary sarcoidosis: A new aspect of macrophage heterogeneity. Hum. Immunol. 2018, 79, 63–69. [Google Scholar] [CrossRef] [PubMed]
- Braun, N.A.; Celada, L.J.; Herazo-Maya, J.D.; Abraham, S.; Shaginurova, G.; Sevin, C.M.; Grutters, J.; Culver, D.A.; Dworski, R.; Sheller, J.; et al. Blockade of the programmed death-1 pathway restores sarcoidosis CD4+ T-cell proliferative capacity. Am. J. Respir. Crit. Care Med. 2014, 190, 560–571. [Google Scholar] [CrossRef]
- Valentonyte, R.; Hampe, J.; Huse, K.; Rosenstiel, P.; Albrecht, M.; Stenzel, A.; Nagy, M.; Gaede, K.I.; Franke, A.; Haesler, R.; et al. Sarcoidosis is associated with a truncating splice site mutation in BTNL2. Nat. Genet. 2005, 37, 357–364. [Google Scholar] [CrossRef]
- Hofmann, S.; Franke, A.; Fischer, A.; Jacobs, G.; Nothnagel, M.; Gaede, K.I.; Schürmann, M.; Müller-Quernheim, J.; Krawczak, M.; Rosenstiel, P.; et al. Genome-wide association study identifies ANXA11 as a new susceptibility locus for sarcoidosis. Nat. Genet. 2008, 40, 1103–1106. [Google Scholar] [CrossRef]
- Hauber, H.P.; Gholami, D.; Meyer, A.; Pforte, A. Increased interleukin-13 expression in patients with sarcoidosis. Thorax 2003, 58, 519–524. [Google Scholar] [CrossRef][Green Version]
- Locke, L.W.; Crouser, E.D.; White, P.; Julian, M.W.; Caceres, E.G.; Papp, A.C.; Le, V.T.; Sadee, W.; Schlesinger, L.S. IL-13–regulated Macrophage Polarization during Granuloma Formation in an In Vitro Human Sarcoidosis Model. Am. J. Respir. Cell Mol. Biol. 2019, 60, 84–95. [Google Scholar] [CrossRef]


| Populations and Subpopulations of Cells | Relative Numbers of Positive Cells (%) | Absolute Number of Cells Per Liter (×109) | ||
|---|---|---|---|---|
| Result | Normal Value | Result | Normal Value | |
| Total B-cells (CD3−CD19+) | 29.87 | 7–17 | 0.345 | 0.111–0.376 |
| NK (LGL) (CD3−CD16+CD56+) | 8,48 | 8–17 | 0.098 | 0.123–0.369 |
| Total T-cells (CD3+CD19−) | 56.73 | 61–85 | 0.655 | 0.946–2.079 |
| T helpers (CD3+CD4+) | 20.09 | 35–55 | 0.336 | 0.576–1.336 |
| T cytotoxic cells (CD3+CD8+) | 19.39 | 19–35 | 0.212 | 0.372–0.974 |
| NKT cells (CD16+CD56+CD3+) | 10.72 | 0.5–6 | 0.124 | 0.007–0.165 |
| Regulatory T-cells (CD4+CD25brightCD127neg) | 2.1 | 0.6–3.2 | 0.025 | 0.009–0.078 |
| Estimated Indicator | ||||
| Indicator | Result | Norma | ||
| Ratio index (Th/Tct) | 1.04 | 1.5–2.6 | ||
| Control amount (T-cells + B-cells + NKT) | 95.1 | 100 ± 5 | ||
Disclaimer/Publisher’s Note: The statements, opinions and data contained in all publications are solely those of the individual author(s) and contributor(s) and not of MDPI and/or the editor(s). MDPI and/or the editor(s) disclaim responsibility for any injury to people or property resulting from any ideas, methods, instructions or products referred to in the content. |
© 2024 by the authors. Licensee MDPI, Basel, Switzerland. This article is an open access article distributed under the terms and conditions of the Creative Commons Attribution (CC BY) license (https://creativecommons.org/licenses/by/4.0/).
Share and Cite
Starshinova, A.; Berg, E.; Rubinstein, A.; Kulpina, A.; Kudryavtsev, I.; Kudlay, D. Chronic Sarcoidosis: Diagnostic Difficulties and Search for New Criteria of Inflammatory Activity (A Case Report and Literature Review). J. Clin. Med. 2024, 13, 6974. https://doi.org/10.3390/jcm13226974
Starshinova A, Berg E, Rubinstein A, Kulpina A, Kudryavtsev I, Kudlay D. Chronic Sarcoidosis: Diagnostic Difficulties and Search for New Criteria of Inflammatory Activity (A Case Report and Literature Review). Journal of Clinical Medicine. 2024; 13(22):6974. https://doi.org/10.3390/jcm13226974
Chicago/Turabian StyleStarshinova, Anna, Elizaveta Berg, Artem Rubinstein, Anastasia Kulpina, Igor Kudryavtsev, and Dmitry Kudlay. 2024. "Chronic Sarcoidosis: Diagnostic Difficulties and Search for New Criteria of Inflammatory Activity (A Case Report and Literature Review)" Journal of Clinical Medicine 13, no. 22: 6974. https://doi.org/10.3390/jcm13226974
APA StyleStarshinova, A., Berg, E., Rubinstein, A., Kulpina, A., Kudryavtsev, I., & Kudlay, D. (2024). Chronic Sarcoidosis: Diagnostic Difficulties and Search for New Criteria of Inflammatory Activity (A Case Report and Literature Review). Journal of Clinical Medicine, 13(22), 6974. https://doi.org/10.3390/jcm13226974

