Spontaneous Ischemic Cholecystitis in a Patient with Hereditary Hemorrhagic Telangiectasia (HHT)
Abstract
1. Background
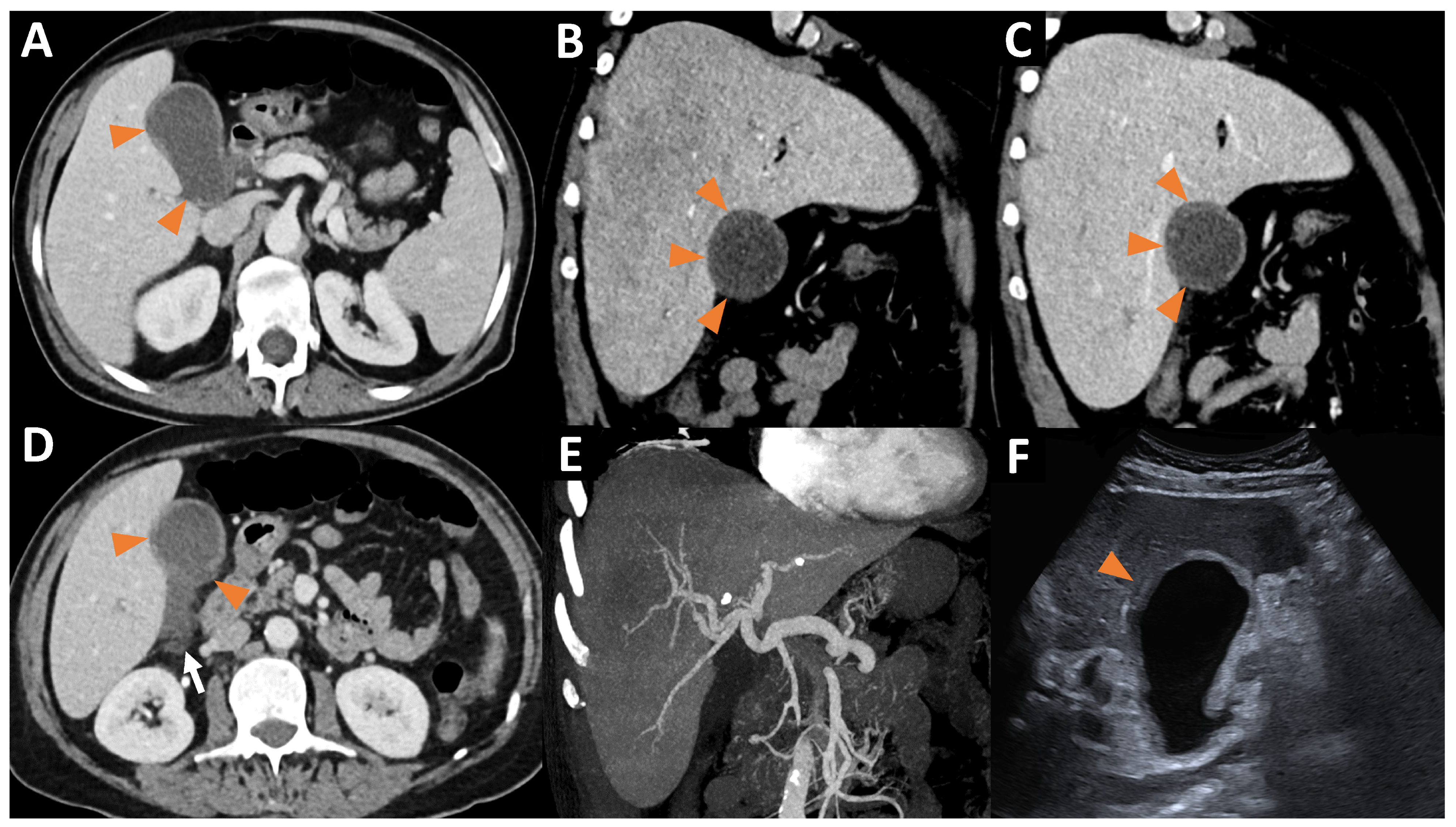
2. Case Presentation
3. Discussion and Literature Review
4. Conclusions
Author Contributions
Funding
Institutional Review Board Statement
Informed Consent Statement
Data Availability Statement
Conflicts of Interest
References
- Hammill, A.M.; Wusik, K.; Kasthuri, R.S. Hereditary hemorrhagic telangiectasia (HHT): A practical guide to management. Hematology 2021, 2021, 469–477. [Google Scholar] [CrossRef] [PubMed]
- Kühnel, T.; Wirsching, K.; Wohlgemuth, W.; Chavan, A.; Evert, K.; Vielsmeier, V. Hereditary Hemorrhagic Telangiectasia. Otolaryngol. Clin. N. Am. 2018, 51, 237–254. [Google Scholar] [CrossRef] [PubMed]
- Faughnan, M.E.; Mager, J.J.; Hetts, S.W.; Palda, V.A.; Lang-Robertson, K.; Buscarini, E.; Deslandres, E.; Kasthuri, R.S.; Lausman, A.; Poetker, D.; et al. Second International Guidelines for the Diagnosis and Management of Hereditary Hemorrhagic Telangiectasia. Ann. Intern. Med. 2020, 173, 989–1001. [Google Scholar] [CrossRef]
- McDonald, J.; Wooderchak-Donahue, W.; VanSant Webb, C.; Whitehead, K.; Stevenson, D.A.; Bayrak-Toydemir, P. Hereditary hemorrhagic telangiectasia: Genetics and molecular diagnostics in a new era. Front. Genet. 2015, 6, 1. [Google Scholar] [CrossRef]
- Garcia-Tsao, G. Liver involvement in hereditary hemorrhagic telangiectasia (HHT). J. Hepatol. 2007, 46, 499–507. [Google Scholar] [CrossRef]
- Buscarini, E.; Gandolfi, S.; Alicante, S.; Londoni, C.; Manfredi, G. Liver involvement in hereditary hemorrhagic telangiectasia. Abdom. Radiol. 2018, 43, 1920–1930. [Google Scholar] [CrossRef] [PubMed]
- Buonamico, P.; Suppressa, P.; Lenato, G.M.; Pasculli, G.; D’ovidio, F.; Memeo, M.; Scardapane, A.; Sabbà, C. Liver involvement in a large cohort of patients with hereditary hemorrhagic telangiectasia: Echo-color-Doppler vs multislice computed tomography study. J. Hepatol. 2008, 48, 811–820. [Google Scholar] [CrossRef] [PubMed]
- Kelly, C.; Buscarini, E.; Manfredi, G.; Gregory, S.; Heneghan, M.A. Hepatic manifestations of hereditary haemorrhagic telangiectasia. Liver Int. 2024, 44, 2220–2234. [Google Scholar] [CrossRef] [PubMed]
- European Association for the Study of the Liver. EASL Clinical Practice Guidelines: Vascular diseases of the liver. J. Hepatol. 2016, 64, 179–202. [Google Scholar] [CrossRef] [PubMed]
- Elmqaddem, O.; Koulali, H.; Zazour, A.; Nasiri, M.; Ismaili, M.Z.; Kharrasse, G. Ischemic cholangitis: Lethal complication of Osler-Weber-Rendu disease. Radiol. Case Rep. 2024, 19, 3810–3813. [Google Scholar] [CrossRef] [PubMed]
- Blewitt, R.W.; Brown, C.M.; Wyatt, J.I. The pathology of acute hepatic disintegration in hereditary haemorrhagic telangiectasia. Histopathology 2003, 42, 265–269. [Google Scholar] [CrossRef]
- Chavan, A.; Caselitz, M.; Gratz, K.-F.; Lotz, J.; Kirchhoff, T.; Piso, P.; Wagner, S.; Manns, M.; Galanski, M. Hepatic artery embolization for treatment of patients with hereditary hemorrhagic telangiectasia and symptomatic hepatic vascular malformations. Eur. Radiol. 2004, 14, 2079–2085. [Google Scholar] [CrossRef] [PubMed]
- Chavan, A.; Luthe, L.; Gebel, M.; Barg-Hock, H.; Seifert, H.; Raab, R.; Kirchhoff, T.; Schmuck, B. Complications and clinical outcome of hepatic artery embolisation in patients with hereditary haemorrhagic telangiectasia. Eur. Radiol. 2013, 23, 951–957. [Google Scholar] [CrossRef] [PubMed]
- Faughnan, M.E.; Palda, V.A.; Garcia-Tsao, G.; Geisthoff, U.W.; McDonald, J.; Proctor, D.D.; Spears, J.; Brown, D.H.; Buscarini, E.; Chesnutt, M.S.; et al. International guidelines for the diagnosis and management of hereditary haemorrhagic telangiectasia. J. Med. Genet. 2011, 48, 73–87. [Google Scholar] [CrossRef] [PubMed]
- Hooper, N.; Armstrong, T.J. Hemorrhagic Shock. In StatPearls [Internet]; StatPearls Publishing: Treasure Island, FL, USA, 2024. [Google Scholar]
- Wang, P.; Tait, S.M.; Chaudry, I.H. Sustained elevation of norepinephrine depresses hepatocellular function. Biochim. Biophys. Acta BBA-Mol. Basis Dis. 2000, 1535, 36–44. [Google Scholar] [CrossRef] [PubMed]


Disclaimer/Publisher’s Note: The statements, opinions and data contained in all publications are solely those of the individual author(s) and contributor(s) and not of MDPI and/or the editor(s). MDPI and/or the editor(s) disclaim responsibility for any injury to people or property resulting from any ideas, methods, instructions or products referred to in the content. |
© 2024 by the authors. Licensee MDPI, Basel, Switzerland. This article is an open access article distributed under the terms and conditions of the Creative Commons Attribution (CC BY) license (https://creativecommons.org/licenses/by/4.0/).
Share and Cite
L’Huillier, R.; Garnaud, A.; Monneuse, O. Spontaneous Ischemic Cholecystitis in a Patient with Hereditary Hemorrhagic Telangiectasia (HHT). J. Clin. Med. 2024, 13, 6653. https://doi.org/10.3390/jcm13226653
L’Huillier R, Garnaud A, Monneuse O. Spontaneous Ischemic Cholecystitis in a Patient with Hereditary Hemorrhagic Telangiectasia (HHT). Journal of Clinical Medicine. 2024; 13(22):6653. https://doi.org/10.3390/jcm13226653
Chicago/Turabian StyleL’Huillier, Romain, Alexandre Garnaud, and Olivier Monneuse. 2024. "Spontaneous Ischemic Cholecystitis in a Patient with Hereditary Hemorrhagic Telangiectasia (HHT)" Journal of Clinical Medicine 13, no. 22: 6653. https://doi.org/10.3390/jcm13226653
APA StyleL’Huillier, R., Garnaud, A., & Monneuse, O. (2024). Spontaneous Ischemic Cholecystitis in a Patient with Hereditary Hemorrhagic Telangiectasia (HHT). Journal of Clinical Medicine, 13(22), 6653. https://doi.org/10.3390/jcm13226653

