Symptomatic Uterine Rudiments in Adolescents and Adults with Mayer–Rokitansky–Küster–Hauser Syndrome (MRKHS): Management and Outcomes
Abstract
1. Introduction
2. Materials and Methods
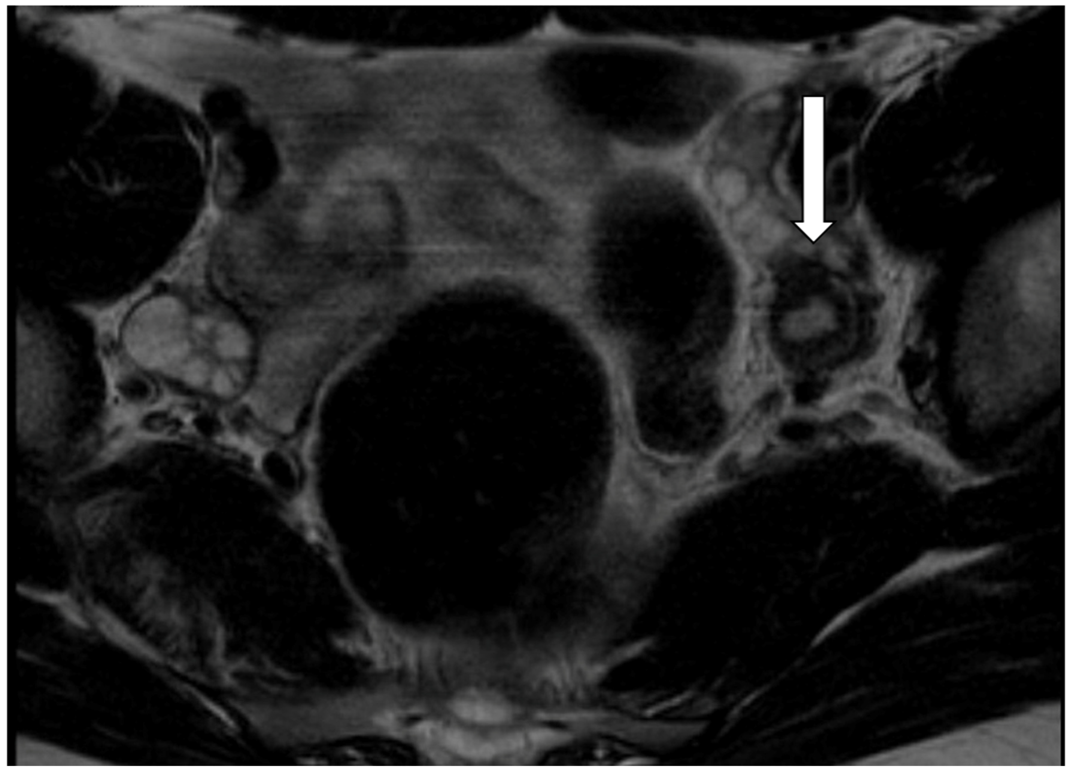
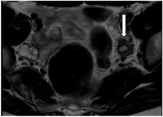
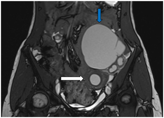
3. Results
4. Discussion
5. Conclusions
Author Contributions
Funding
Institutional Review Board Statement
Informed Consent Statement
Data Availability Statement
Conflicts of Interest
References
- Oppelt, P.; Renner, S.P.; Kellermann, A.; Brucker, S.; Hauser, G.A.; Ludwig, K.S.; Strissel, P.L.; Strick, R.; Wallwiener, D.; Beckmann, M.W. Clinical aspects of Mayer-Rokitansky-Kuester-Hauser syndrome: Recommendations for clinical diagnosis and staging. Hum. Reprod. 2006, 21, 792–797. [Google Scholar] [CrossRef] [PubMed]
- Morcel, K.; Guerrier, D.; Watrin, T.; Pellerin, I.; Levêque, J. Le syndrome de Mayer-Rokitansky-Küster-Hauser (MRKH): Clinique et génétique [The Mayer-Rokitansky-Küster-Hauser (MRKH) syndrome: Clinical description and genetics]. J. Gynecol. Obstet. Biol. Reprod. 2008, 37, 539–546. [Google Scholar] [CrossRef] [PubMed]
- Romano, F.; Carlucci, S.; Stabile, G.; Mirenda, G.; Mirandola, M.; Mangino, F.P.; Romano, A.; Ricci, G. The Rare, Unexpected Condition of a Twisted Leiomyoma in Mayer-Rokitansky-Küster-Hauser (MRKH) Syndrome: Etiopathogenesis, Diagnosis and Management. Our Experience and Narrative Review of the Literature. Int. J. Environ. Res. Public Health 2021, 18, 5895. [Google Scholar] [CrossRef] [PubMed]
- Herlin, M.K. Genetics of Mayer-Rokitansky-Küster-Hauser (MRKH) syndrome: Advancements and implications. Front. Endocrinol. 2024, 15, 1368990. [Google Scholar] [CrossRef]
- Brucker, S.Y.; Eisenbeis, S.; König, J.; Lamy, M.; Salker, M.S.; Zeng, N.; Seeger, H.; Henes, M.; Schöller, D.; Schönfisch, B.; et al. Decidualization is Impaired in Endometrial Stromal Cells from Uterine Rudiments in Mayer-Rokitansky-Küster-Hauser Syndrome. Cell Physiol. Biochem. 2017, 41, 1083–1097. [Google Scholar] [CrossRef]
- Rall, K.; Barresi, G.; Wallwiener, D.; Brucker, S.Y.; Staebler, A. Uterine rudiments in patients with Mayer-Rokitansky-Kuster-Hauser syndrome consist of typical uterine tissue types with predominantly basalis-like endometrium. Fertil. Steril. 2013, 99, 1392–1399. [Google Scholar] [CrossRef]
- Grimbizis, G.F.; Gordts, S.; Di Spiezio Sardo, A.; Brucker, S.; De Angelis, C.; Gergolet, M.; Li, T.-C.; Tanos, V.; Brölmann, H.; Gianaroli, L.; et al. The ESHRE-ESGE consensus on the classification of female genital tract congenital anomalies. Gynecol. Surg. 2013, 10, 199–212. [Google Scholar] [CrossRef]
- Pfeifer, S.M.; Attaran, M.; Goldstein, J.; Lindheim, S.R.; Petrozza, J.C.; Rackow, B.W.; Siegelman, E.; Troiano, R.; Winter, T.; Zuckerman, A.; et al. ASRM müllerian anomalies classification 2021. Fertil. Steril. 2021, 116, 1238–1252. [Google Scholar] [CrossRef]
- Elliott, J.E.; Abduljabar, H.; Morris, M. Presurgical management of dysmenorrhea and endometriosis in a patient with Mayer-Rokitansky-Kuster-Hauser syndrome. Fertil. Steril. 2011, 96, e86–e89. [Google Scholar] [CrossRef]
- Grimbizis, G.F.; Di Spiezio Sardo, A.; Saravelos, S.H.; Gordts, S.; Exacoustos, C.; Van Schoubroeck, D.; Bermejo, C.; Amso, N.N.; Nargund, G.; Timmerman, D.; et al. The Thessaloniki ESHRE/ESGE consensus on diagnosis of female genital anomalies. Hum. Reprod. 2016, 31, 2–7. [Google Scholar] [CrossRef]
- Oppelt, P.G.; Lermann, J.; Strick, R.; Dittrich, R.; Strissel, P.; Rettig, I.; Schulze, C.; Renner, S.P.; Beckmann, M.W.; Brucker, S.; et al. Malformations in a cohort of 284 women with Mayer-Rokitansky-Küster-Hauser syndrome (MRKH). Reprod. Biol. Endocrinol. 2012, 10, 57. [Google Scholar] [CrossRef] [PubMed]
- Preibsch, H.; Rall, K.; Wietek, B.M.; Brucker, S.Y.; Staebler, A.; Claussen, C.D.; Siegmann-Luz, K.C. Clinical value of magnetic resonance imaging in patients with Mayer-Rokitansky-Küster-Hauser (MRKH) syndrome: Diagnosis of associated malformations, uterine rudiments and intrauterine endometrium. Eur. Radiol. 2014, 24, 1621–1627. [Google Scholar] [CrossRef] [PubMed]
- Marsh, C.A.; Will, M.A.; Smorgick, N.; Quint, E.H.; Hussain, H.; Smith, Y.R. Uterine remnants and pelvic pain in females with Mayer-Rokitansky-Küster-Hauser syndrome. J. Pediatr. Adolesc. Gynecol. 2013, 26, 199–202. [Google Scholar] [CrossRef] [PubMed]
- Kawano, Y.; Hirakawa, T.; Nishida, M.; Yuge, A.; Yano, M.; Nasu, K.; Narahara, H. Functioning endometrium and endometrioma in a patient with mayer-rokitanski-kuster-hauser syndrome. Jpn. Clin. Med. 2014, 5, 43–45. [Google Scholar] [CrossRef]
- Howard, L.A.; Mancuso, A.C.; Ryan, G.L. Müllerian Aplasia with Severe Hematometra: A Case Report of Diagnosis and Management in a Low Resource Setting. J. Pediatr. Adolesc. Gynecol. 2019, 32, 189–192. [Google Scholar] [CrossRef]
- Lih Yuan, T.; Sulaiman, N.; Nur Azurah, A.G.; Maarof, M.; Rabiatul, A.R.; Yazid, M.D. Oestrogen-induced epithelial- mesenchymal transition (EMT) in endometriosis: Aetiology of vaginal agenesis in Mayer-Rokitansky-Küster- Hauser (MRKH) syndrome. Front. Physiol. 2022, 13, 937988. [Google Scholar] [CrossRef]
- Dabi, Y.; Canel, V.; Skalli, D.; Paniel, B.J.; Haddad, B.; Touboul, C. Postoperative evaluation of chronic pain in patients with Mayer-Rokitansky-Küster-Hauser (MRKH) syndrome and uterine horn remnant: Experience of a tertiary referring gynaecological department. J. Gynecol. Obstet. Hum. Reprod. 2020, 49, 101655. [Google Scholar] [CrossRef]
- Revised American Society for Reproductive Medicine classification of endometriosis: 1996. Fertil. Steril. 1997, 67, 817–821. [CrossRef]
- Biro, F.M.; Pajak, A.; Wolff, M.S.; Pinney, S.M.; Windham, G.C.; Galvez, M.P.; Greenspan, L.C.; Kushi, L.H.; Teitelbaum, S.L. Age of Menarche in a Longitudinal US Cohort. J. Pediatr. Adolesc. Gynecol. 2018, 31, 339–345. [Google Scholar] [CrossRef]
- Committee on Adolescent Health Care. ACOG Committee Opinion No. 728: Müllerian Agenesis: Diagnosis, Management, And Treatment. Obstet. Gynecol. 2018, 131, e35–e42. [Google Scholar] [CrossRef]
- Fedele, F.; Parazzini, F.; Vercellini, P.; Bergamini, V.; Candiani, M. Rokitansky Syndrome or Cervicovaginal Atresia? J. Minim. Invasive Gynecol. 2023, 30, 742–747. [Google Scholar] [CrossRef] [PubMed]
- Di Michele, S.; Bramante, S.; Angioni, S.; Bernassola, M.; De Vita, T.; Iaccarino, D.A.; Giannoni, L.; Rosati, M. Superficial Peritoneal Endometriosis Vaporization Using a CO2 Laser: A Long-Term Single-Center Experience. J. Clin. Med. 2024, 13, 1722. [Google Scholar] [CrossRef] [PubMed]
- Pietzsch, M.; Schönfisch, B.; Höller, A.; Koch, A.; Staebler, A.; Dreser, K.; Bettecken, K.; Schaak, L.; Brucker, S.Y.; Rall, K. A Cohort of 469 Mayer–Rokitansky–Küster–Hauser Syndrome Patients—Associated Malformations, Syndromes, and Heterogeneity of the Phenotype. J. Clin. Med. 2024, 13, 607. [Google Scholar] [CrossRef] [PubMed]
- Steinmacher, S.; Bösmüller, H.; Granai, M.; Koch, A.; Brucker, S.Y.; Rall, K.K. Endometriosis in Patients with Mayer-Rokitansky-Küster-Hauser-Syndrome-Histological Evaluation of Uterus Remnants and Peritoneal Lesions and Comparison to Samples from Endometriosis Patients without Mullerian Anomaly. J. Clin. Med. 2022, 11, 6458. [Google Scholar] [CrossRef]
- Zhang, Y.; Chen, Y.; Hua, K. Outcomes in patients undergoing robotic reconstructive uterovaginal anastomosis of congenital cervical and vaginal atresia. Int. J. Med. Robot. 2017, 13, e1821. [Google Scholar] [CrossRef]




| No | Age at Surgery (yrs) | Type of MRKHS and Coexisting Anomalies | Volume (cm3) | Pain Location Before Surgery | Type of Surgery | Presence of Endometrium in Uterine Horns Confirmed in Histopathology | Endometriosis (ASRM Stage) | Pelvic Pain After Surgery | |||
|---|---|---|---|---|---|---|---|---|---|---|---|
| R Horn | R Cavity | L Horn | L Cavity | ||||||||
| 1 | 15.6 22.6 | 1 | 20.6 | 1.4 | 3.7 | 0.2 | RL | LSC: bilateral resection LSC: removal of ovarian teratoma, scar endometriosis excision | R (+) L (+) | Yes Stage 1 peritoneal | No |
| 2 | 16.3 18.8 | 2 Bilateral conductive hearing loss | 3 | 0 | 2.4 | 0 | RL | LSC: bilateral resection Modified Wharton neovagino-plasty | R (−) L (−) | No | No |
| 3 | 18.1 | 2 Skeletal: lumbarisation S1, Anal atresia, congenital heart disease | 2.7 | 0 | 1.9 | 0.03 | RL | LSC: bilateral resection | R (−) L (−) | No | No |
| 4 | 18.3 | 1 | 13.4 | 2.3 | 0.9 | 0 | R | LSC: bilateral resection | R (+) L (−) | No | No |
| 5 | 17.3 | 1 | 7.8 | 0.2 | 4.5 | 0.2 | RL | LSC: bilateral resection | R (+) L (+) | No | No |
| 6 | 18.3 19.8 | 2 Gothic palate Severe malocclusion of teeth | 13.6 | 0.9 | 23 | 0.9 | RL | Diagnostic LSC LT: resection of the right horn, neovagino-plasty left horno-neovaginal anastomosis | R (+) L (+) | Yes progression from stage 1 (peritoneal) to stage 3 (peritoneal, ovarian, adenomyosis) | Yes |
| 7 | 18.1 | 1 | 3.9 | 0.2 | 1.1 | 0 | R | LSC: bilateral resection | R (+) L (−) | No | No |
| 8 | 14.7 | 2 Scoliosis | 3.5 | 0.2 | 3.9 | 0.2 | RL | LSC: bilateral resection | R (+) L (+) | No | No |
| No | Age at Surgery (yrs) | Type of MRKHS and Coexisting Anomalies | Volume (cm3) | Pain Location Before Surgery | Type of Surgery | Presence of Endometrium in Uterine Horns Confirmed in Histopathology | Endometriosis (ASRM Stage) | Pelvic Pain After Surgery | |||
|---|---|---|---|---|---|---|---|---|---|---|---|
| R Horn | R Cavity | L Horn | L Cavity | ||||||||
| 9 | 25.4 30.3 | 2 Hiatal hernia of the diaphragm | 3.1 | 0 | 4 | 0.1 | L | Modified Wharton neovagino-plasty LSC: bilateral resection | R (−) L (+) | No | No |
| 10 | 26.4 31.7 | 1 | 2.5 | 0.03 | 2.9 | 0 | R L | LSC: resection of the right horn LSC:resection of the left horn | R (+) L (+) | No | No |
| 11 | 34.2 | 1 | 4.5 | 0.3 | 0.8 | 0 | R | LSC: bilateral resection | R (+) L (−) | No | No |
| 12 | 34.1 | 1 | 9.6 | 0.1 | 5.2 | 0 | R | LSC: bilateral resection | R (+) L (−) | No | No |
| 13 | 22 | 2 Left kidney agenesis, Klippel–Feil syndrome | 3.5 | 0.2 | 0 | 0 | R | LT: resection of the right horn | R (+) | No | No |
| 14 | 42.4 | 2 Left kidney agenesis | 165 * | 0 | 0 | 0 | R | LT: resection of the right horn with leiomyoma | R (−) | No | No |
| 15 | 23.1 | 2 Right kidney agenesis | 22.5 | 2.4 | 16.1 | 1.1 | RL | LSC: bilateral resection | R (+) L (+) | Yes stage 2 (peritoneal) | Yes |
| 16 | 31.9 | 2 Atrial septal aneurysm | 7.2 | 0.9 | 2.3 | 0 | R | LSC: bilateral resection | R (+) L (−) | No | No |
| 17 | 23.9 | 2 Bilateral hemimelia Right pelvic kidney | 0 | 0 | 6.9 | 0.06 | L | LSC: unilateral resection | L (+) | No | No |
| 18 | 24.1 | 1 | 8.3 | 0.8 | 7.7 | 0.8 | RL | LSC: bilateral resection | R (−) L (−) | No | No |
| 19 | 40.7 | 1 | 2.3 | 0 | 0 | 0 | L | LSC: bilateral resection | R (−) L (−) | No | No |
| 20 | 30.7 | 2 Anal atresia | 12 | 0 | 58.3 | 12 | RL | LSC: bilateral resection | R (+) L (+) | Yes stage 3 (left haemato-salpinx and left ovarian) | No |
Disclaimer/Publisher’s Note: The statements, opinions and data contained in all publications are solely those of the individual author(s) and contributor(s) and not of MDPI and/or the editor(s). MDPI and/or the editor(s) disclaim responsibility for any injury to people or property resulting from any ideas, methods, instructions or products referred to in the content. |
© 2024 by the authors. Licensee MDPI, Basel, Switzerland. This article is an open access article distributed under the terms and conditions of the Creative Commons Attribution (CC BY) license (https://creativecommons.org/licenses/by/4.0/).
Share and Cite
Buda, M.; Zajączkowska, W.; Madziar, K.; Kędzia, W.; Kapczuk, K. Symptomatic Uterine Rudiments in Adolescents and Adults with Mayer–Rokitansky–Küster–Hauser Syndrome (MRKHS): Management and Outcomes. J. Clin. Med. 2024, 13, 6767. https://doi.org/10.3390/jcm13226767
Buda M, Zajączkowska W, Madziar K, Kędzia W, Kapczuk K. Symptomatic Uterine Rudiments in Adolescents and Adults with Mayer–Rokitansky–Küster–Hauser Syndrome (MRKHS): Management and Outcomes. Journal of Clinical Medicine. 2024; 13(22):6767. https://doi.org/10.3390/jcm13226767
Chicago/Turabian StyleBuda, Maria, Weronika Zajączkowska, Klaudyna Madziar, Witold Kędzia, and Karina Kapczuk. 2024. "Symptomatic Uterine Rudiments in Adolescents and Adults with Mayer–Rokitansky–Küster–Hauser Syndrome (MRKHS): Management and Outcomes" Journal of Clinical Medicine 13, no. 22: 6767. https://doi.org/10.3390/jcm13226767
APA StyleBuda, M., Zajączkowska, W., Madziar, K., Kędzia, W., & Kapczuk, K. (2024). Symptomatic Uterine Rudiments in Adolescents and Adults with Mayer–Rokitansky–Küster–Hauser Syndrome (MRKHS): Management and Outcomes. Journal of Clinical Medicine, 13(22), 6767. https://doi.org/10.3390/jcm13226767

