Clinical, Histological, and HPV-Related Factors Associated to Diffuse Presentation of Exophytic Nasal Papillomas
Abstract
1. Introduction
2. Materials and Methods
2.1. Study Design
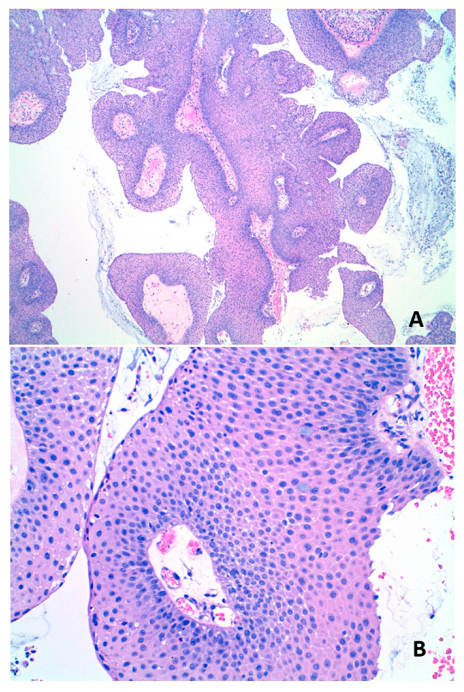
2.2. Formalin-Fixed, Paraffin-Embedded (FFPE) Blocks Processing and Histopathological Evaluation
2.3. Samples Further Processing and HPV Genotyping
2.4. HPV-DNA Detection, Genotyping, and Viral Load Determination
2.5. Statistical Analysis
3. Results
4. Discussion
5. Conclusions
Supplementary Materials
Author Contributions
Funding
Institutional Review Board Statement
Informed Consent Statement
Data Availability Statement
Acknowledgments
Conflicts of Interest
References
- Slootweg, P.J.; El-Naggar, A.K. World Health Organization 4th edition of head and neck tumor classification: Insight into the consequential modifications. Virchows Arch. 2018, 472, 311–313. [Google Scholar] [CrossRef] [PubMed]
- Bishop, J.A. OSPs and ESPs and ISPs, Oh My! An Update on Sinonasal (Schneiderian) Papillomas. Head Neck Pathol. 2017, 11, 269–277. [Google Scholar] [CrossRef] [PubMed]
- Vorasubin, N.; Vira, D.; Suh, J.D.; Bhuta, S.; Wang, M.B. Schneiderian papillomas: Comparative review of exophytic, oncocytic, and inverted types. Am. J. Rhinol. Allergy 2013, 27, 287–292. [Google Scholar] [CrossRef] [PubMed]
- Buchwald, C.; Franzmann, M.B.; Jacobsen, G.K.; Lindeberg, H. Human papillomavirus (HPV) in sinonasal papillomas: A study of 78 cases using in situ hybridization and polymerase chain reaction. Laryngoscope 1995, 105, 66–71. [Google Scholar] [CrossRef]
- Beigh, A.; Rashi, R.; Junaid, S.; Khuroo, M.S.; Farook, S. Human Papilloma Virus (HPV) in Sinonasal Papillomas and Squamous Cell Carcinomas: A PCR-based Study of 60 cases. Gulf J. Oncol. 2018, 1, 37–42. [Google Scholar]
- Hyams, V.J. Papillomas of the nasal cavity and paranasal sinuses. A clinicopathological study of 315 cases. Ann. Otol. Rhinol. Laryngol. 1971, 80, 192–206. [Google Scholar] [CrossRef]
- Kim, S.J.; Byun, S.W.; Lee, S.S. Various tumors in the nasal vestibule. Int. J. Clin. Exp. Pathol. 2013, 6, 2713–2718. [Google Scholar]
- Glâtre, R.; De Kermadec, H.; Alsamad, I.A.; Badoual, C.; Gauthier, A.; Brugel, L.; Parra, C.; Coste, A.; Prulière-Escabasse, V.; Bequignon, E. Exophytic sinonasal papillomas and nasal florid papillomatosis: A retrospective study. Head Neck 2018, 40, 740–746. [Google Scholar] [CrossRef]
- Kumagai, M.; Endo, S.; Matsunaga, E.; Kida, A.; Sakata, H.; Yamamoto, M. Squamous papillomatosis of the bilateral nasal cavities. Tohoku J. Exp. Med. 2005, 206, 267–270. [Google Scholar] [CrossRef][Green Version]
- Bayne, K.; Joseph, D.O. A rare case and location of HPV 16 positive bilateral exophytic papilloma. Otolaryngol. Case Rep. 2019, 13, 100134. [Google Scholar] [CrossRef]
- Norris, H.J. Papillary lesions of the nasal cavity and paranasal sinuses. I. Exophytic (squamous) papillomas. A study of 28 cases. Laryngoscope 1962, 72, 1784–1797. [Google Scholar] [CrossRef] [PubMed]
- Terada, T. Malignant transformation of exophytic Schneiderian papilloma of the nasal cavity. Pathol. Int. 2012, 62, 199–203. [Google Scholar] [CrossRef] [PubMed]
- Buchwald, C.; Lindeberg, H.; Pedersen, B.L.; Franzmann, M.B. Human papilloma virus and p53 expression in carcinomas associated with sinonasal papillomas: A Danish Epidemiological study 1980–1998. Laryngoscope 2001, 111, 1104–1110. [Google Scholar] [CrossRef]
- Cardesa, A.; Alos, L.; Nadal, A. (Eds.) Pathology of the Head and Neck; Springer: Berlin/Heidelberg, Germany, 2016. [Google Scholar] [CrossRef]
- Chatelet, F.; Vinciguerra, A.; Marc, M.; Herman, P.; Verillaud, B. Intralesional cidofovir injections for the treatment of multifocal exophytic sinonasal papilloma. Int. Forum Allergy Rhinol. 2024. Epub ahead of print. [Google Scholar] [CrossRef] [PubMed]
- Zeitels, S.M.; Barbu, A.M.; Landau-Zemer, T.; Lopez-Guerra, G.; Burns, J.A.; Fiedman, A.D.; Freeman, M.W.; Halvorsen, Y.D.; Hillman, R.E. Local injection of bevacizumab (Avastin) and angiolytic KTP laser treatment of recurrent respiratory papillomatosis of the vocal folds: A prospective study. Ann. Otol. Rhinol. Laryngol. 2011, 120, 627–634. [Google Scholar] [CrossRef]
- Best, S.R.; Friedman, A.D.; Landau-Zemer, T.; Barbu, A.M.; Burns, J.A.; Freeman, M.W.; Halvorsen, Y.D.; Hillman, R.E.; Zeitels, S.M. Safety and dosing of bevacizumab (avastin) for the treatment of recurrent respiratory papillomatosis. Ann. Otol. Rhinol Laryngol. 2012, 121, 587–593. [Google Scholar] [CrossRef]
- Chen, S., IV; Karnezis, T.; Davidson, T.M. Safety of intranasal Bevacizumab (Avastin) treatment in patients with hereditary hemorrhagic telangiectasia-associated epistaxis. Laryngoscope 2011, 121, 644–646. [Google Scholar] [CrossRef]
- Fulla, M.; Szafarowski, T.; Frias-Gomez, J.; Quiros, B.; Clavero, O.; Gomà, M.; Pavon, M.A.; Jurek-Matusiak, O.; Lares, H.R.; Mañós, M.; et al. Human Papillomavirus and Factors Associated with Recurrence in Sinonasal Inverted Papillomas from Poland and Spain. Head Neck Pathol. 2020, 14, 758–767, Erratum in Head Neck Pathol. 2020, 14, 768–770. [Google Scholar] [CrossRef]
- Vor der Holte, A.P.; Fangk, I.; Glombitza, S.; Wilkens, L.; Welkoborsky, H.J. Identification of Rare and Common HPV Genotypes in Sinonasal Papillomas. Head Neck Pathol. 2020, 14, 936–943. [Google Scholar] [CrossRef]
- Mohajeri, S.; Lai, C.; Purgina, B.; Almutairi, D.; Baghai, T.; Dimitroulakos, J.; Kilty, S. Human papillomavirus: An unlikely etiologic factor in sinonasal inverted papilloma. Laryngoscope 2018, 128, 2443–2447. [Google Scholar] [CrossRef]
- Justice, J.M.; Davis, K.M.; Saenz, D.A.; Lanza, D.C. Evidence that human papillomavirus causes inverted papilloma is sparse. Int. Forum Allergy Rhinol. 2014, 4, 995–1001. [Google Scholar] [CrossRef] [PubMed]
- Lawson, W.; Schlecht, N.F.; Brandwein-Gensler, M. The role of the human papillomavirus in the pathogenesis of Schneiderian inverted papillomas: An analytic overview of the evidence. Head Neck Pathol. 2008, 2, 49–59. [Google Scholar] [CrossRef] [PubMed]
- Syrjänen, K.; Syrjänen, S. Detection of human papillomavirus in sinonasal papillomas: Systematic review and meta-analysis. Laryngoscope 2013, 123, 181–192. [Google Scholar] [CrossRef]
- Franzmann, M.B.; Buchwald, C.; Jacobsen, G.K.; Lindeberg, H. Expression of p53 in normal nasal mucosa and in sinonasal papillomas with and without associated carcinoma and the relation to human papillomavirus (HPV). Cancer Lett. 1998, 128, 161–164. [Google Scholar] [CrossRef]
- Castellsagué, X.; Alemany, L.; Quer, M.; Halec, G.; Quirós, B.; Tous, S.; Clavero, O.; Alòs, L.; Biegner, T.; Szafarowski, T.; et al. HPV Involvement in Head and Neck Cancers: Comprehensive Assessment of Biomarkers in 3680 Patients. J. Natl. Cancer Inst. 2016, 108, djv403. [Google Scholar] [CrossRef]
- de Sanjose, S.; Quint, W.G.; Alemany, L.; Geraets, D.T.; Klaustermeier, J.E.; Lloveras, B.; Tous, S.; Felix, A.; Bravo, L.E.; Shin, H.R.; et al. Human papillomavirus genotype attribution in invasive cervical cancer: A retrospective cross-sectional worldwide study. Lancet Oncol. 2010, 11, 1048–1056. [Google Scholar] [CrossRef]
- Capaccio, P.; Ottaviani, F.; Cuccarini, V.; Corbellino, M.; Parravicini, C.; Menzo, S.; Schindler, A.; Pignataro, L. Surgery and topic cidofovir for nasal squamous papillomatosis in HIV+ patient. Eur. Arch. Otorhinolaryngol. 2009, 266, 937–939. [Google Scholar] [CrossRef]
- Maithani, T.; Dey, D.; Pandey, A.; Chawla, N. Bilateral fungiform papilloma with synchronous verrucous carcinoma of the nasal septum: A rare presentation and a literature review. J. Laryngol. Otol. 2012, 126, 424–427. [Google Scholar] [CrossRef]
- Perez-Ordoñez, B. Hamartomas, papillomas and adenocarcinomas of the sinonasal tract and nasopharynx. J. Clin. Pathol. 2009, 62, 1085–1095. [Google Scholar] [CrossRef]
- Donne, A.J.; Hampson, L.; Homer, J.J.; Hampson, I.N. The role of HPV type in Recurrent Respiratory Papillomatosis. Int. J. Pediatr. Otorhinolaryngol. 2010, 74, 7–14. [Google Scholar] [CrossRef]
- Li, J.; Zhang, T.Y.; Tan, L.T.; Wang, S.Y.; Chen, Y.Y.; Tian, J.Y.; Da, W.Y.; He, P.; Zhao, Y.M. Expression of human papillomavirus and prognosis of juvenile laryngeal papilloma. Int. J. Clin. Exp. Med. 2015, 8, 15521–15527. [Google Scholar] [PubMed]
- Nogueira, R.L.; Küpper, D.S.; do Bonfim, C.M.; Aragon, D.C.; Damico, T.A.; Miura, C.S.; Passos, I.M.; Nogueira, M.L.; Rahal, P.; Valera, F.C. HPV genotype is a prognosticator for recurrence of respiratory papillomatosis in children. Clin. Otolaryngol. 2021, 46, 181–188. [Google Scholar] [CrossRef] [PubMed]
- Buchinsky, F.J.; Valentino, W.L.; Ruszkay, N.; Powell, E.; Derkay, C.S.; Seedat, R.Y.; Uloza, V.; Dikkers, F.G.; Tunkel, D.E.; Choi, S.S.; et al. Age at diagnosis, but not HPV type, is strongly associated with clinical course in recurrent respiratory papillomatosis. PLoS ONE 2019, 14, e0216697. [Google Scholar] [CrossRef] [PubMed]
- Figueiredo, M.C.; Justino, M.C.; Delmonico, L.; Silvestre, R.T.; de Castro, T.L.; Dos Santos Moreira, A.; Macedo, J.M.B.; da Costa Carvalho, M.D.G.; Scherrer, L.; de Medeiros Lima, D.J.M.; et al. Prevalence and clinical implications of low-risk human papillomavirus among patients with recurrent respiratory papillomatosis in Rio de Janeiro, Brazil. Auris Nasus Larynx 2019, 46, 570–575. [Google Scholar] [CrossRef] [PubMed]
- Deng, Z.; Ikegami, T.; Kiyuna, A.; Zhang, C.; Zhang, T.; Matayoshi, S.; Uehara, T.; Maeda, H.; Suzuki, M.; Ganaha, A. Methylation of CpG sites in the upstream regulatory region, physical status and mRNA expression of HPV-6 in adult-onset laryngeal papilloma. Oncotarget 2017, 8, 85368–85377. [Google Scholar] [CrossRef]
- Yamada, S.; Itoh, T.; Ikegami, T.; Imai, A.; Mochizuki, D.; Nakanishi, H.; Ishikawa, R.; Kita, J.; Nakamura, Y.; Takizawa, Y.; et al. Association between human papillomavirus particle production and the severity of recurrent respiratory papillomatosis. Sci. Rep. 2023, 13, 5514. [Google Scholar] [CrossRef]
- Ikegami, T.; Hirakawa, H.; Tsukahara, N.; Murakami, A.; Kise, N.; Kiyuna, A.; Kosugi, T.; Agena, S.; Kinjyo, H.; Hasegawa, N.; et al. Coordinated Expression of HPV-6 Genes with Predominant E4 and E5 Expression in Laryngeal Papilloma. Microorganisms 2021, 9, 520. [Google Scholar] [CrossRef]
- Hu, Z.; Liu, L.; Zhang, W.; Liu, H.; Li, J.; Jiang, L.; Zeng, K. Dynamics of HPV viral loads reflect the treatment effect of photodynamic therapy in genital warts. Photodiagn. Photodyn Ther. 2018, 21, 86–90. [Google Scholar] [CrossRef]


| Characteristics | Cases (N = 12) n (%) | FSNEP (N = 5) n (%) | DSNEP (N = 7) n (%) | p-Value |
|---|---|---|---|---|
| Gender | ||||
| Male | 10 (83.3) | 3 (60.0) | 7 (100.0) | 0.152 |
| Female | 2 (16.7) | 2 (40.0) | 0 | |
| Age (years) | ||||
| Mean | 52.1 | 65.2 | 42.7 | |
| Rank | 30–92 | 51–92 | 30–62 | 0.019 |
| Median | 48.5 | 54 | 42 | |
| Smoking status | ||||
| Ever | 8 (66.7) | 2 (40.0) | 6 (85.7) | 0.152 |
| Never | 4 (33.3) | 3 (60.0) | 1 (14.3) | |
| Clinical symptoms * | ||||
| Nasal blockage | 9 (75) | 4 (80) | 5 (71.4) | 0.636 (1) |
| Rhinorrea | 2 (16.7) | 1 (20) | 1 (14.3) | 0.682 (1) |
| Epistaxis | 2 (16.7) | 1 (20) | 1 (14.3) | 0.682 (1) |
| Otitis media with effusion | 1 (8.3) | 1 (20) | 0 | 0.417 (1) |
| No symptoms | 1 (8.3) | 0 (20) | 1 (14.3) | 0.583 (1) |
| Localization * | ||||
| Septum | 7 (58.3) | 1 (20.0) | 6 (85.7) | 0.045 (2) |
| Inferior turbinate head | 5 (41.7) | 1 (20.0) | 4 (57.1) | 0.179 (2) |
| Cupula/roof | 4 (33.3) | 2 (40.0) | 2 (28.6) | 0.576 (2) |
| Lateral wall | 4 (33.3) | 2 (40.0) | 2 (28.6) | 0.576 (2) |
| Floor | 2 (16.7) | 0 | 2 (28.6) | 0.318 (2) |
| Middle turbinate head | 2 (16.7) | 0 | 2 (28.6) | 0.318 (2) |
| Radiological characteristics * | ||||
| Swelling of sinonasal mucosa | 8 (80) | 3 (75) | 5 (83.3) | 0.576 (3) |
| Sinus occupation | 5 (50) | 2 (50) | 3 (50) | 0.689 (3) |
| Polipoid formation in the fossae | 4 (40) | 1 (25) | 3 (50) | 0.424 (3) |
| No CT scan | 2 (16.7) | 1 (20) | 1 (14.3) | 0.682 (3) |
| Behaviour | ||||
| Focal | 5 (41.7) | |||
| Diffuse | 7 (58.3) | |||
| Recurrence | 0.045 | |||
| Yes | 7 (58.3) | 1 (20%) | 6 (85.7) | |
| No | 5 (41.7) | 4 (80%) | 1 (14.3) | |
| Time to recurrence (months) | ||||
| Median | 5 | 67 | 4 | 0.134 |
| Rank | 1–67 | 67 | 1–36 | |
| Follow-up (months) | ||||
| Median | 46 | 43 | 49 | 0.745 |
| Rank | 4–100 | 4–82 | 20–100 | |
| HPV status | ||||
| Negative | 3 (25.0) | 3 (60.0) | 0 | 0.045 |
| Positive | 9 (75.0) | 2 (40.0) | 7 (100.0) | |
| HPV genotype | ||||
| HPV11 | 6 (50.0) | 0 | 6 (85.7) | 0.008 (4) |
| HPV6 | 3 (25.0) | 2 (40.0) | 1 (14.3) | 0.364 (4) |
| Negative | 3 (25.0) | 3 (60.0) | 0 | 0.045 (4) |
| Histology | ||||
| Exophytic nasal papilloma | 9 (75) | 3 (60%) | 6 (85.7) | 0.364 |
| Exophytic and inverted mixed papilloma | 3 (25) | 2 (40%) | 1 (14.3) |
| Patient | Behaviour | HPV Genotype | Viral Load | |||
|---|---|---|---|---|---|---|
| Copies/Cell | Mean | Sdt | Median | |||
| 1 | FSNEP | Neg | NA | - | - | - |
| 2 | FSNEP | Neg | NA | |||
| 3 | FSNEP | Neg | NA | |||
| 4 | FSNEP | HPV-6 | 83.9 | 444.6 | 627.9 | 83.9 |
| 5 | FNSEP | HPV-6 | 1169.9 | |||
| 6 | DSNEP | HPV-6 | 80.2 | |||
| 7 | DSNEP | HPV-11 | 1058.7 | 1904.2 | 780.5 | 1673.7 |
| 8 | DSNEP | HPV-11 | 1488.4 | |||
| 9 | DSNEP | HPV-11 | 1673.7 | |||
| 10 | DSNEP | HPV-11 | 2212.9 | |||
| 11 | DSNEP | HPV-11 | 3087.5 | |||
| 12 | DSNEP | HPV-11 | NE | NE | NE | NE |
Disclaimer/Publisher’s Note: The statements, opinions and data contained in all publications are solely those of the individual author(s) and contributor(s) and not of MDPI and/or the editor(s). MDPI and/or the editor(s) disclaim responsibility for any injury to people or property resulting from any ideas, methods, instructions or products referred to in the content. |
© 2024 by the authors. Licensee MDPI, Basel, Switzerland. This article is an open access article distributed under the terms and conditions of the Creative Commons Attribution (CC BY) license (https://creativecommons.org/licenses/by/4.0/).
Share and Cite
Fulla, M.; Quiros, B.; Clavero, O.; Gomà, M.; de Andrés-Pablo, Á.; Pavon, M.À.; Penella, A.; Alemany, L.; González-Compta, X.; Mena, M. Clinical, Histological, and HPV-Related Factors Associated to Diffuse Presentation of Exophytic Nasal Papillomas. J. Clin. Med. 2024, 13, 6638. https://doi.org/10.3390/jcm13226638
Fulla M, Quiros B, Clavero O, Gomà M, de Andrés-Pablo Á, Pavon MÀ, Penella A, Alemany L, González-Compta X, Mena M. Clinical, Histological, and HPV-Related Factors Associated to Diffuse Presentation of Exophytic Nasal Papillomas. Journal of Clinical Medicine. 2024; 13(22):6638. https://doi.org/10.3390/jcm13226638
Chicago/Turabian StyleFulla, Marta, Beatriz Quiros, Omar Clavero, Montse Gomà, Álvaro de Andrés-Pablo, Miquel Àngel Pavon, Anna Penella, Laia Alemany, Xavier González-Compta, and Marisa Mena. 2024. "Clinical, Histological, and HPV-Related Factors Associated to Diffuse Presentation of Exophytic Nasal Papillomas" Journal of Clinical Medicine 13, no. 22: 6638. https://doi.org/10.3390/jcm13226638
APA StyleFulla, M., Quiros, B., Clavero, O., Gomà, M., de Andrés-Pablo, Á., Pavon, M. À., Penella, A., Alemany, L., González-Compta, X., & Mena, M. (2024). Clinical, Histological, and HPV-Related Factors Associated to Diffuse Presentation of Exophytic Nasal Papillomas. Journal of Clinical Medicine, 13(22), 6638. https://doi.org/10.3390/jcm13226638

