Perifoveal Exudative Vascular Anomalous Complex (PEVAC): Retinal Vascular Density Findings
Abstract
1. Introduction
2. Materials and Methods
2.1. Study Design and Population
2.2. Image Acquisition, Validation, and Analysis
2.3. Statistical Analysis
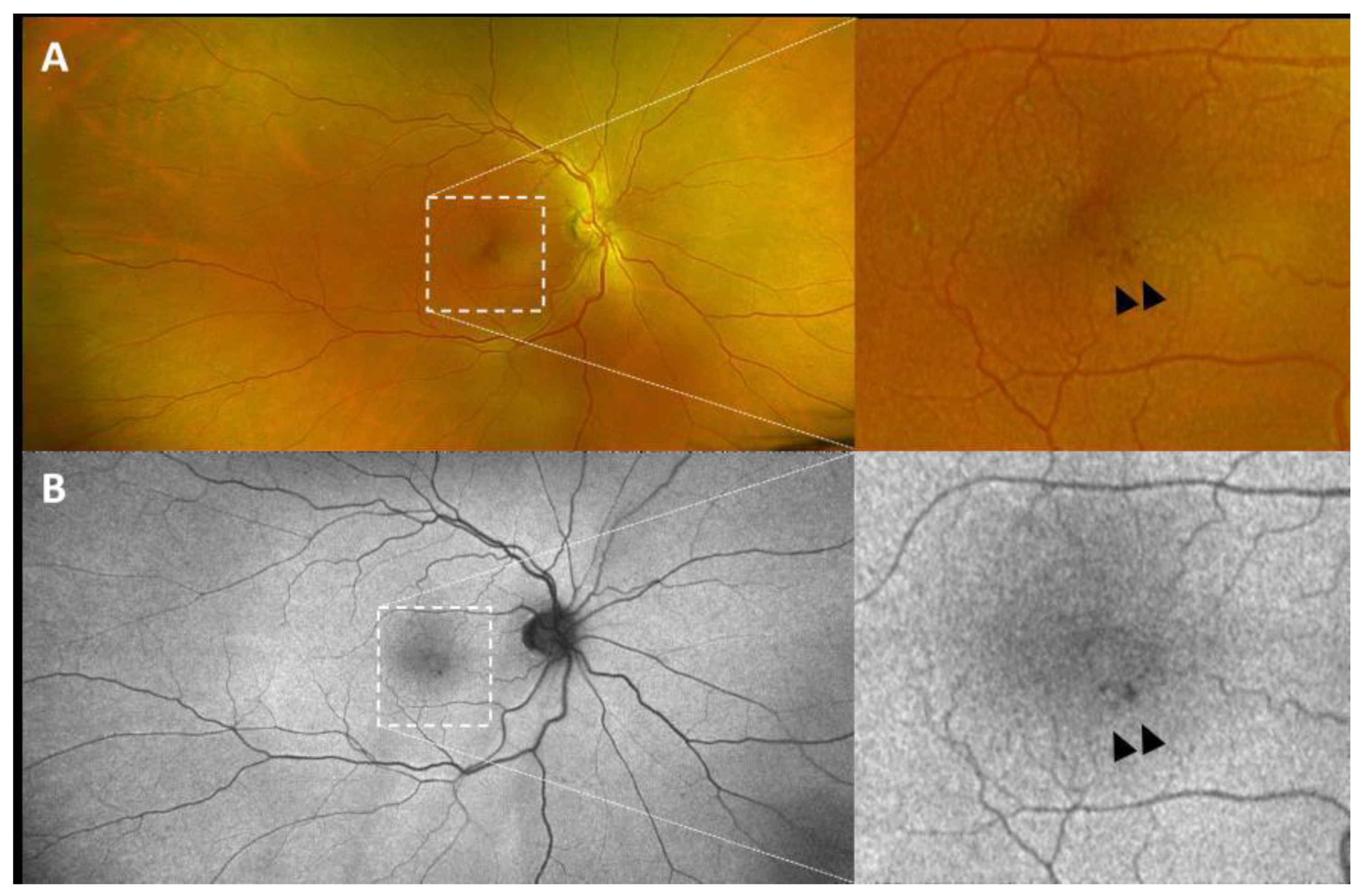
3. Results
4. Discussion
5. Conclusions
Supplementary Materials
Author Contributions
Funding
Institutional Review Board Statement
Informed Consent Statement
Data Availability Statement
Conflicts of Interest
References
- Querques, G.; Kuhn, D.; Massamba, N.; Leveziel, N.; Querques, L.; Souied, E.H. Perifoveal exudative vascular anomalous complex. J. Fr. Ophtalmol. 2011, 34, 559.e1–559.e4. [Google Scholar] [CrossRef] [PubMed]
- Yannuzzi, L.A.; Bardal, A.M.; Freund, K.B.; Chen, K.J.; Eandi, C.M.; Blodi, B. Idiopathic macular telangiectasia. Arch. Ophthalmol. 2006, 124, 450–460. [Google Scholar] [CrossRef] [PubMed]
- Chatziralli, I.P.; Sharma, P.K.; Sivaprasad, S. Treatment Modalities for Idiopathic Macular Telangiectasia: An Evidence-Based Systematic Review of the Literature. Semin. Ophthalmol. 2017, 32, 384–394. [Google Scholar] [CrossRef] [PubMed]
- Sacconi, R.; Freund, K.B.; Yannuzzi, L.A.; Dolz-Marco, R.; Souied, E.; Capuano, V.; Semoun, O.; Phasukkijwatana, N.; Sarraf, D.; Carnevali, A.; et al. The Expanded Spectrum of Perifoveal Exudative Vascular Anomalous Complex. Am. J. Ophthalmol. 2017, 184, 137–146. [Google Scholar] [CrossRef] [PubMed]
- Mrejen, S.; Le, H.M.; Nghiem-Buffet, S.; Tabary, S.; Quentel, G.; Cohen, S.Y. Insights into Perifoveal Exudative Vascular Anomalous Complex. Retina 2020, 40, 80–86. [Google Scholar] [CrossRef]
- Kim, J.H.; Kim, J.W.; Kim, C.G.; Lee, D.W. Characteristics of Perifoveal Exudative Vascular Anomalous Complex in Korean Patients. Semin. Ophthalmol. 2019, 34, 353–358. [Google Scholar] [CrossRef]
- Sacconi, R.; Borrelli, E.; Sadda, S.; Corradetti, G.; Freund, K.B.; Yannuzzi, L.A.; Souied, E.; Capuano, V.; Sarraf, D.; Querques, L.; et al. Nonexudative Perifoveal Vascular Anomalous Complex: The Subclinical Stage of Perifoveal Exudative Vascular Anomalous Complex? Am. J. Ophthalmol. 2020, 218, 59–67. [Google Scholar] [CrossRef]
- Verhoekx, J.S.N.; Smid, L.M.; Vermeer, K.A.; Martinez Ciriano, J.P.; Yzer, S. Anatomical Changes on Sequential Multimodal Imaging in Perifoveal Exudative Vascular Anomalous Complex. Retina 2021, 41, 162–169. [Google Scholar] [CrossRef]
- Fernandez-Vigo, J.I.; Burgos-Blasco, B.; Dolz-Marco, R.; Jimenez-Santos, M.; Lopez-Guajardo, L.; Donate-Lopez, J. Atypical perifoveal exudative vascular anomalous complex (PEVAC) with multifocal and bilateral presentation. Am. J. Ophthalmol. Case Rep. 2020, 18, 100717. [Google Scholar] [CrossRef]
- Ayachit, A.G.; Sacconi, R.; Ayachit, G.S.; Joshi, S.; Querques, G. Perifoveal Exudative Vascular Anomalous Complex-like Lesion as a Complication of Prepapillary Arterial Loops. Ophthalmic Surg. Lasers Imaging Retin. 2018, 49, 974–978. [Google Scholar] [CrossRef]
- Zhang, Z.; Xu, L.; Wu, Z.; Zhang, J. Case Report: Perifoveal Exudative Vascular Anomalous Complex in a Chinese Patient with Diabetes Mellitus. Optom. Vis. Sci. 2019, 96, 531–535. [Google Scholar] [CrossRef] [PubMed]
- Siedlecki, J.; Vounotrypidis, E.; Vogt, D.; Wolf, A.; Priglinger, S.G.; Schumann, R.G. Lamellar hole-associated epiretinal proliferation presenting with perifoveal exudative vascular anomalous complex. Am. J. Ophthalmol. Case Rep. 2019, 14, 112–116. [Google Scholar] [CrossRef] [PubMed]
- Banda, H.K.; Dang, S.; Rothman, R.J. Perifoveal Exudative Vascular Anomalous Complex with Suspended Scattered Particles in Motion. Ophthalmic Surg. Lasers Imaging Retin. 2019, 50, 796–800. [Google Scholar] [CrossRef] [PubMed]
- Venkatesh, R.; Yadav, N.K.; Bavaharan, B.; Prabhu, V.; Sinha, S. Multimodal imaging in perifoveal exudative vascular anomalous complex with co-existent diabetic retinopathy. Clin. Exp. Optom. 2019, 102, 528–532. [Google Scholar] [CrossRef]
- Wang, D.; Guo, X.; Wang, W.; Xiong, K.; Yuan, M.; Gong, X.; Li, Y.; Liang, X.; Huang, Z.; Zheng, S.; et al. Longitudinal Changes of Parafoveal Vessel Density in Diabetic Patients Without Clinical Retinopathy Using Optical Coherence Tomography Angiography. Curr. Eye Res. 2023, 48, 956–964. [Google Scholar] [CrossRef]
- Cheng, B.T.; Mishra, S.; Bryan, J.M.; Sadiq, S.A.; Sklar, N.C.; Suen, E.G.; Mohammed, T.O.; Mirza, R.G. Retinal Vessel Density and Treatment Intensity among Adults with Retinal Vein Occlusion: A Swept-Source Optical Coherence Tomography Angiography Study. J. Clin. Med. 2022, 11, 2892. [Google Scholar] [CrossRef]
- Can, G.D.; Gelisken, O. Evaluation of Retinal Vessel Density and Foveal Avascular Zone in Unilateral Exudative Choroidal Neovascularization by Optical Coherence Tomography Angiography. Beyoglu Eye J. 2022, 7, 83–88. [Google Scholar] [CrossRef]
- Mao, J.B.; Shao, Y.R.; Yu, J.F.; Deng, X.Y.; Liu, C.Y.; Chen, Y.Q.; Zhang, Y.; Xu, Z.K.; Wu, S.L.; Shen, L.J. Macular density alterations in myopic choroidal neovascularization and the effect of anti-VEGF on it. Int. J. Ophthalmol. 2021, 14, 1205–1212. [Google Scholar] [CrossRef]
- Iovino, C.; Iodice, C.M.; Pisani, D.; Damiano, L.; Di Iorio, V.; Testa, F.; Simonelli, F. Clinical Applications of Optical Coherence Tomography Angiography in Inherited Retinal Diseases: An Up-to-Date Review of the Literature. J. Clin. Med. 2023, 12, 3170. [Google Scholar] [CrossRef]
- Reif, R.; Qin, J.; An, L.; Zhi, Z.; Dziennis, S.; Wang, R. Quantifying optical microangiography images obtained from a spectral domain optical coherence tomography system. Int. J. Biomed. Imaging 2012, 2012, 509783. [Google Scholar] [CrossRef]
- Mello, L.G.M.; Rodrigues Neto, T.D.S.; da Silva Neto, E.D.; Preti, R.C.; Monteiro, M.L.R.; Zacharias, L.C. A standardized method to quantitatively analyze optical coherence tomography angiography images of the macular and peripapillary vessels. Int. J. Retin. Vitr. 2022, 8, 75. [Google Scholar] [CrossRef] [PubMed]
- Rabiolo, A.; Gelormini, F.; Sacconi, R.; Cicinelli, M.V.; Triolo, G.; Bettin, P.; Nouri-Mahdavi, K.; Bandello, F.; Querques, G. Comparison of methods to quantify macular and peripapillary vessel density in optical coherence tomography angiography. PLoS ONE 2018, 13, e0205773. [Google Scholar] [CrossRef] [PubMed]
- Everett, M.; Magazzeni, S.; Schmoll, T.; Kempe, M. Optical coherence tomography: From technology to applications in ophthalmology. Transl. Biophotonics 2021, 3, e202000012. [Google Scholar] [CrossRef]
- Rabb, M.F.; Gagliano, D.A.; Teske, M.P. Retinal arterial macroaneurysms. Surv. Ophthalmol. 1988, 33, 73–96. [Google Scholar] [CrossRef]
- Adamczyk, D.T.; Olivares, G.E.; Petito, G.T. Retinal arterial macroaneurysm: A longitudinal case study. J. Am. Optom. Assoc. 1989, 60, 840–845. [Google Scholar]
- Pope, C.H., Jr. Retinal capillary microaneurysms: A concept of pathogenesis. Diabetes 1960, 9, 9–13. [Google Scholar] [CrossRef]
- Pitkanen, L.; Tommila, P.; Kaarniranta, K.; Jaaskelainen, J.E.; Kinnunen, K. Retinal arterial macroaneurysms. Acta Ophthalmol. 2014, 92, 101–104. [Google Scholar] [CrossRef]
- Chang, T.S.; Aylward, G.W.; Davis, J.L.; Mieler, W.F.; Oliver, G.L.; Maberley, A.L.; Gass, J.D. Idiopathic retinal vasculitis, aneurysms, and neuro-retinitis. Retinal Vasculitis Study. Ophthalmology 1995, 102, 1089–1097. [Google Scholar] [CrossRef]
- Moser, L.A.; Simpson, D.E.; Young, D.D. Retinal macroaneurysms: The natural history in four patients. Optom. Vis. Sci. 1989, 66, 877–883. [Google Scholar] [CrossRef]
- Sheary, J.E.; Wayne, R.P. Coats’ disease. J. Am. Optom. Assoc. 1989, 60, 293–294. [Google Scholar]
- Sjolie, A.K.; Klein, R.; Porta, M.; Orchard, T.; Fuller, J.; Parving, H.H.; Bilous, R.; Aldington, S.; Chaturvedi, N. Retinal microaneurysm count predicts progression and regression of diabetic retinopathy. Post-hoc results from the DIRECT Programme. Diabet. Med. 2011, 28, 345–351. [Google Scholar] [CrossRef] [PubMed]
- Berlin, A.; Cabral, D.; Chen, L.; Messinger, J.D.; Balaratnasingam, C.; Mendis, R.; Ferrara, D.; Freund, K.B.; Curcio, C.A. Histology of Type 3 Macular Neovascularization and Microvascular Anomalies in Treated Age-Related Macular Degeneration: A Case Study. Ophthalmol. Sci. 2023, 3, 100280. [Google Scholar] [CrossRef] [PubMed]
- Klein, R. Retinopathy in a population-based study. Trans. Am. Ophthalmol. Soc. 1992, 90, 561–594. [Google Scholar]
- Zhang, A.; Zhang, Q.; Chen, C.-L.; Wang, R. Methods and algorithms for optical coherence tomography-based angiography: A review and comparison. J. Biomed. Opt. 2015, 20, 100901. [Google Scholar] [CrossRef]
- You, Q.S.; Chan, J.C.H.; Ng, A.L.K.; Choy, B.K.N.; Shih, K.C.; Cheung, J.J.C.; Wong, J.K.W.; Shum, J.W.H.; Ni, M.Y.; Lai, J.S.M.; et al. Macular Vessel Density Measured with Optical Coherence Tomography Angiography and Its Associations in a Large Population-Based Study. Investig. Ophthalmol. Vis. Sci. 2019, 60, 4830–4837. [Google Scholar] [CrossRef]
- Smid, L.M.; Verhoekx, J.S.N.; Martinez Ciriano, J.P.; Vermeer, K.A.; Yzer, S. Multimodal imaging comparison of perifoveal exudative vascular anomalous complex and resembling lesions. Acta Ophthalmol. 2021, 99, 553–558. [Google Scholar] [CrossRef]
- Antonetti, D.A.; Klein, R.; Gardner, T.W. Diabetic retinopathy. N. Engl. J. Med. 2012, 366, 1227–1239. [Google Scholar] [CrossRef]
- Tombolini, B.; Cavalleri, M.; Sacconi, R.; Querques, L.; Zucchiatti, I.; Bandello, F.; Querques, G. Progressive resolution of exudation from perifoveal vascular anomalous complex: A possible role of diclofenac therapy? Am. J. Ophthalmol. Case Rep. 2022, 26, 101472. [Google Scholar] [CrossRef]
- Spaide, R.F.; Barquet, L.A. Retinal Capillary Macroaneurysms. Retina 2019, 39, 1889–1895. [Google Scholar] [CrossRef]
- Shi, R.; Lu, Y.; Liu, D.; Guo, Z. Association of serum apolipoprotein B with retinal neurovascular structural alterations in patients with type 2 diabetes: An optical coherence tomography angiography study. Acta Diabetol. 2021, 58, 1673–1681. [Google Scholar] [CrossRef]
- Sacconi, R.; Borrelli, E.; Bandello, F.; Querques, G. Perifoveal exudative vascular anomalous complex in a highly myopic eye. Ther. Adv. Ophthalmol. 2020, 12, 2515841420947930. [Google Scholar] [CrossRef] [PubMed]
- Gonzalez, A.; Ravassa, S.; Lopez, B.; Moreno, M.U.; Beaumont, J.; San Jose, G.; Querejeta, R.; Bayes-Genis, A.; Diez, J. Myocardial Remodeling in Hypertension. Hypertension 2018, 72, 549–558. [Google Scholar] [CrossRef] [PubMed]
- Wong, T.Y.; Mitchell, P. Hypertensive retinopathy. N. Engl. J. Med. 2004, 351, 2310–2317. [Google Scholar] [CrossRef]
- Chua, J.; Le, T.T.; Sim, Y.C.; Chye, H.Y.; Tan, B.; Yao, X.; Wong, D.; Ang, B.W.Y.; Toh, D.F.; Lim, H.; et al. Relationship of Quantitative Retinal Capillary Network and Myocardial Remodeling in Systemic Hypertension. J. Am. Heart Assoc. 2022, 11, e024226. [Google Scholar] [CrossRef]





| Patient | Age/Sex | Systemic Medical History | Eye with PEVAC (Number of Lesions) | Location of PEVAC Lesion(s) | Coincident Eye Disease |
|---|---|---|---|---|---|
| PEVAC Group | |||||
| P-1 | 85/Female | HTN, dyslipidemia | OS (1) | Inner temporal | OU: Glaucoma, OS: Pseudophakia |
| P-2 | 73/Female | HTN, hypothyroidism | OS (1) | Central | None |
| P-3 | 56/Male | HTN, dyslipidemia | OS (4) | Inner temporal | None |
| P-4 | 78/Male | Dyslipidemia, BPH | OS (1) | Inner temporal | None |
| P-5 | 58/Male | HTN, DM type 2, dyslipidemia | OD (1) | Inner inferior | None |
| Control Group | |||||
| C-1 | 60/Male | None | OD | None | None |
| C-2 | 59/Female | None | OD | None | None |
| C-3 | 63/Female | HTN, DM type 2 | OD | None | None |
| C-4 | 65/Male | HTN, dyslipidemia | OS | None | None |
| C-5 | 77/Female | HTN | OS | None | None |
| C-6 | 63/Male | None | OD | None | None |
| C-7 | 78/Male | None | OD | Pseudophakia | None |
| C-8 | 71/Male | HTN | OD | Pseudophakia | None |
| C-9 | 63/Female | None | OS | None | None |
| Patient | Eye | Initial Presentation | Last Follow-Up | Follow-Up Period (Months) | Anti-VEGF Injections |
|---|---|---|---|---|---|
| P-1 | OS | VA: 20/32, CMT: 286 μm, intraretinal cysts, no drusen | VA: 20/25, CMT: 270 μm, no intraretinal cysts, no drusen | 14 | 10 |
| P-2 | OS | VA: 20/25, CMT: 271 μm, intraretinal cysts, no drusen | VA: 20/20, CMT: 259 μm, intraretinal cysts, no drusen | 4 | 0 |
| P-3 | OS | VA: 20/25, CMT: 433 μm, intraretinal cysts, no drusen | VA: 20/25, CMT: 428 μm, intraretinal cysts, small reticular pseudo-drusen | 4 | 0 |
| P-4 | OS | VA: 20/25, CMT: 282 μm, no intraretinal cysts, no drusen | VA: 20/25, CMT: 280 μm, intraretinal cysts, no drusen | 13 | 0 |
| P-5 | OD | VA: 20/32, CMT: 335 μm, intraretinal cysts, no drusen | VA: 20/32, CMT: 335 μm, intraretinal cysts, no drusen | 4 | 0 |
Disclaimer/Publisher’s Note: The statements, opinions and data contained in all publications are solely those of the individual author(s) and contributor(s) and not of MDPI and/or the editor(s). MDPI and/or the editor(s) disclaim responsibility for any injury to people or property resulting from any ideas, methods, instructions or products referred to in the content. |
© 2024 by the authors. Licensee MDPI, Basel, Switzerland. This article is an open access article distributed under the terms and conditions of the Creative Commons Attribution (CC BY) license (https://creativecommons.org/licenses/by/4.0/).
Share and Cite
Aweidah, H.; Cosette, D.; Lishinsky-Fischer, N.; Eshak, T.B.; Batash, T.; Chowers, I.; Jaouni, T.; Levinger, N.; Levy, J. Perifoveal Exudative Vascular Anomalous Complex (PEVAC): Retinal Vascular Density Findings. J. Clin. Med. 2024, 13, 6879. https://doi.org/10.3390/jcm13226879
Aweidah H, Cosette D, Lishinsky-Fischer N, Eshak TB, Batash T, Chowers I, Jaouni T, Levinger N, Levy J. Perifoveal Exudative Vascular Anomalous Complex (PEVAC): Retinal Vascular Density Findings. Journal of Clinical Medicine. 2024; 13(22):6879. https://doi.org/10.3390/jcm13226879
Chicago/Turabian StyleAweidah, Hamzah, Deborah Cosette, Natan Lishinsky-Fischer, Tarek B. Eshak, Tomer Batash, Itay Chowers, Tareq Jaouni, Nadav Levinger, and Jaime Levy. 2024. "Perifoveal Exudative Vascular Anomalous Complex (PEVAC): Retinal Vascular Density Findings" Journal of Clinical Medicine 13, no. 22: 6879. https://doi.org/10.3390/jcm13226879
APA StyleAweidah, H., Cosette, D., Lishinsky-Fischer, N., Eshak, T. B., Batash, T., Chowers, I., Jaouni, T., Levinger, N., & Levy, J. (2024). Perifoveal Exudative Vascular Anomalous Complex (PEVAC): Retinal Vascular Density Findings. Journal of Clinical Medicine, 13(22), 6879. https://doi.org/10.3390/jcm13226879

