Utilization of Robot-Assisted Gait Training in Pulmonary Rehabilitation for a Patient with Ambulatory Dysfunction Post-Severe COVID-19 Pneumonia: A Case Report
Abstract
1. Introduction
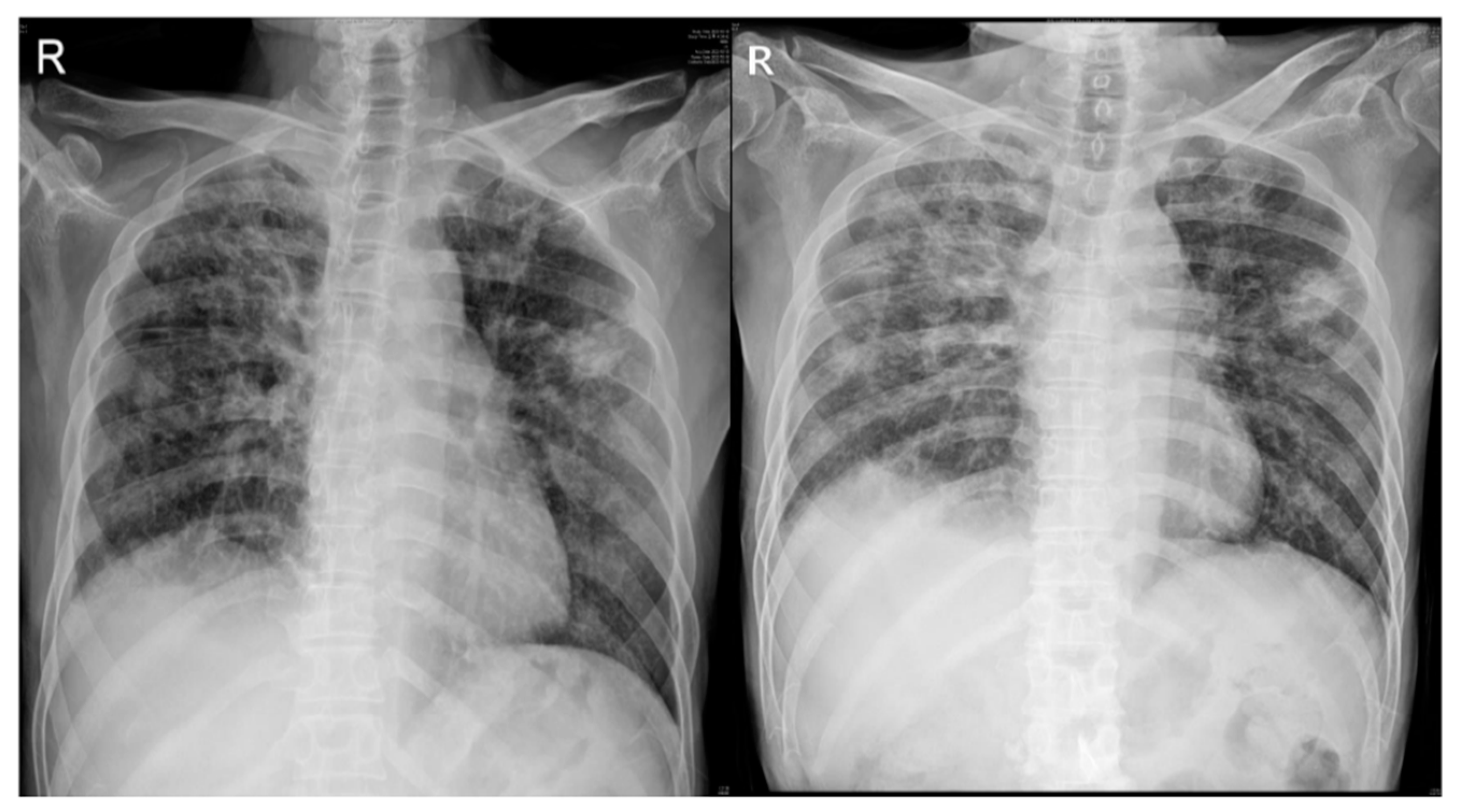
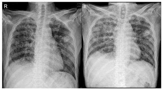
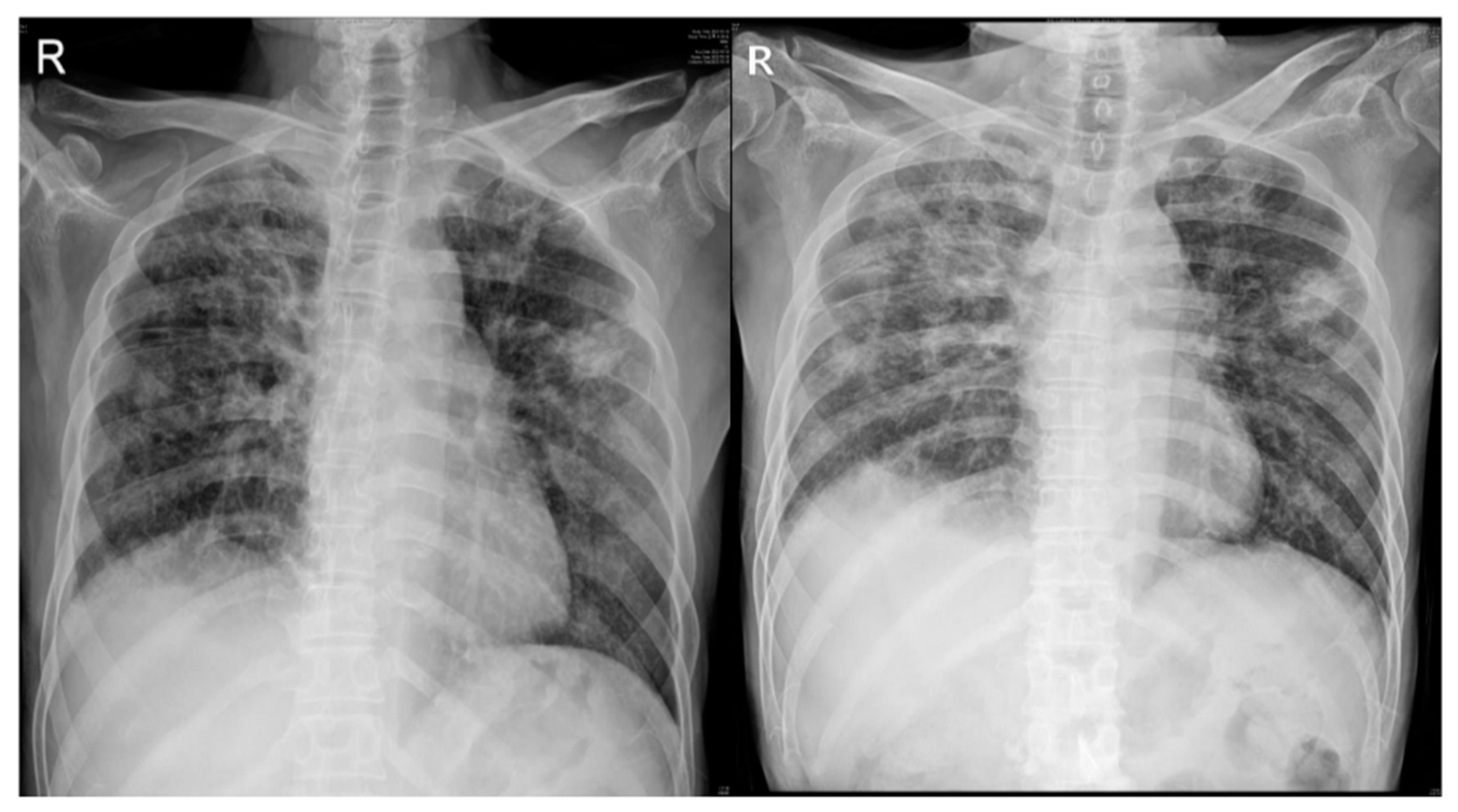
2. Case Description
3. Discussion
Author Contributions
Funding
Institutional Review Board Statement
Informed Consent Statement
Data Availability Statement
Conflicts of Interest
References
- Koc, H.C.; Xiao, J.; Liu, W.; Li, Y.; Chen, G. Long COVID and its Management. Int. J. Biol. Sci. 2022, 18, 4768. [Google Scholar] [CrossRef] [PubMed]
- Betschart, M.; Rezek, S.; Unger, I.; Ott, N.; Beyer, S.; Böni, A.; Gisi, D.; Shannon, H.; Spruit, M.A.; Sieber, C. One year follow-up of physical performance and quality of life in patients surviving COVID-19: A prospective cohort study. Swiss Med. Wkly. 2021, 151, w30072. [Google Scholar] [CrossRef]
- Aiyegbusi, O.L.; Hughes, S.E.; Turner, G.; Rivera, S.C.; McMullan, C.; Chandan, J.S.; Haroon, S.; Price, G.; Davies, E.H.; Nirantharakumar, K. Symptoms, complications and management of long COVID: A review. J. R. Soc. Med. 2021, 114, 428–442. [Google Scholar] [CrossRef] [PubMed]
- Halpin, D.M.; Criner, G.J.; Papi, A.; Singh, D.; Anzueto, A.; Martinez, F.J.; Agusti, A.A.; Vogelmeier, C.F. Global initiative for the diagnosis, management, and prevention of chronic obstructive lung disease. The 2020 GOLD science committee report on COVID-19 and chronic obstructive pulmonary disease. Am. J. Respir. Crit. Care Med. 2021, 203, 24–36. [Google Scholar] [CrossRef] [PubMed]
- Cattadori, G.; Di Marco, S.; Baravelli, M.; Picozzi, A.; Ambrosio, G. Exercise training in post-COVID-19 patients: The need for a multifactorial protocol for a multifactorial pathophysiology. J. Clin. Med. 2022, 11, 2228. [Google Scholar] [CrossRef] [PubMed]
- Fugazzaro, S.; Contri, A.; Esseroukh, O.; Kaleci, S.; Croci, S.; Massari, M.; Facciolongo, N.C.; Besutti, G.; Iori, M.; Salvarani, C. Rehabilitation interventions for post-acute COVID-19 syndrome: A systematic review. Int. J. Environ. Res. Public Health 2022, 19, 5185. [Google Scholar] [CrossRef]
- Halabchi, F.; Selk-Ghaffari, M.; Tazesh, B.; Mahdaviani, B. The effect of exercise rehabilitation on COVID-19 outcomes: A systematic review of observational and intervention studies. Sport Sci. Health 2022, 18, 1201–1219. [Google Scholar] [CrossRef]
- da Silva Vieira, A.G.; Pinto, A.C.P.N.; Garcia, B.M.S.P.; Eid, R.A.C.; Mól, C.G.; Nawa, R.K. Telerehabilitation improves physical function and reduces dyspnoea in people with COVID-19 and post-COVID-19 conditions: A systematic review. J. Physiother. 2022, 68, 90–98. [Google Scholar] [CrossRef]
- Chung, B.P.H. Effectiveness of robotic-assisted gait training in stroke rehabilitation: A retrospective matched control study. Hong Kong Physiother. J. 2017, 36, 10–16. [Google Scholar] [CrossRef]
- Fang, C.-Y.; Tsai, J.-L.; Li, G.-S.; Lien, A.S.-Y.; Chang, Y.-J. Effects of robot-assisted gait training in individuals with spinal cord injury: A meta-analysis. BioMed Res. Int. 2020, 2020, 2102785. [Google Scholar] [CrossRef]
- Hashimoto, K.; Hirashiki, A.; Ozaki, K.; Kawamura, K.; Sugioka, J.; Tanioku, S.; Sato, K.; Ueda, I.; Itoh, N.; Nomoto, K. Benefits of a Balance Exercise Assist Robot in the Cardiac Rehabilitation of Older Adults with Cardiovascular Disease: A Preliminary Study. J. Cardiovasc. Dev. Dis. 2022, 9, 191. [Google Scholar] [CrossRef] [PubMed]
- Lee, S.-H.; Lee, H.-J.; Kim, K.; Lee, B.-H.; Kim, Y.-H. Effect of Exercise Using an Exoskeletal Hip-Assist Robot on Physical Function and Walking Efficiency in Older Adults. J. Pers. Med. 2022, 12, 2077. [Google Scholar] [CrossRef]
- Gil-Castillo, J.; Barria, P.; Aguilar Cárdenas, R.; Baleta Abarza, K.; Andrade Gallardo, A.; Biskupovic Mancilla, A.; Azorín, J.M.; Moreno, J.C. A Robot-Assisted Therapy to Increase Muscle Strength in Hemiplegic Gait Rehabilitation. Front. Neurorobotics 2022, 86, 837494. [Google Scholar] [CrossRef] [PubMed]
- Lee, J.S.; Baek, C.Y.; Kim, H.D.; Kim, D.Y. Effect of robot-assisted stair climbing training as part of a rehabilitation program to improve pulmonary function, gait performance, balance, and exercise capacity in a patient after severe coronavirus disease 2019: A case report. Physiother. Theory Pract. 2024, 40, 1628–1634. [Google Scholar] [CrossRef] [PubMed]
- Steffen, T.M.; Hacker, T.A.; Mollinger, L. Age-and gender-related test performance in community-dwelling elderly people: Six-Minute Walk Test, Berg Balance Scale, Timed Up & Go Test, and gait speeds. Phys. Ther. 2002, 82, 128–137. [Google Scholar] [PubMed]
- Delbaere, K.; Close, J.C.; Mikolaizak, A.S.; Sachdev, P.S.; Brodaty, H.; Lord, S.R. The falls efficacy scale international (FES-I). A comprehensive longitudinal validation study. Age Ageing 2010, 39, 210–216. [Google Scholar] [CrossRef]
- Simões, R.P.; Deus, A.P.; Auad, M.A.; Dionísio, J.; Mazzonetto, M.; Borghi-Silva, A. Maximal respiratory pressure in healthy 20 to 89 year-old sedentary individuals of central São Paulo State. Braz. J. Phys. Ther. 2010, 14, 60–67. [Google Scholar] [CrossRef]
- Ramírez-Vélez, R.; Pérez-Sousa, M.A.; Venegas-Sanabria, L.C.; Cano-Gutierrez, C.A.; Hernández-Quiñonez, P.A.; Rincón-Pabón, D.; García-Hermoso, A.; Zambom-Ferraresi, F.; Sáez de Asteasu, M.L.; Izquierdo, M. Normative values for the short physical performance battery (SPPB) and their association with anthropometric variables in older Colombian adults. The SABE study, 2015. Front. Med. 2020, 7, 52. [Google Scholar] [CrossRef]
- Strassmann, A.; Steurer-Stey, C.; Lana, K.D.; Zoller, M.; Turk, A.J.; Suter, P.; Puhan, M.A. Population-based reference values for the 1-min sit-to-stand test. Int. J. Public Health 2013, 58, 949–953. [Google Scholar] [CrossRef]
- Hawthorne, G.; Herrman, H.; Murphy, B. Interpreting the WHOQOL-BREF: Preliminary population norms and effect sizes. Soc. Indic. Res. 2006, 77, 37–59. [Google Scholar] [CrossRef]
- Bij de Vaate, E.; Gerrits, K.H.; Goossens, P.H. Personalized recovery of severe COVID19: Rehabilitation from the perspective of patient needs. Eur. J. Clin. Investig. 2020, 50, e13325. [Google Scholar] [CrossRef] [PubMed]
- Long, Q.; Cao, F.; Jiao, Y. Rehabilitation of severe COVID-19 patients in the hospital and post-hospital phase: A protocol for systematic review and meta-analysis. Med. Case Rep. Study Protoc. 2021, 2, e0120. [Google Scholar] [CrossRef]
- Hoekstra, F.; Van Nunen, M.; Gerrits, K.; Stolwijk-Swuste, J.M.; Crins, M.; Janssen, T. Effect of robotic gait training on cardiorespiratory system in incomplete spinal cord injury. J Rehabil Res Dev 2013, 50, 1411–1422. [Google Scholar] [CrossRef] [PubMed]
- Stoller, O.; de Bruin, E.D.; Schindelholz, M.; Schuster-Amft, C.; de Bie, R.A.; Hunt, K.J. Efficacy of feedback-controlled robotics-assisted treadmill exercise to improve cardiovascular fitness early after stroke: A randomized controlled pilot trial. J. Neurol. Phys. Ther. 2015, 39, 156. [Google Scholar] [CrossRef]
- Chan, L.; Chin, L.M.; Kennedy, M.; Woolstenhulme, J.G.; Nathan, S.D.; Weinstein, A.A.; Connors, G.; Weir, N.A.; Drinkard, B.; Lamberti, J. Benefits of intensive treadmill exercise training on cardiorespiratory function and quality of life in patients with pulmonary hypertension. Chest 2013, 143, 333–343. [Google Scholar] [CrossRef]
- Chang, W.H.; Kim, M.S.; Huh, J.P.; Lee, P.K.; Kim, Y.-H. Effects of robot-assisted gait training on cardiopulmonary fitness in subacute stroke patients: A randomized controlled study. Neurorehabilit. Neural Repair 2012, 26, 318–324. [Google Scholar] [CrossRef]
- Jung, C.; Kim, D.Y.; Kwon, S.; Chun, M.H.; Kim, J.; Kim, S.H. Morning Walk®-assisted gait training improves walking ability and balance in patients with ataxia: A randomized controlled trial. Brain Neurorehabilit. 2020, 13, e23. [Google Scholar] [CrossRef]
- Schoenrath, F.; Markendorf, S.; Brauchlin, A.E.; Seifert, B.; Wilhelm, M.J.; Czerny, M.; Riener, R.; Falk, V.; Schmied, C.M. Robot-Assisted Training Early After Cardiac Surgery. J. Card. Surg. 2015, 30, 574–580. [Google Scholar] [CrossRef]
- Shin, J.C.; Jeon, H.R.; Kim, D.; Cho, S.I.; Min, W.K.; Lee, J.S.; Oh, D.S.; Yoo, J. Effects on the Motor Function, Proprioception, Balance, and Gait Ability of the End-Effector Robot-Assisted Gait Training for Spinal Cord Injury Patients. Brain Sci. 2021, 11, 1281. [Google Scholar] [CrossRef]
- Cho, J.-E.; Yoo, J.S.; Kim, K.E.; Cho, S.T.; Jang, W.S.; Cho, K.H.; Lee, W.-H. Systematic review of appropriate robotic intervention for gait function in subacute stroke patients. BioMed Res. Int. 2018, 2018, 4085298. [Google Scholar] [CrossRef]
- Pompa, A.; Morone, G.; Iosa, M.; Pace, L.; Catani, S.; Casillo, P.; Clemenzi, A.; Troisi, E.; Tonini, A.; Paolucci, S. Does robot-assisted gait training improve ambulation in highly disabled multiple sclerosis people? A pilot randomized control trial. Mult. Scler. J. 2017, 23, 696–703. [Google Scholar] [CrossRef] [PubMed]
- Büsching, G.; Zhang, Z.; Schmid, J.-P.; Sigrist, T.; Khatami, R. Effectiveness of Pulmonary Rehabilitation in Severe and Critically Ill COVID-19 Patients: A Controlled Study. Int. J. Environ. Res. Public Health 2021, 18, 8956. [Google Scholar] [CrossRef] [PubMed]
- Daynes, E.; Gerlis, C.; Chaplin, E.; Gardiner, N.; Singh, S.J. Early experiences of rehabilitation for individuals post-COVID to improve fatigue, breathlessness exercise capacity and cognition–A cohort study. Chronic Respir. Dis. 2021, 18, 14799731211015691. [Google Scholar] [CrossRef] [PubMed]
- Maurits, R.-D.; Fanhi, A.-B.; Chen, H.-M. Physical Activity Improve Health-Related Quality of Life, 6MWT, and VO2 peak before and during COVID-19 in Patients with Heart Failure: A Meta-analysis. Med. Fam. SEMERGEN 2023, 49, 102039. [Google Scholar] [CrossRef] [PubMed]
- Spielmanns, M.; Pekacka-Egli, A.-M.; Schoendorf, S.; Windisch, W.; Hermann, M. Effects of a comprehensive pulmonary rehabilitation in severe post-COVID-19 patients. Int. J. Environ. Res. Public Health 2021, 18, 2695. [Google Scholar] [CrossRef]
- Nopp, S.; Moik, F.; Klok, F.A.; Gattinger, D.; Petrovic, M.; Vonbank, K.; Koczulla, A.R.; Ay, C.; Zwick, R.H. Outpatient pulmonary rehabilitation in patients with long COVID improves exercise capacity, functional status, dyspnea, fatigue, and quality of life. Respiration 2022, 101, 593–601. [Google Scholar] [CrossRef]
- Bohannon, R.W.; Crouch, R. Minimal clinically important difference for change in 6-minute walk test distance of adults with pathology: A systematic review. J. Eval. Clin. Pract. 2017, 23, 377–381. [Google Scholar] [CrossRef]
- Jácome, C.; Cruz, J.; Oliveira, A.; Marques, A. Validity, reliability, and ability to identify fall status of the Berg Balance Scale, BESTest, Mini-BESTest, and Brief-BESTest in patients with COPD. Phys. Ther. 2016, 96, 1807–1815. [Google Scholar] [CrossRef]
- Marques, A.; Cruz, J.; Quina, S.; Regêncio, M.; Jácome, C. Reliability, agreement and minimal detectable change of the timed up & go and the 10-meter walk tests in older patients with COPD. COPD J. Chronic Obstr. Pulm. Dis. 2016, 13, 279–287. [Google Scholar]
- Rinaldo, L.; Caligari, M.; Acquati, C.; Nicolazzi, S.; Paracchini, G.; Sardano, D.; Giordano, A.; Marcassa, C.; Corrà, U. Functional capacity assessment and minimal clinically important difference in post-acute cardiac patients: The role of Short Physical Performance Battery. Eur. J. Prev. Cardiol. 2022, 29, 1008–1014. [Google Scholar] [CrossRef]



| Before Treatment | After Treatment | Reference Value | |
|---|---|---|---|
| Exercise capacity | |||
| 6MWT, m | 66 a | 240 a | >572 ± 92 b |
| Pre/post SpO2, % | 98/88 a | 99/98 a | |
| 1STS, count | 0 | 15 | 33–48 c |
| Pre/post SpO2% | 99/90 | 98/96 | |
| Physical function | |||
| SPPB, score | 4 | 10 | >9.8 ± 1.7 b |
| BBS, score | 29 | 48 | >55 ± 1 b |
| TUG, sec | 23.97 a | 13.14 | <8 ± 2 b |
| FAC, score | 2 | 4 | |
| Pulmonary function | |||
| FVC, mL (predicted, %) | 1880 (43) | 2280 (52) | |
| MIP, cmH20 (predicted, %) | 52 (55) | 58 (61) | |
| MEP, cmH20 (predicted, %) | 59 (47) | 69 (55) | |
| Lower extremity muscle strength | |||
| Right hip flexor/left flexor, N Supine with hip flexed at 90 degrees | 5.7/7.3 | 7.1/8.6 | |
| Right. hip flexor/left flexor, N Supine with hip flexed at 45 degrees | 6.4/5.0 | 7.4/7.1 | |
| Right knee extensor/left extensor, N Sitting | 4.8/6.2 | 5.9/6.4 | |
| Right knee extensor/left extensor, N Supine | 4.5/5.3 | 6.7/5.9 | |
| Right ankle dorsiflexor/left flexor, N Supine with knee extended | 6.0/3.8 | 4.7/7.5 | |
| Right ankle dorsiflexor/left flexor, N Supine with knee flexed | 4.3/3.0 | 7.3/8.4 | |
| Right ankle dorsiflexor/left flexor, N Supine with knee extended | 5.1/7.7 | 9.9/8.2 | |
| Right ankle plantar flexor/left flexor, N Supine with knee flexed | 7.6/7.4 | 13.5/9.8 | |
| PROM | |||
| BFI, score | 4.4 | 3.4 | |
| LCADL, score | 56 | 38 | |
| CAT, score | 30 | 21 | |
| FES-I, score | 50 | 48 | <23 |
| Quality of life | |||
| Physical domain, score | 50 | 38 | 73.5 ± 18.1 b |
| Psychological domain, score | 50 | 50 | 70.6 ± 14.0 b |
| Social domain, score | 44 | 44 | 71.5 ± 18.2 b |
| Environmental domain, score | 44 | 44 | 75.1 ±13.0 b |
Disclaimer/Publisher’s Note: The statements, opinions and data contained in all publications are solely those of the individual author(s) and contributor(s) and not of MDPI and/or the editor(s). MDPI and/or the editor(s) disclaim responsibility for any injury to people or property resulting from any ideas, methods, instructions or products referred to in the content. |
© 2024 by the authors. Licensee MDPI, Basel, Switzerland. This article is an open access article distributed under the terms and conditions of the Creative Commons Attribution (CC BY) license (https://creativecommons.org/licenses/by/4.0/).
Share and Cite
Lee, J.S.; Ahn, J.H.; Lee, J.W.; Baek, C.Y. Utilization of Robot-Assisted Gait Training in Pulmonary Rehabilitation for a Patient with Ambulatory Dysfunction Post-Severe COVID-19 Pneumonia: A Case Report. J. Clin. Med. 2024, 13, 6213. https://doi.org/10.3390/jcm13206213
Lee JS, Ahn JH, Lee JW, Baek CY. Utilization of Robot-Assisted Gait Training in Pulmonary Rehabilitation for a Patient with Ambulatory Dysfunction Post-Severe COVID-19 Pneumonia: A Case Report. Journal of Clinical Medicine. 2024; 13(20):6213. https://doi.org/10.3390/jcm13206213
Chicago/Turabian StyleLee, June Sung, Jung Hoon Ahn, Jang Woo Lee, and Chang Yoon Baek. 2024. "Utilization of Robot-Assisted Gait Training in Pulmonary Rehabilitation for a Patient with Ambulatory Dysfunction Post-Severe COVID-19 Pneumonia: A Case Report" Journal of Clinical Medicine 13, no. 20: 6213. https://doi.org/10.3390/jcm13206213
APA StyleLee, J. S., Ahn, J. H., Lee, J. W., & Baek, C. Y. (2024). Utilization of Robot-Assisted Gait Training in Pulmonary Rehabilitation for a Patient with Ambulatory Dysfunction Post-Severe COVID-19 Pneumonia: A Case Report. Journal of Clinical Medicine, 13(20), 6213. https://doi.org/10.3390/jcm13206213

